Fine Mapping and Functional Analysis of Major QTL, CRq for Clubroot Resistance in Chinese Cabbage (Brassica rapa ssp. pekinensis)
Abstract
1. Introduction
2. Materials and Methods
2.1. Plant Materials
2.2. Isolation of Pathogen and the Pathogenicity Test
2.3. Bulked Segregant Analysis (BSA) by Resequencing
2.4. Marker Analysis and Linkage Map Development
2.5. Cloning and Sequence Analysis of the CRq Gene
2.6. Quantitative Real-Time PCR (qRT-PCR) and Semi-Quantitative RT–PCR Analyses
2.7. Construction of Expression Vectors
2.8. Genetic Transformation in Arabidopsis thaliana
2.9. Screening, Identification and Phenotype Observation of Transgenic Arabidopsis
3. Results
3.1. Phenotypic and Genetic Analysis
3.2. Mapping of CRq Gene Based on BSA-Seq Analysis
3.3. Candidate Gene Analysis
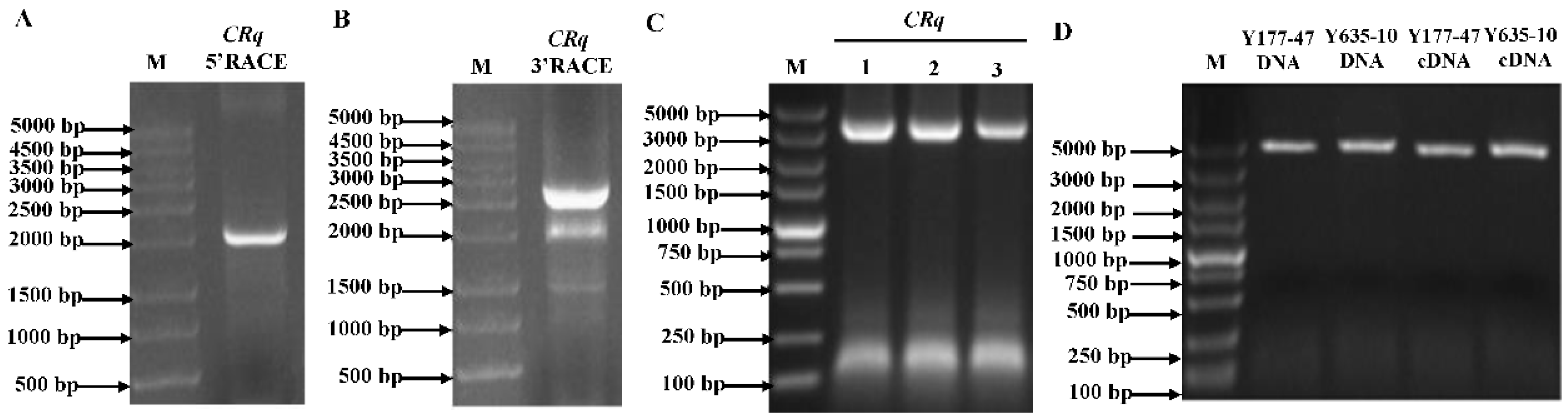
3.4. Cloning and Sequencing of CRq Gene
3.5. Construction of CRq Gene in Expression Vector
3.6. Analysis of Genetic Transformant of Arabidopsis thaliana
4. Discussion
5. Conclusions
Supplementary Materials
Author Contributions
Funding
Data Availability Statement
Acknowledgments
Conflicts of Interest
References
- Ren, W.; Li, Z.; Han, F.; Zhang, B.; Li, X.; Fang, Z.; Yang, L.; Zhuang, M.; Lv, H.; Liu, Y.; et al. Utilization of Ogura CMS germplasm with the clubroot resistance gene by fertility restoration and cytoplasm replacement in Brassica oleracea L. Hortic. Res. 2020, 7, 10. [Google Scholar] [CrossRef] [PubMed]
- Diederichsen, E.; Frauen, M.; Linders, E.; Hatakeyama, K.; Hirai, M. Status and Perspectives of Clubroot Resistance Breeding in Crucifer Crops. J. Plant Growth Regul. 2009, 28, 265–281. [Google Scholar] [CrossRef]
- Okamoto, T.; Wei, X.; Mehraj, H.; Hossain, M.R.; Akter, A.; Miyaji, N.; Takada, Y.; Park, J.-I.; Fujimoto, R.; Nou, I.-S.; et al. Chinese Cabbage (Brassica rapa L. var. pekinensis) Breeding: Application of Molecular Technology. In Advances in Plant Breeding Strategies: Vegetable Crops; Al-Khayri, J.M., Jain, S.M., Johnson, D.V., Eds.; Springer: Cham, Switzerland, 2021; pp. 59–94. [Google Scholar] [CrossRef]
- Yang, Z.J. SNP Development in Penaeus vannamei via Next-Generation Sequencing and DNA Pool Sequencing. Fishes 2021, 6, 36. [Google Scholar] [CrossRef]
- Iezzoni, A.F.; Mcferson, J.; Luby, J.; Gasic, K.; Peace, C. RosBREED: Bridging the chasm between discovery and application to enable DNA-informed breeding in rosaceous crops. Hortic. Res. 2020, 7, 177. [Google Scholar] [CrossRef]
- Michelmore, R.W.; Kesseli, I.J. Identification of markers linked to disease-resistance genes by bulked segregant analysis: A rapid method to detect markers in specific genomic regions by using segregating populations. Proc. Natl. Acad. Sci. USA 1991, 88, 9828–9832. [Google Scholar] [CrossRef]
- Chen, C.; Guo, J.; Cao, K.; Zhu, G.; Wang, L. Identification of candidate genes associated with slow-melting flesh trait in peach using bulked segregant analysis and RNA-seq. Sci. Hortic. 2021, 286, 110208. [Google Scholar] [CrossRef]
- Yu, F.; Zhang, Y.; Wang, J.; Chen, Q.; Karim, M.M.; Gossen, B.D.; Peng, G. Identification of Two Major QTLs in Brassica napus Lines with Introgressed Clubroot Resistance from Turnip Cultivar ECD01. Front. Plant Sci. 2022, 12, 785989. [Google Scholar] [CrossRef]
- Kuginuki, Y.; Ajisaka, H.; Yui, M.; Yoshikawa, H.; Hida, K.I.; Hirai, M. RAPD markers linked to a clubroot-resistance locus in Brassica rapa L. Euphytica 1997, 98, 149–154. [Google Scholar] [CrossRef]
- Suwabe, K.; Tsukazaki, H.; Iketani, H.; Hatakeyama, K.; Kondo, M.; Fujimura, M.; Nunome, T.; Fukuoka, H.; Hirai, M.; Matsumoto, S. Simple sequence repeat-based comparative genomics between Brassica rapa and Arabidopsis thaliana: The genetic origin of clubroot resistance. Genetics 2006, 173, 309–319. [Google Scholar] [CrossRef]
- Katsunori, H.; Keita, S.; Norio, T.R.; Takeyuki, K.; Tsukasa, N.; Hiroyuki, F.; Matsumoto, S. Identification and Characterization of Crr1a, a Gene for Resistance to Clubroot Disease (Plasmodiophora brassicae Woronin) in Brassica rapa L. PLoS ONE 2013, 8, e54745. [Google Scholar] [CrossRef]
- Matsumoto, E.; Yasui, C.; Ohi, M.; Tsukada, M. Linkage analysis of RFLP markers for clubroot resistance and pigmentation in Chinese cabbage (Brassica rapa ssp. pekinensis). Euphytica 1998, 104, 79. [Google Scholar] [CrossRef]
- Williams, P.H. A system for the determination of races of Plasmodiophora brassicae that infect Cabbage and Rutabaga. Phytopathology 1966, 56, 624–626. [Google Scholar]
- Kato, T.; Hatakeyama, K.; Fukino, N.; Matsumoto, S. Identification of a clubroot resistance locus conferring resistance to a Plasmodiophora brassicae classified into pathotype group 3 in Chinese cabbage (Brassica rapa L.). Breed. Sci. 2012, 62, 282–287. [Google Scholar] [CrossRef] [PubMed]
- Kato, T.; Hatakeyama, K.; Fukino, N.; Matsumoto, S. Fine mapping of the clubroot resistance gene CRb and development of a useful selectable marker in Brassica rapa. Breed. Sci. 2013, 63, 116–124. [Google Scholar] [CrossRef]
- Chu, M.; Song, T.; Falk, K.C.; Zhang, X.; Liu, X.; Chang, A.; Lahlali, R.; McGregor, L.; Gossen, B.D.; Yu, F.; et al. Fine mapping of Rcr1 and analyses of its effect on transcriptome patterns during infection by Plasmodiophora brassicae. BMC Genom. 2014, 15, 1166. [Google Scholar] [CrossRef] [PubMed]
- Hasan, M.J.; Megha, S.; Rahman, H. Clubroot in Brassica: Recent advances in genomics, breeding and disease management. Genome 2021, 64, 735–760. [Google Scholar] [CrossRef]
- Hatakeyama, K.; Niwa, T.; Kato, T.; Ohara, T.; Kakizaki, T.; Matsumoto, S. The tandem repeated organization of NB-LRR genes in the clubroot-resistant CRb locus in Brassica rapa L. Mol. Genet. Genom. 2017, 292, 397–405. [Google Scholar] [CrossRef]
- Ueno, H.; Matsumoto, E.; Aruga, D.; Kitagawa, S.; Matsumura, H.; Hayashida, N. Molecular characterization of the CRa gene conferring clubroot resistance in Brassica rapa. Plant Mol. Biol. 2012, 80, 621–629. [Google Scholar] [CrossRef]
- Piao, Z.Y.; Lee, W.C.; Lee, Y.K.; Kim, H.G.; Jeong, J.Y.; Hwang, C.H.; Lim, Y.P. Towards the cloning of clubroot resistance gene (CRb) in Chinese cabbage. Acta Hortic. 2006, 706, 313–316. [Google Scholar] [CrossRef]
- Yuan, Y.X.; Wei, X.; Zhang, Q.; Zhao, Y.Y.; Jiang, W.S.; Yao, Q.J.; Wang, Z.Y.; Zhang, Y.; Tan, Y.; Li, Y.; et al. S4-2-1: BSA-Seq Technologies Identify a Major QTL for Clubroot Resistance in Chinese Cabbage (Brassica rapa ssp. pekinesis). 2015 KSM Spring Meeting & KSM-ICWG-GSP Joint Clubroot Symposium. 2015, p. 41. Available online: https://www.koreascience.or.kr/article/CFKO201524237729615.pub?orgId=mycology (accessed on 24 March 2022).
- Wei, X.; Zhang, Y.; Zhao, Y.; Xie, Z.; Hossain, M.R.; Yang, S.; Shi, G.; Lv, Y.; Wang, Z.; Tian, B.; et al. Root Transcriptome and Metabolome Profiling Reveal Key Phytohormone-Related Genes and Pathways Involved Clubroot Resistance in Brassica rapa L. Front. Plant Sci. 2021, 15, 759623. [Google Scholar] [CrossRef]
- Jia, H.; Wei, X.; Yang, Y.; Yuan, Y.; Wei, F.; Zhao, Y.; Yang, S.; Yao, Q.; Wang, Z.; Tian, B.; et al. Root RNA-seq analysis reveals a distinct transcriptome landscape between clubroot-susceptible and clubroot-resistant Chinese cabbage lines after Plasmodiophora brassicae infection. Plant Soil 2017, 421, 93–105. [Google Scholar] [CrossRef]
- Yang, H.; Yuan, Y.; Wei, X.; Zhang, X.; Wang, H.; Song, J.; Li, X. A New Identification Method Reveals the Resistance of an Extensive-Source Radish Collection to Plasmodiophora brassicae Race 4. Agronomy 2021, 11, 792. [Google Scholar] [CrossRef]
- Liu, C.; Yang, Z.; He, P.; Munir, S.; He, P.; Wu, Y.; Ho, H.; He, Y. Fluazinam positively affected the microbial communities in clubroot cabbage rhizosphere. Sci. Hortic. 2019, 256, 108519. [Google Scholar] [CrossRef]
- Yuan, Y.; Qin, L.; Su, H.; Yang, S.; Zhang, X.J. Transcriptome and Coexpression Network Analyses Reveal Hub Genes in Chinese Cabbage (Brassica rapa L. ssp. pekinensis) during Different Stages of Plasmodiophora brassicae Infection. Front. Plant Sci. 2021, 12, 650252. [Google Scholar] [CrossRef] [PubMed]
- Yang, S.; Liu, H.; Zhao, Y.; Su, H.; Wei, X.; Wang, Z.; Zhao, X.; Zhang, X.-W.; Yuan, Y. Map-Based Cloning and Characterization of Br-dyp1, a Gene Conferring Dark Yellow Petal Color Trait in Chinese Cabbage (Brassica rapa L. ssp. pekinensis). Front. Plant Sci. 2022, 13, 841328. [Google Scholar] [CrossRef] [PubMed]
- Abe, A.; Kosugi, S.; Yoshida, K.; Natsume, S.; Takagi, H.; Kanzaki, H.; Matsumura, H.; Yoshida, K.; Mitsuoka, C.; Tamiru, M.; et al. Genome sequencing reveals agronomically important loci in rice using MutMap. Nat. Biotechnol. 2012, 30, 174–178. [Google Scholar] [CrossRef] [PubMed]
- Takagi, H.; Abe, A.; Yoshida, K.; Kosugi, S.; Natsume, S.; Mitsuoka, C.; Uemura, A.; Utsushi, H.; Tamiru, M.; Takuno, S.; et al. QTL-seq: Rapid mapping of quantitative trait loci in rice by whole genome resequencing of DNA from two bulked populations. Plant J. 2013, 1, 174–183. [Google Scholar] [CrossRef]
- García-Lor, A.; Luro, F.; Navarro, L.; Ollitrault, P. Comparative use of InDel and SSR markers in deciphering the interspecific structure of cultivated citrus genetic diversity: A perspective for genetic association studies. Mol. Genet. Genom. 2012, 287, 77–94. [Google Scholar] [CrossRef]
- Ooijen, J.W.V.; Voorrips, R.E. Software for the Graphical Presentation of Linkage Maps and QTLs. J. Hered. 2002, 93, 77–78. [Google Scholar] [CrossRef]
- Karim, M.M.; Dakouri, A.; Zhang, Y.; Chen, Q.; Peng, G.; Strelkov, S.E.; Gossen, B.D.; Yu, F. Two Clubroot-Resistance Genes, Rcr3 and Rcr9wa, Mapped in Brassica rapa Using Bulk Segregant RNA Sequencing. Int. J. Mol. Sci. 2020, 21, 5033. [Google Scholar] [CrossRef]
- Yang, S.; Tian, X.; Wang, Z.; Wei, X.; Zhao, Y.; Su, H.; Zhao, X.; Tian, B.; Yuan, Y.; Zhang, X.W. Fine Mapping and Candidate Gene Identification of a White Flower Gene BrWF3 in Chinese Cabbage (Brassica rapa L. ssp. pekinensis). Front. Plant Sci. 2021, 12, 646222. [Google Scholar] [CrossRef] [PubMed]
- Su, T.; Yu, S.; Zhang, J.; Yu, Y.; Zhang, D.; Zhao, X.; Wang, W. Loss of Function of the Carotenoid Isomerase Gene BrCRTISO Confers Orange Color to the Inner Leaves of Chinese Cabbage (Brassica rapa L. ssp. pekinensis). Plant Mol. Biol. Rep. 2015, 33, 648–659. [Google Scholar] [CrossRef]
- Livak, K.J.; Schmittgen, T.D. Analysis of Relative Gene Expression Data using Real-Time Quantitative PCR. Methods 2002, 25, 402–408. [Google Scholar] [CrossRef] [PubMed]
- Pang, W.; Fu, P.; Li, X.; Zhan, Z.; Yu, S.; Piao, Z. Identification and Mapping of the Clubroot Resistance Gene CRd in Chinese Cabbage (Brassica rapa ssp. pekinensis). Front. Plant Sci. 2018, 9, 653. [Google Scholar] [CrossRef]
- Liang, X.; Peng, L.; Chang-Ho, B.; Federico, K. Single step BP/LR combined Gateway reactions. Biotechniques 2013, 55, 265. [Google Scholar] [CrossRef] [PubMed]
- Li, N.; Yuan, D.; Huang, L.J. Development of a Gateway-compatible two-component expression vector system for plants. Transgenic. Res. 2019, 28, 561–572. [Google Scholar] [CrossRef]
- Hamann, T.; Benkova, E.; Bäurle, I.; Kientz, M.; Jürgens, G. The Arabidopsis BODENLOS gene encodes an auxin response protein inhibiting MONOPTEROS-mediated embryo patterning. Gene Dev. 2002, 16, 1610–1615. [Google Scholar] [CrossRef]
- Werner, T. Cytokinin-Deficient Transgenic Arabidopsis Plants Show Multiple Developmental Alterations Indicating Opposite Functions of Cytokinins in the Regulation of Shoot and Root Meristem Activity. Plant Cell 2003, 15, 2532–2550. [Google Scholar] [CrossRef]
- Lee, S.B.; Kim, J.E.; Kim, H.T.; Lee, G.M.; Lee, J.M. Genetic mapping of the c1 locus by GBS-based BSA-seq revealed Pseudo-Response Regulator 2 as a candidate gene controlling pepper fruit color. Theor. Appl. Genet. 2020, 133, 1897–1910. [Google Scholar] [CrossRef]
- Sarazin, V.; Duclercq, J.; Mendou, B.; Aubanelle, L.; Nicolas, V.; Aono, M.; Pilard, S.; Guerineau, F.; Sangwan-Norreel, B.; Sangwan, R.S. Arabidopsis BNT1, an atypical TIR-NBS-LRR gene, acting as a regulator of the hormonal response to stress. Plant Sci. 2015, 239, 216–229. [Google Scholar] [CrossRef]
- Yu, F.; Zhang, X.; Huang, Z.; Chu, M.; Song, T.; Falk, K.C.; Deora, A.; Chen, Q.; Zhang, Y.; McGregor, L.; et al. Identification of Genome-Wide Variants and Discovery of Variants Associated with Brassica rapa Clubroot Resistance Gene Rcr1 through Bulked Segregant RNA Sequencing. PLoS ONE 2016, 11, e0153218. [Google Scholar] [CrossRef] [PubMed]
- Bulgarelli, D.; Biselli, C.; Collins, N.C.; Consonni, G.; Stanca, A.M.; Schulze-Lefert, P.; Valè, G. The CC-NB-LRR-Type Rdg2a Resistance Gene Confers Immunity to the Seed-Borne Barley Leaf Stripe Pathogen in the Absence of Hypersensitive Cell Death. PLoS ONE 2010, 5, e12599. [Google Scholar] [CrossRef] [PubMed][Green Version]
- Paul, P.; Chhapekar, S.; Rameneni, J.; Oh, S.; Dhandapani, V.; Subburaj, S.; Shin, S.-Y.; Ramchiary, N.; Shin, C.; Choi, S.R.; et al. Brassica rapa MiR1885 Regulates Disease Tolerance Genes in during Early Infection with Plasmodiophora brassicae. Int. J. Mol. Sci. 2021, 22, 9433. [Google Scholar] [CrossRef] [PubMed]
- Ellis, J.G.; Dodds, P.N.; Lawrence, G. Flax Rust Resistance Gene Specificity is Based on Direct Resistance-Avirulence Protein Interactions. Annu. Rev. Phytopathol. 2007, 45, 289–306. [Google Scholar] [CrossRef]
- Dixon, M.S.; Hatzixanthis, K.; Jones, D.A.; Jones, H. The Tomato Cf-5 Disease Resistance Gene and Six Homologs Show Pronounced Allelic Variation in Leucine-Rich Repeat Copy Number. Plant Cell 1998, 11, 1915–1925. [Google Scholar] [CrossRef]
- Thomas, C.M.; Jones, D.A.; Parniske, M.; Harrison, K.; Balint-Kurti, P.J.; Hatzixanthis, K.; Jones, J.D. Characterization of the tomato Cf-4 gene for resistance to Cladosporium fulvum identifies sequences that determine recognitional specificity in Cf-4 and Cf-9. Plant Cell 1997, 9, 2209–2224. [Google Scholar] [CrossRef]
- Shen, Y.H. Construction of Plant Expression Vector with Tag Protein Fusion for Two MYB Genes of Arabidopsis. J. Anhui Agric. Sci. 2011, 34, 29–30. [Google Scholar]
- Xuan, L.; Zhang, J.; Lu, W.; Gluza, P.; Zeng, W.J. A Pipeline Towards the Biochemical Characterization of the Arabidopsis GT14 Family. Int. J. Mol. Sci. 2021, 22, 1360. [Google Scholar] [CrossRef]






| Experiment | Total | Resistant Plants | Susceptible Plants | Ratio | χ2 | χ2 p-Value at 0.05 |
|---|---|---|---|---|---|---|
| JQF2-spring | 340 | 259 | 81 | 3:1 | 0.192 | 3.841 |
| JQF2-autumn | 340 | 266 | 74 | 3:1 | 1.878 | 3.841 |
| Gene Name | Gene Position on A03 | A. thaliana Homolog | Gene Annotations |
|---|---|---|---|
| Bra019413 | 24350950..24353977 | Unknown | NB-ARC domain |
| Bra019412 | 24370531..24371199 | AT5G11250 | Encodes an atypical TIR-NBS-LRR protein that is involved in stress responses. Loss of function alleles overproduce stress hormones JA, SA, ABA and ET. |
| Bra019411 | 24372280..24372516 | AT3G20410 | Calmodulin-domain protein kinase CDPKisoform9 (CPK9) |
| Bra019410 | 24373815..24379176 | AT5G11250 | Encodes an atypical TIR-NBS-LRR protein that is involved in stress responses. Loss of function alleles overproduce stress hormones JA, SA, ABA and ET. |
| Bra019409 | 24381590..24386315 | AT1G69550 | Disease resistance protein (TIR-NBS-LRR class) |
| Bra019408 | 24388976..24389449 | AT4G21970 | Senescence regulator (Protein of unknown function, DUF584) |
| Bra019407 | 24391878..24392811 | AT4G21980 | Encodes APG8, a component of autophagy conjugation pathway. |
| Bra019406 | 24393210..24394793 | AT4G21990 | Encodes a protein disulfide isomerase-like (PDIL) protein, a member of a multigene family within the thioredoxin (TRX) superfamily. |
| Bra019405 | 24403694..24404722 | AT1G69090 | F-box protein (DUF295) |
| Bra019404 | 24409283..24411164 | Unknown | unknown |
| Bra019403 | 24413728..24415552 | Unknown | unknown |
Publisher’s Note: MDPI stays neutral with regard to jurisdictional claims in published maps and institutional affiliations. |
© 2022 by the authors. Licensee MDPI, Basel, Switzerland. This article is an open access article distributed under the terms and conditions of the Creative Commons Attribution (CC BY) license (https://creativecommons.org/licenses/by/4.0/).
Share and Cite
Wei, X.; Li, J.; Zhang, X.; Zhao, Y.; Nath, U.K.; Mao, L.; Xie, Z.; Yang, S.; Shi, G.; Wang, Z.; et al. Fine Mapping and Functional Analysis of Major QTL, CRq for Clubroot Resistance in Chinese Cabbage (Brassica rapa ssp. pekinensis). Agronomy 2022, 12, 1172. https://doi.org/10.3390/agronomy12051172
Wei X, Li J, Zhang X, Zhao Y, Nath UK, Mao L, Xie Z, Yang S, Shi G, Wang Z, et al. Fine Mapping and Functional Analysis of Major QTL, CRq for Clubroot Resistance in Chinese Cabbage (Brassica rapa ssp. pekinensis). Agronomy. 2022; 12(5):1172. https://doi.org/10.3390/agronomy12051172
Chicago/Turabian StyleWei, Xiaochun, Jundang Li, Xiaowei Zhang, Yanyan Zhao, Ujjal Kumar Nath, Lixia Mao, Zhengqing Xie, Shuangjuan Yang, Gongyao Shi, Zhiyong Wang, and et al. 2022. "Fine Mapping and Functional Analysis of Major QTL, CRq for Clubroot Resistance in Chinese Cabbage (Brassica rapa ssp. pekinensis)" Agronomy 12, no. 5: 1172. https://doi.org/10.3390/agronomy12051172
APA StyleWei, X., Li, J., Zhang, X., Zhao, Y., Nath, U. K., Mao, L., Xie, Z., Yang, S., Shi, G., Wang, Z., Tian, B., Su, H., Yang, Z., Wei, F., & Yuan, Y. (2022). Fine Mapping and Functional Analysis of Major QTL, CRq for Clubroot Resistance in Chinese Cabbage (Brassica rapa ssp. pekinensis). Agronomy, 12(5), 1172. https://doi.org/10.3390/agronomy12051172

