Possible Underlying Mechanisms for the Renoprotective Effect of Retinoic Acid-Pretreated Wharton’s Jelly Mesenchymal Stem Cells against Renal Ischemia/Reperfusion Injury
Abstract
:1. Introduction
2. Materials and Methods
2.1. Experimental Animals
2.2. Isolation and Characterization of Wharton Jelly Stem Cells (WJ-MSCs)
2.3. Cell Viability Assay
2.4. Labeling of WJ-MSCs before Transplantation
2.5. Study Design
2.6. Collection of Blood Samples and Measurement of Serum Creatinine (SCr) and Blood Nitrogen Urea (BUN)
2.7. Collection of Urine Samples and Measurement of Urinary Protein Excretion
2.8. Collection of Kidney Specimens
2.9. Measurement of MDA, SOD, CAT, and GSH in Kidney Tissues
2.10. Assessment of mRNA Levels of Genes Expression in Kidney Tissue by Real-Time qPCR
2.11. Real-Time PCR Reaction
2.12. Histopathological Examination of Kidney Tissues
2.13. Immunohistochemistry Investigation for Expression of NFkB and β-Catenin in Kidney Tissues
2.14. Statistical Analysis
3. Results
3.1. Tissue Culture and WJ-MSCs Characterizations
3.2. Cell Viability Assay and Homing of WJ-MSCs with BrdU in Kidney Tissues
3.3. Serum Creatinine (SCr) and Blood Nitrogen Urea (BUN), and Urinary Protein Excretions
3.4. The Concentrations of MDA and GSH and Activities of SOD and CAT in Kidney Tissues
3.5. Expression of IL6, HIF-1α, Bax and Wnt7β Genes at the Level of mRNA
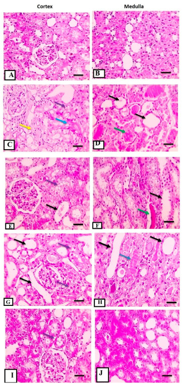
3.6. Histopathological Studies for Kidney Tissues (H&E)
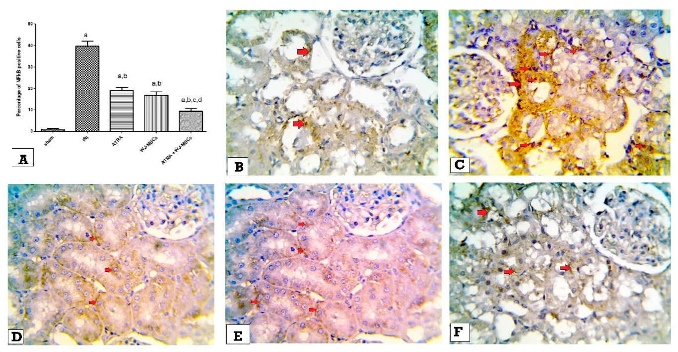
3.7. Expression of β-Catenin & NF-κβ in Kidney Tissues by Immunohistochemistry
4. Discussion
5. Conclusions
Author Contributions
Funding
Institutional Review Board Statement
Informed Consent Statement
Data Availability Statement
Conflicts of Interest
References
- Chaturvedi, S.; Robinson, L.A. Slit2-Robo signaling in inflammation and kidney injury. Pediatr. Nephrol. 2015, 30, 561–566. [Google Scholar] [CrossRef] [PubMed]
- Shang, Y.; Madduma Hewage, S.; Wijerathne, C.U.; Siow, Y.L.; Isaak, C.K. Kidney ischemia-reperfusion elicits acute liver injury and inflammatory response. Front. Med. 2020, 7, 201. [Google Scholar] [CrossRef] [PubMed]
- Barakat, M.; Gabr, M.M.; Zhran, F.; El-Adl, M.; Hussein, A.M.; Barakat, N.; Eldemerdash, R. Upregulation of heme oxygenase 1 (HO-1) attenuates kidney damage, oxidative stress and inflammatory reaction during renal ischemia/ reperfusion injury. Gen. Physiol. Biophys. 2018, 37, 193–204. [Google Scholar] [CrossRef] [PubMed] [Green Version]
- Thomson, A.L.; Berent, A.C.; Weisse, C.; Langston, C.E. Intra-arterial renal infusion of autologous mesenchymal stem cells for treatment of chronic kidney disease in cats: Phase I clinical trial. J. Vet. Intern. Med. 2019, 33, 1353–1361. [Google Scholar] [CrossRef] [PubMed]
- Sutton, T.A.; Fisher, C.J.; Molitoris, B.A. Microvascular endothelial injury and dysfunction during ischemic acute renal failure. Kidney Int. 2002, 62, 1539–1549. [Google Scholar] [CrossRef] [Green Version]
- Song, N.; Thaiss, F.; Guo, L. NFκB and kidney injury. Front. Immunol. 2019, 10, 815. [Google Scholar] [CrossRef] [PubMed]
- Dong, Q.; Jie, Y.; Ma, J.; Li, C.; Xin, T.; Yang, D. Wnt/β-catenin signaling pathway promotes renal ischemia–reperfusion injury through inducing oxidative stress and inflammation response. J. Recept. Signal Transduct. 2021, 41, 15–18. [Google Scholar] [CrossRef] [PubMed]
- Barnes, C.J.; Distaso, C.T.; Spitz, K.M.; Verdun, V.A.; Haramati, A. Comparison of stem cell therapies for acute kidney injury. Am. J. Stem Cells 2016, 5, 1. [Google Scholar] [PubMed]
- Cóndor, J.M.; Rodrigues, C.E.; de Sousa Moreira, R.; Canale, D.; Volpini, R.A. Treatment with human Wharton’s jelly- derived mesenchymal stem cells attenuates sepsis-induced kidney injury, liver injury, and endothelial dysfunction. Stem Cells Transl. Med. 2016, 5, 1048–1057. [Google Scholar] [CrossRef] [Green Version]
- Khubutiya, M.S.; Vagabov, A.V.; Temnov, A.A.; Sklifas, A.N. Paracrine mechanisms of proliferative, anti-apoptotic and anti-inflammatory effects of mesenchymal stromal cells in models of acute organ injury. Cytotherapy 2014, 16, 579–585. [Google Scholar] [CrossRef]
- Liu, X.; Cai, J.; Jiao, X.; Yu, X.; Ding, X. Therapeutic potential of mesenchymal stem cells in acute kidney injury is affected by administration timing. Acta Biochim. Biophys. Sin. 2017, 49, 338–348. [Google Scholar] [CrossRef] [PubMed] [Green Version]
- Mallipattu, S.K.; He, J.C. The beneficial role of retinoids in glomerular disease. Front. Med. 2015, 2, 16. [Google Scholar] [CrossRef] [PubMed] [Green Version]
- Perez, A.; Ramirez-Ramos, M.; Calleja, C.; Martin, D.; Namorado, M.C.; Sierra, G.; Ramirez-Ramos, M.E.; Paniagua, R.; Sanchez, Y.; Arreola, L.; et al. Beneficial effect of retinoic acid on the outcome of experimental acute renal failure. Nephrol. Dial. Transplant. 2004, 19, 2464–2471. [Google Scholar] [CrossRef] [PubMed] [Green Version]
- Ferreira, R.; Napoli, J.; Enver, T.; Bernardino, L.; Ferreira, L. Advances and challenges in retinoid delivery systems in regenerative and therapeutic medicine. Nat. Commun. 2020, 11, 4265. [Google Scholar] [CrossRef]
- Purton, L.E. Roles of retinoids and retinoic acid receptors in the regulation of hematopoietic stem cell self-renewal and differentiation. PPAR Res. 2007, 2007, 87934. [Google Scholar] [CrossRef] [Green Version]
- Mortezaee, K.; Minaii, B.; Sabbaghziarani, F.; Kashani, I.R.; Hassanzadeh, G.; Pasbakhsh, P.; Barbarestani, M.; Latifpour, M. Retinoic acid as the stimulating factor for differentiation of Wharton’s Jelly-Mesenchymal stem cells into hepatocyte-like cells. Avicenna J. Med. Biotechnol. 2015, 7, 106. [Google Scholar]
- Yin, F.; Wang, W.Y.; Jiang, W.H. Human umbilical cord mesenchymal stem cells ameliorate liver fibrosis in vitro and in vivo: From biological characteristics to therapeutic mechanisms. World J. Stem Cells 2019, 11, 548–564. [Google Scholar] [CrossRef]
- Liu, X.; Liu, H.; Sun, L.; Chen, Z.; Nie, H.; Sun, A.; Liu, G.; Guan, G. The role of long-term label-retaining cells in the regeneration of adult mouse kidney after ischemia/reperfusion injury. Stem Cell Res. 2016, 7, 68. [Google Scholar] [CrossRef] [Green Version]
- Zahran, F.; Elsyed IM, E.; Barakat, N.M. All-trans retinoic acid has renoprotective effects on Cisplatin-induced acute kidney injury in rats. Alfarama J. Basic Appl. Sci. 2021, 2, 28–43. [Google Scholar] [CrossRef]
- La Manna, G.; Bianchi, F.; Cappuccilli, M.; Cenacchi, G.; Tarantino, L.; Pasquinelli, G.; Valente, S.; Bella, E.D.; Cantoni, S.; Claudia, C. Mesenchymal stem cells in renal function recovery after acute kidney injury: Use of a differentiating agent in a rat model. Cell Transplant. 2011, 20, 1193–1208. [Google Scholar] [CrossRef] [Green Version]
- Chandrakesan, P.; Jakkula LU, M.R.; Ahmed, I.; Roy, B.; Anant, S.; Umar, S. Differential effects of β-catenin and NF-κB interplay in the regulation of cell proliferation, inflammation and tumorigenesis in response to bacterial infection. PLoS ONE 2013, 8, e79432. [Google Scholar] [CrossRef] [PubMed]
- Ma, B.; Hottiger, M.O. Crosstalk between Wnt/β-catenin and NF-κB signaling pathway during inflammation. Front. Immunol. 2016, 7, 378. [Google Scholar] [CrossRef] [PubMed]
- Malek, M.; Nematbakhsh, M. Renal ischemia/reperfusion injury; from pathophysiology to treatment. J. Ren. Inj. Prev. 2015, 4, 20–27. [Google Scholar] [CrossRef] [PubMed]
- Zuk, A.; Bonventre, J.V. Acute Kidney Injury. Annu. Rev. Med. 2016, 67, 293–307. [Google Scholar] [CrossRef] [PubMed] [Green Version]
- Miller, M.A.; Zachary, J.F. Mechanisms and morphology of cellular injury, adaptation, and death. Pathol. Basis Vet. Dis. 2017, 2, 43.e19. [Google Scholar]
- Awadalla, A.; Hussein, A.M.; Yousra, M.; Barakat, N.; Hamam, E.T.; El-Sherbiny, M.; Shokeir, A.A. Effect of zinc oxide nanoparticles and ferulic acid on renal ischemia/reperfusion injury: Possible underlying mechanisms. Biomed. Pharmacother. 2021, 140, 111686. [Google Scholar] [CrossRef]
- Hussein, A.M.; Barakat, N.; Awadalla, A.; Gabr, M.M.; Khater, S.; Harraz, A.M.; Shokeir, A.A. Modulation of renal ischemia/reperfusion in rats by a combination of ischemic preconditioning and adipose-derived mesenchymal stem cells (ADMSCs). Can. J. Physiol. Pharmacol. 2016, 94, 936–946. [Google Scholar] [CrossRef]
- Zahran, W.E.; Elsonbaty, S.M.; Moawed, F.S. Selenium nanoparticles with low-level ionizing radiation exposure ameliorate nicotine-induced inflammatory impairment in rat kidney. Environ. Sci. Pollut. Res. 2017, 24, 19980–19989. [Google Scholar] [CrossRef]
- Kheradmand, A.; Hashemitabar, M.; Kheradmand, P.; Valizadeh, F.; Kavosh, A. Protective Effect of Wharton’s Jelly-derived Mesenchymal Stem Cells on Renal Fibrosis in Rats with Unilateral Ureteral Obstruction. Eur. Urol. Open Sci. 2020, 20, 48–53. [Google Scholar] [CrossRef]
- Zhang, Z.-Y.; Hou, Y.-P.; Zou, X.-Y.; Xing, X.-Y.; Ju, G.-Q.; Zhong, L.; Sun, J. Oct-4 enhanced the therapeutic effects of mesenchymal stem cell-derived extracellular vesicles in acute kidney injury. Kidney Blood Press. Res. 2020, 45, 95–108. [Google Scholar] [CrossRef]
- Nagaishi, K.; Mizue, Y.; Chikenji, T.; Otani, M.; Nakano, M.; Saijo, Y.; Tsuchida, H.; Ishioka, S.; Nishikawa, A.; Saito, T. Umbilical cord extracts improve diabetic abnormalities in bone marrow-derived mesenchymal stem cells and increase their therapeutic effects on diabetic nephropathy. Sci. Rep. 2017, 7, 8484. [Google Scholar] [CrossRef] [PubMed] [Green Version]
- Zhu, Z.; Zhu, J.; Zhao, X.; Yang, K.; Lu, L.; Zhang, F.; Shen, W.; Zhang, R. All-trans retinoic acid ameliorates myocardial ischemia/reperfusion injury by reducing cardiomyocyte apoptosis. PLoS ONE 2015, 10, e0133414. [Google Scholar] [CrossRef] [PubMed]
- Chen, W.; Li, D. Reactive oxygen species (ROS)-responsive nanomedicine for solving ischemia-reperfusion injury. Front. Chem. 2020, 8, 732. [Google Scholar] [CrossRef] [PubMed]
- Kim, J.; Jang, H.S.; Park, K.M. Reactive oxygen species generated by renal ischemia and reperfusion trigger protection against subsequent renal ischemia and reperfusion injury in mice. Am. J. Physiol.-Ren. Physiol. 2010, 298, F158–F166. [Google Scholar] [CrossRef] [Green Version]
- Balahoroğlu, R.; Dülger, H.; Özbek, H.; Bayram, İ.; Şekeroğlu, M.R. Protective effects of antioxidants on the experimental liver and kidney toxicity in mice. Eur. J. Gen. Med. 2008, 5, 157–164. [Google Scholar]
- Icoglu Aksakal, F.; Koc, K.; Geyikoglu, F.; Karakaya, S. Ameliorative effect of umbelliferone in remote organ injury induced by renal ischemia-reperfusion in rats. J. Food Biochem. 2021, 45, e13628. [Google Scholar] [CrossRef]
- Keshtkar, S.; Kaviani, M.; Jabbarpour, Z.; Sabet Sarvestani, F.; Ghahremani, M.H.; Esfandiari, E.; Hossein Aghdaei, M.; Nikeghbalian, S.; Shamsaeefar, A.; Geramizadeh, B. Hypoxia-preconditioned Wharton’s Jelly-derived mesenchymal stem cells mitigate stress-induced apoptosis and ameliorate human islet survival and function in di.rect contact coculture system. Stem Cells Int. 2020, 2020, 8857457. [Google Scholar] [CrossRef]
- Shu, S.; Wang, Y.; Zheng, M.; Liu, Z.; Cai, J.; Tang, C.; Dong, Z. Hypoxia and hypoxia-inducible factors in kidney injury and repair. Cells 2019, 8, 207. [Google Scholar] [CrossRef] [Green Version]
- Clark, W.M.; Rinker, L.G.; Lessov, N.S.; Hazel, K.; Hill, J.K.; Stenzel-Poore, M.; Eckenstein, F. Lack of interleukin-6 expression is not protective against focal central nervous system ischemia. Stroke 2000, 31, 1715–1720. [Google Scholar] [CrossRef] [Green Version]
- Yang, R.; Han, X.; Uchiyama, T.; Watkins, S.K.; Yaguchi, A.; Delude, R.L.; Fink, M.P.; Physiology, L. IL-6 is essential for development of gut barrier dysfunction after hemorrhagic shock and resuscitation in mice. Am. J. Physiol.-Gastrointest. 2003, 285, G621–G629. [Google Scholar] [CrossRef]
- Kukielka, G.L.; Youker, K.A.; Michael, L.H.; Kumar, A.G.; Ballantyne, C.M.; Smith, C.W.; Entman, M.L.; Biochemistry, C. Role of early reperfusion in the induction of adhesion molecules and cytokines in previously ischemic myocardium. Mol. Embryol. 1995, 147, 5–12. [Google Scholar]
- Vila, N.; Castillo, J.; Dávalos, A.; Esteve, A.; Planas, A.M.; Chamorro, Á. Levels of anti-inflammatory cytokines and neurological worsening in acute ischemic stroke. Stroke 2003, 34, 671–675. [Google Scholar] [CrossRef] [PubMed] [Green Version]
- Zahran, R.; Ghozy, A.; Elkholy, S.S.; El-Taweel, F.; El-Magd, M.A. Combination therapy with melatonin, stem cells and extracellular vesicles is effective in limiting renal ischemia–reperfusion injury in a rat model. Int. J. Urol. 2020, 27, 1039–1049. [Google Scholar] [CrossRef] [PubMed]
- Justo, P.; Sanz, A.B.; Egido, J.; Ortiz, A. 3, 4-Dideoxyglucosone-3-ene induces apoptosis in renal tubular epithelial cells. Diabetes 2005, 54, 2424–2429. [Google Scholar] [CrossRef] [PubMed] [Green Version]
- Zheng, H.; Lan, J.; Li, J.; Lv, L. Therapeutic effect of berberine on renal ischemia-reperfusion injury in rats and its effect on Bax and Bcl-2. Exp. Ther. Med. 2018, 16, 2008–2012. [Google Scholar] [CrossRef] [Green Version]
- Xu, Q.; Yan, P.; Duan, X.-J.; Wu, X.; Chen, X.-J.; Luo, M.; Peng, J.-C.; Feng, L.-X.; Liu, J.; Zhong, H.-L. Human umbilical cord-derived mesenchymal stem cells and human cord blood mononuclear cells protect against cisplatin-induced acute kidney injury in rat models. Exp. Ther. Med. 2020, 20, 145. [Google Scholar] [CrossRef]
- Peng, J.; Dong, Z. Role changes of β-catenin in kidney injury and repair. Kidney Int. Suppl. 2012, 82, 509–511. [Google Scholar] [CrossRef] [Green Version]
- Zhang, Y.; Chiu, S.; Liang, X.; Gao, F.; Zhang, Z.; Liao, S.; Liang, Y.; Chai, Y.; Low, D.; Tse, H. Rap1-mediated nuclear factorkappaB (NF-κ B) activity regulates the paracrine capacity of mesenchymal stem cells in heart repair following infarction. Cell Death Discov. 2015, 1, 15007. [Google Scholar] [CrossRef] [Green Version]
- Anderova, M.; Kriska, J.; Janeckova, L.; Kirdajova, D.; Honsa, P.; Knotek, T.; Dzamba, D.; Kolenicova, D.; Butenko, O.; Vojtechova, M. Wnt/β-Catenin signaling promotes differentiation of ischemia-activated adult neural stem/progenitor cells to neuronal precursors. Front. Neurosci. 2021, 15, 77. [Google Scholar]
- Jiao, X.; Cai, J.; Yu, X.; Ding, X. Paracrine activation of the Wnt/β-catenin pathway by bone marrow stem cell attenuates cisplatin-induced kidney injury. Cell. Physiol. Biochem. 2017, 44, 1980–1994. [Google Scholar] [CrossRef] [Green Version]
- Kumar, D.; Singla, S.K.; Puri, V.; Puri, S. The restrained expression of NF-kB in renal tissue ameliorates folic acid induced acute kidney injury in mice. PLoS ONE 2015, 10, e115947. [Google Scholar] [CrossRef] [PubMed] [Green Version]
- Markó, L.; Vigolo, E.; Hinze, C.; Park, J.-K.; Roël, G.; Balogh, A.; Choi, M.; Wübken, A.; Cording, J.; Blasig, I.E. Tubular epithelial NF-κB activity regulates ischemic AKI. J. Am. Soc. Nephrol. 2016, 27, 2658–2669. [Google Scholar] [CrossRef] [PubMed] [Green Version]
- Sabbaghziarani, F.; Mortezaee, K.; Akbari, M.; Soleimani, M.; Moini, A.; Ataeinejad, N.; Zendedel, A.; Hassanzadeh, G. Retinoic acid-pretreated Wharton’s jelly mesenchymal stem cells in combination with triiodothyronine improve expression of neurotrophic factors in the subventricular zone of the rat ischemic brain injury. Metab. Brain Dis. 2017, 32, 185–193. [Google Scholar] [CrossRef] [PubMed]
- Kim, D.-W.; Staples, M.; Shinozuka, K.; Pantcheva, P.; Kang, S.-D.; Borlongan, C.V. Wharton’s jelly-derived mesenchymal stem cells: Phenotypic characterization and optimizing their therapeutic potential for clinical applications. Int. J. Mol. Sci. 2013, 14, 11692–11712. [Google Scholar] [CrossRef] [PubMed] [Green Version]
- Che, N.; Li, X.; Zhou, S.; Liu, R.; Shi, D.; Lu, L.; Sun, L. Umbilical cord mesenchymal stem cells suppress B-cell proliferation and differentiation. Cell. Immunol. 2012, 274, 46–53. [Google Scholar] [CrossRef]
- Lukomska, B.; Stanaszek, L.; Zuba-Surma, E.; Legosz, P.; Sarzynska, S.; Drela, K. Challenges and controversies in human mesenchymal stem cell therapy. Stem Cells Int. 2019, 2019, 9628536. [Google Scholar] [CrossRef] [Green Version]









| Serum Creatinine (mg/dL) | ||||||
|---|---|---|---|---|---|---|
| Groups | Day 3 | Day 5 | Day 7 | |||
| Basal | Test | Basal | Test | Basal | Test | |
| Sham | 0.4 ± 0.14 | 0.57 ± 0.12 | 0.48 ± 0.15 | 0.51 ± 0.1 | 0.41 ± 0.11 | 0.58 ± 0.14 |
| IRI | 0.41 ± 0.12 | 2.83 ± 0.51 a | 0.41 ± 0.14 | 2.24 ± 0.62 a | 0.4 ± 0.08 | 1.68 ± 0.29 a |
| ATRA | 0.41 ± 0.09 | 1.82 ± 0.33 a,b | 0.43 ± 0.1 | 1.25 ± 0.34 a,b | 0.41 ± 0.11 | 0.84 ± 0.19 b |
| WJ-MSCs | 0.45 ± 0.14 | 1.39 ± 0.21 a,b | 0.43 ± 0.12 | 1.14 ± 0.13 a,b | 0.38 ± 0.14 | 0.73 ± 0.12 b |
| ATRA + WJ-MSCs | 0.45 ± 0.13 | 1.09 ± 0.13 a,b,c | 0.41 ± 0.13 | 0.83 ± 0.14 b | 0.4 ± 0.12 | 0.59 ± 0.1 b |
| Serum BUN (mg/dL) | ||||||
| Sham | 21.8 ± 2.7 | 22 ± 2.44 | 21.3 ± 4.17 | 23.5 ± 3.5 | 21.5 ± 1.87 | 22.1 ± 3.37 |
| IRI | 20.6 ± 1.63 | 60.5 ± 8.5 a | 20.83 ± 3.31 | 49.3 ± 9.62 a | 21.3 ± 2.16 | 40.1 ± 4.57 a |
| ATRA | 22 ± 2.09 | 42.6 ± 5.7 a,b | 23.3 ± 4.8 | 31.6 ± 2.8 b | 23 ± 4.73 | 27.6 ± 4.41 b |
| WJ-MSCs | 21.2 ± 2.56 | 38.6 ± 4.17 a,b | 23 ± 3.57 | 30 ± 4.1 b | 22.17 ± 2.48 | 26 ± 3.34 b |
| ATRA + WJ-MSCs | 22.17 ± 3.31 | 32.5 ± 4.54 a,b,c | 21.17 ± 3.37 | 27 ± 4.09 b | 22.6 ± 3.61 | 24.3 ± 3.72 b |
| Urinary Protein (mg/24 h) | ||||||
| Sham | 1.02 ± 0.14 | 1.03 ± 0.31 | 1.03 ± 0.15 | 1.07 ± 0.09 | 1.04 ± 0.15 | 0.99 ± 0.08 |
| IRI | 1.15 ± 0.37 | 4.19 ± 0.85 a | 1 ± 0.36 | 3.37 ± 0.66 a | 0.95 ± 0.12 | 2.55 ± 0.95 a |
| ATRA | 0.88 ± 0.26 | 2.95 ± 0.3 a,b | 0.96 ± 0.08 | 1.88 ± 0.33 b | 0.8 ± 0.23 | 1.19 ± 0.25 b |
| WJ-MSCs | 0.83 ± 0.21 | 1.83 ± 0.38 b,c | 0.78 ± 0.26 | 1.21 ± 0.19 b | 0.88 ± 0.24 | 0.84 ± 0.16 b |
| ATRA + WJ-MSCs | 0.96 ± 0.16 | 1.64 ± 0.28 b,c | 0.94 ± 0.11 | 1.05 ± 0.15 b | 0.96 ± 0.17 | 0.87 ± 0.17 b |
| Group | Day 3 | Day 5 | Day 7 |
|---|---|---|---|
| MDA (nmol/g. kidney tissues) | |||
| Sham | 15.74 ± 1.5 | 16.51 ± 1.43 | 17.16 ± 1.65 |
| IRI | 68.49 ± 3.68 a | 65.75 ± 4.06 a | 63.42 ± 2.98 a |
| ATRA | 55.44 ± 3.89 a,b | 47.67 ± 2.99 a,b | 39.03 ± 3.63 a,b |
| WJ-MSCs | 51.91 ± 3.22 a,b | 43.58 ± 5.00 a,b | 32.55 ± 3.59 a,b |
| ATRA + WJ-MSCs | 46.32 ± 2.46 a,b,c | 38.2 ± 5.94 a,b,c | 28.47 ± 2.79 a,b,c |
| GSH (mg/g. kidney tissues) | |||
| Sham | 6.5 ± 0.12 | 6.2 ± 0.26 | 6.27 ± 0.08 |
| IRI | 2.1 ± 0.16 a | 2.27 ± 0.07 a | 2.46 ± 0.06 a |
| ATRA | 3.27 ± 0.09 a,b | 3.85 ± 0.11 a,b | 4.53 ± 0.09 a,b |
| WJ-MSCs | 4.13 ± 0.16 a,b,c | 5.22 ± 0.07 a,b,c | 5.82 ± 0.05 a,b,c |
| ATRA + WJ-MSCs | 4.71 ± 0.08 a,b,c,d | 5.42 ± 0.08 a,b,c | 6.03 ± 0.14 a,b,c |
| SOD (U/g. kidney tissues) | |||
| Sham | 204 ± 3.3 | 201.6 ± 4.28 | 198.5 ± 4.5 |
| IRI | 92.9 ± 3.1 a | 95.2 ± 4.39 a | 98.34 ± 4.53 a |
| ATRA | 123.4 ± 4.96 a,b | 141.1 ± 3.38 a,b | 154.8 ± 5.9 a,b |
| WJ-MSCs | 131 ± 5.76 a,b | 152.8 ± 3.2 a,b,c | 162.7 ± 4.9 a,b |
| ATRA + WJ-MSCs | 144.4 ± 5.3 a,b,c,d | 158.5 ± 4.5 a,b,c | 174.9 ± 7.05 a,b,c,d |
| CAT (U/g. kidney tissues) | |||
| Sham | 5.33 ± 0.78 | 5.1 ± 0.36 | 4.95 ± 0.16 |
| IRI | 1.27 ± 0.06 a | 1.49 ± 0.1 a | 1.68 ± 0.1 a |
| ATRA | 1.93 ± 0.18 a,b | 2.54 ± 0.09 a,b | 3.02 ± 0.1 a,b |
| WJ-MSCs | 2.15 ± 0.14 a,b | 2.78 ± 0.08 a,b | 3.68 ± 0.24 a,b,c |
| ATRA + WJ-MSCs | 2.81 ± 0.14 a,b,c,d | 3.53 ± 0.13 a,b,c,d | 4.15 ± 0.12 a,b,c |
| Histological Changes | Day 3 | Day 5 | Day 7 | |||
|---|---|---|---|---|---|---|
| Cortex | Medulla | Cortex | Medulla | Cortex | Medulla | |
| Tubulo-interstitial damage TID | ||||||
| Sham | 0 (0–0) | 0 (0–0) | 0 (0–0) | 0 (0–0) | 0 (0–0) | 0 (0–0) |
| IRI | 4.5 (3–7) a | 4 (3–6) a | 4 (3–5) a | 3.5 (2–5) a | 3 (2–4) a | 3 (2–4) a |
| ATRA | 3 (2–4) a,b | 2.5 (2–4) a | 3 (2–4) a,b | 3 (2–4) a | 2 (0–3) a,b | 2 (1–3) a,b |
| WJ-MSCs | 2.5 (2–4) a,b | 2.5 (2–4) a | 3 (2–3) a,b | 3 (2–4) a | 1.5 (0–2) a,b | 1.5 (0–2) a,b |
| ATRA + WJ-MSCs | 2.5 (2–4) a,b | 2.5 (2–4) a,b,c | 1 (1–2) a,b,c,d | 1.5 (1–2) a,b,c,d | 0 (0–1) b,c,d | 1 (0–1) b,c,d |
| Regeneration score | ||||||
| Sham | 0 (0–0) | 0 (0–0) | 0 (0–0) | 0 (0–0) | 0 (0–0) | 0 (0–0) |
| IRI | 0 (0–0) | 0 (0–0) | 0 (0–1) | 0 (0–1) | 0 (0–1) | 0 (0–2) |
| ATRA | 0.5 (0–2) | 1 (0–2) a,b | 2.5 (1–3) a,b | 2 (1–3) a,b | 3.5 (3–5) a,b | 4 (3–5) a,b |
| WJ-MSCs | 1.5 (0–3) a,b | 1 (0–3) a,b | 3 (1–4) a,b | 3 (1–4) a,b | 3.5 (3–7) a,b | 4 (3–6) a,b |
| ATRA + WJ-MSCs | 2.5 (1–3) a,b | 2.5 (1–3) a,b,c | 4 (3–6) a,b,c | 4 (3–5) a,b,c | 7 (4–8) a,b,c,d | 6.5 (4–8) a,b,c,d |
Publisher’s Note: MDPI stays neutral with regard to jurisdictional claims in published maps and institutional affiliations. |
© 2022 by the authors. Licensee MDPI, Basel, Switzerland. This article is an open access article distributed under the terms and conditions of the Creative Commons Attribution (CC BY) license (https://creativecommons.org/licenses/by/4.0/).
Share and Cite
Barakat, M.; Hussein, A.M.; Salama, M.F.; Awadalla, A.; Barakat, N.; Serria, M.; El-Shafey, M.; El-Sherbiny, M.; El Adl, M.A. Possible Underlying Mechanisms for the Renoprotective Effect of Retinoic Acid-Pretreated Wharton’s Jelly Mesenchymal Stem Cells against Renal Ischemia/Reperfusion Injury. Cells 2022, 11, 1997. https://doi.org/10.3390/cells11131997
Barakat M, Hussein AM, Salama MF, Awadalla A, Barakat N, Serria M, El-Shafey M, El-Sherbiny M, El Adl MA. Possible Underlying Mechanisms for the Renoprotective Effect of Retinoic Acid-Pretreated Wharton’s Jelly Mesenchymal Stem Cells against Renal Ischemia/Reperfusion Injury. Cells. 2022; 11(13):1997. https://doi.org/10.3390/cells11131997
Chicago/Turabian StyleBarakat, Mai, Abdelaziz M. Hussein, Mohamed F. Salama, Amira Awadalla, Nashwa Barakat, Mohamed Serria, Mohamed El-Shafey, Mohamed El-Sherbiny, and Mohamed A. El Adl. 2022. "Possible Underlying Mechanisms for the Renoprotective Effect of Retinoic Acid-Pretreated Wharton’s Jelly Mesenchymal Stem Cells against Renal Ischemia/Reperfusion Injury" Cells 11, no. 13: 1997. https://doi.org/10.3390/cells11131997
APA StyleBarakat, M., Hussein, A. M., Salama, M. F., Awadalla, A., Barakat, N., Serria, M., El-Shafey, M., El-Sherbiny, M., & El Adl, M. A. (2022). Possible Underlying Mechanisms for the Renoprotective Effect of Retinoic Acid-Pretreated Wharton’s Jelly Mesenchymal Stem Cells against Renal Ischemia/Reperfusion Injury. Cells, 11(13), 1997. https://doi.org/10.3390/cells11131997

