Insights into Plant Programmed Cell Death Induced by Heavy Metals—Discovering a Terra Incognita
Abstract
1. Introduction
2. Developmental Versus Environmental PCD in Plant Cells—Genetic Regulation of ePCD
3. PCD in Plants and Apoptosis in Animals
4. Plant Cell Death under Abiotic Stress—PCD vs. Necrosis
5. PCD Induced by Heavy Metals in Plant and Animal Cells
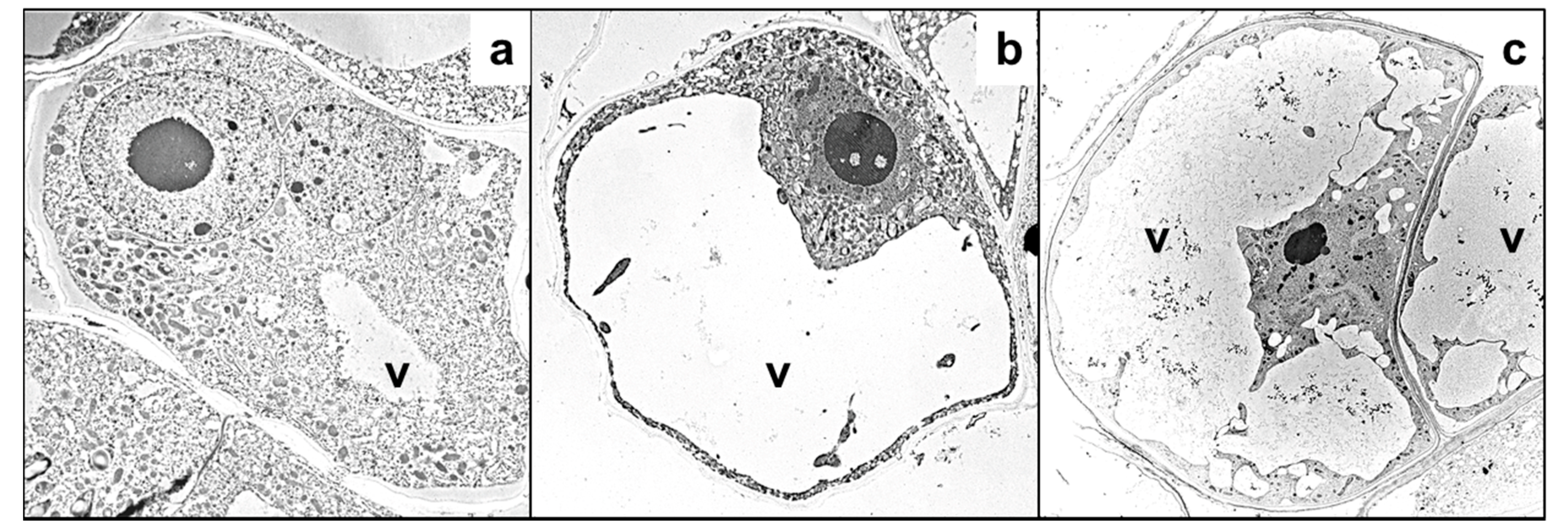
6. The Physiological Characteristics of PCD in Plant Cells under Heavy Metal Stress
7. Regulation and Execution Processes Engaging Plant Proteases with Caspase-Like Activity during Plant PCD Induced by Heavy Metal Stress
8. Conclusions and Future Perspectives
Author Contributions
Funding
Institutional Review Board Statement
Informed Consent Statement
Data Availability Statement
Acknowledgments
Conflicts of Interest
Abbreviations
| AL-PCD | apoptotic-like programmed cell death |
| atg | autophagy related genes |
| AtMC | arabidopsis thaliana metacaspase |
| Bcl-2 | B-cell lymphoma 2 |
| Cyt c | cytochrome c |
| DAD | defender against cell death |
| EDS1 | enhanced disease susceptibility 1 |
| ER | endoplasmic reticulum |
| HR | hypersensitive response |
| LOL1 | LSD-one-like 1 |
| LSD1 | lesion stimulating disease 1 |
| MAPK/MPK | mitogen-activated protein kinase |
| NO | nitric oxide |
| OXI1 | oxidative signal-inducible 1 |
| PAD4 | phytoalexin deficient 4 |
| PC | phytochelatin |
| PCD | programmed cell death |
| PLCP | papain-like cysteine protease |
| R-genes | resistance genes |
| ROS | reactive oxygen species |
| SA | salicylic acid |
| TUNEL | terminal deoxynucleotidyl transferase dUTP nick end labeling |
| VPE | vacuolar processing enzyme |
References
- Inouhe, M.; Sakuma, Y.; Chatterjee, S.; Datta, S.; Jagetiya, B.L.; Voronina, A.V.; Walther, C.; Gupta, D. General roles of phytochelatins and other peptides in plant defense mechanisms against oxidative stress/primary and secondary damages induced by heavy metals. In Reactive Oxygen Species and Oxidative Damage in Plants under Stress; Gupta, D., Palma, J., Corpas, F., Eds.; Springer: Cham, Switzerland, 2015; pp. 219–245. [Google Scholar]
- Foyer, C.H.; Noctor, G. Redox homeostasis and antioxidant signaling: A metabolic interface between stress perception and physiological responses. Plant Cell 2005, 17, 1866–1875. [Google Scholar] [CrossRef] [PubMed]
- van Doorn, W.G.; Beers, E.P.; Dangl, J.L.; Franklin-Tong, V.E.; Gallois, P.; Hara-Nishimura, I.; Jones, A.M.; Kawai-Yamada, M.; Lam, E.; Mundy, J.; et al. Morphological classification of plant cell deaths. Cell Death Differ. 2011, 18, 1241–1246. [Google Scholar] [CrossRef] [PubMed]
- Petrov, V.; Hille, J.; Mueller-Roeber, B.; Gechev, T.S. ROS-mediated abiotic stress-induced programmed cell death in plants. Front. Plant Sci. 2015, 6, 69. [Google Scholar] [CrossRef] [PubMed]
- Yakimova, E.T.; Kapchina-Toteva, V.M.; Laarhoven, L.J.; Harren, F.M.; Woltering, E.J. Involvement of ethylene and lipid signalling in cadmium-induced programmed cell death in tomato suspension cells. Plant Physiol. Biochem. 2006, 44, 581–589. [Google Scholar] [CrossRef]
- Yakimova, E.T.; Kapchina-Toteva, V.M.; Woltering, E.J. Signal transduction events in aluminum-induced cell death in tomato suspension cells. J. Plant Physiol. 2007, 164, 702–708. [Google Scholar] [CrossRef]
- Ma, W.; Xu, W.; Xu, H.; Chen, Y.; He, Z.; Ma, M. Nitric oxide modulates cadmium influx during cadmium-induced programmed cell death in tobacco BY-2 cells. Planta 2010, 232, 325–335. [Google Scholar] [CrossRef]
- Arasimowicz-Jelonek, M.; Floryszak-Wieczorek, J.; Deckert, J.; Rucińska-Sobkowiak, R.; Gzyl, J.; Pawlak-Sprada, S.; Abramowski, D.; Jelonek, T.; Gwóźdź, E.A. Nitric oxide implication in cadmium-induced programmed cell death in roots and signaling response of yellow lupine plants. Plant Physiol. Biochem. 2012, 58, 124–134. [Google Scholar] [CrossRef]
- Olvera-Carrillo, Y.; Van Bel, M.; Van Hautegem, T.; Fendrych, M.; Huysmans, M.; Simaskova, M.; van Durme, M.; Buscaill, P.; Rivas, S.; Coll, N.S.; et al. A conserved core of programmed cell death indicator genes discriminates developmentally and environmentally induced programmed cell death in plants. Plant Physiol. 2015, 169, 2684–2699. [Google Scholar]
- Buono, R.A.; Hudecek, R.; Nowack, M.K. The roles of proteases during developmental programmed cell death in plants. J. Exp. Bot. 2019, 70, 2097–2112. [Google Scholar] [CrossRef]
- van Durme, M.; Nowack, M.K. Mechanisms of developmentally controlled cell death in plants. Curr. Opin. Plant Biol. 2016, 29, 29–37. [Google Scholar] [CrossRef]
- Fuchs, Y.; Steller, H. Programmed cell death in animal development and disease. Cell 2011, 147, 742–758. [Google Scholar] [CrossRef] [PubMed]
- Danon, A.; Rotari, V.I.; Gordon, A.; Mailhac, N.; Gallois, P. Ultraviolet-C overexposure induces programmed cell death in Arabidopsis, which is mediated by caspase-like activities and which can be suppressed by caspase inhibitors, p35 and Defender against Apoptotic Death. J. Biol. Chem. 2004, 279, 779–787. [Google Scholar] [CrossRef] [PubMed]
- Hatsugai, N.; Kuroyanagi, M.; Yamada, K.; Meshi, T.; Tsuda, S.; Kondo, M.; Nishimura, M.; Hara-Nishimura, I. A plant vacuolar protease, VPE, mediates virus-induced hypersensitive cell death. Science 2004, 305, 855–858. [Google Scholar] [CrossRef] [PubMed]
- Liu, H.; Hu, M.; Wang, Q.; Cheng, L.; Zhang, Z. Role of papain-like cysteine proteases in plant development. Front. Plant Sci. 2018, 9, 1717. [Google Scholar] [CrossRef] [PubMed]
- Hatsugai, N.; Yamada, K.; Goto-Yamada, S.; Hara-Nishimura, I. Vacuolar processing enzyme in plant programmed cell death. Front. Plant Sci. 2015, 6, 234. [Google Scholar] [CrossRef] [PubMed]
- Richau, K.H.; Kaschani, F.; Verdoes, M.; Pansuriya, T.C.; Niessen, S.; Stüber, K.; Colby, T.; Overkleeft, H.S.; Bogyo, M.; van der Hoorn, R.A. Subclassification and biochemical analysis of plant papain-like cysteine proteases displays subfamily-specific characteristics. Plant Physiol. 2012, 158, 1583–1599. [Google Scholar] [CrossRef]
- Sychta, K.; Dubas, E.; Yamada, K.; Słomka, A.; Krzewska, M.; Kuta, E. Papain-like cysteine proteases are involved in programmed cell death in plants under heavy metal stress. Environ. Exp. Bot. 2020, 174, 104041. [Google Scholar] [CrossRef]
- Kabata-Pendias, A.; Pendias, H. Trace Elements in Plants. In Trace Elements in Soil and Plants, 3rd ed.; Kabata-Pendias, A., Ed.; CRC Press: Boca Raton, FL, USA, 2000; p. 356. [Google Scholar]
- Khan, S.; Cao, Q.; Zheng, Y.M.; Huang, Y.Z.; Zhu, Y.G. Health risks of heavy metals in contaminated soils and food crops irrigated with wastewater in Beijing, China. Environ. Pollut. 2008, 152, 686–692. [Google Scholar] [CrossRef]
- Kaasalainen, M.; Yli-Halla, M. Use of sequential extraction to assess metal partitioning in soils. Environ. Pollut. 2003, 126, 225–233. [Google Scholar] [CrossRef]
- Alloway, B.J. Trace metals and metalloids in soils and their bioavailability. In Heavy Metals in Soils, Environmental Pollution; Alloway, B.J., Ed.; Springer: Dordrecht, The Nertherlands, 2013; Volume 22, pp. 1–613. [Google Scholar]
- Kim, R.Y.; Yoon, J.K.; Kim, T.S.; Yang, J.E.; Owens, G.; Kim, K.R. Bioavailability of heavy metals in soils: Definitions and practical implementation—A critical review. Environ. Geochem. Health 2015, 37, 1041–1061. [Google Scholar] [CrossRef]
- Adriano, D.C. Trace Elements in Terrestrial Environments: Biogeochemistry, Bioavailability and Risks of Metals, 2nd ed.; Springer: New York, NY, USA, 2003. [Google Scholar]
- Suman, J.; Uhlik, O.; Viktorova, J.; Macek, T. Phytoextraction of heavy metals: A promising tool for clean-up of polluted environment? Front. Plant Sci. 2018, 9, 1476. [Google Scholar] [CrossRef] [PubMed]
- Bothe, H. Plants in heavy metal soils. In Detoxification of Heavy Metals, Soil Biology; Sherameti, I., Varma, A., Eds.; Springer: Berlin/Heidelberg, Germany, 2011; Volume 30, pp. 35–57. [Google Scholar]
- Bothe, H.; Słomka, A. Divergent biology of facultative heavy metal plants. J. Plant Physiol. 2017, 219, 45–61. [Google Scholar] [CrossRef] [PubMed]
- van Hautegem, T.; Waters, A.J.; Goodrich, J.; Nowack, M.K. Only in dying, life: Programmed cell death during plant development. Trends Plant Sci. 2015, 20, 102–113. [Google Scholar] [CrossRef] [PubMed]
- Huysmans, M.; Lema, A.S.; Coll, N.S.; Nowack, M.K. Dying two deaths—Programmed cell death regulation in development and disease. Curr. Opin. Plant Biol. 2017, 35, 37–44. [Google Scholar] [CrossRef] [PubMed]
- Groover, A.; Jones, A.M. Tracheary element differentiation uses a novel mechanism coordinating programmed cell death and secondary cell wall synthesis. Plant Physiol. 1999, 119, 375–384. [Google Scholar] [CrossRef] [PubMed]
- Jones, A.M. Programmed cell death in development and defense. Plant Physiol. 2001, 125, 94–97. [Google Scholar] [CrossRef]
- Graner, E.M.; Brondani, G.E.; de Almeida, C.V.; Batagin-Piotto, K.D.; de Almeida, M. Study of senescence in old cultures of the Bactris gasipaes Kunth in vitro. Plant Cell Tissue Organ Cult. 2015, 120, 1169–1189. [Google Scholar] [CrossRef]
- Demura, T. Tracheary element differentiation. Plant Biotechnol. Rep. 2014, 8, 17–21. [Google Scholar] [CrossRef]
- Escamez, S.; Tuominen, H. Programmes of cell death and autolysis in tracheary elements: When a suicidal cell arranges its own corpse removal. J. Exp. Bot. 2014, 65, 1313–1321. [Google Scholar] [CrossRef]
- Iakimova, E.T.; Woltering, E.J. Xylogenesis in zinnia (Zinnia elegans) cell cultures: Unravelling the regulatory steps in a complex developmental programmed cell death event. Planta 2017, 245, 681–705. [Google Scholar] [CrossRef]
- Kubo, M.; Udagawa, M.; Nishikubo, N.; Horiguchi, G.; Yamaguchi, M.; Ito, J.; Mimura, T.; Fukuda, H.; Demura, T. Transcription switches for protoxylem and metaxylem vessel formation. Genes Dev. 2005, 19, 1855–1860. [Google Scholar] [CrossRef] [PubMed]
- Fendrych, M.; Van Hautegem, T.; Van Durme, M.; Olvera-Carrillo, Y.; Huysmans, M.; Karimi, M.; Lippens, S.; Guérin, C.J.; Krebs, M.; Schumacher, K.; et al. Programmed cell death controlled by ANAC033/SOMBRERO determines root cap organ size in Arabidopsis. Curr. Biol. 2014, 24, 931–940. [Google Scholar] [CrossRef] [PubMed]
- Oda, Y.; Mimura, T.; Hasezawa, S. Regulation of secondary cell wall development by cortical microtubules during tracheary element differentiation in Arabidopsis cell suspensions. Plant Physiol. 2005, 137, 1027–1036. [Google Scholar] [CrossRef] [PubMed]
- Smertenko, A.; Franklin-Tong, V. Organisation and regulation of the cytoskeleton in plant programmed cell death. Cell Death Differ. 2011, 18, 1263–1270. [Google Scholar] [CrossRef] [PubMed]
- Yamauchi, T.; Watanabe, K.; Fukazawa, A.; Mori, H.; Abe, F.; Kawaguchi, K.; Oyanagi, A.; Nakazono, M. Ethylene and reactive oxygen species are involved in root aerenchyma formation and adaptation of wheat seedlings to oxygen-deficient conditions. J. Exp. Bot. 2014, 65, 261–273. [Google Scholar] [CrossRef] [PubMed]
- Li, D.; Wu, D.; Li, S.; Guo, N.; Gao, J.; Sun, X.; Cai, Y. Transcriptomic profiling identifies differentially expressed genes associated with programmed cell death of nucellar cells in Ginkgo biloba L. BMC Plant Biol. 2019, 19, 91. [Google Scholar] [CrossRef]
- Ruberti, C.; Barizza, E.; Bodner, M.; La Rocca, N.; De Michele, R.; Carimi, F.; Lo Schiavo, F.; Zottini, M. Mitochondria change dynamics and morphology during grapevine leaf senescence. PLoS ONE 2014, 9, e102012. [Google Scholar] [CrossRef]
- Kim, H.J.; Hong, S.H.; Kim, Y.W.; Lee, I.H.; Jun, J.H.; Phee, B.K.; Rupak, T.; Jeong, H.; Lee, Y.; Hong, B.S.; et al. Gene regulatory cascade of senescence-associated NAC transcription factors activated by ETHYLENE-INSENSITIVE2-mediated leaf senescence signaling in Arabidopsis. J. Exp. Bot. 2014, 65, 4023–4036. [Google Scholar] [CrossRef]
- Lord, C.E.N.; Gunawardena, A.H.L.A.N. Environmentally induced programmed cell death in leaf protoplasts of Aponogeton madagascariensis. Planta 2011, 233, 407–421. [Google Scholar] [CrossRef]
- Künstler, A.; Bacsó, R.; Gullner, G.; Hafez, Y.M.; Király, L. Staying alive is cell death dispensable for plant disease resistance during the hypersensitive response? Physiol. Mol. Plant Pathol. 2016, 93, 75–84. [Google Scholar] [CrossRef]
- Gao, C.J.; Xing, D.; Li, L.L.; Zhang, L.R. Implication of reactive oxygen species and mitochondrial dysfunction in the early stages of plant programmed cell death induced by ultraviolet-C overexposure. Planta 2008, 227, 755–767. [Google Scholar] [CrossRef] [PubMed]
- Zhang, L.R.; Xing, D. Methyl jasmonate induced production of reactive oxygen species and alterations in mitochondrial dynamics that precede photosynthetic dysfunction and subsequent cell death. Plant Cell Physiol. 2008, 49, 1092–1111. [Google Scholar] [CrossRef] [PubMed]
- Li, Z.; Xing, D. Mitochondrial pathway leading to programmed cell death induced by aluminum phytotoxicity in Arabidopsis. Plant Signal. Behav. 2010, 5, 1660–1662. [Google Scholar] [CrossRef] [PubMed]
- Carimi, F.; Zottini, M.; Formentin, E.; Terzi, M.; Schiavo, F.L. Cytokinins: New apoptotic inducers in plants. Planta 2003, 216, 413–421. [Google Scholar] [CrossRef] [PubMed]
- Yuan, X.; Wang, H.; Cai, J.; Li, D.; Song, F. NAC transcription factors in plant immunity. Phytopathol. Res. 2019, 1, 1–13. [Google Scholar] [CrossRef]
- Burke, R.; Schwarze, J.; Sherwood, O.L.; Jnaid, Y.; McCabe, P.; Kacprzyk, J. Stressed to death: The role of transcription factors in plant programmed cell death induced by abiotic and biotic stimuli. Front. Plant Sci. 2020, 11, 1235. [Google Scholar] [CrossRef]
- Bernacki, M.J.; Czarnocka, W.; Zaborowska, M.; Różańska, E.; Labudda, M.; Rusaczonek, A.; Witoń, D.; Karpiński, S. EDS1-dependent cell death and the antioxidant system in arabidopsis leaves is deregulated by the mammalian bax. Cells 2020, 9, 2454. [Google Scholar] [CrossRef]
- Watanabe, N.; Lam, E. Arabidopsis Bax inhibitor-1 functions as an attenuator of biotic and abiotic types of cell death. Plant J. 2006, 45, 884–894. [Google Scholar] [CrossRef]
- Liu, Y.; Schiff, M.; Czymmek, K.; Talloczy, Z.; Levine, B.; Dinesh-Kumar, S.P. Autophagy regulates programmed cell death during the plant innate immune response. Cell 2005, 121, 567–577. [Google Scholar] [CrossRef]
- Karpiński, S.; Szechyńska-Hebda, M.; Wituszyńska, W.; Burdiak, P. Light acclimation, retrograde signalling, cell death and immune defences in plants. Plant Cell Environ. 2013, 36, 736–744. [Google Scholar] [CrossRef]
- Bernacki, M.J.; Czarnocka, W.; Rusaczonek, A.; Witoń, D.; Kęska, S.; Czyż, J.; Szechyńska-Hebda, M.; Karpiński, S. LSD1-, EDS1- and PAD4-dependent conditional correlation among salicylic acid, hydrogen peroxide, water use efficiency and seed yield in Arabidopsis thaliana. Physiol. Plant. 2019, 165, 369–382. [Google Scholar] [CrossRef] [PubMed]
- Wituszyńska, W.; Szechyńska-Hebda, M.; Sobczak, M.; Rusaczonek, A.; Kozłowska-Makulska, A.; Witoń, D.; Karpiński, S. Lesion simulating disease 1 and enhanced disease susceptibility 1 differentially regulate UV-C-induced photooxidative stress signalling and programmed cell death in Arabidopsis thaliana. Plant Cell Environ. 2015, 38, 315–330. [Google Scholar] [CrossRef] [PubMed]
- Epple, P.; Mack, A.A.; Morris, V.R.; Dangl, J.L. Antagonistic control of oxidative stress-induced cell death in Arabidopsis by two related, plant-specific zinc finger proteins. Proc. Natl. Acad. Sci. USA 2003, 100, 6831–6836. [Google Scholar] [CrossRef] [PubMed]
- Chen, K.; Du, L.; Chen, Z. Sensitization of defense responses and activation of programmed cell death by a pathogen-induced receptor-like protein kinase in Arabidopsis. Plant Mol. Biol. 2003, 53, 61–74. [Google Scholar] [CrossRef] [PubMed]
- Chen, K.; Fan, B.; Du, L.; Chen, Z. Activation of hypersensitive cell death by pathogen induced receptor-like protein kinases from Arabidopsis. Plant Mol. Biol. 2004, 56, 271–283. [Google Scholar] [CrossRef] [PubMed]
- Liu, Y.; He, C. A review of redox signaling and the control of MAP kinase pathway in plants. Redox Biol. 2017, 11, 192–204. [Google Scholar] [CrossRef]
- Martínez-Fábregas, J.; Diaz-Moreno, I.; Gonzalez-Arzola, K.; Janocha, S.; Navarro, J.A.; Hervas, M.; Bernhardt, R.; Velazquez-Campoy, A.; Diaz-Quintana, A.; De la Rosa, M.A. Structural and functional analysis of novel human cytochrome c targets in apoptosis. Mol. Cell. Proteom. 2014, 13, 1439–1456. [Google Scholar] [CrossRef] [PubMed]
- Mielecki, J.; Gawroński, P.; Karpiński, S. Retrograde signaling: Understanding the communication between organelles. Int. J. Mol. Sci. 2020, 21, 6173. [Google Scholar] [CrossRef]
- Coffeen, W.C.; Wolpert, T.J. Purification and characterization of serine proteases that exhibit caspase-like activity and are associated with programmed cell death in Avena sativa. Plant Cell 2004, 16, 857–873. [Google Scholar] [CrossRef]
- Vartapetian, A.B.; Tuzhikov, A.I.; Chichkova, N.V.; Taliansky, M.; Wolpert, T.J. A plant alternative to animal caspases: Subtilisin-like proteases. Cell Death Differ. 2011, 18, 1289–1297. [Google Scholar] [CrossRef]
- Coll, N.S.; Vercammen, D.; Smidler, A.; Clover, C.; Van Breusegem, F.; Dangl, J.L.; Epple, P. Arabidopsis type I metacaspases control cell death. Science 2010, 330, 1393–1397. [Google Scholar] [CrossRef]
- van der Hoorn, R.A. Plant proteases: From phenotypes to molecular mechanisms. Annu. Rev. Plant Biol. 2008, 59, 191–223. [Google Scholar] [CrossRef] [PubMed]
- Reape, T.J.; McCabe, P.F. Apoptotic-like programmed cell death in plants. New Phytol. 2008, 180, 13–26. [Google Scholar] [CrossRef] [PubMed]
- Iakimova, E.T.; Rina, M.; Woltering, E.J. Involvement of phospholipase D-related signal transduction in chemical-induced programmed cell death in tomato cell cultures. Protoplasma 2013, 250, 1169–1183. [Google Scholar] [CrossRef]
- Liu, J.; Li, Z.; Wang, Y.; Xing, D. Overexpression of ALTERNATIVE OXIDASE1a alleviates mitochondria-dependent programmed cell death induced by aluminium phytotoxicity in Arabidopsis. J. Exp. Bot. 2014, 65, 4465–4478. [Google Scholar] [CrossRef] [PubMed]
- Zi, L.; Jiang, L.P.; Liu, X.F.; Liu, Z.X.; Zhong, L.F.; Xue, X.X. Influence of boron deprivation on Hg stress-induced programmed cell death in suspension-cultured tobacco BY-2 cells. J. Plant Nutr. 2017, 40, 2336–2348. [Google Scholar] [CrossRef]
- Filippi, A.; Zancani, M.; Petrussa, E.; Braidot, E. Caspase-3-like activity and proteasome degradation in grapevine suspension cell cultures undergoing silver-induced programmed cell death. J. Plant Physiol. 2019, 233, 42–51. [Google Scholar] [CrossRef]
- Ghasemi, R.; Sharifi, R.; Ghaderian, S.M. Studying the roles of calcium and magnesium in cell death in the serpentine native plant Alyssum inflatum NYÁRÁDY through cell suspension culture technique. Plant Physiol. Biochem. 2020, 151, 362–368. [Google Scholar] [CrossRef]
- Valandro, F.; Koprovski Menguer, P.; Cabreira-Cagliari, C.; Margis-Pinheiro, M.; Cagliari, A. Programmed cell death (PCD) control in plants: New insights from the Arabidopsis thaliana deathosome. Plant Sci. 2020, 299, 110603. [Google Scholar] [CrossRef]
- Wituszynńska, W.; Karpinński, S. Programmed cell death as a response to high light, UV and drought stress in plants. In Abiotic Stress—Plant Responses and Applications in Agriculture; Vahdati, K., Leslie, C., Eds.; IntechOpen: London, UK, 2013. [Google Scholar] [CrossRef]
- van Doorn, W.G. Classes of programmed cell death in plants, compared to those in animals. J. Exp. Bot. 2011, 62, 4749–4761. [Google Scholar] [CrossRef]
- Bozhkov, P.V. Plant autophagy: Mechanisms and functions. J. Exp. Bot. 2018, 69, 1281–1285. [Google Scholar] [CrossRef] [PubMed]
- Balint-Kurti, P. The plant hypersensitive response: Concepts, control and consequences. Mol. Plant Pathol. 2019, 20, 1163–1178. [Google Scholar] [CrossRef] [PubMed]
- Mea, M.D.; Serafini-Fracassini, D.; Duca, S.D. Programmed cell death: Similarities and differences in animals and plants. A flower paradigm. Amino Acids 2007, 33, 395–404. [Google Scholar] [CrossRef] [PubMed]
- Yan, G.; Elbadawi, M.; Efferth, T. Multiple cell death modalities and their key features (Review). World Acad. Sci. J. 2020, 2, 39–48. [Google Scholar] [CrossRef]
- McCabe, P.F.; Leaver, C.J. Programmed cell death in cell cultures. Plant Mol. Biol. 2000, 44, 359–368. [Google Scholar] [CrossRef]
- Scott, I.; Logan, D.C. Mitochondrial morphology transition is an early indicator of subsequent cell death in Arabidopsis. New Phytol. 2008, 177, 90–101. [Google Scholar] [CrossRef]
- Cai, Y.M.; Yu, J.; Gallois, P. Endoplasmic reticulum stress-induced PCD and caspase-like activities involved. Front. Plant Sci. 2014, 5, 41. [Google Scholar] [CrossRef]
- Li, Z.; Ding, B.; Zhou, X.; Wang, G.L. The rice dynamin-related protein OsDRP1E negatively regulates programmed cell death by controlling the release of cytochrome c from mitochondria. PLoS Pathog. 2017, 13, e1006157. [Google Scholar] [CrossRef]
- Zhang, Q.F.; Li, J.; Bi, F.C.; Liu, Z.; Chang, Z.Y.; Wang, L.Y.; Huang, L.Q.; Yao, N. Ceramide-induced cell death depends on calcium and caspase-like activity in rice. Front. Plant Sci. 2020, 11, 145. [Google Scholar] [CrossRef]
- McCabe, P.F.; Levine, A.; Meijer, P.J.; Tapon, N.A.; Pennell, R.I. A programmed cell death pathway activated in carrot cells cultured at low cell density. Plant J. 1997, 12, 267–280. [Google Scholar] [CrossRef]
- Reape, T.J.; Molony, E.M.; McCabe, P.F. Programmed cell death in plants: Distinguishing between different modes. J. Exp. Bot. 2008, 59, 435–444. [Google Scholar] [CrossRef] [PubMed]
- Levine, A.; Pennell, R.I.; Alvarez, M.E.; Palmer, R.; Lamb, C. Calcium-mediated apoptosis in a plant hypersensitive disease resistance response. Curr. Biol. 1996, 6, 427–437. [Google Scholar] [CrossRef]
- Koch, J.R.; Creelman, R.A.; Eshita, S.M.; Seskar, M.; Mullet, J.E.; Davis, K.R. Ozone sensitivity in hybrid poplar correlates with insensitivity to both salicylic acid and jasmonic acid. The role of programmed cell death in lesion formation. Plant Physiol. 2000, 123, 487–496. [Google Scholar] [CrossRef]
- Jiang, L.P.; Zi, L.; Liu, X.F.; Liu, Z.X.; Zhong, L.F.; Xue, X.X. Programmed cell death induced by cadmium stress and/or boron deprivation in tobacco (Nicotiana tabacum L.) cultivar Bright Yellow 2 cells. Vitro Cell. Dev. Biol. Plant 2019, 55, 15–25. [Google Scholar] [CrossRef]
- Wu, J.; Zhang, Y.; Hao, R.; Cao, Y.; Shan, X.; Jing, Y. Nitric oxide enhances cytotoxicity of lead by modulating the generation of reactive oxygen species and is involved in the regulation of Pb2+ and Ca2+ fluxes in tobacco BY-2 cells. Plants 2019, 8, 403. [Google Scholar] [CrossRef]
- Yen, C.H.; Yang, C.H. Evidence for programmed cell death during leaf senescence in plants. Plant Cell Physiol. 1998, 39, 922–927. [Google Scholar] [CrossRef]
- Charzyńska, M.; Simeonova, E.; Sikora, A.; Mostowska, A.; Leśniewska, J. Application of the comet assay in studies of programmed cell death (PCD) in plants. Acta Soc. Bot. Pol. 2000, 69, 101–107. [Google Scholar] [CrossRef]
- Santos, C.L.; Pourrut, B.; Ferreira de Oliveira, J.M. The use of comet assay in plant toxicology: Recent advances. Front. Genet. 2015, 6, 216. [Google Scholar] [CrossRef]
- Qu, G.; Liu, X.; Zhang, Y.; Yao, D.; Ma, Q.M.; Yang, M.Y.; Zhu, W.H.; Yu, S.; Luo, Y.B. Evidence for programmed cell death and activation of specific caspase-like enzymes in the tomato fruit heat stress response. Planta 2009, 229, 1269–1279. [Google Scholar] [CrossRef] [PubMed]
- Zhang, L.R.; Xu, Q.X.; Xing, D.; Gao, C.J.; Xiong, H.W. Real-time detection of caspase-3-like proteases activation in vivo using fluorescence resonance energy transfer during plant programmed cell death induced by ultraviolet-C overexposure. Plant Physiol. 2009, 150, 1773–1783. [Google Scholar] [CrossRef] [PubMed]
- Bashir, K.; Rasheed, S.; Kobayashi, T.; Seki, M.; Nishizawa, N.K. Regulating subcellular metal homeostasis: The key to crop improvement. Front. Plant Sci. 2016, 7, 1192. [Google Scholar] [CrossRef]
- Komal, T.; Mustafa, M.; Ali, Z.; Kazi, A.G. Heavy metal uptake and transport in plants. In Heavy Metal Contamination of Soils; Sherameti, I., Varma, A., Eds.; Soil Biology, Springer: Cham, Switzerland, 2015; Volume 44, pp. 181–194. [Google Scholar]
- Williams, L.E.; Pittman, J.K.; Hall, J.L. Emerging mechanisms for heavy metal transport in plants. Biochim. Biophys. Acta 2000, 1465, 104–126. [Google Scholar] [CrossRef]
- Sychta, K.; Słomka, A.; Suski, S.; Fiedor, E.; Gregoraszczuk, E.; Kuta, E. Suspended cells of metallicolous and nonmetallicolous Viola species tolerate, accumulate and detoxify zinc and lead. Plant Physiol. Biochem. 2018, 132, 666–674. [Google Scholar] [CrossRef]
- Bi, Y.; Chen, W.; Zhang, W.; Zhou, Q.; Yun, L.; Xing, D. Production of reactive oxygen species, impairment of photosynthetic function and dynamic changes in mitochondria are early events in cadmium induced cell death in Arabidopsis thaliana. Biol. Cell 2009, 101, 629–643. [Google Scholar] [CrossRef]
- de Michele, R.; Vurro, E.; Rigo, C.; Costa, A.; Elviri, L.; Di Valentin, M.; Careri, M.; Zottini, M.; Sanità di Toppi, L.; Lo Schiavo, F. Nitric oxide is involved in cadmium-induced programmed cell death in Arabidopsis suspension cultures. Plant Physiol. 2009, 150, 217–228. [Google Scholar] [CrossRef]
- Iakimova, E.; Kapchina-Toteva, V.; de Jong, A.; Atanassov, A.; Woltering, E. Involvement of ethylene, oxidative stress and lipid-derived signals in cadmium-induced programmed cell death in tomato suspension cells. BMC Plant Biol. 2005, 5 (Suppl. 1), S19. [Google Scholar] [CrossRef]
- Kuthanová, A.; Fischer, L.; Nick, P.; Opatrný, Z. Cell cycle phase-specific death response of tobacco BY-2 cell line to cadmium treatment. Plant Cell Environ. 2008, 31, 1634–1643. [Google Scholar] [CrossRef]
- Poborilova, Z.; Opatrilova, R.; Babula, P. Toxicity of aluminium oxide nanoparticles demonstrated using a BY-2 plant cell suspension culture model. Environ. Exp. Bot. 2013, 91, 1–11. [Google Scholar] [CrossRef]
- Adamakis, I.D.S.; Eleftheriou, E.P. Structural evidence of programmed cell death induction by tungsten in root tip cells of Pisum sativum. Plants 2019, 8, 62. [Google Scholar] [CrossRef]
- Cortés-Eslava, J.; Gómez-Arroyo, S.; Risueño, M.C.; Testillano, P.S. The effects of organophosphorus insecticides and heavy metals on DNA damage and programmed cell death in two plant models. Environ. Pollut. 2018, 240, 77–86. [Google Scholar] [CrossRef]
- Calero-Muñoz, N.; Exposito-Rodriguez, M.; Collado-Arenal, A.M.; Rodríguez-Serrano, M.; Laureano-Marín, A.M.; Santamaría, M.E.; Gotor, C.; Díaz, I.; Mullineaux, P.M.; Romero-Puertas, M.C.; et al. Cadmium induces reactive oxygen species-dependent pexophagy in Arabidopsis leaves. Plant Cell Environ. 2019, 42, 2696–2714. [Google Scholar] [CrossRef]
- Adamakis, I.D.S.; Panteris, E.; Eleftheriou, E.P. The fatal effect of tungsten on Pisum sativum L. root cells: Indications for endoplasmic reticulum stress-induced programmed cell death. Planta 2011, 234, 21–34. [Google Scholar] [CrossRef]
- Ye, Y.; Li, Z.; Xing, D. Nitric oxide promotes MPK6-mediated caspase-3-like activation in cadmium-induced Arabidopsis thaliana programmed cell death. Plant Cell Environ. 2013, 36, 1–15. [Google Scholar] [CrossRef]
- Fojtová, M.; Kovarík, A. Genotoxic effect of cadmium is associated with apoptotic changes in tobacco cells. Plant Cell Environ. 2000, 23, 531–537. [Google Scholar] [CrossRef]
- Fojtová, M.; Fulnečková, J.; Fajkus, J.; Kovarík, A. Recovery of tobacco cells from cadmium stress is accompanied by DNA repair and increased telomerase activity. J. Exp. Bot. 2002, 53, 2151–2158. [Google Scholar] [CrossRef][Green Version]
- Souza, V.L.; de Almeida, A.F.; Lima, S.G.C.; Cascardo, J.C.M.; Silva, D.C.; Mangabeira, P.A.O.; Gomes, F.P. Morphophysiological responses and programmed cell death induced by cadmium in Genipa americana L. (Rubiaceae). Biometals 2011, 24, 59–71. [Google Scholar] [CrossRef]
- Jiang, Q.Q.; Yang, H.Q.; Sun, X.L.; Li, Q.; Ran, K.; Zhang, X.R. Relationship between polyamines metabolism and cell death in roots of Malus hupehensis Rehd. under cadmium stress. J. Integr. Agric. 2012, 11, 1129–1136. [Google Scholar] [CrossRef]
- Balestrazzi, A.; Bonadei, M.; Carbonera, D. PCD hallmarks in cell suspension cultures of white poplar (Populus alba L., cv. “Villafranca”) challenged with cadmium. Plant Biosyst. 2008, 142, 650–652. [Google Scholar] [CrossRef]
- He, H.; Huang, W.; Oo, T.L.; Gu, M.; He, L.F. Nitric oxide inhibits aluminum-induced programmed cell death in peanut (Arachis hypoganea L.) root tips. J. Hazard. Mater. 2017, 333, 285–292. [Google Scholar] [CrossRef]
- Yao, S.; Huang, W.; Pan, C.; Zhan, J.; He, L.F. Caspase-like proteases regulate aluminum-induced programmed cell death in peanut. Plant Cell Tissue Organ Cult. 2016, 127, 691–703. [Google Scholar] [CrossRef]
- Yao, S.; Luo, S.; Pan, C.; Xiong, W.; Xiao, D.; Wang, A.; Zhan, J.; He, L. Metacaspase MC1 enhances aluminum-induced programmed cell death of root tip cells in Peanut. Plant Soil 2020, 448, 479–494. [Google Scholar] [CrossRef]
- Panda, S.K.; Yamamoto, Y.; Kondo, H.; Matsumoto, H. Mitochondrial alterations related to programmed cell death in tobacco cells under aluminium stress. C. R. Biol. 2008, 331, 597–610. [Google Scholar] [CrossRef] [PubMed]
- Yanık, F.; Aytürk, Ö.; Vardar, F. Programmed cell death evidence in wheat (Triticum aestivum L.) roots induced by aluminum oxide (Al2O3) nanoparticles. Caryologia 2017, 70, 112–119. [Google Scholar] [CrossRef]
- Balážová, Ľ.; Baláž, M.; Babula, P. Zinc oxide nanoparticles damage tobacco BY-2 cells by oxidative stress followed by processes of autophagy and programmed cell death. Nanomaterials 2020, 10, 1066. [Google Scholar] [CrossRef]
- Xu, J.; Yin, H.; Li, Y.; Liu, X. Nitric oxide is associated with long-term zinc tolerance in Solanum nigrum. Plant Physiol. 2010, 154, 1319–1334. [Google Scholar] [CrossRef] [PubMed]
- Kobylińska, A.; Reiter, R.J.; Posmyk, M.M. Melatonin protects cultured tobacco cells against lead-induced cell death via inhibition of cytochrome c translocation. Front. Plant Sci. 2017, 8, 1560. [Google Scholar] [CrossRef]
- Hung, W.C.; Huang, D.D.; Chien, P.S.; Yeh, C.M.; Chen, P.Y.; Chi, W.C.; Huang, H.J. Protein tyrosine dephosphorylation during copper-induced cell death in rice roots. Chemosphere 2007, 69, 55–62. [Google Scholar] [CrossRef]
- Sun, L.; Song, J.; Peng, C.; Xu, C.; Yuan, X.; Shi, J. Mechanistic study of programmed cell death of root border cells of cucumber (Cucumber sativus L.) induced by copper. Plant Physiol. Biochem. 2015, 97, 412–419. [Google Scholar] [CrossRef]
- Nair, P.M.; Kim, S.; Chung, I.M. Copper oxide nanoparticle toxicity in mung bean (Vigna radiata L.) seedlings: Physiological and molecular level responses of in vitro grown plants. Acta Physiol. Plant. 2014, 36, 2947–2958. [Google Scholar]
- Faisal, M.; Saquib, Q.; Alatar, A.A.; Al-Khedhairy, A.A.; Mukhtar, A.; Ansari, S.M.; Alwathnani, H.A.; Dwivedi, S.; Musarrat, J.; Praveen, S. Cobalt oxide nanoparticles aggravate DNA damage and cell death in eggplant via mitochondrial swelling and NO signaling pathway. Biol. Res. 2016, 49, 20. [Google Scholar] [CrossRef]
- Faisal, M.; Saquib, Q.; Alatar, A.A.; Al-Khedhairy, A.A.; Hegazy, A.K.; Musarrat, J. Phytotoxic hazards of NiO-nanoparticles in tomato: A study on mechanism of cell death. J. Hazard. Mater. 2013, 250–251, 318–332. [Google Scholar] [CrossRef] [PubMed]
- Saquib, Q.; Faisal, M.; Alatar, A.A.; Al-Khedhairy, A.A.; Ahmed, M.; Ansari, S.M.; Alwathnani, H.A.; Mohammad, K.O.; Dwivedi, S.; Musarrat, J.; et al. Genotoxicity of ferric oxide nanoparticles in Raphanus sativus: Deciphering the role of signaling factors, oxidative stress and cell death. J. Environ. Sci. 2016, 47, 4962. [Google Scholar] [CrossRef] [PubMed]
- Ghosh, I.; Mukherjee, A.; Mukherjee, A. In planta genotoxicity of nZVI: Influence of colloidal stability on uptake, DNA damage, oxidative stress and cell death. Mutagenesis 2017, 32, 371–387. [Google Scholar] [CrossRef] [PubMed]
- DalCorso, G.; Manara, A.; Piasentin, S.; Furini, A. Nutrient metal elements in plants. Metallomics 2014, 6, 1770–1788. [Google Scholar] [CrossRef] [PubMed]
- Wu, X.; Song, H.; Guan, C.; Zhang, Z. Boron alleviates cadmium toxicity in Brassica napus by promoting the chelation of cadmium onto the root cell wall components. Sci. Total Environ. 2020, 728, 138833. [Google Scholar] [CrossRef] [PubMed]
- Han, M.H.; Lee, W.S.; Lu, J.N.; Yun, J.W.; Kim, G.S.; Jung, J.M.; Kim, G.Y.; Lee, S.J.; Kim, W.J.; Choi, Y.H. Tetraarsenic hexoxide induces Beclin-1-induced autophagic cell death as well as caspase-dependent apoptosis in U937 human leukemic cells. Evid. Based Complement. Altern. Med. 2012, 2012, 201414. [Google Scholar] [CrossRef]
- Opdenakker, K.; Remans, T.; Keunen, E.; Vangronsveld, J.; Cuypers, A. Exposure of Arabidopsis thaliana to Cd or Cu excess leads to oxidative stress mediated alterations in MAPKinase transcript levels. Environ. Exp. Bot. 2012, 83, 53–61. [Google Scholar] [CrossRef]
- Rana, S.V.S. Metals and apoptosis: Recent developments. J. Trace Elem. Med. Biol. 2008, 22, 262–284. [Google Scholar] [CrossRef]
- Li, M.; Xia, T.; Jiang, C.S.; Li, L.J.; Fu, J.L.; Zhou, Z.C. Cadmium directly induced the opening of membrane permeability pore of mitochondria which possibly involved in cadmium triggered apoptosis. Toxicology 2003, 194, 19–33. [Google Scholar] [CrossRef]
- Templeton, D.M.; Liu, Y. Multiple roles of cadmium in cell death and survival. Chem. Biol. Interact. 2010, 188, 267–275. [Google Scholar] [CrossRef]
- Florea, A.M.; Yamoah, E.N.; Dopp, E. Intracellular calcium disturbances induced by arsenic and its methylated derivatives in relation to genomic damage and apoptosis induction. Environ. Health Perspect. 2005, 113, 659–664. [Google Scholar] [CrossRef] [PubMed]
- Li, J.J.; Tang, Q.; Li, Y.; Hu, B.R.; Ming, Z.Y.; Fu, Q.; Qian, J.Q.; Xiang, J.Z. Role of oxidative stress in the apoptosis of hepatocellular carcinoma induced by combination of arsenic trioxide and ascorbic acid. Acta Pharmacol. Sin. 2006, 27, 1078–1084. [Google Scholar] [CrossRef] [PubMed]
- Rafael, A.I.; Almeida, A.; Santos, P.; Parreira, I.; Madeira, V.M.; Alves, R.; Cabrita, A.M.S.; Alpoim, M.C. A role for transforming growth factor-beta apoptotic signaling pathway in liver injury induced by ingestion of water contaminated with high levels of Cr (VI). Toxicol. Appl. Pharmacol. 2007, 224, 163–173. [Google Scholar] [CrossRef] [PubMed]
- He, L.; Poblenz, A.T.; Medrano, C.J.; Fox, D.A. Lead and calcium produce rod photoreceptor cell apoptosis by opening the mitochondrial permeability transition pore. J. Biol. Chem. 2000, 275, 12175–12184. [Google Scholar] [CrossRef]
- Kumar, S.R.; Mohanapriya, G.; Sathishkumar, R. Abiotic stress-induced redox changes and programmed cell death in plants—A path to survival or death? In Redox State as a Central Regulator of Plant-Cell Stress Responses; Gupta, D., Palma, J., Corpas, F., Eds.; Springer: Cham, Switzerland, 2016; pp. 233–252. [Google Scholar]
- Garnier, L.; Simon-Plas, F.; Thuleau, P.; Agnel, J.; Blein, J.; Ranjeva, R.; Montillet, J. Cadmium affects tobacco cells by a series of three waves of reactive oxygen species that contribute to cytotoxicity. Plant Cell Environ. 2006, 29, 1956–1969. [Google Scholar] [CrossRef] [PubMed]
- Pormehr, M.; Ghanati, F.; Sharifi, M.; McCabe, P.; Hosseinkhani, S.; Zare-Maivan, H. The role of SIPK signaling pathway in antioxidant activity and programmed cell death of tobacco cells after exposure to cadmium. Plant Sci. 2019, 280, 416–423. [Google Scholar] [CrossRef]
- Rodríguez-Serrano, M.; Romero-Puertas, M.C.; Pazmino, D.M.; Testillano, P.S.; Risueno, M.C.; DelRio, L.A.; Sandalio, L.M. Cellular response of pea plants to cadmium toxicity: Crosstalk between reactive oxygen species, nitric oxide and calcium. Plant Physiol. 2009, 150, 229–243. [Google Scholar] [CrossRef]
- Fojta, M.; Fojtová, M.; Havran, L.; Pivoňkova, H.; Dorčak, V.; Šestáková, I. Electrochemical monitoring of phytochelatin accumulation in Nicotiana tabacum cells exposed to sub-cytotoxic and cytotoxic levels of cadmium. Anal. Chim. Acta 2006, 558, 171–178. [Google Scholar] [CrossRef]
- Townley, H.E.; McDonald, K.; Jenkins, G.I.; Knight, M.R.; Leaver, C.J. Ceramides induce programmed cell death in Arabidopsis cells in a calcium-dependent manner. Biol. Chem. 2005, 386, 161–166. [Google Scholar] [CrossRef]
- Xu, H.; Xu, W.; Xi, H.; Ma, W.; He, Z.; Ma, M. The ER luminal binding protein (BiP) alleviates Cd2+-induced programmed cell death through endoplasmic reticulum stress-cell death signalling pathway in tobacco cells. J. Plant Physiol. 2013, 170, 1434–1441. [Google Scholar] [CrossRef]
- Zamyatnin, A.A. Plant proteases involved in regulated cell death. Biochemistry (Mosc.) 2015, 80, 1701–1715. [Google Scholar] [CrossRef] [PubMed]
- Iakimova, E.; Woltering, E.; Yordanova, Z. Toxin and cadmium-induced cell death events in tomato suspension cells resemble features of hypersensitive response. J. Fruit Ornam. Plant Res. 2007, 15, 5–19. [Google Scholar]
- Kariya, K.; Demiral, T.; Sasaki, T.; Tsuchiya, Y.; Turkan, I.; Sano, T.; Hasezawa, S.; Yamamoto, Y. A novel mechanism of aluminum-induced cell death involving vacuolar processing enzyme and vacuolar collapse in tobacco cell line BY-2. J. Inorg. Biochem. 2013, 128, 196–201. [Google Scholar] [CrossRef] [PubMed]
- Özlem, A.; Filiz, V. Aluminum induced caspase like activities in some Gramineae species. Adv. Food Sci. 2015, 37, 71–75. [Google Scholar]
- Durand, P.M.; Ramsey, G. The nature of programmed cell death. Biol. Theory 2019, 14, 30–41. [Google Scholar] [CrossRef]
- Slazak, B.; Kapusta, M.; Strömstedt, A.A.; Słomka, A.; Krychowiak, M.; Shariatgorji, M.; Andrén, P.E.; Bohdanowicz, J.; Kuta, E.; Göransson, U. How does the sweet violet (Viola odorata L.) fight pathogens and pests—Cyclotides as a comprehensive plant host defense system. Front. Plant Sci. 2018, 9, 1296. [Google Scholar] [CrossRef]
- Chang, Y.N.; Zhu, C.; Jiang, J.; Zhang, H.; Zhu, J.K.; Duan, C.G. Epigenetic regulation in plant abiotic stress responses. J. Integr. Plant Biol. 2020, 62, 563–580. [Google Scholar] [CrossRef]




| Heavy Metal | Plant Species | Type of Cells | Reference |
|---|---|---|---|
| Tungsten | Pisum sativum L. | Root tip cells | [106,109] |
| Silver | Vitis vinifera L. | Cell suspension culture | [72] |
| Cadmium | Arabidopsis thaliana (L.) Heyhn. | Cell suspension culture Cells of young seedlings | [102,110] |
| Nicotiana tabacum L. | Cell suspension culture | [111,112] | |
| Lycopersicon esculentum Mill. | Cell suspension culture | [5] | |
| Lupinus luteus L. | Root tip cells | [8] | |
| Genipa americana L. | Root tip cells Leaf cells | [113] | |
| Malus hupehensis Rehd. | Root tip cells | [114] | |
| Populus alba L. | Cell suspension culture | [115] | |
| Aluminum | Lycopersicon esculentum Mill. | Cell suspension culture | [6] |
| Arachis hypogaea L. | Root tip cells | [116,117,118] | |
| Nicotiana tabacum L. | Cell suspension culture | [119] | |
| Arabidopsis thaliana (L.) Heyhn. | Mesophyll protoplasts | [48] | |
| Triticum aestivum L. | Root tip cells | [120] | |
| Zinc | Nicotiana tabacum L. | Cell suspension culture | [121] |
| Viola tricolor L. | Cell suspension culture | [18] | |
| Solanum nigrum L. | Root tip cells | [122] | |
| Lead | Nicotiana tabacum L. | Cell suspension culture | [123] |
| Viola tricolor L. | Cell suspension culture | [18] | |
| Copper | Oryza sativa L. | Root tip cells | [124] |
| Cucumber sativus L. | Root border cells | [125] | |
| Vigna radiata (L.) R. Wilczek | Cells of seedlings | [126] | |
| Cobalt | Solanum melongena L. | Root cells | [127] |
| Mercury | Nicotiana tabacum L. | Cell suspension culture | [71] |
| Nickel | Lycopersicon esculentum Mill. | Root cells of seedling | [128] |
| Nickel and Chromium | Allium cepa L. Vicia faba L. | Root tip cells | [107] |
| Iron | Raphanus sativus L. | Root cells | [129] |
| Allium cepa L. | Root cells | [130] |
| Heavy Metal | Type of Protease | Plant Species | Reference |
|---|---|---|---|
| Tungsten | Caspase-1-like | Pisum sativum L. | [109] |
| Silver | Caspase-3-like | Vitis vinifera L. | [72] |
| Cadmium | Caspase-3-like | Arabidopsis thaliana (L.) Heyhn. | [110] |
| Caspase-1-like | Lycopersicon esculentum Mill. | [5] | |
| Aluminum | VPE | Nicotiana tabacum L. | [151] |
| Caspase-1-like | Arachis hypogaea L. | [117] | |
| Caspase-2-like | |||
| Caspase-3-like | |||
| Caspase-4-like | |||
| Caspase-5-like | |||
| Caspase-6-like | |||
| Caspase-8-like | |||
| Caspase-9-like | |||
| Metacaspase AhMC1 | Arachis hypogaea L. | [118] | |
| Caspase-3-like | Triticum aestivum L. | [120] | |
| Caspase-8-like | |||
| Caspase-9-like | |||
| Caspase-3-like | Secale cereale Triticosecale wittmack Hordeum vulgare Avena sativa | [152] | |
| Caspase-8-like | |||
| Caspase-9-like | |||
| Caspase-3-like | Nicotiana tabacum L. | [105] | |
| Caspase-3-like | Arabidopsis thaliana L. | [48] | |
| Zinc | Papain-like cysteine protease | Viola tricolor L. | [18] |
| Lead | Papain-like cysteine protease | Viola tricolor L. | [18] |
| Nickel | Caspase-3-like | Lycopersicon esculentum Mill. | [128] |
| Nickel and chromium | Caspase-3-like | Allium cepa L. Vicia faba L. | [107] |
Publisher’s Note: MDPI stays neutral with regard to jurisdictional claims in published maps and institutional affiliations. |
© 2021 by the authors. Licensee MDPI, Basel, Switzerland. This article is an open access article distributed under the terms and conditions of the Creative Commons Attribution (CC BY) license (http://creativecommons.org/licenses/by/4.0/).
Share and Cite
Sychta, K.; Słomka, A.; Kuta, E. Insights into Plant Programmed Cell Death Induced by Heavy Metals—Discovering a Terra Incognita. Cells 2021, 10, 65. https://doi.org/10.3390/cells10010065
Sychta K, Słomka A, Kuta E. Insights into Plant Programmed Cell Death Induced by Heavy Metals—Discovering a Terra Incognita. Cells. 2021; 10(1):65. https://doi.org/10.3390/cells10010065
Chicago/Turabian StyleSychta, Klaudia, Aneta Słomka, and Elżbieta Kuta. 2021. "Insights into Plant Programmed Cell Death Induced by Heavy Metals—Discovering a Terra Incognita" Cells 10, no. 1: 65. https://doi.org/10.3390/cells10010065
APA StyleSychta, K., Słomka, A., & Kuta, E. (2021). Insights into Plant Programmed Cell Death Induced by Heavy Metals—Discovering a Terra Incognita. Cells, 10(1), 65. https://doi.org/10.3390/cells10010065

