SS18::SSX and BRD9 Modulate Synovial Sarcoma Differentiation
Highlights
- SS18::SSX and BRD9 mediate E-Cadherin repression through regulation of Snail and Slug.
- SS18::SSX stabilizes Snail protein by preventing proteasomal degradation.
- BRD9 controls key pathways governing synovial sarcoma differentiation.
- Multilayered regulation of EMT factors by SS18::SSX and BRD9 contributes to the cellular phenotype in synovial sarcoma.
Abstract
1. Introduction
2. Materials and Methods
2.1. Cell Lines
2.2. RNA Interference
2.3. Compounds
2.4. Transient SS18::SSX Fusion Gene Overexpression
2.5. Cell Lysis and Immunoblotting
2.6. RNA Isolation, cDNA Synthesis and Quantitative Reverse Transcription PCR
2.7. Nanostring Analysis
2.8. Single-Cell RNA Sequencing
2.8.1. Data Source
2.8.2. Seurat Object Construction and Integration
2.8.3. Cluster Assignment
2.8.4. AUCell Analysis
2.8.5. Heatmap Analysis
2.8.6. Differential Gene Expression Analysis
2.9. Immunohistochemistry
3. Results
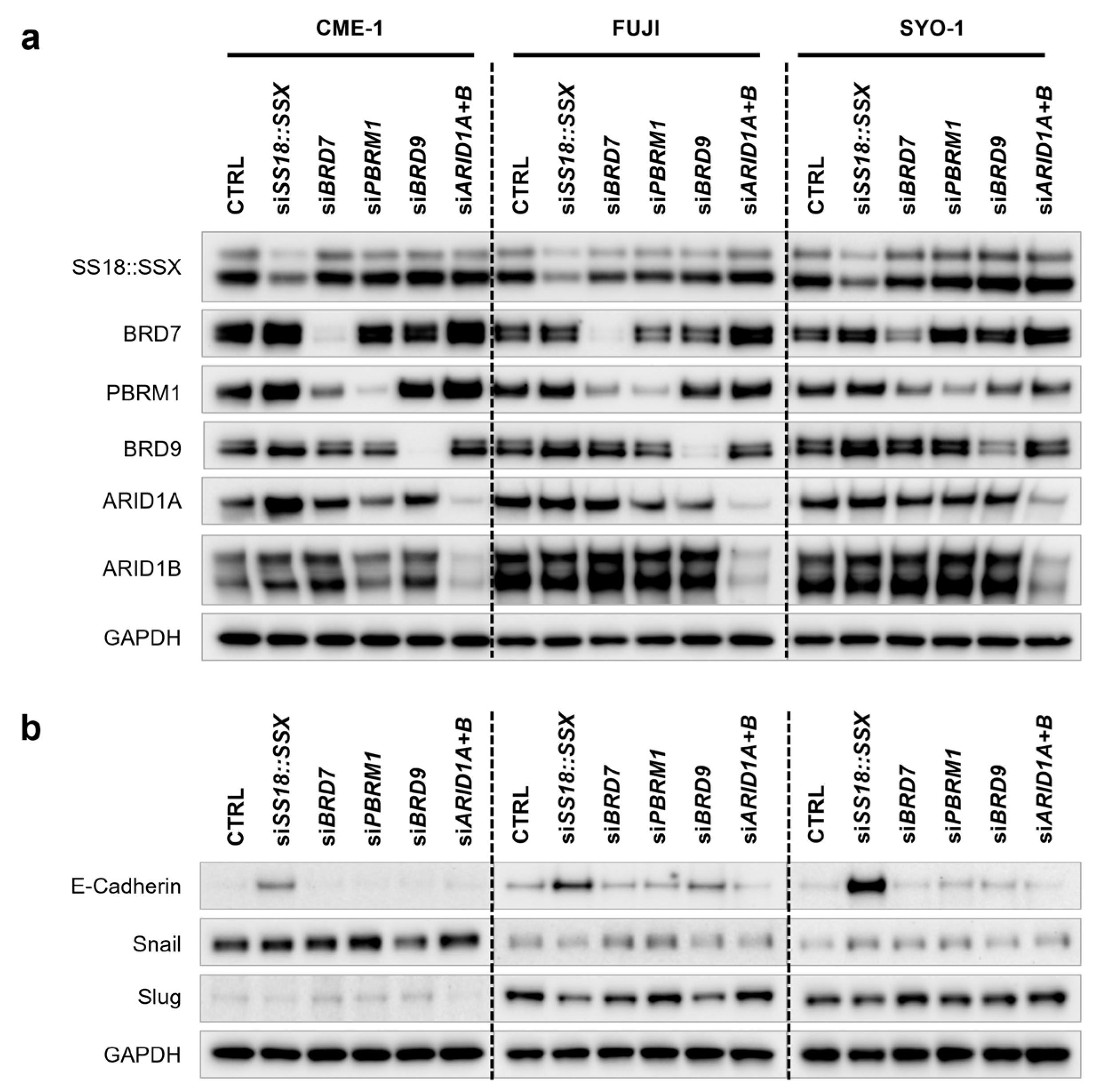
3.1. SS18::SSX and BRD9 Regulate EMT/MET Signaling in SySa Cells
3.2. Expressions of E-Cadherin, Snail and Slug Are Modulated by SS18::SSX and BRD9
3.3. SS18::SSX Stabilizes Snail by Preventing Its Proteosomal Degradation
3.4. Single-Cell RNA Sequencing Reveals Reduced Expression of BRD9 in Biphasic Tumors
4. Discussion
4.1. The Role of Different BAF Complexes in SySa Differentiation
4.2. SS18::SSX Mediates E-Cadherin Repression in SySa
4.3. Regulation of Snail and Slug Protein Levels by SS18::SSX
4.4. A Potential Role of BRD9 (GBAF) in Regulating EMT/MET in SySa
5. Conclusions
Supplementary Materials
Author Contributions
Funding
Institutional Review Board Statement
Informed Consent Statement
Data Availability Statement
Acknowledgments
Conflicts of Interest
Correction Statement
Abbreviations
| SySa | Synovial Sarcoma |
| EMT/MET | Epithelial-to-Mesenchymal-Transition/Mesenchymal-to-Epithelial-Transition |
| FCS | Fetal Calf Serum |
| DMEM | Dulbecco’s Modified Eagle Medium |
| RPMI 1640 | Roswell Park Memorial Institute Medium 1640 |
| EV | Empty Vector |
References
- Venkatramani, R.; Xue, W.; Randall, R.L.; Wolden, S.; Anderson, J.; Lopez-Terrada, D.; Black, J.; Kao, S.C.; Shulkin, B.; Ostrenga, A.; et al. Synovial Sarcoma in Children, Adolescents, and Young Adults: A Report From the Children’s Oncology Group ARST0332 Study. J. Clin. Oncol. 2021, 39, 3927–3937. [Google Scholar] [CrossRef] [PubMed]
- Ferrari, A.; Gronchi, A.; Casanova, M.; Meazza, C.; Gandola, L.; Collini, P.; Lozza, L.; Bertulli, R.; Olmi, P.; Casali, P.G. Synovial sarcoma: A retrospective analysis of 271 patients of all ages treated at a single institution. Cancer 2004, 101, 627–634. [Google Scholar] [CrossRef] [PubMed]
- Neel, D.V.; Ma, C.; Collins, N.B.; Hornick, J.L.; Demetri, G.D.; Shulman, D.S. Derivation and validation of a risk classification tree for patients with synovial sarcoma. Cancer Med. 2023, 12, 170–178. [Google Scholar] [CrossRef] [PubMed]
- Blay, J.-Y.; von Mehren, M.; Jones, R.; Martin-Broto, J.; Stacchiotti, S.; Bauer, S.; Gelderblom, H.; Orbach, D.; Hindi, N.; Tos, A.D.; et al. Synovial sarcoma: Characteristics, challenges, and evolving therapeutic strategies. ESMO Open 2023, 8, 101618. [Google Scholar] [CrossRef] [PubMed]
- Wang, A.X.; Jones, K.B.; Nielsen, T.O. Molecular and epigenetic oncogenesis in synovial sarcoma: Implications for cancer biology, diagnosis and treatment. Oncogene 2025, 44, 3527–3536. [Google Scholar] [CrossRef] [PubMed]
- Clark, J.; Rocques, P.J.; Crew, A.J.; Gill, S.; Shipley, J.; Chan, A.M.-L.; Gusterson, B.A.; Cooper, C.S. Identification of novel genes, SYT and SSX, involved in the t(X;18)(p11.2;q11.2) translocation found in human synovial sarcoma. Nat. Genet. 1994, 7, 502–508. [Google Scholar] [CrossRef] [PubMed]
- Thway, K.; Fisher, C. Synovial sarcoma: Defining features and diagnostic evolution. Ann. Diagn. Pathol. 2014, 18, 369–380. [Google Scholar] [CrossRef] [PubMed]
- WHO classification of Tumours Editorial Board (Ed.) Soft Tissue and Bone Tumours: WHO Classification of Tumours, 5th ed.; WHO: Geneva, Switzerland, 2020; Volume 3. [Google Scholar]
- Haldar, M.; Hancock, J.D.; Coffin, C.M.; Lessnick, S.L.; Capecchi, M.R. A conditional mouse model of synovial sarcoma: Insights into a myogenic origin. Cancer Cell 2007, 11, 375–388. [Google Scholar] [CrossRef] [PubMed]
- Saito, T.; Nagai, M.; Ladanyi, M. SYT-SSX1 and SYT-SSX2 interfere with repression of E-cadherin by snail and slug: A potential mechanism for aberrant mesenchymal to epithelial transition in human synovial sarcoma. Cancer Res. 2006, 66, 6919–6927. [Google Scholar] [CrossRef] [PubMed]
- Naka, N.; Takenaka, S.; Araki, N.; Miwa, T.; Hashimoto, N.; Yoshioka, K.; Joyama, S.; Hamada, K.-I.; Tsukamoto, Y.; Tomita, Y.; et al. Synovial sarcoma is a stem cell malignancy. Stem Cells 2010, 28, 1119–1131. [Google Scholar] [CrossRef]
- De Logu, F.; Ugolini, F.; Caporalini, C.; Palomba, A.; Simi, S.; Portelli, F.; Campanacci, D.A.; Beltrami, G.; Massi, D.; Nassini, R. TRPA1 Expression in Synovial Sarcoma May Support Neural Origin. Biomolecules 2020, 10, 1446. [Google Scholar] [CrossRef] [PubMed]
- Chen, Y.; Su, Y.; Cao, X.; Siavelis, I.; Leo, I.R.; Zeng, J.; Tsagkozis, P.; Hesla, A.C.; Papakonstantinou, A.; Liu, X.; et al. Molecular Profiling Defines Three Subtypes of Synovial Sarcoma. Adv. Sci. 2024, 11, e2404510. [Google Scholar] [CrossRef] [PubMed]
- Jerby-Arnon, L.; Neftel, C.; Shore, M.E.; Weisman, H.R.; Mathewson, N.D.; McBride, M.J.; Haas, B.; Izar, B.; Volorio, A.; Boulay, G.; et al. Opposing immune and genetic mechanisms shape oncogenic programs in synovial sarcoma. Nat. Med. 2021, 27, 289–300. [Google Scholar] [CrossRef] [PubMed]
- Saha, D.; Animireddy, S.; Bartholomew, B. The SWI/SNF ATP-dependent chromatin remodeling complex in cell lineage priming and early development. Biochem. Soc. Trans. 2024, 52, 603–616. [Google Scholar] [CrossRef] [PubMed]
- Alver, B.H.; Kim, K.H.; Lu, P.; Wang, X.; Manchester, H.E.; Wang, W.; Haswell, J.R.; Park, P.J.; Roberts, C.W.M. The SWI/SNF chromatin remodelling complex is required for maintenance of lineage specific enhancers. Nat. Commun. 2017, 8, 14648. [Google Scholar] [CrossRef] [PubMed]
- Cairns, B.R.; Kim, Y.J.; Sayre, M.H.; Laurent, B.C.; Kornberg, R.D. A multisubunit complex containing the SWI1/ADR6, SWI2/SNF2, SWI3, SNF5, and SNF6 gene products isolated from yeast. Proc. Natl. Acad. Sci. USA 1994, 91, 1950–1954. [Google Scholar] [CrossRef] [PubMed]
- Kadoch, C.; Crabtree, G.R. Reversible disruption of mSWI/SNF (BAF) complexes by the SS18-SSX oncogenic fusion in synovial sarcoma. Cell 2013, 153, 71–85. [Google Scholar] [CrossRef] [PubMed]
- Li, J.; Mulvihill, T.S.; Li, L.; Barrott, J.J.; Nelson, M.L.; Wagner, L.; Lock, I.C.; Pozner, A.; Lambert, S.L.; Ozenberger, B.B.; et al. A Role for SMARCB1 in Synovial Sarcomagenesis Reveals That SS18-SSX Induces Canonical BAF Destruction. Cancer Discov. 2021, 11, 2620–2637. [Google Scholar] [CrossRef] [PubMed]
- Michel, B.C.; D’avino, A.R.; Cassel, S.H.; Mashtalir, N.; McKenzie, Z.M.; McBride, M.J.; Valencia, A.M.; Zhou, Q.; Bocker, M.; Soares, L.M.M.; et al. A non-canonical SWI/SNF complex is a synthetic lethal target in cancers driven by BAF complex perturbation. Nat. Cell Biol. 2018, 20, 1410–1420. [Google Scholar] [CrossRef] [PubMed]
- Banito, A.; Li, X.; Laporte, A.N.; Roe, J.-S.; Sanchez-Vega, F.; Huang, C.-H.; Dancsok, A.R.; Hatzi, K.; Chen, C.-C.; Tschaharganeh, D.F.; et al. The SS18-SSX Oncoprotein Hijacks KDM2B-PRC1.1 to Drive Synovial Sarcoma. Cancer Cell 2018, 33, 527–541.e8. [Google Scholar] [CrossRef] [PubMed]
- Benabdallah, N.S.; Dalal, V.; Scott, R.W.; Marcous, F.; Sotiriou, A.; Kommoss, F.K.F.; Pejkovska, A.; Gaspar, L.; Wagner, L.; Sánchez-Rivera, F.J.; et al. Aberrant gene activation in synovial sarcoma relies on SSX specificity and increased PRC1.1 stability. Nat. Struct. Mol. Biol. 2023, 30, 1640–1652. [Google Scholar] [CrossRef] [PubMed]
- Tong, Z.; Ai, H.; Xu, Z.; He, K.; Chu, G.-C.; Shi, Q.; Deng, Z.; Xue, Q.; Sun, M.; Du, Y.; et al. Synovial sarcoma X breakpoint 1 protein uses a cryptic groove to selectively recognize H2AK119Ub nucleosomes. Nat. Struct. Mol. Biol. 2024, 31, 300–310. [Google Scholar] [CrossRef] [PubMed]
- Saito, T.; Oda, Y.; Sugimachi, K.; Kawaguchi, K.-I.; Tamiya, S.; Tanaka, K.; Matsuda, S.; Sakamoto, A.; Iwamoto, Y.; Tsuneyoshi, M. E-cadherin gene mutations frequently occur in synovial sarcoma as a determinant of histological features. Am. J. Pathol. 2001, 159, 2117–2124. [Google Scholar] [CrossRef] [PubMed]
- Saito, T.; Oda, Y.; Kawaguchi, K.-I.; Sugimachi, K.; Yamamoto, H.; Tateishi, N.; Tanaka, K.; Matsuda, S.; Iwamoto, Y.; Ladanyi, M.; et al. E-cadherin mutation and Snail overexpression as alternative mechanisms of E-cadherin inactivation in synovial sarcoma. Oncogene 2004, 23, 8629–8638. [Google Scholar] [CrossRef] [PubMed]
- Subramaniam, M.M.; Navarro, S.; Llombart-Bosch, A. Immunohistochemical study of correlation between histologic subtype and expression of epithelial-mesenchymal transition-related proteins in synovial sarcomas. Arch. Pathol. Lab. Med. 2011, 135, 1001–1009. [Google Scholar] [CrossRef] [PubMed]
- Trautmann, M.; Sievers, E.; Aretz, S.; Kindler, D.; Michels, S.; Friedrichs, N.; Renner, M.; Kirfel, J.; Steiner, S.; Huss, S.; et al. SS18-SSX fusion protein-induced Wnt/β-catenin signaling is a therapeutic target in synovial sarcoma. Oncogene 2014, 33, 5006–5016. [Google Scholar] [CrossRef] [PubMed]
- Ishii, M.; Suehara, Y.; Sano, K.; Kohsaka, S.; Hayashi, T.; Kazuno, S.; Akaike, K.; Mukaihara, K.; Kim, Y.; Okubo, T.; et al. Proteomic signatures corresponding to the SS18/SSX fusion gene in synovial sarcoma. Oncotarget 2018, 9, 37509–37519. [Google Scholar] [CrossRef] [PubMed]
- Tamaki, S.; Fukuta, M.; Sekiguchi, K.; Jin, Y.; Nagata, S.; Hayakawa, K.; Hineno, S.; Okamoto, T.; Watanabe, M.; Woltjen, K.; et al. SS18-SSX, the Oncogenic Fusion Protein in Synovial Sarcoma, Is a Cellular Context-Dependent Epigenetic Modifier. PLoS ONE 2015, 10, e0142991. [Google Scholar] [CrossRef] [PubMed]
- Michels, S.; Trautmann, M.; Sievers, E.; Kindler, D.; Huss, S.; Renner, M.; Friedrichs, N.; Kirfel, J.; Steiner, S.; Endl, E.; et al. SRC signaling is crucial in the growth of synovial sarcoma cells. Cancer Res. 2013, 73, 2518–2528. [Google Scholar] [CrossRef] [PubMed]
- Gavish, A.; Tyler, M.; Greenwald, A.C.; Hoefflin, R.; Simkin, D.; Tschernichovsky, R.; Darnell, N.G.; Somech, E.; Barbolin, C.; Antman, T.; et al. Hallmarks of transcriptional intratumour heterogeneity across a thousand tumours. Nature 2023, 618, 598–606. [Google Scholar] [CrossRef] [PubMed]
- R Core Team. R: A Language and Environment for Statistical Computing; R Foundation for Statistical Computing: Vienna, Austria, 2019. [Google Scholar]
- Butler, A.; Hoffman, P.; Smibert, P.; Papalexi, E.; Satija, R. Integrating single-cell transcriptomic data across different conditions, technologies, and species. Nat. Biotechnol. 2018, 36, 411–420. [Google Scholar] [CrossRef] [PubMed]
- Marsh, S. scCustomize: Custom Visualizations & Functions for Streamlined Analyses of Single Cell Sequencing: R Package, version 3.2.0; R Core Team: Vienna, Austria, 2025. Available online: https://github.com/samuel-marsh/scCustomize (accessed on 1 December 2025).
- Hao, Y.; Stuart, T.; Kowalski, M.H.; Choudhary, S.; Hoffman, P.; Hartman, A.; Srivastava, A.; Molla, G.; Madad, S.; Fernandez-Granda, C.; et al. Dictionary learning for integrative, multimodal and scalable single-cell analysis. Nat. Biotechnol. 2024, 42, 293–304. [Google Scholar] [CrossRef] [PubMed]
- Kuntze, A.; Meliß, R.R.; Ermert, L.; Falkenberg, K.D.; Puller, A.C.; Trautmann, M.; Hartmann, W.; Wardelmann, E. Superficial fibromas with CTNNB1 mutation. Genes Chromosomes Cancer 2024, 63, e23247. [Google Scholar] [CrossRef] [PubMed]
- McBride, M.J.; Pulice, J.L.; Beird, H.C.; Ingram, D.R.; D’Avino, A.R.; Shern, J.F.; Charville, G.W.; Hornick, J.L.; Nakayama, R.T.; Garcia-Rivera, E.M.; et al. The SS18-SSX Fusion Oncoprotein Hijacks BAF Complex Targeting and Function to Drive Synovial Sarcoma. Cancer Cell 2018, 33, 1128–1141.e7. [Google Scholar] [CrossRef] [PubMed]
- Lee, D.H.; Goldberg, A.L. Selective inhibitors of the proteasome-dependent and vacuolar pathways of protein degradation in Saccharomyces cerevisiae. J. Biol. Chem. 1996, 271, 27280–27284. [Google Scholar] [CrossRef] [PubMed]
- Xu, M.; Zhang, Z.; He, X.; Zhang, P.; Zhang, H.; Xia, Y.; Zhou, J.; Liu, J.; Ye, X.; Liu, J. Mechanistic insights into proteasome inhibitor MG132 induced apoptosis in melanoma A375 cells. Sci. Rep. 2025, 15, 14731. [Google Scholar] [CrossRef] [PubMed]
- Alfert, A.; Moreno, N.; Kerl, K. The BAF complex in development and disease. Epigenetics Chromatin 2019, 12, 19. [Google Scholar] [CrossRef] [PubMed]
- Zhang, Y.; Nomura, M.; Nishimura, K.; Zang, W.; Koike, Y.; Xiao, M.; Ito, H.; Fukumoto, M.; Tanaka, A.; Aoyama, Y.; et al. In-depth functional analysis of BRD9 in fetal hematopoiesis reveals context-dependent roles. iScience 2025, 28, 112010. [Google Scholar] [CrossRef] [PubMed]
- Brien, G.L.; Remillard, D.; Shi, J.; Hemming, M.L.; Chabon, J.; Wynne, K.; Dillon, E.T.; Cagney, G.; Van Mierlo, G.; Baltissen, M.P.; et al. Targeted degradation of BRD9 reverses oncogenic gene expression in synovial sarcoma. eLife 2018, 7, e41305. [Google Scholar] [CrossRef] [PubMed]
- Bolós, V.; Peinado, H.; Pérez-Moreno, M.A.; Fraga, M.F.; Esteller, M.; Cano, A. The transcription factor Slug represses E-cadherin expression and induces epithelial to mesenchymal transitions: A comparison with Snail and E47 repressors. J. Cell Sci. 2003, 116, 499–511. [Google Scholar] [CrossRef] [PubMed]
- Moreno-Bueno, G.; Cubillo, E.; Sarrió, D.; Peinado, H.; RodrígUez-Pinilla, S.M.; Villa, S.; Bolós, V.; Jordá, M.; Fabra, A.; Portillo, F.; et al. Genetic profiling of epithelial cells expressing E-cadherin repressors reveals a distinct role for Snail, Slug, and E47 factors in epithelial-mesenchymal transition. Cancer Res. 2006, 66, 9543–9556. [Google Scholar] [CrossRef] [PubMed]
- Gey, G. Tissue culture studies of the proliferative capacity of cervical carcinoma and normal epithelium. Cancer Res. 1952, 12, 264–265. [Google Scholar]
- Graham, F.L.; Smiley, J.; Russell, W.C.; Nairn, R. Characteristics of a human cell line transformed by DNA from human adenovirus type 5. J. Gen. Virol. 1977, 36, 59–74. [Google Scholar] [CrossRef] [PubMed]
- Gatchalian, J.; Malik, S.; Ho, J.; Lee, D.-S.; Kelso, T.W.R.; Shokhirev, M.N.; Dixon, J.R.; Hargreaves, D.C. A non-canonical BRD9-containing BAF chromatin remodeling complex regulates naive pluripotency in mouse embryonic stem cells. Nat. Commun. 2018, 9, 5139. [Google Scholar] [CrossRef] [PubMed]
- De Cock, L.; Paternostro, F.; Vanleeuw, U.; Wyns, K.; Laenen, A.; Lee, C.-J.; Sciot, R.; Wozniak, A.; Schöffski, P. Potentially actionable targets in synovial sarcoma: A tissue microarray study. Transl. Oncol. 2024, 48, 102057. [Google Scholar] [CrossRef] [PubMed]






Disclaimer/Publisher’s Note: The statements, opinions and data contained in all publications are solely those of the individual author(s) and contributor(s) and not of MDPI and/or the editor(s). MDPI and/or the editor(s) disclaim responsibility for any injury to people or property resulting from any ideas, methods, instructions or products referred to in the content. |
© 2025 by the authors. Licensee MDPI, Basel, Switzerland. This article is an open access article distributed under the terms and conditions of the Creative Commons Attribution (CC BY) license (https://creativecommons.org/licenses/by/4.0/).
Share and Cite
Kuntze, A.; Banerjee, V.; Trautmann, M.; Pünt, C.; Berthold, R.; Hauser, P.; Scholl, L.; Wardelmann, E.; Kerl, K.; Hartmann, W.; et al. SS18::SSX and BRD9 Modulate Synovial Sarcoma Differentiation. Cells 2025, 14, 2022. https://doi.org/10.3390/cells14242022
Kuntze A, Banerjee V, Trautmann M, Pünt C, Berthold R, Hauser P, Scholl L, Wardelmann E, Kerl K, Hartmann W, et al. SS18::SSX and BRD9 Modulate Synovial Sarcoma Differentiation. Cells. 2025; 14(24):2022. https://doi.org/10.3390/cells14242022
Chicago/Turabian StyleKuntze, Anna, Victor Banerjee, Marcel Trautmann, Charlotte Pünt, Ruth Berthold, Pascal Hauser, Lucas Scholl, Eva Wardelmann, Kornelius Kerl, Wolfgang Hartmann, and et al. 2025. "SS18::SSX and BRD9 Modulate Synovial Sarcoma Differentiation" Cells 14, no. 24: 2022. https://doi.org/10.3390/cells14242022
APA StyleKuntze, A., Banerjee, V., Trautmann, M., Pünt, C., Berthold, R., Hauser, P., Scholl, L., Wardelmann, E., Kerl, K., Hartmann, W., & Isfort, I. (2025). SS18::SSX and BRD9 Modulate Synovial Sarcoma Differentiation. Cells, 14(24), 2022. https://doi.org/10.3390/cells14242022

