Mechanisms and Management Strategies for Satsuma Mandarin Fruit Cracking
Abstract
1. Introduction
2. Materials and Methods
2.1. Plant Materials and Growth Conditions
2.2. Fruit Characteristics Observation
2.3. Analysis of Orchard Nutrient Status
2.4. Foliar Treatments
2.5. Data Processing and Analysis
3. Results
3.1. Fruit Growth and Changes in Peel Thickness
3.2. Relationships Among Cracking, Shape Index, Stem Diameter, and Peel Strength
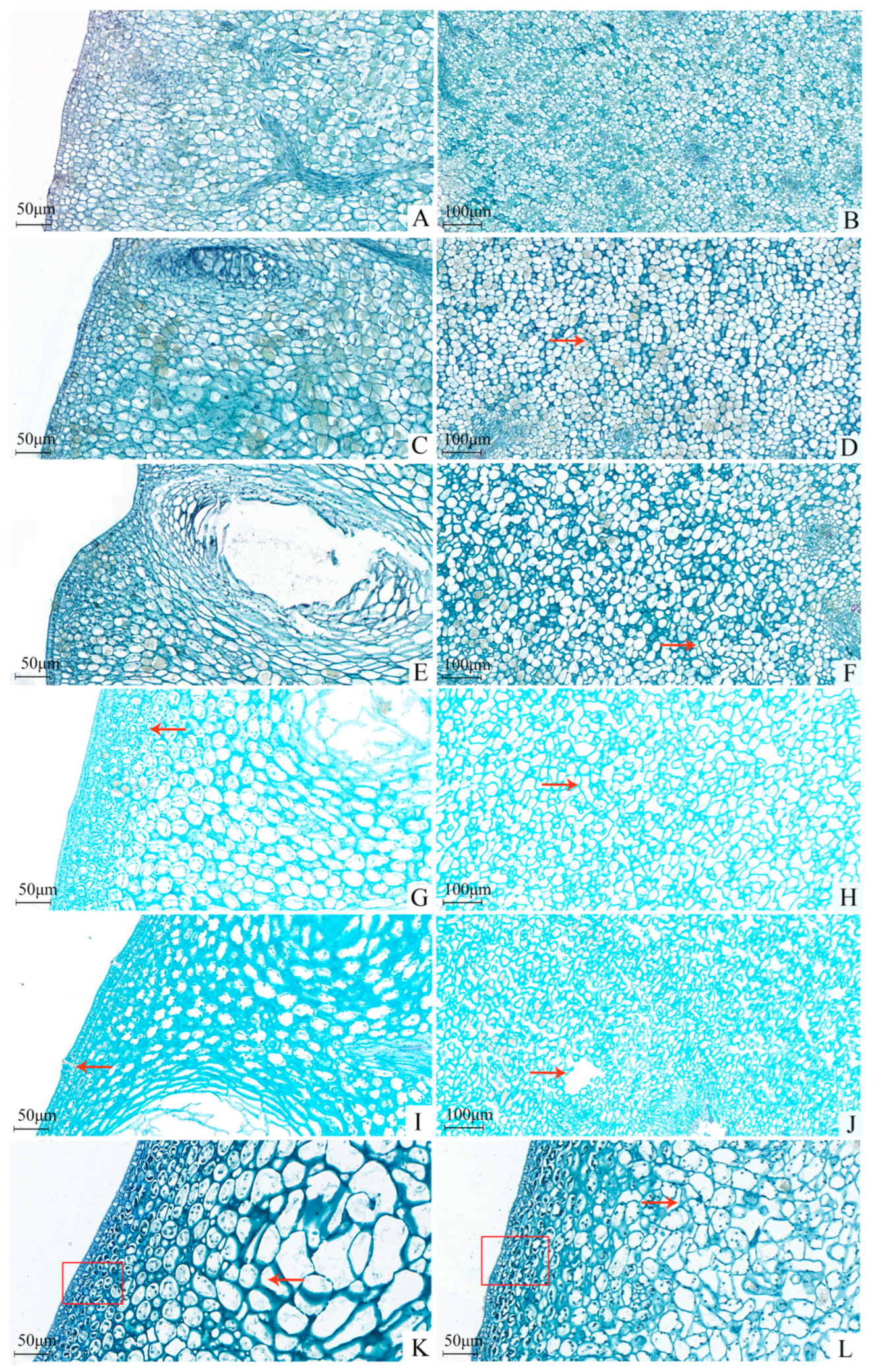
3.3. Changes in the Anatomical Structure of the Peel
3.4. Influence of Mineral Element Concentrations on Citrus Fruit Cracking
3.5. Effects of Different Measures on Cracking Incidence and Fruit Quality
4. Discussion
4.1. Correlation Between Citrus Peel Characteristics and Water Transport
4.2. Relationship Between Cracking in Miyagawa Wase and Fruit Development Processes
4.3. Differences in Mineral Element Concentrations Affecting Cracking
4.4. Feasible Measures for Reducing Cracking in Miyagawa Wase
5. Conclusions
Author Contributions
Funding
Data Availability Statement
Conflicts of Interest
References
- Bower, J.P.; Gilfillan, I.M.; Skinner, H. Fruit splitting in ‘Valencia’ and its relationship to the pectin status of the rind. Proc. Int. Soc. Citric. 1992, 1, 511–514. [Google Scholar]
- Goldschmidt, E.E.; Galili, D. Fruit splitting in ‘Murcott’ tangerines: Control by reduced water supply. Proc. Int. Soc. Citric. 1992, 2, 657–660. [Google Scholar]
- Barry, G.H.; Bower, J.P. Manipulation of fruit set and stylar-end fruit split in ‘Nova’ mandarin hybrid. Sci. Hortic. 1997, 70, 243–250. [Google Scholar] [CrossRef]
- Correia, S.; Schouten, R.; Silva, A.P.; Gonçalves, B. Sweet cherry fruit cracking mechanisms and prevention strategies: A review. Sci. Hortic. 2018, 240, 369–377. [Google Scholar] [CrossRef]
- Singh, A.; Shukla, A.K.; Meghwal, P.R. Fruit cracking in pomegranate: Extent, cause, and management—A Review. Int. J. Fruit Sci. 2020, 20 (Suppl. S3), S1234–S1253. [Google Scholar] [CrossRef]
- Ozturk, B.; Bektas, E.; Aglar, E.; Karakaya, O.; Gun, S. Cracking and quality attributes of jujube fruits as affected by covering and pre-harvest Parka and GA3 treatments. Sci. Hortic. 2018, 240, 65–71. [Google Scholar] [CrossRef]
- Yang, Z.E.; Wu, Z.; Zhang, C.; Hu, E.; Zhou, R.; Jiang, F. The composition of pericarp, cell aging, and changes in water absorption in two tomato genotypes: Mechanism, factors, and potential role in fruit cracking. Acta Physiol. Plant 2016, 38, 215. [Google Scholar] [CrossRef]
- Lopez-Zaplana, A.; Bárzana, G.; Agudelo, A.; Carvajal, M. Foliar mineral treatments for the reduction of melon (Cucumis melo L.) fruit cracking. Agronomy 2020, 10, 1815. [Google Scholar] [CrossRef]
- Yamada, M.; Ikeda, I.; Yamane, H.; Hirabayashi, T. Inheritance of fruit cracking at the calyx end and stylar end in Japanese persimmon (Diospyros kaki Thunb.). J. Jpn. Soc. Hortic. Sci. 1988, 57, 8–16. [Google Scholar] [CrossRef]
- Yu, J.; Yang, J.; Dai, S.; Xie, N.; Tang, Y.; Pi, S.; Zhu, M. PpAmy1 Plays a Role in Fruit-Cracking by Regulating Mesocarp Starch Hydrolysis of Nectarines. J. Agric. Food Chem. 2024, 72, 2667–2677. [Google Scholar] [CrossRef]
- Quero-García, J.; Letourmy, P.; Campoy, J.A.; Branchereau, C.; Malchev, S.; Barreneche, T.; Dirlewanger, E. Multi-year analyses on three populations reveal the first stable QTLs for tolerance to rain-induced fruit cracking in sweet cherry (Prunus avium L.). Hortic. Res. 2021, 8, 136. [Google Scholar] [CrossRef] [PubMed]
- Sandhu, S.; Bal, J.S. Response of lemon (Citrus limon (L.) Burm.) cv. Baramasi to irrigation scheduling and mulching. Progress. Hortic. 2014, 46, 232–235. [Google Scholar]
- Huang, S.; Yang, X.; Wang, T.; Li, H.; Deng, L.; Bi, X.; Wang, Z. Physiological Mechanisms of Citrus Fruit Cracking: Study on Cell Wall Components, Osmoregulatory Substances, and Antioxidant Enzyme Activities. Plants 2024, 13, 257. [Google Scholar] [CrossRef] [PubMed]
- García-Luis, A.; Duarte, A.M.M.; Porras, I.; García-Lidón, A.; Guardiola, J.L. Fruit splitting in ‘Nova’hybrid mandarin in relation to the anatomy of the fruit and fruit set treatments. Sci. Hortic. 1994, 57, 215–231. [Google Scholar] [CrossRef]
- Macnee, N.C.; Rebstock, R.; Hallett, I.C.; Schaffer, R.J.; Bulley, S.M. A review of current knowledge about the formation of native peridermal exocarp in fruit. Funct. Plant Biol. 2020, 47, 1019–1031. [Google Scholar] [CrossRef]
- Cronje, P.J.R. Postharvest rind disorders of ‘Nadorcott’ mandarin are affected by rootstock in addition to postharvest treatments. Acta Hortic. 2013, 1007, 111–117. [Google Scholar] [CrossRef]
- Ikram, S.; Shafqat, W.; Qureshi, M.A.; Din, S.; Rehman, S.; Mehmood, A.; Sajjad, Y.; Nafees, M. Causes and control of fruit cracking in pomegranate: A review. J. Glob. Innov. Agric. Soc. Sci. 2020, 8, 183–190. [Google Scholar] [CrossRef]
- Gonzalo, R.; Eduardo, F.; Cory, W.; Eike, L.; Italo, F.C. Adapting sweet cherry orchards to extreme weather events-Decision Analysis in support of farmers’ investments in Central Chile. Agric. Syst. 2021, 187, 103031. [Google Scholar]
- Cronje, P.J.; Stander, O.P.; Theron, K.I. Fruit splitting in citrus. Hortic. Rev. 2013, 41, 177–200. [Google Scholar]
- Odemis, B.; Turhan, S.; Buyuktas, D. The effects of irrigation and fertilizer applications on yield, pomological characteristics and fruit cracking in Nova mandarin. Agric. Water Manag. 2014, 135, 54–60. [Google Scholar] [CrossRef]
- Mesejo, C.; Reig, C.; Martínez-Fuentes, A.; Gambetta, G.; Gravina, A.; Agustí, M. Tree water status influences fruit splitting in Citrus. Sci. Hortic. 2016, 209, 96–104. [Google Scholar] [CrossRef]
- Li, J.; Chen, J. Citrus fruit-cracking: Causes and occurrence. Hortic. Plant J. 2017, 3, 255–260. [Google Scholar] [CrossRef]
- Alva, A.K.; Mattos, J.D.; Paramasivam, S.; Patil, B.; Dou, H. Potassium management for optimizing citrus production and quality. Int. J. Fruit Sci. 2006, 6, 3–43. [Google Scholar] [CrossRef]
- Mohamed, A.K.; Abdel-Galil, H.A.; Galal, N. Effect of some nutrients and amino acids spraying on yield and fruit quality of Manfalouty pomegranate. SVU-Int. J. Agric. Sci. 2020, 2, 18–29. [Google Scholar] [CrossRef]
- Sandhu, S.; Bal, J.S. Quality improvement in lemon (Citrus limon (L.) Burm.) through integrated management of fruit cracking. Afr. J. Agric. Res. 2013, 8, 3552–3557. [Google Scholar]
- Huai, B.; Wu, Y.; Liang, C.; Tu, P.; Mei, T.; Guan, A.; Chen, J. Effects of calcium on cell wall metabolism enzymes and expression of related genes associated with peel creasing in Citrus fruits. PeerJ 2022, 10, e14574. [Google Scholar] [CrossRef]
- Saure, M.C. Calcium translocation to fleshy fruit: Its mechanism and endogenous control. Sci. Hortic. 2005, 105, 65–89. [Google Scholar] [CrossRef]
- Dong, Z.H.; Shi, X.J.; Liu, X.M.; Srivastava, A.K.; Shi, X.J.; Zhang, Y.Q.; Hu, C.X.; Zhang, F.S. Calcium application regulates fruit cracking by cross-linking of fruit peel pectin during young fruit growth stage of citrus. Sci. Hortic. 2025, 340, 113922. [Google Scholar] [CrossRef]
- Shi, X.; Wen, M.; Dong, Z.; Zhang, J.Z.; Srivastava, A.K.; Moussa, M.G.; Zhang, Y.Q. Periodicity of Fruit Cracking in Orange Fruit and Integrated Management Intervention. Plants 2025, 14, 389. [Google Scholar] [CrossRef]
- Erickson, L.C. Compositional differences between normal and split Washington Navel oranges. Proc. Am. Soc. Hort. Sci. 1957, 70, 257–260. [Google Scholar]
- Wang, T.; Tan, L.; Chen, Z.F.; Yang, Y.T.; Yuan, Y.; Zheng, Z.D.; Deng, L.J.; Zhang, M.F.; Sun, G.C.; He, S.Y.; et al. Mitigating citrus fruit cracking: The efficacy of chelated calcium or silicon foliar fertilizers in ‘Okitsu no. 58’citrus fruit. Front. Plant Sci. 2024, 15, 1402945. [Google Scholar] [CrossRef] [PubMed]
- Morgan, K.T.; Rouse, R.E.; Roka, F.M.; Futich, S.H.; Zekri, M. Leaf and fruit mineral content and peel thickness of ‘Hamlin’ orange. Proc. Fla. State Hort. Soc. 2005, 118, 19–21. [Google Scholar]
- Sharifi, H.; Sepahi, A. Effect of gibberellic acid on fruit cracking in Meykhosh pomegranate. Iran Agric. Res. 1984, 3, 149–155. [Google Scholar]
- Fidelibus, M.W.; Teixeira, A.A.; Davies, F.S. Mechanical properties of orange peel and fruit treated pre–harvest with gibberellic acid. Trans. ASAE 2002, 45, 1057. [Google Scholar] [CrossRef]
- Wojcik, P.; Wojcik, M. Effect of boron fertilization on sweet cherry tree yield and fruit quality. J. Plant Nutr. 2006, 29, 1755–1766. [Google Scholar] [CrossRef]
- Choi, J.H.; Lee, B.; Gu, M.; Lee, U.Y.; Kim, M.S.; Jung, S.K.; Choi, H.S. Course of Fruit Cracking in ‘Whansan’ Pears. Hortic. Environ. Biotechnol. 2020, 61, 51–59. [Google Scholar] [CrossRef]
- Khadivi-Khub, A. Physiological and genetic factors influencing fruit cracking. Acta Physiol. Plant. 2015, 37, 1718. [Google Scholar] [CrossRef]
- Rademacher, W. Plant Growth Regulators: Backgrounds and Uses in Plant Production. J. Plant Growth Regul. 2015, 34, 845–872. [Google Scholar] [CrossRef]
- Li, Y.; Jones, L.; McQueen-Mason, S. Expansins and cell growth. Curr. Opin. Plant Biol. 2003, 6, 603–610. [Google Scholar] [CrossRef]
- Yilmaz, C.E.A.A.P.; Ozguven, A.I. Hormone physiology of preharvest fruit cracking in pomegranate (Punica granatum L.). Acta Hortic. 2006, 727, 545–549. [Google Scholar] [CrossRef]
- Prativa, S.; Narender, S. Fruit cracking and quality of pomegranate (Punica granatum L.) cv. Kandhari as influenced by CPPU and boron. J. Pharmacogn. Phytochem. 2019, 8, 2644–2648. [Google Scholar]
- Garcia-Luis, A.; Duarte, A.M.M.; Kanduser, M.; Guardiola, J.L. The anatomy of the fruit in relation to the propensity of citrus species to split. Sci. Hortic. 2001, 87, 33–52. [Google Scholar] [CrossRef]
- Peschel, S.; Franke, R.; Schreiber, L.; Knoche, M. Composition of the cuticle of developing sweet cherry fruit. Phytochemistry 2007, 68, 1017–1025. [Google Scholar] [CrossRef]
- Cline, J.A.; Trought, M. Effect of gibberellic acid on fruit cracking and quality of Bing and Sam sweet cherries. Can. J. Plant Sci. 2007, 87, 545–550. [Google Scholar] [CrossRef]
- Rabe, E.; Van Rensburg, P.J.J. Gibberellic acid sprays, girdling, flower thinning and potassium applications affect fruit splitting and yield in the ‘Ellendale’ tangor. J. Hort. Sci. 1996, 71, 195–203. [Google Scholar] [CrossRef]
- Horvitz, S.; Godoy, C.; López Camelo, A.F.; Yommi, A. Application of gibberellic acid to ‘Sweetheart ’sweet cherries: Effects on fruit quality at harvest and during cold storage. In Proceedings of the XXVI International Horticultural Congress: Issues and Advances in Postharvest Horticulture, Toronto, ON, Canada, 11–17 August 2002; Volume 628, pp. 311–316. [Google Scholar]
- Usenik, V.; Kastelec, D.; Štampar, F. Physicochemical changes of sweet cherry fruits related to application of gibberellic acid. Food Chem. 2005, 90, 663–671. [Google Scholar] [CrossRef]
- Suran, P.; Vavra, R.; Zeleny, L. Effectiveness of potential products to reduce rain cracking of cherry fruit. Acta Hortic. 2016, 1137, 183–186. [Google Scholar] [CrossRef]
- Pedro, R.; Galindo, A.; Jacinta, C.G.; Medina, S.; Corell, M.; Memmi, H.; Goron, I.F.; Centeno, A.; Martin-Palomo, M.L.; Cruz, Z.N. Fruit response to water-scarcity scenarios. water relations and biochemical changes-sciencedirect. In Water Scarcity and Sustainable Agriculture in Semiarid Environment; Academic Press: Cambridge, MA, USA, 2018; pp. 349–375. [Google Scholar]
- Kaur, R.; Kaur, N.; Singh, H. Fruit cracking in lemon cv. Punjab Baramasi in relation to developmental physiology. Proc. Natl. Acad. Sci. India Sect. B Biol. Sci. 2022, 92, 561–568. [Google Scholar] [CrossRef]
- Huang, X.; Yuan, W.; Wang, H.; Li, J.; Huang, H.; Shi, L.; Jinhua, Y. Linking cracking resistance and fruit dessication rate to pericarp structure in litchi (Litchi chinensis Sonn.). J. Hortic. Sci. Biotechnol. 2004, 79, 897–905. [Google Scholar] [CrossRef]
- Knoche, M.; Peschel, S. Studies on water transport through the sweet cherry fruit surface: VI. Effect of Hydrostatic pressure on water uptake. J. Hortic. Sci. Biotechnol. 2002, 77, 609–614. [Google Scholar] [CrossRef]
- Monselise, S.P. CRC Handbook of Fruit Set and Development; CRC Press, Inc.: Boca Raton, FL, USA, 1986. [Google Scholar]
- Zhou, N.F.; Zhao, J.P.; Liu, H.; Zha, W.W.; Pei, D. New protocols for paraffin sections of heterogeneous tissues of woody plants. Chin. Bull. Bot. 2018, 53, 653–660. [Google Scholar]
- Qiu, F.; Liu, W.; Chen, L.; Wang, Y.; Lyu, Q.; Yi, S.L.; Zheng, Y.Q. Bacillus subtilis biofertilizer application reduces chemical fertilization and improves fruit quality in fertigated Tarocco blood orange groves. Sci. Hortic. 2021, 281, 110004. [Google Scholar] [CrossRef]
- Li, Y.; Han, C.; Sun, S.; Zhao, C. Effects of Tree Species and Soil Enzyme Activities on Soil Nutrients in Dryland Plantations. Forests 2021, 12, 1153. [Google Scholar] [CrossRef]
- Bargel, H.; Neinhuis, C. Tomato (Lycopersicon esculentum Mill.) fruit growth and ripening as related to the biomechanical properties of fruit skin and isolated cuticle. J. Exp. Bot. 2005, 56, 1049–1060. [Google Scholar] [CrossRef] [PubMed]
- Yamaga, I.; Iwata, M.; Asama, M.; Emoto, Y. Calcium carbonate treatments affect cultivation environment around the fruit surface and mitigate sunburn formation and rind puffing of satsuma mandarin fruits. Hortic. Environ. Biotechnol. 2024, 1–11. [Google Scholar] [CrossRef]
- Winkler, A.; Blumenberg, I.; Schürmann, L.; Knoche, M. Rain cracking in sweet cherries is caused by surface wetness, not by water uptake. Sci. Hortic. 2020, 269, 109400. [Google Scholar] [CrossRef]
- Blanke, M.M. Fine structure and elemental composition of segment membranes of Valencia orange fruit and their possible role in raggyness. J. Appl. Bot. 2003, 77, 28–31. [Google Scholar]
- Zhang, A.; Liu, Y.Z.; Liu, Y.; Zheng, F.X.; Xie, X.J.; Ye, Z.Z.; Cheng, J.N.; Den, Y.Y.; Zeng, X.X.; Yun, L. Investigation of chromoplast ultrastructure and tissue-specific accumulation of carotenoids in citrus flesh. Sci. Hortic. 2019, 256, 108547. [Google Scholar] [CrossRef]
- Zdunek, A.; Kurenda, A. Determination of the elastic properties of tomato fruit cells with an atomic force microscope. Sensors 2013, 13, 12175–12191. [Google Scholar] [CrossRef]
- Kevin, V.; Cédric, G.; Camille, R.; Siret, R.; Lahaye, M. Cryo-laser scanning confocal microscopy of diffusible plant compounds. Plant Methods 2018, 14, 89. [Google Scholar]
- Solomon, W.F.; Metadel, K.A.; Quang, T.H.; Pieter, V.; Jan, C.; Bart, M.N. Microscale modeling of water transport in fruit tissue. J. Food Eng. 2013, 118, 229–237. [Google Scholar]
- Measham, P. Rain-Induced Fruit Cracking in Sweet Cherry (Prunus avium L.). Ph.D. Thesis, School of Agricultural Science, University of Tasmania, Hobart, Australia, 2011; 170p. [Google Scholar]
- Simon, G. Review on rain induced fruit cracking of sweet cherries (Prunus avium L.), its causes and the possibilities of prevention. Int. J. Hortic. Sci. 2006, 12, 27–35. [Google Scholar] [CrossRef]
- Sekse, L. Fruit cracking in sweet cherries (Prunus avium L.). Some physiological aspects—A mini review. Sci. Hortic. 1995, 63, 135–141. [Google Scholar] [CrossRef]
- Peet, M. Fruit cracking in tomato. Horttechnology 1992, 2, 216–223. [Google Scholar] [CrossRef]
- Considine, J.; Brown, K. Physical aspects of fruit growth. Theoretical analysis of distribution of surface growth forces in relation to cracking and splitting. Plant Physiol. 1981, 68, 371–376. [Google Scholar] [CrossRef] [PubMed]
- Yamaguchi, M.; Sato, I.; Ishiguro, M. Influences of epidermal cell sizes and flesh firmness on cracking susceptibility in sweet cherry (Prunus avium L.) cultivars and selections. J. Jpn. Soc. Hortic. Sci. 2002, 71, 738–746. [Google Scholar] [CrossRef]
- Alikhani, M.; Babakhani, B.; Golein, B.; Asadi, M.; Rahdari, P. Foliar application of potassium nitrate and 2, 4-dichlorophenoxyacetic acid affect some fruit splitting related characteristics and biochemical traits of mandarin cv.‘page’. EurAsian J. Biosci. 2020, 14, 4251–4260. [Google Scholar]
- Devy, N.F.; Dwiastuti, M.E.; Sugiyatno, A.; Ashari, H.; Endarto, O.; Triwiratno, A.; Martasari, C. The fruit peel anatomy, leaf nutrient content, and fruit quality of ‘Terigas’ mandarin in relation to fruit cracking. Emir. J. Food Agric. (EJFA) 2022, T34, 12. [Google Scholar]
- Chabbal, M.D.; Yfran-Elvira, M.D.L.M.; Giménez, L.I.; Martínez, G.C.; Llarens-Beyer, L.A.; Rodríguez, V.A. Control of fruit cracking in clementino mandarin plants. Cultiv. Trop. 2020, 41, e06. [Google Scholar]
- Sdoodee, S.; Rawee, C. Fruit splitting occurrence of Shogun mandarin (Citrus reticulata Blanco cv. Shogun) in southern Thailand and alleviation by calcium and boron sprays. Songklanakarin J. Sci. Technol. 2005, 27, 719–730. [Google Scholar]
- Tariq, M.; Sharif, M.; Shah, Z.; Khan, R. Effect of foliar application of micronutrients on the yield and quality of sweet orange (Citrus sinensis L.). Pak. J. Biol. Sci. 2007, 10, 1823–1828. [Google Scholar] [CrossRef]
- Devi, K.; Kumar, R.; Wali, V.K.; Bakshi, P.; Sharma, N.; Arya, V.M. Effect of foliar nutrition and growth regulators on nutrient status and fruit quality of Eureka lemon (Citrus limon). Indian J. Agric. Sci. 2018, 88, 704–708. [Google Scholar] [CrossRef]
- Rabe, E.; van Rensburg, P.; van der Walt, H.; Bower, J. Factors influencing preharvest fruit splitting in Ellendale (C. reticulata). HortScience 1990, 25, 1163–1183. [Google Scholar] [CrossRef]
- López-Arredondo, D.L.; Leyva-González, M.A.; González-Morales, S.I.; López-Bucio, J.; Herrera-Estrella, L. Phosphate nutrition: Improving low-phosphate tolerance in crops. Ann. Rev. Plant Biol. 2014, 65, 95–123. [Google Scholar] [CrossRef]
- Graham, J.H.; Syvertsen, J.P. Host determinants of mycorrhizal dependency of citrus rootstock seedlings. New Phytol. 1985, 101, 667–676. [Google Scholar] [CrossRef]
- Zekri, M.; Obreza, T. Phosphorus (P) for Citrus Trees: SL379/SS581, 7/2013. EDIS 2013, 2013, 1–4. [Google Scholar] [CrossRef]
- Guo, W.; Nazim, H.; Liang, Z.; Yang, D. Magnesium deficiency in plants: An urgent problem. Crop J. 2016, 4, 83–91. [Google Scholar] [CrossRef]
- Cowan, J.A. Structural and catalytic chemistry of magnesium-dependent enzymes. BioMetals 2002, 15, 225–235. [Google Scholar] [CrossRef]
- Conell, J. Citrus Nutrition; University of California, Cooperative Extension, Agriculture & Natural Resources Central Valley Region: Berkeley, CA, USA, 2018. [Google Scholar]
- Chen, Z.; Yan, W.; Sun, L.; Tian, J.; Liao, H. Proteomic analysis reveals growth inhibition of soybean roots by manganese toxicity is associated with alteration of cell wall structure and lignification. J. Proteom. 2016, 143, 151–160. [Google Scholar] [CrossRef]
- Kasim, W.A. Physiological consequences of structural and ultra-structural changes induced by Zn stress in Phaseolus vulgaris. I. Growth and photosynthetic apparatus. Int. J. Bot. 2007, 3, 15–22. [Google Scholar] [CrossRef]
- Dang, H.K.; Li, R.Q.; Sun, Y.H.; Zhang, X.W.; Li, Y.M. Absorption, accumulation and distribution of Zinc in highly-yielding winter wheat. Agric. Sci. China 2010, 9, 965–973. [Google Scholar] [CrossRef]
- Eman, A.A.; El Migeed, M.A.; Omayma, M.M. GA3 and zinc sprays for improving yield and fruit quality of Washington Navel orange trees grown under sandy soil conditions. Res. J. Agric. Bio Sci. 2007, 3, 498–503. [Google Scholar]
- Srivastava, A.K.; Singh, S. Boron nutrition in citrus-current status and future strategies—A review. Agric. Rev. 2005, 26, 173–186. [Google Scholar]
- Kumar, D.; Das, K.K.; Kumar, S. IMPORTANCE OF IRON (Fe) AND COPPER (Cu) FOR CITRUS. Marumegh 2017, 2, 12–15. [Google Scholar]
- Hippler, F.W.R.; Boaretto, R.M.; Dovis, V.L.; Quaggio, J.A.; Azevedo, R.A.; Mattos, D. Oxidative stress induced by Cu nutritional disorders in Citrus depends on nitrogen and calcium availability. Sci. Rep. 2018, 8, 1641. [Google Scholar] [CrossRef]
- Weichert, H.; von Jagemann, C.; Peschel, S.; Knoche, M.; Neumann, D.; Erfurth, W. Studies on water transport through the sweet cherry fruit surface: VIII. Effect of selected cations on water uptake and fruit cracking. J.-Am. Soc. Hortic. Sci. 2004, 129, 781–788. [Google Scholar] [CrossRef]
- Krajewski, A.; Ebert, T.; Schumann, A.; Waldo, L. Pre-Harvest Fruit Splitting of Citrus. Agronomy 2022, 12, 1505. [Google Scholar] [CrossRef]
- Greenberg, J.; Kaplan, I.; Fainzack, M.; Egozi, Y.; Giladi, B. Effects of auxin sprays on yield, fruit size, fruit splitting and the incidence of creasing of ‘Nova’ mandarin. Acta Hortic. 2006, 727, 249–254. [Google Scholar] [CrossRef]
- Sandhu, S. Improving lemon [Citrus limon (L.) Burm.] quality using growth regulators. J. Hortic. Sci. 2013, 8, 88–90. [Google Scholar] [CrossRef]
- Kaur, K.; Gupta, M.; Rattanpal, H.S.; Chahal, T.S.; Singh, G. Impact of foliar application of growth regulators on fruit splitting, yield and quality of daisy mandarin (Citrus reticulata). Indian J. Agric. Sci. 2024, 94, 181–186. [Google Scholar] [CrossRef]
- Habibi, S.; Ebadi, A.; Ladanmoghadam, A.R.; Rayatpanah, S. Effect of Plant Growth Regulators on Fruit Splinting in Thompson Navel Orange. Acta Sci. Pol. Hortorum Cultus 2021, 20, 83–92. [Google Scholar] [CrossRef]
- Stander, O.P.J.; Theron, K.I.; Cronje, P.J.R. Foliar 2, 4-dichlorophenoxy acetic acid (2, 4-d) application after physiological fruit drop reduces fruit splitting and increases fruit size in mandarin. In Proceedings of the XII International Symposium on Plant Bioregulators in Fruit Production 1042, Orlando, FL, USA, 28 July–1 August 2013; pp. 43–50. [Google Scholar]
- Stander, O.P.J.; Theron, K.I.; Cronjé, P.J. Foliar 2, 4-D application after physiological fruit drop reduces fruit splitting of mandarin. HortTechnology 2014, 24, 717–723. [Google Scholar] [CrossRef]
- Nirmala, F.D. Application of K, Ca, and Mg on peel thickness and fruit cracking incidence of citrus. Russ. J. Agric. Socio-Econ. Sci. 2019, 87, 45–56. [Google Scholar]
- Aliviela, V.; Zaragoza, S.; Primo-Millo, E.; Agusti, M. Hormonal control of splitting in ‘Nova’ mandarin fruit. J. Hortic. Sci. 1994, 69, 969–973. [Google Scholar] [CrossRef]







| Treatments | Concentration of the Reagent | |||
|---|---|---|---|---|
| Calcium Superphosphate (SSP)/% | EDTA-Fe/% | GA3/ppm | Pinolene/% | |
| TME | 0.5 | 0.006 | 0 | 0 |
| TG10 | 0.5 | 0.006 | 10 | 0 |
| TG20 | 0.5 | 0.006 | 20 | 0 |
| TG50 | 0.5 | 0.006 | 50 | 0 |
| TPA | 0 | 0 | 0 | 0.4 |
| CK | 0 | 0 | 0 | 0 |
| Fruit Type | Fruit Shape Index | Fruit Stem Diameter/cm | Peel Break Force/N |
|---|---|---|---|
| Cracked fruit | 0.86 ± 0.04 a | 0.29 ± 0.05 a | 10.39 ± 2.50 b |
| Normal fruit | 0.87 ± 0.05 a | 0.28 ± 0.05 a | 12.50 ± 2.54 a |
Disclaimer/Publisher’s Note: The statements, opinions and data contained in all publications are solely those of the individual author(s) and contributor(s) and not of MDPI and/or the editor(s). MDPI and/or the editor(s) disclaim responsibility for any injury to people or property resulting from any ideas, methods, instructions or products referred to in the content. |
© 2025 by the authors. Licensee MDPI, Basel, Switzerland. This article is an open access article distributed under the terms and conditions of the Creative Commons Attribution (CC BY) license (https://creativecommons.org/licenses/by/4.0/).
Share and Cite
Li, Y.; Jin, G.; Wen, M.; Zhu, X.; Zheng, Y. Mechanisms and Management Strategies for Satsuma Mandarin Fruit Cracking. Agronomy 2025, 15, 698. https://doi.org/10.3390/agronomy15030698
Li Y, Jin G, Wen M, Zhu X, Zheng Y. Mechanisms and Management Strategies for Satsuma Mandarin Fruit Cracking. Agronomy. 2025; 15(3):698. https://doi.org/10.3390/agronomy15030698
Chicago/Turabian StyleLi, Yongjie, Guoqiang Jin, Mingxia Wen, Xiaoting Zhu, and Yongqiang Zheng. 2025. "Mechanisms and Management Strategies for Satsuma Mandarin Fruit Cracking" Agronomy 15, no. 3: 698. https://doi.org/10.3390/agronomy15030698
APA StyleLi, Y., Jin, G., Wen, M., Zhu, X., & Zheng, Y. (2025). Mechanisms and Management Strategies for Satsuma Mandarin Fruit Cracking. Agronomy, 15(3), 698. https://doi.org/10.3390/agronomy15030698

