Development and Evaluation of a Loop-Mediated Isothermal Amplifcation (LAMP) Assay for Specific and Sensitive Detection of Puccinia melanocephala Causing Brown Rust in Sugarcane
Abstract
1. Introduction
2. Materials and Methods
2.1. Isolates and Extraction of DNA
2.2. LAMP Primer Design and Screening
2.3. Optimization of LAMP Assays
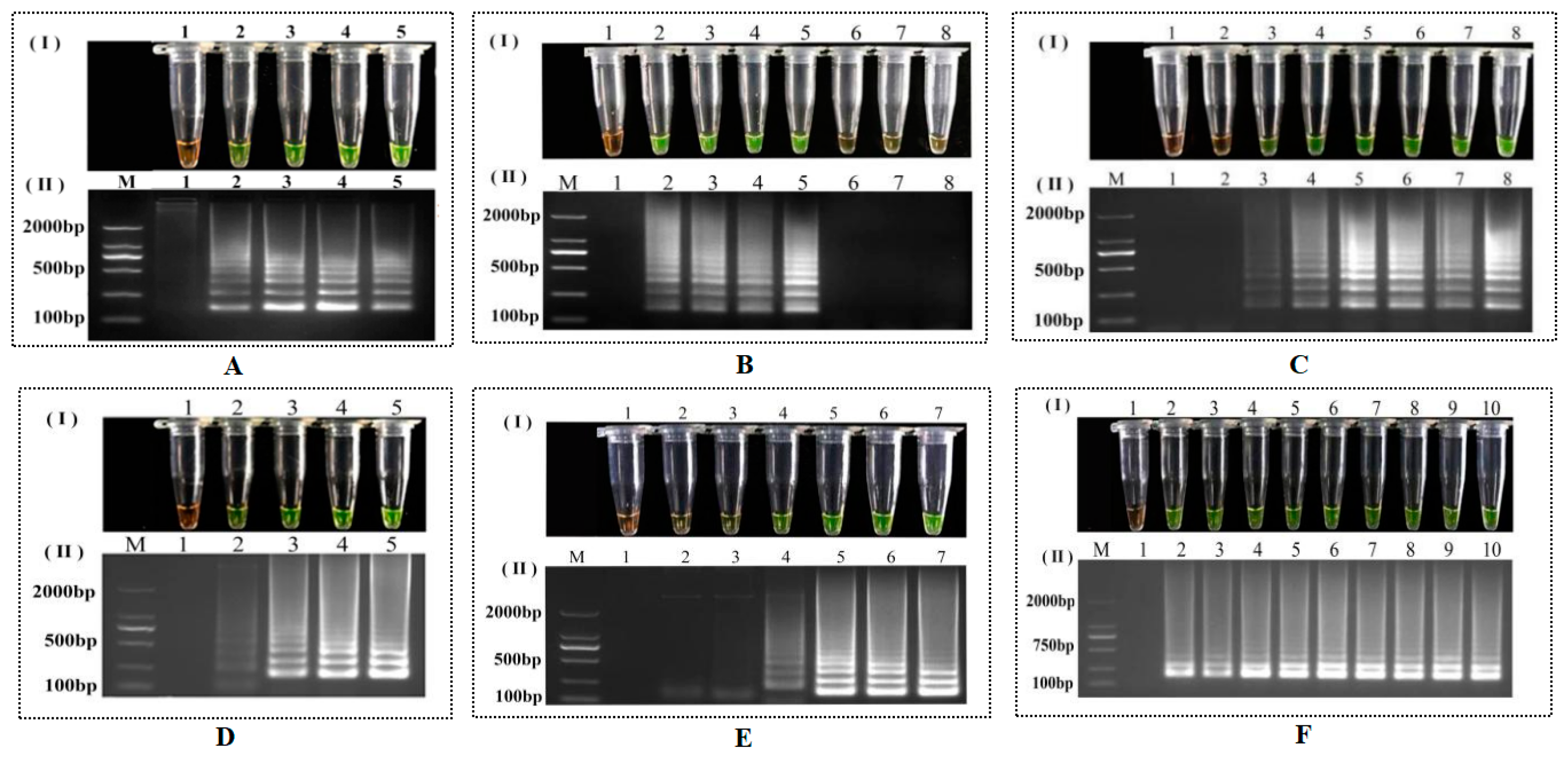
2.4. Validation of Specificity and Sensitivity
2.5. Field Application of the LAMP Assay
3. Results
3.1. LAMP Primer Design and Screening
3.2. Optimization of LAMP
3.3. Specificity and Sensitivity of the LAMP Assay
3.4. Evaluation of LAMP Using Field Samples
4. Discussion
5. Conclusions
Supplementary Materials
Author Contributions
Funding
Data Availability Statement
Conflicts of Interest
References
- Formann, S.; Hahn, A.; Janke, L.; Stinner, W.; Strauber, H.; Logroño, W.; Nikolausz, M. Beyond sugar and ethanol production: Value generation opportunities through sugarcane residues. Front. Energy Res. 2020, 8, 579577. [Google Scholar] [CrossRef]
- Viswanathan, R.; Rao, G.P. Disease scenario and management of major sugarcane diseases in India. Sugar Tech 2011, 13, 336–353. [Google Scholar] [CrossRef]
- Li, Y.R.; Yang, L.T. Research and development priorities for sugar industry of China: Recent research highlights. Sugar Tech 2015, 17, 9–12. [Google Scholar] [CrossRef]
- Ovalle, W.; Viswanathan, R. Sustaining sugarcane production in Guatemala and Nicaragua through efficient disease management approaches. Sugar Tech 2020, 22, 361–366. [Google Scholar] [CrossRef]
- Li, X.; Xu, C.; Mao, J.; Liu, H.; Li, C.; Liu, X.; Lin, X.; Kong, C.; Lu, X. Detection of key brown rust resistance gene, Bru1, in 200 sugarcane (Saccharum L.) ancestral species and landraces using a four-primer molecular marker. Sugar Tech 2021, 23, 838–842. [Google Scholar] [CrossRef]
- Wang, X.Y.; Li, W.F.; Huang, Y.K.; Lu, X.; Luo, Z.M.; Yin, J.; Shan, H.L.; Zhang, R.Y. Evaluation of sugarcane introgression lines for resistance to brown rust disease caused by Puccinia melanocephala. Trop. Plant Pathol. 2013, 38, 97–101. [Google Scholar] [CrossRef]
- Avellaneda, M.C.; Hoy, J.W.; Pontif, M.J. Screening for resistance to sugarcane brown rust with controlled conditions inoculation. Plant Dis. 2015, 99, 1633–1639. [Google Scholar] [CrossRef]
- Chen, Q.L. Sugarcane Disease in the World; Agriculture Press: Beijing, China, 1982; pp. 34–40. [Google Scholar]
- Li, W.F.; Shan, H.L.; Zhang, R.Y.; Pu, H.C.; Wang, X.Y.; Cang, X.Y.; Yin, J.; Luo, Z.M.; Huang, Y.K. Identification of field resistance and molecular detection of the brown rust resistance gene Bru 1 in new elite sugarcane varieties in China. Crop Prot. 2018, 103, 46–50. [Google Scholar] [CrossRef]
- Wang, X.Y.; Li, W.F.; Huang, Y.K.; Shan, H.L.; Jiong, Y. Developing genetically segregating populations for localization of novel sugarcane brown rust resistance genes. Euphytica 2019, 215, 159. [Google Scholar] [CrossRef]
- Wang, H.B.; Chen, P.H.; Yang, Y.Q.; D’Hont, A.; Lu, Y.H. Molecular insights into the origin of the brown rust resistance gene Bru1 among Saccharum species. Theor. Appl. Genet. 2017, 130, 2131–2443. [Google Scholar] [CrossRef]
- Chaulagain, B.; Raid, R.N.; Rott, P. Timing and frequency of fungicide applications for the management of sugarcane brown rust. Crop Prot. 2019, 124, 104826. [Google Scholar] [CrossRef]
- Koch, G.; Ruaro, L.; Calegario, R.F.; Bespalhok, J.C.; Daros, E.; Oliveira, R.A.d.; Duarte, H.D.S. Control of orange rust and brown rust of sugarcane with systemic fungicides. Sugar Tech 2021, 23, 606–614. [Google Scholar] [CrossRef]
- Chandra, A.; Keizerweerd, A.T.; Grisham, M.P. Detection of Puccinia kuehnii causing sugarcane orange rust with a loop-mediated isothermal amplification-based assay. Mol. Biotechnol. 2016, 58, 188–196. [Google Scholar] [CrossRef]
- Salcedo, A.F.; Purayannur, S.; Standish, J.R.; Miles, T.; Thiessen, L.; Quesada-Ocampo, L.M. Fantastic downy mildew patho- gens and how to find them: Advances in detection and diagnostics. Plants 2021, 10, 435. [Google Scholar] [CrossRef] [PubMed]
- Patel, R.; Mitra, B.; Vinchurkar, M.; Adami, A.; Patkar, R.; Giacomozzi, F.; Lorenzelli, L.; Baghini, M.S. Review of recent advances in plant-pathogen detection systems. Heliyon 2022, 8, e11855. [Google Scholar] [CrossRef]
- White, T.J.; Bruns, T.; Lee, S.; Taylor, J. Amplification and direct sequencing of fungal ribosomal RNA genes for phylogenetics. In PCR Protocols: A Guide to Methods and Applications; Academic Press Inc.: New York, NY, USA, 1990; pp. 315–322. [Google Scholar]
- Glynn, N.C.; Dixon, L.J.; Castlebury, L.A.; Szabo, L.J.; Comstock, J.C. PCR assays for the sugarcane rust pathogens Puccinia kuehnii and P. melanocephala and detection of a SNP associated with geographical distribution in P. kuehnii. Plant Pathol. 2010, 59, 703–711. [Google Scholar] [CrossRef]
- Wang, H.; Wu, W.H.; Yang, X.G.; Yang, X.F.; Li, R.; Zheng, J.L.; Huang, X.; Liang, Y.Q.; He, C.P.; Yi, K.X. Establishment of a nested PCR detection system of Puccinia melanocephala sydow causing sugarcane brown rust disease. Chin. J. Trop. Crops 2017, 38, 2334–2339. [Google Scholar]
- Wu, W.H.; Liu, B.H.; Lu, P.P.; Liang, Y.Q.; He, C.P.; Li, R.; Zheng, J.L.; Huang, X.; Liang, Y.Q.; He, C.P.; et al. Establishment of single tube nested PCR detection system for Puccinia melanocephala. Sugar Crops China 2022, 44, 1–7. [Google Scholar]
- Shen, L.; Huang, M.; Fang, A.; Yang, Y.; Yu, Y.; Bi, C. Loop-mediated isothermal amplification for the rapid detection of the mutation of carbendazim-resistant isolates in Didymella bryoniae. Agronomy 2022, 12, 2057. [Google Scholar] [CrossRef]
- Notomi, T.; Okayama, H.; Masubuchi, H.; Yonekawa, T.; Watanabe, K.; Amino, N.; Hase, T. Loop-mediated isothermal amplification of DNA. Nucleic Acids Res. 2000, 28, E63. [Google Scholar] [CrossRef]
- Ortega, S.F.; Tomlinson, J.; Hodgetts, J.; Spadaro, D.; Gullino, M.L.; Boonham, N. Development of loop-mediated isothermal amplification assays for the detection of seedborne fungal pathogens Fusarium fujikuroi and Magnaporthe oryzae in rice seed. Plant Dis. 2018, 102, 1549–1558. [Google Scholar] [CrossRef] [PubMed]
- Wang, T.; Ji, H.; Wang, X.; Cheng, Y.; Guo, L.; Xu, J.; Gao, C. Development of a loop-mediated isothermal amplification method for the rapid detection of Phytopythium vexans. Front. Microbiol. 2021, 12, 720485. [Google Scholar] [CrossRef] [PubMed]
- Shu, R.; Yin, X.; Long, Y.; Yuan, J.; Zhou, H. Detection and control of Pantoea agglomerans causing plum bacterial shot-hole disease by loop-mediated isothermal amplification technique. Front. Microbiol. 2022, 13, 896567. [Google Scholar] [CrossRef] [PubMed]
- Bertacca, S.; Caruso, A.G.; Trippa, D.; Marchese, A.; Giovino, A.; Matic, S.; Noris, E.; Ambrosio, M.I.F.S.; Alfaro, A.; Panno, S.; et al. Development of a real-time loop-mediated isothermal amplification assay for the rapid detection of Olea Europaea geminivirus. Plants 2022, 11, 660. [Google Scholar] [CrossRef] [PubMed]
- He, Q.; Wang, D.; Tang, B.; Wang, J.; Zhang, D.; Liu, Y.; Cheng, F. Rapid and sensitive detection of Meloidogyne gram-inicola in soil using conventional PCR, Loop-Mediated Isothermal Amplification, and Real-Time PCR methods. Plant Dis. 2021, 105, 456–463. [Google Scholar] [CrossRef] [PubMed]
- Khan, M.; Li, B.; Jiang, Y.; Weng, Q.; Chen, Q. Evaluation of different PCR-based assays and LAMP method for rapid detection of Phytophthora infestans by targeting the Ypt1 gene. Front. Microbiol. 2017, 8, 1920. [Google Scholar] [CrossRef] [PubMed]
- Frisch, L.M.; Mann, M.A.; Marwk, D.N.; Niessen, L. Development and optimization of a loop-mediated isothermal amplifi- cation (LAMP) assay for the species-specific detection of Penicillium expansum. Food Microbiol. 2021, 95, 103681. [Google Scholar] [CrossRef] [PubMed]
- Verma, G.; Sharma, S.; Raigond, B.; Pathania, S.; Naga, K.; Chakrabarti, S.K. Development and application of fluorescent Loop mediated isothermal amplification technique to detect Phytophthora infestans from potato tubers targeting ITS-1 region. 3 Biotech 2019, 9, 345. [Google Scholar] [CrossRef] [PubMed]
- Chandra, A.; Keizerweerd, A.T.; Que, Y.X.; Grisham, M.P. Loop-mediated isothermal amplification (LAMP) based detection of Colletotrichum falcatum causing red rot in sugarcane. Mol. Biol. Rep. 2015, 42, 1309–1316. [Google Scholar] [CrossRef]
- Shen, W.; Xu, G.; Sun, L.; Zhang, L.; Jiang, Z. Development of a loop-mediated isothermal amplification assay for rapid and sensitive detection of Sporisorium scitamineum in sugarcane. Ann. Appl. Biol. 2016, 168, 321–327. [Google Scholar] [CrossRef]
- Choudhary, P.; Goswami, S.K.; Chakdar, H.; Verma, S.; Thapa, S.; Srivastava, A.K.; Saxena, A.K. Colorimetric loop-mediated isothermal amplification assay for detection and ecological monitoring of Sarocladium oryzae, an important seed-borne pathogen of rice. Front. Plant Sci. 2022, 13, 936766. [Google Scholar] [CrossRef] [PubMed]
- Zatti, M.D.S.; Arantes, T.D.; Fernandes, J.A.L.; Bay, M.B.; Milan, E.P.; Naliato, G.F.S.; Theodoro, R.C. Loop-mediated isother- mal amplification and nested PCR of the internal transcribed spacer (ITS) for Histoplasma capsulatum detection. PLoS Negl. Trop. Dis. 2019, 13, e0007692. [Google Scholar] [CrossRef]
- Zhang, X.; Harrington, T.C.; Batzer, J.C.; Kubota, R.; Peres, N.A.; Gleason, M.L. Detection of Colletotrichum acutatum Sensu Lato on strawberry by loop-mediated isothermal amplification. Plant Dis. 2016, 100, 1804–1812. [Google Scholar] [CrossRef]
- Yang, X.; Qi, Y.J.; Al-Attala, M.N.; Gao, Z.H.; Yi, X.K.; Zhang, A.F.; Zang, H.Y.; Gu, C.Y.; Gao, T.C.; Chen, Y. Rapid detection of alternaria species involved in pear black spot using Loop-mediated isothermal amplification. Plant Dis. 2019, 103, 3002–3008. [Google Scholar] [CrossRef]
- Kong, X.J.; Qin, W.T.; Huang, X.Q.; Kong, F.F.; Schoen, C.D.; Feng, J.; Wang, Z.Y.; Zhang, H. Development and application of loop-mediated isothermal amplification (LAMP) for detection of Plasmopara viticola. Sci. Rep. 2016, 6, 28935. [Google Scholar] [CrossRef]
- Xiong, Q.; Zhang, L.L.; Zheng, X.Y.; Qian, Y.L.; Zhang, Y.X.; Zhao, L.J.; Cheng, Q. Rapid and specific detection of the poplar black spot disease caused by Marssonina brunnea using loop-mediated isothermal amplification assay. Plants 2021, 10, 253. [Google Scholar] [CrossRef] [PubMed]
- Lan, C.; Gan, L.; Dai, Y.; Liu, X.; Yang, X. Development of loop-mediated isothermal amplification (LAMP) assay for specific and sensitive detection of Mycocentrospora acerina (Hart.) causing round leaf spot disease in sanqi (Panax notoginseng). Horticulturae 2022, 8, 1060. [Google Scholar] [CrossRef]
- Gupta, S.; Aggarwal, R.; Sharma, S.; Gurjar, M.S.; Bashyal, B.M.; Saharan, M.S.; Agarwal, S. Multiple sequence alignment and phylogenetic analysis of wheat pathogens using conserved genes for identification and development of diagnostic markers. Cereal Res. Commun. 2021, 50, 63–472. [Google Scholar] [CrossRef]
- Aglietti, C.; Meinecke, C.D.; Ghelardini, L.; Barnes, I.; van der Nest, A.; Villari, C. Rapid detection of pine pathogens Lecanosticta acicola, Dothistroma pini and D. septosporum on needles by probe-based LAMP assays. Forests 2021, 12, 479. [Google Scholar] [CrossRef]
- Su, Y.; Yang, Y.; Peng, Q.; Zhou, D.; Chen, Y.; Wang, Z.; Xu, L.P.; Que, Y.X. Development and application of a rapid and visual loop-mediated isothermal amplification for the detection of Sporisorium scitamineum in sugarcane. Sci. Rep. 2016, 6, 23994. [Google Scholar] [CrossRef]
- Guo, P.P.; Huang, S.L.; Zhang, Y.W.; Fu, P.; Li, X.N.; Li, J.H.; Wu, W.X. Loop mediated isothermal amplification for sensitive and rapid detection of Mycoplasma hyopneumoniae. J. Agric. Biotechnol. 2013, 29, 607–616. [Google Scholar]
- Fukuta, S.; Takahashi, R.; Kuroyanagi, S.; Ishiguro, Y.; Miyake, N.; Nagai, H.; Suzuki, H.; Tsuji, T.; Hashizume, F.; Watanabe, H.; et al. Development of loop-mediated isothermal amplification assay for the detection of Pythium myriotylum. Lett. Appl. Microbiol. 2014, 59, 49–57. [Google Scholar] [CrossRef] [PubMed]
- Feng, W.; Ishiguro, Y.; Hotta, K.; Watanabe, H.; Suga, H.; Kageyama, K. Simple detection of Pythium irregulare using loop-mediated isothermal amplification assay. Fems Microbiol. Lett. 2015, 362, 174. [Google Scholar] [CrossRef] [PubMed]
- Rizzo, D.; Moricca, S.; Bracalini, M.; Benigno, A.; Bernardo, U.; Luchi, N.; Da Lio, D.; Nugnes, F.; Cappellini, G.; Salemi, C.; et al. Rapid detection of Pityophthorus juglandis (Blackman) (Coleoptera, Curculionidae) with the loop-mediated isothermal amplification (LAMP) method. Plants 2021, 10, 1048. [Google Scholar] [CrossRef] [PubMed]
- Katoh, H.; Yamazaki, S.; Fukuda, T.; Sonoda, S.; Nishigawa, H.; Natsuaki, T. Detection of Fusarium oxysporum f. sp. fragariae by using loop-mediated isothermal amplificaton. Plant Dis. 2021, 105, 1072–1079. [Google Scholar]
- Robinson-McCarthy, L.R.; Mijalis, A.J.; Filsinger, G.T.; De Puig, H.; Donghia, N.M.; Schaus, T.E.; Rasmussen, R.A.; Ferreira, R.; Lunshof, J.E.; Chao, G.; et al. Laboratory-generated DNA can cause anomalous pathogen diagnostic test results. Microbiol. Spectr. 2021, 9, e00313-21. [Google Scholar] [CrossRef]







| Location | No. | Strains | LAMP | Nested PCR | Conventional PCR |
|---|---|---|---|---|---|
| Guangxi Province | |||||
| Longzhou | 1 | XLZ-PM1 | ● | ● | ● |
| 2 | XLZ-PM2 | ● | ● | ○ | |
| 3 | XLZ-PM3 | ○ | ○ | ● | |
| 4 | XLZ-PM4 | ● | ● | ○ | |
| 5 | XLZ-PM5 | ||||
| Chongzuo | 1 | XLZ-PM1 | ● | ● | ● |
| 2 | XLZ-PM2 | ● | ● | ○ | |
| 3 | XLZ-PM3 | ||||
| 4 | XLZ-PM4 | ● | ● | ● | |
| Yunnan Province | |||||
| Mangshi | 1 | NMS-PM1 | ● | ● | ● |
| 2 | NMS-PM2 | ● | ● | ○ | |
| 3 | NMS-PM3 | ||||
| 4 | NMS-PM4 | ● | ● | ● | |
| 5 | NMS-PM5 | ● | ● | ● | |
| 6 | NMS-PM6 | ||||
| Guangdong Province | |||||
| Leizhou | 1 | DLZ-PM1 | ● | ● | ● |
| 2 | DLZ-PM2 | ● | ● | ● | |
| 3 | DLZ-PM3 | ● | ● | ● | |
| 4 | DLZ-PM4 | ● | ● | ● | |
| 5 | DLZ-PM6 | ● | ● | ● | |
| 6 | DLZ-PM7 | ● | ● | ● | |
| 7 | DLZ-PM8 | ● | ● | ● | |
| 8 | DLZ-PM9 | ● | ● | ● | |
| 9 | DLZ-PM10 | ● | ● | ● | |
| 10 | DLZ-PM11 | ● | ● | ● | |
| 11 | DLZ-PM12 | ● | ● | ● | |
| 12 | DLZ-PM14 | ● | ● | ● | |
| 13 | DLZ-PM15 | ● | ● | ● | |
| Xuwen | 1 | DXW-PM17 | ● | ● | ○ |
| 2 | DXW-PM19 | ● | ● | ○ | |
| 3 | DXW-PM20 | ● | ● | ○ | |
| 4 | DXW-PM22 | ● | ● | ○ | |
| 5 | DXW-PM23 | ● | ● | ○ | |
| 6 | DXW-PM24 | ● | ● | ○ | |
| 7 | DXW-PM26 | ● | ○ | ○ | |
| Hainan Province | |||||
| Danzhou | 1 | NDZ-PM1 | ● | ● | ● |
| 2 | NDZ-PM2 | ● | ● | ○ | |
| 3 | NDZ-PM3 | ● | ○ | ○ | |
| 4 | NDZ-PM4 | ● | ● | ● | |
| 5 | NDZ-PM5 | ○ | ○ | ○ | |
| Total (%) | 85 a (34/40) b | 80 (32/40) | 55 (22/40) |
| Reactive Components | Volume | Final Concentration |
|---|---|---|
| 10× Bst-DNA Polymerase Buffer | 2.5 μL | - |
| Bst-DNA Polymerase (New England Biolabs (Beijing), Ltd., Beijing, China) | 1 μL | 8 U |
| F3 a (2.5 μM) | 2 μL | 0.2 μM |
| B3 b (2.5 μM) | 2 μL | 0.2 μM |
| FIP c (20 μM) | 2 μL | 1.6 μM |
| BIP d (20 μM) | 2 μL | 1.6 μM |
| dNTP (10 mM) | 3 μL | 1.2 mM |
| Mg2+ (25 mM) | 4 μL | 4 mM |
| Betaine (10 M) | 2 μL | 0.8 M |
| DNA template (about 50 ng) | 1 μL | - |
| ddH2O | to 25 μL | - |
| Reactive Components | Volume | Final Concentration |
|---|---|---|
| 10× Bst-DNA Polymerase Buffer | 2.5 μL | - |
| Bst-DNA Polymerase (New England Biolabs (Beijing), Ltd.) | 1 μL | 8 U |
| F3 a (2.5 μM) | 2 μL | 0.2 μM |
| B3 b (2.5 μM) | 2 μL | 0.2 μM |
| FIP c (20 μM) | 1.5 μL | 1.2 μM |
| BIP d (20 μM) | 1.5 μL | 1.2 μM |
| dNTP (10 mM) | 2.5 μL | 1.0 mM |
| Mg2+ (25 mM) | 6 μL | 6 mM |
| DNA template (about 50 ng) | 1 μL | - |
| ddH2O | to 25 μL | - |
Disclaimer/Publisher’s Note: The statements, opinions and data contained in all publications are solely those of the individual author(s) and contributor(s) and not of MDPI and/or the editor(s). MDPI and/or the editor(s) disclaim responsibility for any injury to people or property resulting from any ideas, methods, instructions or products referred to in the content. |
© 2024 by the authors. Licensee MDPI, Basel, Switzerland. This article is an open access article distributed under the terms and conditions of the Creative Commons Attribution (CC BY) license (https://creativecommons.org/licenses/by/4.0/).
Share and Cite
Wu, W.; Wang, G.; Wang, H.; Zhu, L.; Liang, Y.; Gbokie, T., Jr.; Lu, Y.; Huang, X.; He, C.; Qin, J.; et al. Development and Evaluation of a Loop-Mediated Isothermal Amplifcation (LAMP) Assay for Specific and Sensitive Detection of Puccinia melanocephala Causing Brown Rust in Sugarcane. Agronomy 2024, 14, 1096. https://doi.org/10.3390/agronomy14061096
Wu W, Wang G, Wang H, Zhu L, Liang Y, Gbokie T Jr., Lu Y, Huang X, He C, Qin J, et al. Development and Evaluation of a Loop-Mediated Isothermal Amplifcation (LAMP) Assay for Specific and Sensitive Detection of Puccinia melanocephala Causing Brown Rust in Sugarcane. Agronomy. 2024; 14(6):1096. https://doi.org/10.3390/agronomy14061096
Chicago/Turabian StyleWu, Weihuai, Guihua Wang, Han Wang, Liqian Zhu, Yanqiong Liang, Thomas Gbokie, Jr., Ying Lu, Xing Huang, Chunping He, Jianfeng Qin, and et al. 2024. "Development and Evaluation of a Loop-Mediated Isothermal Amplifcation (LAMP) Assay for Specific and Sensitive Detection of Puccinia melanocephala Causing Brown Rust in Sugarcane" Agronomy 14, no. 6: 1096. https://doi.org/10.3390/agronomy14061096
APA StyleWu, W., Wang, G., Wang, H., Zhu, L., Liang, Y., Gbokie, T., Jr., Lu, Y., Huang, X., He, C., Qin, J., & Yi, K. (2024). Development and Evaluation of a Loop-Mediated Isothermal Amplifcation (LAMP) Assay for Specific and Sensitive Detection of Puccinia melanocephala Causing Brown Rust in Sugarcane. Agronomy, 14(6), 1096. https://doi.org/10.3390/agronomy14061096

