The Autocrine Impact of Nerve Growth Factor on Sheep Uterine Epithelial Cells
Abstract
1. Introduction
2. Materials and Methods
2.1. Animal Enrollment and Experimental Workflow
2.2. Creation of 2D Endometrial Model: Isolation, Growth, and Maintenance of SELECs
2.3. Characterization of Tight Junction
2.4. Cell-Based Functional In Vitro Assays
- − A total pf 0.36 nM NGF (Miltenyi Biotec, Bologna, Italy) was chosen based on previous literature [24], and preliminary in vitro assays were conducted confirming its effectiveness in activating NTRK1.
- − A total of 10 μM NTRK1 antagonist (Tocris Bioscience, Bristol, UK) was dissolved in DMSO; its concentration was selected based on previously published literature [25,26], and validated through in vitro assays to verify its compatibility with the SELEC model. NGF was applied 30 min after the antagonist treatment.
2.5. Assessment of Cell Viability
2.6. PGE2 and PGF2α Analyses in SELECs Culture Medium
2.7. SELEC mRNA Expression Signatures
2.8. Relative Levels of NGF Protein in SELEC
2.9. Statistical Analyses
3. Results
3.1. SELEC Viability and Tight Junction Integrity
3.2. Prostaglandin Secretion in the Culture Medium
3.3. mRNA Expression Signatures in SELECs
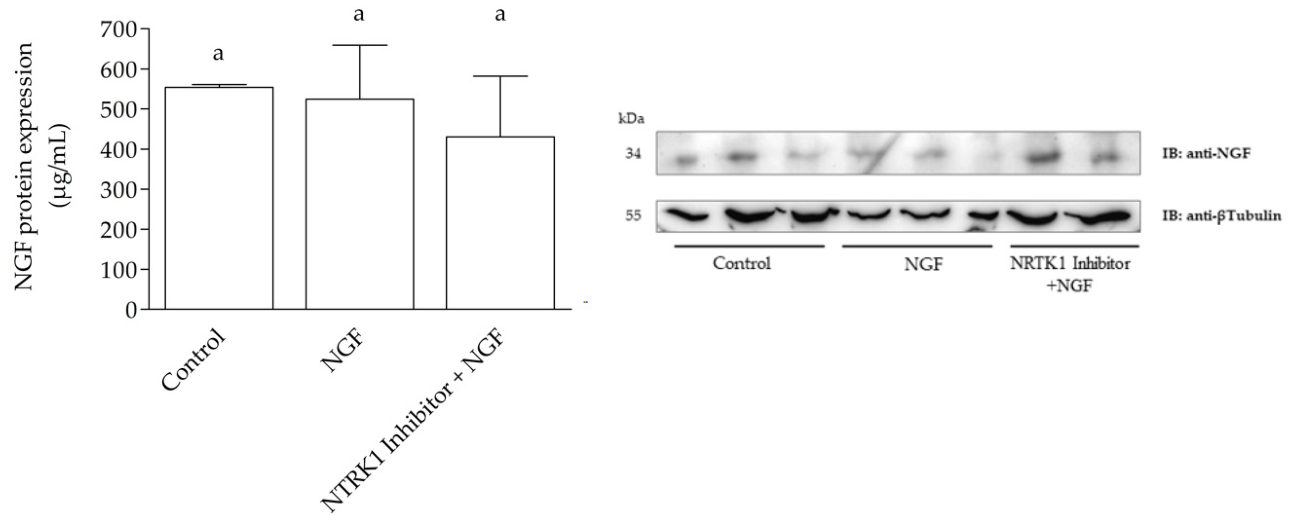
3.4. NGF Protein Levels in SELECs
4. Discussion
5. Conclusions
Author Contributions
Funding
Institutional Review Board Statement
Informed Consent Statement
Data Availability Statement
Acknowledgments
Conflicts of Interest
References
- Ferraguti, G.; Fanfarillo, F.; Tarani, L.; Blaconà, G.; Tarani, F.; Barbato, C.; Minni, A.; Ralli, M.; Francati, S.; Greco, A.; et al. NGF and the Male Reproductive System: Potential Clinical Applications in Infertility. Int. J. Mol. Sci. 2022, 23, 13127. [Google Scholar] [CrossRef] [PubMed]
- Dissen, G.A.; Romero, C.; Hirshfield, A.N.; Ojeda, S.R. Nerve Growth Factor Is Required for Early Follicular Development in the Mammalian Ovary. Endocrinology 2001, 142, 2078–2086. [Google Scholar] [CrossRef]
- Bjorling, D.E.; Beckman, M.; Clayton, M.K.; Wang, Z.-Y. Modulation of Nerve Growth Factor in Peripheral Organs by Estrogen and Progesterone. Neuroscience 2002, 110, 155–167. [Google Scholar] [CrossRef] [PubMed]
- Garcia-Garcia, R.M.; Arias-Alvarez, M.; Sanchez-Rodriguez, A.; Lorenzo, P.L.; Rebollar, P.G. Role of Nerve Growth Factor in the Reproductive Physiology of Female Rabbits: A Review. Theriogenology 2020, 150, 321–328. [Google Scholar] [CrossRef]
- Lindholm, D.; Heumann, R.; Borasio, G.D.; Thoenen, H. Nerve Growth Factor (NGF): Physiological Functions and Regulation of Its Synthesis. In Molecular Basis of Membrane-Associated Diseases; Azzi, A., Drahota, Z., Papa, S., Eds.; Springer: Berlin/Heidelberg, Germany, 1989; pp. 22–28. ISBN 978-3-642-74417-4. [Google Scholar]
- Mercati, F.; Guelfi, G.; Bufalari, A.; Dall’Aglio, C.; Suvieri, C.; Cocci, P.; Palermo, F.A.; Anipchenko, P.; Capaccia, C.; Cenci-Goga, B.; et al. From Gene to Protein: Unraveling the Reproductive Blueprint of Male Grey Squirrels via Nerve Growth Factor (NGF) and Cognate Receptors. Animals 2024, 14, 3318. [Google Scholar] [CrossRef]
- Perrone, L.; Paladino, S.; Mazzone, M.; Nitsch, L.; Gulisano, M.; Zurzolo, C. Functional Interaction between p75NTR and TrkA: The Endocytic Trafficking of p75NTR Is Driven by TrkA and Regulates TrkA-Mediated Signalling. Biochem. J. 2005, 385, 233–241. [Google Scholar] [CrossRef] [PubMed]
- Jiang, Y.; Chen, G.; Zhang, Y.; Lu, L.; Liu, S.; Cao, X. Nerve Growth Factor Promotes TLR4 Signaling-Induced Maturation of Human Dendritic Cells In Vitro through Inducible p75NTR 1. J. Immunol. 2007, 179, 6297–6304. [Google Scholar] [CrossRef]
- Gargiulo, S.; Gamba, P.; Testa, G.; Rossin, D.; Biasi, F.; Poli, G.; Leonarduzzi, G. Relation between TLR4/NF-κB Signaling Pathway Activation by 27-hydroxycholesterol and 4-hydroxynonenal, and Atherosclerotic Plaque Instability. Aging Cell 2015, 14, 569–581. [Google Scholar] [CrossRef]
- Yan, B.; Yu, X.; Cai, X.; Huang, X.; Xie, B.; Lian, D.; Chen, J.; Li, W.; Lin, Y.; Ye, J.; et al. A Review: The Significance of Toll-Like Receptors 2 and 4, and NF-κB Signaling in Endothelial Cells during Atherosclerosis. Front. Biosci.-Landmark 2024, 29, 161. [Google Scholar] [CrossRef]
- Zhao, B.; Niu, X.; Huang, S.; Yang, J.; Wei, Y.; Wang, X.; Wang, J.; Wang, Y.; Guo, X. TLR4 Agonist and Hypoxia Synergistically Promote the Formation of TLR4/NF-κB/HIF-1α Loop in Human Epithelial Ovarian Cancer. Anal. Cell. Pathol. 2022, 2022, 1–19. [Google Scholar] [CrossRef]
- Riddell, J.R.; Maier, P.; Sass, S.N.; Moser, M.T.; Foster, B.A.; Gollnick, S.O. Peroxiredoxin 1 Stimulates Endothelial Cell Expression of VEGF via TLR4 Dependent Activation of HIF-1α. PLoS ONE 2012, 7, e50394. [Google Scholar] [CrossRef] [PubMed]
- Stewart, J.L.; Canisso, I.F.; Ellerbrock, R.E.; Mercadante, V.R.G.; Lima, F.S. Nerve Growth Factor-β Production in the Bull: Gene Expression, Immunolocalization, Seminal Plasma Constitution, and Association with Sire Conception Rates. Anim. Reprod. Sci. 2018, 197, 335–342. [Google Scholar] [CrossRef]
- Mayoral Andrade, G.; Vásquez Martínez, G.; Pérez-Campos Mayoral, L.; Hernández-Huerta, M.T.; Zenteno, E.; Pérez-Campos Mayoral, E.; Martínez Cruz, M.; Martínez Cruz, R.; Matias-Cervantes, C.A.; Meraz Cruz, N.; et al. Molecules and Prostaglandins Related to Embryo Tolerance. Front. Immunol. 2020, 11, 555414. [Google Scholar] [CrossRef]
- Ruiz-Conca, M.; Gardela, J.; Martínez, C.A.; Wright, D.; López-Bejar, M.; Rodríguez-Martínez, H.; Álvarez-Rodríguez, M. Natural Mating Differentially Triggers Expression of Glucocorticoid Receptor (NR3C1)-Related Genes in the Preovulatory Porcine Female Reproductive Tract. Int. J. Mol. Sci. 2020, 21, 4437. [Google Scholar] [CrossRef] [PubMed]
- Edson, M.A.; Nagaraja, A.K.; Matzuk, M.M. The Mammalian Ovary from Genesis to Revelation. Endocr. Rev. 2009, 30, 624–712. [Google Scholar] [CrossRef] [PubMed]
- Vastrad, B.; Vastrad, C. Screening and Identification of Key Biomarkers Associated with Endometriosis Using Bioinformatics and Next Generation Sequencing Data Analysis. bioRxiv 2024. [Google Scholar] [CrossRef]
- Salas, C.; Julio-Pieper, M.; Valladares, M.; Pommer, R.; Vega, M.; Mastronardi, C.; Kerr, B.; Ojeda, S.R.; Lara, H.E.; Romero, C. Nerve Growth Factor-Dependent Activation of trkA Receptors in the Human Ovary Results in Synthesis of Follicle-Stimulating Hormone Receptors and Estrogen Secretion. J. Clin. Endocrinol. Metab. 2006, 91, 2396–2403. [Google Scholar] [CrossRef] [PubMed]
- Maranesi, M.; Boiti, C.; Zerani, M. Nerve Growth Factor (NGF) and Animal Reproduction. Adv. Exp. Med. Biol. 2021, 1331, 277–287. [Google Scholar] [CrossRef]
- Garcia-Garcia, R.M.; Masdeu, M.D.M.; Sanchez Rodriguez, A.; Millan, P.; Arias-Alvarez, M.; Sakr, O.G.; Bautista, J.M.; Castellini, C.; Lorenzo, P.L.; Rebollar, P.G. β-Nerve Growth Factor Identification in Male Rabbit Genital Tract and Seminal Plasma and Its Role in Ovulation Induction in Rabbit Does. Ital. J. Anim. Sci. 2018, 17, 442–453. [Google Scholar] [CrossRef]
- Gajardo, G.; Paiva, L.; Ulloa-Leal, C.; Valderrama, X.; López, G.; Carrasco, A.; Hidalgo, A.I.; Silva, M.E.; Palma, P.I.; Ratto, M.H. Administration of Beta-Nerve Growth Factor during the Preovulatory Stage Improves Endocrine and Luteal Function in Dairy Heifers. Animals 2023, 13, 1004. [Google Scholar] [CrossRef]
- El Allali, K.; El Bousmaki, N.; Ainani, H.; Simonneaux, V. Effect of the Camelid’s Seminal Plasma Ovulation-Inducing Factor/β-NGF: A Kisspeptin Target Hypothesis. Front. Vet. Sci. 2017, 4, 99. [Google Scholar] [CrossRef]
- Imafuku, K.; Iwata, H.; Natsuga, K.; Okumura, M.; Kobayashi, Y.; Kitahata, H.; Kubo, A.; Nagayama, M.; Ujiie, H. Zonula Occludens-1 Distribution and Barrier Functions Are Affected by Epithelial Proliferation and Turnover Rates. Cell Prolif. 2023, 56, e13441. [Google Scholar] [CrossRef] [PubMed]
- Marchetti, L.; Callegari, A.; Luin, S.; Signore, G.; Viegi, A.; Beltram, F.; Cattaneo, A. Ligand Signature in the Membrane Dynamics of Single TrkA Receptor Molecules. J. Cell Sci. 2013, 126, 4445–4456. [Google Scholar] [CrossRef]
- Lee, H.J.; Moon, Y.; Choi, J.; Heo, J.D.; Kim, S.; Nallapaneni, H.K.; Chin, Y.-W.; Lee, J.; Han, S.-Y. Characterization of KRC-108 as a TrkA Kinase Inhibitor with Anti-Tumor Effects. Biomol. Ther. 2022, 30, 360–367. [Google Scholar] [CrossRef]
- Maranesi, M.; Parillo, F.; Leonardi, L.; Rebollar, P.G.; Alonso, B.; Petrucci, L.; Gobbetti, A.; Boiti, C.; Arruda-Alencar, J.; Moura, A.; et al. Expression of Nerve Growth Factor and Its Receptors in the Uterus of Rabbits: Functional Involvement in Prostaglandin Synthesis. Domest. Anim. Endocrinol. 2016, 56, 20–28. [Google Scholar] [CrossRef]
- Bustin, S.A.; Benes, V.; Garson, J.A.; Hellemans, J.; Huggett, J.; Kubista, M.; Mueller, R.; Nolan, T.; Pfaffl, M.W.; Shipley, G.L.; et al. The MIQE Guidelines: Minimum Information for Publication of Quantitative Real-Time PCR Experiments. Clin. Chem. 2009, 55, 611–622. [Google Scholar] [CrossRef]
- Livak, K.J.; Schmittgen, T.D. Analysis of Relative Gene Expression Data Using Real-Time Quantitative PCR and the 2−ΔΔCT Method. Methods 2001, 25, 402–408. [Google Scholar] [CrossRef]
- Mantyh, P.W.; Koltzenburg, M.; Mendell, L.M.; Tive, L.; Shelton, D.L.; Warner, D.S. Antagonism of Nerve Growth Factor-TrkA Signaling and the Relief of Pain. Anesthesiology 2011, 115, 189–204. [Google Scholar] [CrossRef] [PubMed]
- Wang, B.; Wu, L.; Chen, J.; Dong, L.; Chen, C.; Wen, Z.; Hu, J.; Fleming, I.; Wang, D.W. Metabolism Pathways of Arachidonic Acids: Mechanisms and Potential Therapeutic Targets. Signal Transduct. Target. Ther. 2021, 6, 94. [Google Scholar] [CrossRef]
- Egashira, M.; Hirota, Y. Uterine Receptivity and Embryo–Uterine Interactions in Embryo Implantation: Lessons from Mice. Reprod. Med. Biol. 2013, 12, 127–132. [Google Scholar] [CrossRef] [PubMed]
- Puspita, R.D.; Rizal, D.M.; Syarif, R.A.; Sari, I.P. Role of COX-2 for Successful Embryo Implantation Process: A Mini-Review. Open Access Maced. J. Med. Sci. 2023, 11, 31–37. [Google Scholar] [CrossRef]
- Firmal, P.; Shah, V.K.; Chattopadhyay, S. Insight Into TLR4-Mediated Immunomodulation in Normal Pregnancy and Related Disorders. Front. Immunol. 2020, 11, 807. [Google Scholar] [CrossRef] [PubMed]
- Baldassarro, V.A.; Cescatti, M.; Rocco, M.L.; Aloe, L.; Lorenzini, L.; Giardino, L.; Calzà, L. Nerve Growth Factor Promotes Differentiation and Protects the Oligodendrocyte Precursor Cells from In Vitro Hypoxia/Ischemia. Front. Neurosci. 2023, 17, 1111170. [Google Scholar] [CrossRef]
- Chao, M.V. Neurotrophins and Their Receptors: A Convergence Point for Many Signalling Pathways. Nat. Rev. Neurosci. 2003, 4, 299–309. [Google Scholar] [CrossRef] [PubMed]
- Schwanhäusser, B.; Busse, D.; Li, N.; Dittmar, G.; Schuchhardt, J.; Wolf, J.; Chen, W.; Selbach, M. Global Quantification of Mammalian Gene Expression Control. Nature 2011, 473, 337–342. [Google Scholar] [CrossRef]
- Hines, J.; Groll, M.; Fahnestock, M.; Crews, C.M. Proteasome Inhibition by Fellutamide B Induces Nerve Growth Factor Synthesis. Chem. Biol. 2008, 15, 501–512. [Google Scholar] [CrossRef]
- Tringali, G.; Pizzoferrato, M.; Lisi, L.; Marinelli, S.; Buccarello, L.; Falsini, B.; Cattaneo, A.; Navarra, P. A Vicious NGF-p75NTR Positive Feedback Loop Exacerbates the Toxic Effects of Oxidative Damage in the Human Retinal Epithelial Cell Line ARPE-19. Int. J. Mol. Sci. 2023, 24, 16237. [Google Scholar] [CrossRef]
- Shvartsman, S.Y.; Hagan, M.P.; Yacoub, A.; Dent, P.; Wiley, H.S.; Lauffenburger, D.A. Autocrine Loops with Positive Feedback Enable Context-Dependent Cell Signaling. Am. J. Physiol.-Cell Physiol. 2002, 282, C545–C559. [Google Scholar] [CrossRef] [PubMed]
- Marsland, M.; Dowdell, A.; Jiang, C.C.; Wilmott, J.S.; Scolyer, R.A.; Zhang, X.D.; Hondermarck, H.; Faulkner, S. Expression of NGF/proNGF and Their Receptors TrkA, p75NTR and Sortilin in Melanoma. Int. J. Mol. Sci. 2022, 23, 4260. [Google Scholar] [CrossRef]
- Riccio, A.; Pierchala, B.A.; Ciarallo, C.L.; Ginty, D.D. An NGF-TrkA-Mediated Retrograde Signal to Transcription Factor CREB in Sympathetic Neurons. Science 1997, 277, 1097–1100. [Google Scholar] [CrossRef] [PubMed]
- Minnone, G.; De Benedetti, F.; Bracci-Laudiero, L. NGF and Its Receptors in the Regulation of Inflammatory Response. Int. J. Mol. Sci. 2017, 18, 1028. [Google Scholar] [CrossRef] [PubMed]
- Bullock, E.D.; Johnson, E.M. Nerve Growth Factor Induces the Expression of Certain Cytokine Genes and Bcl-2 in Mast Cells. J. Biol. Chem. 1996, 271, 27500–27508. [Google Scholar] [CrossRef]
- Ferraguti, G.; Terracina, S.; Tarani, L.; Fanfarillo, F.; Allushi, S.; Caronti, B.; Tirassa, P.; Polimeni, A.; Lucarelli, M.; Cavalcanti, L.; et al. Nerve Growth Factor and the Role of Inflammation in Tumor Development. Curr. Issues Mol. Biol. 2024, 46, 965–989. [Google Scholar] [CrossRef]
- Gyles, S.L.; Burns, C.J.; Whitehouse, B.J.; Sugden, D.; Marsh, P.J.; Persaud, S.J.; Jones, P.M. ERKs Regulate Cyclic AMP-Induced Steroid Synthesis through Transcription of the Steroidogenic Acute Regulatory (StAR) Gene. J. Biol. Chem. 2001, 276, 34888–34895. [Google Scholar] [CrossRef] [PubMed]
- Stocco, D.M.; Wang, X.; Jo, Y.; Manna, P.R. Multiple Signaling Pathways Regulating Steroidogenesis and Steroidogenic Acute Regulatory Protein Expression: More Complicated than We Thought. Mol. Endocrinol. 2005, 19, 2647–2659. [Google Scholar] [CrossRef]






| Gene Symbol | TaqMan ID | Sequence ID | Exons | Bp |
|---|---|---|---|---|
| NGF (nerve growth factor) | Cf02697134_s1 | NM_001194950.1 | 1 | 161 |
| NTRK1 (Neurotrophic Receptor Tyrosine Kinase 1) | Oa04767849_g1 | XM_027976575.1 | 14–15 | 114 |
| p75NTR (p75 neurotrophin receptor) | Oa04853013_m1 | XM_027974687.1 | 2–3 | 62 |
| TLR4 (Toll-Like Receptor 4) | Oa04656419_m1 | NM_001135930.1 | 1–2 | 108 |
| COX2 (cyclooxygenase 2) | Cf02625600_g1 | NM_001003354 | 4–5 | 90 |
| STAR (steroidogenic acute regulatory protein) | Oa04657047_m1 | NM_001009243.1 | 4–5 | 69 |
| ACTB (Beta-Actin) | Cf04931159_m1 | NM_001195845.2 | 1 | 52 |
| HPRT1 (Hypoxanthine Phosphoribosyltransferase 1) | Oa04825272_gH | XM_015105023.2 | 7–8 | 52 |
| TBP (TATA Binding Protein) | Oa04818075_m1 | XM_015097549.2 | 4–5 | 66 |
Disclaimer/Publisher’s Note: The statements, opinions and data contained in all publications are solely those of the individual author(s) and contributor(s) and not of MDPI and/or the editor(s). MDPI and/or the editor(s) disclaim responsibility for any injury to people or property resulting from any ideas, methods, instructions or products referred to in the content. |
© 2025 by the authors. Licensee MDPI, Basel, Switzerland. This article is an open access article distributed under the terms and conditions of the Creative Commons Attribution (CC BY) license (https://creativecommons.org/licenses/by/4.0/).
Share and Cite
Guelfi, G.; Pasquariello, R.; Dall’Aglio, C.; Mercati, F.; Suvieri, C.; Conte, C.; Capaccia, C.; Ratto, M.; Maranesi, M. The Autocrine Impact of Nerve Growth Factor on Sheep Uterine Epithelial Cells. Cells 2025, 14, 208. https://doi.org/10.3390/cells14030208
Guelfi G, Pasquariello R, Dall’Aglio C, Mercati F, Suvieri C, Conte C, Capaccia C, Ratto M, Maranesi M. The Autocrine Impact of Nerve Growth Factor on Sheep Uterine Epithelial Cells. Cells. 2025; 14(3):208. https://doi.org/10.3390/cells14030208
Chicago/Turabian StyleGuelfi, Gabriella, Rolando Pasquariello, Cecilia Dall’Aglio, Francesca Mercati, Chiara Suvieri, Carmela Conte, Camilla Capaccia, Marcelo Ratto, and Margherita Maranesi. 2025. "The Autocrine Impact of Nerve Growth Factor on Sheep Uterine Epithelial Cells" Cells 14, no. 3: 208. https://doi.org/10.3390/cells14030208
APA StyleGuelfi, G., Pasquariello, R., Dall’Aglio, C., Mercati, F., Suvieri, C., Conte, C., Capaccia, C., Ratto, M., & Maranesi, M. (2025). The Autocrine Impact of Nerve Growth Factor on Sheep Uterine Epithelial Cells. Cells, 14(3), 208. https://doi.org/10.3390/cells14030208

