Nanopore Amplicon Sequencing Allows Rapid Identification of Glutenin Allelic Variants in a Wheat Collection
Abstract
:1. Introduction
2. Materials and Methods
2.1. Plant Material
2.2. SDS-PAGE of HMW-GS
2.3. DNA Isolation
2.4. PCR Amplification of Glutenin Subunits
2.5. Library Preparation and Nanopore Sequencing
2.6. PCR Validation of the Deletion in Glu-1Bx7 Gene
3. Results
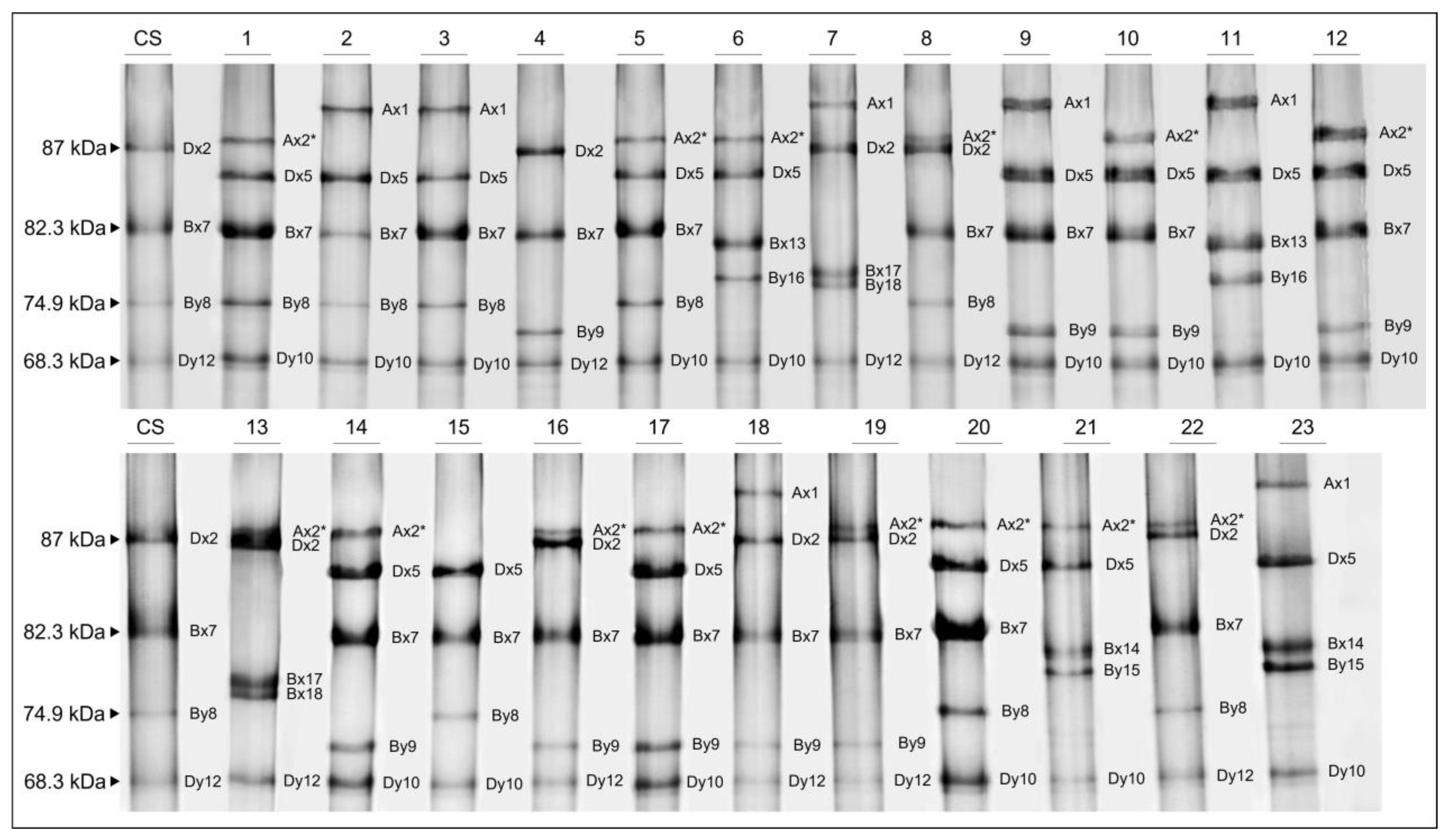
3.1. Assesment of HMW-GS Alleles in Different Wheat Varieties Using SDS-PAGE
3.2. Preparation of PCR amplicons of HMW-GS genes
3.3. Analysis of HMW-GS Allele Sequences Deduced by ONT Amplicon-Seq
4. Discussion
5. Conclusions
Supplementary Materials
Author Contributions
Funding
Data Availability Statement
Acknowledgments
Conflicts of Interest
References
- Reif, J.C.; Zhang, P.; Dreisigacker, S.; Warburton, M.L.; van Ginkel, M.; Hoisington, D.; Bohn, M.; Melchinger, A.E. Wheat Genetic Diversity Trends during Domestication and Breeding. Theor. Appl. Genet. 2005, 110, 859–864. [Google Scholar] [CrossRef] [PubMed]
- Liu, Y.; Xiong, Z.-Y.; He, Y.-G.; Shewry, P.R.; He, G. Genetic Diversity of HMW Glutenin Subunit in Chinese Common Wheat (Triticum aestivum L.) Landraces from Hubei Province. Genet. Resour. Crop Evol. 2007, 54, 865–874. [Google Scholar] [CrossRef]
- Liu, L.; Wang, A.; Appels, R.; Ma, J.; Xia, X.; Lan, P.; He, Z.; Bekes, F.; Yan, Y.; Ma, W. A MALDI-TOF Based Analysis of High Molecular Weight Glutenin Subunits for Wheat Breeding. J. Céréal Sci. 2009, 50, 295–301. [Google Scholar] [CrossRef]
- Bietz, J.A.; Shepherd, K.W.; Wall, J.S. Single-Kernel Analysis of Glutenin: Use in Wheat Genetics and Breeding. Cereal Chem. 1975, 52, 513–532. [Google Scholar]
- Payne, P.I.; Holt, L.M.; Lawrence, G.J.; Law, C.N. The Genetics of Gliadin and Glutenin, the Major Storage Proteins of the Wheat Endosperm. Plant Foods Hum. Nutr. 1982, 31, 229–241. [Google Scholar] [CrossRef]
- Branlard, G.; Dardevet, M. Diversity of Grain Protein and Bread Wheat Quality II. Correlation between High Molecular Weight Subunits of Glutenin and Flour Quality Characteristics. J. Céréal Sci. 1985, 3, 345–354. [Google Scholar] [CrossRef]
- Nucia, A.; Okoń, S.; Tomczyńska-Mleko, M. Characterization of HMW Glutenin Subunits in European Spring Common Wheat (Triticum aestivum L.). Genet. Resour. Crop Evol. 2019, 66, 579–588. [Google Scholar] [CrossRef]
- Payne, P.I. Genetics of Wheat Storage Proteins and the Effect of Allelic Variation on Bread-Making Quality. Annu. Rev. Plant Physiol. 1987, 38, 141–153. [Google Scholar] [CrossRef]
- Shewry, P.R.; Halford, N.G.; Tatham, A.S. High Molecular Weight Subunits of Wheat Glutenin. J. Céréal Sci. 1992, 15, 105–120. [Google Scholar] [CrossRef]
- Payne, P.I.; Lawrence, G.J. Catalogue of Alleles for the Complex Gene Loci, Glu-A1, Glu-B1, Glu-D1 Which Code for High-Molecular-Weight Subunits of Glutenin in Hexaploid Wheat. Cereal Res. Commun. 1983, 11, 29–35. [Google Scholar]
- Lombardo, L.A.; Nisi, M.M.; Salines, N.; Ghione, C.E.; Helguera, M. Identification of Novel High Molecular Weight Glutenin Subunit Mutants in Bread Wheat (Triticum aestivum L.). Cytol. Genet. 2017, 51, 305–314. [Google Scholar] [CrossRef]
- Liu, S.; Zhao, S.; Chen, F.; Xia, G. Generation of Novel High Quality HMW-GS Genes in Two Introgression Lines of Triticum aestivum/Agropyron Elongatum. BMC Evol. Biol. 2007, 7, 76. [Google Scholar] [CrossRef] [PubMed]
- Jiang, Q.-T.; Ma, J.; Wei, Y.-M.; Liu, Y.-X.; Lan, X.-J.; Dai, S.-F.; Lu, Z.-X.; Zhao, S.; Zhao, Q.-Z.; Zheng, Y.-L. Novel Variants of HMW Glutenin Subunits from Aegilops Section Sitopsis Species in Relation to Evolution and Wheat Breeding. BMC Plant Biol. 2012, 12, 73. [Google Scholar] [CrossRef] [PubMed]
- Du, X.; Hu, J.; Ma, X.; He, J.; Hou, W.; Guo, J.; Bo, C.; Wang, H.; Li, A.; Kong, L. Molecular Characterization and Marker Development for High Molecular Weight Glutenin Subunit 1Dy12** from Yunnan Hulled Wheat. Mol. Breed. 2018, 39, 4. [Google Scholar] [CrossRef]
- Lukow, O.M.; Payne, P.I.; Tkachuk, R. The HMW Glutenin Subunit Composition of Canadian Wheat Cultivars and Their Association with Bread-making Quality. J. Sci. Food Agric. 1989, 46, 451–460. [Google Scholar] [CrossRef]
- Marchylo, B.A.; Lukow, O.M.; Kruger, J.E. Quantitative Variation in High Molecular Weight Glutenin Subunit 7 in Some Canadian Wheats. J. Céréal Sci. 1992, 15, 29–37. [Google Scholar] [CrossRef]
- Roy, N.; Islam, S.; Ma, J.; Lu, M.; Torok, K.; Tomoskozi, S.; Bekes, F.; Lafiandra, D.; Appels, R.; Ma, W. Expressed Ay HMW Glutenin Subunit in Australian Wheat Cultivars Indicates a Positive Effect on Wheat Quality. J. Céréal Sci. 2018, 79, 494–500. [Google Scholar] [CrossRef]
- Roy, N.; Islam, S.; Yu, Z.; Lu, M.; Lafiandra, D.; Zhao, Y.; Anwar, M.; Mayer, J.E.; Ma, W. Introgression of an Expressed HMW 1Ay Glutenin Subunit Allele into Bread Wheat Cv. Lincoln Increases Grain Protein Content and Breadmaking Quality without Yield Penalty. Theor. Appl. Genet. 2020, 133, 517–528. [Google Scholar] [CrossRef]
- Peng, Y.; Yu, K.; Zhang, Y.; Islam, S.; Sun, D.; Ma, W. Two Novel Y-Type High Molecular Weight Glutenin Genes in Chinese Wheat Landraces of the Yangtze-River Region. PLoS ONE 2015, 10, e0142348. [Google Scholar] [CrossRef]
- Gianibelli, M.C.; Echaide, M.; Larroque, O.R.; Carrillo, J.M.; Dubcovsky, J. Biochemical and Molecular Characterisation of Glu-1 Loci in Argentinean Wheat Cultivars. Euphytica 2002, 128, 61–73. [Google Scholar] [CrossRef]
- Marchylo, B.A.; Kruger, J.E.; Hatcher, D.W. Quantitative Reversed-Phase High-Performance Liquid Chromatographic Analysis of Wheat Storage Proteins as a Potential Quality Prediction Tool. J. Céréal Sci. 1989, 9, 113–130. [Google Scholar] [CrossRef]
- Vafin, R.; Rzhanova, I.; Askhadullin, D.; Askhadullin, D.; Vasilova, N. Screening of the Genotypes of Bread Wheat (Triticum aestivum L.) by the Allelic Variants of Waxy Genes and HMW Glutenin Subunits. Acta Agrobot. 2018, 71, 1746. [Google Scholar] [CrossRef]
- Rasheed, A.; Jin, H.; Xiao, Y.; Zhang, Y.; Hao, Y.; Zhang, Y.; Hickey, L.T.; Morgounov, A.I.; Xia, X.; He, Z. Allelic Effects and Variations for Key Bread-Making Quality Genes in Bread Wheat Using High-Throughput Molecular Markers. J. Céréal Sci. 2019, 85, 305–309. [Google Scholar] [CrossRef]
- Ravel, C.; Faye, A.; Ben-Sadoun, S.; Ranoux, M.; Dardevet, M.; Dupuits, C.; Exbrayat, F.; Poncet, C.; Sourdille, P.; Branlard, G. SNP Markers for Early Identification of High Molecular Weight Glutenin Subunits (HMW-GSs) in Bread Wheat. Theor. Appl. Genet. 2020, 133, 751–770. [Google Scholar] [CrossRef] [PubMed]
- Ozuna, C.V.; Iehisa, J.C.M.; Giménez, M.J.; Alvarez, J.B.; Sousa, C.; Barro, F. Diversification of the Celiac Disease A-gliadin Complex in Wheat: A 33-mer Peptide with Six Overlapping Epitopes, Evolved Following Polyploidization. Plant J. 2015, 82, 794–805. [Google Scholar] [CrossRef] [PubMed]
- Ren, J.; Jiang, Z.; Li, W.; Kang, X.; Bai, S.; Yang, L.; Li, S.; Zhang, D. Characterization of Glutenin Genes in Bread Wheat by Third-Generation RNA Sequencing and the Development of a Glu-1Dx5 Marker Specific for the Extra Cysteine Residue. J. Agric. Food Chem. 2022, 70, 7211–7219. [Google Scholar] [CrossRef] [PubMed]
- Jiang, Q.-T.; Wei, Y.-M.; Wang, F.; Wang, J.-R.; Yan, Z.-H.; Zheng, Y.-L. Characterization and Comparative Analysis of HMW Glutenin 1Ay Alleles with Differential Expressions. BMC Plant Biol. 2009, 9, 16. [Google Scholar] [CrossRef]
- Ma, C.; Yang, Y.; Li, X.; Ge, P.; Guo, G.; Subburaj, S.; Zeller, F.J.; Hsam, S.L.K.; Yan, Y. Molecular Cloning and Characterization of Six Novel HMW-GS Genes from Aegilops Speltoides and Aegilops Kotschyi. Plant Breed. 2013, 132, 284–289. [Google Scholar] [CrossRef]
- Gilpatrick, T.; Lee, I.; Graham, J.E.; Raimondeau, E.; Bowen, R.; Heron, A.; Downs, B.; Sukumar, S.; Sedlazeck, F.J.; Timp, W. Targeted Nanopore Sequencing with Cas9-Guided Adapter Ligation. Nat. Biotechnol. 2020, 38, 433–438. [Google Scholar] [CrossRef]
- Kirov, I.; Polkhovskaya, E.; Dudnikov, M.; Merkulov, P.; Vlasova, A.; Karlov, G.; Soloviev, A. Searching for a Needle in a Haystack: Cas9-Targeted Nanopore Sequencing and DNA Methylation Profiling of Full-Length Glutenin Genes in a Big Cereal Genome. Plants 2021, 11, 5. [Google Scholar] [CrossRef]
- Latz, M.A.C.; Grujcic, V.; Brugel, S.; Lycken, J.; John, U.; Karlson, B.; Andersson, A.; Andersson, A.F. Short- and Long-read Metabarcoding of the Eukaryotic RRNA Operon: Evaluation of Primers and Comparison to Shotgun Metagenomics Sequencing. Mol. Ecol. Resour. 2022, 22, 2304–2318. [Google Scholar] [CrossRef] [PubMed]
- Karst, S.M.; Ziels, R.M.; Kirkegaard, R.H.; Sørensen, E.A.; McDonald, D.; Zhu, Q.; Knight, R.; Albertsen, M. High-Accuracy Long-Read Amplicon Sequences Using Unique Molecular Identifiers with Nanopore or PacBio Sequencing. Nat. Methods 2021, 18, 165–169. [Google Scholar] [CrossRef] [PubMed]
- Wick, R.R.; Judd, L.M.; Holt, K.E. Deepbinner: Demultiplexing Barcoded Oxford Nanopore Reads with Deep Convolutional Neural Networks. PLoS Comput. Biol. 2018, 14, e1006583. [Google Scholar] [CrossRef] [PubMed]
- Marcolungo, L.; Passera, A.; Maestri, S.; Segala, E.; Alfano, M.; Gaffuri, F.; Marturano, G.; Casati, P.; Bianco, P.A.; Delledonne, M. Real-Time On-Site Diagnosis of Quarantine Pathogens in Plant Tissues by Nanopore-Based Sequencing. Pathogens 2022, 11, 199. [Google Scholar] [CrossRef] [PubMed]
- Maduna, S.N.; Vivian-Smith, A.; Jónsdóttir, Ó.D.B.; Imsland, A.K.D.; Klütsch, C.F.C.; Nyman, T.; Eiken, H.G.; Hagen, S.B. Mitogenomics of the Suborder Cottoidei (Teleostei: Perciformes): Improved Assemblies, Mitogenome Features, Phylogeny, and Ecological Implications. Genomics 2022, 114, 110297. [Google Scholar] [CrossRef] [PubMed]
- Mimosa, M.L.; Al-ameri, W.; Simpson, J.T.; Nakhla, M.; Boissinot, K.; Munoz, D.G.; Das, S.; Feilotter, H.; Fattouh, R.; Saleeb, R.M. A Novel Approach to Detect IDH Point Mutations in Gliomas Using Nanopore Sequencing Test Validation for the Clinical Laboratory. J. Mol. Diagn. 2023, 25, 133–142. [Google Scholar] [CrossRef] [PubMed]
- Fridman, E.; Tiwari, L.; Prusty, M.; Bodenheimer, S.; Doron-Faigenboim, A.; Yamamoto, E.; Kashkush, K. Cytonuclear Diversity Underlying Clock Adaptation to Warming Climate in Wild Barley (Hordeum vulgare ssp. Spontaneum). 2023. Available online: https://www.authorea.com/users/561760/articles/625014-cytonuclear-diversity-underlying-clock-adaptation-to-warming-climate-in-wild-barley-hordeum-vulgare-ssp-spontaneum (accessed on 17 February 2023.).
- Singh, N.K.; Shepherd, K.W.; Cornish, G.B. A Simplified SDS—PAGE Procedure for Separating LMW Subunits of Glutenin. J. Céréal Sci. 1991, 14, 203–208. [Google Scholar] [CrossRef]
- Branlard, G.; Dardevet, M.; Saccomano, R.; Lagoutte, F.; Gourdon, J. Wheat in a Global Environment, Proceedings of the 6th International Wheat Conference, 5–9 June 2000, Budapest, Hungary. Dev. Plant Breed. 2001, 9, 157–169. [Google Scholar] [CrossRef]
- Pucker, B.; Kleinbölting, N.; Weisshaar, B. Large Scale Genomic Rearrangements in Selected Arabidopsis Thaliana T-DNA Lines Are Caused by T-DNA Insertion Mutagenesis. BMC Genom. 2021, 22, 599. [Google Scholar] [CrossRef]
- Li, H. Minimap2: Pairwise Alignment for Nucleotide Sequences. Bioinformatics 2018, 34, 3094–3100. [Google Scholar] [CrossRef]
- Diesh, C.; Stevens, G.J.; Xie, P.; Martinez, T.D.J.; Hershberg, E.A.; Leung, A.; Guo, E.; Dider, S.; Zhang, J.; Bridge, C.; et al. JBrowse 2: A Modular Genome Browser with Views of Synteny and Structural Variation. Genome Biol. 2023, 24, 74. [Google Scholar] [CrossRef] [PubMed]
- Luo, G.; Song, S.; Zhao, L.; Shen, L.; Wang, Y.S.; Mechanisms, X. Origin and Heredity of Glu-1Ay Silencing in Wheat Evolution and Domestication. Theor. Appl. Genet. 2018, 131, 1561–1575. [Google Scholar] [CrossRef] [PubMed]
- Wang, K.; Zhang, X.; Zhao, Y.; Chen, F.; Xia, G. Structure, Variation and Expression Analysis of Glutenin Gene Promoters from Triticum aestivum Cultivar Chinese Spring Shows the Distal Region of Promoter 1Bx7 Is Key Regulatory Sequence. Gene 2013, 527, 484–490. [Google Scholar] [CrossRef] [PubMed]
- Rabinovich, S.V.; Panchenko, I.A.; Parchomenko, R.G.; Bondarenko, V.N. High-Molecular Weight Glutenin Subunit Composition of Spring Bread Wheats Grown in the Ukraine and the Russian Federation between 1995-97 and Its Connection with Pedigrees. Annu. Wheat Newsl. 1998, 44, 236–251. [Google Scholar]
- Temizgul, R.; Akbulut, M.; Lafiandra, D. Genetic Diversity of High-Molecular-Weight Glutenin Subunit Compositions in Bread Wheat Landraces Originated from Turkey. Plant Genet. Resour. Charact. Util. 2018, 16, 28–38. [Google Scholar] [CrossRef]
- Goel, S.; Yadav, M.; Singh, K.; Jaat, R.S.; Singh, N.K. Exploring Diverse Wheat Germplasm for Novel Alleles in HMW-GS for Bread Quality Improvement. J. Food Sci. Technol. 2018, 55, 3257–3262. [Google Scholar] [CrossRef]
- Zheng, P.; Zhou, C.; Ding, Y.; Liu, B.; Lu, L.; Zhu, F.; Duan, S. Nanopore Sequencing Technology and Its Applications. Med. Comm. 2023, 4, e316. [Google Scholar] [CrossRef]
- Guiblet, W.M.; Cremona, M.A.; Cechova, M.; Harris, R.S.; Kejnovská, I.; Kejnovsky, E.; Eckert, K.; Chiaromonte, F.; Makova, K.D. Long-Read Sequencing Technology Indicates Genome-Wide Effects of Non-B DNA on Polymerization Speed and Error Rate. Genome Res. 2018, 28, 1767–1778. [Google Scholar] [CrossRef]
- Polkhovskaya, E.; Bolotina, A.; Merkulov, P.; Dudnikov, M.; Soloviev, A.; Kirov, I. Long-Read CDNA Sequencing Revealed Novel Expressed Genes and Dynamic Transcriptome Landscape of Triticale (x Triticosecale Wittmack) Seed at Different Developing Stages. Agronomy 2023, 13, 292. [Google Scholar] [CrossRef]






| Characteristics | SDS-PAGE | Nanopore Amplicon-Seq |
|---|---|---|
| Target | Protein | Nucleic acid |
| Analyzed material | Endosperm | DNA containing parts |
| Ability to analyze an individual plant | + | + |
| Number of simultaneously tested samples | Up to 40 | Up to 96 |
| Operating time of the device (excluding sample preparation and subsequent detection) | Up to 20 h | About 1 h to achieve the required coverage |
| The number of simultaneously studied HMW-GS loci | Five | Multiple |
| Analysis range | 5–250 kDa | 250–10,000 bp |
| Possible cause of the error | Errors of low gel resolution and the similar electrophoretic mobility of some subunits | PCR and sequencing errors |
| Reliability of identification | + | +++ |
| Search for non-annotated alleles | ± | +++ |
| Portability | – | +++ |
Disclaimer/Publisher’s Note: The statements, opinions and data contained in all publications are solely those of the individual author(s) and contributor(s) and not of MDPI and/or the editor(s). MDPI and/or the editor(s) disclaim responsibility for any injury to people or property resulting from any ideas, methods, instructions or products referred to in the content. |
© 2023 by the authors. Licensee MDPI, Basel, Switzerland. This article is an open access article distributed under the terms and conditions of the Creative Commons Attribution (CC BY) license (https://creativecommons.org/licenses/by/4.0/).
Share and Cite
Polkhovskaya, E.; Gruzdev, I.; Moskalev, E.; Merkulov, P.; Bolotina, A.; Soloviev, A.; Kirov, I. Nanopore Amplicon Sequencing Allows Rapid Identification of Glutenin Allelic Variants in a Wheat Collection. Agronomy 2024, 14, 13. https://doi.org/10.3390/agronomy14010013
Polkhovskaya E, Gruzdev I, Moskalev E, Merkulov P, Bolotina A, Soloviev A, Kirov I. Nanopore Amplicon Sequencing Allows Rapid Identification of Glutenin Allelic Variants in a Wheat Collection. Agronomy. 2024; 14(1):13. https://doi.org/10.3390/agronomy14010013
Chicago/Turabian StylePolkhovskaya, Ekaterina, Ivan Gruzdev, Evgeniy Moskalev, Pavel Merkulov, Anna Bolotina, Alexander Soloviev, and Ilya Kirov. 2024. "Nanopore Amplicon Sequencing Allows Rapid Identification of Glutenin Allelic Variants in a Wheat Collection" Agronomy 14, no. 1: 13. https://doi.org/10.3390/agronomy14010013
APA StylePolkhovskaya, E., Gruzdev, I., Moskalev, E., Merkulov, P., Bolotina, A., Soloviev, A., & Kirov, I. (2024). Nanopore Amplicon Sequencing Allows Rapid Identification of Glutenin Allelic Variants in a Wheat Collection. Agronomy, 14(1), 13. https://doi.org/10.3390/agronomy14010013

