Physiological Changes and PP2A-C Expression Modulated by Waterlogging Conditions Are Organ-Specific in Tomato Seedlings
Abstract
1. Introduction
2. Materials and Methods
2.1. Plant Material and Growth Conditions
2.2. Histochemical Detection of Hydrogen Peroxide and Superoxide Anion
2.3. Photosynthetic Activity and Fluorescence of Chlorophyll a Measurement
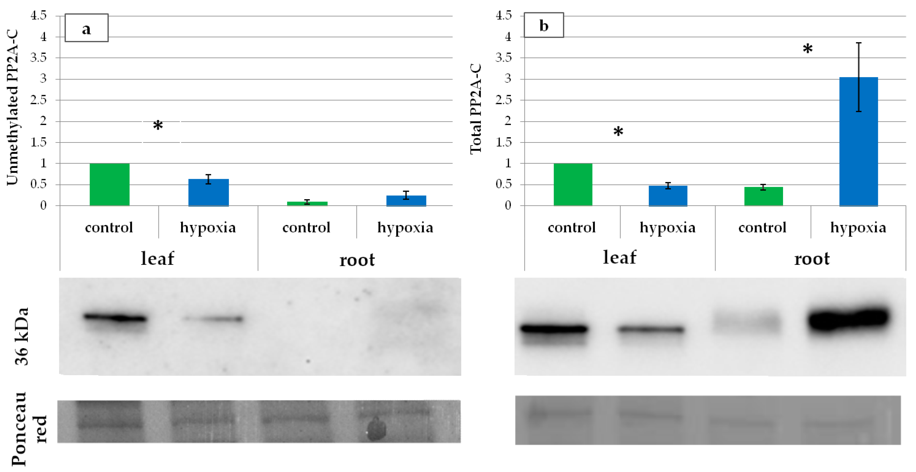
2.4. Expression of PP2A-C Subunit Protein Level (Protein Gel Blot Analysis)
2.5. PP2A-like Activity Assay
2.6. NR Activity Assay
2.7. The Concentration of Nitrate, Nitrite and Ammonium Ions, Free Amino Acids and Soluble Sugars
2.8. Statistical Analysis
3. Results
4. Discussion
5. Conclusions
Author Contributions
Funding
Data Availability Statement
Conflicts of Interest
References
- Phukan, U.J.; Mishra, S.; Shukla, R.K. Waterlogging and submergence stress: Affects and acclimation. Crit. Rev. Biotechnol. 2016, 36, 956–966. [Google Scholar] [CrossRef] [PubMed]
- Cochrane, D.W.; Shah, J.K.; Hebelstrup, K.H.; Igamberdiev, A.U. Expression of phytoglobin affects nitric oxide metabolism and energy state of barley plants exposed to anoxia. Plant Sci. 2017, 265, 124–130. [Google Scholar] [CrossRef] [PubMed]
- Blokhina, O.; Fagerstedt, K.V. Oxidative metabolism, ROS and NO under oxygen deprivation. Plant Physiol. Biochem. 2010, 48, 359–373. [Google Scholar] [CrossRef] [PubMed]
- Zahra, N.; Hafeez, M.B.; Shaukat, K.; Wahid, A.; Hussain, S.; Naseer, R.; Raza, A.; Iqbal, S.; Farooq, M. Hypoxia and Anoxia Stress: Plant responses and tolerance mechanisms. J. Agron. Crop Sci. 2021, 207, 249–284. [Google Scholar] [CrossRef]
- Schmidt, R.R.; Weits, D.A.; Feulner, C.F.J.; Van Dongen, J.T. Oxygen sensing and integrative stress signaling. Plant Physiol. 2018, 176, 1131–1142. [Google Scholar] [CrossRef]
- Irfan, M.; Hayat, S.; Hayat, Q.; Afroz, S.; Ahmad, A. Physiological and biochemical changes in plants under waterlogging. Protoplasma 2010, 241, 3–17. [Google Scholar] [CrossRef]
- Li, L.; Dong, X.; He, M.; Huang, M.; Cai, J.; Zhou, Q.; Zhong, Y.; Jiang, D.; Wang, X. Unravelling the role of adventitious roots under priming-induced tolerance to waterlogging stress in wheat. Environ. Exp. Bot. 2023, 216, 105516. [Google Scholar] [CrossRef]
- Sauter, M. Root responses to flooding. Curr. Opin. Plant Biol. 2013, 16, 282–286. [Google Scholar] [CrossRef]
- Chen, Y.; Zhang, H.; Chen, W.; Gao, Y.; Xu, K.; Sun, X.; Huo, L. The role of ethylene in the regulation of plant response mechanisms to waterlogging stress. Plant Cell Rep. 2024, 43, 278. [Google Scholar] [CrossRef]
- Voesenek, L.A.C.J.; Sasidharan, R. Ethylene–and oxygen signalling–drive plant survival during flooding. Plant Biol. 2013, 15, 426–435. [Google Scholar] [CrossRef]
- Sasidharan, R.; Hartman, S.; Liu, Z.; Martopawiro, S.; Sajeev, N.; van Veen, H.; Yeung, E.; Voesenek, L.A.C.J. Signal dynamics and interactions during flooding stress. Plant Physiol. 2018, 176, 1106–1117. [Google Scholar] [CrossRef]
- Friso, G.; van Wijk, K.J. Posttranslational protein modifications in plant metabolism. Plant Physiol. 2015, 169, 1469–1487. [Google Scholar] [PubMed]
- Arsova, B.; Watt, M.; Usadel, B. Monitoring of plant protein post-translational modifications using targeted proteomics. Front. Plant Sci. 2018, 9, 1168. [Google Scholar] [CrossRef] [PubMed]
- Bheri, M.; Mahiwal, S.; Sanyal, S.K.; Pandey, G.K. Plant protein phosphatases: What do we know about their mechanism of action? FEBS J. 2021, 288, 756–785. [Google Scholar] [CrossRef] [PubMed]
- Lillo, C.; Kataya, A.R.A.; Heidari, B.; Creighton, M.T.; Nemie-Feyissa, D.; Ginbot, Z.; Jonassen, E.M. Protein phosphatases PP2A, PP4 and PP6: Mediators and regulators in development and responses to environmental cues. Plant Cell Environ. 2014, 37, 2631–2648. [Google Scholar] [CrossRef] [PubMed]
- Heidari, B.; Nemie-Feyissa, D.; Lillo, C. Distinct Clades of Protein Phosphatase 2A Regulatory B’/B56 Subunits Engage in Different Physiological Processes. Int. J. Mol. Sci. 2023, 24, 12255. [Google Scholar] [CrossRef]
- Antolín-llovera, M.; Leivar, P.; Arro, M.; Ferrer, A.; Boronat, A.; Campos, N. Modulation of plant HMG-CoA reductase by protein phosphatase 2A. Positive and negative control at a key node of metabolism. Plant Signal. Behav. 2011, 6, 1127–1131. [Google Scholar] [CrossRef]
- Heidari, B.; Matre, P.; Nemie-Feyissa, D.; Meyer, C.; Rognli, O.A.; Møller, S.G.; Lillo, C. Protein Phosphatase 2A B55 and a regulatory subunits interact with nitrate reductase and are essential for nitrate reductase activation. Plant Physiol. 2011, 156, 165–172. [Google Scholar] [CrossRef]
- Uhrig, R.G.; Labandera, A.M.; Moorhead, G.B. Arabidopsis PPP family of serine/threonine protein phosphatases: Many targets but few engines. Trends Plant Sci. 2013, 18, 505–513. [Google Scholar] [CrossRef]
- Bu, S.L.; Liu, C.; Liu, N.; Zhao, J.L.; Ai, L.F.; Chi, H.; Li, K.L.; Chien, C.W.; Burlingame, A.L.; Zhang, S.W.; et al. Immunopurification and mass spectrometry identifies protein phosphatase 2A (PP2A) and BIN2/GSK3 as regulators of AKS transcription factors in Arabidopsis. Mol. Plant 2017, 10, 345–348. [Google Scholar] [CrossRef]
- Máthé, C.; M-Hamvas, M.; Freytag, C.; Garda, T. The protein phosphatase PP2A plays multiple roles in plant development by regulation of vesicle traffic—Facts and questions. Int. J. Mol. Sci. 2021, 22, 975. [Google Scholar] [CrossRef] [PubMed]
- Rahikainen, M.; Pascual, J.; Alegre, S.; Durian, G.; Kangasjärvi, S. PP2A phosphatase as a regulator of ROS signaling in plants. Antioxidants 2016, 5, 8. [Google Scholar] [CrossRef] [PubMed]
- Bheri, M.; Pandey, G.K. Protein phosphatases meet reactive oxygen species in plant signaling networks. Environ. Exp. Bot. 2019, 161, 26–40. [Google Scholar] [CrossRef]
- Máthé, C.; Garda, T.; Freytag, C. The Role of Serine-Threonine Protein Phosphatase PP2A in Plant Oxidative Stress Signaling—Facts and Hypotheses. Int. J. Mol. Sci. 2019, 20, 3028. [Google Scholar] [CrossRef]
- Freytag, C.; Garda, T.; Kónya, Z.; Márta, M.; Tóth-Várady, B.; Juhász, G.P.; Ujlaky-Nagy, L.; Kelemen, A.; Vasas, G.; Máthé, C. B” and C subunits of PP2A regulate the levels of reactive oxygen species and superoxide dismutase activities in Arabidopsis. Plant Physiol. Biochem. 2023, 195, 182–192. [Google Scholar] [CrossRef]
- País, S.M.; González, M.A.; Téllez-Iñón, M.T.; Capiati, D.A. Characterization of potato (Solanum tuberosum) and tomato (Solanum lycopersicum) protein phosphatases type 2A catalytic subunits and their involvement in stress responses. Planta 2009, 230, 13–25. [Google Scholar] [CrossRef]
- Yoon, J.T.; Ahn, H.K.; Pai, H.S. The subfamily II catalytic subunits of protein phosphatase 2A (PP2A) are involved in cortical microtubule organization. Planta 2018, 248, 1551–1567. [Google Scholar] [CrossRef]
- Guo, M.; Li, Z.; Wang, L.; Xu, T.; Huang, H.; Kanwar, M.K.; Ping, Y.; Zhou, J. BAG8 positively regulates cold stress tolerance by modulating photosystem, antioxidant system and protein protection in Solanum lycopersicum. Plant Physiol. Biochem. 2024, 206, 108267. [Google Scholar] [CrossRef]
- Hu, R.; Zhu, Y.; Wei, J.; Chen, J.; Shi, H.; Shen, G.; Zhang, H. Overexpression of PP2A-C5 that encodes the catalytic subunit 5 of protein phosphatase 2A in Arabidopsis confers better root and shoot development under salt conditions. Plant Cell Environ. 2017, 40, 150–164. [Google Scholar] [CrossRef]
- Sun, L.; Pehlivan, N.; Esmaeili, N.; Jiang, W.; Yang, X.; Jarrett, P.; Mishra, N.; Zhu, X.; Cai, Y.; Herath, M.; et al. Co-overexpression of AVP1 and PP2A-C5 in Arabidopsis makes plants tolerant to multiple abiotic stresses. Plant Sci. 2018, 274, 271–283. [Google Scholar] [CrossRef]
- Branco-Price, C.; Kaiser, K.A.; Jang, C.J.H.; Larive, C.K.; Bailey-Serres, J. Selective mRNA translation coordinates energetic and metabolic adjustments to cellular oxygen deprivation and reoxygenation in Arabidopsis thaliana. Plant J. 2008, 56, 743–755. [Google Scholar] [CrossRef] [PubMed]
- van Veen, H.; Vashisht, D.; Akman, M.; Girke, T.; Mustroph, A.; Reinen, E.; Hartman, S.; Kooiker, M.; van Tienderen, P.; Schranz, M.E.; et al. Transcriptomes of eight Arabidopsis thaliana accessions reveal core conserved, genotype-and organ-specific responses to flooding stress. Plant Physiol. 2016, 172, 668–689. [Google Scholar] [CrossRef] [PubMed]
- Stitt, M.; Gibon, Y. Why measure enzyme activities in the era of systems biology? Trends Plant Sci. 2014, 19, 256–265. [Google Scholar] [CrossRef] [PubMed]
- Chen, J.; Hu, R.; Zhu, Y.; Shen, G.; Zhang, H. Arabidopsis phosphotyrosyl phosphatase activator is essential for protein phosphatase 2a holoenzyme assembly and plays important roles in hormone signaling, salt stress response, and plant development. Plant Physiol. 2014, 166, 1519–1534. [Google Scholar] [CrossRef]
- Averkina, I.O.; Paponov, I.A.; Sánchez-Serrano, J.J.; Lillo, C. Specific PP2A Catalytic Subunits Are a Prerequisite for Positive Growth Effects in Arabidopsis Co-Cultivated with Azospirillum brasilense and Pseudomonas simiae. Plants 2021, 10, 66. [Google Scholar] [CrossRef]
- Creighton, M.T.; Kolton, A.; Kataya, A.R.A.; Grødem, J.M.; Averkina, I.O.; Heidari, B.; Lillo, C. Methylation of protein phosphatase 2A—Influence of regulators and environmental stress factors. Plant Cell Environ. 2017, 40, 2347–2358. [Google Scholar] [CrossRef]
- Meier, U.; Bleiholder, H.; Buhr, L.; Feller, C.; Hack, H.; Heß, M.; Lancashire, P.D.; Schnock, U.; Stauß, R.; Van Den Boom, T.; et al. The BBCH system to coding the phenological growth stages of plants–history and publications. J. Für Kult. 2009, 61, 41–52. [Google Scholar]
- Daudi, A.; O’Brien, J.A. Detection of hydrogen peroxide by DAB staining in Arabidopsis leaves. Bio-Protocol 2012, 2, e263. [Google Scholar] [CrossRef]
- Kumar, D.; Yusuf, M.A.; Singh, P.; Sardar, M.; Sarin, N.B. Histochemical detection of superoxide and H2O2 accumulation in Brassica juncea seedlings. Bio-Protocol 2014, 4, e1108. [Google Scholar] [CrossRef]
- Stirbet, A.; Lazár, D.; Kromdijk, J.; Govindjee. Chlorophyll a fluorescence induction: Can just a one-second measurement be used to quantify abiotic stress responses? Photosynthetica 2018, 56, 86–104. [Google Scholar] [CrossRef]
- Bradford, M.M. A rapid and sensitive method for the quantitation microgram quantities of protein utilizing the principle of protein-dye binding. Anal. Biochem. 1976, 72, 248–254. [Google Scholar] [CrossRef] [PubMed]
- Swingle, M.; Ni, L.; Honkanen, R.E. Small-molecule inhibitors of Ser/Thr protein phosphatises. Protein Phosphatase Protocols. In Protein Phosphatase Protocols. Methods in Molecular Biology; Moorhead, G., Ed.; Springer: Totowa, NJ, USA, 2007; Volume 365, pp. 23–38. [Google Scholar]
- Mercan, F.; Bennett, A.M. Analysis of protein tyrosine phosphatases and substrates. Curr. Protoc. Mol. Biol. 2010, 91, 18.16.1–18.16.17. [Google Scholar] [CrossRef]
- Creighton, M.T.; Sanmartın, M.; Kataya, A.R.A.; Averkina, I.O.; Heidari, B.; Nemie-Feyissa, D.; Sánchez-Serrano, J.J.; Lillo, C. Light regulation of nitrate reductase by catalytic subunits of protein phosphatase 2A. Planta 2017, 246, 701–710. [Google Scholar] [CrossRef] [PubMed]
- Chutipongtanate, S.; Watcharatanyatip, K.; Homvises, T.; Jaturongkakul, K.; Thongboonkerd, V. Systematic comparisons of various spectrophotometric and colorimetric methods to measure concentrations of protein, peptide and amino acid: Detectable limits, linear dynamic ranges, interferences, practicality and unit costs. Talanta 2012, 98, 123–129. [Google Scholar] [CrossRef] [PubMed]
- Maness, N. Extraction and analysis of soluble carbohydrates. Methods Mol. Biol. 2010, 639, 341–370. [Google Scholar]
- Mittler, R. ROS are good. Trends Plant Sci. 2017, 22, 11–19. [Google Scholar] [CrossRef]
- Galviz, Y.; Souza, G.M.; Lüttge, U. The biological concept of stress revisited: Relations of stress and memory of plants as a matter of space-time. Theor. Exp. Plant Physiol. 2022, 34, 239–264. [Google Scholar] [CrossRef]
- Loreti, E.; van Veen, H.; Perata, P. Plant responses to flooding stress. Curr. Opin. Plant Biol. 2016, 33, 64–71. [Google Scholar] [CrossRef]
- Else, M.A.; Janowiak, F.; Atkinson, C.J.; Jackson, M.B. Root signals and stomatal closure in relation to photosynthesis, chlorophyll a fluorescence and adventitious rooting of flooded tomato plants. Ann. Bot. 2009, 103, 313–323. [Google Scholar] [CrossRef]
- Horchani, F.; Hajri, R.; Khayati, H.; Aschi-Smiti, S. Physiological responses of tomato plants to the combined effect of root hypoxia and NaCl-salnity. J. Phytol. 2010, 2, 36–46. [Google Scholar]
- De Ollas, C.; González-Guzmán, M.; Pitarch, Z.; Matus, J.T.; Candela, H.; Rambla, J.L.; Granell, A.; Gómez-Cadenas, A.; Arbona, V. Identification of ABA-mediated genetic and metabolic responses to soil flooding in tomato (Solanum lycopersicum L. Mill). Front. Plant Sci. 2021, 12, 613059. [Google Scholar] [CrossRef] [PubMed]
- Kläring, H.P.; Zude, M. Sensing of tomato plant response to hypoxia in the root environment. Sci. Hortic. 2009, 122, 17–25. [Google Scholar] [CrossRef]
- Fiebig, A.; Dodd, I.C. Inhibition of tomato shoot growth by over-irrigation is linked to nitrogen deficiency and ethylene. Physiol. Plant. 2016, 156, 70–83. [Google Scholar] [CrossRef] [PubMed]
- Ou, L.J.; Dai, X.Z.; Zhang, Z.Q.; Zou, X.X. Responses of pepper to waterlogging stress. Photosynthetica 2011, 49, 339–345. [Google Scholar] [CrossRef]
- Nunes-Nesi, A.; Fernie, A.R.; Stitt, M. Metabolic and signaling aspects underpinning the regulation of plant carbon nitrogen interactions. Mol. Plant 2010, 3, 973–996. [Google Scholar] [CrossRef]
- Voesenek, L.A.C.J.; Bailey-Serres, J. Flooding tolerance: O2 sensing and survival strategies. Curr. Opin. Plant Biol. 2013, 16, 647–653. [Google Scholar] [CrossRef] [PubMed]
- Mustroph, A.; Barding, G.A., Jr.; Kaiser, K.A.; Larive, C.K.; Bailey-Serres, J. Characterization of distinct root and shoot responses to low-oxygen stress in Arabidopsis with a focus on primary C- and N-metabolism. Plant Cell Environ. 2014, 37, 2366–2380. [Google Scholar] [CrossRef]
- Mittler, R.; Zandalinas, S.I.; Fichman, Y.; Van Breusegem, F. Reactive oxygen species signalling in plant stress responses. Nat. Rev. Mol. Cell Biol. 2022, 23, 663–679. [Google Scholar] [CrossRef]
- Niu, L.; Jiang, F.; Yin, J.; Wang, Y.; Li, Y.; Yu, X.; Song, X.; Ottosen, C.-O.; Rosenqvist, E.; Mittler, R.; et al. ROS-mediated waterlogging memory, induced by priming, mitigates photosynthesis inhibition in tomato under waterlogging stress. Front. Plant Sci. 2023, 14, 1238108. [Google Scholar] [CrossRef]
- Ahsan, N.; Lee, D.; Lee, S.; Young, K.; Dong Bah, J.; Suk Choi, M.; Lee, I.J.; Renaut, J.; Lee, N.H. A comparative proteomic analysis of tomato leaves in response to waterlogging stress. Physiol. Plant. 2007, 131, 555–570. [Google Scholar] [CrossRef]
- Ahsan, N.; Lee, D.G.; Lee, S.H.; Lee, K.W.; Bahk, J.D.; Lee, B.H. A proteomic screen and identification of waterlog-ging-regulated proteins in tomato roots. Plant Soil 2007, 295, 37–51. [Google Scholar] [CrossRef]
- Umićević, S.; Kukavica, B.; Maksimović, I.; Gašić, U.; Milutinović, M.; Antić, M.; Mišić, D. Stress response in tomato as influenced by repeated waterlogging. Front. Plant Sci. 2024, 15, 1331281. [Google Scholar] [CrossRef] [PubMed]
- Yiu, J.C.; Tseng, M.J.; Liu, C.W. Exogenous catechin increases antioxidant enzyme activity and promotes flooding tolerance in tomato (Solanum lycopersicum L.). Plant Soil 2011, 344, 213–225. [Google Scholar] [CrossRef]
- Allègre, A.; Silvestre, J.; Morard, P.; Kallerhoff, J.; Pinelli, E. Nitrate reductase regulation in tomato roots by exogenous nitrate: A possible role in tolerance to long-term root anoxia. J. Exp. Bot. 2004, 55, 2625–2634. [Google Scholar] [CrossRef]
- Horchani, F.; Aschi-Smiti, S. Prolonged root hypoxia effects on enzymes involved in nitrogen assimilation pathway in tomato plants. Plant Signal. Behav. 2010, 12, 1583–1589. [Google Scholar] [CrossRef]
- Horchani, F.; Aschi-Smiti, S.; Brouquisse, R. Involvement of nitrate reduction in the tolerance of tomato (Solanum lycopersicum L.) plants to prolonged root hypoxia. Acta Physiol. Plant. 2010, 32, 1113–1123. [Google Scholar] [CrossRef]
- Chamizo-Ampudia, A.; Sanz-Luque, E.; Llamas, A.; Galvan, A.; Fernandez, E. Nitrate reductase regulates plant nitric oxide homeostasis. Trends Plant Sci. 2017, 22, 163–174. [Google Scholar] [CrossRef]
- Thukral, K.; Kaur, K.; Suneja, Y.; Kaur, G. Distinctive characteristics of nitrogen metabolism in teosinte versus modern maize for water-logging tolerance. J. Plant Growth Regul. 2023, 42, 4193–4206. [Google Scholar] [CrossRef]
- Horchani, F.; Hajri, R.; Khayati, H.; Brouquisse, R.; Aschi-Smiti, S. Does the source of nitrogen affect the response of subterranean clover to prolonged root hypoxia? J. Plant Nutr. Soil Sci. 2010, 173, 275–283. [Google Scholar] [CrossRef]
- País, S.M.; Téllez-Iñón, M.T.; Capiati, D.A. Serine/threonine protein phosphatases type 2A and their roles in stress signaling. Plant Signal. Behav. 2009, 11, 1013–1015. [Google Scholar] [CrossRef]
- Creighton, M.T.; Nemie-Feyissa, D.; Zaman, N.; Johansen, S.S.; Dysjaland, H.; Heidari, B.; Lillo, C. Loss of LEUCINE CARBOXYL METHYLTRANSFERASE 1 interferes with metal homeostasis in Arabidopsis and enhances susceptibility to environmental stresses. J. Plant Physiol. 2022, 279, 153843. [Google Scholar] [CrossRef]







| Parameter | Roots | Leaves | ||
|---|---|---|---|---|
| (mg 100 g−1 FW) | Control | Hypoxia | Control | Hypoxia |
| NH4+ | 2.6 ± 0.1 | 2.7 ± 0.3 | 5.9 ± 0.4 | 5.3 ± 0.2 |
| NO3− | 237 ± 31 | 267 ± 44 | 208 ± 56 | 279 ± 55 |
| NO2− | 0.05 ± 0.01 | 0.02 ± 0.00 * | 0.14 ± 0.03 | 0.08 ± 0.01 |
| Free amino acids | 22 ± 2 | 51 ± 4 * | 79 ± 4 | 109 ± 8 * |
| Soluble sugars | 420 ± 29 | 332 ± 47 | 797 ± 43 | 822 ± 28 |
Disclaimer/Publisher’s Note: The statements, opinions and data contained in all publications are solely those of the individual author(s) and contributor(s) and not of MDPI and/or the editor(s). MDPI and/or the editor(s) disclaim responsibility for any injury to people or property resulting from any ideas, methods, instructions or products referred to in the content. |
© 2025 by the authors. Licensee MDPI, Basel, Switzerland. This article is an open access article distributed under the terms and conditions of the Creative Commons Attribution (CC BY) license (https://creativecommons.org/licenses/by/4.0/).
Share and Cite
Kołton, A.; Czaja, M.A.; Creighton, M.T.; Lillo, C.; Wiszniewska, A.; Czernicka, M.; Szymonik, K. Physiological Changes and PP2A-C Expression Modulated by Waterlogging Conditions Are Organ-Specific in Tomato Seedlings. Agronomy 2025, 15, 507. https://doi.org/10.3390/agronomy15030507
Kołton A, Czaja MA, Creighton MT, Lillo C, Wiszniewska A, Czernicka M, Szymonik K. Physiological Changes and PP2A-C Expression Modulated by Waterlogging Conditions Are Organ-Specific in Tomato Seedlings. Agronomy. 2025; 15(3):507. https://doi.org/10.3390/agronomy15030507
Chicago/Turabian StyleKołton, Anna, Monika A. Czaja, Maria T. Creighton, Cathrine Lillo, Alina Wiszniewska, Małgorzata Czernicka, and Kamil Szymonik. 2025. "Physiological Changes and PP2A-C Expression Modulated by Waterlogging Conditions Are Organ-Specific in Tomato Seedlings" Agronomy 15, no. 3: 507. https://doi.org/10.3390/agronomy15030507
APA StyleKołton, A., Czaja, M. A., Creighton, M. T., Lillo, C., Wiszniewska, A., Czernicka, M., & Szymonik, K. (2025). Physiological Changes and PP2A-C Expression Modulated by Waterlogging Conditions Are Organ-Specific in Tomato Seedlings. Agronomy, 15(3), 507. https://doi.org/10.3390/agronomy15030507

