Signalling Pathways of Inflammation and Cancer in Human Mononuclear Cells: Effect of Nanoparticle Air Pollutants
Abstract
1. Introduction
2. Materials and Methods
2.1. Cell Cultures, Monocyte–Macrophage Transition, and Treatment
2.2. Quantification of Integrin—(CD11a/CD18), Macrophage Differentiation Marker—CD14 and Infiltration/Activation Marker—CD68
2.3. Cytotoxicity
2.4. DNA Damage
2.5. Measurement of Intracellular Oxidative Stress
2.6. Phagocytosis Assays
2.7. TNFα Assay
2.8. qRT Analyses: mRNA of H2AX and NF-κB
2.9. Expression of NF-κB, NF-κB P-Ser 536, H2A.X, and γH2A.X
2.10. Binary Fluorescence Scatterplots of NF-κB, NF-κB P-Ser 536, H2A.X, and γ2A.X
2.11. Statistical Analysis
3. Results
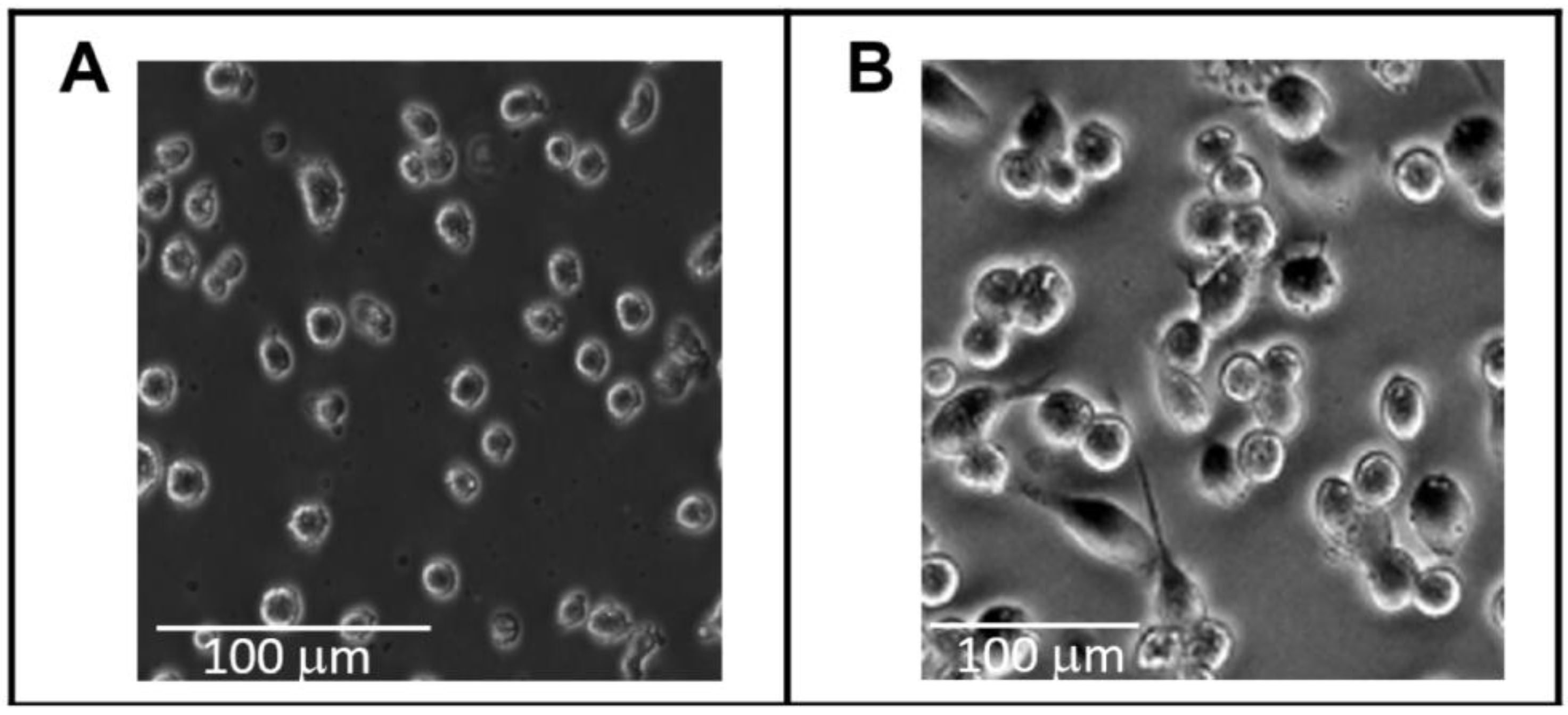
3.1. M-MDM Transition
3.2. Cytotoxicity, Oxidative Stress, Phagocytosis and Inflammation
3.2.1. The Cell Membrane Damage Was Measured Using the Lactate Dehydrogenase (LDH) Release and Expressed in Terms of a Fraction of the Total Enzyme Activity
3.2.2. Intracellular Oxidative Stress
3.2.3. Quantification of DNA Damage
3.2.4. Phagocytosis
3.2.5. TNFα Was Unchanged in M Grown with PM
3.3. Expression and Activation of Histone H2A.X and NF-κB
4. Discussion
5. Conclusions
Supplementary Materials
Author Contributions
Funding
Institutional Review Board Statement
Informed Consent Statement
Data Availability Statement
Conflicts of Interest
References
- Hankey, S.; Marshall, J.D. Urban Form, Air Pollution, and Health. Curr. Environ. Health Rep. 2017, 4, 491–503. [Google Scholar] [CrossRef] [PubMed]
- Izzotti, A.; Spatera, P.; Khalid, Z.; Pulliero, A. Importance of Punctual Monitoring to Evaluate the Health Effects of Airborne Particulate Matter. Int. J. Environ. Res. Public Health 2022, 19, 10587. [Google Scholar] [CrossRef] [PubMed] [PubMed Central]
- Bessa, M.J.; Sarmento, B.; Oliveira, M.; Rodrigues, F. In vitro data for fire pollutants: Contribution of studies using human cell models towards firefighters’ occupational. J. Toxicol. Environ. Health B Crit. Rev. 2023, 19, 238–255. [Google Scholar] [CrossRef] [PubMed]
- Lederer, A.M.; Fredriksen, P.M.; Nkeh-Chungag, B.N.; Everson, F.; Strijdom, H.; De Boever, P.; Goswami, N. Cardiovascular effects of air pollution: Current evidence from animal and human studies. Am. J. Physiol. Heart Circ. Physiol. 2021, 320, H1417–H1439. [Google Scholar] [CrossRef] [PubMed]
- Ishii, H.; Hayashi, S.; Hogg, J.C.; Fujii, T.; Goto, Y.; Sakamoto, N.; Mukae, H.; Vincent, R.; van Eeden, S.F. Alveolar macrophage-epithelial cell interaction following exposure to atmospheric particles induces the release of mediators involved in monocyte mobilization and recruitment. Respir. Res. 2005, 6, 87. [Google Scholar] [CrossRef] [PubMed] [PubMed Central]
- Sica, A.; Erreni, M.; Allavena, P.; Porta, C. Macrophage polarization in pathology. Cell. Mol. Life Sci. 2015, 72, 4111–4126. [Google Scholar] [CrossRef] [PubMed]
- Chanput, W.; Mes, J.J.; Wichers, H.J. THP-1 cell line: An in vitro cell model for immune modulation approach. Int. Immunopharmacol. 2014, 23, 37–45. [Google Scholar] [CrossRef] [PubMed]
- Richter, E.; Ventz, K.; Harms, M.; Mostertz, J.; Hochgräfe, F. Induction of Macrophage Function in Human THP-1 Cells Is Associated with Rewiring of MAPK Signaling and Activation of MAP3K7 (TAK1) Protein Kinase. Front. Cell Dev. Biol. 2016, 4, 21. [Google Scholar] [CrossRef] [PubMed] [PubMed Central]
- Li, C.H.; Tsai, M.L.; Chiou, H.C.; Lin, Y.C.; Liao, W.T.; Hung, C.H. Role of Macrophages in Air Pollution Exposure Related Asthma. Int. J. Mol. Sci. 2022, 23, 12337. [Google Scholar] [CrossRef] [PubMed] [PubMed Central]
- Cheng, P.; Li, S.; Chen, H. Macrophages in Lung Injury, Repair, and Fibrosis. Cells 2021, 10, 436. [Google Scholar] [CrossRef] [PubMed] [PubMed Central]
- Kirby, A.C.; Coles, M.C.; Kaye, P.M. Alveolar macrophages transport pathogens to lung draining lymph nodes. J. Immunol. 2009, 183, 1983–1989. [Google Scholar] [CrossRef] [PubMed] [PubMed Central]
- Collins, M.K.; Shotland, A.M.; Wade, M.F.; Atif, S.M.; Richards, D.K.; Torres-Llompart, M.; Mack, D.G.; Martin, A.K.; Fontenot, A.P.; McKee, A.S. A role for TNF-α in alveolar macrophage damage-associated molecular pattern release. JCI Insight. 2020, 5, e134356. [Google Scholar] [CrossRef] [PubMed] [PubMed Central]
- Holownia, A.; Niechoda, A.; Lachowicz, J.; Golabiewska, E.; Baranowska, U. Phagocytosis and Autophagy in THP-1 Cells Exposed to Urban Dust: Possible Role of LC3-Associated Phagocytosis and Canonical Autophagy. Adv. Exp. Med. Biol. 2019, 1133, 55–63. [Google Scholar] [CrossRef] [PubMed]
- NIST Certificate of Analysis. Standard Reference Material (SRM) 1649a, Urban Dust; National Institute of Standards and Technology: Gaithersburg, MD, USA, 2001.
- Duweb, A.; Gaiser, A.K.; Stiltz, I.; El Gaafary, M.; Simmet, T.; Syrovets, T. The SC cell line as an in vitro model of human monocytes. J. Leukoc. Biol. 2022, 112, 659–668. [Google Scholar] [CrossRef] [PubMed]
- Bekki, K.; Ito, T.; Yoshida, Y.; He, C.; Arashidani, K.; He, M.; Sun, G.; Zeng, Y.; Sone, H.; Kunugita, N.; et al. PM2.5 collected in China causes inflammatory and oxidative stress responses in macrophages through the multiple pathways. Environ. Toxicol. Pharmacol. 2016, 45, 362–369. [Google Scholar] [CrossRef] [PubMed]
- Zhao, Q.; Chen, H.; Yang, T.; Rui, W.; Liu, F.; Zhang, F.; Zhao, Y.; Ding, W. Direct effects of airborne PM2.5 exposure on macrophage polarizations. Biochim. Biophys. Acta. 2016, 1860, 2835–2843. [Google Scholar] [CrossRef] [PubMed]
- Ong, S.M.; Teng, K.; Newell, E.; Chen, H.; Chen, J.; Loy, T.; Yeo, T.W.; Fink, K.; Wong, S.C. A Novel, Five-Marker Alternative to CD16-CD14 Gating to Identify the Three Human Monocyte Subsets. Front. Immunol. 2019, 10, 1761. [Google Scholar] [CrossRef] [PubMed] [PubMed Central]
- Fekadu, J.; Modlich, U.; Bader, P.; Bakhtiar, S. Understanding the Role of LFA-1 in Leukocyte Adhesion Deficiency Type I (LAD I): Moving towards Inflammation? Int. J. Mol. Sci. 2022, 23, 3578. [Google Scholar] [CrossRef] [PubMed] [PubMed Central]
- Lukaszewicz, A.; Cwiklinska, M.; Zarzecki, M.; Szoka, P.; Lachowicz, J.; Holownia, A. Cytotoxicity, Oxidative Stress, and Autophagy in Human Alveolar Epithelial Cell Line (A549 Cells) Exposed to Standardized Urban Dust. Adv. Exp. Med. Biol. 2019, 1176, 101–108. [Google Scholar] [CrossRef] [PubMed]
- Mroz, R.M.; Schins, R.P.; Li, H.; Jimenez, L.A.; Drost, E.M.; Holownia, A.; MacNee, W.; Donaldson, K. Nanoparticle-driven DNA damage mimics irradiation-related carcinogenesis pathways. Eur. Respir. J. 2008, 31, 241–251. [Google Scholar] [CrossRef] [PubMed]
- Karavitis, J.; Kovacs, E.J. Macrophage phagocytosis: Effects of environmental pollutants, alcohol, cigarette smoke, and other external factors. J. Leukoc. Biol. 2011, 90, 1065–1078. [Google Scholar] [CrossRef] [PubMed]
- Bai, Y.; Bové, H.; Nawrot, T.S.; Nemery, B. Carbon load in airway macrophages as a biomarker of exposure to particulate air pollution; a longitudinal study of an international Panel. Part. Fibre Toxicol. 2018, 15, 14. [Google Scholar] [CrossRef] [PubMed] [PubMed Central]
- Ishidome, T.; Yoshida, T.; Hanayama, R. Induction of Live Cell Phagocytosis by a Specific Combination of Inflammatory Stimuli. EBioMedicine 2017, 22, 89–99. [Google Scholar] [CrossRef] [PubMed] [PubMed Central]
- Lo, H.M.; Chen, C.L.; Yang, C.M.; Wu, P.H.; Tsou, C.J.; Chiang, K.W.; Wu, W.B. The carotenoid lutein enhances matrix metalloproteinase-9 production and phagocytosis through intracellular ROS generation and ERK1/2, p38 MAPK, and RARβ activation in murine macrophages. J. Leukoc. Biol. 2013, 93, 723–735. [Google Scholar] [CrossRef] [PubMed]
- Baranov, M.V.; Kumar, M.; Sacanna, S.; Thutupalli, S.; van den Bogaart, G. Modulation of Immune Responses by Particle Size and Shape. Front Immunol. 2021, 11, 607945. [Google Scholar] [CrossRef] [PubMed] [PubMed Central]
- Doshi, N.; Mitragotri, S. Macrophages recognize size and shape of their targets. PLoS ONE 2010, 5, e10051. [Google Scholar] [CrossRef] [PubMed] [PubMed Central]
- Oruba, A.; Saccani, S.; van Essen, D. Role of cell-type specific nucleosome positioning in inducible activation of mammalian promoters. Nat. Commun. 2020, 11, 1075. [Google Scholar] [CrossRef] [PubMed] [PubMed Central]
- Ndlovu, M.N.; Van Lint, C.; Van Wesemael, K.; Callebert, P.; Chalbos, D.; Haegeman, G.; Vanden Berghe, W. Hyperactivated NF-{kappa}B and AP-1 transcription factors promote highly accessible chromatin and constitutive transcription across the interleukin-6 gene promoter in metastatic breast cancer cells. Mol. Cell Biol. 2009, 29, 5488–5504. [Google Scholar] [CrossRef] [PubMed] [PubMed Central]
- Fitzgerald, K.A.; Kagan, J.C. Toll-like Receptors and the Control of Immunity. Cell 2020, 180, 1044–1066. [Google Scholar] [CrossRef] [PubMed] [PubMed Central]
- Hawiger, J.; Zienkiewicz, J. Decoding inflammation, its causes, genomic responses, and emerging countermeasures. Scand. J. Immunol. 2019, 90, e12812. [Google Scholar] [CrossRef] [PubMed] [PubMed Central]
- Barnabei, L.; Laplantine, E.; Mbongo, W.; Rieux-Laucat, F.; Weil, R. NF-κB: At the Borders of Autoimmunity and Inflammation. Front. Immunol. 2021, 12, 716469. [Google Scholar] [CrossRef] [PubMed] [PubMed Central]
- Liu, T.; Zhang, L.; Joo, D.; Sun, S.C. NF-κB signaling in inflammation. Signal Transduct. Target Ther. 2017, 2, 17023. [Google Scholar] [CrossRef] [PubMed] [PubMed Central]
- Chen, L.F.; Williams, S.A.; Mu, Y.; Nakano, H.; Duerr, J.M.; Buckbinder, L.; Greene, W.C. NF-kappaB RelA phosphorylation regulates RelA acetylation. Mol. Cell Biol. 2005, 25, 7966–7975. [Google Scholar] [CrossRef] [PubMed] [PubMed Central]
- Christian, F.; Smith, E.L.; Carmody, R.J. The Regulation of NF-κB Subunits by Phosphorylation. Cells 2016, 5, 12. [Google Scholar] [CrossRef] [PubMed] [PubMed Central]
- Modi, N.T.; Chen, L.F. Measuring NF-κB Phosphorylation and Acetylation. Methods Mol. Biol. 2021, 2366, 3–17. [Google Scholar] [CrossRef] [PubMed]
- Zhang, S.; Meng, Y.; Zhou, L.; Qiu, L.; Wang, H.; Su, D.; Zhang, B.; Chan, K.M.; Han, J. Targeting epigenetic regulators for inflammation: Mechanisms and intervention therapy. MedComm. 2022, 3, e173. [Google Scholar] [CrossRef] [PubMed] [PubMed Central]
- Millán-Zambrano, G.; Burton, A.; Bannister, A.J.; Schneider, R. Histone post-translational modifications—Cause and consequence of genome function. Nat. Rev. Genet. 2022, 23, 563–580. [Google Scholar] [CrossRef] [PubMed]
- Orlando, L.; Tanasijevic, B.; Nakanishi, M.; Reid, J.C.; García-Rodríguez, J.L.; Chauhan, K.D.; Porras, D.P.; Aslostovar, L.; Lu, J.D.; Shapovalova, Z.; et al. Phosphorylation state of the histone variant H2A.X controls human stem and progenitor cell fate decisions. Cell Rep. 2021, 34, 108818. [Google Scholar] [CrossRef] [PubMed]
- Podhorecka, M.; Skladanowski, A.; Bozko, P. H2AX Phosphorylation: Its Role in DNA Damage Response and Cancer Therapy. J. Nucleic Acids. 2010, 2010, 920161. [Google Scholar] [CrossRef] [PubMed] [PubMed Central]




| CD14 | CD11a | CD18 | CD68 | |
|---|---|---|---|---|
| M | 100 ± 19 | 222 ± 43 | 122 ± 19 | 90 ± 24 |
| MDM | 398 ± 64 ** | 431 ± 75 ** | 435 ± 63 ** | 221 ± 34 ** |
| M | |||||
| Control | CB | UD | NPCB | ||
| H2A.X mRNA | Fold change | 1.0 ± 0.22 | 1.15 ± 0.24 | 0.81 ± 0.27 | 0.98 ± 0.26 |
| H2A.X protein | Relative expression | 100 ± 21 | 108 ± 15 | 149 ± 37 | 122 ± 24 |
| gH2A.X | Relative units | 100 ± 24 | 111 ± 18 | 172 ± 31 ** | 131 ± 33 |
| Binary scatterplots of gH2A.X/H2A.X | Area (relative units) | 100 ± 19 | 91 ± 24 | 126 ± 16 * | 88 ± 23 |
| Central tendency line (slope act) | 1.0 ± 0.1 | 0.9 ± 0.1 | 0.7 ± 0.2 * | 0.9 ± 0.2 | |
| NF-kB mRNA | Fold change | 1.0 ± 0.33 | 0.78 ± 0.31 | 1.57 ± 0.45 | 1.71 ± 0.47 |
| NFkB protein | Relative expression | 100 ± 20 | 88 ± 21 | 137 ± 21 * | 176 ± 34 ** |
| NF-kB P-Ser536 | Relative units | 100 ± 21 | 99 ± 26 | 143 ± 28 * | 192 ± 45 ** |
| Binary scatterplots of NF-kB P-Ser536/NF-kB | Scatterplot area (relative units) | 100 ± 16 | 102 ± 22 | 104 ± 15 | 111 ± 16 |
| Central tendency line (slope act) | 1.0 ± 0.1 | 1.0 ± 0.2 | 0.8 ± 0.1 * | 0.6 ± 0.2 ** | |
| Binary scatterplots of H2A.X/NF-kB | Scatterplot area (relative units) | 100 ± 16 | 111 ± 20 | 121 ± 25 | 132 ± 31 |
| Central tendency line (slope act) | 1.0 ± 0.1 | 1.0 ± 0.1 | 1.2 ± 0.1 * | 0.7 ± 0.2 **## | |
| Binary scatterplots of gH2A.X/NF-kBP-Ser536 | Scatterplot area | 100 ± 21 | 108 ± 16 | 109 ± 23 | 122 ± 19 |
| Central tendency line (slope act) | 1.0 ± 0.1 | 0.9 ± 0.2 | 1.3 ± 0.2 * | 0.7 ± 0.2 **## | |
| MDM | |||||
| H2A.X mRNA | Fold change | 1.0 ± 0.27 | 0.95 ± 0.28 | 1.40 ± 0.42 | 1.91 ± 0.44 |
| H2A.X protein | Relative expression | 100 ± 19 | 119 ± 16 | 164 ± 44 * | 137 ± 42 |
| gH2A.X | Relative units | 100 ± 21 | 115 ± 19 | 194 ± 45 ** | 146 ± 32 |
| Binary scatterplots of g-H2A.X/H2A.X | Scatterplot area (relative units) | 100 ± 19 | 99 ± 24 | 135 ± 33 | 87± 21 |
| Central tendency line (slope act) | 1.0 ± 0.1 | 0.9 ± 0.2 | 0.6 ± 0.3 * | 0.8 ± 0.2 | |
| NF-kB mRNA | Fold change | 1.0 ± 0.23 | 1.12 ± 0.31 | 1.85 ± 0.45 | 0.91 ± 0.44 |
| NF-kB protein | Relative expression | 100 ± 20 | 97 ± 26 | 139 ± 34 | 198 ± 55 ** |
| NF-kB P-Ser536 | Relative units | 100 ± 23 | 113 ± 27 | 165 ± 48 * | 218 ± 55 ** |
| Binary scatterplots of NF-kB P-Ser536/NF-kB | Scatterplot area (relative units) | 100 ± 23 | 101 ± 19 | 105 ± 26 | 121 ± 25 |
| Central tendency line (slope act) | 1 ± 0.1 | 1.3 ± 0.2 * | 0.7 ± 0.1 ** | 0.5 ± 0.2 ** | |
| Binary scatterplots of H2A.X/NF-kB | Scatterplot area (relative units) | 100 ± 19 | 121 ± 22 | 132 ± 23 | 133 ± 31 |
| Central tendency line (slope act) | 1.0 ± 0.2 | 1.1 ± 0.2 | 1.3 ± 0.2 * | 0.7 ± 0.3 **## | |
| Binary scatterplots ofgH2A.X/NF-kBP-Ser53 | Scatterplot area (relative units) | 100 ± 15 | 122 ± 16 | 111 ± 25 | 125 ± 17 * |
| Central tendency line (slope act) | 1.1 ± 0.2 | 1.1 ± 0.2 | 1.5 ± 0.3 ** | 0.6 ± 0.3 **## | |
Disclaimer/Publisher’s Note: The statements, opinions and data contained in all publications are solely those of the individual author(s) and contributor(s) and not of MDPI and/or the editor(s). MDPI and/or the editor(s) disclaim responsibility for any injury to people or property resulting from any ideas, methods, instructions or products referred to in the content. |
© 2024 by the authors. Licensee MDPI, Basel, Switzerland. This article is an open access article distributed under the terms and conditions of the Creative Commons Attribution (CC BY) license (https://creativecommons.org/licenses/by/4.0/).
Share and Cite
Niechoda, A.; Roslan, M.; Milewska, K.; Szoka, P.; Maciorowska, K.; Holownia, A. Signalling Pathways of Inflammation and Cancer in Human Mononuclear Cells: Effect of Nanoparticle Air Pollutants. Cells 2024, 13, 1367. https://doi.org/10.3390/cells13161367
Niechoda A, Roslan M, Milewska K, Szoka P, Maciorowska K, Holownia A. Signalling Pathways of Inflammation and Cancer in Human Mononuclear Cells: Effect of Nanoparticle Air Pollutants. Cells. 2024; 13(16):1367. https://doi.org/10.3390/cells13161367
Chicago/Turabian StyleNiechoda, Agata, Maciej Roslan, Katarzyna Milewska, Piotr Szoka, Katarzyna Maciorowska, and Adam Holownia. 2024. "Signalling Pathways of Inflammation and Cancer in Human Mononuclear Cells: Effect of Nanoparticle Air Pollutants" Cells 13, no. 16: 1367. https://doi.org/10.3390/cells13161367
APA StyleNiechoda, A., Roslan, M., Milewska, K., Szoka, P., Maciorowska, K., & Holownia, A. (2024). Signalling Pathways of Inflammation and Cancer in Human Mononuclear Cells: Effect of Nanoparticle Air Pollutants. Cells, 13(16), 1367. https://doi.org/10.3390/cells13161367

