Formulation and In-Vitro/Ex-Vivo Characterization of Pregelled Hybrid Alginate–Chitosan Microparticles for Ocular Delivery of Ketorolac Tromethamine
Abstract
1. Introduction
2. Materials and Methods
2.1. Generation of Ch–Ag MPs Using the Modified Ionic Gelation Method
2.2. Preparation of Ch-Ag MPs Containing Calcium Chloride Using Ionic Pre-Gelation Method
2.2.1. Effect of Processing Variables on Particle Sizes
Effect of Calcium Chloride Concentration and Stirring Time
Effect of pH of Sodium Alginate
2.3. Estimation of Entrapment Efficiency (EE%)
2.4. Particle Size, PDI and Zeta Potential Measurements
2.5. Morphological Investigation Using SEM and TEM
2.6. DSC
2.7. FTIR
2.8. In-Vitro Drug Release Study
2.9. Mucoadhesion Measurements
2.10. Ex-Vivo Permeation (Transcorneal Permeation) Studies
2.11. MTT Reduction Cytotoxicity Test on Human Primary Corneal Epithelial Cells as Well as Human Lens Cells
2.12. Statistical Analysis
3. Results and Discussion
3.1. Effects of Processing Parameters on Particle Size Measurements
3.1.1. Effect of Changing Polymer/Polymer Ratios on Size and Zeta Potential
3.1.2. Effect of Tween 80 on Size Measurements and Zeta Potential
3.1.3. Effect of Different Concentrations of KT on Size Measurements
3.1.4. Effect of Different pH Values of Sodium Alginate Solution on Size Measurements
3.2. Entrapment Efficiency Measurements
3.3. Effect of Different Formulation Parameters on Size, Zeta Potential and PDI of Pregelled MPs
3.3.1. Effect of Different Polymer/Polymer Ratios
3.3.2. Effect of Different Concentration of Calcium Chloride
3.3.3. Effect of Changing Stirring Time
3.4. Effect of Different Concentrations of KT on Entrapment Efficiency
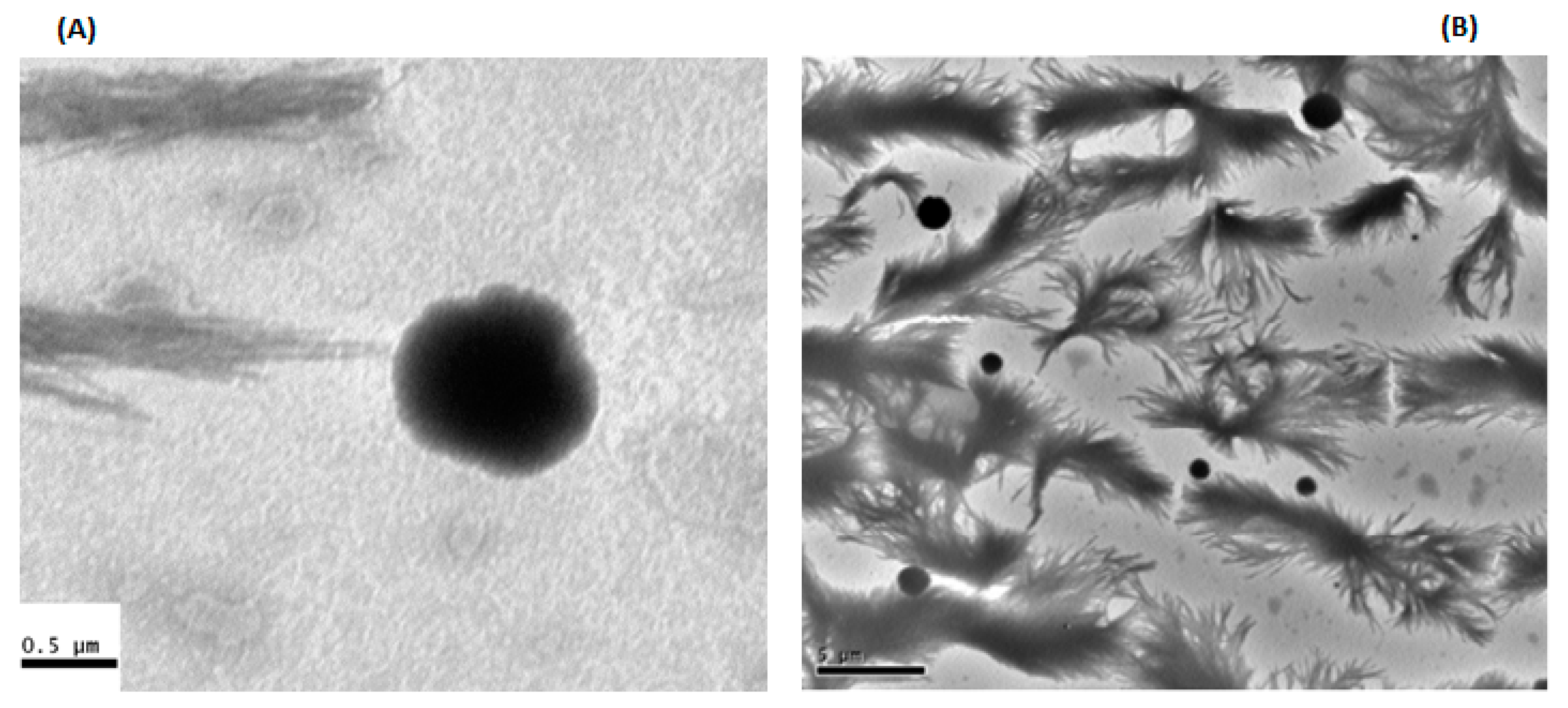
3.5. Morphology and Structure Characterisation of Chitosan-Sodium Alginate MPs
3.5.1. SEM
3.5.2. Transmission Electron Microscope (TEM)
3.6. DSC
3.7. FTIR
3.8. In-Vitro Release Study of Chitosan-Sodium Alginate MPs
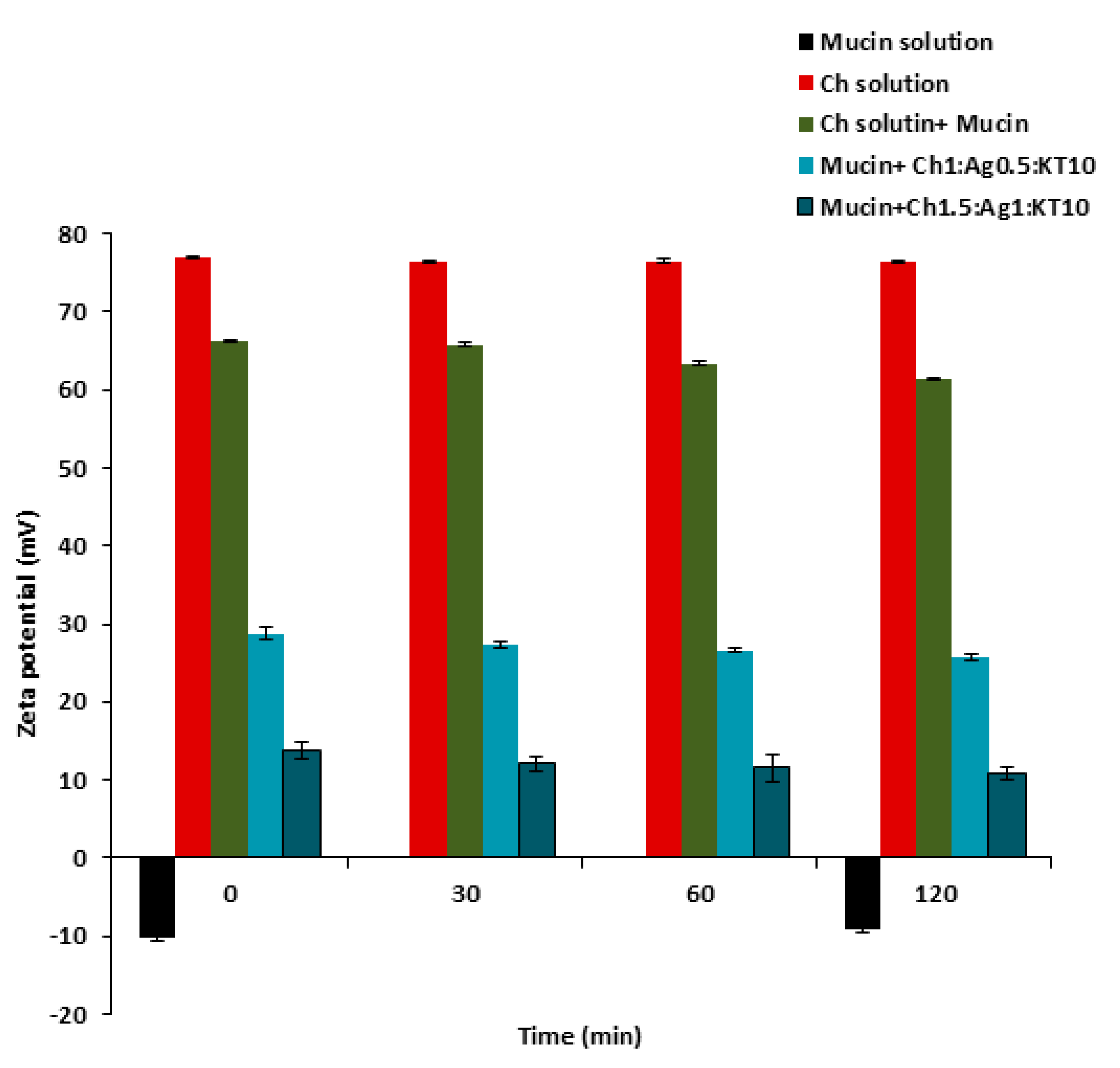
3.9. Mucoadhesion Investigation
3.10. Ex-Vivo Permeation Study for Chitosan-Based MP Formulations
3.11. MTT Cytotoxcity Assay
3.11.1. MTT Assay on Human Lens Cells
3.11.2. MTT Assay on Human Primary Corneal Epithelium Cells
4. Conclusions
Author Contributions
Funding
Institutional Review Board Statement
Data Availability Statement
Acknowledgments
Conflicts of Interest
References
- Almeida, H.; Amaral, M.H.; Lobão, P.; Lobo, J.M.S. In situ gelling: A strategy to improve the bioavailability of ophthalmic pharmaceutical formulations. Drug Discov. Today 2014, 19, 400–412. [Google Scholar] [CrossRef] [PubMed]
- Abdelkader, H.; Fathalla, Z.; Seyfoddin, A.; Farahani, M.; Thrimawithana, T.; Allahham, A.; Alani, A.W.; Al-Kinani, A.A.; Alany, R.G. Polymeric long-acting drug delivery systems (LADDS) for treatment of chronic diseases: Inserts, patches, wafers, and implants. Adv. Drug Deliv. Rev. 2021, 177, 113957. [Google Scholar] [CrossRef] [PubMed]
- Kim, J.S.; Flach, J.A.; Jampol, M.L. Nonsteroidal Anti-inflammatory Drugs in Ophthalmology. Surv. Ophalmol. 2010, 55, 108–133. [Google Scholar] [CrossRef] [PubMed]
- Ahuja, M.; Dhake, A.S.; Sharma, S.K.; Majumdar, D.K. Topical ocular delivery of NSAIDs. AAPS J. 2008, 10, 229–241. [Google Scholar] [CrossRef] [PubMed]
- Chowhan; Giri, T.K. Polysaccharide as renewable responsive biopolymer for in situ gel in the delivery of drug through ocular route. Int. J. Biomed. Macromol. 2020, 150, 559–572. [Google Scholar] [CrossRef]
- Gaynes, B.; Fiscella, R. Topical nonsteroidal anti-inflammatory drugs for ophthalmic use: A safety review. Drug Saf. 2002, 25, 233–250. [Google Scholar] [CrossRef]
- Wang, C.; Pang, Y. Nano-based eye drop: Topical and noninvasive therapy for ocular diseases. J. Control. Release 2023, 194, 114721. [Google Scholar] [CrossRef]
- Ahmady, A.R.; Solouk, A.; Saber-Samandari, S.; Akbari, S.; Ghanbari, H.; Brycki, B.E. Capsaicin-loaded alginate nanoparticles embedded polycaprolactone-chitosan nanofibers as a controlled drug delivery nanoplatform for anticancer activity. J. Colloid Interface Sci. 2023, 638, 616–628. [Google Scholar] [CrossRef]
- Obireddy, S.R.; Bellala, S.; Chintha, M.; Sake, A.; Subbarao, S.M.C.; Lai, W.-F. Synthesis and properties of alginate-based nanoparticles incorporated with different inorganic nanoparticulate modifiers for enhanced encapsulation and controlled release of favipiravir. Arab. J. Chem. 2023, 16, 104751. [Google Scholar] [CrossRef]
- Yuan, J.; Guo, L.; Wang, S.; Liu, D.; Qin, X.; Zheng, L.; Tian, C.; Han, X.; Chen, R.; Yin, R. Preparation of self-assembled nanoparticles of ε-polylysine-sodium alginate: A sustained-release carrier for antigen delivery. Colloids Surf. B Biointerfaces 2018, 171, 406–412. [Google Scholar] [CrossRef]
- Alinejad-Mofrad, E.; Malaekeh-Nikouei, B.; Gholami, L.; Mousavi, S.; Sadeghnia, H.; Mohajeri, M.; Darroudi, M.; Oskuee, R. Evaluation and comparison of cytotoxicity, genotoxicity, and apoptotic effects of poly-l-lysine/plasmid DNA micro- and nanoparticles. Hum. Exp. Toxicol. 2019, 38, 983–991. [Google Scholar] [CrossRef]
- Niculescu, A.G.; Grumezescu, A.M. Applications of Chitosan-Alginate-Based Nanoparticles—An Up-to-Date Review. Nanomaterials 2022, 12, 186. [Google Scholar] [CrossRef] [PubMed]
- Bakil SN, A.; Kamal, H.; Abdullah, H.Z.; Idris, M.I. Sodium Alginate-Zinc Oxide Nanocomposite Film for Antibacterial Wound Healing Applications. Biointerface Res. Appl. Chem. 2020, 10, 6289–6296. [Google Scholar]
- Wei, Z.; Xue, C. Alginate-based delivery systems for food bioactive ingredients: An overview of recent advances and future trends. Compr. Rev. Food Sci. Food Saf. 2021, 20, 5345–5369. [Google Scholar]
- Calvo, P.; Remuñán-López, C.; Vila-Jato, J.L.; Alonso, M.J. Novel hydrophilic chitosan-polyethylene oxide nanoparticles as protein carriers. J. Appl. Polym. Sci. 1997, 63, 125–132. [Google Scholar] [CrossRef]
- Zhu, X.; Su, M.; Tang, S.; Wang, L.; Liang, X.; Meng, F.; Hong, Y.; Xu, Z. Synthesis of thiolated chitosan and preparation nanoparticles with sodium alginate for ocular drug delivery. Mol. Vis. 2012, 18, 1973–1982. [Google Scholar] [PubMed]
- Rajaonarivony, M.; Vauthier, C.; Couarraze, G.; Puisieux, F.; Couvreur, P. Development of a new drug carrier made from alginate. J. Pharm. Sci. 1993, 82, 912–917. [Google Scholar] [CrossRef] [PubMed]
- Sarmento, B.; Ribeiro, A.; Veiga, F.; Sampaio, P.; Neufeld, R.J.; Ferreira, D. Alginate/Chitosan Nanoparticles are Effective for Oral Insulin Delivery. Pharm. Res. 2007, 24, 2198–2206. [Google Scholar] [CrossRef]
- Fathalla, Z.M.A.; Khaled, K.A.; Hussein, A.K.; Alany, R.G.; Vangala, A. Formulation and corneal permeation of ketorolac tromethamine-loaded chitosan nanoparticles. Drug Dev. Ind. Pharm. 2015, 42, 514–524. [Google Scholar] [CrossRef] [PubMed]
- Soppimath, K.S.; Aminabhavi, T.M.; Kulkarni, A.R.; Rudzinski, W.E. Biodegradable polymeric nanoparticles as drug delivery devices. J. Control. Release 2001, 70, 1–20. [Google Scholar] [CrossRef]
- De Campos, A.M.; Diebold, Y.; Carvalho, E.L.S.; Sánchez, A.; Alonso, M.J. Chitosan nanoparticles as new ocular drug delivery systems: In vitro stability, in vivo fate, and cellular toxicity. Pharm. Res. 2004, 21, 803–810. [Google Scholar] [CrossRef] [PubMed]
- Gratieri, T.; Gelfuso, G.; Thomazini, J.; Lopez, R. Excised porcine cornea integrity evaluation in an in vitro model of iontophoretic ocular research. Ophthalmic Res. 2010, 43, 208–216. [Google Scholar] [CrossRef] [PubMed]
- Abdelkader, H.; Ismail, S.; Kamal, A.; Alany, R.G. Design and evaluation of controlled release niosomes and discomes for naltrexone hydrochloride ocular delivery. J. Pharm. Sci. 2011, 100, 1833–1846. [Google Scholar] [CrossRef]
- Abdelkader, H.; Longman, M.R.; Alany, R.G.; Pierscionek, B. Phytosome-hyaluronic acid systems for ocular delivery of L-carnosine. Int. J. Nanomed. 2016, 11, 2815–2827. [Google Scholar] [CrossRef]
- Motwani, S.K.; Chopra, S.; Talegaonkar, S.; Kohli, K.; Ahmad, F.J.; Khar, R.K. Chitosan-sodium alginate nanoparticles as submicroscopic reservoir for ocular delivery: Formulation, optimisation and invitro characterisation. Eur. J. Pharm. Biopharm. 2008, 68, 513–525. [Google Scholar] [CrossRef]
- Aydın, R.S.T.; Pulat, M. 5-Fluorouracil Encapsulated Chitosan Nanoparticles for pH-Stimulated Drug Delivery: Evaluation of ControlledRelease Kinetics. J. Nanomater. 2012, 2012, 42. [Google Scholar]
- Kim, T.-I.; Lee, S.Y.; Pak, J.H.; Tchah, H.; Kook, M.S. Mitomycin C, ceramide, and 5-fluorouracil Inhibit corneal haze and apoptosis after PRK. Cornea 2006, 25, 55–60. [Google Scholar] [CrossRef]
- Sarmento, B.; Ferreira, D.; Veiga, F.; Ribeiro, A. Characterization of insulin-loaded alginate nanoparticles produced by ionotropic pre-gelation through DSC and FTIR studies. Carbohydr. Polym. 2006, 66, 1–7. [Google Scholar] [CrossRef]
- Mao, H.-Q.; Roy, K.; Troung-Le, V.L.; Janes, K.A.; Lin, K.Y.; Wang, Y.; August, J.; Leong, K.W. Chitosan-DNA nanoparticles as gene carriers: Synthesis, characterisation and transfection effieciency. J. Control. Release 2001, 70, 399–421. [Google Scholar] [CrossRef]
- Douglas, K.L.; Tabrizian, M.J. Effect of experimental parameters on the formation of alginate–chitosan nanoparticles and evaluation of their potential application as DNA carrier. J. Biomed. Mater. Res. Polym. Ed. 2005, 16, 43–56. [Google Scholar] [CrossRef] [PubMed]
- Gazori, T.; Khoshayand, M.R.; Azizi, E.; Yazdizade, P.; Nomani, A.; Haririan, I. Evaluation of Alginate/Chitosan nanoparticles as antisense delivery vector: Formulation, optimization and in vitro characterization. Carbohydr. Polym. 2009, 77, 599–606. [Google Scholar] [CrossRef]
- Chopra, M.; Kaur, P.; Bernela, M.; Thakur, R. Synthesis and Optimization of Streptomycin Loaded Chitosan-Alginate Nanoparticles. Int. J. Sci. Technol. Res. 2012, 1, 31–34. [Google Scholar]
- Sarmento, B.; Ribeiro, A.; Veiga, F.; Ferreira, D.; Neufeld, R.J. Insulin-loaded nanoparticles are prepared by alginate ionotropic pre-gelation followed by chitosan polyelectrolyte complexation. J. Nanosci. Nanotechnol. 2007, 7, 2833–2841. [Google Scholar] [CrossRef] [PubMed]
- Gupta, V.K.; Karari, P.K. Optimization of process variables for the preparation of chitosan-alginate nanoparticles. Int. J. Pharm. Pharm. Sci. 2011, 3, 78–80. [Google Scholar]
- Dash, A.K. Determination of the physical state of drug in microcapsule and micro sphere formulations. J. Microencapsul. 1997, 14, 101–112. [Google Scholar] [CrossRef]
- Gupta, A.K.; Madan, S.; Majumdar, D.; Maitra, A. Ketorolac entrapped in polymeric micelles: Preparation, characterisation and ocular anti-inflammatory studies. Int. J. Pharm. 2000, 209, 1–14. [Google Scholar] [CrossRef]
- Attama, A.A.; Reichl, S.; Muller-Goymann, C.C. Sustained release and permeation of timolol from surface-modified solid lipid nanoparticles through bioengineered human cornea. Curr. Eye Res. 2009, 34, 698–705. [Google Scholar] [CrossRef]
- De Salamanca, A.E.; Diebold, Y.; Calonge, M.; Garci´a-Vazquez, C.; Callejo, S.; Vila, A.; Alonso, M.J. Chitosan nanoparticles as a potential drug delivery system for the ocular surface: Toxicity, uptake mechanism and in vivo tolerance. Investig. Ophthalmol. Vis. Sci. 2006, 47, 1416–1425. [Google Scholar] [CrossRef]














| Formulation Code | Ch (%) w/v | Ag (%) w/v | Particle Size (nm) | Zeta Potential (mV) | PDI | Visual Observation |
|---|---|---|---|---|---|---|
| Ch0.3:Ag0.5 | 0.03 | 0.05 | 1322.4 ± 18.4 | 19.3 ± 0.21 | 0.884 ± 0.080 | Aggregates |
| Ch0.4:Ag0.5 | 0.04 | 0.05 | 472.1 ± 3.70 | 25.96 ± 2.44 | 0.413 ± 0.041 | Opalescent solution |
| Ch0.5:Ag0.5 | 0.05 | 0.05 | 402.3 ± 4.52 | 32.53 ± 1.34 | 0.230 ± 0.092 | Opalescent solution |
| Ch0.6:Ag0.5 | 0.06 | 0.05 | 405.3 ± 8.63 | 32.6 ± 0.808 | 0.249 ± 0.053 | Opalescent solution |
| Ch0.8:Ag0.5 | 0.08 | 0.05 | 396.2 ± 6.40 | 36.83 ± 1.24 | 0.274 ± 0.021 | Opalescent solution |
| Ch1:Ag0.5 | 0.1 | 0.05 | 462.1 ± 9.90 | 34.1 ± 0.32 | 0.306 ± 0.102 | Opalescent solution |
| Ch2:Ag0.5 | 0.2 | 0.05 | 524.2 ± 11.10 | 38.7 ± 1.01 | 0.446 ± 0.102 | Opalescent solution |
| Formulation Code | Ch (%) w/v | Ag (%) w/v | particle Size (nm) | Zeta Potential (mV) | PDI | Visual Observation |
|---|---|---|---|---|---|---|
| Ch0.3:Ag0.75 | 0.03 | 0.075 | 1322 ± 10.5 | −1.56 ± 0.50 | 1.00 ± 0.098 | Aggregates |
| Ch0.4:Ag0.75 | 0.04 | 0.075 | 1438 ± 8.6 | 25.2 ± 3.46 | 0.808 ± 0.014 | Aggregates |
| Ch0.5:Ag0.75 | 0.05 | 0.075 | 508.4 ± 27.8 | 32.6 ± 1.11 | 0.266 ± 0.003 | Opalescent solution |
| Ch0.6:Ag0.75 | 0.06 | 0.075 | 522.13 ± 1.5 | 32.36 ± 0.60 | 0.344 ± 0.021 | Opalescent solution |
| Ch0.8:Ag0.75 | 0.08 | 0.075 | 596.9 ± 10.6 | 32.06 ± 0.67 | 0.357 ± 0.042 | Opalescent solution |
| Ch1:Ag0.75 | 0.1 | 0.075 | 643.23 ± 3.7 | 35.30 ± 0.25 | 0.117 ± 0.082 | Opalescent solution |
| Ch2:Ag0.75 | 0.2 | 0.075 | 1677 ± 23.1 | 18.98 ± 0.32 | 1.00 ± 0.076 | Aggregates |
| Ch:Ag Ratio (v/v) | Ch0.5:Ag0.5 | Ch1:Ag0.5 | Ch2:Ag0.5 | |||
|---|---|---|---|---|---|---|
| Particle Size (nm) | Zeta Potential (mV) | Particle Size (nm) | Zeta Potential (mV) | Particle Size (nm) | Zeta Potential (mV) | |
| 1:1 | 1344 ± 31.95 (PDI: 0.974 ± 0.189) | −19.3 ± 0.264 | 534.8 ± 11.3 (PDI: 0.561 ± 0.040) | 27.8 ±1.22 | 565.2 ± 15.16 (PDI: 0.339 ± 0.002) | 34.1 ± 0.10 |
| 2:1 | 394.6 ± 2.628 (PDI: 0.254 ± 0.098) | 32.5 ± 0.208 | 434.9 ± 14.94 (PDI: 0.306 ± 0.037) | 33.7 ± 0.88 | 528.36 ± 22.72 (PDI: 0.373 ± 0.280) | 38.0 ± 0.50 |
| 2.5:1 | 402.3 ± 4.52 (PDI: 0.230 ± 0.092) | 32.5 ± 1.34 | 462.1 ± 9.9 (PDI: 0.306 ± 0.102) | 34.1 ± 0.32 | 524.2 ± 11.10 (PDI: 0.446 ± 0.102) | 38.7 ± 1.01 |
| 3:1 | 384.6 ± 18.81 (PDI: 0.052 ± 0.011) | 29.4 ± 0.51 | 478.1 ± 7.01 (PDI: 0.245 ± 0.099) | 30.5 ± 1.44 | 489.3 ± 19.91 (PDI: 0.650 ± 0.190 | 37.9 ± 0.55 |
| Tween 80 (%) w/v | Ch0.5:Ag0.5 | Ch1:Ag0.5 | Ch2:Ag0.5 |
|---|---|---|---|
| 0 | 394.6 ± 2.628(PDI: 0.254) | 434.9 ± 14.94 (PDI: 0.306) | 528.36 ± 22.72 (PDI:0.373) |
| 0.5 | 343.93 ± 5.13 (PDI: 0.115) | 305.23 ± 10.65 (PDI: 0.228) | 461.83 ± 6.76 (PDI: 0.334) |
| 1.0 | 340.11 ± 6.88 (PDI: 0.344) | 320.77 ± 2.91 (PDI: 0.222) | 438.51 ± 14.4 (PDI: 0.129) |
| Formulation Code | Average Particle Size (nm) | Zeta Potential (mV) | PDI | EE% |
|---|---|---|---|---|
| Ch0.5:Ag0.5 | 497.90 ± 10.55 | 26.7 ± 2.34 | 0.175 ± 0.03 | 24.53 ± 2.48 |
| Ch1:Ag0.5 | 525.33 ± 11.87 | 32.1 ± 3.76 | 0.233 ± 0.01 | 21.70± 1.09 |
| Ch2:Ag0.5 | 812.7 ± 13.76 | 36.6 ± 1.56 | 0.656 ± 0.126 | 19.26 ± 1.33 |
| KT Conc. (mg/mL) | Ch0.5:Ag0.5 | Ch1:Ag0.5 | ||||||
|---|---|---|---|---|---|---|---|---|
| Size (nm) | Zeta Potential (mV) | PDI | EE% | Size (nm) | Zeta Potential (mV) | PDI | EE% | |
| 5 | 497.9 ± 10.55 | 26.7 ± 2.34 | 0.175 ± 0.03 | 24.53 ± 2.48 | 525.3 ± 11.87 | 32.1 ± 3.76 | 0.233 ± 0.01 | 21.70 ± 1.09 |
| 10 | 523.3 ± 5.76 | 24.7 ± 0.88 | 0.434 ± 0.02 | 69.5 ± 2.13 | 679.7 ± 3.76 | 28.7 ± 0.54 | 0.145 ± 0.02 | 55.7 ± 12.67 |
| 15 | 1287 ± 0.843 | 13.7 ± 4.98 | 0.854 ± 0.09 | Drug * PPT | 1388 ± 0.722 | 18.9 ± 2.09 | 1.00 ± 0.21 | Drug PPT * |
| Formulation Code | Ch (w/w) | Ag (w/w) | Size (nm) | Zeta Potential (mV) | PDI |
|---|---|---|---|---|---|
| Ch1:Ag1 | 1 | 1 | 449.3 ± 12.5 | 41.43 ± 3.64 | 0.109 ± 0.036 |
| Ch1.5:Ag1 | 1.5 | 1 | 348.8 ± 2.0 | 26.13 ± 0.47 | 0.121 ± 0.005 |
| Ch3:Ag1 | 3 | 1 | 1644.0 ± 44.5 | 33.93 ± 2.01 | 0.293 ± 0.229 |
| Ch5:Ag1 | 5 | 1 | 1867.2 ± 36.2 | 45.56 ± 1.76 | 0.718 ± 0.067 |
| Ch1:Ag1.5 | 1 | 1.5 | 1677.2 ± 21.4 | 32.43 ± 2.76 | 0.810 ± 0.017 |
| Ch1:Ag3 | 1 | 3 | 1876.6 ± 17.2 | 33.56 ± 2.22 | 0.847 ± 0.264 |
| Ch1:Ag5 | 1 | 5 | 2010.3 ± 26.6 | 35.06 ± 0.55 | 0.862 ± 0.025 |
| CaCl2 Concentration (% w/v) | Ch1.5:Ag1 | ||
|---|---|---|---|
| Particle Size (nm) | Zeta Potential (mV) | PDI | |
| 0 | 639.8 ± 7.89 | 29.12 ± 0.33 | 0.428± 0.171 |
| 0.1 | 487.4 ± 1.90 | 25.3 ± 1.85 | 0.334 ± 0.025 |
| 0.22 | 348.8 ± 2.00 | 26.13 ± 0.47 | 0.121 ± 0.005 |
| 0.43 | 225.5 ± 11.22 | 16.4 ± 3.60 | 0.273 ± 0.382 |
| 0.87 | 172.9 ± 4.08 | 5.7 ± 1.13 | 0.288 ± 0.292 |
| Stirring Time (h) | Ch1.5:Ag1 | ||
|---|---|---|---|
| Particle Size (nm) | Zeta Potential (mV) | PDI | |
| 0.5 | 348.8 ± 2.0 | 26.13 ± 0.47 | 0.121 ± 0.005 |
| 1 | 361.5 ± 5.6 | 24.1 ± 0.46 | 0.31 ± 0.061 |
| 2 | 403.5 ± 34.3 | 20.9 ± 1.18 | 0.232 ± 0.013 |
| 5 | 461.2 ± 18.5 | 20.3 ± 0.46 | 0.499 ± 0.116 |
| 8 | 480.6 ± 20.7 | 19.2 ± 1.26 | 0.502 ± 0.052 |
| KT Conc. (mg/mL) | Ch1.5:Ag1 | Ch1:Ag1 | ||||||
|---|---|---|---|---|---|---|---|---|
| Particle Size (nm) | Zeta Potential (mV) | PDI | EE% | Particle Size (nm) | Zeta Potential (mV) | PDI | EE% | |
| 5 | 371.6 ± 3.06 | 20.5 ± 1.08 | 0.111 ± 0.04 | 43.12 ± 3.55 | 477.2 ± 2.32 | 30.5 ± 2.06 | 0.255 ± 0.10 | 51.44 ± 5.33 |
| 10 | 620.1 ± 7.22 | 13.8 ± 0.78 | 0.422 ± 0.05 | 81.22 ± 2.17 | 513.6 ± 4.21 | 10.7 ± 1.03 | 0.311± 0.09 | 89.09 ± 1.66 |
| Time (min) | Mucin + Ch Solution | Mucin + Ch0.5:Ag0.5:KT10 | Mucin + Ch1:Ag0.5:KT10 | Mucin + Ch1.5:Ag1:KT10 |
|---|---|---|---|---|
| 0 | 5.93 ± 0.115 | 2.77 ± 0.120 | 3.17 ± 0.057 | 4.80 ± 0.600 |
| 5 | 5.92 ± 0.064 * | 2.60 ± 0.105 | 3.16 ± 0.111 | 4.66 ± 0.165 |
| 15 | 5.77 ± 0.058 | 2.43 ± 0.115 | 3.13 ± 0.004 | 4.58 ± 0.210 |
| 30 | 5.35 ± 0.136 | 2.29 ± 0.241 | 3.11 ± 0.011 | 4.31 ± 0.271 |
| 60 | 5.00 ± 0.100 | 2.88 ± 0.322 | 3.09 ± 0.064 | 3.90 ± 0.519 |
| 120 | 4.97 ± 0.116 * | 1.75 ± 0.155 | 3.08 ± 0.072 | 3.40 ± 0.083 |
| Formulation Code | Flux (µg/h) | Papp × 10−6 (cm/s) | tL (h) |
|---|---|---|---|
| KT-solution | 119.60 ± 0.96 * | 5.31 ± 0.13 | 0.198 ± 0.34 |
| Ch1:Ag0.5:KT10 | 91.42 ± 2.1 | 2.97 ± 0.71 | 0.383 ± 0.18 |
| CS1.5:SA1:KT10 | 79.11 ± 1.22 | 2.33 ± 0.93 | 0.540 ± 0.44 |
Disclaimer/Publisher’s Note: The statements, opinions and data contained in all publications are solely those of the individual author(s) and contributor(s) and not of MDPI and/or the editor(s). MDPI and/or the editor(s) disclaim responsibility for any injury to people or property resulting from any ideas, methods, instructions or products referred to in the content. |
© 2023 by the authors. Licensee MDPI, Basel, Switzerland. This article is an open access article distributed under the terms and conditions of the Creative Commons Attribution (CC BY) license (https://creativecommons.org/licenses/by/4.0/).
Share and Cite
Fathalla, Z.; Fatease, A.A.; Abdelkader, H. Formulation and In-Vitro/Ex-Vivo Characterization of Pregelled Hybrid Alginate–Chitosan Microparticles for Ocular Delivery of Ketorolac Tromethamine. Polymers 2023, 15, 2773. https://doi.org/10.3390/polym15132773
Fathalla Z, Fatease AA, Abdelkader H. Formulation and In-Vitro/Ex-Vivo Characterization of Pregelled Hybrid Alginate–Chitosan Microparticles for Ocular Delivery of Ketorolac Tromethamine. Polymers. 2023; 15(13):2773. https://doi.org/10.3390/polym15132773
Chicago/Turabian StyleFathalla, Zeinab, Adel Al Fatease, and Hamdy Abdelkader. 2023. "Formulation and In-Vitro/Ex-Vivo Characterization of Pregelled Hybrid Alginate–Chitosan Microparticles for Ocular Delivery of Ketorolac Tromethamine" Polymers 15, no. 13: 2773. https://doi.org/10.3390/polym15132773
APA StyleFathalla, Z., Fatease, A. A., & Abdelkader, H. (2023). Formulation and In-Vitro/Ex-Vivo Characterization of Pregelled Hybrid Alginate–Chitosan Microparticles for Ocular Delivery of Ketorolac Tromethamine. Polymers, 15(13), 2773. https://doi.org/10.3390/polym15132773

