Cell-In-Cell Structures in Early Breast Cancer Are Prognostically Valuable
Abstract
1. Introduction
2. Materials and Methods
2.1. In Vitro Experiments
2.2. Statistical Analysis
3. Results
3.1. Phagocytic Capacity of Breast Cancer Cell Lines
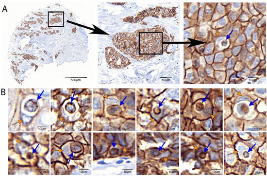
3.2. CIC in Tissue Microarrays (TMAs)
4. Discussion
5. Conclusions
Author Contributions
Funding
Institutional Review Board Statement
Informed Consent Statement
Data Availability Statement
Acknowledgments
Conflicts of Interest
References
- Fais, S.; Overholtzer, M. Cell-in-cell phenomena in cancer. Nat. Rev. Cancer 2018, 18, 758–766. [Google Scholar] [CrossRef] [PubMed]
- Overholtzer, M.; Mailleux, A.A.; Mouneimne, G.; Normand, G.; Schnitt, S.J.; King, R.W.; Cibas, E.S.; Brugge, J.S. A nonapoptotic cell death process, entosis, that occurs by cell-in-cell invasion. Cell 2007, 131, 966–979. [Google Scholar] [CrossRef] [PubMed]
- Lozupone, F.; Fais, S. Cancer Cell Cannibalism: A Primeval Option to Survive. Curr. Mol. Med. 2015, 15, 836–841. [Google Scholar] [CrossRef] [PubMed]
- Huang, H.; Chen, Z.; Sun, Q. Mammalian Cell Competitions, Cell-in-Cell Phenomena and Their Biomedical Implications. Curr. Mol. Med. 2015, 15, 852–860. [Google Scholar] [CrossRef] [PubMed]
- Liang, J.; Niu, Z.; Zhang, B.; Yu, X.; Zheng, Y.; Wang, C.; Ren, H.; Wang, M.; Ruan, B.; Qin, H.; et al. p53-dependent elimination of aneuploid mitotic offspring by entosis. Cell Death Differ. 2021, 28, 799–813. [Google Scholar] [CrossRef]
- Sun, Q.; Cibas, E.S.; Huang, H.; Hodgson, L.; Overholtzer, M. Induction of entosis by epithelial cadherin expression. Cell Res. 2014, 24, 1288–1298. [Google Scholar] [CrossRef]
- Wang, M.; Ning, X.; Chen, A.; Huang, H.; Ni, C.; Zhou, C.; Yu, K.; Lan, S.; Wang, Q.; Li, S.; et al. Impaired formation of homotypic cell-in-cell structures in human tumor cells lacking alpha-catenin expression. Sci. Rep. 2015, 5, 12223. [Google Scholar] [CrossRef]
- Overholtzer, M.; Brugge, J.S. The cell biology of cell-in-cell structures. Nat. Rev. Mol. Cell Biol. 2008, 9, 796–809. [Google Scholar] [CrossRef]
- Takeuchi, M.; Inoue, T.; Otani, T.; Yamasaki, F.; Nakamura, S.; Kibata, M. Cell-in-cell structures formed between human cancer cell lines and the cytotoxic regulatory T-cell line HOZOT. J. Mol. Cell Biol. 2010, 2, 139–151. [Google Scholar] [CrossRef]
- Lugini, L.; Matarrese, P.; Tinari, A.; Lozupone, F.; Federici, C.; Iessi, E.; Gentile, M.; Luciani, F.; Parmiani, G.; Rivoltini, L.; et al. Cannibalism of live lymphocytes by human metastatic but not primary melanoma cells. Cancer Res. 2006, 66, 3629–3638. [Google Scholar] [CrossRef]
- Sun, Q.; Luo, T.; Ren, Y.; Florey, O.; Shirasawa, S.; Sasazuki, T.; Robinson, D.N.; Overholtzer, M. Competition between human cells by entosis. Cell Res. 2014, 24, 1299–1310. [Google Scholar] [CrossRef] [PubMed]
- Mackay, H.L.; Muller, P.A.J. Biological relevance of cell-in-cell in cancers. Biochem. Soc. Trans. 2019, 47, 725–732. [Google Scholar] [CrossRef] [PubMed]
- Krajcovic, M.; Johnson, N.B.; Sun, Q.; Normand, G.; Hoover, N.; Yao, E.; Richardson, A.L.; King, R.W.; Cibas, E.S.; Schnitt, S.J.; et al. A non-genetic route to aneuploidy in human cancers. Nat. Cell Biol. 2011, 13, 324–330. [Google Scholar] [CrossRef] [PubMed]
- Mackay, H.L.; Moore, D.; Hall, C.; Birkbak, N.J.; Jamal-Hanjani, M.; Karim, S.A.; Phatak, V.M.; Piñon, L.; Morton, J.P.; Swanton, C.; et al. Genomic instability in mutant p53 cancer cells upon entotic engulfment. Nat. Commun. 2018, 9, 3070. [Google Scholar] [CrossRef]
- Wang, S.; Li, L.; Zhou, Y.; He, Y.; Wei, Y.; Tao, A. Heterotypic cell-in-cell structures in colon cancer can be regulated by IL-6 and lead to tumor immune escape. Exp. Cell Res. 2019, 382, 111447. [Google Scholar] [CrossRef]
- Sung, H.; Ferlay, J.; Siegel, R.L.; Laversanne, M.; Soerjomataram, I.; Jemal, A.; Bray, F. Global cancer statistics 2020: GLOBOCAN estimates of incidence and mortality worldwide for 36 cancers in 185 countries. CA Cancer J. Clin. 2021, 71, 209–249. [Google Scholar] [CrossRef]
- Leitlinienprogramm Onkologie. Deutsche Krebsgesellschaft, Deutsche Krebshilfe, AWMF. S3-Leitlinie Früherkennung, Diagnose, Therapie und Nachsorge des Mammakarzinoms, Version 4.3, 2021 AWMF Registernummer: 032-045OL. Available online: http://www.leitlinienprogramm-onkologie.de/leitlinien/mammakarzinom/ (accessed on 27 November 2021).
- Goldhirsch, A.; Winer, E.P.; Coates, A.S.; Gelber, R.D.; Piccart-Gebhart, M.; Thürlimann, B.; Senn, H.-J. Personalizing the treatment of women with early breast cancer: Highlights of the St Gallen International Expert Consensus on the Primary Therapy of Early Breast Cancer 2013. Ann. Oncol. 2013, 24, 2206–2223. [Google Scholar] [CrossRef]
- Ehinger, A.; Malmström, P.; Bendahl, P.-O.; Elston, C.W.; Falck, A.-K.; Forsare, C.; Grabau, D.; Rydén, L.; Stål, O.; Fernö, M.; et al. Histological grade provides significant prognostic information in addition to breast cancer subtypes defined according to St Gallen 2013. Acta Oncol. 2017, 56, 68–74. [Google Scholar] [CrossRef]
- Chavez-MacGregor, M.; Mittendorf, E.A.; Clarke, C.A.; Lichtensztajn, D.Y.; Hunt, K.K.; Giordano, S.H. Incorporating Tumor Characteristics to the American Joint Committee on Cancer Breast Cancer Staging System. Oncologist 2017, 22, 1292–1300. [Google Scholar] [CrossRef]
- Tirada, N.; Aujero, M.; Khorjekar, G.; Richards, S.; Chopra, J.; Dromi, S.; Ioffe, O. Breast Cancer Tissue Markers, Genomic Profiling, and Other Prognostic Factors: A Primer for Radiologists. Radiographics 2018, 38, 1902–1920. [Google Scholar] [CrossRef]
- McPhail, S.; Johnson, S.; Greenberg, D.; Peake, M.; Rous, B. Stage at diagnosis and early mortality from cancer in England. Br. J. Cancer 2015, 112 (Suppl. 1), S108–S115. [Google Scholar] [CrossRef] [PubMed]
- Fasching, P.A.; Gass, P.; Häberle, L.; Volz, B.; Hein, A.; Hack, C.C.; Lux, M.P.; Jud, S.M.; Hartmann, A.; Beckmann, M.W.; et al. Prognostic effect of Ki-67 in common clinical subgroups of patients with HER2-negative, hormone receptor-positive early breast cancer. Breast Cancer Res. Treat. 2019, 175, 617–625. [Google Scholar] [CrossRef]
- Schwegler, M.; Wirsing, A.M.; Schenker, H.M.; Ott, L.; Ries, J.M.; Büttner-Herold, M.; Fietkau, R.; Putz, F.; Distel, L.V. Prognostic Value of Homotypic Cell Internalization by Nonprofessional Phagocytic Cancer Cells. BioMed Res. Int. 2015, 2015, 359392. [Google Scholar] [CrossRef] [PubMed]
- Schenker, H.; Büttner-Herold, M.; Fietkau, R.; Distel, L.V. Cell-in-cell structures are more potent predictors of outcome than senescence or apoptosis in head and neck squamous cell carcinomas. Radiat. Oncol. 2017, 12, 21. [Google Scholar] [CrossRef] [PubMed]
- Zhang, X.; Niu, Z.; Qin, H.; Fan, J.; Wang, M.; Zhang, B.; Zheng, Y.; Gao, L.; Chen, Z.; Tai, Y.; et al. Subtype-Based Prognostic Analysis of Cell-in-Cell Structures in Early Breast Cancer. Front. Oncol. 2019, 9, 895. [Google Scholar] [CrossRef] [PubMed]
- Hayashi, A.; Yavas, A.; McIntyre, C.A.; Ho, Y.-J.; Erakky, A.; Wong, W.; Varghese, A.M.; Melchor, J.P.; Overholtzer, M.; O’Reilly, E.M.; et al. Genetic and clinical correlates of entosis in pancreatic ductal adenocarcinoma. Mod. Pathol. 2020, 33, 1822–1831. [Google Scholar] [CrossRef] [PubMed]
- Almangush, A.; Mäkitie, A.A.; Hagström, J.; Haglund, C.; Kowalski, L.P.; Nieminen, P.; Coletta, R.D.; Salo, T.; Leivo, I. Cell-in-cell phenomenon associates with aggressive characteristics and cancer-related mortality in early oral tongue cancer. BMC Cancer 2020, 20, 843. [Google Scholar] [CrossRef] [PubMed]
- Wang, Y.; Niu, Z.; Zhou, L.; Zhou, Y.; Ma, Q.; Zhu, Y.; Liu, M.; Shi, Y.; Tai, Y.; Shao, Q.; et al. Subtype-Based Analysis of Cell-in-Cell Structures in Esophageal Squamous Cell Carcinoma. Front Oncol. 2021, 11, 670051. [Google Scholar] [CrossRef]
- Ott, O.J.; Hildebrandt, G.; Pötter, R.; Hammer, J.; Lotter, M.; Resch, A.; Sauer, R.; Strnad, V. Accelerated partial breast irradiation with multi-catheter brachytherapy: Local control, side effects and cosmetic outcome for 274 patients. Results of the German–Austrian multi-centre trial. Radiother. Oncol. 2007, 82, 281–286. [Google Scholar] [CrossRef]
- Schwegler, M.; Wirsing, A.M.; Dollinger, A.J.; Abendroth, B.; Putz, F.; Fietkau, R.; Distel, L.V. Clearance of primary necrotic cells by non-professional phagocytes. Biol. Cell 2015, 107, 372–387. [Google Scholar] [CrossRef]
- Strnad, V.; Hildebrandt, G.; Pötter, R.; Hammer, J.; Hindemith, M.; Resch, A.; Spiegl, K.; Lotter, M.; Uter, W.; Bani, M.; et al. Accelerated partial breast irradiation: 5-year results of the German-Austrian multicenter phase II trial using interstitial multicatheter brachytherapy alone after breast-conserving surgery. Int. J. Radiat. Oncol. Biol. Phys. 2011, 80, 17–24. [Google Scholar] [CrossRef] [PubMed]
- Strnad, V.; Krug, D.; Sedlmayer, F.; Piroth, M.D.; Budach, W.; Baumann, R.; Feyer, P.; Duma, M.N.; Haase, W.; Harms, W.; et al. DEGRO practical guideline for partial-breast irradiation. Strahlenther. Und Onkol. 2020, 196, 749–763. [Google Scholar] [CrossRef] [PubMed]
- Stoian, R.; Erbes, T.; Zamboglou, C.; Scholber, J.; Gainey, M.; Sachpazidis, I.; Haehl, E.; Spohn, S.K.B.; Verma, V.; Krug, D.; et al. Intraoperative radiotherapy boost as part of breast-conservation therapy for breast cancer: A single-institution retrospective analysis. Strahlenther. Und Onkol. 2021, 197, 812–819. [Google Scholar] [CrossRef] [PubMed]
- Major, T.; Fröhlich, G.; Ágoston, P.; Polgár, C.; Takácsi-Nagy, Z. The value of brachytherapy in the age of advanced external beam radiotherapy: A review of the literature in terms of dosimetry. Strahlenther. Und Onkol. 2022, 198, 93–109. [Google Scholar] [CrossRef] [PubMed]
- Seeberg, J.C.; Loibl, M.; Moser, F.; Schwegler, M.; Büttner-Herold, M.; Daniel, C.; Engel, F.B.; Hartmann, A.; Schlötzer-Schrehardt, U.; Goppelt-Struebe, M.; et al. Non-professional phagocytosis: A general feature of normal tissue cells. Sci. Rep. 2019, 9, 11875. [Google Scholar] [CrossRef] [PubMed]
- Ruan, B.; Niu, Z.; Jiang, X.; Li, Z.; Tai, Y.; Huang, H.; Sun, Q. High Frequency of Cell-in-Cell Formation in Heterogeneous Human Breast Cancer Tissue in a Patient With Poor Prognosis: A Case Report and Literature Review. Front Oncol. 2019, 9, 1444. [Google Scholar] [CrossRef]
- Koual, M.; Tomkiewicz, C.; Guerrera, I.C.; Sherr, D.; Barouki, R.; Coumoul, X. Aggressiveness and Metastatic Potential of Breast Cancer Cells Co-Cultured with Preadipocytes and Exposed to an Environmental Pollutant Dioxin: An in Vitro and in Vivo Zebrafish Study. Environ. Health Perspect. 2021, 129, 37002. [Google Scholar] [CrossRef]






| Variables | Early Hormone Receptor Positive (%) | |
|---|---|---|
| T stage | T1mic | 4 (2.7) |
| T1a | 11 (7.5) | |
| T1b | 35 (23.8) | |
| T1c | 87 (59.2) | |
| T2 | 10 (6.8) | |
| N stage | N0 | 14 (98.0) |
| N1 | 3 (2.0) | |
| M stage | M0 | 136 (92.5) |
| M1 | 11 (7.5) | |
| Grade | G1 | 40 (27.2) |
| G2 | 102 (70.1) | |
| G3 | 4 (2.7) | |
| Ki67 | <10% | 99 (67.3) |
| ≥10% | 48 (32.7) | |
| Oestrogen receptor status | ER-positive | 143 (97.3) |
| ER-negative | 4 (2.7) | |
| Progesterone receptor status | PR-positive | 134 (91.2) |
| PR-negative | 13 (8.8) | |
| HER2 | HER2- | 9 (6.1) |
| HER2+ | 135 (91.8) | |
| n.a. | 3 (2.0) | |
| Molecular subtype | Luminal A-like | 90 (61.2) |
| Luminal B-like (Her2 negative) | 39 (26.5) | |
| Luminal B-like (Her2 positive) | 8 (5.4) | |
| n.a. | 10 (6.8) | |
| Breast Cancer | Univariate Analysis | Multivariate Analysis | ||||
|---|---|---|---|---|---|---|
| Variable | Hazard Ratio | 95% C.I. | p | Hazard Ratio | 95% C.I. | p |
| Age in years (younger 60 years [n = 51] v. older 60 years [n = 51 ]) | 0.435 | 0.104-1.827 | 0.256 | 0.596 | 0.167-2.124 | 0.425 |
| T category (Tmic. T1a. b [n = 31] v. T1c. T2 [n = 71 ]) | 1.689 | 0.36-7.928 | 0.507 | --- | --- | --- |
| Grad (1 [n = 73] v. 2. 3 [n = 29 ]) | 2.514 | 0.428-14.759 | 0.307 | 3.002 | 0.592-15.229 | 0.185 |
| Stage (UICC I [n = 36] v. UICC II and higher [n = 66 ]) | 2.452 | 0.182-32.996 | 0.499 | --- | --- | --- |
| Ki67 (≤10% [n = 92] v. >10% [n = 10 ]) | 8.387 | 2.015-34.902 | 0.003 | 7.016 | 1.941-25.366 | 0.003 |
| Tumour size (mm) (≤15 [n = 68] v. >15 [n = 34 ]) | 0.075 | 0.006-0.968 | 0.047 | 0.147 | 0.018-1.178 | 0.071 |
| Her2 status (negative [n = 95] v. positive [n = 7 ]) | 2.611 | 0.219-31.129 | 0.448 | --- | --- | --- |
| ER status (negative [n = 2] v. positive [n = 100 ]) | 117.184 | 0-251.235 | 0.989 | --- | --- | --- |
| PR status (negative [n = 9] v. positive [n = 93 ]) | 0.353 | 0.035-3.604 | 0.380 | --- | --- | --- |
| CIC in central cancer (w/o CIC [n = 51] v. CIC [n = 51 ]) | 0.134 | 0.026-0.692 | 0.016 | 0.192 | 0.048-0.757 | 0.018 |
Disclaimer/Publisher’s Note: The statements, opinions and data contained in all publications are solely those of the individual author(s) and contributor(s) and not of MDPI and/or the editor(s). MDPI and/or the editor(s) disclaim responsibility for any injury to people or property resulting from any ideas, methods, instructions or products referred to in the content. |
© 2022 by the authors. Licensee MDPI, Basel, Switzerland. This article is an open access article distributed under the terms and conditions of the Creative Commons Attribution (CC BY) license (https://creativecommons.org/licenses/by/4.0/).
Share and Cite
Bauer, M.F.; Hildebrand, L.S.; Rosahl, M.-C.; Erber, R.; Schnellhardt, S.; Büttner-Herold, M.; Putz, F.; Ott, O.J.; Hack, C.C.; Fietkau, R.; et al. Cell-In-Cell Structures in Early Breast Cancer Are Prognostically Valuable. Cells 2023, 12, 81. https://doi.org/10.3390/cells12010081
Bauer MF, Hildebrand LS, Rosahl M-C, Erber R, Schnellhardt S, Büttner-Herold M, Putz F, Ott OJ, Hack CC, Fietkau R, et al. Cell-In-Cell Structures in Early Breast Cancer Are Prognostically Valuable. Cells. 2023; 12(1):81. https://doi.org/10.3390/cells12010081
Chicago/Turabian StyleBauer, Mareike F., Laura S. Hildebrand, Marie-Charlotte Rosahl, Ramona Erber, Sören Schnellhardt, Maike Büttner-Herold, Florian Putz, Oliver J. Ott, Carolin C. Hack, Rainer Fietkau, and et al. 2023. "Cell-In-Cell Structures in Early Breast Cancer Are Prognostically Valuable" Cells 12, no. 1: 81. https://doi.org/10.3390/cells12010081
APA StyleBauer, M. F., Hildebrand, L. S., Rosahl, M.-C., Erber, R., Schnellhardt, S., Büttner-Herold, M., Putz, F., Ott, O. J., Hack, C. C., Fietkau, R., & Distel, L. (2023). Cell-In-Cell Structures in Early Breast Cancer Are Prognostically Valuable. Cells, 12(1), 81. https://doi.org/10.3390/cells12010081

