An Ex-Vivo Culture System of Ovarian Cancer Faithfully Recapitulating the Pathological Features of Primary Tumors
Abstract
1. Introduction
2. Materials and Methods
2.1. Ethics Statement
2.2. Establishment of Primary Tumor Cell Culture
2.3. Retrovirus and Lentivirus Infection
2.4. Cell Culture
2.5. Cell Proliferation Assay
2.6. Western Analysis
2.7. Mice Xenograft Experiments
2.8. Immunohistochemistry
3. Results
3.1. Establishment of Primary Tumor Cell Culture of Various Histotypes of Ovarian Cancer
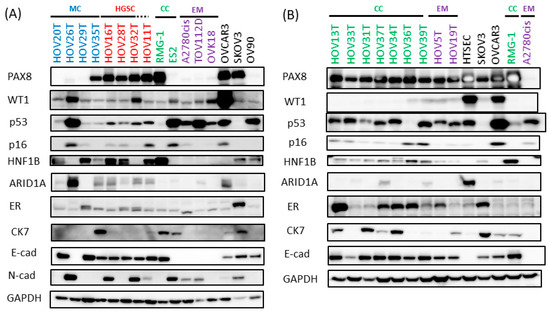
3.2. Recapitulation of Immunohistochemical Status of HOV Lines with the Original Tumor
3.3. Pathological Fidelity of Xenograft Tissue from Established Lines
3.4. MC Type Cancer Cells Could not Generate Any Tumor Even in NOG Mice
3.5. Recapitulation of Histotype-Specific Markers In Vivo
3.6. Establishment of Xenograft Models for MC and Endometrioid Ovarian Cancers by Conditionally Expressing Additional Set of Oncogenes
4. Discussion
Supplementary Materials
Author Contributions
Funding
Acknowledgments
Conflicts of Interest
References
- Sugaya, M.; Takenoyama, M.; Osaki, T.; Yasuda, M.; Nagashima, A.; Sugio, K.; Yasumoto, K. Establishment of 15 Cancer Cell Lines From Patients With Lung Cancer and the Potential Tools for Immunotherapy. Chest 2002, 122, 282–288. [Google Scholar] [CrossRef] [PubMed][Green Version]
- Cailleau, R.; Olivé, M.; Cruciger, Q.V. Long-term human breast carcinoma cell lines of metastatic origin: Preliminary characterization. In Vitro 1978, 14, 911–915. [Google Scholar] [CrossRef] [PubMed]
- Sandberg, R.; Ernberg, I. Assessment of tumor characteristic gene expression in cell lines using a tissue similarity index (TSI). Proc. Natl. Acad. Sci. USA 2005, 102, 2052–2057. [Google Scholar] [CrossRef] [PubMed]
- Domcke, S.; Sinha, R.; Levine, D.A.; Sander, C.; Schultz, N. Evaluating cell lines as tumour models by comparison of genomic profiles. Nat. Commun. 2013, 4, 2126. [Google Scholar] [CrossRef]
- Landry, J.J.; Pyl, P.T.; Rausch, T.; Zichner, T.; Tekkedil, M.M.; Stütz, A.M.; Jauch, A.; Aiyar, R.S.; Pau, G.; Delhomme, N.; et al. The genomic and transcriptomic landscape of a HeLa cell line. G3 (Bethesda) 2013, 3, 1213–1224. [Google Scholar] [CrossRef] [PubMed]
- Kessler, M.; Hoffmann, K.; Brinkmann, V.; Thieck, O.; Jackisch, S.; Toelle, B.; Berger, H.; Mollenkopf, H.-J.; Mangler, M.; Sehouli, J.; et al. The Notch and Wnt pathways regulate stemness and differentiation in human fallopian tube organoids. Nat. Commun. 2015, 6, 8989. [Google Scholar] [CrossRef] [PubMed]
- Kurman, R.J.; Carcangiu, M.L.; Herrington, C.S.; Young, R.H. WHO Classification of Tumours of Female Reproductive Organs; Bosman, F.T., Jaffe, E.S., Lakhani, S.R., Ohgaki, H., Eds.; IARC Press: Lyon, France, 2014. [Google Scholar]
- Vaughan, S.; Coward, J.I.; Bast, R.C.; Berchuck, A.; Berek, J.S.; Brenton, J.D.; Coukos, G.; Crum, C.C.; Drapkin, R.; Etemadmoghadam, D.; et al. Rethinking ovarian cancer: Recommendations for improving outcomes. Nat. Rev. Cancer 2011, 11, 719–725. [Google Scholar] [CrossRef] [PubMed]
- Verschraegen, C.F.; Hu, W.; Du, Y.; Mendoza, J.; Early, J.; Deavers, M.; Freedman, R.S.; Bast, R.C.; Kudelka, A.P.; Kavanagh, J.J.; et al. Establishment and characterization of cancer cell cultures and xenografts derived from primary or metastatic Mullerian cancers. Clin. Cancer Res. 2003, 9, 845–852. [Google Scholar]
- Ince, T.A.; Sousa, A.D.; Jones, M.A.; Harrell, J.C.; Agoston, E.S.; Krohn, M.; Selfors, L.M.; Liu, W.; Chen, K.; Yong, M.; et al. Characterization of twenty-five ovarian tumour cell lines that phenocopy primary tumours. Nat. Commun. 2015, 6, 7419. [Google Scholar] [CrossRef]
- Tang, F.; Hsieh, T.; Hsu, C.; Lin, H.; Long, C.; Cheng, K.; Tsai, E. KRAS mutation coupled with p53 loss is sufficient to induce ovarian carcinosarcomas in mice. Int. J. Cancer 2017, 140, 1860–1869. [Google Scholar] [CrossRef]
- Inagawa, Y.; Yamada, K.; Yugawa, T.; Ohno, S.-I.; Hiraoka, N.; Esaki, M.; Shibata, T.; Aoki, K.; Saya, H.; Kiyono, T. A human cancer xenograft model utilizing normal pancreatic duct epithelial cells conditionally transformed with defined oncogenes. Carcinog. 2014, 35, 1840–1846. [Google Scholar] [CrossRef]
- Liu, X.; Ory, V.; Chapman, S.; Yuan, H.; Albanese, C.; Kallakury, B.; Timofeeva, O.A.; Nealon, C.; Dakic, A.; Simic, V.; et al. ROCK Inhibitor and Feeder Cells Induce the Conditional Reprogramming of Epithelial Cells. Am. J. Pathol. 2012, 180, 599–607. [Google Scholar] [CrossRef]
- Skehan, P.; Scudiero, D.; Vistica, D.; Bokesch, H.; Kenney, S.; Storeng, R.; Monks, A.; McMahon, J.; Warren, J.T.; Boyd, M.R. New Colorimetric Cytotoxicity Assay for Anticancer-Drug Screening. J. Natl. Cancer Inst. 1990, 82, 1107–1112. [Google Scholar] [CrossRef] [PubMed]
- Gewin, L.; Myers, H.; Kiyono, T.; Galloway, D.A. Identification of a novel telomerase repressor that interacts with the human papillomavirus type-16 E6/E6-AP complex. Genome Res. 2004, 18, 2269–2282. [Google Scholar] [CrossRef]
- Narisawa-Saito, M.; Handa, K.; Yugawa, T.; Ohno, S.; Fujita, M.; Kiyono, T. HPV16 E6-mediated stabilization of ErbB2 in neoplastic transformation of human cervical keratinocytes. Oncogene 2007, 26, 2988–2996. [Google Scholar] [CrossRef] [PubMed]
- Köbel, M.; Bak, J.; Bertelsen, B.I.; Carpén, O.; Grove, A.; Hansen, E.S.; Jakobsen, A.-M.L.; Lidang, M.; Måsbäck, A.; Tolf, A.; et al. Ovarian carcinoma histotype determination is highly reproducible, and is improved through the use of immunohistochemistry. Histopathology 2014, 64, 1004–1013. [Google Scholar] [CrossRef] [PubMed]
- Karnezis, A.N.; Cho, K.R.; Gilks, C.B.; Pearce, C.L.; Huntsman, D.G. The disparate origins of ovarian cancers: Pathogenesis and prevention strategies. Nat. Rev. Cancer 2017, 17, 65–74. [Google Scholar] [CrossRef] [PubMed]
- Tangjitgamol, S.; Manusirivithaya, S.; Khunnarong, J.; Jesadapatarakul, S.; Tanwanich, S. Expressions of estrogen and progesterone receptors in epithelial ovarian cancer: A clinicopathologic study. Int. J. Gynecol. Cancer 2009, 19, 620–627. [Google Scholar] [CrossRef]
- Wu, C.H.; Mao, T.-L.; Vang, R.; Ayhan, A.; Wang, T.-L.; Kurman, R.J.; Shih, I.-M. Endocervical-type Mucinous Borderline Tumors are Related to Endometrioid Tumors Based on Mutation and Loss of Expression of ARID1A. Int. J. Gynecol. Pathol. 2012, 31, 297–303. [Google Scholar] [CrossRef]
- Nakamura, K.; Nakayama, K.; Ishikawa, N.; Ishikawa, M.; Sultana, R.; Kiyono, T.; Kyo, S. Reconstitution of high-grade serous ovarian carcinoma from primary fallopian tube secretory epithelial cells. Oncotarget 2018, 9, 12609–12619. [Google Scholar] [CrossRef][Green Version]
- Elias, K.M.; Emori, M.M.; Papp, E.; Macduffie, E.; Konecny, G.E.; Velculescu, V.E.; Drapkin, R. Beyond genomics: Critical evaluation of cell line utility for ovarian cancer research. Gynecol. Oncol. 2015, 139, 97–103. [Google Scholar] [CrossRef] [PubMed]
- Fogh, J.; Orfeo, T. One Hundred and Twenty-Seven Cultured Human Tumor Cell Lines Producing Tumors in Nude Mice23. J. Natl. Cancer Inst. 1977, 59, 221–226. [Google Scholar] [CrossRef] [PubMed]
- Zushi, Y.; Noguchi, K.; Yamamura, M.; Takaoka, K.; Moridera, K.; Segawa, E.; Okui, S.; Kishimoto, H.; Urade, M. An in vitro multistep carcinogenesis model for both HPV-positive and -negative human oral squamous cell carcinoma. Int. J. Oral Maxillofac. Surg. 2011, 40, 1068. [Google Scholar] [CrossRef]
- Sasaki, R.; Narisawa-Saito, M.; Yugawa, T.; Fujita, M.; Tashiro, H.; Katabuchi, H.; Kiyono, T. Oncogenic transformation of human ovarian surface epithelial cells with defined cellular oncogenes. Carcinog. 2009, 30, 423–431. [Google Scholar] [CrossRef]
- Narisawa-Saito, M.; Inagawa, Y.; Yoshimatsu, Y.; Haga, K.; Tanaka, K.; Egawa, N.; Ohno, S.-I.; Ichikawa, H.; Yugawa, T.; Fujita, M.; et al. A critical role of MYC for transformation of human cells by HPV16 E6E7 and oncogenic HRAS. Carcinog. 2012, 33, 910–917. [Google Scholar] [CrossRef] [PubMed]
- Wang, J.; El-Bahrawy, M.A. Expression profile of mucins in ovarian mucinous tumors: Distinguishing primary ovarian from metastatic tumors. Int. J. Gynecol. Pathol. 2014, 33, 166–175. [Google Scholar] [CrossRef] [PubMed]
- Wang, J.; El-Bahrawy, M. Expression profile of mucins (MUC1, MUC2, MUC5AC, and MUC6) in ovarian mucinous tumours: changes in expression from benign to malignant tumours. Histopathology 2015, 66, 529–535. [Google Scholar] [CrossRef] [PubMed]
- Zhang, S.; Balch, C.; Chan, M.W.; Lai, H.-C.; Matei, D.; Schilder, J.M.; Yan, P.S.; Huang, T.H.-M.; Nephew, K.P. Identification and Characterization of Ovarian Cancer-Initiating Cells from Primary Human Tumors. Cancer Res. 2008, 68, 4311–4320. [Google Scholar] [CrossRef]
- Chefetz, I.; Grimley, E.; Yang, K.; Hong, L.; Vinogradova, E.V.; Suciu, R.; Kovalenko, I.; Karnak, D.; Morgan, C.A.; Chtcherbinine, M.; et al. A Pan-ALDH1A Inhibitor Induces Necroptosis in Ovarian Cancer Stem-like Cells. Cell Rep. 2019, 26, 3061–3075.e6. [Google Scholar] [CrossRef]
- Liu, J.F.; Palakurthi, S.; Zeng, Q.; Zhou, S.; Ivanova, E.; Huang, W.; Zervantonakis, I.K.; Selfors, L.M.; Shen, Y.; Pritchard, C.C.; et al. Establishment of Patient-Derived Tumor Xenograft Models of Epithelial Ovarian Cancer for Preclinical Evaluation of Novel Therapeutics. Clin. Cancer Res. 2017, 23, 1263–1273. [Google Scholar] [CrossRef]



| Code No. | Age | Type of cancer | Medium A | A ≥ B | Medium B |
|---|---|---|---|---|---|
| HOV3T | 47 | Adenocarcinoma, residual MC cystadenoma | Failed | ||
| HOV4T | 42 | Adenocarcinoma, residual MC cystadenoma | Failed | ||
| HOV5T | 43 | EM | Failed | ✓ | |
| HOV6T | 59 | CC | Failed | ||
| HOV7T | 59 | HGSC | Failed | ||
| HOV8T | 61 | HGSC | Failed | ||
| HOV9T | 52 | HGSC | Failed | ||
| HOV10T | 40 | MC | ✓ | ||
| HOV11T | 46 | Adenocarcinoma | Failed | ✓ | |
| HOV12T | 49 | MC borderline | Failed | ||
| HOV13T | 47 | CC | Failed | ✓ | |
| HOV14T | 49 | HGSC | Failed | ||
| HOV15T | 49 | MC cystadenoma | Failed | ||
| HOV16T | 50 | HGSC | Failed | ✓ | |
| HOV17T | 67 | EM | Failed | ||
| HOV18T | 67 | MC cystadenoma, borderline | Failed | ||
| HOV19T | 35 | EM | ✓ | ||
| HOV20T | 49 | MC | ✓ | ||
| HOV21T | 50 | HGSC | Failed | ||
| HOV22T | 45 | HGSC | Failed | ||
| HOV23T | 62 | MC borderline | Failed | ||
| HOV24T | 56 | Adenocarcinoma (post-chemo) | Failed | ||
| HOV25T | 41 | EM borderline | Failed | ||
| HOV26T | 74 | MC with sarcomatous component | Aborted | ✓ | |
| HOV27T | 74 | HGSC | Failed | ||
| HOV28T | 28 | HGSC | Aborted | ✓ | |
| HOV29T | 40 | MC borderline | Aborted | ✓ | |
| HOV30T | 62 | Serous (post-chemo) | Failed | Failed | Failed |
| HOV31T | 71 | CC | Aborted | ✓ | |
| HOV32T | 67 | HGSC | Aborted | ✓ | |
| HOV33T | 36 | CC | Aborted | ✓ | |
| HOV34T | 37 | CC | Aborted | ✓ | |
| HOV35T | 68 | MC borderline with micro invasion | Aborted | ✓ | |
| HOV36T | 66 | CC | Aborted | ✓ | |
| HOV37T | 59 | CC | Aborted | ✓ | |
| HOV39T | 68 | CC | Aborted | ✓ |
| Matri | EGF | B27 | Y | SB | NA | A83 | Nog | WR | A | F | |
|---|---|---|---|---|---|---|---|---|---|---|---|
| HOV5T (EM) | |||||||||||
| HOV26T(MC) | |||||||||||
| HOV29T(MC) | |||||||||||
| HOV28T(HGSC) | |||||||||||
| HOV34T(CC) | |||||||||||
| 3− | 2− | 1− | 0 | 1+ | 2+ | 3+ |
| Code No. | Type of Cancer | Nude s.c. | SCID i.p. | NOG s.c. | NOG i.p. | Nude s.c. (EMR) |
|---|---|---|---|---|---|---|
| HOV5T | EM | 6/6 (9) | 0/1 | |||
| HOV19T | EM | 0/4 | 4/4(9) 4/4(11) 4/4(13) | |||
| HOV34T | CC | 4/4 (5) | ||||
| HOV37T | CC | 0/4 0/4 | ||||
| HOV20T | MC | 0/4 | 0/4 | 0/1 | 4/4(18) 4/4(18) 4/4(21) 4/4(21) | |
| HOV26T | MC with sarcomatous component | 4/4 (14) | 0/1 | |||
| HOV29T | MC borderline | 0/4 | 0/1 | 4/4 (7) 4/4(7) 4/4(8) 4/4(10) | ||
| HOV35T | MC borderline | 0/4 | 0/1 | |||
| HOV28T | HGSC | 4/4 (7) | 1/1 (21) | |||
| SKOV3 | 4/4 (7) | 1/1 (6) |
© 2019 by the authors. Licensee MDPI, Basel, Switzerland. This article is an open access article distributed under the terms and conditions of the Creative Commons Attribution (CC BY) license (http://creativecommons.org/licenses/by/4.0/).
Share and Cite
Ghani, F.I.; Dendo, K.; Watanabe, R.; Yamada, K.; Yoshimatsu, Y.; Yugawa, T.; Nakahara, T.; Tanaka, K.; Yoshida, H.; Yoshida, M.; et al. An Ex-Vivo Culture System of Ovarian Cancer Faithfully Recapitulating the Pathological Features of Primary Tumors. Cells 2019, 8, 644. https://doi.org/10.3390/cells8070644
Ghani FI, Dendo K, Watanabe R, Yamada K, Yoshimatsu Y, Yugawa T, Nakahara T, Tanaka K, Yoshida H, Yoshida M, et al. An Ex-Vivo Culture System of Ovarian Cancer Faithfully Recapitulating the Pathological Features of Primary Tumors. Cells. 2019; 8(7):644. https://doi.org/10.3390/cells8070644
Chicago/Turabian StyleGhani, Farhana Ishrat, Kasumi Dendo, Reiko Watanabe, Kenji Yamada, Yuki Yoshimatsu, Takashi Yugawa, Tomomi Nakahara, Katsuyuki Tanaka, Hiroshi Yoshida, Masayuki Yoshida, and et al. 2019. "An Ex-Vivo Culture System of Ovarian Cancer Faithfully Recapitulating the Pathological Features of Primary Tumors" Cells 8, no. 7: 644. https://doi.org/10.3390/cells8070644
APA StyleGhani, F. I., Dendo, K., Watanabe, R., Yamada, K., Yoshimatsu, Y., Yugawa, T., Nakahara, T., Tanaka, K., Yoshida, H., Yoshida, M., Ishikawa, M., Goshima, N., Kato, T., & Kiyono, T. (2019). An Ex-Vivo Culture System of Ovarian Cancer Faithfully Recapitulating the Pathological Features of Primary Tumors. Cells, 8(7), 644. https://doi.org/10.3390/cells8070644

