Abstract
The sugarcane streak mosaic virus (SCSMV) is the most important disease in sugarcane produced in southern China. The SCSMV encoded protein 1 (P1SCSMV) is important in disease development, but little is known about its detailed functions in plant–virus interactions. Here, the differential accumulated proteins (DAPs) were identified in the heterologous expression of P1SCSMV via a potato virus X (PVX)-based expression system, using a newly developed four-dimensional proteomics approach. The data were evaluated for credibility and reliability using qRT-RCR and Western blot analyses. The physiological response caused by host factors that directly interacted with the PVX-encoded proteins was more pronounced for enhancing the PVX accumulation and pathogenesis in Nicotiana benthamiana. P1SCSMV reduced photosynthesis by damaging the photosystem II (PSII). Overall, P1SCSMV promotes changes in the physiological status of its host by up- or downregulating the expression of host factors that directly interact with the viral proteins. This creates optimal conditions for PVX replication and movement, thereby enhancing its accumulation levels and pathogenesis. Our investigation is the first to supply detailed evidence of the pathogenesis-enhancing role of P1SCSMV, which provides a deeper understanding of the mechanisms behind virus–host interactions.
1. Introduction
Sugarcane (Saccharum officinarum L.) is an important biomaterial and is widely cultivated in tropical and subtropical regions. In Brazil and India, sugarcane is typically used for sugar extraction and ethanol productions []. Sugarcane reproduces asexually, so it is easily infected by various plant viruses that cause diseases, including sugarcane yellow leaf disease [], sugarcane mosaic disease (SMD) [], and sugarcane bacilliform virus disease []. In India, approximately 50 diseases have been reported in sugarcane []. SMD caused by sugarcane mosaic virus (SCMV), sugarcane streak mosaic virus (SCSMV), and sorghum mosaic virus infections dramatically decreased sugarcane production and led to varietal degeneration in the field []. SCSMV belongs to the genus Poacevirus of the family Potyviridae and has become widespread in the primary sugarcane-cultivating areas of China in recent years []. SCSMV is a positive single-stranded RNA virus of approximately 9.8 kb that encodes one large polyprotein. Its mature form contains 10 proteins after separation by hydrolytic cleavage []. SCSMV can be mechanically transmitted through infected cuttings during asexual reproduction in the field []. SCSMV-infected sugarcane shows various symptoms, such as uneven leaf size, fading leaf colour, and the formation of irregular mosaics, streaks, or mottles []. Hence, virus infection severely alters the developmental and physiological state of the host plant and the signal transduction processes (proteins) involved in SCSMV–sugarcane interactions.
Previous studies have demonstrated that the P1 protein of SCSMV (P1SCSMV) has a strong RNA silencing suppressor (RSS) activity [] and several conserved motifs that are positively associated with its RSS activity and protein stability []. P1 encoded by Triticum mosaic virus (TriMV), which also belongs to the genus Poacevirus, can suppress the host antiviral RNA silencing pathway through double-stranded RNA (dsRNA) binding activity []. As a virus-encoded RNA silencing suppressor (VSR), the P1 of Poacevirus could act as a disease-enhancer in the cis-heterogeneous expression of the potato virus X (PVX) in Nicotiana benthamiana []. VSRs often directly or indirectly inhibit or modulate plant innate immunity to achieve the multifunctional roles in virus–plant interactions [,,]. However, how P1SCSMV alters the physiological states and signal transduction processes (proteins) of the host plant is still obscure.
Recently, significant advances in large-scale, high-quantification accuracy and dynamic range technologies have been achieved. They include label-free peptide quantitation with enhanced ion mobility, also called four-dimensional (4D) proteomics [,]. Owing to the low sample requirement, high accuracy, and wide proteome coverage, the 4D-proteomic approach has become one of the primary tools in functional genomics studies in different research fields [,,,]. In agricultural science, label-free peptide quantitation proteomics has been widely used to characterise plant responses to abiotic and biotic stresses, including stresses caused by plant virus infections [,]. Due to a lack of the infectious clone of SCSMV, the PVX-mediated overexpression system is well-characterised, with high protein expression levels, systemic infection, and persistence in N. benthamiana [,]. Thus, the PVX system was utilised to analyse the response of viral-mediated cis-overexpression of P1SCSMV compared with that of green fluorescence protein (GFP) in N. benthamiana. This experiment was tested using the 4D-proteomic approach.
In the present study, we functionally annotated differentially accumulated proteins (DAPs) that were identified in leaves where P1SCSMV was expressed. The credibility and reliability of the proteomic data were evaluated using qRT-RCR and Western blot analyses. The physiological response caused by host factors that directly interacted with the PVX encoded proteins was more pronounced for enhancing the PVX accumulation and pathogenesis in N. benthamiana. Moreover, P1SCSMV attenuates host photosynthesis by damaging PSII. Taken together, P1SCSMV plays a significant role in altering the physiological status of its host by up- or downregulating the expression levels of the host factors that directly interact with the viral proteins. This creates an optimal condition for PVX replication and movement and enhances the accumulation levels and pathogenesis of PVX in N. benthamiana. To our knowledge, our investigation provided the first detailed evidence of the pathogenesis-enhancing role of P1SCSMV, which will help to form a deeper understanding of the mechanisms underlying virus–host interactions.
2. Materials and Methods
2.1. Viral-Derived Vector Construction
The P1SCSMV ORF sequence was amplified by the primers pTSK/3′FlagClaI/F (5′-CCATCGATATGGACTACAAAGACGATGACGACAAAGA-3′) and SCSMV-P1/5′SalI/R (5′-GCGTCGACTCAATAAAATACTAAATCTTC-3′). After recycling the target fragment, Cla I and Sal I were used for double digestion. The digested product was ligated to the Cla I-/Sal I-digested viral vector pND108 [] and thus generated the plasmid PVX-P1SCSMV. The original pGreen208 [] vector was named PVX-GFP.
2.2. Plant Growth Conditions and Virus Inoculation
A climate-controlled chamber with 16 h light (~80 mmol/m2) and 8 h dark photoperiod at 24 °C was used for the growth of N. benthamiana plants. The agrobacteria containing the cDNA clones of PVX-GFP and PVX-P1SCSMV were cultured on Luria Bertani (LB) plates with corresponding antibiotics for 2 days, then transferred to LB broth. After overnight shaking cultivation, the agrobacteria were harvested and suspended in agrobacterium suspension buffer. The final infiltration concentration of PVX-GFP and PVX-P1SCSMV was 0.4 (OD600).
2.3. Antiserum Preparation
Prokaryotic expression and purification of the recombinant His-CPPVX proteins was carried out using E. coli strain BL21, and the obtained proteins were used to immunise New Zealand white rabbits for generation of the polyclonal CPPVX-specific antibodies. After five immunisations in 40 days, the antiserum was obtained and the titer was determined. By further precipitation and dialysis, the purified CPPVX-specific antibodies were obtained.
2.4. Measurement of the Photosynthesis
The influence of SCSMV infection on sugarcane photosynthesis was determined by the GFS-3000 and Dual-PAM-100 measuring devices (Heinz Walz GmbH, Effeltrich, Germany). In the test, the temperature, CO2 concentration, relative humidity, and red actinic light were set at 25 °C, 400 ppm, 65%, and 267 micro-mol·m−2·s−1 in the test, respectively. The dark fluorescence yield (F0) and maximum fluorescence (Fm) were certified by darkness treatment of the samples for 30 min. The steady-state fluorescence yield (F) and maximum fluorescence yield (Fm′) were calculated during the light stage. The electron transport rate (ETR) of PSII was determined as described previously [,]. The net photosynthesis rate (Pn) and intracellular CO2 mole fraction (Ci) were calculated by GFS-3000 and its software, as previously described [].
2.5. Agroinfiltration and GFP Imaging to Investigate the RNA Silencing Suppressor Activity
The plasmids PVX-GFP and PVX-P1SCSMV were transformed to Agrobacterium tumefaciens GV3101 by a freeze–thaw method, as described previously []. The LB medium (100 mg/L Kan and 25 mg/L Rif) was used for A. tumefaciens culturing. After culturing for 10–16 h at 28 °C by shaking at 220 rpm, the cells were collected by centrifugation at 3000× g for 10 min, followed by suspension with infiltration buffer, and incubation at 28 °C more than 2 h prior to infiltration, as previously described [].
To evaluate the RNA silencing suppression activity of P1SCSMV protein, the A. tumefaciens-containing 35S-driven ssGFP cassettes combined with equal amounts of bacterial suspensions (harbouring plasmids of PVX-GFP and PVX-P1SCSMV), with optical density (OD600 = 0.5), were inoculated into the abaxial leaves of 6-week-old N. benthamiana with a needle-free syringe. After 5 dpi, a long-wave ultraviolet lamp (B-100AP/R, UVP) was used to observe the intensity of the green fluorescence. The plants were photographed by a digital camera (EOS 80D, Canon) with a yellow filter (Gelatin filter No. 15, Kodak).
2.6. Western Blotting and Coomassie Brilliant Blue (CBB) Staining
The inoculated N. benthamiana leaves were collected and homogenised in liquid nitrogen, followed by adding equal volumes of protein loading buffer, as described previously []. The samples were vortexed and boiled in distilled water for 10 min, then centrifuged at 12,000× g for 10 min. The supernatant was loaded to the 12.5% SDS-PAGE and separated by electrophoresis. The gel was stained by Coomassie brilliant blue (CBB) and decolourised with 10% acetic acid.
Western blot analyses were performed, as previous described []. The proteins on the gel were transferred to nitrocellulose membranes (Hybond-C, GE Healthcare). The membrane was blocked, incubated with a P1SCSMV-specific primary antibody, followed by incubation with a secondary antibody conjugated to protein A-alkaline phosphatase (Sigma-Aldrich, Shanghai, China). The antibodies used for analysis of endogenous proteins (RP-1, CAT, GST, L-ASO, LBC, and ARC5) were purchased from Agrisera (Olink® Group, Uppsala, Sweden), and the commodity codes were AS10 687S, AS09 501, AS09 479, AS08 368, AS13 2709, and AS13 2676, respectively. The colour reaction was developed by adding the substrate solution (NBT and BCIP). The results were scanned by a scanner (CanonScanLiDE300, Canon, Japan).
2.7. Real-Time PCR Quantification of the Gene Expression
The TRIzol Reagent (Thermo Fisher Scientific, Shanghai, China) was used for total RNA isolation from plant leaves, and the cDNA was obtained from 1.0 μg RNA by reverse transcription reaction using M-MLV reverse transcriptase (Sigma-Aldrich, Shanghai, China). The quantification of gene expression analyses was performed on a CFX96 Touch Real-Time PCR Detection System (Bio-Rad, Hercules, USA) based on SsoFast EvaGreen Supermix (Bio-Rad, USA), as described previously []. The obtained cycle threshold (Ct) values were automatically calculated by the Bio-Rad CFX Manager 3.0 software. The NbEF1a gene was chosen as the internal control for the candidate gene expression analyses. The primers used in the study of gene expression are listed in Tables S1 and S2. The reactions were performed in triplicate, and the results were averaged.
2.8. Northern Blotting and DIG-Labelled PVX Specific DNA Probe Preparation
We designed the primers PVX/CP/F (5′-GCTGTCGCAACAAATGAGG-3′) and PVX/CP/R (5′-GTCGTTGGATTGTGCCCTG-3′) for amplification of the CPPVX-specific cDNA fragment. DIG-11-dUTP (Roche) was purchased and mixed with equal amounts of dATP, dCTP, and dGTP, and the final concentration of each was 10 mM. We used the prepared dNTPs for PCR and obtained the specific DIG-labelled DNA probe.
Northern blot was performed, as previously described [], with minor modifications. Leaves infiltrated with A. tumefaciens were harvested, and total tissue RNA was isolated. The RNA was quantified with a NanoDrop ND-1000 (Thermos Fisher Scientific), which was denatured before loading to the 1.2% agarose/1.1% formaldehyde gel. We used 5 μg of total RNA that was separated by electrophoresis and transferred to Hybond-N+ membranes (GE Healthcare, USA). The membranes were fixed by UV crosslinking and stained with methylene blue. The prepared CPPVX-specific DIG-labelled DNA probe was added to the prehybridisation solution and hybridised overnight at 65 °C. After washing three times with SSC solution, the membrane was blocked with 1.2% evaporated milk, followed by incubation with the DIG-AP conjugated antibody (Merck). The colour reaction procedure was performed in the same way as previously described in the Western blot analyses.
2.9. Extraction of Total Proteins from Plant Tissue
Samples were homogenised in liquid nitrogen, after which the powder was transferred to a 5 mL centrifuge tube containing an equal volume of lysis buffer (1% TritonX-100, 10 mM dithiothreitol, and 1% protease inhibitor cocktail, 50 μM PR-619, 3 μM TSA, 50 mM NAM, and 2 mM EDTA). Thereafter, samples were sonicated three times on ice for 30 min using a high-intensity ultrasonic processor (Scientz), after which an equal volume of Tris-saturated phenol (pH = 8.0) was added and the samples were vortexed for 5 min. After centrifugation (4 °C, 10 min, 5000× g), the upper phenol phase was transferred to a new centrifuge tube. Total proteins were precipitated by ammonium sulfate-saturated methanol and incubated at −20 °C for at least 6 h. After centrifugation (4 °C, 10 min, 5000× g), the supernatant was discarded, and the precipitate was washed with ice-cold methanol once and ice-cold acetone three times. The precipitate was redissolved in 8 M urea. The concentration and the quantity of extracted protein was determined using a BCA kit (Thermos Fisher Scientific) and SDS-PAGE electrophoresis, respectively.
2.10. Digestion, LC-MS/MS, Database Searching, and Bioinformatics Analysis
The prepared plant total protein was reduced with 5 mM dithiothreitol for 30 min at 56 °C and alkylated with 15 mM iodoacetamide for 20 min at 56 °C in darkness. The protein samples were diluted with 100 mM TEAB to reach a urea concentration of less than 2 M. Trypsin was added to the protein samples according to the ratio of 1:100 (m/m) for digestion overnight.
The tryptic peptides were dissolved in 0.1% formic acid (solvent A), directly loaded onto a homemade reversed-phase analytical column (25 cm length, 75 μm i.d. 1.9 µm) for separation using a NanoElute UPLC system (Bruker, Salbrucken, Germany). The solvent B (0.1% formic acid in acetonitrile) gradient was composed of an increase from 4% to 6% over 2 min, 6% to 25% in 5 min, 25% to 32% in 5 min, 32% to 80% in 5 min, then climbing to 80% in 3 min before holding at 80% for the last 3 min, all at a constant flow rate of 280 nL/min.
The separated peptides were subjected to capillary ion source for ionisation, followed by timsTOF Pro (Bruker, Germany) analyses. The electrospray voltage applied was 1.4 kV. Peptide parent ions and their secondary fragments were detected and analysed with the TOF system. The m/z scan range was 100 to 1800 for a full scan. The data acquisition mode selected was Parallel Accumulation Serial Fragmentation (PASEF). Once the first mass spectrometry spectrum was obtained, the MS-MS spectrum was generated by 20 times PASEF data collection of parent ions with charge numbers ranging from 0 to 5, with 24 s dynamic exclusion to avoid repeated scanning.
The raw data acquired from the Bruker timsTOF Pro were subjected to Progenesis QI for proteomics v2.0 (NonLinear Dynamics). The Maxquant search engine (v.1.6.6.0, Max Planck Institute, Munich, Germany, https://www.maxquant.org/, accessed on 9 September 2022) was used to process the MS/MS data. The searching parameter settings were as follows: N. benthamiana reference genome, 76,474 proteins, https://solgenomics.net/, accessed on 9 September 2022.
The resulting MS/MS data were processed using the Maxquant search engine (v.1.5.2.8, cox and Matthias Mann, Max Planck Institute, Germany). Tandem mass spectra were searched against the N. benthamiana protein database (https://solgenomics.net/, accessed on 9 September 2022) and Uniport database, concatenated with the reverse decoy database. The FDR (false discovery rate) was adjusted to 1% to decrease the false positive rate, and the common pollution data were added to the database to remove the influence of the contaminations. Trypsin/P was specified as the cleavage enzyme, allowing up to two missing cleavages. The mass tolerance for precursor ions was set as 40 ppm in the first search and 40 ppm in the main search, and the mass tolerance for fragment ions was set as 0.04 Da. The FDR of the protein and peptide-spectrum identification matches was set as 1%.
2.11. Generation of P1SCSMV Transgenic N. benthamiana Plants
Agrobacterium strain EHA105 containing the plasmid pGWB14-P1SCSMV was prepared. Then, the leaf disc transformation method was applied to generate transgenic plants []. The cultivation, regeneration, and genomic DNA extraction of the explants, as well as PCR analysis, were performed as previously described [].
2.12. Statistical Analysis
Student’s t-test and Tukey’s post hoc test was carried out to determine statistical significances in protein relative expression levels between samples. For quantification of proteins, the Progenesis LC-MS software was used for analysing the protein abundance values. The abundance of a protein was considered to be increased or decreased when the abundance was, respectively, higher (>1.50-fold change) or lower (<0.67-fold change) with or without P1SCSMV expression by PVX.
The Image J software (v2.0, National Institutes of Health, Bethesda, USA, http://imagej.nih.gov/ij/, accessed on 9 September 2022) was used to quantify the intensity of the WB. The reaction colour in the PVDF membranes was determined according to the manufacturer’s instructions. Three membranes from independent experiments were measured. Each membrane was measured three times, and the results indicate the average intensity of the band colour that appeared.
3. Results
3.1. Heterologous and Cis-Expression of P1SCSMV Enhances Viral Pathogenicity
The biological functions of P1SCSMV were explored using a virus-derived overexpression vector based on PVX. The chimeric viruses PVX-GFP and PVX-P1SCSMV were obtained by inserting the opening reading frames of GFP and P1SCSMV into the viral overexpression vector. The agrobacterial inoculation medium, containing either PVX-GFP or PVX-P1SCSMV and ssGFP, was injected into the leaves of transgenic N. benthamiana, plant line 16c. At five days post inoculation (dpi), the PVX-P1SCSMV/ssGFP-injected leaves showed a strong fluorescent signal compared to those injected with PVX-GFP/ssGFP (Figure 1A). This indicates the activity of P1SCSMV as a VSR that can suppress systemic RNA silencing by the host plant.

Figure 1.
Disease-enhancing role of P1SCSMV and the workflow of 4D-proteomics. (A) Validation of the RNA silencing suppression activity by cis-heterologously expressing GFP or sugarcane streak mosaic virus protein 1 (P1SCSMV) by potato virus X (PVX) on 16c transgenic Nicotiana benthamiana at 5 days post inoculation (dpi). The white arrows indicate the inoculated leaves. (B) Western blot was performed to detect the protein: upper panel: P1SCSMV-specific antibody; middle panel: CPPVX-specific antibody; bottom panel: large subunit of Rubisco was stained with Coomassie brilliant blue (CBB), which was used as a loading control. (C) Northern blotting was adapted to detect PVX accumulation in cis-heterologously expressed GFP and P1SCSMV plants. Methylene blue-stained rRNA was used as a loading control. (D) Workflow for characterisation of the mechanisms of the disease-enhancing role of P1SCSMV that is cis-heterologously expressed via PVX based on four-dimensional (4D) proteomics.
Western blot analysis with specific antibodies showed a heterologous expression of P1SCSMV in the upper leaves, thereby suggesting that the chimeric virus PVX-P1SCSMV achieved a systemic infection of N. benthamiana (Figure 1B). At eight dpi, the upper leaves were collected for the isolation of total RNA, which was used in Northern blot analyses with specific probes complementary to the CP gene of PVX. We found that genomic RNA was more abundant in cis-heterologously expressed plants injected with PVX-P1SCSMV than in those with PVX-GFP (Figure 1C). Stunted growth and necrosis of inoculated leaves was observed in plants infected with PVX-P1SCSMV compared to those infected with PVX-GFP (Figure 1D). Considered together, the PVX-induced cis-heterologous expression of P1SCSMV enhanced the pathogenicity of the recombinant virus and aggravated viral disease symptoms in N. benthamiana.
3.2. Identification, Quantification, and Analyses of DAPs after 4D Label-Free LC-MS/MS
Recently, VSRs have been linked to an increasing number of new functions beyond their basic role as a suppressor of host antiviral responses [,,]. To determine whether the new role of P1SCSMV contributed to an enhanced virus accumulation in infected plants, the proteomic changes resulting from the observed cis-heterologous expression of GFP and P1SCSMV were analysed. This was performed using a label-free LC-MS/MS-based quantitative proteomics approach. At eight dpi, the upper leaves of plants in both treatment groups were collected, and total proteins were extracted. The general workflow of the 4D label-free LC-MS-/MS-based quantitative proteomics approach developed for this study is shown in Figure 1D.
A total of 272,951 spectra were obtained, and 117,636 spectra were matched to the N. benthamiana protein database (Figure S1A, Table S3). After bioinformatics analyses and searching, 6235 proteins were identified. Among them, 4125 quantifiable proteins were detected (Figure S1A). In the quality validation process, with average mass error controlled to below 0.02 Da, 27,317 peptides were detected, suggesting the high mass accuracy of the MS data (Figure S1B). Principal component analysis and Pearson’s correlation coefficient displayed sufficient reproducibility of our experiment (Figure S1C,D). All these results demonstrate that the proteomic sequencing data were credible and reliable.
Two volcanic maps were plotted to understand the identified DAPs. The total number of DAPs was 2843 and 122 when the fold change (FC) was set to higher than 1.5 or 2, respectively, and the p-value was less than 0.05. In group I (FC ≥ 1.5, p < 0.05), 140 proteins were upregulated and 143 downregulated (Figure S1E). In group II (FC ≥ 2, p < 0.05), 69 proteins were upregulated and 53 downregulated (Figure S1F). In summary, the results indicate that the physiological status of N. benthamiana was severely affected by the conditioning cis-expression of P1SCSMV.
To clearly visualise the identified DAPs (Table S4), we took the proteins from group II to draw a heat map (Figure 2). The most abundant proteins were a 5-epi-aristolochene synthase-like isoform X1 (NbEAS, 57.252 FC), a pathogenesis-related protein (NbPR-1, 18.169 FC), and an endochitinase A (NbECA, 15.126 FC). The least abundant proteins were a xyloglucan endotransglucosylase/hydrolase protein (NbXTH, 0.208 FC), a 101 kDa heat shock protein (NbHSP, 0.211 FC), and a Dynamin-like protein ARC5 (NbARC5, 0.217 FC) (Figure 2).

Figure 2.
Heat map of the differentially accumulated proteins (DAPs) under heterogeneous expression of P1SCSMV in Nicotiana benthamiana.
The proteins were ranked based on the fold change abundance values. The parameters were set as fold change (FC) ≥ 2 and p-value < 0.05. Among the 122 DAPs, 69 were upregulated and 53 were downregulated.
3.3. COG/KOG Annotation and KEGG Enrichment Analyses of DAPs
To better understand the functions of the DAPs, a Clusters of Orthologous Groups of proteins/Eukaryotic Orthologous groups (COG/KOG) annotation analysis was performed. The COG/KOG analysis classified 72.8% of all DAPs into four categories and 21 groups as follows (Figure 3): (1) metabolism (35.3%), (2) information storage and processing (9.2%), (3) cellular processes and signalling (15.9%), and (4) uncharacterised (12.4%). In category 1, the majority of the proteins (25.4%) had high abundance, whereas 9.9% of the proteins had low abundance. Category 2 contained 7.4% high-abundance proteins and 1.8% low-abundance proteins. In category 3, 9.5% of proteins were low-abundance, and 6.4% were high-abundance. Finally, in category 4, 7.1% were low abundance proteins, and 5.3% were high abundance proteins. Additionally, the COG/KOG annotation analysis showed that energy production and conversion (12 high, 1 low), lipid transport and metabolism (13 high, 4 low), and amino acid transport and metabolism (13 high, 5 low) were significantly upregulated, whereas transcription (4 low, 1 high), translation, ribosomal structure and biogenesis (12 low, 3 high), post-translational modification, protein turnover, and chaperones (14 low, 10 high) were downregulated. These data suggest that P1SCSMV accelerates energy metabolism, lipid and amino acid transport, and metabolism. Furthermore, it suppresses RNA and protein biogenesis and protein degradation in plants.

Figure 3.
COG/KOG functional classification of differentially accumulated proteins grouped into 21 categories. The letters from A to V represent different categories according to the gene functions. Each category has three types of columns filled with solid colour and coloured slashes. The solid-colour-filled columns represent total regulated DAPs, and the coloured slash-filled columns represent up- and downregulated DAPs, respectively.
Additionally, the KEGG pathway analysis identified 17 pathways in which DAPs were involved. The most enriched pathways were selected and are listed in Table S5. Most DAPs were involved in the mitogen-activated protein kinase signalling pathway, fatty acid degradation, phenylpropanoid biosynthesis, α-linolenic acid metabolism, biosynthesis of unsaturated fatty acids, photosynthesis (antenna proteins), and transport and catabolism (peroxisomes). Only two β-D-glucan exohydrolases showed low abundance in the phenylpropanoid biosynthesis pathway. Overall, these results suggest that P1SCSMV activated the defence mechanisms of the host (e.g., the mitogen-activated protein kinase signalling pathway, and transport and catabolism by peroxisomes). Additionally, it promoted the transformation of fatty acids to unsaturated fatty acids or α-linolenic acids. The five identified antenna proteins indicate that P1SCSMV increased the assimilating activity of light energy during photosynthesis.
3.4. Gene Ontology Enrichment Analysis
To refine the affection of cis-heterologous expression of the P1SCSMV protein by PVX in N. benthamiana, gene ontology (GO) enrichment analyses of the host DAPs were performed. The DAPs were categorised into three groups: (1) biological processes, (2) cellular components, and (3) molecular functions. The detailed analyses of group 1 indicated that the overall metabolism of the host, single-organism processes and the cellular processes were severely affected (Figure 4A). These results are in line with those obtained by KEGG pathway analyses (fatty acid degradation, phenylpropanoid biosynthesis, α-linolenic acid metabolism, and biosynthesis of unsaturated fatty acids were highly abundant). In group 2, differential regulation of cells, membranes, organelles, and macromolecular complex exchange were affected. This indicates that the physiological state, cellular architecture, and membrane stability of the plant were altered by the heterologous expression of P1SCSMV (Figure 4B). Group 3 showed that catalytic activity and binding were the most affected molecular functions (Figure 4C), suggesting that normal cellular activity was compromised.


Figure 4.
GO classification of differentially abundant proteins divided into three categories. (A) Biological processes. (B) Cellular components. (C) Molecular functions. Each category contains metabolic processes, single-organism processes, cellular processes, responses to stimuli, localisations, and others.
3.5. Validation of the Selected DAPs by qRT-PCR and Western Blotting
The samples from the transcriptome analysis were used to validate the DAPs at the transcriptional level. Twelve proteins were selected (Table S6), and gene-specific primers were designed (Table S1). The results of the qRT-PCR analysis of the 12 genes corresponding to the selected proteins showed that the expression of six proteins was upregulated, whereas the expression of the remaining proteins was downregulated. In particular, 5-epi-aristolochene synthase-like (NbEAS-like; 57.2 folds), endochinase A (NbECA; 15.1 folds), and pathogenesis-related protein 1-like (NbPR-1-like; 18.1 folds) were significantly upregulated (Figure 5A–C, Protein Lane). The expression levels of catalase (NbCAT; 5.5 folds), glutathione S-transferase U9-like (NbGST; 3.7 folds), and L-ascorbate oxidase-like isoform X2 (2.8 folds) were also upregulated (Figure 5D–F, Protein Lane). The results of the qRT-PCR analyses showed the transcription level of these upregulated proteins was in line with the proteomic data (Figure 5A–F, RNA Lane). The six downregulated genes were as follows: lycopene beta cyclase (NbLBC; 1.5 folds), cell division protein FtsZ homolog 1 (NbFtsZ; 2.5 folds), psbP domain-containing protein 5 (NbPsbP like; 3.8 folds), dynamin-like protein ARC5 isoform (NbARC5i; 4.6 folds), aspartic proteinase (NbASP; 4.4 folds), and xyloglucan endotransglucosylase (NbXTH; 4.8 folds) (Figure 5G–L, left panel). Additionally, the qRT-PCR results showed that the transcription level of the downregulated proteins decreased (Figure 5G–L, right panel). Taken together, these results confirm that the expression of the proteins and their corresponding RNA transcription occurred simultaneously.

Figure 5.
Validation of the relative expression levels of partial DAPs by qRT-PCR in Nicotiana benthamiana. Six upregulated and six downregulated DAPs were selected, and their corresponding mRNA expression levels were quantified by qRT-PCR analyses (left panel: protein expression level; right panel: RNA relative expression level). (A) 5-Epi-aristolochene synthase-like (EAS). (B) Endochitinase A (ECA). (C) Pathogenesis-related protein 1 like (PR-1 like). (D) Catalase (CAT). (E) Glutathione S-transferase U9-like (GST). (F) L-ascorbate oxidase-like isoform X2. (G) Lycopene beta cyclase, chloroplastic. (H) Cell division protein FtsZ homologue 1 (FtsZ). (I) PsbP domain-containing protein 5 (PsbP-like). (J) Dynamin-like protein ARC5 isoform (ARC5i). (K) Xyloglucan endotransglucosylase (XTHs). (L) Aspartic proteinase (ASP). Columns filled with green represent PVX-GFP-infected plants, whereas the red-filled columns refer to PVX-P1SCSMV-infected plants. The processed data were statistically analysed using SPSS software (version 22.0, IBM), and comparison analyses were performed by one-way analysis of variance (ANOVA). Different letters (a & b) mean significant difference between these two columns.
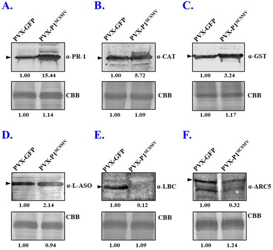
For further validation of the protein expression level, we purchased six specific antibodies against pathogenesis-related protein 1-like (NbPR-1 like), catalase (NbCAT), glutathione S-transferase (NbGST), L-ascorbate oxidase (NbL-ASO), lycopene beta cyclase (NbLBC), and dynamin-like protein ARC5 isoform (NbARC5i). Western blot analyses were performed, and the results showed that the expression of NbPR-1 like, NbCAT, NbGST, and NbL-ASO were upregulated (Figure 6A–D). The expression of NbLBC and NbARC5i proteins were downregulated (Figure 6E–F). Protein quantitative analysis results strongly agreed with the proteomic data using the ImageJ software. In summary, Western blot results were in line with the qRT-PCR and proteomic data, and once again strongly evidenced that the qualitative proteomic data are convincing and reproducible.

Figure 6.
Validation of the relative expression levels of partial DAPs by Western blot in Nicotiana benthamiana. Six DAPs that showed different regulatory patterns (four upregulated and two downregulated) were selected for further validation of the reliability and reproducibility of the proteomics data. (A) Pathogenesis-related protein 1 like (PR-1 like). (B) Catalase (CAT). (C) Glutathione S-transferase U9-like (GST). (D) L-ascorbate oxidase-like isoform X2 (ASO). (E) Lycopene beta cyclase (LBC). (F) Dynamin-like protein ARC5 isoform (ARC5i). Each picture was replicated three times, and ImageJ software was used for protein expression level quantification. CCB staining was performed on the Rubisco large subunit, which was utilised as the loading control.
3.6. Effects of Is-Heterogeneous Expression of P1SCSMV on Intercellular Spread of PVX
To uncover the mechanism of the enhancing role of P1SCSMV on PVX pathogenesis, we wanted to explain the mechanism from the perspective of the expression profile of the candidate interacting proteins of PVX-encoded proteins. Twenty-two candidate host proteins—including NbeEF1A (Eukaryotic translation elongation factor 1A) [], NbeEF1Bβ1 (Plant translation elongation factor), NbeEF1Bβ2 [], NbTIPs [], NbFD1 (Ferredoxin 1) [], NbREM1–NbREM4 [], NbPlastocyanin [], NbActins [], NbPCIP1-1–NbPCIP1-3 [], NbMPB2Cb-1, NbMPB2Cb-2 (TMV-MP30 binding protein 2C, MPB2C) [], and NbCPIP1–NbCPIP4 (CP interacting proteins, CPIPs) []—were selected for further analyses of their expression and transcription levels in the presence and absence of P1SCSMV in N. benthamiana.
The NbeEF1A binds to the p33 replicase and the 3′ end cis-acting element of tomato bushy stunt virus RNA, promoting viral genomic RNA replication by stabilising the replication complex []. The NbeEF1A and NbeEF1Bγ act synergistically for tombusvirus replication by stimulating viral negative-strand RNA syntheses []. The NbeEF1Bβ1 and NbeEF1A were found to directly interact with the triple gene block 1 (TGB1) of potato virus X, promoting viral infection of pepper and N. benthamiana. From the qRT-PCR results, we know that the relative expression levels of plant translation elongation factor-related factors (NbeEF1A, NbeEF1Bβ1, and NbeEF1Bβ2) were not altered (Figure 7A,B), which implies that these factors might not be affected in P1SCSMV overexpression conditions.

Figure 7.
Relative expression levels of genes for ten candidate host factors that direct interactions with PVX-encoded proteins, as evaluated by qRT-PCR. Ten candidate genes, including NbeEF1A (A), F1Bβs (B), NbTIPs (C), NbFD1 (D), NbREMs (E), NbPlastocyanin (F), NbActins (G), NbPCIP1s (H), NbMPB2Cbs (I), and NbCPIPs (J) interacted with the PVX-encoded proteins directly. The green columns refer to the PVX-GFP-infected plants, while red columns stand for the PVX-P1SCSMV-infected plants. The SPSS software was used for statistical analysis. Different letters (a & b) mean significant difference between these two columns.
The biological function of TIP has been linked with callose degradation of the cell wall, which can be recruited to the plasmodesmata by the TGB2PVX protein to increase the cell size exclusion limit (SEL) and contribute to intercellular viral movements []. In our analyses, we found that the relative levels of NbTIPs were reduced under P1SCSMV overexpression conditions (Figure 7C). Hence, the reduced NbTIP levels suggest that P1SCSMV reduced the SEL-increasing roles of the TGB2 protein under PVX-P1SCSMV infection conditions.
TGB1PVX can directly interact with the NbFD1 that functions in the SEL of intercellular transmission, and the overexpression of NbFD1 interfered with the RNA silencing suppressor activity, which enhanced the resistance to PVX []. The qRT-PCR result showed that the NbFD1 expression level was decreased in the presence of the chimeric PVX-P1SCSMV infection compared with the PVX-GFP infection (Figure 7D). Hence, overexpression of P1SCSMV reduced the resistance of the host plant to PVX infection, which might increase the permeability of the plasmodesmata to enhance intercellular movement capability.
Remorin (NbREMs) is a resident protein located in the membrane rafts and plasmodesmata. Investigations showed that TGB1PVX could physically interact with remorin, impairing virus intracellular movement through the plasmodesmata []. The qRT-PCR results showed that the relative expression levels of the four candidate NbREMs had different expression profiles within P1SCSMV overexpression. Compared to GFP-overexpressed plants, NbREM1, NbREM3, and NbREM4 were moderately downregulated, and NbREM2 was slightly upregulated (Figure 7E). The downregulation of NbREMs by the overexpression of P1SCSMV is beneficial for PVX intercellular movement and spread in N. benthamiana.
Plastocyanin is a chloroplast protein that functions in electron transportation in photosynthesis. It physically interacts with the CPPVX using the N-terminal transit peptide, which affects the severity of symptoms in the plant []. The TGB1PVX is capable of reorganising the actin/endomembrane and forming the virus replication factory, “X-body” []. Compared to a GFP overexpressed plant, the relative expression levels of Nbplastocyanin and NbActin were not changed in the presence of P1SCSMV overexpression (Figure 7G). Hence, the PVX replication and intracellular movement were not affected by P1SCSMV overexpression by means of the host factor plastocyanin and NbActins.
PVX CP-interacting protein 1 (NbPCIP1 or NbCPIP2) are plant-specific proteins that play an important role as susceptibility factors for viral infections or affect viral replication and movement [,]. The qRT-PCR results showed that the expression levels of NbPCIP1-1, NbCPIP1, and NbPCIP1-2 were dramatically downregulated, while the expression levels of NbCPIP2, NbCPIP3, NbCPIP4, and NbPCIP1-2 were not altered in chimeric PVX-P1SCSMV-infected plants compared with PVX-GFP-infected plants (Figure 7H,J). These results are contrary to the report that NbPCIP1 and NbCPIP are viral replication susceptible factors. However, the published paper tested just one type of NbPCIP1 and NbCPIP. In our study, there are several homologies of CP-interacting proteins. They could interact with the CP and viral RNA element simultaneously, thereby playing completely distinct functions in virus multiplication.
The PVX movement-associated proteins (TGB1s) can interact with the NbMPB2C protein (TMV-MP30 binding protein 2C) that functions in the controlling of the viral movement []. The qRT-PCR results showed that NbMPB2Cb-1 and NbMPB2Cb-2 were dramatically decreased in chimeric PVX-P1SCSMV-infected plants compared to PVX-GFP-infected plants (Figure 7I), which strongly suggests that the control of the viral movement was impaired by the downregulation of NbMPB2C, and chimeric PVX-P1SCSMV movement was enhanced in N. benthamiana.
Taken together, cis-heterologous expression of the P1SCSMV significantly reduced the relative levels of NbTIPs, NbFD1, NbREM1, NbREM3, NbREM4, NbPCIP1, NbPCIP2, NbMPB2Cb-1, and NbMPB2Cb-2, while increasing the expression levels of NbREM2 in chimeric PVX-P1SCSMV-infected plants compared to PVX-GFP-infected plants (Figure 7). All these results suggest that P1SCSMV expression can dramatically alter the physiological status of the host plant and that expression levels of host factors that direct interactions with viral proteins also respond to viral infections. The up- or downregulation of these factors contributes to the optimal replication and movement of the chimeric PVX-P1SCSMV, which demonstrates the enhancing role of PVX accumulation levels and pathogenesis by P1SCSMV in N. benthamiana.
3.7. P1SCSMV Attenuates Photosynthesis by Damaging the PSII System
Upon SCSMV infection, the leaves of sugarcane exhibit mosaic and chlorotic streaks, and the photosynthetic activities of chloroplasts are severely affected []. Hence, sugar accumulation and yield in sugarcane leaves are greatly decreased with SMD caused by SCSMV infection []. In the present study, the DAPs of PVX-P1SCSMV vs. PVX-GFP included many photosynthetic pathway-related proteins (Figure 2), and the KOG functional classification results showed that the metabolism category was the most significantly affected (Figure 3). The PsbE, PsbP, PsaD, PetB, and PetC proteins accumulated in high abundance in PVX-P1SCSMV compared to PVX-GFP (Figure S2A, Table S7). Light-harvesting chlorophyll protein complex (LHC) activity was also upregulated, and Lhca1, Lhca3, Lhcb2, Lhcb3, and Lhcb5 were more abundant in PVX-P1SCSMV than in PVX-GFP (Figure S2B, Table S7). Partial proteins related to the photosynthesis pathway were significantly increased with P1SCSMV overexpression, which may directly lead to chloroplast dysfunction. To further dissect the chloroplast dysfunction roles of P1SCSMV, we cultured P1SCSMV stable-expressing transgenic N. benthamiana plants and used photosynthesis-related parameters to test the functions of chloroplasts. The results indicated that photosynthesis declined in SCSMV-infected sugarcane and in P1SCSMV-overexpressed transgenic N. benthamiana plants, and that damage mainly occurred in the PSII system (Figure 8).

Figure 8.
Effects of SCSMV infection and P1SCSMV overexpression on photosynthesis. (A) Net photosynthesis rate (Pn). (B) Maximal quantum yield (Fv/Fm). (C) Intercellular CO2 mole fraction (Ci). (D) Electron transport rate (ETR) in SCSMV-infected sugarcane leaves. Each experiment was performed three times, and each treatment had at least three biological replicates. (E–H) Photosynthesis parameters Pn, Fv/Fm, Ci, and ETR in P1SCSMV transgenic N. benthamiana, respectively. Error bars represent the standard error of the mean (SEM). Significant differences are indicated using a Student’s t-test: ** p-value < 0.01. # means different transgenic lines.
4. Discussion
4.1. General Outcomes
Increasingly, applications of proteomics and transcriptomics are used to identify the global changes of proteins or genes that are affected by abiotic factors or viral infections [,,,,]. For proteomics, 2-dimensional electrophoresis (2-DE) was widely used in previous studies []. Later, the iTRAQ and label-free peptide quantitation methods were used instead of 2-DE to provide high quantitative accuracy [,]. Recently, the high degree of reproducibility and quantitative accuracy in the method named the 4-dimensional label-free quantitation method (4D-LFQ) exhibited powerful functions and wide application prospects by adding the ion mobility dimension to traditional label-free peptide quantitation analyses [].
Taking advantage of the 4D-LFQ approach, the global proteomic changes by cis-heterologous expression of the P1SCSMV by PVX compared to PVX-GFP infection were analysed. We identified 6235 proteins in total, of which 4125 could be quantified (Figure S1). Among these identified proteins, there were 283 DAPs (FC ≥ 1.5, p-value < 0.05) caused by P1SCSMV heterologous expression, which are involved in energy production and conversion, lipid and amino acid transport and metabolism, transcription, translation, and protein turnover, or which function as chaperones (Figure 2 and Figure 3). The credibility and repeatability of the proteomic data were validated by RT-qPCR and Western blot (Figure 5 and Figure 6). Agrobacterium-mediated overexpression of ssGFP and PVX-GFP/PVX-P1SCSMV revealed that P1SCSMV acts as a VSR that suppresses the local and systemic RNA silencing of N. benthamiana (Figure 1). The relative expression levels of genes for host factors that directly interact with PVX-encoded proteins were analysed, and the results indicated that P1SCSMV is capable of regulating their expression to provide better cellular conditions for PVX multiplication (Figure 7). SCSMV-infected sugarcane and the overexpression of P1SCSMV in N. benthamiana simultaneously showed decreased photosynthesis parameters that mainly caused damage to the PSII system (Figure 8). We proposed possible mechanisms for the pathogenicity-enhancing and photosynthesis-reducing roles of P1SCSMV on N. benthamiana (Figure 9). For the first time, our investigation provided the remodling roles of a virus-encoded single protein (P1SCSMV) to host physiological status, especially for viruses belonging to Poacevirus.

Figure 9.
Schematic representation of the possible mechanisms of the disease-enhancing role of P1SCSMV for PVX in plant cells. Under natural conditions, either the direct touching and rubbing of leaves or harvesting of sugarcane by cutting leads to SCSMV entry into the cell through a wound. After virion disassembly, naked viral genomic RNA could be utilised by the host for translation. The resulting large polyprotein could be directly hydrolysed by a self-encoded protease, and P1SCSMV was consequently generated. In the present study, P1SCSMV evenly distributed in the nucleus and cytoplasm could markedly attenuate the immunity of the plants through three aspects: ❶ P1SCSMV acts as a VSR that directly suppresses host antiviral RNA silencing; ❷ P1SCSMV inhibits the photosynthesic capability of the host, leading to dysfunctional chloroplasts and possibly reducing the phytohormone-based basal resistance of plants; and ❸ P1SCSMV could up- or downregulate the host factors that directly interacted with the PVX-encoded protein to remodel the physiological status of the cell, which is conducive to PVX replication and movement. All these functions of P1SCSMV clearly contributed to its PVX-mediated disease-enhancing role in plants. VRC, virus replication complex.
4.2. P1SCSMV Protects the Viral Genomic RNA from Degradation by Host RNA Silencing
In this study, we used a PVX-derived viral vector to overexpress the gene P1SCSMV in N. benthamiana and analysed the subsequent proteomic changes using the 4D-LFQ approach. The viral RNA accumulation levels in infected systemic leaves were measured, and we found that PVX genomic RNA was more abundant in PVX-P1SCSMV-infected plants than in control PVX-GFP-infected plants (Figure 1C). P1SCSMV suppressed ssGFP-induced local RNA silencing, and PVX-P1SCSMV infiltrated the host cells, leading to a strong fluorescent signal in tested leaves, which showed strong green fluorescence, whereas no fluorescence was observed in PVX-GFP-infected plants (Figure 1B). These results demonstrate that P1SCSMV is a strong VSR, which has also been demonstrated in a previous study [].
P1 suppression of host RNA silencing is attributed to its nonspecific double-stranded RNA (dsRNA) binding activity, which is a key characteristic of various VSRs [,]. In virus–plant interactions, the intermediate dsRNA during viral replication often triggers RNA silencing by the host. This acts as the major antiviral innate immune defence mechanism of plants [,]. To successfully establish infection in plants, some viruses often directly encode VSRs to interact with the silencing pathways, to counteract RNA silencing by the host [] or to bind the dsRNA to inhibit the dicing or translation of viral RNA [,].
The P1 protein of the genus Poacevirus, which belongs to the family Potyviridae, showed strong RNA silencing suppressing activity []. The P1 protein of Triticum mosaic virus (TriMV), which is in the same genus as the SCSMV, could enhance the PVX RNA accumulation in N. benthamiana and act as a viral disease-enhancer []. In our study, we revealed the same function of SCSMV-encoded P1. However, how P1SCSMV enhances chimeric PVX-P1SCSMV infection is still obscure. In the present study, P1SCSMV enhanced the virus accumulation levels and pathogenesis in N. benthamiana (Figure 1C,D), which is consistent with a previous study. In the presence of VSR encoded by other viruses, the PVX genomic RNA accumulated higher than single PVX infections, and the pathogenicity of PVX was exacerbated in Nicotiana spp. [,,,]. The heterologous expression of P1SCSMV increased the PVX genomic RNA accumulation and pathogenicity (Figure 1C,D) in the present study. Considered together, we conclude that P1SCSMV acts as a VSR that can protect the viral genomic RNA from degradation by host RNA silencing.
4.3. P1SCSMV Provides Better Cellular Conditions for PVX Accumulation
In virus replication, the host factors that directly interact with PVX-encoded proteins, including NbPCIPs and NbCPIPs, and their relative expression levels, were changed following PVX-P1SCSMV infection compared to PVX-GFP. Specifically, the expression levels of NbPCIP1-1, NbCPIP1, and NbPCIP1-2 were dramatically downregulated (Figure 7H,J). The relative mRNA level of NbPCIP1 in PVX-infected N. benthamiana increased, and genetic methods confirmed that NbPCIP1 plays critical roles in viral replication []. The subcellular localisation of NbPCIP1 is ER-associated granulate structures, which suggests these are the replication sites of PVX []. In contrast, NbPCIP1-1, NbCPIP1, and NbPCIP1-2 decreased in P1SCSMV-overexpressed plants by the chimeric PVX. However, the relative degree of downregulation was compared to the PVX-GFP, not mock-treated plants. Therefore, our results strongly implied that P1SCSMV plays critical roles in PVX replication. For NbCPIP1, NbCPIP2, NbCPIP3, and NbCPIP4, their relative expression levels were differently regulated in P1SCSMV-overexpressed plants by the chimeric virus, and NbCPIP1 was dramatically downregulated (Figure 7J). This result also seems to contradict published data that PVX infections induce expression of NbCPIP1 in plants []. The CPIPs were supposed to act as important susceptibility factors of PVX, possibly by recruiting heat shock protein 70 chaperones for viral assembly or cellular movement in Nicotiana tobacco [], whereas the NbCPIP2a and NbCPIP2b interact directly with the viral RNA stem-loop structures and CPs in plants for enhancing viral genomic RNA replication []. However, the relative downregulation of the NbCPIP1 was compared with the chimeric PVX-GFP, not with mock plants. Perhaps, under the conditions of the PVX infection, NbPCIP1-1, NbPCIP1-2, and NbCPIP1 were upregulated compared to the mock-treated plants. All these results indicate the need for further, deeper investigations.
In virus movements, the relative expression levels of genes corresponding to the host factors that directly bind with the viral proteins, including NbTIPs, NbFD1, NbREM1, NbREM2, NbREM3, NbREM4, NbMPB2Cb-1, and NbMPB2Cb-2, were differently regulated after PVX-P1SCSMV infection compared with the PVX-GFP (Figure 7C–E,I). The NbTIPs and NbFD1 were factors that directly enhanced viral cellular transportation in plant cells [,]. Our results showed that the expression levels of these two host factors were slightly downregulated in P1SCSMV-overexpressed plants by the chimeric PVX, which were compared with the chimeric PVX-GFP infection. However, these results were not beneficial for understanding the optimal movement of PVX in the plant. Exploration of the deeper mechanisms behind virus replication and movement are essential for future research.
NbREMs are supposed to be raft proteins located in the detergent-insoluble membranes and can interact with TGB1PVX in plants. They function in virus macromolecular trafficking []. In our analyses, the relative expression levels of NbREM1, NbREM3, and NbREM4 were downregulated (Figure 7E), while the NbREM2 was upregulated following PVX-P1SCSMV infection (Figure 7E). The results imply that NbREMs were directly involved in the intercellular movement of PVX in plants. However, whether the four NbREMs are functionally redundant or complementary in PVX movement requires further investigation. The NbMPB2Cb was thought to interact with the PVX-associated movement proteins, and thus reduced the PVX cellular movement ability in plants []. The two homologous proteins, NbMPB2Cb-1 and NbMPB2Cb-2, were dramatically downregulated in PVX-P1SCSMV-infected plants compared to PVX-GFP infections (Figure 7I). These results imply that the overexpression of P1SCSMV promoted the cellular movement of PVX in the plant, although the results were consistent with enhanced movement roles. However, the expression of these host factors was not confirmed by the protein levels, and further research is necessary to determine the detailed functions of NbMPB2Cb in viral movement. Collectively, all the up- or downregulation of host factors that directly bind to the PVX-encoded proteins by cis-overexpression via chimeric virus PVX-P1SCSMV played essential roles for PVX replication and movement.
4.4. Overexpressing P1SCSMV Decreases Photosynthesis by Damaging the PSII System
Following SCSMV infection, the leaves of sugarcane exhibit mosaic and chlorotic streaks, and the photosynthetic activities of chloroplasts are severely affected []. Hence, sugar accumulation and yield in sugarcane leaves are greatly decreased with SMD caused by SCSMV infection [], which is supported by the observation that P1SCSMV transgenic N. benthamiana displayed a yellower phenotype than nontransgenic plants (Unpublished Data). In the present study, the DAPs of PVX-P1SCSMV vs. PVX-GFP included many photosynthetic pathway-related proteins (Figure 2), and the KOG functional classification results showed that the metabolism category was the most significantly affected (Figure 3). The PsbE, PsbP, PsaD, PetB, and PetC proteins accumulated in high abundance in PVX-P1SCSMV compared to PVX-GFP (Figure S2A, Table S7). Light-harvesting chlorophyll protein complex (LHC) activity was also upregulated, and the components of Lhca1, Lhca3, Lhcb2, Lhcb3, and Lhcb5 were more abundant in PVX-P1SCSMV than in PVX-GFP (Figure S2B, Table S7). Partial proteins related to the photosynthesis pathway were significantly increased after P1SCSMV overexpression, which may directly lead to chloroplast dysfunction. This finding is supported by the photosynthesis-related parameters (Figure 8). The results indicate that overexpressing P1SCSMV decreases photosynthesis by damaging the PSII system.
Chloroplasts are the biosynthesis sites of several major phytohormones, secondary messengers, and ROS, and these products play essential roles in plant immunity and growth []. The PSII reaction system is an inevitable process in an oxygen-rich environment and undergoes degradation by membrane-bound FtsH metalloprotease in Arabidopsis thaliana []. A mutated FtsH2 (FtsH2G267D) directly lost its substrate-unfolding activity and perturbed the PSII protein homeostasis, which resulted in the upregulation of the salicylic acid signalling transduction []. Chemical blockage of the PSII reaction directly affects the ethylene-induced hypocotyl response, which is caused by the ethylene signalling transduction [].
Chloroplast dysfunction resulting from P1SCSMV overexpression may similarly produce nonfunctional bioactive molecules and even disrupt the phytohormone balancing system. Hence, the innate immunity mediated by phytohormones may be suppressed following P1SCSMV overexpression. However, whether P1SCSMV interferes with host photosynthesis and affects the normal production or transportation of phytohormones in SCSMV-infected plants still needs further investigation. The mechanisms revealing the effects of P1SCSMV on chloroplasts, especially the PSII system-related factors and phytohormone production machinery, remain unexplained.
In summary, all these results demonstrated that P1SCSMV could change the physiological status of the host plant by cis-heterologous expression by the chimeric virus PVX-P1SCSMV. The P1SCSMV has three negative impacts on host immunity, and it optimised viral movement and replication of PVX. We purposed a model that illustrated the possible mechanism of the enhancing roles of P1SCSMV in PVX multiplication. First, the P1SCSMV acts as a virus-encoded RNA silencing suppressor (VSR), capable of suppressing the antiviral silencing of the host plant (Figure 9 ❶). Furthermore, P1SCSMV was able to interfere with the functioning of photosynthesis in the host plant by damaging the PSII system, which resulted in chloroplast dysfunction and disorder of the phytohormones they produce. This may lead to downregulated phytohormone-mediated basal resistance of host plants (Figure 9 ❷). Moreover, P1SCSMV affects the relative expression profile of the host factors that direct interactions with the PVX-encoded proteins, which may improve the replication and movement of PVX in the plant. P1SCSMV provided a relatively friendly microenvironment for PVX multiplication and spread (Figure 9 ❸). All three points contributed to the observed enhanced PVX accumulation and decreased plant immunity.
Supplementary Materials
The following supporting information can be downloaded at: https://www.mdpi.com/article/10.3390/cells11182870/s1, Figure S1: Results of 4D-proteomics, quality control, and differentialy abundant proteins (DAPs); Figure S2: Expression profile of photosynthesis-related proteins by 4D-proteomics; Table S1: List of the specific pairs of primer for selected genes corresponding to differentially abundant proteins for qRT-PCR in Nicotiana benthamiana; Table S2: List of the specific pairs of primer for selected candidate genes that directly interaction with the PVX encoded proteins; Table S3: MS_identified_information; Table S4: Differently accumulated proteins in P1SCSMV heterogeneous expressed N. benthamiana leaf by 4D-lable free proteomics; Table S5: List of KEGG pathways of P1SCSMV-induced Differently abundant proteins in P1SCSMV heterogeneous expressed N. benthamiana leaf by PVX; Table S6: Validation of DAPs from P1 heterologous expressed N. benthamiana plants obtained from 4D-lable free proteomic; Table S7: Protein expression levels of photosynthesis-related factors.
Author Contributions
K.Z., Z.H., X.X., X.G. and T.G. carried out the experiments; K.Z. wrote the manuscript with support from Z.H.; K.Z. and Z.H. helped supervise the project; K.Z., X.X., S.D. and L.Q. conceived the original idea. All authors have read and agreed to the published version of the manuscript.
Funding
This work was supported by the National Natural Science Foundation of China (32272485, 31801699), the Excellent Youth Fund of Jiangsu Natural Science Foundation (BK20220116), the Natural Science Foundation of the Jiangsu Province (BK20211323, BK2018904), and the Foundation of Guangdong Provincial Key Laboratory of High Technology for Plant Protection (zhizhong2021-07).
Institutional Review Board Statement
Not applicable.
Informed Consent Statement
Not applicable.
Data Availability Statement
The data presented in this study are available on request from the corresponding author.
Acknowledgments
We thank Jingjie PTM BioLab (Hangzhou) Co., Ltd. and all the other members of the plant virology laboratory at Yangzhou University for their helpful suggestions and constructive criticism.
Conflicts of Interest
The authors declare that they have no competing interests.
Abbreviations
SCSMV | sugarcane streak mosaic virus |
P1SCSMV | SCSMV-encoded protein 1 |
DAPs | differential accumulated proteins |
PVX | potato virus X |
SMD | sugarcane mosaic disease |
SBVD | sugarcane bacilliform virus disease |
SCMV | sugarcane mosaic virus |
SrMV | Sorghum mosaic virus |
Knt | kilo-nucleotides |
RSS | RNA silencing suppressor |
TriMV | Triticum mosaic virus |
VSR | viral encoded RNA silencing suppressor |
4D-proteomics | four-dimensional proteomics |
CBB | coomassie brilliant blue |
FC | fold change |
NbEAS | 5-epi-aristolochene synthase-like isoform X1 |
NbPR-1 | pathogenesis-related protein |
NbXTH | xyloglucan endotransglucosylase/hydrolase |
NbHSP | heat shock protein |
NbARC5 | dynamin-like protein ARC5 |
COG | clusters of orthologous groups |
KEGG | Kyoto Encyclopedia of Genes and Genomes Pathways |
GO | gene ontology |
BP | biological process |
CC | cellular components |
MF | molecular functions |
NbLBC | lycopene beta cyclase |
NbFtsZ | cell division protein FtsZ homolog 1 |
NbPsbP like | psbP domain-containing protein 5 |
NbARC5i | dynamin-like protein ARC5 isoform |
NbASP | aspartic proteinase |
NbXTH | Xyloglucan endotransglucosylase |
NbeEF1A | eukaryotic translation elongation factor 1A |
NbeEF1Bβ1 | plant translation elongation factor |
NbCPIPs | CP interacting proteins |
MPB2C | TMV-MP30 binding protein 2C |
NbFD1 | ferredoxin 1 |
NbREMs | remorin |
LHC | light-harvesting chlorophyll protein complex |
References
- Wang, K.L.; Deng, Q.Q.; Chen, J.W.; Shen, W.K. Development of a Reverse Transcription Loop-Mediated Isothermal Amplification Assay for Rapid and Visual Detection of Sugarcane Streak Mosaic Virus in Sugarcane. Crop Prot. 2019, 119, 38–45. [Google Scholar] [CrossRef]
- Vega, J.; Scagliusi, S.M.M.; Ulian, E.C. Sugarcane Yellow Leaf Disease in Brazil: Evidence of Association with a Luteovirus. Plant Dis. 1997, 81, 21–26. [Google Scholar] [CrossRef] [PubMed]
- Xu, D.L.; Park, J.W.; Mirkov, T.E.; Zhou, G.H. Viruses Causing Mosaic Disease in Sugarcane and Their Genetic Diversity in Southern China. Arch. Virol. 2008, 153, 1031–1039. [Google Scholar] [CrossRef] [PubMed]
- Ahmad, K.; Sun, S.R.; Chen, J.L.; Huang, M.T.; Fu, H.Y.; Gao, S.J. Presence of Diverse Sugarcane Bacilliform Viruses Infecting Sugarcane in China Revealed by Pairwise Sequence Comparisons and Phylogenetic Analysis. Plant Pathol. J. 2019, 35, 41–50. [Google Scholar] [CrossRef]
- Viswanathan, R.; Rao, G.P. Disease Scenario and Management of Major Sugarcane Diseases in India. Sugar Tech 2011, 13, 336–353. [Google Scholar] [CrossRef]
- Li, W.; He, Z.; Li, S.; Huang, Y.; Zhang, Z.; Jiang, D.; Wang, X.; Luo, Z. Molecular Characterization of a New Strain of Sugarcane Streak Mosaic Virus (SCSMV). Arch. Virol. 2011, 156, 2101–2104. [Google Scholar] [CrossRef]
- King, A.M.Q.; Adams, M.J.; Eric, B.; Lefkowitz, E.J. Virus Taxonomy: Ninth Report of the International Committee on Taxonomy of Viruses; Elsevier: San Diego, CA, USA, 2011; p. 1338. [Google Scholar]
- Putra, L.K.; Kristini, A.; Achadian, E.M.; Damayanti, T.A. Sugarcane streak mosaic virus in Indonesia: Distribution, Characterisation, Yield Losses and Management Approaches. Sugar Tech 2014, 16, 392–399. [Google Scholar] [CrossRef]
- Tatineni, S.; Qu, F.; Li, R.; Morris, T.J.; French, R. Triticum mosaic poacevirus enlists P1 rather than HC-Pro to suppress RNA silencing-mediated host defense. Virology 2012, 433, 104–115. [Google Scholar] [CrossRef]
- Chen, J.R.; Liang, S.S.; Sun, S.R.; Damaj, M.B.; Fu, H.Y.; Gao, S.J. Diverse Conserved Domains and A Positively Selected Site in the Sugarcane Streak Mosaic Virus P1 Protein Are Essential for RNA Silencing Suppression and Protein Stability. Plant Pathog. 2020, 69, 1390–1400. [Google Scholar] [CrossRef]
- Gupta, A.K.; Tatineni, S. RNA silencing suppression mechanisms of Triticum mosaic virus P1: dsRNA binding property and mapping functional motifs. Virus Res. 2019, 269, 197640. [Google Scholar] [CrossRef]
- Wu, X.; Valli, A.; García, J.A.; Zhou, X.; Cheng, X. The Tug-of-War between Plants and Viruses: Great Progress and Many Remaining Questions. Viruses 2019, 11, 203. [Google Scholar] [CrossRef] [PubMed]
- Zhang, X.; Dong, K.; Xu, K.; Zhang, K.; Jin, X.; Yang, M.; Zhang, Y.; Wang, X.; Han, C.; Yu, J.; et al. Barley Stripe Mosaic Virus Infection Requires PKA-Mediated Phosphorylation of γb for suppression of both RNA silencing and the host cell death response. New Phytol. 2018, 218, 1570–1585. [Google Scholar] [CrossRef] [PubMed]
- Pertermann, R.; Tamilarasan, S.; Gursinsky, T.; Gambino, G.; Schuck, J.; Weinholdt, C.; Lilie, H.; Grosse, I.; Golbik, R.P.; Pantaleo, V.; et al. A Viral Suppressor Modulates the Plant Immune Response Early in Infection by Regulating MicroRNA Activity. mBio 2018, 9, e00419-18. [Google Scholar] [CrossRef]
- Prianichnikov, N.; Koch, H.; Koch, S.; Lubeck, M.; Heilig, R.; Brehmer, S.; Fischer, R.; Cox, J. MaxQuant Software for Ion Mobility Enhanced Shotgun Proteomics. Mol. Cell. Proteom. 2020, 19, 1058–1069. [Google Scholar] [CrossRef]
- Meier, F.; Brunner, A.-D.; Koch, S.; Koch, H.; Lubeck, M.; Krause, M.; Goedecke, N.; Decker, J.; Kosinski, T.; Park, M.A.; et al. Online Parallel Accumulation–Serial Fragmentation (PASEF) with a Novel Trapped Ion Mobility Mass Spectrometer. Mol. Cell. Proteom. 2018, 17, 2534–2545. [Google Scholar] [CrossRef] [PubMed]
- Pang, H.; Li, W.; Zhang, W.; Zhou, S.; Hoare, R.; Monaghan, S.J.; Jian, J.; Lin, X. Acetylome profiling of Vibrio alginolyticus reveals its role in bacterial virulence. J. Proteom. 2020, 211, 103543. [Google Scholar] [CrossRef]
- Yu, H.; Bu, C.; Liu, Y.; Gong, T.; Liu, X.; Liu, S.; Peng, X.; Zhang, W.; Peng, Y.; Yang, J.; et al. Global crotonylome reveals CDYL-regulated RPA1 crotonylation in homologous recombination–mediated DNA repair. Sci. Adv. 2020, 6, eaay4697. [Google Scholar] [CrossRef]
- Yin, D.; Jiang, N.; Zhang, Y.; Wang, D.; Sang, X.; Feng, Y.; Chen, R.; Wang, X.; Yang, N.; Chen, Q. Global Lysine Crotonylation and 2-Hydroxyisobutyrylation in Phenotypically Different Toxoplasma gondii Parasites. Mol. Cell. Proteom. 2019, 18, 2207–2224. [Google Scholar] [CrossRef]
- Li, J.; Sun, Y.B.Y.; Chen, W.; Fan, J.; Li, S.; Qu, X.; Chen, Q.; Chen, R.; Zhu, D.; Zhang, J.; et al. Smad4 promotes diabetic nephropathy by modulating glycolysis and OXPHOS. EMBO Rep. 2020, 21, e48781. [Google Scholar] [CrossRef]
- Varela, A.L.N.; Oliveira, J.T.A.; Komatsu, S.; Silva, R.G.G.; Martins, T.F.; de Souza, P.F.N.; Lobo, A.K.M.; Vasconcelos, I.M.; Carvalho, F.E.L.; Silveira, J.A.G. A resistant cowpea (Vigna unguiculata [L.] Walp.) genotype became susceptible to cowpea severe mosaic virus (CPSMV) after exposure to salt stress. J. Proteom. 2019, 194, 200–217. [Google Scholar] [CrossRef]
- Dang, M.; Cheng, Q.; Hu, Y.; Wu, J.; Zhou, X.; Qian, Y. Proteomic Changes during MCMV Infection Revealed by iTRAQ Quantitative Proteomic Analysis in Maize. Int. J. Mol. Sci. 2019, 21, 35. [Google Scholar] [CrossRef]
- Rommens, C.M.; Salmeron, J.M.; Oldroyd, G.E.; Staskawicz, B.J. Use of a Gene Expression System Based on Potato Virus X to Rapidly Identify and Characterize a Tomato Pto Homolog That Controls Fenthion Sensitivity. Plant Cell 1995, 7, 249–257. [Google Scholar] [PubMed]
- Chapman, S.; Kavanagh, T.; Baulcombe, D. Potato Virus X as a Vector for Gene Expression in Plants. Plant J. 1992, 2, 549–557. [Google Scholar] [PubMed]
- Zhang, L.; Wang, Z.; Wang, X.; Li, D.; Han, C.; Zhai, Y.; Yu, J. Two Virus-Encoded RNA Silencing Suppressors, P14 OfBeet Necrotic Yellow Vein Virus and S6 of Rice Black Streak Dwarf Virus. Chin. Sci. Bull. 2005, 50, 305–310. [Google Scholar]
- Chen, H.; Cao, Y.; Li, Y.; Xia, Z.; Xie, J.; Carr, J.P.; Wu, B.; Fan, Z.; Zhou, T. Identification of differentially regulated maize proteins conditioning Sugarcane mosaic virus systemic infection. New Phytol. 2017, 215, 1156–1172. [Google Scholar] [CrossRef] [PubMed]
- Deng, C.; Pan, X.; Wang, S.; Zhang, D. Cu2+ Inhibits Photosystem II Activities but Enhances Photosystem I Quantum Yield of Microcystis aeruginosa. Biol. Trace Elem. Res. 2014, 160, 268–275. [Google Scholar] [CrossRef]
- Hofgen, R.; Willmitzer, L. Storage of Competent Cells for Agrobacterium Transformation. Nucleic Acids Res. 1988, 16, 9877. [Google Scholar] [CrossRef]
- Zhang, K.; Zhang, Y.; Yang, M.; Liu, S.; Li, Z.; Wang, X.; Han, C.; Yu, J.; Li, D. The Barley stripe mosaic virus γb protein promotes chloroplast-targeted replication by enhancing unwinding of RNA duplexes. PLoS Pathog. 2017, 13, e1006319. [Google Scholar] [CrossRef]
- Zhang, K.; Niu, S.; Di, D.; Shi, L.; Liu, D.; Cao, X.; Miao, H.; Wang, X.; Han, C.; Yu, J.; et al. Selection of reference genes for gene expression studies in virus-infected monocots using quantitative real-time PCR. J. Biotechnol. 2013, 168, 7–14. [Google Scholar] [CrossRef]
- Horsch, R.B.; Fry, J.; Hoffmann, N.; Neidermeyer, J.; Rogers, S.G.; Fraley, R.T. Leaf Disc Transformation. In Plant Molecular Biology Manual; Springer: Dordrecht, The Netherlands, 1989; pp. 63–71. [Google Scholar]
- Li, Y.; Sun, Q.; Zhao, T.; Xiang, H.; Zhang, X.; Wu, Z.; Zhou, C.; Zhang, X.; Wang, Y.; Zhang, Y.; et al. Interaction between Brassica yellows virus silencing suppressor P0 and plant SKP1 facilitates stability of P0 in vivo against degradation by proteasome and autophagy pathways. New Phytol. 2019, 222, 1458–1473. [Google Scholar] [CrossRef]
- Krenz, B.; Deuschle, K.; Deigner, T.; Unseld, S.; Kepp, G.; Wege, C.; Kleinow, T.; Jeske, H. Early Function of the Abutilon Mosaic Virus AC2 Gene as a Replication Brake. J. Virol. 2015, 89, 3683–3699. [Google Scholar] [CrossRef] [PubMed][Green Version]
- Li, Z.; Pogany, J.; Panavas, T.; Xu, K.; Esposito, A.M.; Kinzy, T.G.; Nagy, P.D. Translation elongation factor 1A is a component of the tombusvirus replicase complex and affects the stability of the p33 replication co-factor. Virology 2009, 385, 245–260. [Google Scholar] [CrossRef] [PubMed]
- Hwang, J.; Lee, S.; Lee, J.-H.; Kang, W.-H.; Kang, J.-H.; Kang, M.-Y.; Oh, C.-S.; Kang, B.-C. Plant Translation Elongation Factor 1Bβ Facilitates Potato Virus X (PVX) Infection and Interacts with PVX Triple Gene Block Protein 1. PLoS ONE 2015, 10, e0128014. [Google Scholar] [CrossRef]
- Fridborg, I.; Grainger, J.; Page, A.; Coleman, M.; Findlay, K.; Angell, S. TIP, A Novel Host Factor Linking Callose Degradation with the Cell-to-Cell Movement of Potato Virus X. Mol. Plant-Microbe Interact. 2003, 16, 132–140. [Google Scholar] [CrossRef]
- Yang, X.; Lu, Y.; Wang, F.; Chen, Y.; Tian, Y.; Jiang, L.; Peng, J.; Zheng, H.; Lin, L.; Yan, C.; et al. Involvement of the chloroplast gene ferredoxin 1 in multiple responses of Nicotiana benthamiana to Potato virus X infection. J. Exp. Bot. 2020, 71, 2142–2156. [Google Scholar] [CrossRef] [PubMed]
- Raffaele, S.; Bayer, E.; Lafarge, D.; Cluzet, S.; Retana, S.G.; Boubekeur, T.; Leborgne-Castel, N.; Carde, J.-P.; Lherminier, J.; Noirot, E.; et al. Remorin, a Solanaceae Protein Resident in Membrane Rafts and Plasmodesmata, Impairs Potato virus X Movement. Plant Cell 2009, 21, 1541–1555. [Google Scholar] [CrossRef]
- Qiao, Y.; Li, H.F.; Wong, S.M.; Fan, Z.F. Plastocyanin Transit Peptide Interacts with Potato virus X Coat Protein, While Silencing of Plastocyanin Reduces Coat Protein Accumulation in Chloroplasts and Symptom Severity in Host Plants. Mol. Plant-Microbe Interact. 2009, 22, 1523–1534. [Google Scholar] [CrossRef]
- Tilsner, J.; Linnik, O.; Wright, K.M.; Bell, K.; Roberts, A.G.; Lacomme, C.; Santa Cruz, S.; Oparka, K.J. The TGB1 Movement Protein of Potato Virus X Reorganizes Actin and Endomembranes into the X-Body, a Viral Replication Factory. Plant Physiol. 2012, 158, 1359–1370. [Google Scholar] [CrossRef] [PubMed]
- Park, M.-R.; Park, S.-H.; Cho, S.-Y.; Kim, K.-H. Nicotiana benthamiana protein, NbPCIP1, interacting with Potato virus X coat protein plays a role as susceptible factor for viral infection. Virology 2009, 386, 257–269. [Google Scholar] [CrossRef][Green Version]
- Cho, S.-Y.; Cho, W.K.; Choi, H.-S.; Kim, K.-H. Cis-Acting Element (SL1) of Potato Virus X Controls Viral Movement by Interacting with the NbMPB2Cb and Viral Proteins. Virology 2012, 427, 166–176. [Google Scholar] [CrossRef][Green Version]
- Choi, H.; Cho, W.K.; Kim, K.-H. Two homologous host proteins interact with potato virus X RNAs and CPs and affect viral replication and movement. Sci. Rep. 2016, 6, 28743. [Google Scholar] [CrossRef] [PubMed]
- Sasvari, Z.; Izotova, L.; Kinzy, T.G.; Nagy, P.D. Synergistic Roles of Eukaryotic Translation Elongation Factors 1Bγ and 1A in Stimulation of Tombusvirus Minus-Strand Synthesis. PLoS Pathog. 2011, 7, e1002438. [Google Scholar] [CrossRef]
- Hall, J.S.; Adams, B.; Parsons, T.J.; French, R.; Lane, L.C.; Jensen, S.G. Molecular Cloning, Sequencing, and Phylogenetic Relationships of a New Potyvirus: Sugarcane Streak Mosaic Virus, and a Reevaluation of the Classification of the Potyviridae. Mol. Phylogenet. Evol. 1998, 10, 323–332. [Google Scholar] [CrossRef] [PubMed]
- Sun, D.; Zhang, X.; Zhang, Q.; Ji, X.; Jia, Y.; Wang, H.; Niu, L.; Zhang, Y. Comparative transcriptome profiling uncovers a Lilium regale NAC transcription factor, LrNAC35, contributing to defence response against cucumber mosaic virus and tobacco mosaic virus. Mol. Plant Pathol. 2019, 20, 1662–1681. [Google Scholar] [CrossRef] [PubMed]
- Wang, S.; Zhang, G.; Zhang, Y.; Song, Q.; Chen, Z.; Wang, J.; Guo, J.; Niu, N.; Wang, J.; Ma, S. Comparative Studies of Mitochondrial Proteomics Reveal an Intimate Protein Network of Male Sterility in Wheat (Triticum aestivum L.). J. Exp. Bot. 2015, 66, 6191–6203. [Google Scholar] [CrossRef]
- Valentim-Neto, P.A.; Rossi, G.B.; Anacleto, K.B.; de Mello, C.S.; Balsamo, G.M.; Arisi, A.C.M. Leaf proteome comparison of two GM common bean varieties and their non-GM counterparts by principal component analysis. J. Sci. Food Agric. 2016, 96, 927–932. [Google Scholar] [CrossRef]
- Stare, T.; Stare, K.; Weckwerth, W.; Wienkoop, S.; Gruden, K. Comparison between Proteome and Transcriptome Response in Potato (Solanum tuberosum L.) Leaves Following Potato Virus Y (PVY) Infection. Proteomes 2017, 5, 14. [Google Scholar] [CrossRef]
- Di Carli, M.; Villani, M.E.; Bianco, L.; Lombardi, R.; Perrotta, G.; Benvenuto, E.; Donini, M. Proteomic Analysis of the Plant−Virus Interaction in Cucumber Mosaic Virus (CMV) Resistant Transgenic Tomato. J. Proteome Res. 2010, 9, 5684–5697. [Google Scholar] [CrossRef]
- Varela, A.L.N.; Komatsu, S.; Wang, X.; Silva, R.G.G.; Souza, P.F.N.; Lobo, A.K.M.; Vasconcelos, I.M.; Silveira, J.A.G.; Oliveira, J.T.A. Gel-Free/Label-Free Proteomic, Photosynthetic, and Biochemical Analysis of Cowpea (Vigna unguiculata [L.] Walp.) Resistance against Cowpea Severe Mosaic Virus (CPSMV). J. Proteom. 2017, 163, 76–91. [Google Scholar] [CrossRef]
- Zhong, X.; Wang, Z.Q.; Xiao, R.; Wang, Y.; Xie, Y.; Zhou, X. iTRAQ analysis of the tobacco leaf proteome reveals that RNA-directed DNA methylation (RdDM) has important roles in defense against geminivirus-betasatellite infection. J. Proteom. 2017, 152, 88–101. [Google Scholar] [CrossRef]
- Meier, F.; Brunner, A.-D.; Frank, M.; Ha, A.; Bludau, I.; Voytik, E.; Kaspar-Schoenefeld, S.; Lubeck, M.; Raether, O.; Bache, N.; et al. diaPASEF: Parallel accumulation–serial fragmentation combined with data-independent acquisition. Nat. Methods 2020, 17, 1229–1236. [Google Scholar] [CrossRef] [PubMed]
- Merai, Z.; Kerényi, Z.; Kertész, S.; Magna, M.; Lakatos, L.; Silhavy, D. Double-Stranded RNA Binding May Be a General Plant RNA Viral Strategy to Suppress RNA Silencing. J. Virol. 2006, 80, 5747–5756. [Google Scholar] [CrossRef] [PubMed]
- Burgyán, J.; Havelda, Z. Viral suppressors of RNA silencing. Trends Plant Sci. 2011, 16, 265–272. [Google Scholar] [CrossRef]
- Ruiz-Ferrer, V.; Voinnet, O. Roles of Plant Small RNAs in Biotic Stress Responses. Annu. Rev. Plant Biol. 2009, 60, 485–510. [Google Scholar] [CrossRef]
- Gupta, A.K.; Tatineni, S. Wheat streak mosaic virus P1 Binds to dsRNAs without Size and Sequence Specificity and a GW Motif Is Crucial for Suppression of RNA Silencing. Viruses 2019, 11, 472. [Google Scholar] [CrossRef] [PubMed]
- Young, B.A.; Stenger, D.C.; Qu, F.; Morris, T.J.; Tatineni, S.; French, R. Tritimovirus P1 functions as a suppressor of RNA silencing and an enhancer of disease symptoms. Virus Res. 2012, 163, 672–677. [Google Scholar] [CrossRef]
- Vance, V.B.; Berger, P.H.; Carrington, J.C.; Hunt, A.G.; Shi, X.M. 5′ Proximal potyviral sequences mediate potato virus X/potyviral synergistic disease in transgenic tobacco. Virology 1995, 206, 583–590. [Google Scholar] [CrossRef]
- Gonzalez-Jara, P.; Tenllado, F.; Martinez-Garcia, B.; Atencio, F.A.; Barajas, D.; Vargas, M.; Díaz-Ruiz, J.R. Host-dependent differences during synergistic infection by Potyviruses with potato virus X. Mol. Plant Pathol. 2004, 5, 29–35. [Google Scholar] [CrossRef]
- Aguilar, E.; Almendral, D.; Allende, L.; Pacheco, R.; Chung, B.N.; Canto, T.; Tenllado, F. The P25 Protein of Potato Virus X (PVX) Is the Main Pathogenicity Determinant Responsible for Systemic Necrosis in PVX-Associated Synergisms. J. Virol. 2015, 89, 2090–2103. [Google Scholar] [CrossRef]
- De, S.; Chavez-Calvillo, G.; Wahlsten, M.; Mäkinen, K. Disruption of the methionine cycle and reduced cellular gluthathione levels underlie potex-potyvirus synergism in Nicotiana benthamiana. Mol. Plant Pathol. 2018, 19, 1820–1835. [Google Scholar] [CrossRef]
- Hofius, D.; Maier, A.T.; Dietrich, C.; Jungkunz, I.; Bornke, F.; Maiss, E.; Sonnewald, U. Capsid Protein-Mediated Recruitment of Host DnaJ-Like Proteins Is Required for Potato Virus Y Infection in Tobacco Plants. J. Virol. 2007, 81, 11870–11880. [Google Scholar] [CrossRef] [PubMed]
- Serrano, I.; Audran, C.; Rivas, S. Chloroplasts at work during plant innate immunity. J. Exp. Bot. 2016, 67, 3845–3854. [Google Scholar] [CrossRef] [PubMed]
- Duan, J.; Lee, K.P.; Dogra, V.; Zhang, S.; Liu, K.; Caceres-Moreno, C.; Lv, S.; Xing, W.; Kato, Y.; Sakamoto, W.; et al. Impaired PSII Proteostasis Promotes Retrograde Signaling via Salicylic Acid. Plant Physiol. 2019, 180, 2182–2197. [Google Scholar] [CrossRef] [PubMed]
- Kim, G.-D.; Cho, Y.-H.; Yoo, S.-D. Phytohormone ethylene-responsive Arabidopsis organ growth under light is in the fine regulation of Photosystem II deficiency-inducible AKIN10 expression. Sci. Rep. 2017, 7, 2767. [Google Scholar] [CrossRef]
Publisher’s Note: MDPI stays neutral with regard to jurisdictional claims in published maps and institutional affiliations. |
© 2022 by the authors. Licensee MDPI, Basel, Switzerland. This article is an open access article distributed under the terms and conditions of the Creative Commons Attribution (CC BY) license (https://creativecommons.org/licenses/by/4.0/).