The Terminal Segment of the Seminiferous Tubule: The Current Discovery of Its Morphofunctional Importance in Mammals
Abstract
1. Introduction
2. Results
2.1. The Terminal Segment of the Seminiferous Tubule and Its Tissular Structure in Mammals
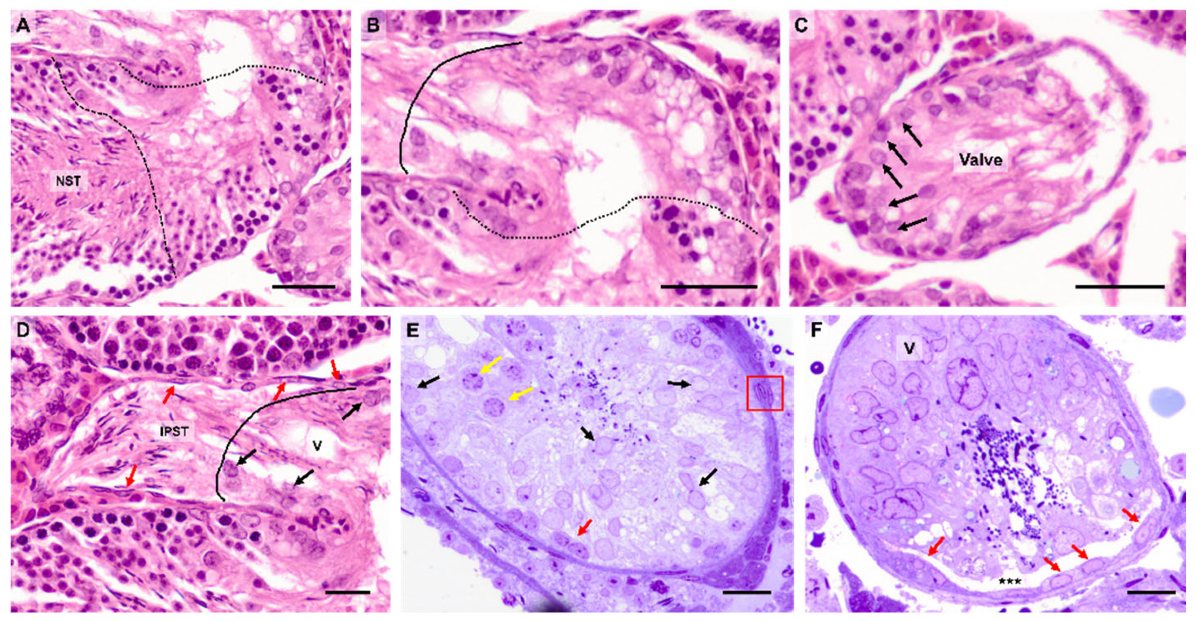
2.1.1. Light Microscopy Results
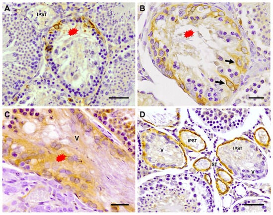
2.1.2. Electron Microscopy Results
2.2. Assessment of Terminal Segment Studies in the 20th Century
2.3. Recent Interest in Experimental Andrology at This Location
2.3.1. SC Proliferation in the Adult Seminiferous Tubule
2.3.2. SC Proliferation and Cell Dedifferentiation of Modified Sertoli Cells in the Terminal Segment
2.4. Leydig Cell Self-Renewal and the Terminal Segment in Adult Testis
3. Conclusions and Future Directions
Author Contributions
Funding
Institutional Review Board Statement
Informed Consent Statement
Data Availability Statement
Acknowledgments
Conflicts of Interest
References
- Figueiredo, A.F.A.; Hess, R.A.; Batlouni, S.R.; Wnuk, N.T.; Tavares, A.O.; Abarikwu, S.O.; Costa, G.M.J.; França, L.R. Insights into differentiation and function of the transition region between the seminiferous tubule and rete testis. Differentiation 2021, 120, 36–47. [Google Scholar] [CrossRef] [PubMed]
- Uchida, A.; Imaimatsu, K.; Suzuki, H.; Han, X.; Ushioda, H.; Uemura, M.; Imura-Kishi, K.; Hiramatsu, R.; Takase, H.M.; Hirate, Y.; et al. SOX17-positive rete testis epithelium is required for Sertoli valve formation and normal spermiogenesis in the male mouse. Nat. Commun. 2022, 13, 7860. [Google Scholar] [CrossRef]
- Marin-Padilla, M. The mesonephric-testicular connection in man and some animals. Anat. Rec. 1964, 148, 1–14. [Google Scholar] [CrossRef]
- Roosen-Runge, E.C. The rete testis in the albino rat: Its structure, development and morphological significance. Acta Anat. 1961, 45, 1–30. [Google Scholar] [CrossRef]
- Barack, B.M. Transport of spermatozoa from seminiferous tubules to epididymis in the mouse: A histological and quantitative study. J. Reprod. Fertil. 1968, 16, 35–48. [Google Scholar] [CrossRef]
- Cavicchia, J.C.; Burgos, M.H. Tridimensional reconstruction and histology of the intratesticular seminal pathway in the hamster. Anat. Rec. 1977, 187, 1–10. [Google Scholar] [CrossRef]
- Perey, B.; Clermont, Y.; Leblond, C.P. The wave of the seminiferous epithelium in the rat. Am. J. Anat. 1961, 108, 47–77. [Google Scholar] [CrossRef]
- Vitale-Calpe, R.; Aoki, A. Fine structure of the intratesticular excretory pathway in the guinea pig. Z. Anat. Entwicklungsgesch. 1969, 129, 135–153. [Google Scholar] [CrossRef]
- Dym, M. The fine structure of monkey Sertoli cells in the transitional zone at the junction of the seminiferous tubules with the tubuli recti. Am. J. Anat. 1974, 140, 1–25. [Google Scholar] [CrossRef]
- Fawcett, D.W.; Dym, M. A glycogen-rich segment of the tubuli recti and proximal portion of the rete testis in the guinea pig. J. Reprod. Fertil. 1974, 38, 401–409. [Google Scholar] [CrossRef]
- Osman, D.I. On the ultrastructure of modified Sertoli cells in the terminal segment of seminiferous tubules in the boar. J. Anat. 1978, 127, 603–613. [Google Scholar] [PubMed]
- Osman, D.I. A comparative ultrastructural study on typical and modified Sertoli cells before and after ligation of the efferent ductules in the rabbit. Anat. Histol. Embryol. 1979, 8, 114–123. [Google Scholar] [CrossRef]
- Osman, D.I.; Ploen, L. The terminal segment of the seminiferous tubules and the blood-testis barrier before and after efferent-ductule ligation in the rat. Int. J. Androl. 1978, 1, 235–249. [Google Scholar] [CrossRef]
- Osman, D.I.; Ploen, L. Fine structure of the modified Sertoli cells in the terminal segment of the seminiferous tubules of the bull, ram, and goat. Anim. Reprod. Sci. 1979, 2, 343–351. [Google Scholar] [CrossRef]
- Nykänen, M. Fine structure of the transitional zone of the rat seminiferous tubule. Cell Tissue Res. 1979, 198, 441–454. [Google Scholar] [CrossRef]
- Lindner, S.G. On the morphology of the transitional zone of the seminiferous tubule and the rete testis in man. Andrologia 1982, 14, 352–362. [Google Scholar] [CrossRef]
- Wrobel, K.H.; Sinowatz, F.; Mademann, R. The fine structure of the terminal segment of the bovine seminiferous tubule. Cell Tissue Res. 1982, 225, 29–44. [Google Scholar] [CrossRef]
- Ezeasor, D.N. Ultrastructural observations on the terminal segment epithelium of the seminiferous tubule of West African dwarf goats. J. Anat. 1986, 144, 167–179. [Google Scholar]
- Osman, D.I. The intratesticular excurrent ducts of the camel (Camelus dromedarius). Anim. Reprod. Sci. 1986, 10, 47–60. [Google Scholar] [CrossRef]
- Hermo, L.; Dworkin, J. Transitional cells at the junction of seminiferous tubules with the rete testis of the rat: Their fine structure, endocytic activity, and basement membrane. Am. J. Anat. 1988, 181, 111–131. [Google Scholar] [CrossRef]
- Figueiredo, A.F.; França, L.R.; Hess, R.A.; Costa, G.M. Sertoli cells are capable of proliferation into adulthood in the transition region between the seminiferous tubules and the rete testis in Wistar rats. Cell Cycle 2016, 15, 2486–2496. [Google Scholar] [CrossRef] [PubMed]
- Griswold, M.D. The central role of Sertoli cells in spermatogenesis. Semin. Cell Dev. Biol. 1998, 9, 411–416. [Google Scholar] [CrossRef]
- Cheng, C.Y.; Mruk, D.D. Cell junction dynamics in the testis: Sertoli-germ cell interactions and male contraceptive development. Physiol. Rev. 2002, 82, 825–874. [Google Scholar] [CrossRef]
- Johnson, L.; Varner, D.D.; Roberts, M.E.; Smith, T.L.; Keillor, G.E.; Scrutchfield, W.L. Efficiency of spermatogenesis: A comparative approach. Anim. Reprod. Sci. 2000, 60–61, 471–480. [Google Scholar] [CrossRef]
- Lucas, T.F.; Nascimento, A.R.; Pisolato, R.; Pimenta, M.T.; Lazari, M.F.; Porto, C.S. Receptors and signaling pathways involved in proliferation and differentiation of Sertoli cells. Spermatogenesis 2014, 4, e28138. [Google Scholar] [CrossRef]
- Sharpe, R.M.; McKinnell, C.; Kivlin, C.; Fisher, J.S. Proliferation and functional maturation of Sertoli cells, and their relevance to disorders of testis function in adulthood. Reproduction 2003, 125, 769–784. [Google Scholar] [CrossRef]
- Buzzard, J.J.; Wreford, N.G.; Morrison, J.R. Thyroid hormone, retinoic acid, and testosterone suppress proliferation and induce markers of differentiation in cultured rat Sertoli cells. Endocrinology 2003, 144, 3722–3731. [Google Scholar] [CrossRef]
- Tarulli, G.A.; Stanton, P.G.; Meachem, S.J. Is the adult Sertoli cell terminally differentiated? Biol. Reprod. 2012, 87, 13. [Google Scholar] [CrossRef]
- Ramos, A.S.; Dym, M. Ultrastructural differentiation of rat Sertoli cells. Biol. Reprod. 1979, 21, 909–922. [Google Scholar] [CrossRef]
- Xia, Y.; Zhu, W.J.; Hao, S.F.; Liang, W.B.; Li, J. Stereological analysis of age-related changes of testicular peritubular cells in men. Arch. Gerontol. Geriatr. 2012, 55, 116–119. [Google Scholar] [CrossRef]
- Meachem, S.J.; Stanton, P.G.; Schlatt, S. Follicle-stimulating hormone regulates both Sertoli cell and spermatogonial populations in the adult photoinhibited Djungarian hamster testis. Biol. Reprod. 2005, 72, 1187–1193. [Google Scholar] [CrossRef] [PubMed][Green Version]
- Tarulli, G.A.; Stanton, P.G.; Lerchl, A.; Meachem, S.J. Adult Sertoli cells are not terminally differentiated in the Djungarian hamster: Effect of FSH on proliferation and junction protein organization. Biol. Reprod. 2006, 74, 798–806. [Google Scholar] [CrossRef] [PubMed]
- Meachem, S.J.; Schlatt, S.; Ruwanpura, S.M.; Stanton, P.G. The effect of testosterone, dihydrotestosterone and oestradiol on the re-initiation of spermatogenesis in the adult photoinhibited Djungarian hamster. J. Endocrinol. 2007, 192, 553–561. [Google Scholar] [CrossRef]
- Ahmed, E.A.; Barten-van Rijbroek, A.D.; Kal, H.B.; Sadri-Ardekani, H.; Mizrak, S.C.; van Pelt, A.M.; de Rooij, D.G. Proliferative activity in vitro and DNA repair indicate that adult mouse and human Sertoli cells are not terminally differentiated, quiescent cells. Biol. Reprod. 2009, 80, 1084–1091. [Google Scholar] [CrossRef]
- Kulibin, A.Y.; Malolina, E.A. Only a small population of adult Sertoli cells actively proliferates in culture. Reproduction 2016, 152, 271–281. [Google Scholar] [CrossRef]
- Martínez-Hernández, J.; Seco-Rovira, V.; Beltrán-Frutos, E.; Ferrer, C.; Serrano-Sánchez, M.I.; Pastor, L.M. Proliferation, apoptosis, and number of Sertoli cells in the Syrian hamster during recrudescence after exposure to short photoperiod. Biol. Reprod. 2020, 102, 588–597. [Google Scholar] [CrossRef]
- Nagasawa, K.; Imura-Kishi, K.; Uchida, A.; Hiramatsu, R.; Kurohmaru, M.; Kanai, Y. Regionally distinct patterns of STAT3 phosphorylation in the seminiferous epithelia of mouse testes. Mol. Reprod. Dev. 2018, 85, 262–270. [Google Scholar] [CrossRef]
- Imura-Kishi, K.; Uchida, A.; Tsunekawa, N.; Suzuki, H.; Takase, H.M.; Hirate, Y.; Kanai-Azuma, M.; Hiramatsu, R.; Kurohmaru, M.; Kanai, Y. Low retinoic acid levels mediate regionalization of the Sertoli valve in the terminal segment of mouse seminiferous tubules. Sci. Rep. 2021, 11, 1110. [Google Scholar] [CrossRef]
- Endo, T.; Mikedis, M.M.; Nicholls, P.K.; Page, D.C.; de Rooij, D.G. Retinoic Acid and Germ Cell Development in the Ovary and Testis. Biomolecules 2019, 9, 775. [Google Scholar] [CrossRef]
- Agrimson, K.S.; Oatley, M.J.; Mitchell, D.; Oatley, J.M.; Griswold, M.D.; Hogarth, C.A. Retinoic acid deficiency leads to an increase in spermatogonial stem number in the neonatal mouse testis, but excess retinoic acid results in no change. Dev. Biol. 2017, 432, 229–236. [Google Scholar] [CrossRef]
- Figueiredo, A.F.A.; Wnuk, N.T.; Tavares, A.O.; Miranda, J.R.; Hess, R.A.; de França, L.R.; Costa, G.M.J. Prepubertal PTU treatment in rat increases Sertoli cell number and sperm production. Reproduction 2019, 158, 199–209. [Google Scholar] [CrossRef]
- Aiyama, Y.; Tsunekawa, N.; Kishi, K.; Kawasumi, M.; Suzuki, H.; Kanai-Azuma, M.; Kurohmaru, M.; Kanai, Y. A Niche for GFRα1-Positive Spermatogonia in the terminal segments of the seminiferous tubules in hamster testes. Stem Cells 2015, 33, 2811–2824. [Google Scholar] [CrossRef] [PubMed]
- Naito, M.; Terayama, H.; Hirai, S.; Qu, N.; Moriyama, H.; Itoh, M. The presence of intra-tubular lymphocytes in normal testis of the mouse. Okajimas Folia Anat. Jpn. 2008, 85, 91–96. [Google Scholar] [CrossRef] [PubMed][Green Version]
- Takahashi, K.; Naito, M.; Terayama, H.; Qu, N.; Cheng, L.; Tainosho, S.; Itoh, M. Immunomorphological aspects of the tubuli recti and the surrounding interstitium in normal mice. Int. J. Androl. 2007, 30, 21–27. [Google Scholar] [CrossRef]
- Naito, M.; Terayama, H.; Hirai, S.; Qu, N.; Kawata, S.; Itoh, M. Histopathology of the tubuli recti at the start of experimental autoimmune orchitis in mice. Med. Mol. Morphol. 2009, 42, 230–235. [Google Scholar] [CrossRef]
- Tainosho, S.; Naito, M.; Hirai, S.; Terayama, H.; Qu, N.; Itoh, M. Multilayered structure of the basal lamina of the tubuli recti in normal mice. Med. Mol. Morphol. 2011, 44, 34–38. [Google Scholar] [CrossRef]
- Seco-Rovira, V.; Hernández-Marcos, S.; Beltrán-Frutos EFreire-Brito, L.; Martínez-Hernández, J.; Alves, M.; Pastor, L.M. Histological determination of a new zone in the intratesticular pathways of the seminiferous tubules of the adult Syrian hamster. Histol. Histopathol. 2024, 45 (Suppl. 1), 119. [Google Scholar]
- Martínez-Hernández, J.; Seco-Rovira, V.; Beltrán-Frutos, E.; Serrano-Sánchez, M.I.; Madrid, J.F.; Ferrer, C.; Pastor, L.M. The transitional distal segment of seminiferous tubule, tubuli recti and rete testis in Syrian hamster testes: A histochemical study. Histol. Histopathol. 2022, 37 (Suppl. 1), 61. [Google Scholar]
- Seco-Rovira, V.; Serrano-Sánchez, M.I.; Beltrán-Frutos, E.; Martínez-Hernández, J.; Ferrer, C.; Pastor, L.M. HSP47 expression in the hamster Sertoli cell: An immunohistochemical study. Histol. Histopathol. 2024, 39, 1295–1302. [Google Scholar] [CrossRef]
- Ye, L.; Li, X.; Li, L.; Chen, H.; Ge, R.S. Insights into the development of the adult Leydig cell Lineage from stem Leydig cells. Front. Physiol. 2017, 8, 430. [Google Scholar] [CrossRef]
- Horn, R.; Pastor, L.M.; Moreno, E.; Calvo, A.; Canteras, M.; Pallares, J. Morphological and morphometric study of early changes in the ageing golden hamster testis. J. Anat. 1996, 188, 109–117. [Google Scholar] [PubMed]
- Kaler, L.W.; Neaves, W.B. Attrition of the human Leydig cell population with advancing age. Anat. Rec. 1978, 192, 513–518. [Google Scholar] [CrossRef] [PubMed]
- Neaves, W.B.; Johnson, L.; Petty, C.S. Age-related change in numbers of other interstitial cells in testes of adult men: Evidence bearing on the fate of Leydig cells lost with increasing age. Biol. Reprod. 1985, 33, 259–269. [Google Scholar] [CrossRef]
- Regadera, J.; Codesal, J.; Paniagua, R.; Gonzalez-Peramato, P.; Nistal, M. Immunohistochemical and quantitative study of interstitial and intratubular Leydig cells in normal men, cryptorchidism, and Klinefelter’s syndrome. J. Pathol. 1991, 164, 299–306. [Google Scholar] [CrossRef]
- Sinha Hikim, A.P.; Bartke, A.; Russell, L.D. Morphometric studies on hamster testes in gonadally active and inactive states: Light microscope findings. Biol. Reprod. 1988, 39, 1225–1237. [Google Scholar] [CrossRef]
- Davidoff, M.S. The pluripotent microvascular pericytes are the adult stem cells even in the testis. Adv. Exp. Med. Biol. 2019, 1122, 235–267. [Google Scholar] [CrossRef]
- Rommerts, F.F.; Kühne, L.; van Cappellen, G.W.; Stocco, D.M.; King, S.R.; Jankowska, A. Specific dose-dependent effects of ethane 1,2-dimethanesulfonate in rat and mouse Leydig cells and non-steroidogenic cells on programmed cell death. J. Endocrinol. 2004, 181, 169–178. [Google Scholar] [CrossRef]
- Beltrán-Frutos, E.; Seco-Rovira, V.; Ferrer, C.; Madrid, J.F.; Sáez, F.J.; Canteras, M.; Pastor, L.M. Cellular changes in the hamster testicular interstitium with ageing and after exposure to short photoperiod. Reprod. Fertil. Dev. 2016, 28, 838–851. [Google Scholar] [CrossRef]
- Beltrán-Frutos, E.; Seco-Rovira, V.; Martínez-Hernández, J.; Ferrer, C.; Pastor, L.M. Loss of hamster Leydig cells during regression after exposure to a short photoperiod. Reprod. Fertil. Dev. 2018, 30, 1137–1144. [Google Scholar] [CrossRef]
- Ferrer, C.; Beltrán-Frutos, E.; Seco-Rovira, V.; Martínez-Hernández, J.; Freire-Brito, L.; Bonet, S.; Pinart, E.; Pastor, L.M. Cellular death of Leydig cells by necroptosis in hamster and boar testes. Histol. Histopathol. 2024, 39 (Suppl. 1), 117. [Google Scholar]
- Rebourcet, D.; O’Shaughnessy, P.J.; Monteiro, A.; Milne, L.; Cruickshanks, L.; Jeffrey, N.; Guillou, F.; Freeman, T.C.; Mitchell, R.T.; Smith, L.B. Sertoli cells maintain Leydig cell number and peritubular myoid cell activity in the adult mouse testis. PLoS ONE 2014, 9, e105687. [Google Scholar] [CrossRef] [PubMed]
- Beltrán-Frutos, E.; Ríos, A.; Freire-Brito, L.; Seco-Rovira, V.; Oliveira, P.F.; Martínez-Hernández, J.; Alves, M.; Pastor, L.M. Leydig cells of intratesticular pathways interstitium of Syrian hamster. Histol. Histopathol. 2024, 39 (Suppl. 1), 119. [Google Scholar]





Disclaimer/Publisher’s Note: The statements, opinions and data contained in all publications are solely those of the individual author(s) and contributor(s) and not of MDPI and/or the editor(s). MDPI and/or the editor(s) disclaim responsibility for any injury to people or property resulting from any ideas, methods, instructions or products referred to in the content. |
© 2025 by the authors. Licensee MDPI, Basel, Switzerland. This article is an open access article distributed under the terms and conditions of the Creative Commons Attribution (CC BY) license (https://creativecommons.org/licenses/by/4.0/).
Share and Cite
Seco-Rovira, V.; Beltrán-Frutos, E.; Martínez-Hernández, J.; Madrid, J.F.; Pastor, L.M. The Terminal Segment of the Seminiferous Tubule: The Current Discovery of Its Morphofunctional Importance in Mammals. Cells 2025, 14, 305. https://doi.org/10.3390/cells14040305
Seco-Rovira V, Beltrán-Frutos E, Martínez-Hernández J, Madrid JF, Pastor LM. The Terminal Segment of the Seminiferous Tubule: The Current Discovery of Its Morphofunctional Importance in Mammals. Cells. 2025; 14(4):305. https://doi.org/10.3390/cells14040305
Chicago/Turabian StyleSeco-Rovira, Vicente, Ester Beltrán-Frutos, Jesús Martínez-Hernández, Juan Francisco Madrid, and Luis Miguel Pastor. 2025. "The Terminal Segment of the Seminiferous Tubule: The Current Discovery of Its Morphofunctional Importance in Mammals" Cells 14, no. 4: 305. https://doi.org/10.3390/cells14040305
APA StyleSeco-Rovira, V., Beltrán-Frutos, E., Martínez-Hernández, J., Madrid, J. F., & Pastor, L. M. (2025). The Terminal Segment of the Seminiferous Tubule: The Current Discovery of Its Morphofunctional Importance in Mammals. Cells, 14(4), 305. https://doi.org/10.3390/cells14040305

