Multi Species Analyses Reveal Testicular T3 Metabolism and Signalling as a Target of Environmental Pesticides
Abstract
1. Introduction
2. Materials and Methods
2.1. Mouse Treatment
2.2. Zebrafish Husbandry and Treatment
2.3. Analysis of Adult Seminiferous Tubules Cultured in Hanging Drop Condition
2.4. Gas Chromatography Mass Spectrometry (GC-MS) Analysis
2.5. RT-qPCR Analysis
2.6. Measurement of Thyroid and Sexual Hormones in Tissue Homogenate
2.7. Western Blotting Analysis
2.8. Hematoxylin and Eosin Stining and Immuno-Histochemistry
2.9. Statistical Analysis
3. Results
3.1. Developmental and Long-Term Exposure to Pesticide Affects Steroidogenesis and Metabolism of THs in Mouse
3.2. Pesticides Directly Affect the Levels of E2 and TH Metabolism/Signalling Transcripts and of Markers of Testicular Somatic and Germ Cells in Ex-Vivo Cultures of Seminiferous Tubules
3.3. Pesticides Downregulate Key Genes Involved in Testis Development and Spermatogenesis
3.4. Developmental and Long-Life Exposure to Pesticides Impair Testicular Thyroid Hormones Metabolism and Signalling in Zebrafish
3.5. Change in Testis T3 Level Alters Sertoli and Leydig Gene Expression and Estrogen Signalling in Zebrafish Testis
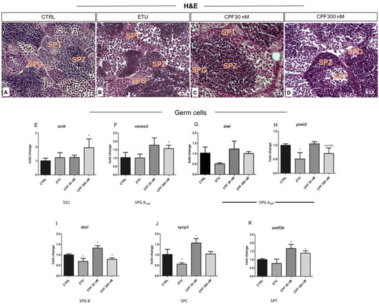
3.6. Examination of Treated Testes and Analysis of Key Spermatogenesis Genes in Zebrafish
4. Discussion
5. Conclusions
Supplementary Materials
Author Contributions
Funding
Institutional Review Board Statement
Informed Consent Statement
Data Availability Statement
Acknowledgments
Conflicts of Interest
References
- Brent, G.A. Mechanisms of thyroid hormone action. J. Clin. Investig. 2012, 122, 3035–3043. [Google Scholar] [CrossRef]
- Gao, Y.; Lee, W.M.; Cheng, C.Y. Thyroid hormone function in the rat testis. Front. Endocrinol. 2014, 5, 5. [Google Scholar] [CrossRef]
- Hernandez, A. Thyroid hormone role and economy in the developing testis. In Vitamins and Hormones; Academic Press: Cambridge, MA, USA, 2018; Volume 106. [Google Scholar]
- Cooke, P.S.; Zhao, Y.D.; Bunick, D. Triiodothyronine inhibits proliferation and stimulates differentiation of cultured neonatal Sertoli cells: Possible mechanism for increased adult testis weight and sperm production induced by neonatal goitrogen treatment. Biol. Reprod. 1994, 51, 1000–1005. [Google Scholar] [CrossRef]
- De Franca, L.R.; Hess, R.A.; Cooke, P.S.; Russell, L.D. Neonatal hypothyroidism causes delayed sertoli cell maturation in rats treated with propylthiouracil: Evidence that the sertoli cell controls testis growth. Anat. Rec. 1995, 242, 57–69. [Google Scholar] [CrossRef] [PubMed]
- Palmero, S.; Prati, M.; Bolla, F.; Fugassa, E. Tri-iodothyronine directly affects rat Sertoli cell proliferation and differentiation. J. Endocrinol. 1995, 145, 355–362. [Google Scholar] [CrossRef]
- Arambepola, N.K.; Bunick, D.; Cooke, P.S. Thyroid hormone and follicle-stimulating hormone regulate Mullerian- inhibiting substance messenger ribonucleic acid expression in cultured neonatal rat Sertoli cells. Endocrinology 1998, 139, 4489–4495. [Google Scholar] [CrossRef][Green Version]
- Ulisse, S.; Jannini, E.A.; Carosa, E.; Piersanti, D.; Graziano, F.M.; D’Armiento, M. Inhibition of aromatase activity in rat Sertoli cells by thyroid hormone. J. Endocrinol. 1994, 140. [Google Scholar] [CrossRef] [PubMed]
- Auharek, S.A.; de França, L.R. Postnatal testis development, Sertoli cell proliferation and number of different spermatogonial types in C57BL/6J mice made transiently hypo- and hyperthyroidic during the neonatal period. J. Anat. 2010, 216. [Google Scholar] [CrossRef] [PubMed]
- Tousson, E.; Ali, E.M.M.; Ibrahim, W.; Mansour, M.A. Proliferating cell nuclear antigen as a molecular biomarker for spermatogenesis in PTU-induced hypothyroidism of rats. Reprod. Sci. 2011, 18. [Google Scholar] [CrossRef]
- Mendis-Handagama, S.M.L.C.; Ariyaratne, H.B.S. Differentiation of the adult Leydig cell population in the postnatal testis. Biol. Reprod. 2001, 65, 660–671. [Google Scholar] [CrossRef]
- Rijntjes, E.; Swarts, H.J.M.; Anand-Ivell, R.; Teerds, K.J. Prenatal induced chronic dietary hypothyroidism delays but does not block adult-type Leydig cell development. Am. J. Physiol. Endocrinol. Metab. 2009, 296. [Google Scholar] [CrossRef] [PubMed]
- Kobayashi, K.; Kubota, H.; Hojo, R.; Miyagawa, M. Dose-dependent effects of perinatal hypothyroidism on postnatal testicular development in rat offspring. J. Toxicol. Sci. 2014, 39. [Google Scholar] [CrossRef] [PubMed]
- Chamindrani Mendis-Handagama, S.M.L.; Siril Ariyaratne, H.B. Leydig cells, thyroid hormones and steroidogenesis. Indian J. Exp. Biol. 2005, 43, 939–962. [Google Scholar] [PubMed]
- Sarkar, D.; Singh, S.K. Effect of neonatal hypothyroidism on prepubertal mouse testis in relation to thyroid hormone receptor alpha 1 (THRα1). Gen. Comp. Endocrinol. 2017, 251. [Google Scholar] [CrossRef] [PubMed]
- Wagner, M.S.; Wajner, S.M.; Maia, A.L. Is there a role for thyroid hormone on spermatogenesis? Microsc. Res. Tech. 2009, 72, 796–808. [Google Scholar] [CrossRef] [PubMed]
- Krassas, G.E.; Pontikides, N. Male reproductive function in relation with thyroid alterations. Best Pract. Res. Clin. Endocrinol. Metab. 2004, 18, 183–195. [Google Scholar] [CrossRef] [PubMed]
- Krassas, G.E.; Perros, P. Thyroid disease and male reproductive function. J. Endocrinol. Investig. 2003, 26, 372–380. [Google Scholar] [CrossRef]
- Krassas, G.E.; Papadopoulou, F.; Tziomalos, K.; Zeginiadou, T.; Pontikides, N. Hypothyroidism has an adverse effect on human spermatogenesis: A prospective, controlled study. Thyroid 2008, 18. [Google Scholar] [CrossRef]
- Krassas, G.E.; Pontikides, N.; Deligianni, V.; Miras, K. A prospective controlled study of the impact of hyperthyroidism on reproductive function in males. J. Clin. Endocrinol. Metab. 2002, 87. [Google Scholar] [CrossRef]
- Hill, A.J.; Teraoka, H.; Heideman, W.; Peterson, R.E. Zebrafish as a model vertebrate for investigating chemical toxicity. Toxicol. Sci. 2005, 86, 6–19. [Google Scholar] [CrossRef]
- Van den Hurk, R.; Resink, J.W. Male reproductive system as sex pheromone producer in teleost fish. J. Exp. Zool. 1992, 261. [Google Scholar] [CrossRef]
- Siegfried, K.R.; Nüsslein-Volhard, C. Germ line control of female sex determination in zebrafish. Dev. Biol. 2008, 324. [Google Scholar] [CrossRef]
- Morais, R.D.V.S.; Nóbrega, R.H.; Gómez-González, N.E.; Schmidt, R.; Bogerd, J.; França, L.R.; Schulz, R.W. Thyroid hormone stimulates the proliferation of sertoli cells and single type A spermatogonia in adult zebrafish (danio rerio) testis. Endocrinology 2013, 154. [Google Scholar] [CrossRef]
- Schulz, R.W.; Menting, S.; Bogerd, J.; França, L.R.; Vilela, D.A.R.; Godinho, H.P. Sertoli cell proliferation in the adult testis—Evidence from two fish species belonging to different orders. Biol. Reprod. 2005, 73. [Google Scholar] [CrossRef]
- Safian, D.; Morais, R.D.V.S.; Bogerd, J.; Schulz, R.W. Igf binding proteins protect undifferentiated spermatogonia in the zebrafish testis against excessive differentiation. Endocrinology 2016, 157. [Google Scholar] [CrossRef][Green Version]
- Duan, C.; Ren, H.; Gao, S. Insulin-like growth factors (IGFs), IGF receptors, and IGF-binding proteins: Roles in skeletal muscle growth and differentiation. Gen. Comp. Endocrinol. 2010, 167, 344–351. [Google Scholar] [CrossRef] [PubMed]
- Duan, C.; Xu, Q. Roles of insulin-like growth factor (IGF) binding proteins in regulating IGF actions. Proc. Gen. Comp. Endocrinol. 2005, 142, 44–52. [Google Scholar] [CrossRef]
- Safian, D.; van der Kan, H.J.G.; Cresp, D.; Bogerd, J.; Schulz, R.W. Follicle-stimulating hormone regulates igfbp gene expression directly or via downstream effectors to modulate Igf3 effects on zebrafish spermatogenesis. Front. Endocrinol. 2017, 8. [Google Scholar] [CrossRef] [PubMed]
- Mindnich, R.; Haller, F.; Halbach, F.; Moeller, G.; de Angelis, M.H.; Adamski, J. Androgen metabolism via 17β-hydroxysteroid dehydrogenase type 3 in mammalian and non-mammalian vertebrates: Comparison of the human and the zebrafish enzyme. J. Mol. Endocrinol. 2005, 35. [Google Scholar] [CrossRef]
- De Waal, P.P.; Wang, D.S.; Nijenhuis, W.A.; Schulz, R.W.; Bogerd, J. Functional characterization and expression analysis of the androgen receptor in zebrafish (Danio rerio) testis. Reproduction 2008, 136. [Google Scholar] [CrossRef]
- Oakes, J.A.; Li, N.; Wistow, B.R.C.; Griffin, A.; Barnard, L.; Storbeck, K.H.; Cunliffe, V.T.; Krone, N.P. Ferredoxin 1b Deficiency Leads to Testis Disorganization, Impaired Spermatogenesis, and Feminization in Zebrafish. Endocrinology 2019, 160. [Google Scholar] [CrossRef] [PubMed]
- Sharma, A.; Sharma, P.; Sharma, P.; Joshi, S.C. A review on organochlorine pesticides and reproductive toxicity in males. Int. J. Pharm. Sci. Res. 2015, 6, 3123. [Google Scholar]
- Vandenberg, L.N. Low-Dose Effects of Hormones and Endocrine Disruptors. In Vitamins and Hormones; Academic Press: Cambridge, MA, USA, 2014; Volume 94, pp. 129–165. [Google Scholar]
- Mnif, W.; Hassine, A.I.H.; Bouaziz, A.; Bartegi, A.; Thomas, O.; Roig, B. Effect of endocrine disruptor pesticides: A review. Int. J. Environ. Res. Public Health 2011, 8, 2265–2303. [Google Scholar] [CrossRef] [PubMed]
- De Angelis, S.; Tassinari, R.; Maranghi, F.; Eusepi, A.; Di Virgilio, A.; Chiarotti, F.; Ricceri, L.; Venerosi Pesciolini, A.; Gilardi, E.; Moracci, G.; et al. Developmental exposure to chlorpyrifos induces alterations in thyroid and thyroid hormone levels without other toxicity signs in CD-1 mice. Toxicol. Sci. 2009, 108. [Google Scholar] [CrossRef] [PubMed]
- Porreca, I.; D’Angelo, F.; De Franceschi, L.; Mattè, A.; Ceccarelli, M.; Iolascon, A.; Zamò, A.; Russo, F.; Ravo, M.; Tarallo, R.; et al. Pesticide toxicogenomics across scales: In vitro transcriptome predicts mechanisms and outcomes of exposure in vivo. Sci. Rep. 2016, 6. [Google Scholar] [CrossRef]
- Axelstad, M.; Boberg, J.; Nellemann, C.; Kiersgaard, M.; Jacobsen, P.R.; Christiansen, S.; Hougaard, K.S.; Hass, U. Exposure to the widely used fungicide mancozeb causes thyroid hormone disruption in rat dams but no behavioral effects in the offspring. Toxicol. Sci. 2011, 120. [Google Scholar] [CrossRef]
- Colella, M.; Nittoli, V.; Porciello, A.; Porreca, I.; Reale, C.; Russo, F.; Russo, N.A.; Roberto, L.; Albano, F.; De Felice, M.; et al. Peripheral T3 signaling is the target of pesticides in zebrafish larvae and adult liver. J. Endocrinol. 2020, 247. [Google Scholar] [CrossRef]
- Runkle, J.; Flocks, J.; Economos, J.; Dunlop, A.L. A systematic review of Mancozeb as a reproductive and developmental hazard. Environ. Int. 2017, 99, 29–42. [Google Scholar] [CrossRef]
- Zhang, X.; Cui, W.; Wang, K.; Chen, R.; Chen, M.; Lan, K.; Wei, Y.; Pan, C.; Lan, X. Chlorpyrifos inhibits sperm maturation and induces a decrease in mouse male fertility. Environ. Res. 2020, 188. [Google Scholar] [CrossRef]
- Peiris, D.C.; Dhanushka, T. Low doses of chlorpyrifos interfere with spermatogenesis of rats through reduction of sex hormones. Environ. Sci. Pollut. Res. 2017, 24. [Google Scholar] [CrossRef] [PubMed]
- Joshi, S.C.; Mathur, R.; Gulati, N. Testicular toxicity of chlorpyrifos (an organophosphate pesticide) in albino rat. Toxicol. Ind. Health 2007, 23. [Google Scholar] [CrossRef]
- European Food Safety Authority (EFSA). Statement on the Available Outcomes of the Human Health Assessment in the Context of the Pesticides Peer Review of the Active Substance Chlorpyrifos. Available online: http://onlinelibrary.wiley.com/doi/10.2903/j.efsa.2019.5810/full (accessed on 31 July 2019).
- European Food Safety Authority (EFSA). Peer Review of the Pesticide Risk Assessment of the Active Substance Mancozeb; European Food Safety Authority (EFSA): Parma, Italy, 2020. [Google Scholar] [CrossRef]
- Wang, Y.; Lv, L.; Yu, Y.; Yang, G.; Xu, Z.; Wang, Q.; Cai, L. Single and joint toxic effects of five selected pesticides on the early life stages of zebrafish (Denio rerio). Chemosphere 2017, 170. [Google Scholar] [CrossRef] [PubMed]
- Cao, F.; Souders, C.L.; Li, P.; Pang, S.; Qiu, L.; Martyniuk, C.J. Biological impacts of organophosphates chlorpyrifos and diazinon on development, mitochondrial bioenergetics, and locomotor activity in zebrafish (Danio rerio). Neurotoxicol. Teratol. 2018, 70. [Google Scholar] [CrossRef]
- Jarque, S.; Fetter, E.; Veneman, W.J.; Spaink, H.P.; Peravali, R.; Strähle, U.; Scholz, S. An automated screening method for detecting compounds with goitrogenic activity using transgenic zebrafish embryos. PLoS ONE 2018, 13. [Google Scholar] [CrossRef] [PubMed]
- Yang, D.; Lauridsen, H.; Buels, K.; Chi, L.H.; La Du, J.; Bruun, D.A.; Olson, J.R.; Tanguay, R.L.; Lein, P.J. Chlorpyrifos-oxon disrupts zebrafish axonal growth and motor behavior. Toxicol. Sci. 2011, 121. [Google Scholar] [CrossRef]
- Szczepny, A.; Hogarth, C.A.; Young, J.; Loveland, K.L. Identification of Hedgehog signaling outcomes in mouse testis development using a hanging drop-culture system. Biol Reprod. 2009, 80, 258–263. [Google Scholar] [CrossRef]
- Jørgensen, A.; Young, J.; Nielsen, J.E.; Joensen, U.N.; Toft, B.G.; Meyts, E.R.-D.; Loveland, K. Hanging drop cultures of human testis and testis cancer samples: A model used to investigate activin treatment effects in a preserved niche. Br. J. Cancer 2014, 110, 2604–2614. [Google Scholar] [CrossRef] [PubMed]
- Marotta, P.; Amendola, E.; Scarfò, M.; De Luca, P.; Zoppoli, P.; Amoresano, A.; De Felice, M.; Di Lauro, R. The paired box transcription factor Pax8 is essential for function and survival of adult thyroid cells. Mol. Cell. Endocrinol. 2014, 396. [Google Scholar] [CrossRef]
- McCurley, A.T.; Callard, G.V. Characterization of housekeeping genes in zebrafish: Male-female differences and effects of tissue type, developmental stage and chemical treatment. BMC Mol. Biol. 2008, 9. [Google Scholar] [CrossRef]
- Gong, Z.K.; Wang, S.J.; Huang, Y.Q.; Zhao, R.Q.; Zhu, Q.F.; Lin, W.Z. Identification and validation of suitable reference genes for RT-qPCR analysis in mouse testis development. Mol. Genet. Genom. 2014. [Google Scholar] [CrossRef]
- Bradman, A.; Barr, D.B.; Claus Henn, B.G.; Drumheller, T.; Curry, C.; Eskenazi, B. Measurement of pesticides and other toxicants in amniotic fluid as a potential biomarker of prenatal exposure: A validation study. Environ Health Perspect. 2003, 111, 1779–1782. [Google Scholar] [CrossRef] [PubMed]
- Whyatt, R.M.; Rauh, V.; Barr, D.B.; Camann, D.E.; Andrews, H.F.; Garfinkel, R.; Hoepner, L.; Diaz, D.; Dietrich, J.; Reyes, A.; et al. Prenatal Insecticide Exposures and Birth Weight and Length among an Urban Minority Cohort. Environ. Health Perspect 2004, 112, 1125–1132. [Google Scholar] [CrossRef]
- Silver, M.K.; Shao, J.; Chen, M.; Xia, Y.; Lozoff, B.; Meeker, J.D. Distribution and Predictors of Pesticides in the Umbilical Cord Blood of Chinese Newborns. Int. J. Environ. Res. Public Health 2016, 13, 94. [Google Scholar] [CrossRef] [PubMed]
- Marlatt, V.L.; Gerrie, E.; Wiens, S.; Jackson, F.; Moon, T.W.; Trudeau, V.L. Estradiol and triiodothyronine differentially modulate reproductive and thyroidal genes in male goldfish. Fish. Physiol. Biochem 2012, 38, 283–296. [Google Scholar] [CrossRef] [PubMed]
- Buzzard, J.J.; Morrison, J.R.; O’Bryan, M.K.; Song, Q.; Wreford, N.G. Developmental expression of thyroid hormone receptors in the rat testis. Biol. Reprod. 2000, 62. [Google Scholar] [CrossRef]
- Jeays-Ward, K.; Dandonneau, M.; Swain, A. Wnt4 is required for proper male as well as female sexual development. Dev. Biol. 2004, 276. [Google Scholar] [CrossRef]
- Batias, C.; Siffroi, J.P.; Fénichel, P.; Pointis, G.; Segretain, D. Connexin43 gene expression and regulation in the rodent seminiferous epithelium. J. Histochem. Cytochem. 2000, 48. [Google Scholar] [CrossRef] [PubMed]
- Gilleron, J.; Nebout, M.; Scarabelli, L.; Senegas-Balas, F.; Palmero, S.; Segretain, D.; Pointis, G. A potential novel mechanism involving connexin 43 gap junction for control of Sertoli cell proliferation by thyroid hormones. J. Cell. Physiol. 2006, 209. [Google Scholar] [CrossRef]
- Climent, M.J.; Sanchez-Martín, M.S.; Pedreros, P.; Urrutia, R.; Herrero-Hernández, E. Determination of pesticides in river surface waters of central chile using spe-gc-ms multi-residue method. J. Chil. Chem. Soc. 2018, 63, 4023–4031. [Google Scholar] [CrossRef]
- Kobayashi, T.; Chiba, A.; Sato, T.; Myosho, T.; Yamamoto, J.; Okamura, T.; Onishi, Y.; Sakaizumi, M.; Hamaguchi, S.; Iguchi, T.; et al. Estrogen alters gonadal soma-derived factor (Gsdf)/Foxl2 expression levels in the testes associated with testis-ova differentiation in adult medaka, Oryzias latipes. Aquat. Toxicol. 2017, 191. [Google Scholar] [CrossRef]
- Zhu, Y.; Meng, L.; Xu, W.; Cui, Z.; Zhang, N.; Guo, H.; Wang, N.; Shao, C.; Chen, S. The autosomal Gsdf gene plays a role in male gonad development in Chinese tongue sole (Cynoglossus semilaevis). Sci. Rep. 2018, 8. [Google Scholar] [CrossRef]
- Song, F.; Wang, L.; Zhu, W.; Fu, J.; Dong, J.; Dong, Z. A novel igf3 gene in common carp (Cyprinus carpio): Evidence for its role in regulating gonadal development. PLoS ONE 2016, 11. [Google Scholar] [CrossRef] [PubMed]
- Cai, K.; Hua, G.; Ahmad, S.; Liang, A.; Han, L.; Wu, C.; Yang, F.; Yang, L. Correction: Action Mechanism of Inhibin α-Subunit on the Development of Sertoli Cells and First Wave of Spermatogenesis in Mice. PLoS ONE 2012, 7. [Google Scholar] [CrossRef]
- Baligar, P.N.; Kaliwal, B.B. Induction of gonadal toxicity to female rats after chronic exposure to mancozeb. Ind. Health 2001, 39. [Google Scholar] [CrossRef]
- Li, J.; Fang, B.; Ren, F.; Xing, H.; Zhao, G.; Yin, X.; Pang, G.; Li, Y. TCP structure intensified the chlorpyrifos-induced decrease in testosterone synthesis via LH-LHR-PKA-CREB-Star pathway. Sci. Total Environ. 2020, 726. [Google Scholar] [CrossRef] [PubMed]
- Girish, B.P.; Reddy, P.S. Forskolin ameliorates mancozeb-induced testicular and epididymal toxicity in Wistar rats by reducing oxidative toxicity and by stimulating steroidogenesis. J. Biochem. Mol. Toxicol. 2018, 32. [Google Scholar] [CrossRef]
- Boulanger, G.; Cibois, M.; Viet, J.; Fostier, A.; Deschamps, S.; Pastezeur, S.; Massart, C.; Gschloessl, B.; Gautier-Courteille, C.; Paillard, L. Hypogonadism associated with Cyp19a1 (Aromatase) posttranscriptional upregulation in Celf1 knockout mice. Mol. Cell. Biol. 2015, 35, 3244–3253. [Google Scholar] [CrossRef] [PubMed]
- Ribeiro, M.A.; Estill, M.S.; Fernandez, G.J.; Moraes, L.N.; Krawetz, S.A.; Scarano, W.R. Integrative transcriptome and microRNome analysis identifies dysregulated pathways in human Sertoli cells exposed to TCDD. Toxicology 2018, 409, 112–118. [Google Scholar] [CrossRef] [PubMed]
- Choi, J.S.; Oh, J.H.; Park, H.J.; Choi, M.-S.; Park, S.-M.; Kang, S.-J.; Oh, M.-J.; Kim, S.J.; Hwang, S.Y.; Yoon, S. miRNA regulation of cytotoxic effects in mouse Sertoli cells exposed to nonylphenol. Reprod. Biol. Endocrinol. 2011, 9, 126. [Google Scholar] [CrossRef]
- Grünfeld, H.T.; Bonefeld-Jorgensen, E.C. Effect of in vitro estrogenic pesticides on human oestrogen receptor α and β mRNA levels. Toxicol. Lett. 2004, 151, 467–480. [Google Scholar] [CrossRef] [PubMed]
- Maran, R.R. Thyroid hormones: Their role in testicular steroidogenesis. Arch. Androl. 2003, 49, 375–388. [Google Scholar] [CrossRef]
- Gereben, B.; Gonçalves, C.; Harney, J.W.; Larsen, P.R.; Bianco, A.C. Selective Proteolysis of Human Type 2 Deiodinase: A Novel Ubiquitin-Proteasomal Mediated Mechanism for Regulation of Hormone Activation. Mol. Endocrinol. 2000, 14, 1697–1708. [Google Scholar] [CrossRef]
- Marchlewska, K.; Kula, K.; Walczak-Jedrzejowska, R.; Oszukowska, E.; Filipiak, E.; Slowikowska-Hilczer, J. Role of FSH and triiodothyronine in Sertoli cell development expressed by formation of connexin 43-based gap junctions. J. Exp. Zool. Part A Ecol. Genet. Physiol. 2011, 315A. [Google Scholar] [CrossRef]
- Mariash, C.N.; Seelig, S.; Schwartz, H.L.; Oppenheimer, J.H. Rapid synergistic interaction between thyroid hormone and carbohydrate on mRNA(s14) induction. J. Biol. Chem. 1986, 261. [Google Scholar] [CrossRef]
- Zhu, Q.; Anderson, G.W.; Mucha, G.T.; Parks, E.J.; Metkowski, J.K.; Mariash, C.N. The spot 14 protein is required for de Novo lipid synthesis in the lactating mammary gland. Endocrinology 2005, 146. [Google Scholar] [CrossRef] [PubMed]
- Mater, M.K.; Thelen, A.P.; Pan, D.A.; Jump, D.B. Sterol response element-binding protein 1c (SREBP1c) is involved in the polyunsaturated fatty acid suppression of hepatic S14 gene transcription. J. Biol. Chem. 1999, 274. [Google Scholar] [CrossRef]
- Ma, L.; Tsatsos, N.G.; Towle, H.C. Direct role of ChREBP·Mlx in regulating hepatic glucose-responsive genes. J. Biol. Chem. 2005, 280. [Google Scholar] [CrossRef]
- Sridharan, S.; Simon, L.; Meling, D.D.; Cyr, D.G.; Gulstein, D.E.; Fishman, G.I.; Guillou, F.; Cooke, P.S. Proliferation of adult sertoli cells following conditional knockout of the gap junctional protein GJA1 (connexin 43) in mice. Biol. Reprod. 2007, 76. [Google Scholar] [CrossRef] [PubMed]
- Wörsdörfer, P.; Maxeiner, S.; Markopoulos, C.; Kirfel, G.; Wulf, V.; Auth, T.; Urschel, S.; von Maltzahn, J.; Willecke, K. Connexin Expression and Functional Analysis of Gap Junctional Communication in Mouse Embryonic Stem Cells. Stem Cells 2008, 26. [Google Scholar] [CrossRef]
- Kheradmandi, R.; Jorsaraei, S.G.A.; Feizi, F.; Moghadamnia, A.A.; Neamati, N. Protective effect of n-acetyl cysteine on chlorpyrifos-induced testicular toxicity in mice. Int. J. Fertil. Steril. 2019, 13. [Google Scholar] [CrossRef]
- Nóbrega, R.H.; De Souza Morais, R.D.V.; Crespo, D.; De Waal, P.P.; De França, L.R.; Schulz, R.W.; Bogerd, J. Fsh stimulates spermatogonial proliferation and differentiation in zebrafish via Igf3. Endocrinology 2015, 156. [Google Scholar] [CrossRef] [PubMed]
- Habibi, H.R.; Nelson, E.R.; Allan, E.R.O. New insights into thyroid hormone function and modulation of reproduction in goldfish. Gen. Comp. Endocrinol. 2012, 175, 19–26. [Google Scholar] [CrossRef] [PubMed]










Publisher’s Note: MDPI stays neutral with regard to jurisdictional claims in published maps and institutional affiliations. |
© 2021 by the authors. Licensee MDPI, Basel, Switzerland. This article is an open access article distributed under the terms and conditions of the Creative Commons Attribution (CC BY) license (https://creativecommons.org/licenses/by/4.0/).
Share and Cite
Nittoli, V.; Colella, M.; Porciello, A.; Reale, C.; Roberto, L.; Russo, F.; Russo, N.A.; Porreca, I.; De Felice, M.; Mallardo, M.; et al. Multi Species Analyses Reveal Testicular T3 Metabolism and Signalling as a Target of Environmental Pesticides. Cells 2021, 10, 2187. https://doi.org/10.3390/cells10092187
Nittoli V, Colella M, Porciello A, Reale C, Roberto L, Russo F, Russo NA, Porreca I, De Felice M, Mallardo M, et al. Multi Species Analyses Reveal Testicular T3 Metabolism and Signalling as a Target of Environmental Pesticides. Cells. 2021; 10(9):2187. https://doi.org/10.3390/cells10092187
Chicago/Turabian StyleNittoli, Valeria, Marco Colella, Alfonsina Porciello, Carla Reale, Luca Roberto, Filomena Russo, Nicola A. Russo, Immacalata Porreca, Mario De Felice, Massimo Mallardo, and et al. 2021. "Multi Species Analyses Reveal Testicular T3 Metabolism and Signalling as a Target of Environmental Pesticides" Cells 10, no. 9: 2187. https://doi.org/10.3390/cells10092187
APA StyleNittoli, V., Colella, M., Porciello, A., Reale, C., Roberto, L., Russo, F., Russo, N. A., Porreca, I., De Felice, M., Mallardo, M., & Ambrosino, C. (2021). Multi Species Analyses Reveal Testicular T3 Metabolism and Signalling as a Target of Environmental Pesticides. Cells, 10(9), 2187. https://doi.org/10.3390/cells10092187

