Next Article in Journal
Effects of Biofertilizer Produced from Bradyrhizobium and Streptomyces griseoflavus on Plant Growth, Nodulation, Nitrogen Fixation, Nutrient Uptake, and Seed Yield of Mung Bean, Cowpea, and Soybean
Next Article in Special Issue
Assessment of Water Absorption Capacity and Cooking Time of Wild Under-Exploited Vigna Species towards their Domestication
Previous Article in Journal
The Harmfulness of Phoma Stem Canker, Sclerotinia Stem Rot, and Phytoplasma on Winter Oilseed Rape with Regard to Czech Breeding Programs
Previous Article in Special Issue
Seedling Growth and Transcriptional Responses to Salt Shock and Stress in Medicago sativa L., Medicago arborea L., and Their Hybrid (Alborea)
 
 
Font Type:
Arial Georgia Verdana
Font Size:
Aa Aa Aa
Line Spacing:
Column Width:
Background:
Article

Trypsin Inhibitor Assessment with Biochemical and Molecular Markers in a Soybean Germplasm Collection and Hybrid Populations for Seed Quality Improvement

by
Kulpash Bulatova
1,*,
Shynar Mazkirat
1,
Svetlana Didorenko
1,
Dilyara Babissekova
1,
Mukhtar Kudaibergenov
1,
Perizat Alchinbayeva
1,
Sholpan Khalbayeva
1 and
Yuri Shavrukov
2
1
Kazakh Scientific Research Institute of Agriculture and Plant Growing, Almaty Region, Kazakhstan
2
College of Science and Engineering, Biological Sciences, Flinders University, Bedford Park 5042, Australia
*
Author to whom correspondence should be addressed.
Agronomy 2019, 9(2), 76; https://doi.org/10.3390/agronomy9020076
Submission received: 12 January 2019 / Revised: 4 February 2019 / Accepted: 9 February 2019 / Published: 11 February 2019
(This article belongs to the Special Issue Genetics, Genomics, and Breeding of Legume Crops)

Abstract

:
A soybean germplasm collection was studied for the identification of accessions with low trypsin inhibitor content in seeds. Twenty-nine accessions, parental plants, and two hybrid populations were selected and analyzed using genetic markers for alleles of the Ti3 locus, encoding Kunitz trypsin inhibitor (KTI). Most of the accessions had high or very high KTI (49.22–73.53 Trypsin units inhibited (TUI/mg seeds), while the two local Kazakh cultivars, Lastochka and Ivushka, were found to have a moderately high content of KTI, at 54.16–54.87 TUI/mg. In contrast, two soybean cultivars from Italy, Hilario and Ascasubi, showed the lowest levels of trypsin units inhibited, at 25.47–27.87 TUI/mg. Electrophoresis of seed proteins in a non-denaturing system showed a simple discrimination pattern and very clear presence/absence of bands corresponding to KTI. The SSR marker Satt228 was the most effective diagnostic marker among the three examined, and it confirmed the presence of the homozygous null-allele ti3/ti3 in cultivars Ascasubi and Hilario, which were used for hybridization with the local cv. Lastochka. Heterozygote F1 hybrid plants and homozygous ti3/ti3 lines in F2 segregating populations were successfully identified using Satt228. Finally, through marker-assisted selection with Satt228, prospective homozygous ti3/ti3 lines were produced for further application in the breeding program aimed at improving soybean seed quality in Kazakhstan.

1. Introduction

Soybean [Glycine max (L.) Merrill] is one of the most important crops for protein and oil production in Kazakhstan, and the processed seed products are mainly used for the purpose of food and fodder. Soybean breeding programs and seed production have been conducted in Kazakhstan for over 40 years, where 16 cultivars have been developed and introduced into local agribusiness. The area under soybean crop is increasing annually and now accounts for more than 120,000 hectares. However, this is still not enough to provide sufficient raw materials for oil processing and livestock and poultry farms in Kazakhstan.
The soybean germplasm collection and breeding lines (750 accessions) have been assessed using the main breeding indicators for seed productivity, quality and length of the growing season. Seeds were evaluated for quality indicators including protein and oil content. However, the content of anti-nutritional compounds in seeds was not previously taken into consideration by domestic breeders. As a result, parents with high levels of anti-nutritional compounds were unwittingly used for hybridization, which has significantly affected the resulting quality of the processed soybean products. The presence of proteinase inhibitors in seeds is known to be one of the main obstacles in the development and expansion of commercial soybean products. Soybean seeds contain two classes of major proteinase inhibitors, Kunitz trypsin inhibitor (KTI) and Bowman-Birk proteinase inhibitor [1,2]. Trypsin is an essential digestive enzyme found in the vertebrate small intestine that catalyzes the degradation of proteins, enabling their absorption into the bloodstream. KTI contributes up to 80% of the total trypsin inhibitor activity in soybean seeds [3].
Despite the moderate content of KTI in total soybean proteins, feeding of such seeds to livestock inhibits their growth and weight gain [4] and causes pancreatic hypertrophy [5]. For soybean seeds with high KTI, a preliminary heat treatment is required to inactivate the trypsin inhibitor enzyme before it can be fed to poultry and livestock. This heat treatment affectively destroys the undesirable anti-nutritional component, but also leads to an increase in the cost of the final product as well as decreased levels of available amino acids [6].
Initially, a single gene, Ti, encoding a high content of KTI in seeds of soybean, G. max, was described [7], where three dominant alleles, Tia, Tib, and Tic, were reported for trypsin inhibitor A2, and the allele Tia was very common and widespread [8]. The multiple alleles were further extended during the study of 1368 germplasm accessions of Korean wild soybean (G. soja Sieb. & Zucc.), where the additional two rare dominant alleles, Tibi7-1 and Tibi5, were reported [9]. The Ti/ti locus was mapped to linkage group 9, with a genetic distance of 16.2 cM from the acid phosphatase locus, Ap [7], and 15.3 cM from the leucine aminopeptidase locus, Lap1 [10]. Later, a comprehensive molecular analysis revealed 10 genes encoding KTI in soybean, but only four of them, Ti1, Ti2, Ti3, and Ti4, were transcribed into mRNA [11]. It was confirmed that only one gene, Ti3 (GenBank ID: S45092.1), represents the major KTI, since its expression level is much more prevalent in soybean seeds compared to the other genes. The Ti3 gene was reported to be transcribed at the seed maturation stage, producing most of the KTI protein found in soybean seeds [12]. This KTI polypeptide represents a soybean storage protein with a molecular weight of 21–21.5 kDa, with specific activity for trypsin inhibition [13,14]. The sequence of Ti3 was identical to the common allele Tia discovered earlier [11]. Two other genes, Ti1 and Ti2, displaying a lack of KTI activity, are mostly expressed at different stages of leaf, stem, and root development, and contribute a much smaller level of mRNA during embryogenesis and seed development [11]. The remaining Ti genes do not encode proteins with KTI activity and are assumed to be ‘Pseudogenes’.
A single recessive null-allele, ti, resulted in the absence of KTI [8], caused by three nucleotide differences within the Ti3 coding region [12]. The null-allele was initially originated from soybean germplasm accessions M91-212006, and the segregating analysis of progenies from mapping populations F2 and F3 was reported [15]. It was suggested that the absence of a 21.5 kDa protein in the total spectrum of seed storage proteins was related to the null-allele ti. Soybean germplasm accessions PI157440 and PI196168 were reported as additional sources of the null-allele ti. The breeding lines, based on introgression of the null-allele ti into commercial soybean cultivars using a conventional backcrossing program, revealed low KTI and improved seed quality for feeding chickens and young pigs [8]. In a further study, the soybean accession PI542044 with pedigree origin from PI157440 and carrying the null-allele ti was backcrossed with recurrent parents. The introgression of the ti null-allele at BC2F2 and BC3F2 generations was controlled by Marker-assisted selection (MAS) with ti allele-specific primers and linked SSR markers. Nine and six breeding lines with genetic backgrounds of JS97-52 and DS9712 / DS9814 recurrent parents, respectively, were obtained in Indian breeding programs [16,17]. The introgressed null-allele ti was confirmed in the breeding lines and the KTI content was reduced by 69–84% [16] and an additional seed yield improvement was reported [17].
The aims of this research were: (1) to study a germplasm collection of soybean for the identification of genotypes with low KTI content in seeds; (2) to evaluate diagnostic genetic markers for the null-allele ti3 in parental forms and produce hybrid populations from crosses between the lowest KTI genotype identified and elite Kazakh soybean cultivars; (3) to employ marker-assisted selection for low KTI genotypes in hybrid populations for seed quality improvement in the Kazakh breeding program.

2. Materials and Methods

The soybean germplasm collection comprising 29 cultivars was selected and received from the Kazakh Scientific Research Institute of Agriculture and Plant Growing, Almaty region, Kazakhstan (Listed in Table 2). Two hybrid combinations, Lastochka × Ascasubi and Lastochka × Hilario, F1, F2, and F3, generations, were produced from manual crosses using a method described recently in the patent [18].
KTI activity was determined according to the method described by Kakade et al. [19], using casein as a substrate and expressed in trypsin units inhibited per milligram of soybean meal.
Isolation of glycinin storage proteins was carried out in phosphate buffer (pH 6.9), with subsequent electrophoretic separation in accordance with the protocol published earlier [20] in the presence of a molecular mass marker set ranging from 10 to 130 kDa (Thermo Fisher Scientific, Vilnius, Lithuania). Fixation and staining of the protein bands was carried out in 12.5% trichloroacetic acid. Quantitative measurement of the spectra components, their molecular mass, and relative mobility was carried out by means of the Quantum ST4 Gel documenting system (Vilber, Collégien, France), and the relative percentage of each band was calculated as a ratio of all components using the ‘Quantum Capt’ computer software supplemented to the equipment. Electrophoresis in a non-denaturing system was carried out according to the protocol published earlier [21]. Proteins were extracted from 10 mg of flour using 62.5 mM Tris HCl (pH 8.1) buffer for 40 min. The protein probe was prepared by mixing 100 μl of supernatant with 100 μl of 62.5 mM Tris HCl (pH 6.9) buffer mixture containing 20% glycerin and bromophenol blue marker dye. Fixation and staining of the protein bands was performed as mentioned above.
Genomic DNA was extracted using the CTAB method [22] from the first true leaves of individual seedlings grown in greenhouse conditions. Leaf tissue samples, about 200 mg each, were transferred to 2-ml test tubes with 800 µl of CTAB extraction buffer containing 1.0% polyvinylpyrrolidone (PVP40) and 0.2% β-mercaptoethanol, and homogenized using a stainless steel pestle. Extracted and precipitated DNA was re-dissolved in 400 μl of 1 M NaCl solution and treated with 2 µl (10 mg/mL) of RNase A (Thermo Scientific, ‎Waltham, MA, USA) at 37 °C for 30 min. DNA was precipitated with cold 100% ethanol and washed with 70% ethanol. Isolated DNA was then dissolved in 100 µl of sterile water. The concentration and quality of DNA samples was determined at 260 and 280 nm using a spectrophotometer Jenway 6715 (Jenway, Staffordshire, UK). DNA samples were diluted with sterile water to a concentration of 100 ng/μl for use in further experiments.
PCR was performed in a total volume of 15 μL containing a cocktail with the following final concentrations: 1×PCR buffer, 2.5 mМ MgCI2, 200 µM each of dNTPs, 0.5 µM of each forward and reverse primers, BSA (2 mg/mL), and 0.5 U of Taq DNA polymerase (GeneLab, Astana, Kazakhstan). The PCR was conducted in a thermocycler (Bio-Rad, iCycler, Portland, ME, USA), where the amplification conditions were as follows: initial denaturation at 94 °C for 5 min, followed by 35 cycles of 94 °C for 20 s, 55 °C for 20 s, 72 °C for 30 s, and with a final extension of 10 min at 72 °C.
The amplification products were separated in polyacrylamide gel (8% acrylamide, 1×TBE buffer), and gels were stained with ethidium bromide for digital imaging by the Quantum ST4 Gel documenting system (Vilber, Collégien, France), as indicated above. The dimensional characteristics of PCR products were determined using the computer software ‘Quantum Capt’ (Vilber, Collégien, France) to determine the length and intensity of DNA fragments.
Three SSR markers tightly linked to the Ti3 gene and distinguishing between alleles were selected based on published data [23], and primer sequences are presented in Table 1.
IBM SPSS Statistical software Desktop 25.0.0.0 (IBM, Armonk, NY, USA). was used to calculate and analyze means and standard error. Welch’s ANOVA test was applied for comparison of accessions with low and high KTI due to different standard deviations and heteroscedasticity. Observed and expected segregations were analyzed using Chi-square test. One-way ANOVA and post-hoc Tukey–Kramer test with the minimum significant difference were applied for calculation of significant difference among genotypes of parent and hybrids with different KTI.

3. Results

Biochemical analyses of soybean seeds in the germplasm collection were carried out for the purpose of characterizing the activity of anti-nutritional components by measuring the inhibition of trypsin by KTI. Our results show that two cultivars originating from Italy—Ascasubi and Hilario—with the lowest trypsin units inhibited, TUI (27.87 and 25.47 units/mg of dry ground seeds, respectively, Table 2), were significantly different to other studied soybean accessions (p < 0.001, using Welch’s ANOVA test). The best local soybean cultivars from Kazakhstan were Lastochka and Ivushka, with moderately high KTI and showing 54.16 and 54.87 units/mg of TUI, respectively, but these were still significantly higher than Hilario and Ascasubi. (Table 2).
Electrophoresis of seed storage proteins from the studied soybean cultivars revealed the presence of a 21 kDa molecular component, corresponding to the Kunitz trypsin inhibitor, in all analyzed genotypes. Importantly, only two cultivars, Hilario and Ascasubi, with the lowest amounts of KTI, showed the absence of the 21 kDa molecular component. Figure 1a shows the comparison of the KTI spectra in Hilario with three other cultivars as an example of the absence or presence of the KTI band. The relative percentage of KTI component in total seed storage proteins established by densitometry in the cultivar Triumph was only 1.03%, which was clearly absent in Hilario (Figure 1b).
Molecular analysis of Ti3 locus encoding KTI was carried out with three SSR markers. The markers Satt228, Satt409, and the gene-specific marker Ti/ti are tightly linked to the Ti3 locus, and they can be perfectly used as diagnostic markers for MAS of genotypes with the null-allele ti3. Amplification products of these markers during PCR analysis with DNA from two soybean cultivars with low KTI (Hilario and Ascasubi) and one local cultivar Lastochka with high KTI are shown in Figure 2. The presented data confirmed that both Italian cultivars (Hilario and Ascasubi) have null-allele ti3 while Kazakh cultivar has dominant allele Ti3 in the locus.
All markers clearly distinguish between soybean genotypes on the basis of the Ti3 alleles detected, but the Ti/ti-gene-specific marker does not allow for the identification of homo- and heterozygote genotypes with dominant alleles Ti3, which makes it difficult to apply this marker in segregating populations. In contrast, the SSR marker Satt228 was a much more suitable diagnostic marker for the further screening of plants in segregating populations, for the identification of homozygote progenies with null-allele ti3 and production of the best non-segregating breeding lines with low KTI in seeds.
The cultivars Hilario and Ascasubi were identified as the genotypes with the lowest amounts of KTI, and they were selected in the results of the biochemical and PCR analyses with the confirmed null-allele ti3. Hybrid populations were produced with the null-allele ti3 from Hilario and Ascasubi introgressed into the genetic background of local Kazakh cultivars.
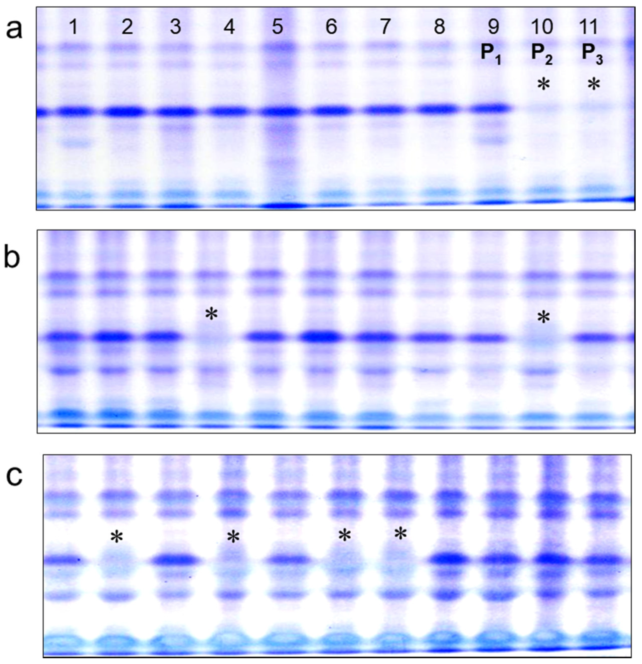
In the hybrid combinations, Lastochka × Ascasubi and Lastochka × Hilario, PCR analysis of DNA from the F1 plants and SSR marker Satt228 confirmed the presence of the null-allele ti3 in Ascasubi and Hilario (Data not shown). All F1 plants were heterozygous for the Ti3 locus with high KTI and were used for further production of the F2 populations. Biochemical analysis for the spectrum of seed storage proteins using non-denaturing electrophoresis was applied for analyses of Kazakh varieties and F2 segregating populations originating from the crosses, Lastochka × Ascasubi and Lastochka x Hilario. All local varieties and the parental plants from cultivars Ascasubi and Hilario, as well as segregants with null-alleles, ti3/ti3, showed very clear presence/absence of bands in a simple discrimination pattern. This method can be used for the selection of genotypes with the null allele of the KTI locus in seeds. However, homo- and heterozygote genotypes with dominant alleles, Ti3/Ti3 and Ti3/ti3, could not be separated using polyacrylamide gel electrophoresis (Figure 3).
In contrast, application of the SSR marker Satt228 could identify all three types of genotypes at the Ti3 locus. An example of genotyping of soybean plants using this SSR marker is presented in the second cross, Lastochka × Hilario. PCR analysis of the F2 of hybrid plants in the presence of both parents confirmed that plants of cv. Lastochka have genotypes with the dominant alleles Ti3/Ti3, while plants of cv. Hilario are homozygotes with the recessive null-allele ti3/ti3. Among progenies of the F2 hybrid population, all genotypes with the dominant and recessive alleles of the Ti3 locus were identified (Figure 4).
The comparison of segregation analyses using seed storage proteins and the molecular SSR marker Satt228 revealed full consensus and confirmed the Mendelian monogenic-type inheritance in both studied F2 populations of Lastochka × Ascasubi and Lastochka × Hilario (Table 3).
MAS was applied for segregants with homozygote null-allele genotypes, ti3/ti3, based on the results of screening using the SSR marker Satt228 on F2 hybrid progenies of Lastochka × Ascasubi and Lastochka × Hilario. The selected homozygote F2 plants, both with recessive and dominant alleles at the Ti3 locus, were grown and seeds from F3 families were finally analyzed for KTI content based on TUI results (presented in Table 4).
The presented results show consistent inheritance and very significant differences in KTI in homozygote F3 families originating from recombinants in both hybrid combinations. In the first hybrid (Lastochka × Ascasubi), the F3 family showed KTI content statistically similar to the parental form Ascasubi, while in the second hybrid combination (Lastochka × Hilario), statistically reduced KTI was found in the F3 family (Table 4).

4. Discussion

Soybean is a very widely used legume crop, but improvement of seed quality for lower KTI content is a very important and challenging task representing a critical step for soybean breeding. Therefore, the identification of soybean germplasm resources with low KTI and their introgression in hybridization programs promotes the development of promising soybean breeding lines with improved protein composition.
Among studied local Kazakh soybean cultivars, only two, Ivushka and Lastochka, were found to have more moderate levels of KTI. However, two Italian cultivars, Hilario and Ascasubi, were identified as having the lowest KTI, with significantly less than other studied soybean germplasms at 25.47 and 27.87 units of trypsin inhibited, respectively. Nevertheless, these cultivars with the lowest content of anti-nutritional factors are relatively old, having been developed in Italy in the early 1990s. Therefore, they are most valuable as donors of genetic resources to the modern soybean breeding program.
Biochemical screening of the germplasm collection for KTI and electrophoretic analysis of the seed protein composition allow for the evaluation of a range of soybean cultivars produced both locally and overseas, thus making it possible to select the most suitable parental forms for crossings and hybrid production. Homozygote progenies with the null-allele ti3/ti3 can be successfully identified and novel breeding lines can be produced from hybrid populations. However, this process must be improved and significantly sped up via the use of MAS in the initial steps of selections, using a suitable diagnostic marker strongly associated with the null-allele ti3 to produce new soybean cultivars with improved seed quality.
The presented results show the effective application of both biochemical and molecular markers for the null-allele ti3 in the studied soybean germplasm collection, and in two segregating populations. Biochemical analysis of seed storage proteins using polyacrylamide gel electrophoresis is very accurate and can be used at the seed stage whilst also saving the viable part of the ti3/ti3 line for multiplication. Therefore, it is important to enrich the initial pool of recombinant lines with the null allele of the Ti3 locus because a large part of the lines can be removed at the early stage of the breeding process. The use of the diagnostic SSR marker Satt228 is based on regular PCR and is very simple and quick. SSR markers are well known as being polymorphic, with codominant inheritance, and therefore can be widely used for genotype identification and selection of desired traits [23]. However, the distance between the SSR marker and the gene of interest can vary depending on the type of population [6,24]. For example, the genetic distance between Satt228 and Ti3 varied between 0 and 3.7 cM in two different populations [23]. Therefore, the number of recombinant genotypes in F2 hybrids of Lastochka × Ascasubi and Lastochka × Hilario (Table 3) is very small and can be estimated as 0–2.6 and 0–2.0 plants, respectively. Another codominant SSR marker Satt409 could also be successfully used instead (Figure 2), but it was mapped to a region more genetically distant from the Ti3 locus at 4.5–21.9 cM [23], meaning that there would be a greater chance of unwanted recombinants. Therefore, either native electrophoresis of storage proteins or SSR markers can support the reliable selection of new promising breeding lines, and the choice will depend on the cost or convenience as preferred by researchers. The applied MAS with Satt228 was very effective in our experiments with both segregating populations, where homozygote genotypes ti3/ti3 were identified, isolated, and propagated. The simple Mendelian-type inheritance of the Ti3 locus has been confirmed [12,15] and helps to estimate the ratio for homozygotes with the null-allele ti3. Finally, segregants with ti3/ti3 genotypes were successfully verified for low KTI content and propagated for further yield analysis and development of prospective breeding lines. Our results were similar to those published earlier on the introgression of the null-allele ti3 and MAS to select recombinant genotypes with low KTI content in an Indian soybean breeding program [16,17]. Hybridization and transference of the beneficial ti3 null-alleles determining low KTI in seeds using MAS is very important to enhance the market value and overall soybean seed quality in Kazakhstan.

5. Conclusions

Biochemical analysis of seeds of 29 varieties from soybean germplasm collection revealed only two cultivars, Hilario and Ascasubi, with the lowest activity of the Kunitz trypsin inhibitor (KTI). In contrast, all soybean cultivars currently grown in Kazakhstan have a KTI enzyme activity ranging from 54.16 to 69.85 of trypsin units inhibited per mg of seeds, for Lastochka and Bіrlіk KV, respectively. Using a method employing protein analysis and molecular markers, the null-allele ti3 was confirmed in the cultivars Hilario and Ascasubi. These genotypes were then used in crosses with domestic soybean cultivars. The SSR marker Satt228 was identified as the most effective diagnostic marker, confirming the heterozygosity of the F1 generation and helping to select homozygous lines with the null allele ti3 in F2 and in F3 segregated populations to enable the reduction of KTI and the improvement of seed quality.

Author Contributions

Conceptualization and supervision: K.B.; data collecting and analysis: S.M.; soybean resources and hybrid populations design: S.D.; molecular genotyping: D.B.; agronomic performance: M.K.; protein electrophoresis: P.A.; trypsin inhibitor activity assay: S.K.; review and editing: Y.S.

Funding

This research was funded by the Ministry of Agriculture (Kazakhstan), Scientific Technical Program, BR06249214 (M.K.).

Acknowledgments

We thank Carly Schramm for her critical comments and English editing.

Conflicts of Interest

The authors declare no conflict of interest.

References

  1. Laskowski, M., Jr.; Kato, I. Protein inhibitors of proteinases. Annu. Rev. Biochem. 1980, 49, 593–629. [Google Scholar] [CrossRef] [PubMed]
  2. Tan-Wilson, A.L.; Chen, J.C.; Duggan, M.C.; Chapman, C.; Obach, R.S.; Wilson, K.A. Soybean Bowman-Birk trypsin isoinhibitors: Classification and report of a glycine-rich trypsin inhibitor class. J. Agric. Food Chem. 1987, 35, 974–981. [Google Scholar] [CrossRef]
  3. Kumar, V.; Rani, A.; Rawal, R. Deployment of gene specific marker in development of Kunitz trypsin inhibitor free soybean genotypes. Indian J. Exp. Biol. 2013, 51, 1125–1129. [Google Scholar] [PubMed]
  4. Palacios, M.; Easter, R.A.; Soltwedel, K.T.; Parsons, C.M.; Douglas, M.W.; Hymowitz, T. Effect of soybean variety and processing on growth performance of young chicks and pigs. J. Anim. Sci. 2004, 82, 1108–1114. [Google Scholar] [CrossRef] [PubMed]
  5. Liencer, I.E. Possible adverse effects of soybean anticarcinogens. J. Nutr. 1995, 125, 744–750. [Google Scholar]
  6. Chung, J. Identification and confirmation of SSR marker tightly linked to the Ti locus in soybean [Glycine max (L.) Merr.]. In Soybean—Genetics and Novel Techniques for Yield Enhancement; Krezhova, D., Ed.; InTech: Rijeka, Croatia, 2011; pp. 201–212. [Google Scholar]
  7. Hildebrand, D.F.; Orf, J.H.; Hymowitz, T. Inheritance of an acid phosphatase and its linkage with the Kunitz trypsin inhibitor in seed protein of soybeans. Crop Sci. 1980, 20, 83–85. [Google Scholar] [CrossRef]
  8. Hymowitz, T. Genetics and breeding of soybeans lacking the Kunitz trypsin inhibitor. In Nutritional and Toxicological Significance of Enzyme Inhibitors in Foods. Advances in Experimental Medicine and Biology; Friedman, M., Ed.; Springer: Boston, MA, USA, 1986; Volume 199, pp. 291–298. [Google Scholar]
  9. Krishnamurthy, P.; Singh, R.J.; Tsukamoto, C.; Park, J.H.; Lee, J.D.; Chung, G. Kunitz trypsin inhibitor polymorphism in the Korean wild soybean (Glycine soja Sieb. & Zucc.). Plant Breed. 2013, 132, 311–316. [Google Scholar]
  10. Klang, Y.T.; Chiang, Y.C. Genetic linkage of a leucine aminopeptidase locus with the Kunitz trypsin inhibitor locus in soybeans. J. Hered. 1986, 77, 128–129. [Google Scholar] [CrossRef]
  11. Jofuku, K.D.; Goldberg, R.B. Kunitz trypsin inhibitor genes are differentially expressed during the soybean life cycle and in transformed tobacco plants. Plant Cell 1989, 1, 1079–1093. [Google Scholar] [CrossRef] [PubMed]
  12. Jofuku, K.D.; Schipper, R.D.; Goldberg, R.B. A frameshift mutation prevents Kunitz trypsin inhibitor mRNA accumulation in soybean embryos. Plant Cell 1989, 1, 427–435. [Google Scholar] [CrossRef] [PubMed]
  13. Ryan, C.A. Proteinase inhibitors. In Biochemistry of Plants; Marcus, A., Ed.; Academic Press: San Diego, CA, USA, 1981; pp. 351–370. [Google Scholar]
  14. Kim, S.H.; Hara, S.; Hase, S.; Ikenaka, T.; Toda, H.; Kitamura, K.; Kaizuma, N. Comparative study on amino acid sequences of Kunitz-type soybean trypsin inhibitors, Ti, Tib, and Tic. J. Biochem. 1985, 98, 435–448. [Google Scholar]
  15. Vollmann, J.; Schausberger, H.; Bistrich, H.; Lelley, T. The presence or absence of the soybean Kunitz trypsin inhibitor as a quantitative trait locus for seed protein content. Plant Breed. 2002, 121, 272–274. [Google Scholar] [CrossRef]
  16. Kumar, V.; Rani, A.; Rawal, R.; Mourya, V. Marker assisted accelerated introgression of null allele of Kunitz trypsin inhibitor in soybean. Breed. Sci. 2015, 65, 447–452. [Google Scholar] [CrossRef] [PubMed]
  17. Maranna, S.; Verma, K.; Talukdar, A.; Lal, S.K.; Kumar, A.; Mukherjee, K. Introgression of null allele of Kunitz trypsin inhibitor through marker-assisted backcross breeding in soybean (Glycine max L. Merr.). BMC Genetics 2016, 17, 106. [Google Scholar] [CrossRef] [PubMed]
  18. Didorenko, S.V.; Karyagin, Y.G.; Bulatova, K.M. Method of soybean hybridization. Submitted by Kazakh Scientific Research Institute of Agriculture and Plant Growing, Almaty region, Kazakhstan. Republic of Kazakhstan Patent No. 31427, 21 July 2016. [Google Scholar]
  19. Kakade, M.L.; Simons, N.; Liener, I.E. An evaluation of natural vs synthetic substances for measuring the antitryptic activity of soybean samples. Cereal Chem. 1974, 46, 518–526. [Google Scholar]
  20. Laemmli, U.K. Cleavage of structural proteins during the assembly of the head of bacteriophage T4. Nature 1970, 227, 680–685. [Google Scholar] [CrossRef] [PubMed]
  21. Davis, B.J. Description of discontinuous buffer system for non-denaturing gels in electrophoresis. Ann. New York Acad. Sci. 1964, 209, 373–381. [Google Scholar]
  22. Murray, M.G.; Thompson, W.F. Rapid isolation of high molecular weight plant DNA. Nucleic Acids Res. 1980, 8, 4321–4325. [Google Scholar] [CrossRef] [PubMed]
  23. Kim, M.S.; Park, M.J.; Jeong, W.H.; Nam, K.C.; Chung, J.I. SSR marker tightly linked to the Ti locus in soybean [Glycine max (L.) Merr.]. Euphytica 2006, 152, 361–366. [Google Scholar] [CrossRef]
  24. Cregan, P.B.; Jarvik, T.; Bush, A.L.; Shoemaker, R.C.; Lark, K.G.; Kahler, A.L.; Kaya, N.; VanToai, T.T.; Lohnes, D.G.; Chung, J.; et al. An integrated genetic linkage map of the soybean genome. Crop Sci. 1999, 39, 1464–1490. [Google Scholar] [CrossRef]
Figure 1. Electrophoregram of polyacrylamide gel (a) and densitograms (b) of soybean seed storage proteins. Germplasms are labelled above the image as follows: 1, Hilario; 2, Atlantic; 3, Triumph; and 4, Luna. The band for the 21 kDa molecular component KTI is indicated by arrows.
Figure 1. Electrophoregram of polyacrylamide gel (a) and densitograms (b) of soybean seed storage proteins. Germplasms are labelled above the image as follows: 1, Hilario; 2, Atlantic; 3, Triumph; and 4, Luna. The band for the 21 kDa molecular component KTI is indicated by arrows.
Agronomy 09 00076 g001
Figure 2. Amplification products of three SSR markers linked to the soybean Ti3 gene. M, Marker 100 bp; 1 and 4, Lastochka; 2, Hilario; and 3, Ascasubi. The individual marker used is indicated at the bottom as follows: (a) Satt228; (b) Ti/ti-gene specific marker; (c) Satt409.
Figure 2. Amplification products of three SSR markers linked to the soybean Ti3 gene. M, Marker 100 bp; 1 and 4, Lastochka; 2, Hilario; and 3, Ascasubi. The individual marker used is indicated at the bottom as follows: (a) Satt228; (b) Ti/ti-gene specific marker; (c) Satt409.
Agronomy 09 00076 g002
Figure 3. Polyacrylamide gel patterns of soybean seed storage proteins: (a) local varieties (1–8) and (9) parental cultivar Lastochka (P1) with genotypes Ti3/Ti3; two other parental forms (10 and 11), Ascasubi (P2) and Hilario (P3), respectively, with genotype ti3/ti3. Examples of the F2 segregating populations: (b) Lastochka × Ascasubi; and (c) Lastochka × Hilario. Homozygote genotypes, ti3/ti3, are indicated by asterisks (*).
Figure 3. Polyacrylamide gel patterns of soybean seed storage proteins: (a) local varieties (1–8) and (9) parental cultivar Lastochka (P1) with genotypes Ti3/Ti3; two other parental forms (10 and 11), Ascasubi (P2) and Hilario (P3), respectively, with genotype ti3/ti3. Examples of the F2 segregating populations: (b) Lastochka × Ascasubi; and (c) Lastochka × Hilario. Homozygote genotypes, ti3/ti3, are indicated by asterisks (*).
Agronomy 09 00076 g003
Figure 4. PCR products of parental forms and the F2 hybrid population of Lastochka × Hilario amplified with Satt228. M, Marker 100 bp; P1, Lastochka; P2, Hilario; 1–14, Hybrid F2 plants. Genotypes for the Ti3 locus are shown for each plant.
Figure 4. PCR products of parental forms and the F2 hybrid population of Lastochka × Hilario amplified with Satt228. M, Marker 100 bp; P1, Lastochka; P2, Hilario; 1–14, Hybrid F2 plants. Genotypes for the Ti3 locus are shown for each plant.
Agronomy 09 00076 g004
Table 1. SSR markers and corresponding primer sequences used for the identification of soybean Ti3/ti3 genotypes.
Table 1. SSR markers and corresponding primer sequences used for the identification of soybean Ti3/ti3 genotypes.
MarkersPrimer Sequences
Satt228FTCATAACGTAAGAGATGGTAAAACT
RCATTATAAGAAAACGTGCTAAAGAG
Satt409FCCTTAGACCATGAATGTCTCGAAGAA
RCTTAAGGACACGTGGAAGATGACTAC
Ti/ti, gene specific markerFCTTTTGTGCCTTCACCACCT
RGAATTCATCATCAGAAACTCTA
Table 2. Characterization of soybean collection samples according to the activity of the Kunitz trypsin inhibitor. TUI, trypsin units inhibited ± SE (n = 3).
Table 2. Characterization of soybean collection samples according to the activity of the Kunitz trypsin inhibitor. TUI, trypsin units inhibited ± SE (n = 3).
EntrySample NameCountry of originTUI/mgGroup
1HilarioItaly25.47 ± 2.44Low
2AscasubiItaly27.87 ± 0.85Low
3VilanaRussia49.22 ± 1.56High
4Selekta 301Russia51.05 ± 0.57High
5BlamcosItaly51.62 ± 0.57High
6LastochkaKazakhstan54.16 ± 0.56High
7Ivushka Kazakhstan54.87 ± 1.28High
8SavaSerbia54.87 ± 1.84High
9TriumphSerbia56.14 ± 0.28High
10GalinaUkraine56.85 ± 0.15High
11SlaviiaRussia57.41 ± 0.14High
12KorsakUkraine57.41 ± 0.42High
13LunaItaly57.98 ± 0.15High
14DekabigUSA57.98 ± 0.70High
15Pamiat IuGKKazakhstan59.24 ± 0.56High
16ZhansayaKazakhstan59.96 ± 0.14High
17ForaRussia61.65 ± 1.72High
18HarbinChina61.93 ± 2.12High
19VoevodzhankaSerbia62.36 ± 0.85High
20AyzereKazakhstan63.77 ± 0.84High
21Perizat Kazakhstan64.91 ± 0.56High
22SabiraKazakhstan66.18 ± 0.98High
23SafranaFrance66.60 ± 2.83High
24DeltaRussia67.45 ± 0.29High
25AkkyKazakhstan67.59 ± 1.84High
26SantanaFrance68.30 ± 0.56High
27Birlik KVKazakhstan69.85 ± 1.27High
28ZenSwitzerland71.69 ± 1.13High
29AtlanticItaly73.53 ± 0.71High
Table 3. Segregation analyses of genotypes of the Ti3 locus using seed storage proteins and the molecular SSR marker Satt228 in F2 populations of Lastochka × Ascasubi and Lastochka × Hilario. The asterisks (* and **) indicate no significant differences (p < 0.05 and p < 0.01, respectively) between observed and expected segregations for simple Mendelian ratio (3:1 for seed storage proteins and 1:2:1 for SSR marker Satt228), compared to the Chi-square distribution table.
Table 3. Segregation analyses of genotypes of the Ti3 locus using seed storage proteins and the molecular SSR marker Satt228 in F2 populations of Lastochka × Ascasubi and Lastochka × Hilario. The asterisks (* and **) indicate no significant differences (p < 0.05 and p < 0.01, respectively) between observed and expected segregations for simple Mendelian ratio (3:1 for seed storage proteins and 1:2:1 for SSR marker Satt228), compared to the Chi-square distribution table.
GenotypesTotal Number of Plantsχ2 < χ2(Tablel)
Ti3/Ti3Ti3/ti3ti3/ti3
Lastochka × Ascasubi
Seed storage proteins, observed segregation4624702.78 * < 3.84(df = 1)
Expected segregation52.517.570
SSR marker Satt228, observed segregation153124703.23 ** < 4.61(df = 2)
Expected segregation17.53517.570
Lastochka × Hilario
Seed storage proteins, observed segregation3815530.31 ** < 2.71(df = 1)
Expected segregation39.7513.2553
SSR marker Satt228, observed segregation122615530.36 ** < 4.61(df = 2)
Expected segregation13.2526.513.2553
Table 4. Kunitz trypsin inhibitor analysis in homozygote F3 families originating from two hybrid populations after MAS with SSR marker Satt228 for trypsin units inhibited (TUI) ± SE (n = 3). Minimum significant differences (p > 0.01) based on one-way ANOVA with post-hoc Tukey–Kramer test are shown by different letters. No statistical differences are shown by identical letters.
Table 4. Kunitz trypsin inhibitor analysis in homozygote F3 families originating from two hybrid populations after MAS with SSR marker Satt228 for trypsin units inhibited (TUI) ± SE (n = 3). Minimum significant differences (p > 0.01) based on one-way ANOVA with post-hoc Tukey–Kramer test are shown by different letters. No statistical differences are shown by identical letters.
Parent/ProgenyNameGenotype Ti3/ti3TUI/mg of Dry SeedsStatistical Differences
Lastochka × Ascasubi
♀ P1LastochkaTi3/Ti353.2 ± 0.2a
♂ P2Ascasubiti3/ti325.2 ± 0.1c
F3 family 1(Lastochka × Ascasubi) − 1Ti3/Ti343.0 ± 0.6b
F3 family 2(Lastochka × Ascasubi) − 2ti3/ti323.7 ± 1.3c
Lastochka × Hilario
♀ P1LastochkaTi3/Ti353.2 ± 0.2a
♂ P3Hilarioti3/ti323.2 ± 0.1c
F3 family 3(Lastochka × Hilario) − 3Ti3/Ti345.5 ± 0.6b
F3 family 4(Lastochka × Hilario) − 4ti3/ti317.4 ± 1.3d

Share and Cite

MDPI and ACS Style

Bulatova, K.; Mazkirat, S.; Didorenko, S.; Babissekova, D.; Kudaibergenov, M.; Alchinbayeva, P.; Khalbayeva, S.; Shavrukov, Y. Trypsin Inhibitor Assessment with Biochemical and Molecular Markers in a Soybean Germplasm Collection and Hybrid Populations for Seed Quality Improvement. Agronomy 2019, 9, 76. https://doi.org/10.3390/agronomy9020076

AMA Style

Bulatova K, Mazkirat S, Didorenko S, Babissekova D, Kudaibergenov M, Alchinbayeva P, Khalbayeva S, Shavrukov Y. Trypsin Inhibitor Assessment with Biochemical and Molecular Markers in a Soybean Germplasm Collection and Hybrid Populations for Seed Quality Improvement. Agronomy. 2019; 9(2):76. https://doi.org/10.3390/agronomy9020076

Chicago/Turabian Style

Bulatova, Kulpash, Shynar Mazkirat, Svetlana Didorenko, Dilyara Babissekova, Mukhtar Kudaibergenov, Perizat Alchinbayeva, Sholpan Khalbayeva, and Yuri Shavrukov. 2019. "Trypsin Inhibitor Assessment with Biochemical and Molecular Markers in a Soybean Germplasm Collection and Hybrid Populations for Seed Quality Improvement" Agronomy 9, no. 2: 76. https://doi.org/10.3390/agronomy9020076

APA Style

Bulatova, K., Mazkirat, S., Didorenko, S., Babissekova, D., Kudaibergenov, M., Alchinbayeva, P., Khalbayeva, S., & Shavrukov, Y. (2019). Trypsin Inhibitor Assessment with Biochemical and Molecular Markers in a Soybean Germplasm Collection and Hybrid Populations for Seed Quality Improvement. Agronomy, 9(2), 76. https://doi.org/10.3390/agronomy9020076

Note that from the first issue of 2016, this journal uses article numbers instead of page numbers. See further details here.

Article Metrics

Back to TopTop