Survivin-Sodium Iodide Symporter Reporter as a Non-Invasive Diagnostic Marker to Differentiate Uterine Leiomyosarcoma from Leiomyoma
Abstract
1. Introduction
2. Materials and Methods
2.1. Human Leiomyoma and Human Uterine Leiomyosarcoma Cells
2.2. Reagents
2.3. Animal Model
2.4. PET/CT Scan
2.5. PET/CT Scan Analysis
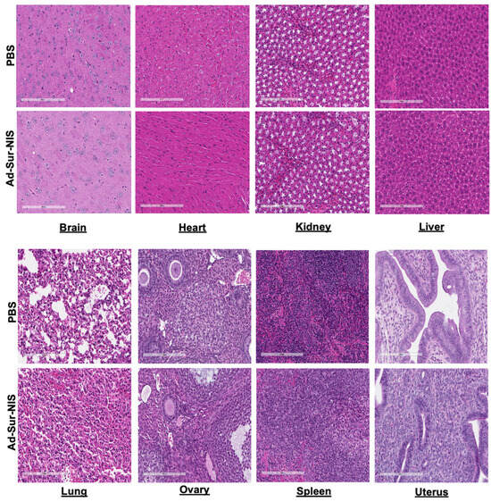
2.6. Safety Study—H&E Stain and Chemical Metabolic Panel
2.7. Statistical Analysis
3. Results
3.1. Increased Radiotracer Uptake and Decreased Radiotracer Decay Attributable to Ad-Sur-NIS in the LMS Tumors When Compared to LM
3.2. Evaluation of the Safety of Ad-Sur-NIS
4. Discussion
5. Conclusions
6. Patents
Author Contributions
Funding
Institutional Review Board Statement
Informed Consent Statement
Data Availability Statement
Acknowledgments
Conflicts of Interest
Abbreviations
| uLMS | Uterine Leiomyosarcoma |
| LMS | Leiomyosarcoma |
| LM | Leiomyoma |
| Ad-Sur-NIS | Adenovirus Survivin-Sodium Iodide Symporter |
| F18-NaBF4 | F18-Labeled Sodium Tetrafluoroborate |
| PET/CT | Positron Emission Tomography/Computed Tomography |
| FBS | Fetal Bovine Serum |
| PBS | Phosphate-Buffered Saline |
| H&E | Hematoxylin and Eosin |
| SE | Standard Error |
| SUV | Standardized Uptake Value |
| ROI | Region of Interest |
| ALT | Alanine Aminotransferase |
| ALP | Alkaline Phosphatase |
| R | Ratio |
| ULN | Upper Limit of Normal |
| MRI | Magnetic Resonance Imaging |
References
- Baird, D.D.; Dunson, D.B.; Hill, M.C.; Cousins, D.; Schectman, J.M. High cumulative incidence of uterine leiomyoma in black and white women: Ultrasound evidence. Am. J. Obstet. Gynecol. 2003, 188, 100–107. [Google Scholar] [CrossRef]
- Wise, L.A.; Palmer, J.R.; Stewart, E.A.; Rosenberg, L. Age-specific incidence rates for self-reported uterine leiomyomata in the Black Women’s Health Study. Obstet. Gynecol. 2005, 105, 563–568. [Google Scholar] [CrossRef]
- Laughlin, S.K.; Baird, D.D.; Savitz, D.A.; Herring, A.H.; Hartmann, K.E. Prevalence of uterine leiomyomas in the first trimester of pregnancy: An ultrasound-screening study. Obstet. Gynecol. 2009, 113, 630–635. [Google Scholar] [CrossRef] [PubMed]
- Sparic, R.; Mirkovic, L.; Malvasi, A.; Tinelli, A. Epidemiology of Uterine Myomas: A Review. Int. J. Fertil. Steril. 2016, 9, 424–435. [Google Scholar] [PubMed]
- Styer, A.K.; Rueda, B.R. The Epidemiology and Genetics of Uterine Leiomyoma. Best Pract. Res. Clin. Obstet. Gynaecol. 2015, 34, 3–12. [Google Scholar] [CrossRef]
- Eltoukhi, H.M.; Modi, M.N.; Weston, M.; Armstrong, A.Y.; Stewart, E.A. The health disparities of uterine fibroid tumors for African American women: A public health issue. Am. J. Obstet. Gynecol. 2014, 210, 194–199. [Google Scholar] [CrossRef] [PubMed]
- Cui, R.R.; Wright, J.D.; Hou, J.Y. Uterine leiomyosarcoma: A review of recent advances in molecular biology, clinical management and outcome. Bjog 2017, 124, 1028–1037. [Google Scholar] [CrossRef]
- Amant, F.; Coosemans, A.; Debiec-Rychter, M.; Timmerman, D.; Vergote, I. Clinical management of uterine sarcomas. Lancet Oncol. 2009, 10, 1188–1198. [Google Scholar] [CrossRef] [PubMed]
- D’Angelo, E.; Prat, J. Uterine sarcomas: A review. Gynecol. Oncol. 2010, 116, 131–139. [Google Scholar] [CrossRef]
- Mbatani, N.; Olawaiye, A.B.; Prat, J. Uterine sarcomas. Int. J. Gynecol. Obstet. 2018, 143 (Suppl. 2), 51–58. [Google Scholar] [CrossRef]
- Liu, X.; Li, H.; Wu, G.; Cui, S. miR-182 promotes cell proliferation and invasion by inhibiting APC in melanoma. Int. J. Clin. Exp. Pathol. 2018, 11, 1900–1908. [Google Scholar] [PubMed]
- American College of Obstetricians and Gynecologists. Management of Symptomatic Uterine Leiomyomas: ACOG Practice Bulletin, Number 228. Obstet. Gynecol. 2021, 137, e100–e115. [Google Scholar] [CrossRef] [PubMed]
- American College of Obstetricians and Gynecologists. Uterine Morcellation for Presumed Leiomyomas: ACOG Committee Opinion, Number 822. Obstet. Gynecol. 2021, 137, e63–e74. [Google Scholar] [CrossRef] [PubMed]
- Bogani, G.; Chiappa, V.; Ditto, A.; Martinelli, F.; Donfrancesco, C.; Indini, A.; Lorusso, D.; Raspagliesi, F. Morcellation of undiagnosed uterine sarcoma: A critical review. Crit. Rev. Oncol. Hematol. 2016, 98, 302–308. [Google Scholar] [CrossRef] [PubMed]
- Mercorio, A.; Della Corte, L.; Vetrella, M.; Russo, M.; Serafino, P.; Palumbo, M.; Viciglione, F.; Cafasso, V.; Bifulco, G.; Giampaolino, P. Uterine fibroids morcellation: A puzzle topic. Minim. Invasive Ther. Allied Technol. 2022, 31, 1008–1016. [Google Scholar] [CrossRef] [PubMed]
- Wang, L.; Li, S.; Zhang, Z.; Jia, J.; Shan, B. Prevalence and occult rates of uterine leiomyosarcoma. Medicine 2020, 99, e21766. [Google Scholar] [CrossRef] [PubMed]
- Bojahr, B.; De Wilde, R.L.; Tchartchian, G. Malignancy rate of 10,731 uteri morcellated during laparoscopic supracervical hysterectomy (LASH). Arch. Gynecol. Obstet. 2015, 292, 665–672. [Google Scholar] [CrossRef]
- Hartmann, K.E.; Fonnesbeck, C.; Surawicz, T.; Krishnaswami, S.; Andrews, J.C.; Wilson, J.E.; Velez-Edwards, D.; Kugley, S.; Sathe, N.A. Management of Uterine Fibroids; Agency for Healthcare Research and Quality: Rockville, MD, USA, 2017.
- Jitsumori, M.; Umeda, A.; Hosoi, A.; Miyanishi, K.; Munakata, S.; Yamamoto, T. Hyperphosphatasemia in leiomyosarcoma of the uterus: Two case reports and a literature review. J. Obstet. Gynaecol. Res. 2017, 43, 1498–1503. [Google Scholar] [CrossRef]
- Roberts, M.E.; Aynardi, J.T.; Chu, C.S. Uterine leiomyosarcoma: A review of the literature and update on management options. Gynecol. Oncol. 2018, 151, 562–572. [Google Scholar] [CrossRef]
- Cho, H.; Kim, K.; Kim, Y.; No, J.H. Differential diagnosis between uterine sarcoma and leiomyoma using preoperative clinical characteristics. J. Obstet. Gynaecol. Res. 2016, 42, 313–318. [Google Scholar] [CrossRef]
- Byar, K.L.; Fredericks, T. Uterine Leiomyosarcoma. J. Adv. Pract. Oncol. 2022, 13, 70–76. [Google Scholar]
- Hata, K.; Hata, T.; Maruyama, R.; Hirai, M. Uterine sarcoma: Can it be differentiated from uterine leiomyoma with Doppler ultrasonography? A preliminary report. Ultrasound Obstet. Gynecol. 1997, 9, 101–104. [Google Scholar] [CrossRef] [PubMed]
- Song, K.-J.; Yu, X.-N.; Lv, T.; Chen, Y.-L.; Diao, Y.-C.; Liu, S.-L.; Wang, Y.-K.; Yao, Q. Expression and prognostic value of lactate dehydrogenase-A and -D subunits in human uterine myoma and uterine sarcoma. Medicine 2018, 97, e0268. [Google Scholar] [CrossRef] [PubMed]
- Nishigaya, Y.; Kobayashi, Y.; Matsuzawa, Y.; Hasegawa, K.; Fukasawa, I.; Watanabe, Y.; Tokunaga, H.; Yaegashi, N.; Iwashita, M. Diagnostic value of combination serum assay of lactate dehydrogenase, D-dimer, and C-reactive protein for uterine leiomyosarcoma. J. Obstet. Gynaecol. Res. 2019, 45, 189–194. [Google Scholar] [CrossRef]
- Shalaby, S.; Khater, M.; Laknaur, A.; Arbab, A.; Al-Hendy, A. Molecular Bio-Imaging Probe for Non-Invasive Differentiation Between Human Leiomyoma Versus Leiomyosarcoma. Reprod. Sci. 2020, 27, 644–654. [Google Scholar] [CrossRef] [PubMed]
- Huang, R.; Zhao, Z.; Ma, X.; Li, S.; Gong, R.; Kuang, A. Targeting of tumor radioiodine therapy by expression of the sodium iodide symporter under control of the survivin promoter. Cancer Gene Ther. 2011, 18, 144–152. [Google Scholar] [CrossRef] [PubMed]
- Spitzweg, C.; O’Connor, M.K.; Bergert, E.R.; Tindall, D.J.; Young, C.Y.; Morris, J.C. Treatment of prostate cancer by radioiodine therapy after tissue-specific expression of the sodium iodide symporter. Cancer Res. 2000, 60, 6526–6530. [Google Scholar] [PubMed]
- Kim, S.H.; Chung, H.K.; Kang, J.H.; Kim, K.I.; Jeon, Y.H.; Jin, Y.N.; Yun, C.O.; Chung, J.-K.; Kim, E.; Kim, J.-H.; et al. Tumor-targeted radionuclide imaging and therapy based on human sodium iodide symporter gene driven by a modified telomerase reverse transcriptase promoter. Hum. Gene Ther. 2008, 19, 951–957. [Google Scholar] [CrossRef]
- Scholz, I.V.; Cengic, N.; Baker, C.H.; Harrington, K.J.; Maletz, K.; Bergert, E.R.; Vile, R.; Göke, B.; Morris, J.C.; Spitzweg, C. Radioiodine therapy of colon cancer following tissue-specific sodium iodide symporter gene transfer. Gene Ther. 2005, 12, 272–280. [Google Scholar] [CrossRef][Green Version]
- Kakuda, M.; Matsuzaki, S.; Ueda, Y.; Shiomi, M.; Matsuzaki, S.; Kimura, T.; Fujita, M.; Egawa-Takata, T.; Kobayashi, E.; Serada, S.; et al. Copper ions are novel therapeutic agents for uterine leiomyosarcoma. Am. J. Obstet. Gynecol. 2020, 222, 64.e1–64.e16. [Google Scholar] [CrossRef]
- Skorstad, M.; Kent, A.; Lieng, M. Preoperative evaluation in women with uterine leiomyosarcoma. A nationwide cohort study. Acta Obstet. Gynecol. Scand. 2016, 95, 1228–1234. [Google Scholar] [CrossRef] [PubMed]
- Yang, Q.; Ciebiera, M.; Bariani, M.V.; Ali, M.; Elkafas, H.; Boyer, T.G.; Al-Hendy, A. Comprehensive Review of Uterine Fibroids: Developmental Origin, Pathogenesis, and Treatment. Endocr. Rev. 2022, 43, 678–719. [Google Scholar] [CrossRef] [PubMed]
- Garcia, N.; Al-Hendy, A.; Baracat, E.C.; Carvalho, K.C.; Yang, Q. Targeting Hedgehog Pathway and DNA Methyltransferases in Uterine Leiomyosarcoma Cells. Cells 2020, 10, 53. [Google Scholar] [CrossRef] [PubMed]
- Machado-Lopez, A.; Alonso, R.; Lago, V.; Jimenez-Almazan, J.; Garcia, M.; Monleon, J.; Lopez, S.; Barcelo, F.; Torroba, A.; Ortiz, S.; et al. Integrative Genomic and Transcriptomic Profiling Reveals a Differential Molecular Signature in Uterine Leiomyoma versus Leiomyosarcoma. Int. J. Mol. Sci. 2022, 23, 2190. [Google Scholar] [CrossRef] [PubMed]
- Mas, A.; Alonso, R.; Garrido-Gómez, T.; Escorcia, P.; Montero, B.; Jiménez-Almazán, J.; Martín, J.; Pellicer, N.; Monleón, J.; Simón, C. The differential diagnoses of uterine leiomyomas and leiomyosarcomas using DNA and RNA sequencing. Am. J. Obstet. Gynecol. 2019, 221, 320.e1–320.e23. [Google Scholar] [CrossRef]
- Yang, Q.; Bariani, M.V.; Falahati, A.; Khosh, A.; Lastra, R.R.; Siblini, H.; Boyer, T.G.; Al-Hendy, A. The Functional Role and Regulatory Mechanism of Bromodomain-Containing Protein 9 in Human Uterine Leiomyosarcoma. Cells 2022, 11, 2160. [Google Scholar] [CrossRef]
- Garcia, N.; Ulin, M.; Ali, M.; Al-Hendy, A.; Carvalho, K.C.; Yang, Q. Evaluation of Hedgehog Pathway Inhibitors as a Therapeutic Option for Uterine Leiomyosarcoma Using the Xenograft Model. Reprod. Sci. 2022, 29, 781–790. [Google Scholar] [CrossRef] [PubMed]
- Juang, C.M.; Yen, M.S.; Horng, H.C.; Twu, N.F.; Yu, H.C.; Hsu, W.L. Potential role of preoperative serum CA125 for the differential diagnosis between uterine leiomyoma and uterine leiomyosarcoma. Eur. J. Gynaecol. Oncol. 2006, 27, 370–374. [Google Scholar]
- Żak, K.; Zaremba, B.; Rajtak, A.; Kotarski, J.; Amant, F.; Bobiński, M. Preoperative Differentiation of Uterine Leiomyomas and Leiomyosarcomas: Current Possibilities and Future Directions. Cancers 2022, 14, 1966. [Google Scholar] [CrossRef]
- Xie, H.; Zhang, X.; Ma, S.; Liu, Y.; Wang, X. Preoperative Differentiation of Uterine Sarcoma from Leiomyoma: Comparison of Three Models Based on Different Segmentation Volumes Using Radiomics. Mol. Imaging Biol. 2019, 21, 1157–1164. [Google Scholar] [CrossRef]
- Hélage, S.; Vandeventer, S.; Buy, J.-N.; Bordonné, C.; Just, P.-A.; Jacob, D.; Ghossain, M.; Rousset, P.; Dion, É. Uterine Sarcomas: Are There MRI Signs Predictive of Histopathological Diagnosis? A 50-Patient Case Series with Pathological Correlation. Sarcoma 2021, 2021, 8880080. [Google Scholar] [CrossRef] [PubMed]
- Chiappa, V.; Interlenghi, M.; Salvatore, C.; Bertolina, F.; Bogani, G.; Ditto, A.; Martinelli, F.; Castiglioni, I.; Raspagliesi, F. Using rADioMIcs and machine learning with ultrasonography for the differential diagnosis of myometRiAL tumors (the ADMIRAL pilot study). Radiomics and differential diagnosis of myometrial tumors. Gynecol. Oncol. 2021, 161, 838–844. [Google Scholar] [CrossRef] [PubMed]
- Della Badia, C.; Karini, H. Endometrial stromal sarcoma diagnosed after uterine morcellation in laparoscopic supracervical hysterectomy. J. Minim. Invasive Gynecol. 2010, 17, 791–793. [Google Scholar] [CrossRef] [PubMed]
- Rodriguez, A.M.; Asoglu, M.R.; Sak, M.E.; Tan, A.; Borahay, M.A.; Kilic, G.S. Incidence of occult leiomyosarcoma in presumed morcellation cases: A database study. Eur. J. Obstet. Gynecol. Reprod. Biol. 2016, 197, 31–35. [Google Scholar] [CrossRef] [PubMed]
- Sharma, R.; Aboagye, E. Development of radiotracers for oncology—The interface with pharmacology. Br. J. Pharmacol. 2011, 163, 1565–1585. [Google Scholar] [CrossRef]
- Jiang, H.; DeGrado, T.R. [18F]Tetrafluoroborate ([18F]TFB) and its analogs for PET imaging of the sodium/iodide symporter. Theranostics 2018, 8, 3918–3931. [Google Scholar] [CrossRef]
- Vallabhajosula, S. 18F-labeled positron emission tomographic radiopharmaceuticals in oncology: An overview of radiochemistry and mechanisms of tumor localization. Semin. Nucl. Med. 2007, 37, 400–419. [Google Scholar] [CrossRef]
- O’doherty, J.; Jauregui-Osoro, M.; Brothwood, T.; Szyszko, T.; Marsden, P.K.; O’doherty, M.J.; Cook, G.J.; Blower, P.J.; Lewington, V. 18F-Tetrafluoroborate, a PET Probe for Imaging Sodium/Iodide Symporter Expression: Whole-Body Biodistribution, Safety, and Radiation Dosimetry in Thyroid Cancer Patients. J. Nucl. Med. 2017, 58, 1666–1671. [Google Scholar] [CrossRef]





| Parameter | LMS AD-SUR-NIS | LM AD-SUR-NIS | LMS PBS | LM PBS | p-Value |
|---|---|---|---|---|---|
| Albumin g/dL | 3.002 (±0.12) | 2.93 (±0.11) | 3.41 (±0.15) * | 2.88 (±0.075) * | 0.025 |
| Alkaline Phosphatase (ALP) U/L | 102.25 (±37.31) | 102.33 (±21.54) | 91.5 (±4.50) | 90.33 (±5.85) | 0.94 |
| Alanine Aminotransferase (ALT) U/L | 34.5 (±8.38) | 51.33 (±23.28) | 30.5 (±7.35) | 35.66 (±12.01) | 0.346 |
| Amylase U/L | 422.25 (±52.94) | 411.66 (±46.09) | 416.25 (±63.17) | 402.33 (±32.53) | 0.0814 |
| Aspartate Aminotransferase (AST) U/L | 259.75 (±84.98) | 367.33 (±159.2022) | 253 (±178.095) | 256.66 (±144.68) | 0.8157 |
| Urine Nitrogen (BUN) mg/dL | 20.25 (±5.29) | 25.66 (±2.08) | 23.5 (±3.31) | 28 (±2.64) | 0.3171 |
| Creatinine Kinase U/L | 2994.75 (±2379.35) | 3251.33 (±1632.798) | 1782.75 (±1897.929) | 2337.5 (±1546.443) | 0.59 |
| Creatinine mg/dL | 0.0686 (±0.3538) | 0.0153 (±0.124) | 0.0724 (±0.0945) | 0.0665 (±0.0156) | 0.606 |
| Direct Bilirubin mg/dL | 0.0275 (±0.015) | 0.0166 (±0.0115) | 0.03 (±0.008) | 0.0266 (±0.0115) | 0.47 |
| Gamma Glutamyl Transferase (GGT) U/L | −6.25 (±4.34) | −8.33 (±5.68) | −7 (±3.829) | −6.33 (±5.131) | 0.93 |
| Lactate mg/dL | 67.95 (±10.51) | 57.866 (±8.87) * | 93.425 (±12.28) * | 41.9 (±3.49) | 0.0357 |
| I Phosphorus mg/dL | 7.57 (±1.36) | 7.13 (±0.64) * | 13.45 (±0.50) * | 9 (±1.70) | 0.0274 |
| Total Bilirubin md/dL | 0.3025 (±0.124) | 0.29 (±0.167) | 0.375 (±0.118) | 0.32 (±0.075) | 0.7576 |
| Total Protein g/dL | 4.795 (±0.21) | 4.67 (±0.2497) | 5.312 (±0.217) * | 4.48 (±0.169) * | 0.0206 |
| Globulin g/dL | 1.791 (±0.101) | 1.738 (±0.137) | 1.893 (±0.081) * | 1.6088 (±0.074) * | 0.047 |
| Alb/ Glob Ratio | 2 (±0) | 2 (±0) | 2 (±0) | 2 (±0) | 1 |
| Ratio of ALT and ALP | LMS–AD-SUR-NIS | LM-AD-SUR-NIS | LMS PBS | LM PBS |
| 0.419 | 0.623 | 0.414 | 0.490 |
Disclaimer/Publisher’s Note: The statements, opinions and data contained in all publications are solely those of the individual author(s) and contributor(s) and not of MDPI and/or the editor(s). MDPI and/or the editor(s) disclaim responsibility for any injury to people or property resulting from any ideas, methods, instructions or products referred to in the content. |
© 2023 by the authors. Licensee MDPI, Basel, Switzerland. This article is an open access article distributed under the terms and conditions of the Creative Commons Attribution (CC BY) license (https://creativecommons.org/licenses/by/4.0/).
Share and Cite
Garcia, N.; Ulin, M.; Yang, Q.; Ali, M.; Bosland, M.C.; Zeng, W.; Chen, L.; Al-Hendy, A. Survivin-Sodium Iodide Symporter Reporter as a Non-Invasive Diagnostic Marker to Differentiate Uterine Leiomyosarcoma from Leiomyoma. Cells 2023, 12, 2830. https://doi.org/10.3390/cells12242830
Garcia N, Ulin M, Yang Q, Ali M, Bosland MC, Zeng W, Chen L, Al-Hendy A. Survivin-Sodium Iodide Symporter Reporter as a Non-Invasive Diagnostic Marker to Differentiate Uterine Leiomyosarcoma from Leiomyoma. Cells. 2023; 12(24):2830. https://doi.org/10.3390/cells12242830
Chicago/Turabian StyleGarcia, Natalia, Mara Ulin, Qiwei Yang, Mohamed Ali, Maarten C. Bosland, Weiqiao Zeng, Liaohai Chen, and Ayman Al-Hendy. 2023. "Survivin-Sodium Iodide Symporter Reporter as a Non-Invasive Diagnostic Marker to Differentiate Uterine Leiomyosarcoma from Leiomyoma" Cells 12, no. 24: 2830. https://doi.org/10.3390/cells12242830
APA StyleGarcia, N., Ulin, M., Yang, Q., Ali, M., Bosland, M. C., Zeng, W., Chen, L., & Al-Hendy, A. (2023). Survivin-Sodium Iodide Symporter Reporter as a Non-Invasive Diagnostic Marker to Differentiate Uterine Leiomyosarcoma from Leiomyoma. Cells, 12(24), 2830. https://doi.org/10.3390/cells12242830

