Induction of Polyploidy in Citrus Rootstocks through In Vitro Colchicine Treatment of Seed-Derived Explants
Abstract
1. Introduction
2. Materials and Methods
2.1. Plant Materials
2.2. Colchicine Treatments
2.3. Ploidyanalysis
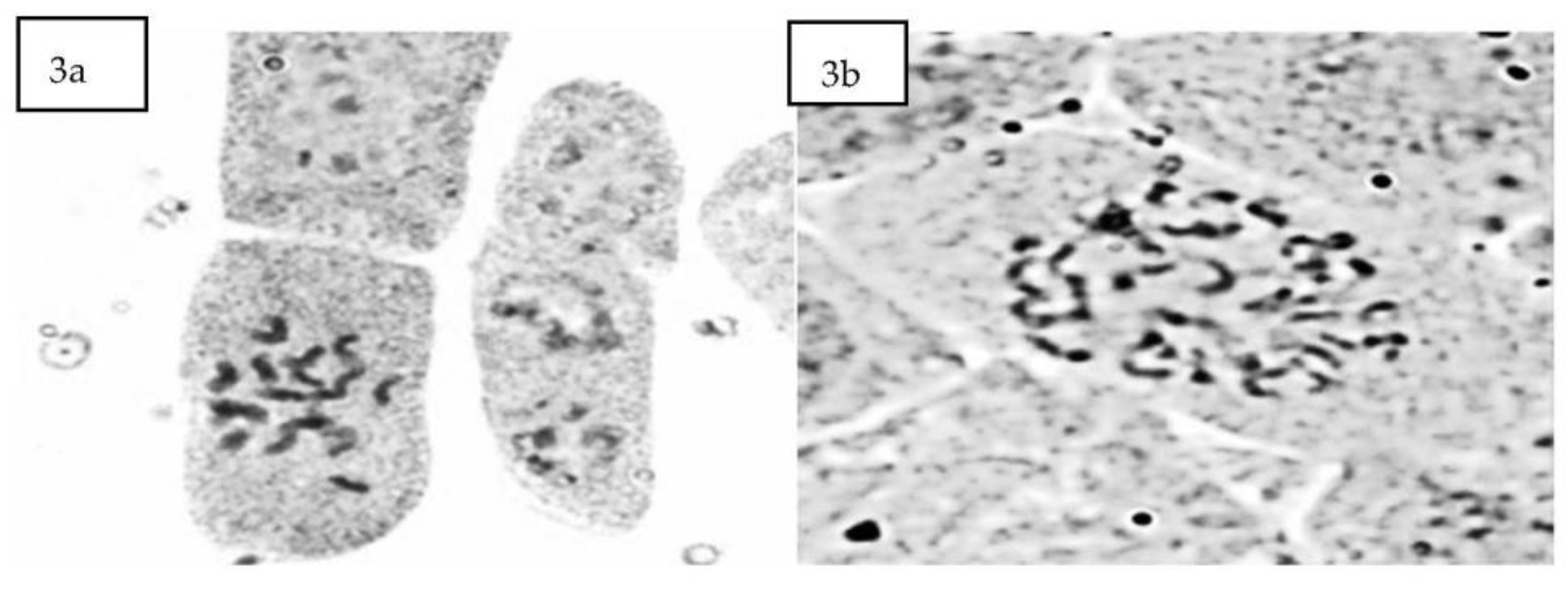
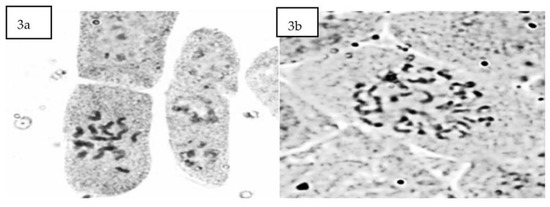
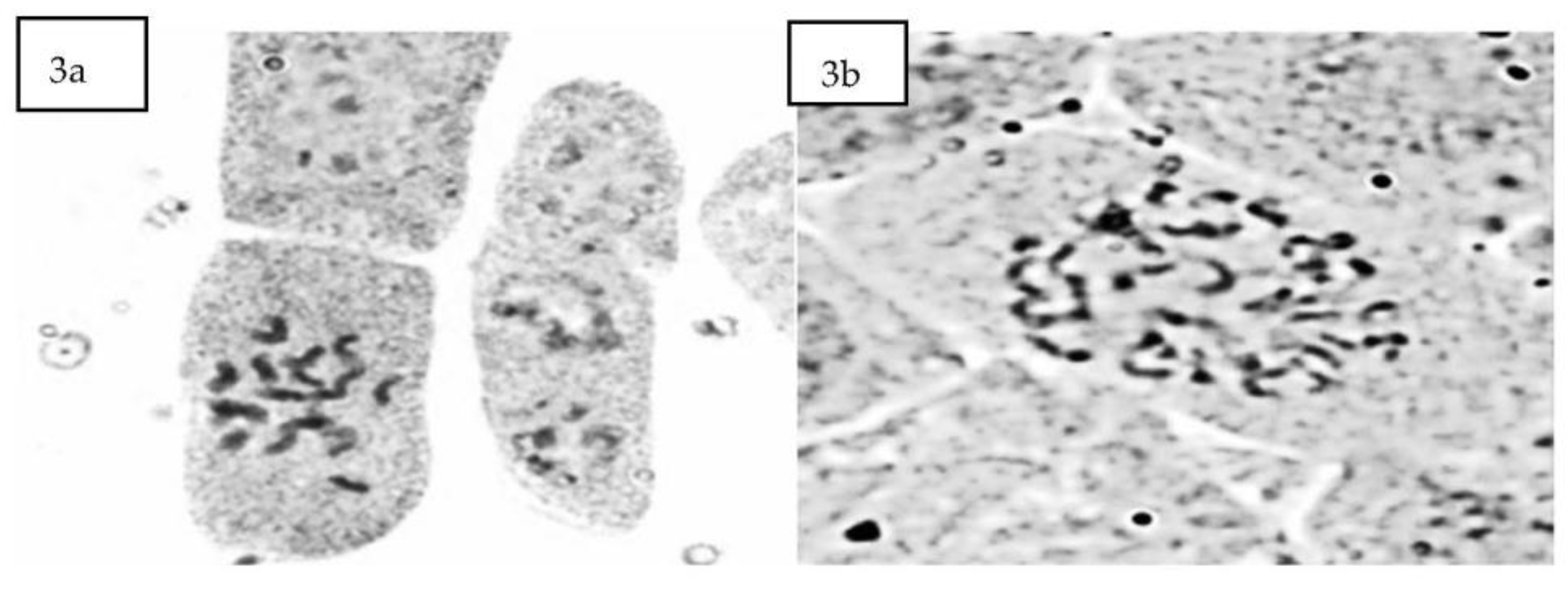
2.4. Chromosome Counting
2.5. Stomata Morphology
2.6. Statistical Analysis
3. Results
3.1. Characterisation of Tetraploid Rootstock Cultivars by Flow Cytometry
3.2. Tetraploid Characterisation by Cytology
3.3. Stomatal Analysis
3.4. Plant Morphology Study
4. Discussion
5. Conclusions
Author Contributions
Funding
Institutional Review Board Statement
Informed Consent Statement
Data Availability Statement
Conflicts of Interest
References
- Comai, L. The advantages and disadvantages of being polyploid. Nat. Rev. Genet. 2005, 6, 836–846. [Google Scholar] [CrossRef] [PubMed]
- Doyle, J.J.; Flagel, L.E.; Paterson, A.H.; Rapp, R.A.; Soltis, D.E.; Soltis, P.S.; Wende, L.J.F. Evolutionary genetics of genome merger and doubling in plants. Annu. Rev. Genet. 2008, 42, 443–461. [Google Scholar] [CrossRef] [PubMed]
- Allario, T.J.; Brumos, J.M.; Colmenero-Flores, D.J.; Iglesias, J.A.; Pina, L.; Navarro, M.; Talon, P.; Ollitrault Morillon, R. Tetraploid Rangpur lime rootstock increases drought tolerance via enhanced constitutive root abscisic acid production. Plant Cell Environ. 2013, 36, 856–868. [Google Scholar] [CrossRef] [PubMed]
- Dambier, D.; Benyahia, H.; Pensabene-Bellavia, G.; Aka Kaçar, Y.; Froelicher, Y.; Belfalah, Z.; Lhou, B.; Handaji, N.; Printz, B.; Morillon, R. Somatic hybridization for citrus rootstock breeding: An effective tool to solve some important issues of the Mediterranean citrus industry. Plant Cell Rep. 2011, 30, 883–900. [Google Scholar] [CrossRef]
- Wu, J.H.; Ferguson, A.R.; Mooney, P.A. Allotetraploid hybrids produced by protoplast fusion for seedless triploid Citrus breeding. Euphytica 2005, 141, 229–235. [Google Scholar] [CrossRef]
- Hamill, S.; Smith, M.; Dodd, W. In vitro induction of banana autotetraploids by colchicine treatment of micropropagated diploids. Aust. J. Bot. 1992, 40, 887. [Google Scholar] [CrossRef]
- Chakraborti, S.P.; Vijayan, K.; Roy, B.N.; Qadri, S.M.H. In vitro induction of tetraploidy in mulberry (Morus alba L.). Plant Cell Rep. 1998, 17, 799–803. [Google Scholar] [CrossRef]
- Grosser, J.W.; Kainth, D.; Dutt, M. Production of colchicine-induced autotetraploids in pummelo (Citrus grandis Osbeck) through indirect organogenesis. HortScience 2014, 49, 944–948. [Google Scholar] [CrossRef]
- Eng, W.H.; Ho, W.S. Polyploidization using colchicine in horticultural plants: A review. Sci. Hortic. 2019, 246, 604–617. [Google Scholar] [CrossRef]
- Cimen, B.; Yesiloglu, T. Rootstock breeding for abiotic stress tolerance in citrus. In Abiotic and Biotic Stress in Plants-Recent Advances and Future Perspective; Shanker, A., Ed.; IntechOpen: London, UK, 2016. [Google Scholar]
- Singh, S.; Singh, J.; Mirza, A. Evaluation of Mandarin Cultivars on Different Root Stocks. Int. J. Curr. Microbiol. Appl. Sci. 2019, 8, 1213–1222. [Google Scholar] [CrossRef]
- Grosser, J.W.; Gmitter, F.G. Protoplast fusion for production of tetraploids and triploids: Applications for scion and rootstock breeding in citrus. Plant Cell Tissue Organ Cult. (PCTOC) 2011, 104, 343–357. [Google Scholar] [CrossRef]
- Tan, F.-Q.; Tu, H.; Liang, W.-J.; Long, J.-M.; Wu, X.-M.; Zhang, H.-Y.; Guo, W.-W. Comparative metabolic and transcriptional analysis of a doubled diploid and its diploid citrus rootstock (C. junos cv. ZiyangXiangcheng) suggests its potential value for stress resistance improvement. BMC Plant Biol. 2015, 15, 89. [Google Scholar] [CrossRef] [PubMed]
- Marta, R.; Quiñones, A.; Martínez-Alcántara, B.; Aleza, P.; Morillon, R.; Navarro, L.; Primo-Millo, E.; Martínez-Cuenca, M.-R. Tetraploidy enhances boron-excess tolerance in carrizocitrange (Citrus sinensis L. Osb. × Poncirus trifoliata L. Raf.). Front Plant Sci. 2016, 7, 701. Available online: http://journal.frontiersin.org/Article/10.3389/fpls.2016.00701/abstract (accessed on 18 April 2020).
- Balal, R.M.; Shahid, M.A.; Vincent, C.; Zotarelli, L.; Liu, G.; Mattson, N.S.; Rathinasabapathi, B.; Martínez-Nicolas, J.J.; Garcia-Sanchez, F. Kinnow mandarin plants grafted on tetraploid rootstocks are more tolerant to Cr-toxicity than those grafted on its diploids one. Environ. Exp. Bot. 2017, 140, 8–18. [Google Scholar] [CrossRef]
- Oustric, J.; Morillon, R.; Luro, F.; Herbette, S.; Lourkisti, R.; Giannettini, J.; Berti, L.; Santini, J. Tetraploid Carrizo citrange rootstock (Citrus sinensis Osb. × Poncirus trifoliata L. Raf.) enhances natural chilling stress tolerance of common clementine (Citrus clementina Hort. ex Tan). J. Plant Physiol. 2017, 214, 108–115. [Google Scholar] [CrossRef]
- Mouhaya, W.; Allario, T.; Brumos, J.; Andrés, F.; Froelicher, Y.; Luro, F.; Talon, M.; Ollitrault, P.; Morillon, R. Sensitivity to high salinity in tetraploid citrus seedlings increases with water availability and correlates with expression of candidate genes. Funct. Plant Biol. 2010, 37, 674–685. [Google Scholar] [CrossRef]
- Grosser, J.W.; Chandler, J.L. Somatic hybridization of high yield, cold-hardy and disease resistant parents for citrus rootstock improvement. J. Hortic. Sci. Biotech. 2000, 75, 641–644. [Google Scholar] [CrossRef]
- Barrett, H.C.; Hutchison, D.J. Spontaneous tetraploidy in apomictic seedlings of Citrus. Econ. Bot. 1978, 32, 27–45. [Google Scholar] [CrossRef]
- Sharif, N.; Jaskani, M.K.; Memon, N. Responses of citrus rootstock ovules to colchicine applications in vitro. Int. J. Agric. Technol. 2013, 9, 201–209. [Google Scholar]
- Krug, C.A. Chromosome numbers in the subfamily Aurantioideae with special reference to the genus citrus. Bot. Gaz. 1943, 104, 602–611. [Google Scholar] [CrossRef]
- Cimen, B. Induction of Polyploidy in C35 Citrange through In Vitro Colchicine Treatments of Seed-Derived Explants. Int. J. Fruit Sci. 2020, 20, S1929–S1941. [Google Scholar] [CrossRef]
- Leitão, J.M. Chapter 12 Chemical mutagenesis. In Bookplant Mutation Breeding and Biotechnology; Shu, Q.Y., Forster, B.P., Nakagawa, H., Eds.; CABI: Wallingford, UK, 2012; p. 135. [Google Scholar]
- Aleza, P.; Juarez, J.; Hernandez, M.; Ollitrault, P. Implementation of extensive citrus triploid breeding programs based on 4x X 2x sexual hybridisations. Tree Genet. Genomics. 2012, 8, 1293–1306. [Google Scholar] [CrossRef]
- Elyazid, D.M.A.; El-Shereif, A.R. In Vitro induction of polyploidy in Citrus reticulate Blanco. Am. J. Plant Sci. 2014, 5, 1679–1685. [Google Scholar] [CrossRef]
- Shao, J.; Chen, C.; Deng, X. In vitro induction of tetraploid in pomegranate (Punicagranatum). Plant Cell Tissue Organ Cult. 2003, 75, 241–246. [Google Scholar] [CrossRef]
- Pérez-Tornero, O.; Porras, I. Assessment of polyembryony in lemon: Rescue and in vitro culture of immature embryos. Plant Cell Tissue Organ Cult. 2008, 93, 173–180. [Google Scholar] [CrossRef]
- Carimi, F. Somatic embryogenesis protocol: Citrus. In Protocol for Somatic Embryogenesis in Woody Plants [Internet]; Jain, S.M., Gupta, P.K., Eds.; Springer-Verlag: Berlin/Heidelberg, Germany, 2005; Volume 77, pp. 321–343. Available online: http://link.springer.com/10.1007/1-4020-2985-3_26 (accessed on 6 March 2019).
- Gmitter, F.G.; Ling, X.B.; Deng, X.X. Induction of triploid Citrus plants from endosperm calli in vitro. Theoret. Appl. Genet. 1990, 80, 785–790. [Google Scholar] [CrossRef]
- Wulandari, D.R.; Purwito, A.; Susanto, S.; Husni, A.; Ermayanti, T.M. In Vitro Induction of Tetraploid Pummelo ‘Nambangan’ (Citrus maxima (Burm.) Merr.) By Colchicine Treatment Using Germinated Seed. Shoot. Tip Cotyledonary Node Explants. 2015, 19, 8. [Google Scholar]
- Manzoor, A.; Ahmad, T.; Bashir, M.A.; Hafiz, I.A.; Silvestri, C. Studies on colchicine induced chromosome doubling for enhancement of quality traits in ornamental plants. Plants 2019, 8, 194. Available online: https://www.ncbi.nlm.nih.gov/pmc/articles/PMC6681243/ (accessed on 28 March 2023). [CrossRef]
- Gantait, S.; Mandal, N.; Bhattacharyya, S.; Das, P.K. Induction and identification of tetraploids using in vitro colchicine treatment of Gerbera jamesonii Bolus cv. Sciella. Plant Cell Tiss. Organ. Cult. 2011, 106, 485. [Google Scholar] [CrossRef]
- Tavan, M.; Mirjalili, M.H.; Karimzadeh, G. In vitro polyploidy induction: Changes in morphological, anatomical and phytochemical characteristics of Thymus persicus (Lamiaceae). Plant Cell Tiss. Organ. Cult. 2015, 122, 573–583. [Google Scholar] [CrossRef]
- Sanford, J.C. Ploidy Manipulations. In Advances in Fruit Breeding; Janik, J.N., Ed.; Purdue University Press: West Lafayelle, IN, USA, 1983; pp. 100–123. [Google Scholar]
- Dhooghe, E.; Van Laere, K.; Eeckhaut, T.; Leus, L.; Van Huylenbroeck, J. Mitotic chromosome doubling of plant tissue in vitro. Plant Cell Tiss. Oragan. Cult. 2011, 104, 359–373. [Google Scholar] [CrossRef]
- Wongpiyasatid, A.; Hormchan, P.; Ratanadilok, N. Preliminary test of polyploidy induction in cotton (Gossypium arboreum) using colchicine treatment. Kasetsart J. (Nat. Sci.) 2003, 37, 27–32. [Google Scholar]
- Sari, N.; Abak, K.; Pitrat, M. Comparison of ploidy level screening methods in watermelon: Citrullus lanatus (Thunb.) Matsum. andNakai. Sci. Hortic. Amst. 1999, 82, 265–277. [Google Scholar] [CrossRef]
- Norrmann, G.; Quarin, C.; Keeler, K. Evolutionary implications of meiotic chromosome behavior, reproductive biology and hybridization in 6_ and 9_cytotypes of Andropogon gerardii (Poaceae). Am. J. Bot. 1997, 84, 201–208. [Google Scholar] [CrossRef]
- Zhang, Q.Y.; Luo, F.X.; Liu, L.; Guo, F. In vitro induction of tetraploids in crape myrtle (Lagerstroemia indica L.). Plant Cell Tissue Organ Cult. 2010, 101, 41–47. [Google Scholar] [CrossRef]
- Leus, L.; Van Laere, K.; Dewitte, A.; Van Huylenbroeck, J. Flow clytometry for plant breeding. Acta Hortic. 2009, 836, 221–226. [Google Scholar] [CrossRef]
- Väinölä, A. Polyploidization and early screening of Rhododendron hybrids. Euphytica 2000, 112, 239–244. [Google Scholar] [CrossRef]
- Montijn, M.B.; Houtsmuller, A.B.; Ten Hoopen, R.; Oud, J.L.; Nanninga, N. The 5S rRNA gene clusters have a defined orientation toward the nucleolus in Petunia hybrida and Crepis capillaries. Chromosome Res. 1999, 7, 387–399. [Google Scholar] [CrossRef]
- De Laat, A.M.M.; Göhde, W.; Vogelzang, M.J.D.C. Determination of ploidy of single plants and plants population by flow cytometry. Plant Breed. 1987, 99, 303–307. [Google Scholar] [CrossRef]










| Cultivar | T-1 (Control 16 h) | T-2 (Control 24 h) | T-3 (0.1%/16 h) | T-4 (0.1%/24 h) | T-5 (0.2%/16 h) | T-6 (0.2%/24 h) | T-7 (0.3%/16 h) | T-8 (0.3%/24 h) | Mean 2 |
|---|---|---|---|---|---|---|---|---|---|
| Rangpur lime | 89.35 (71.00) | 88.32 (70.06) | 48.35 (44.05) | 37.25 (37.66) | 25.52 (37.66) | 16.4 (30.33) | 14.2 (23.82) | 9.45 (22.10) | 41.10 (39.611) |
| Alemow | 87.37 (69.28) | 85.27 (67.46) | 33.25 (35.19) | 27.37 (31.50) | 21.4 (27.54) | 15.45 (23.12) | 11.55 (19.82) | 7.3 (15.58) | 36.12 (36.190) |
| Rough lemon | 88.32 (70.13) | 89.35 (71.07) | 39.35 (38.83) | 22.32 (28.14) | 17.2 (24.44) | 12.45 (20.54) | 8.3 (16.55) | 4.27 (11.72) | 35.19 (35.181) |
| Mean 1 | 88.34 (70.140) | 87.64 (69.531) | 40.31 (39.363) | 28.98 (32.438) | 21.37 (27.441) | 14.76 (22.497) | 11.33 (19.493) | 7.00 (15.048) | |
| CD | C | T | I | ||||||
| 0.05 | 0.96 * | 1.57 * | 2.73 * | ||||||
| 0.01 | 1.28 ** | 2.09 ** | 3.63 ** |
| Cultivar | T-1 (Control 16 h) | T-2 (Control 24 h) | T-3 (0.1%/16 h) | T-4 (0.1%/24 h) | T-5 (0.2%/16 h) | T-6 (0.2%/24 h) | T-7 (0.3%/16 h) | T-8 (0.3%/24 h) | Mean 2 |
|---|---|---|---|---|---|---|---|---|---|
| Rangpur lime | 5.67 | 5.5 | 1.62 | 1.6 | 0.98 | 0.92 | 0.84 | 0.57 | 2.214 |
| Alemow | 6.8 | 5.9 | 2.51 | 1.7 | 1.2 | 0.8 | 0.67 | 0.52 | 2.513 |
| Rough lemon | 6.42 | 6.37 | 1.56 | 1.2 | 0.85 | 0.62 | 0.58 | 0.4 | 2.252 |
| Mean 1 | 6.300 | 5.925 | 1.900 | 1.500 | 1.010 | 0.784 | 0.697 | 0.497 | |
| CD | C | T | I | ||||||
| 0.05 | 0.07 * | 0.13 * | 0.22 * | ||||||
| 0.01 | 0.10 ** | 0.17 ** | 0.29 ** |
| Cultivar | T-1 (Control 16 h) | T-2 (Control 24 h) | T-3 (0.1%/16 h) | T-4 (0.1%/24 h) | T-5 (0.2%/16 h) | T-6 (0.2%/24 h) | T-7 (0.3%/16 h) | T-8 (0.3%/24 h) | Mean 2 |
|---|---|---|---|---|---|---|---|---|---|
| Rangpur lime | 0.00 | 0.00 | 6.17 (14.26) | 18.3 (25.28) | 12.2 (20.40) | 9.32 (17.66) | 4.2 (11.78) | 1.85 (7.66) | 6.50 (12.13) |
| Alemow | 0.00 | 0.00 | 4.25 (11.70) | 15.27 (22.95) | 11.25 (19.51) | 8.05 (16.08) | 4.25 (11.66) | 0 | 5.37 (10.24) |
| Rough lemon | 0.00 | 0.00 | 5.3 (13.24) | 11.2 (19.51) | 6.55 (14.80) | 2.15 (7.22) | 11.52 (7.02) | 0 | 4.59 (7.72) |
| Mean 1 | 0.00 | 0.00 | 5.24 (13.07) | 14.92 (22.58) | 10.00 (18.24) | 6.50 (13.65) | 6.56 (10.15) | 0.61 (2.55) | |
| CD | C | T | I | ||||||
| 0.05 | 0.90 * | 1.48 * | 2.56 * | ||||||
| 0.01 | 1.20 ** | 1.96 ** | 3.40 ** |
| Treatment | Number of Field Transferred Confirmed Tetraploids (4n) | Number of Field Transferred Confirmed Pentaploids (5n) | Number of Field Transferred Confirmed Mixoploid Number |
|---|---|---|---|
| Rangpur lime | |||
| Control 16 h. | -- | -- | -- |
| Control 24 h. | -- | -- | -- |
| 0.1%/16 h. | -- | -- | -- |
| 0.1%/24 h. | 3 | -- | -- |
| 0.2%/16 h. | 1 | -- | 1 (3n + 4n) + 1 (3n + 6n) |
| 0.2%/24 h. | -- | 2 | -- |
| 0.3%/16 h. | -- | 2 | -- |
| 0.3%/24 h. | -- | -- | -- |
| Alemow | |||
| Control 16 h. | -- | -- | -- |
| Control 24 h. | -- | -- | -- |
| 0.1%/16 h. | -- | -- | -- |
| 0.1%/24 h. | 2 | -- | 4 (2n + 4n) |
| 0.2%/16 h. | 1 | -- | -- |
| 0.2%/24 h. | 1 | -- | -- |
| 0.3%/16 h. | -- | -- | -- |
| 0.3%/24 h. | -- | -- | -- |
| Rough lemon | |||
| Control 16 h. | -- | -- | -- |
| Control 24 h. | -- | -- | -- |
| 0.1%/16 h. | -- | -- | -- |
| 0.1%/24 h. | 1 | -- | -- |
| 0.2%/16 h. | -- | -- | -- |
| 0.2%/24 h. | 2 | 2 | 2 (2n + 4n) |
| 0.3%/16 h. | -- | -- | 2 (2n + 4n) |
| 0.3%/24 h. | -- | -- | 1 (2n + 5n) |
| Total | 11 | 6 | 11 |
| Tetraploid Stomatal | Diploid Stomatal | |
|---|---|---|
| Stomatal count | 11 | 10 |
| Avg | 54.44 | 38.56 |
| SD | 5.31 | 2.49 |
| Variance | 28.23 | 6.24 |
| T-Statistic | 8.614 | |
| T-Table (0.05) * | 2.093 | |
| T-Table (0.01) ** | 2.861 | |
| Rough Lemon | Plant Height | Leaf Length | Leaf Width | Leaf Thickness | Thorn Length | Thorn Thickness | |
|---|---|---|---|---|---|---|---|
| Tetraploid | 3.525 b | 98.50 a | 55.00 a | 1.975 c | 34.50 a | 5.00 | |
| Mixoploid | 3.825 b | 100.0 a | 50.75 c | 2.150 a | 35.50 a | 4.25 | |
| Diploid | 4.500 a | 93.50 b | 53.25 b | 1.050 b | 31.50 b | 3.75 | |
| CD | 1% | 2.65 ** | 2.09 ** | 0.16 ** | 0.79 ** | NS | NS |
| 5% | 1.84 * | 1.46 * | 0.11 * | 0.55 * | 2.96 * | NS | |
| Alemow | Plant Height | Leaf Length | Leaf Width | Leaf Thickness | Thorn Length | Thorn Thickness | |
|---|---|---|---|---|---|---|---|
| Tetraploid | 2.650 b | 113.0 a | 53.75 a | 2.050 a | 45.00 a | 7.500 a | |
| Mixoploid | 2.825 b | 109.5 ab | 46.50 b | 2.250 b | 38.50 b | 6.250 b | |
| Diploid | 4.275 a | 98.50 b | 52.00 ab | 1.025 c | 28.25 c | 4.500 c | |
| CD | 1% | NS | NS | 0.25 ** | 0.79 ** | 3.88 ** | 1.27 ** |
| 5% | 11.36 * | 5.78 * | 0.17 * | 0.55 * | 2.70 * | 0.88 * | |
| Rangpur Lime | Plant Height | Leaf Length | Leaf Width | Leaf Thickness | Thorn Length | Thorn Thickness | |
|---|---|---|---|---|---|---|---|
| Tetraploid | 1.075 b | 70.75 b | 31.50 a | 0.625 b | 12.00 b | 1.125 b | |
| Diploid | 4.025 a | 104.5 a | 46.75 b | 1.350 a | 35.25 a | 4.250 a | |
| CD | 1% | 9.55 ** | NS | 3.34 ** | 0.49 ** | 5.10 ** | 0.96 ** |
| 5% | 6.30 * | 0.52 * | 2.20 * | 1.07 * | 3.36 * | 0.63 * | |
Disclaimer/Publisher’s Note: The statements, opinions and data contained in all publications are solely those of the individual author(s) and contributor(s) and not of MDPI and/or the editor(s). MDPI and/or the editor(s) disclaim responsibility for any injury to people or property resulting from any ideas, methods, instructions or products referred to in the content. |
© 2023 by the authors. Licensee MDPI, Basel, Switzerland. This article is an open access article distributed under the terms and conditions of the Creative Commons Attribution (CC BY) license (https://creativecommons.org/licenses/by/4.0/).
Share and Cite
Narukulla, V.; Lahane, Y.; Fiske, K.; Pandey, S.; Ziogas, V. Induction of Polyploidy in Citrus Rootstocks through In Vitro Colchicine Treatment of Seed-Derived Explants. Agronomy 2023, 13, 1442. https://doi.org/10.3390/agronomy13061442
Narukulla V, Lahane Y, Fiske K, Pandey S, Ziogas V. Induction of Polyploidy in Citrus Rootstocks through In Vitro Colchicine Treatment of Seed-Derived Explants. Agronomy. 2023; 13(6):1442. https://doi.org/10.3390/agronomy13061442
Chicago/Turabian StyleNarukulla, Vijayakumari, Yogesh Lahane, Krutika Fiske, Shashi Pandey, and Vasileios Ziogas. 2023. "Induction of Polyploidy in Citrus Rootstocks through In Vitro Colchicine Treatment of Seed-Derived Explants" Agronomy 13, no. 6: 1442. https://doi.org/10.3390/agronomy13061442
APA StyleNarukulla, V., Lahane, Y., Fiske, K., Pandey, S., & Ziogas, V. (2023). Induction of Polyploidy in Citrus Rootstocks through In Vitro Colchicine Treatment of Seed-Derived Explants. Agronomy, 13(6), 1442. https://doi.org/10.3390/agronomy13061442

