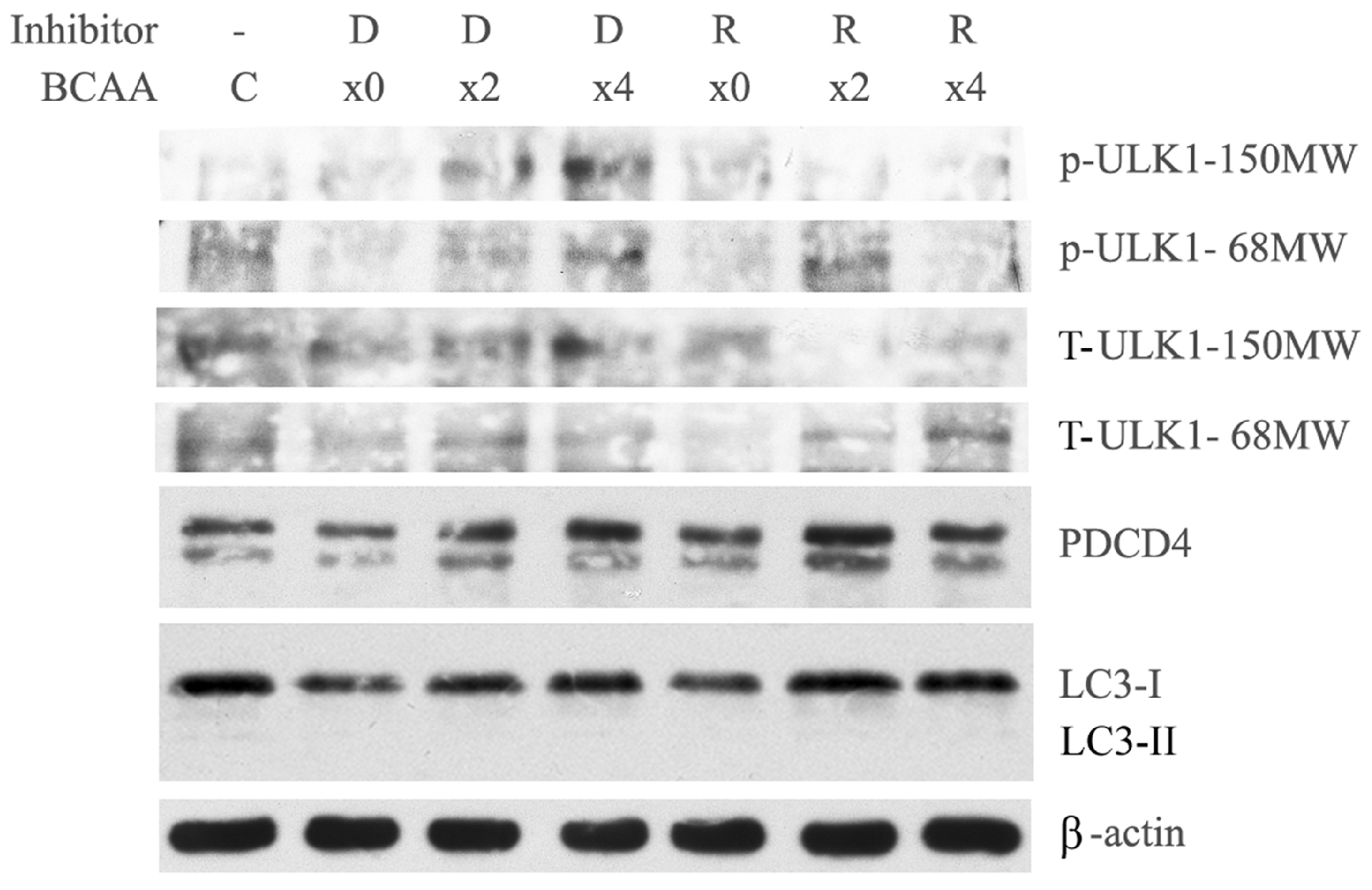
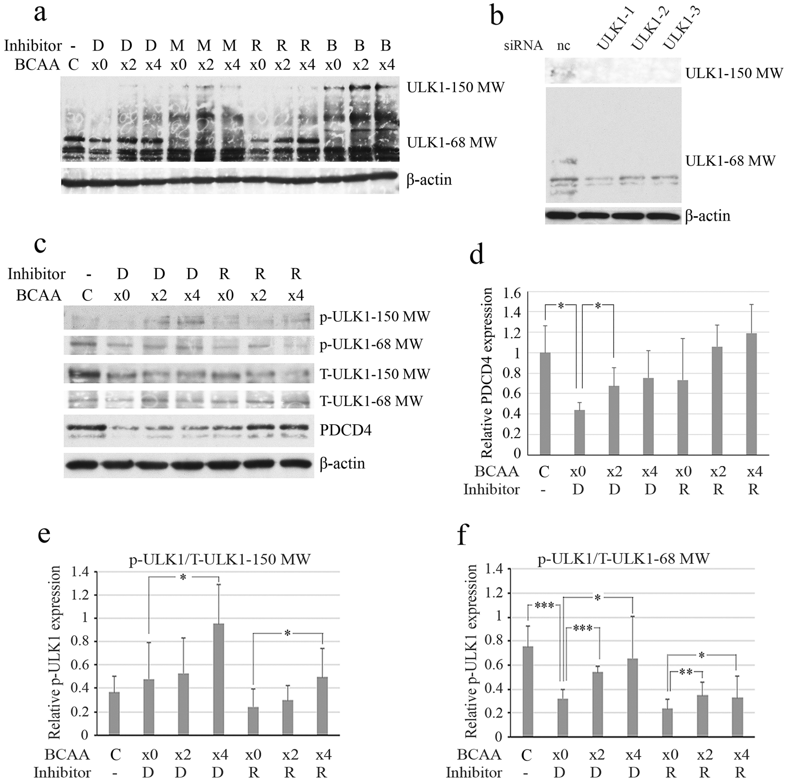
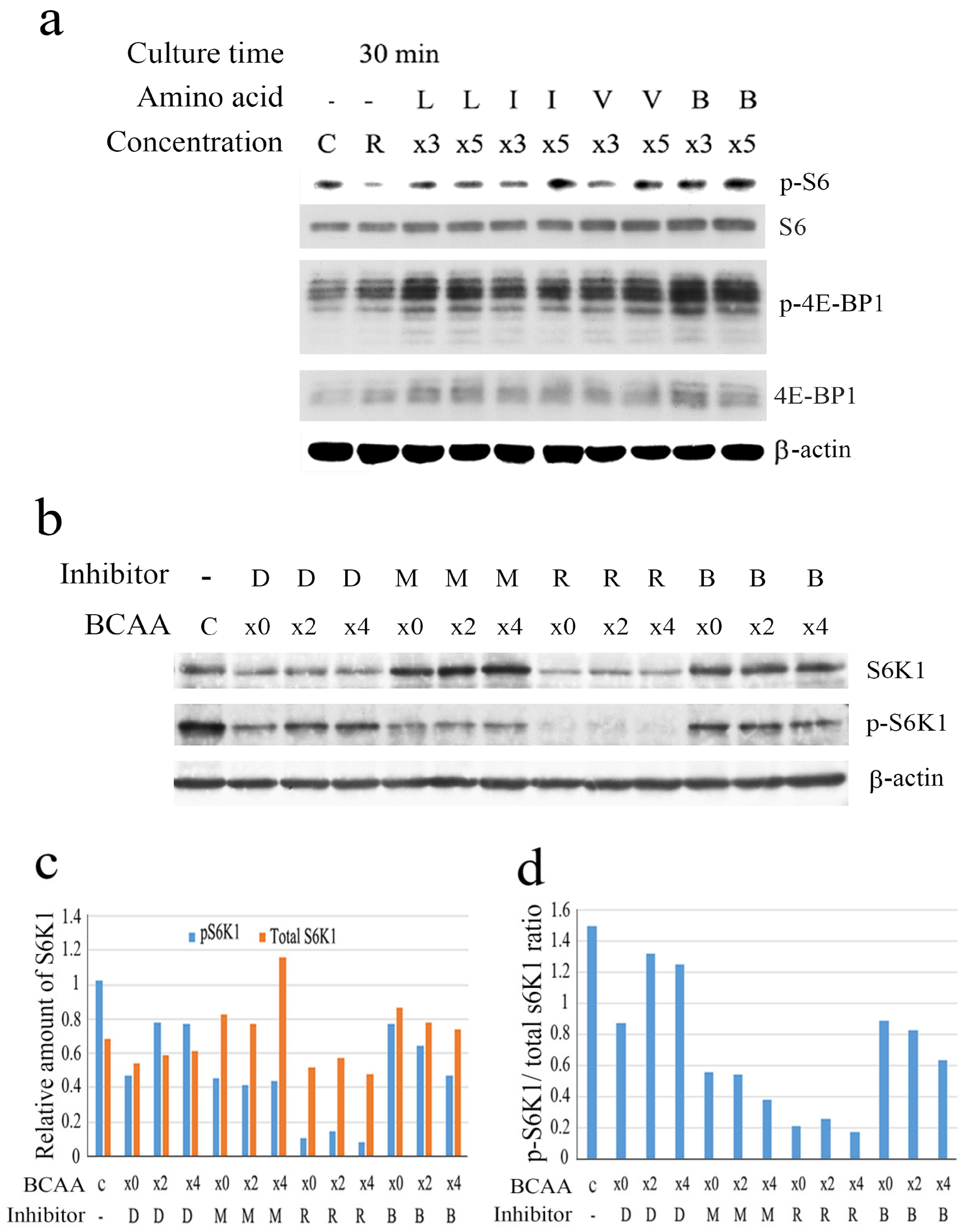
BCAA (Branched-Chain Amino Acids) Inhibiting the Autophagy System via the Activation of mTORC1, Thereby Upregulating the Tumor Suppressor PDCD4 in Huh7 Hepatoma Cells
Abstract
Share and Cite
Perveen, R.; Ozaki, I.; Takahashi, H.; Manirujjaman, M.; Kuwashiro, T.; Matsuhashi, S. BCAA (Branched-Chain Amino Acids) Inhibiting the Autophagy System via the Activation of mTORC1, Thereby Upregulating the Tumor Suppressor PDCD4 in Huh7 Hepatoma Cells. Cells 2025, 14, 1975. https://doi.org/10.3390/cells14241975
Perveen R, Ozaki I, Takahashi H, Manirujjaman M, Kuwashiro T, Matsuhashi S. BCAA (Branched-Chain Amino Acids) Inhibiting the Autophagy System via the Activation of mTORC1, Thereby Upregulating the Tumor Suppressor PDCD4 in Huh7 Hepatoma Cells. Cells. 2025; 14(24):1975. https://doi.org/10.3390/cells14241975
Chicago/Turabian StylePerveen, Rasheda, Iwata Ozaki, Hirokazu Takahashi, Md Manirujjaman, Takuya Kuwashiro, and Sachiko Matsuhashi. 2025. "BCAA (Branched-Chain Amino Acids) Inhibiting the Autophagy System via the Activation of mTORC1, Thereby Upregulating the Tumor Suppressor PDCD4 in Huh7 Hepatoma Cells" Cells 14, no. 24: 1975. https://doi.org/10.3390/cells14241975
APA StylePerveen, R., Ozaki, I., Takahashi, H., Manirujjaman, M., Kuwashiro, T., & Matsuhashi, S. (2025). BCAA (Branched-Chain Amino Acids) Inhibiting the Autophagy System via the Activation of mTORC1, Thereby Upregulating the Tumor Suppressor PDCD4 in Huh7 Hepatoma Cells. Cells, 14(24), 1975. https://doi.org/10.3390/cells14241975

