Fluoropolymer Membranes for Membrane Distillation and Membrane Crystallization
Abstract
1. Introduction
2. Membrane Distillation and Membrane Crystallization
2.1. Membrane Distillation (MD)
2.2. Membrane Crystallization (MCr)
3. Fluoropolymer Materials and Fluoropolymer Membranes for MD/MCr
3.1. Poly(Vinylidene Fluoride) (PVDF)
3.1.1. PVDF and Its Copolymers
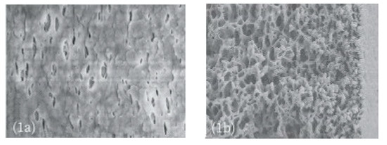
3.1.2. PVDF and Its Copolymer Membranes
3.2. Poly(Tetrafluoroethylene) (PTFE)
3.2.1. PTFE and Its Copolymer
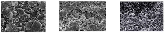
3.2.2. PTFE and Its Copolymer Membranes
3.3. Poly(Ethylene Chlorotrifluoroethylene) (ECTFE)
3.3.1. ECTFE and Its Copolymer
3.3.2. ECTFE and Its Copolymer Membranes
3.4. Other Fluoropolymer Materials
4. Preparation of Fluoropolymer Porous Membrane for MD/MCr
4.1. Preparation of PVDF Membrane
4.1.1. Non-Solvent-Induced Phase Separation Method (NIPS)
4.1.2. Thermally-Induced Phase Separation Method (TIPS)
4.1.3. Vapor-Induced Phase Separation Method (VIPS)
4.1.4. Evaporation-Induced Phase Separation Method (EIPS)
4.1.5. Electrospinning
4.2. Preparation of PVDF-co-HFP Membrane
4.2.1. NIPS
4.2.2. TIPS
4.2.3. Electrospinning
4.3. Preparation of PVDF-co-CTFE Membrane
4.3.1. NIPS
4.3.2. EIPS
4.4. Preparation of PVDF-co-TFE Membrane
NIPS + EIPS
4.5. Preparation of PTFE Membrane
4.5.1. Stretching and Sintering
4.5.2. ElPS
4.5.3. Electrospinning
4.6. Preparation of FEP Membrane
Melt Spinning
4.7. Preparation of ECTFE Membrane
4.7.1. TIPS Method
4.7.2. Dip-Coating Method
4.7.3. Low Temperature TIPS Method
4.8. Green Production of Fluoropolymer Membranes for MD/MCr
4.8.1. Triethyl Phosphate (TEP)
4.8.2. Ionic Liquids (ILs)
4.8.3. PolarClean
4.8.4. Organic Carbonates
4.8.5. Other Non-Toxic Solvents
5. Modifications of Fluoropolymer Membrane for MD/MCr
5.1. Modification of PVDF Membrane
5.1.1. Surface Coating
5.1.2. Surface Grafting
5.1.3. Blending
5.2. Modification of PVDF-co-HFP Membrane
5.2.1. Surface Coating
5.2.2. Blending
5.2.3. Surface Grafting
5.2.4. Blending + Surface Grafting
5.3. Modification of PVDF-co-CTFE Membrane
Blending
5.4. Modification of PVDF-co-TFE Membrane
5.5. Modification of PTFE Membrane
5.5.1. Blending
5.5.2. Surface Coating
5.5.3. Plasma Treatment
5.6. Modification of FEP Membrane
Blending
5.7. Modification of ECTFE Membrane
Surface Oxidation
5.8. Other Fluoro-Materials Modification Methods
6. Conclusions and Prospects
Author Contributions
Funding
Institutional Review Board Statement
Acknowledgments
Conflicts of Interest
Abbreviation
| 2-MeTHF | 2-methyltetrahydrofunan |
| AGMD | air gap membrane distillation |
| APTES | 3-Aminopropyl-triethoxysilane |
| ATBC | acetyl tributyl citrate |
| ATEC | acetyl triethyl citrate |
| ATO | antimony-doped tin oxide |
| ATRP | atom transfer radical polymerization |
| BC | butylene carbonates |
| BPPF6 | 1-Butylpyridinium hexafluorophosphate |
| C12 | 1H, 1H, 2H, 2H-perfluorotetradecyltriethoxysilane |
| C15A | Cloisite15A® |
| C6 | 1H, 1H, 2H, 2H-perfluorooctytriethoxysilane |
| C8F17(CH2)2Si(OC2H5)3 | triethoxy-1H, 1H, 2H, 2H-perfluorodecylsilane |
| CA | cellulose acetate |
| CO2 | carbon dioxide |
| CTA | cellulose triacetate |
| CTFE | chlorotrifluoroethylene |
| CyreneTM | dihydrolevoglucosenone |
| DA | dopamine |
| DBM | maleic acid dibutyl ester |
| DBP | dibutyl phthalate |
| DCAC | diethylene glycol monoethyl ether acetate |
| DCM | dichloromethane |
| DCMD | direct contact membrane distillation |
| DEC | diethyl carbonate |
| DEP | diethyl phthalate |
| DMAc | dimethylacetamide |
| DMC | dimethyl carbonates |
| DMF | dimethylformamide |
| DMI | Dimethyl isosorbide |
| DMP | dimethyl phthalate |
| DOP | dioctyl phthalate |
| EA | ethyl acrylate |
| EC | ethylene carbonates |
| ECTFE | poly(ethylene chlorotrifluoroethylene) |
| EGDA | ethylene glycol diacrylate |
| EIPS | Evaporation Induced phase separation |
| ETFE | Poly(ethylene-alt-tetrafluoroethylene) |
| FAS | fluoroalkylsilane |
| FEP | Poly(tetrafluoroethylene-co-hexafluoropylene) |
| FOMA | 1H, 1H-perfluorooctyl methacrylate |
| F-POSS | Fluorinated-decyl polyhedraloligomeric silsesquioxane |
| FS | Fluorocarbon surfactant |
| GCSs | PDA-derived graphitic carbon spheres |
| GLA | glutaraldehyde |
| GVL | γ-Valerolactone |
| HFP | hexafluoropropylene |
| ILs | Ionic Liquids |
| LGMD | liquid gap membrane distillation |
| LMH | L/m2h |
| MCr | membrane crystallization |
| MD | membrane distillation |
| MF | microfiltration |
| MGMD | material gap membrane distillation |
| MGN | 2-methylglutaronitrile |
| MWCNT | multi-walled carbon nanotubes |
| N2 | nitrogen |
| NCC | nanocrystalline cellulose |
| NIPS | non-solvent induced phase separation |
| NMP | N-Methyl-2-pyrrolidone |
| OMD | osmosis membrane distillation |
| P(VDF-co-CTFE) | poly(vinylidene fluoride-co-chlorotrifluoroethylene) |
| P(VDF-co-HFP) | poly(vinylidene fluoride-co-hexafluoropropene) |
| P(VDF-co-TFE) | poly(vinylidene fluoride-co-tetrafluoroethylene) |
| P(VDF-co-TrFE) | poly(vinylidene fluoride-co-trifluoroethylene) |
| PANI | polyaniline |
| PC | propylene carbonates |
| PCTFE | poly(chlorotrifluoroethylene) |
| PDA | polydopamine |
| PE | polyethylene |
| PEG | poly(ethylene glycol) |
| PES | polyethersulfone |
| PFA | Poly(tetrafluoroethylene-co-perfluoropropyl vinyl ether) |
| PFAS | perfluoroalkylsilane |
| PFDA | 1H, 1H, 2H, 2H-perfluorodecyl acrylate |
| PFDTS | fluorodecyl triethoxy silane |
| PFOTS | 1H, 1H, 2H, 2H-perfluorooctyltrichlorosilane/CF3(CF2)5(CH2)2SiCl3 |
| PFSA | perfluorosulfonic acid |
| PFTCS | fluorododecyltrichlorosilane |
| PGMD | permeate gap membrane distillation |
| PI | polyimide |
| PI | phase inversion |
| PIM | polymer inclusion membranes |
| PMMA | poly(methylmethacrylate) |
| PP | polypropylene |
| PSU/PSF | polysulfone |
| PTFE | poly(tetrafluoroethylene) |
| PVAc | poly(vinyl acetate) |
| PVC | polyvinyl Chloride |
| PVDF | polyvinylidene fluoride |
| PVF | polyvinyl fluoride |
| SBMA | sulfobetaine methacrylate |
| SGMD | sweeping gas membrane distillation |
| SiNPs | silica nanoparticles |
| SMM | surface modifying macromolecule |
| TBPO | di-tert-butyl peroxide |
| TEC | triethyl citrate |
| TEGDA | triethylene glycol diacetate |
| TEP | Triethyl phosphate |
| TFE | tetrafluoroethylene |
| THF | tetrahydrofunan |
| THV | Poly(tetrafluoroethylene-co-hexafluoropylene-vinylidene fluoride) |
| TIPS | thermally induced phase separation |
| TOTM | trioctyl trimellitate |
| TRIACETIN | glycerol triacetate |
| TSGMD | thermostatic sweeping gas membrane distillation |
| TTD | 2,2,4-trifluoro-5-trifluoromethoxy-1,3-dioxole |
| UF | ultrafiltration |
| V-AGMD | vacuum-air gap membrane distillation |
| VDF | vinylidenefluoride |
| VIPS | vapour induced phase separation |
| VMD | vacuum membrane distillation |
| V-MEMD | vacuum-multi-effect membrane distillation |
| ZIFs | zeolitic imidazolate frameworks |
| γ-BL | γ-butyrolactone |
References
- Abdel-Karim, A.; Leaper, S.; Skuse, C.; Zaragoza, G.; Gryta, M.; Gorgojo, P. Membrane Cleaning and Pretreatments in Membrane Distillation–a Review. Chem. Eng. J. 2021, 422, 129696. [Google Scholar] [CrossRef]
- Ahmed, F.E.; Lalia, B.S.; Hashaikeh, R.; Hilal, N. Alternative Heating Techniques in Membrane Distillation: A Review. Desalination 2020, 496, 114713. [Google Scholar] [CrossRef]
- Deshmukh, A.; Boo, C.; Karanikola, V.; Lin, S.; Straub, A.P.; Tong, T.; Warsinger, D.M.; Elimelech, M. Membrane Distillation at the Water-Energy Nexus: Limits, Opportunities, and Challenges. Energy Environ. Sci. 2018, 11, 1177–1196. [Google Scholar] [CrossRef]
- Simone, E.; Othman, R.; Vladisavljević, G.T.; Nagy, Z.K. Preventing Crystal Agglomeration of Pharmaceutical Crystals Using Temperature Cycling and a Novel Membrane Crystallization Procedure for Seed Crystal Generation. Pharmaceutics 2018, 10, 17. [Google Scholar] [CrossRef]
- Sparenberg, M.-C.; Salmón, I.R.; Luis, P. Economic Evaluation of Salt Recovery from Wastewater via Membrane Distillation-Crystallization. Sep. Purif. Technol. 2020, 235, 116075. [Google Scholar] [CrossRef]
- Cui, Z.; Li, X.; Zhang, Y.; Wang, Z.; Gugliuzza, A.; Militano, F.; Drioli, E.; Macedonio, F. Testing of Three Different PVDF Membranes in Membrane Assisted-Crystallization Process: Influence of Membrane Structural-Properties on Process Performance. Desalination 2018, 440, 68–77. [Google Scholar] [CrossRef]
- Wang, B.; Ji, J.; Li, K. Crystal Nuclei Templated Nanostructured Membranes Prepared by Solvent Crystallization and Polymer Migration. Nat. Commun. 2016, 7, 12804. [Google Scholar] [CrossRef]
- Zhou, X.; Zhu, X.; Wang, B.; Li, J.; Liu, Q.; Gao, X.; Sirkar, K.K.; Chen, D. Continuous Production of Drug Nanocrystals by Porous Hollow Fiber-Based Anti-Solvent Crystallization. J. Memb. Sci. 2018, 564, 682–690. [Google Scholar] [CrossRef]
- Sanmartino, J.A.; Khayet, M.; García-Payo, M.C.; El Bakouri, H.; Riaza, A. Desalination and Concentration of Saline Aqueous Solutions up to Supersaturation by Air Gap Membrane Distillation and Crystallization Fouling. Desalination 2016, 393, 39–51. [Google Scholar] [CrossRef]
- Di Profio, G.; Stabile, C.; Caridi, A.; Curcio, E.; Drioli, E. Antisolvent Membrane Crystallization of Pharmaceutical Compounds. J. Pharm. Sci. 2009, 98, 4902–4913. [Google Scholar] [CrossRef]
- Ma, Z.; Wu, R.; Song, J.; Li, C.; Chen, R.; Zhang, L. Preparation and Characterization of Fe2O3/Ammonium Perchlorate (AP) Nanocomposites through Ceramic Membrane Anti-Solvent Crystallization. Propellants Explos. Pyrotech. 2012, 37, 183–190. [Google Scholar] [CrossRef]
- Amaro-González, D.; Mabe, G.; Zabaloy, M.; Brignole, E.A. Gas Antisolvent Crystallization of Organic Salts from Aqueous Solutions. J. Supercrit. Fluids 2000, 17, 249–258. [Google Scholar] [CrossRef]
- Rezaei, M.; Warsinger, D.M.; Duke, M.C.; Matsuura, T.; Samhaber, W.M. Wetting Phenomena in Membrane Distillation: Mechanisms, Reversal, and Prevention. Water Res. 2018, 139, 329–352. [Google Scholar] [CrossRef] [PubMed]
- Tijing, L.D.; Woo, Y.C.; Choi, J.-S.; Lee, S.; Kim, S.-H.; Shon, H.K. Fouling and Its Control in Membrane Distillation—A Review. J. Memb. Sci. 2015, 475, 215–244. [Google Scholar] [CrossRef]
- Liu, L.; Xiao, Z.; Liu, Y.; Li, X.; Yin, H.; Volkov, A.; He, T. Understanding the Fouling/Scaling Resistance of Superhydrophobic/Omniphobic Membranes in Membrane Distillation. Desalination 2021, 499, 114864. [Google Scholar] [CrossRef]
- Horseman, T.; Yin, Y.; Christie, K.S.S.; Wang, Z.; Tong, T.; Lin, S. Wetting, Scaling, and Fouling in Membrane Distillation: State-of-the-Art Insights on Fundamental Mechanisms and Mitigation Strategies. ACS EST Eng. 2021, 1, 117–140. [Google Scholar] [CrossRef]
- Warsinger, D.M.; Swaminathan, J.; Guillen-Burrieza, E.; Arafat, H.A.; Lienhard V, J.H. Scaling and Fouling in Membrane Distillation for Desalination Applications: A Review. Desalination 2015, 356, 294–313. [Google Scholar] [CrossRef]
- Goh, S.; Zhang, Q.; Zhang, J.; McDougald, D.; Krantz, W.B.; Liu, Y.; Fane, A.G. Impact of a Biofouling Layer on the Vapor Pressure Driving Force and Performance of a Membrane Distillation Process. J. Memb. Sci. 2013, 438, 140–152. [Google Scholar] [CrossRef]
- Lyly, L.H.T.; Ooi, B.S.; Lim, J.K.; Derek, C.J.C.; Low, S.C. Correlating the Membrane Surface Energy to the Organic Fouling and Wetting of Membrane Distillation at Elevated Temperature. J. Env. Chem. Eng 2021, 9, 104627. [Google Scholar] [CrossRef]
- Guo, W.; Ngo, H.H.; Li, J. A Mini-Review on Membrane Fouling. Bioresour. Technol. 2012, 122, 27–34. [Google Scholar] [CrossRef]
- Hallé, C. Biofiltration in Drinking Water Treatment: Reduction of Membrane Fouling and Biodegradation of Organic Trace Contaminants. PhD Thesis, UWSpace University of Waterloo Library, Waterloo, ON, Canada, 2009. Available online: http://hdl.handle.net/10012/5022 (accessed on 6 December 2022).
- Salmón, I.R.; Luis, P. Membrane Crystallization via Membrane Distillation. Chem. Eng. Process. Process Intensif. 2018, 123, 258–271. [Google Scholar] [CrossRef]
- Li, W.; Van der Bruggen, B.; Luis, P. Integration of Reverse Osmosis and Membrane Crystallization for Sodium Sulphate Recovery. Chem. Eng. Process. Process Intensif. 2014, 85, 57–68. [Google Scholar] [CrossRef]
- Ramesh, S.; Ling, O.P. Effect of Ethylene Carbonate on the Ionic Conduction in Poly (Vinylidenefluoride-Hexafluoropropylene) Based Solid Polymer Electrolytes. Polym. Chem. 2010, 1, 702–707. [Google Scholar] [CrossRef]
- Arcella, V.; Ghielmi, A.; Tommasi, G. High Performance Perfluoropolymer Films and Membranes. Ann. N. Y. Acad. Sci. 2003, 984, 226–244. [Google Scholar] [CrossRef] [PubMed]
- Teng, H. Overview of the Development of the Fluoropolymer Industry. Appl. Sci. 2012, 2, 496–512. [Google Scholar] [CrossRef]
- Chang, J.; Zuo, J.; Zhang, L.; O’Brien, G.S.; Chung, T.S. Using Green Solvent, Triethyl Phosphate (TEP), to Fabricate Highly Porous PVDF Hollow Fiber Membranes for Membrane Distillation. J. Memb. Sci. 2017, 539, 295–304. [Google Scholar] [CrossRef]
- Pagliero, M.; Comite, A.; Costa, C.; Rizzardi, I.; Soda, O. A Single Step Preparation of Photothermally Active Polyvinylidene Fluoride Membranes Using Triethyl Phosphate as a Green Solvent for Distillation Applications. Membranes 2021, 11, 896. [Google Scholar] [CrossRef]
- Li, B.; Sirkar, K.K. Novel Membrane and Device for Direct Contact Membrane Distillation-Based Desalination Process. Ind. Eng. Chem. Res. 2004, 43, 5300–5309. [Google Scholar] [CrossRef]
- Laqbaqbi, M.; Sanmartino, J.A.; Khayet, M.; García-Payo, C.; Chaouch, M. Fouling in Membrane Distillation, Osmotic Distillation and Osmotic Membrane Distillation. Appl. Sci. 2017, 7, 334. [Google Scholar] [CrossRef]
- Lei, Z.; Dai, C.; Chen, B.; Ding, Z. Special Distillation Processes; Elsevier: Amsterdam, The Netherlands, 2021; ISBN 0128205113. [Google Scholar]
- Qin, W.; Xie, Z.; Ng, D.; Ye, Y.; Ji, X.; Gray, S.; Zhang, J. Comparison of Colloidal Silica Involved Fouling Behavior in Three Membrane Distillation Configurations Using PTFE Membrane. Water Res. 2018, 130, 343–352. [Google Scholar] [CrossRef]
- Karanikola, V.; Moore, S.E.; Deshmukh, A.; Arnold, R.G.; Elimelech, M.; Sáez, A.E. Economic Performance of Membrane Distillation Configurations in Optimal Solar Thermal Desalination Systems. Desalination 2019, 472, 114164. [Google Scholar] [CrossRef]
- Rice, D.; Ghadimi, S.J.; Barrios, A.C.; Henry, S.; Walker, W.S.; Li, Q.; Perreault, F. Scaling Resistance in Nanophotonics-Enabled Solar Membrane Distillation. Env. Sci. Technol. 2020, 54, 2548–2555. [Google Scholar] [CrossRef] [PubMed]
- Qasim, M.; Samad, I.U.; Darwish, N.A.; Hilal, N. Comprehensive Review of Membrane Design and Synthesis for Membrane Distillation. Desalination 2021, 518, 115168. [Google Scholar] [CrossRef]
- Pagliero, M.; Bottino, A.; Comite, A.; Costa, C. Novel Hydrophobic PVDF Membranes Prepared by Nonsolvent Induced Phase Separation for Membrane Distillation. J. Memb. Sci. 2020, 596, 117575. [Google Scholar] [CrossRef]
- Di Profio, G.; Curcio, E.; Drioli, E. Supersaturation Control and Heterogeneous Nucleation in Membrane Crystallizers: Facts and Perspectives. Ind. Eng. Chem. Res. 2010, 49, 11878–11889. [Google Scholar] [CrossRef]
- Drioli, E.; di Profio, G.; Curcio, E. Progress in Membrane Crystallization. Curr. Opin. Chem. Eng. 2012, 1, 178–182. [Google Scholar] [CrossRef]
- Wu, M.; Yuan, Z.; Niu, Y.; Meng, Y.; He, G.; Jiang, X. Interfacial Induction and Regulation for Microscale Crystallization Process: A Critical Review. Front. Chem. Sci. Eng. 2022, 16, 838–853. [Google Scholar] [CrossRef]
- Jiang, X.; Shao, Y.; Sheng, L.; Li, P.; He, G. Membrane Crystallization for Process Intensification and Control: A Review. Engineering 2020, 7, 50–62. [Google Scholar] [CrossRef]
- Hussain, M.N.; Jordens, J.; John, J.J.; Braeken, L.; van Gerven, T. Enhancing Pharmaceutical Crystallization in a Flow Crystallizer with Ultrasound: Anti-Solvent Crystallization. Ultrason. Sonochem. 2019, 59, 104743. [Google Scholar] [CrossRef]
- Macedonio, F.; Drioli, E. Hydrophobic Membranes for Salts Recovery from Desalination Plants. Desalination Water Treat 2010, 18, 224–234. [Google Scholar] [CrossRef]
- Tibi, F.; Charfi, A.; Cho, J.; Kim, J. Fabrication of Polymeric Membranes for Membrane Distillation Process and Application for Wastewater Treatment: Critical Review. Process Saf. Environ. Prot. 2020, 141, 190–201. [Google Scholar] [CrossRef]
- Cui, Z.; Drioli, E.; Lee, Y.M. Recent Progress in Fluoropolymers for Membranes. Prog. Polym. Sci. 2014, 39, 164–198. [Google Scholar] [CrossRef]
- Zhang, Y.; Wang, X.; Cui, Z.; Drioli, E.; Wang, Z.; Zhao, S. Enhancing Wetting Resistance of Poly(Vinylidene Fluoride) Membranes for Vacuum Membrane Distillation. Desalination 2017, 415, 58–66. [Google Scholar] [CrossRef]
- Lai, C.L.; Liou, R.M.; Chen, S.H.; Huang, G.W.; Lee, K.R. Preparation and Characterization of Plasma-Modified PTFE Membrane and Its Application in Direct Contact Membrane Distillation. Desalination 2011, 267, 184–192. [Google Scholar] [CrossRef]
- Ranjbarzadeh-Dibazar, A.; Shokrollahi, P.; Barzin, J.; Rahimi, A. Lubricant Facilitated Thermo-Mechanical Stretching of PTFE and Morphology of the Resulting Membranes. J. Memb. Sci. 2014, 470, 458–469. [Google Scholar] [CrossRef]
- Kim, J.F.; Kim, J.H.; Lee, Y.M.; Drioli, E. Thermally Induced Phase Separation and Electrospinning Methods for Emerging Membrane Applications: A Review. AIChE J. 2016, 62, 461–490. [Google Scholar] [CrossRef]
- Eken, G.A.; Acar, M.H. PVDF-Based Shape Memory Polymers. Eur. Polym. J. 2019, 114, 249–254. [Google Scholar] [CrossRef]
- Wang, D.; Li, K.; Teo, W.K. Preparation and Characterization of Polyvinylidene Fluoride (PVDF) Hollow Fiber Membranes. J. Memb. Sci. 1999, 163, 211–220. [Google Scholar] [CrossRef]
- Cao, P.; Shi, J.; Zhang, J.; Wang, X.; Jung, J.T.; Wang, Z.; Cui, Z.; Lee, Y.M. Piezoelectric PVDF Membranes for Use in Anaerobic Membrane Bioreactor (AnMBR) and Their Antifouling Performance. J. Memb. Sci. 2020, 603, 118037. [Google Scholar] [CrossRef]
- Mahdavi Varposhti, A.; Yousefzadeh, M.; Kowsari, E.; Latifi, M. Enhancement of β-Phase Crystalline Structure and Piezoelectric Properties of Flexible PVDF/Ionic Liquid Surfactant Composite Nanofibers for Potential Application in Sensing and Self-Powering. Macromol. Mater. Eng. 2020, 305, 1900796. [Google Scholar] [CrossRef]
- Hu, X.; Yi, K.; Liu, J.; Chu, B. High Energy Density Dielectrics Based on PVDF-Based Polymers. Energy Technol. 2018, 6, 849–864. [Google Scholar] [CrossRef]
- Polat, K. Energy Harvesting from a Thin Polymeric Film Based on PVDF-HFP and PMMA Blend. Appl. Phys. A 2020, 126, 497. [Google Scholar] [CrossRef]
- Koroglu, L.; Ayas, E.; Ay, N. 3D Printing of Polyvinylidene Fluoride Based Piezoelectric Nanocomposites: An Overview. Macromol. Mater. Eng. 2021, 306, 2100277. [Google Scholar] [CrossRef]
- García-Payo, M.C.; Essalhi, M.; Khayet, M. Preparation and Characterization of PVDF-HFP Copolymer Hollow Fiber Membranes for Membrane Distillation. Desalination 2009, 245, 469–473. [Google Scholar] [CrossRef]
- Feng, C.; Shi, B.; Li, G.; Wu, Y. Preparation and Properties of Microporous Membrane from Poly(Vinylidene Fluoride-Co-Tetrafluoroethylene) (F2.4) for Membrane Distillation. J. Memb. Sci. 2004, 237, 15–24. [Google Scholar] [CrossRef]
- Zheng, L.; Wu, Z.; Wei, Y.; Zhang, Y.; Yuan, Y.; Wang, J. Preparation of PVDF-CTFE Hydrophobic Membranes for MD Application: Effect of LiCl-Based Mixed Additives. J. Memb. Sci. 2016, 506, 71–85. [Google Scholar] [CrossRef]
- Wang, X.; Xiao, C.; Liu, H.; Huang, Q.; Fu, H. Fabrication and Properties of PVDF and PVDF-HFP Microfiltration Membranes. J. Appl. Polym. Sci. 2018, 135, 46711. [Google Scholar] [CrossRef]
- Ponnamma, D.; Aljarod, O.; Parangusan, H.; Al-Maadeed, M.A.A. Electrospun Nanofibers of PVDF-HFP Composites Containing Magnetic Nickel Ferrite for Energy Harvesting Application. Mater. Chem. Phys. 2020, 239, 122257. [Google Scholar] [CrossRef]
- Song, D.; Xu, C.; Chen, Y.; He, J.; Zhao, Y.; Li, P.; Lin, W.; Fu, F. Enhanced Thermal and Electrochemical Properties of PVDF-HFP/PMMA Polymer Electrolyte by TiO2 Nanoparticles. Solid State Ion 2015, 282, 31–36. [Google Scholar] [CrossRef]
- Ahmad, A.L.; Farooqui, U.R.; Hamid, N.A. Effect of Graphene Oxide (GO) on Poly (Vinylidene Fluoride-Hexafluoropropylene)(PVDF-HFP) Polymer Electrolyte Membrane. Polymer 2018, 142, 330–336. [Google Scholar] [CrossRef]
- Kim, K.M.; Kim, J.; Ryu, K.S. Physical and Electrochemical Properties of PVdF-HFP/SiO2-Based Polymer Electrolytes Prepared Using Dimethyl Acetamide Solvent and Water Non-Solvent. Macromol. Chem. Phys. 2007, 208, 887–895. [Google Scholar] [CrossRef]
- Parangusan, H.; Ponnamma, D.; Al-Maadeed, M.A.A. Stretchable Electrospun PVDF-HFP/Co-ZnO Nanofibers as Piezoelectric Nanogenerators. Sci. Rep. 2018, 8, 754. [Google Scholar] [CrossRef] [PubMed]
- Chakhchaoui, N.; Farhan, R.; Eddiai, A.; Meddad, M.; Cherkaoui, O.; Mazroui, M.; Boughaleb, Y.; Van Langenhove, L. Improvement of the Electroactive β-Phase Nucleation and Piezoelectric Properties of PVDF-HFP Thin Films Influenced by TiO2 Nanoparticles. Mater. Today Proc. 2021, 39, 1148–1152. [Google Scholar] [CrossRef]
- Yang, A.C.C.; Narimani, R.; Zhang, Z.; Frisken, B.J.; Holdcroft, S. Controlling Crystallinity in Graft Ionomers, and Its Effect on Morphology, Water Sorption, and Proton Conductivity of Graft Ionomer Membranes. Chem. Mater. 2013, 25, 1935–1946. [Google Scholar] [CrossRef]
- Wang, L.; Wang, Z.; Sun, Y.; Liang, X.; Xiang, H. Sb2O3 Modified PVDF-CTFE Electrospun Fibrous Membrane as a Safe Lithium-Ion Battery Separator. J. Memb. Sci. 2019, 572, 512–519. [Google Scholar] [CrossRef]
- Ma, R.; Lu, X.; Kong, X.; Zheng, S.; Zhang, S.; Liu, S. A Method of Controllable Positive-Charged Modification of PVDF-CTFE Membrane Surface Based on C–Cl Active Site. J. Memb. Sci. 2021, 620, 118936. [Google Scholar] [CrossRef]
- Ma, W.; Ren, W.; Bai, X.; Pan, J.; Huang, L.; Huang, Q.; Guo, Z.; Wang, X. Facile Fabrication of PVDF-CTFE Microporous Membranes with Optimized Surface and Sublayer Structure via Non-Solvent Induced Phase Separation. J. Water Process. Eng. 2022, 45, 102504. [Google Scholar] [CrossRef]
- Costa, L.M.M.; Bretas, R.E.S.; Gregorio, R. Effect of Solution Concentration on the Electrospray/Electrospinning Transition and on the Crystalline Phase of PVDF. Mater. Sci. Appl. 2010, 1, 246–251. [Google Scholar] [CrossRef]
- Wang, S.; Li, Q. Design, Synthesis and Processing of PVDF-Based Dielectric Polymers. Iet Nanodielectrics 2018, 1, 80–91. [Google Scholar] [CrossRef]
- Dias, J.C.; Correia, D.M.; Costa, C.M.; Ribeiro, C.; Maceiras, A.; Vilas, J.L.; Botelho, G.; de Zea Bermudez, V.; Lanceros-Mendez, S. Improved Response of Ionic Liquid-Based Bending Actuators by Tailored Interaction with the Polar Fluorinated Polymer Matrix. Electrochim. Acta 2019, 296, 598–607. [Google Scholar] [CrossRef]
- Li, H.; Tan, K.; Hao, Z.; He, G. Preparation and Crystallization Behavior of Poly (Vinylidene Fluoride-ter-chlorotrifluoroethylene-ter-trifluoroethylene). J. Appl. Polym. Sci. 2011, 122, 3007–3015. [Google Scholar] [CrossRef]
- Labalme, E.; David, G.; Buvat, P.; Bigarre, J. A Simple Strategy Based on a Highly Fluorinated Polymer Blended with a Fluorinated Polymer Containing Phosphonic Acid to Improve the Properties of PEMFCs. New J. Chem. 2019, 43, 11141–11147. [Google Scholar] [CrossRef]
- Abbrent, S.; Plestil, J.; Hlavata, D.; Lindgren, J.; Tegenfeldt, J.; Wendsjö, Å. Crystallinity and Morphology of PVdF–HFP-Based Gel Electrolytes. Polymer 2001, 42, 1407–1416. [Google Scholar] [CrossRef]
- Wu, L.; Huang, G.; Hu, N.; Fu, S.; Qiu, J.; Wang, Z.; Ying, J.; Chen, Z.; Li, W.; Tang, S. Improvement of the Piezoelectric Properties of PVDF-HFP Using AgNWs. RSC Adv. 2014, 4, 35896–35903. [Google Scholar] [CrossRef]
- Chaurasia, S.K.; Singh, R.K. Crystallization Behaviour of a Polymeric Membrane Based on the Polymer PVdF–HFP and the Ionic Liquid BMIMBF 4. RSC Adv. 2014, 4, 50914–50924. [Google Scholar]
- Wang, X.Q.; Chen, D.R.; Han, J.C.; Du, S.Y. Crystallization Behavior of Polytetrafluoroethylene (PTFE). J. Appl. Polym. Sci. 2002, 83, 990–996. [Google Scholar] [CrossRef]
- Rae, P.J.; Dattelbaum, D.M. The Properties of Poly(Tetrafluoroethylene) (PTFE) in Compression. Polymer 2004, 45, 7615–7625. [Google Scholar] [CrossRef]
- Dhanumalayan, E.; Joshi, G.M. Performance Properties and Applications of Polytetrafluoroethylene (PTFE)—A Review. Adv. Compos. Hybrid Mater. 2018, 1, 247–268. [Google Scholar] [CrossRef]
- Suwa, T.; Seguchi, T.; Takehisa, M.; Machi, S. Effect of Molecular Weight on the Crystalline Structure of Polytetrafluoroethylene As-polymerized. J. Polym. Sci. Polym. Phys. Ed. 1975, 13, 2183–2194. [Google Scholar] [CrossRef]
- Kai-kai, C.; Chang-fa, X.; Shu-lin, A.; Xing-sheng, Y.; Qing-lin, H. Fabrication and Properties of FEP Fibers by Melt Spinning Method. Ferroelectrics 2018, 530, 136–146. [Google Scholar] [CrossRef]
- McHugh, M.A.; Mertdogan, C.A.; DiNoia, T.P.; Anolick, C.; Tuminello, W.H.; Wheland, R. Impact of Melting Temperature on Poly (Tetrafluoroethylene-Co-Hexafluoropropylene) Solubility in Supercritical Fluid Solvents. Macromolecules 1998, 31, 2252–2254. [Google Scholar] [CrossRef]
- Parada, M.A.; De Almeida, A.; Muntele, C.; Muntele, I.; Ila, D. Effects of MeV Proton Bombardment in Thin Film PFA and FEP Polymers. Surf. Coat. Technol. 2005, 196, 378–382. [Google Scholar] [CrossRef]
- Karkhanechi, H.; Rajabzadeh, S.; Di Nicolò, E.; Usuda, H.; Shaikh, A.R.; Matsuyama, H. Preparation and Characterization of ECTFE Hollow Fiber Membranes via Thermally Induced Phase Separation (TIPS). Polymer 2016, 97, 515–524. [Google Scholar] [CrossRef]
- Bini, M.; Olmi, R.; Ignesti, A.; Abusleme, J.; Bassi, M.; Sanguineti, A. A Measurement System for Investigating the Dielectric Properties of Low-Loss Polymers. Mater. Res. Innov. 2004, 8, 23–26. [Google Scholar] [CrossRef]
- Feng, C.; Khulbe, K.C.; Matsuura, T.; Gopal, R.; Kaur, S.; Ramakrishna, S.; Khayet, M. Production of Drinking Water from Saline Water by Air-Gap Membrane Distillation Using Polyvinylidene Fluoride Nanofiber Membrane. J. Memb. Sci. 2008, 311, 1–6. [Google Scholar] [CrossRef]
- Huo, R.; Gu, Z.; Zuo, K.; Zhao, G. Preparation and Properties of PVDF-Fabric Composite Membrane for Membrane Distillation. Desalination 2009, 249, 910–913. [Google Scholar] [CrossRef]
- Munirasu, S.; Banat, F.; Durrani, A.A.; Haija, M.A. Intrinsically Superhydrophobic PVDF Membrane by Phase Inversion for Membrane Distillation. Desalination 2017, 417, 77–86. [Google Scholar] [CrossRef]
- Singh, H.H.; Singh, S.; Khare, N. Enhanced β-Phase in PVDF Polymer Nanocomposite and Its Application for Nanogenerator. Polym. Adv. Technol. 2018, 29, 143–150. [Google Scholar] [CrossRef]
- Kharraz, J.A.; An, A.K. Patterned Superhydrophobic Polyvinylidene Fluoride (PVDF) Membranes for Membrane Distillation: Enhanced Flux with Improved Fouling and Wetting Resistance. J. Memb. Sci. 2020, 595, 117596. [Google Scholar] [CrossRef]
- Guo, J.; Farid, M.U.; Lee, E.-J.; Yan, D.Y.-S.; Jeong, S.; An, A.K. Fouling Behavior of Negatively Charged PVDF Membrane in Membrane Distillation for Removal of Antibiotics from Wastewater. J. Memb. Sci. 2018, 551, 12–19. [Google Scholar] [CrossRef]
- Grasso, G.; Galiano, F.; Yoo, M.J.; Mancuso, R.; Park, H.B.; Gabriele, B.; Figoli, A.; Drioli, E. Development of Graphene-PVDF Composite Membranes for Membrane Distillation. J. Memb. Sci. 2020, 604, 118017. [Google Scholar] [CrossRef]
- Pan, J.; Zhang, F.; Wang, Z.; Sun, S.-P.; Cui, Z.; Jin, W.; Bamaga, O.; Abulkhair, H.; Albeirutty, M.; Drioli, E. Enhanced Anti-Wetting and Anti-Fouling Properties of Composite PFPE/PVDF Membrane in Vacuum Membrane Distillation. Sep. Purif. Technol. 2022, 282, 120084. [Google Scholar] [CrossRef]
- Avci, A.H.; Santoro, S.; Politano, A.; Propato, M.; Micieli, M.; Aquino, M.; Wenjuan, Z.; Curcio, E. Photothermal Sweeping Gas Membrane Distillation and Reverse Electrodialysis for Light-to-Heat-to-Power Conversion. Chem. Eng. Process. Process Intensif. 2021, 164, 108382. [Google Scholar] [CrossRef]
- Ju, J.; Fejjari, K.; Cheng, Y.; Liu, M.; Li, Z.; Kang, W.; Liao, Y. Engineering Hierarchically Structured Superhydrophobic PTFE/POSS Nanofibrous Membranes for Membrane Distillation. Desalination 2020, 486, 114481. [Google Scholar] [CrossRef]
- Ursino, C.; Ounifi, I.; Di Nicolò, E.; Cheng, X.Q.; Shao, L.; Zhang, Y.; Drioli, E.; Criscuoli, A.; Figoli, A. Development of Non-Woven Fabric-Based ECTFE Membranes for Direct Contact Membrane Distillation Application. Desalination 2021, 500, 114879. [Google Scholar] [CrossRef]
- Hou, D.; Lin, D.; Ding, C.; Wang, D.; Wang, J. Fabrication and Characterization of Electrospun Superhydrophobic PVDF-HFP/SiNPs Hybrid Membrane for Membrane Distillation. Sep. Purif. Technol. 2017, 189, 82–89. [Google Scholar] [CrossRef]
- Zheng, L.; Wang, J.; Li, J.; Zhang, Y.; Li, K.; Wei, Y. Preparation, Evaluation and Modification of PVDF-CTFE Hydrophobic Membrane for MD Desalination Application. Desalination 2017, 402, 162–172. [Google Scholar] [CrossRef]
- Xiao, W.; He, Z.; Shao, G.; Li, P.; Ruan, X.; Yan, X.; Wu, X.; Li, X.; He, G.; Jiang, X. Membrane-Assisted Cooling Crystallization for Interfacial Nucleation Induction and Self-Seeding Control. Ind. Eng. Chem. Res. 2021, 61, 765–776. [Google Scholar] [CrossRef]
- Saïdi, S.; Macedonio, F.; Russo, F.; Hannachi, C.; Hamrouni, B.; Drioli, E.; Figoli, A. Preparation and Characterization of Hydrophobic P(VDF-HFP) Flat Sheet Membranes Using Tamisolve® NxG Solvent for the Treatment of Saline Water by Direct Contact Membrane Distillation and Membrane Crystallization. Sep. Purif. Technol. 2021, 275, 119144. [Google Scholar] [CrossRef]
- Yadav, A.; Patel, R.V.; Vyas, B.G.; Labhasetwar, P.K.; Shahi, V.K. Recovery of CaSO4 and NaCl from Sub-Soil Brine Using CNT@MOF5 Incorporated Poly(Vinylidene Fluoride-Hexafluoropropylene) Membranes via Vacuum-Assisted Distillation. Colloids Surf. A Phys. Eng. Asp. 2022, 645, 128918. [Google Scholar] [CrossRef]
- Mansourizadeh, A.; Ismail, A.F. Influence of Membrane Morphology on Characteristics of Porous Hydrophobic PVDF Hollow Fiber Contactors for CO2 Stripping from Water. Desalination 2012, 287, 220–227. [Google Scholar] [CrossRef]
- Wang, X.; Li, X.; Yue, J.; Cheng, Y.; Xu, K.; Wang, Q.; Fan, F.; Wang, Z.; Cui, Z. Fabrication of Poly(Vinylidene Fluoride) Membrane via Thermally Induced Phase Separation Using Ionic Liquid as Green Diluent. Chin. J. Chem. Eng. 2020, 28, 1415–1423. [Google Scholar] [CrossRef]
- Cozza, E.S.; Monticelli, O.; Marsano, E.; Cebe, P. On the Electrospinning of PVDF: Influence of the Experimental Conditions on the Nanofiber Properties. Polym. Int. 2013, 62, 41–48. [Google Scholar] [CrossRef]
- García-Payo, M.C.; Essalhi, M.; Khayet, M. Effects of PVDF-HFP Concentration on Membrane Distillation Performance and Structural Morphology of Hollow Fiber Membranes. J. Memb. Sci. 2010, 347, 209–219. [Google Scholar] [CrossRef]
- Wang, J.; Zheng, L.; Wu, Z.; Zhang, Y.; Zhang, X. Fabrication of Hydrophobic Flat Sheet and Hollow Fiber Membranes from PVDF and PVDF-CTFE for Membrane Distillation. J. Memb. Sci. 2016, 497, 183–193. [Google Scholar] [CrossRef]
- Ray, S.S.; Deb, C.K.; Chang, H.; Chen, S.; Ganesapillai, M. Crosslinked PVDF-HFP-based Hydrophobic Membranes Incorporated with CNF for Enhanced Stability and Permeability in Membrane Distillation. J. Appl. Polym. Sci. 2019, 136, 48021. [Google Scholar] [CrossRef]
- Yadav, A.; Labhasetwar, P.K.; Shahi, V.K. Fabrication and Optimization of Tunable Pore Size Poly (Ethylene Glycol) Modified Poly (Vinylidene-Co-Hexafluoropropylene) Membranes in Vacuum Membrane Distillation for Desalination. Sep. Purif. Technol. 2021, 271, 118840. [Google Scholar] [CrossRef]
- Kong, X.; Sun, Y.; Lu, X.; Wu, C. Facile Preparation of Persistently Hydrophilic Poly (Vinylidene Fluoride-Co-Trifluorochloroethylene) Membrane Based on in-Situ Substitution Reaction. J. Memb. Sci. 2020, 609, 118223. [Google Scholar] [CrossRef]
- Lee, H.; Alcoutlabi, M.; Watson, J.V.; Zhang, X. Electrospun Nanofiber-coated Separator Membranes for Lithium-ion Rechargeable Batteries. J. Appl. Polym. Sci. 2013, 129, 1939–1951. [Google Scholar] [CrossRef]
- Lee, H.K.; Ray, S.S.; Huyen, D.T.T.; Kang, W.; Kwon, Y.-N. Chemical and Surface Engineered Superhydrophobic Patterned Membrane with Enhanced Wetting and Fouling Resistance for Improved Membrane Distillation Performance. J. Memb. Sci. 2021, 629, 119280. [Google Scholar] [CrossRef]
- Okazaki, M. Comparison of Hexagonal Crystal Structures between Fluorapatite and Polytetrafluoroethylene. Biomed. Mater. Eng. 2017, 28, 3–8. [Google Scholar] [CrossRef] [PubMed]
- Rahachou, A.V.; Rogachev, A.A.; Yarmolenko, M.A.; Xiao-Hong, J.; Bo, L.Z. Molecular Structure and Optical Properties of PTFE-Based Nanocomposite Polymer-Metal Coatings. Appl. Surf. Sci. 2012, 258, 1976–1980. [Google Scholar] [CrossRef]
- Brown, E.N.; Rae, P.J.; Bruce Orler, E.; Gray, G.T.; Dattelbaum, D.M. The Effect of Crystallinity on the Fracture of Polytetrafluoroethylene (PTFE). Mater. Sci. Eng. C 2006, 26, 1338–1343. [Google Scholar] [CrossRef]
- Ebnesajjad, S.; Morgan, R. Fluoropolymer Additives; William Andrew: Norwich, NY, USA, 2019; ISBN 0128137851. [Google Scholar]
- Conte, M.; Pinedo, B.; Igartua, A. Role of Crystallinity on Wear Behavior of PTFE Composites. Wear 2013, 307, 81–86. [Google Scholar] [CrossRef]
- Feng, S.; Zhong, Z.; Wang, Y.; Xing, W.; Drioli, E. Progress and Perspectives in PTFE Membrane: Preparation, Modification, and Applications. J. Memb. Sci. 2018, 549, 332–349. [Google Scholar] [CrossRef]
- Chen, Y.; Zheng, R.; Wang, J.; Liu, Y.; Wang, Y.; Li, X.-M.; He, T. Laminated PTFE Membranes to Enhance the Performance in Direct Contact Membrane Distillation for High Salinity Solution. Desalination 2017, 424, 140–148. [Google Scholar] [CrossRef]
- Teoh, M.M.; Chung, T.-S. Membrane Distillation with Hydrophobic Macrovoid-Free PVDF–PTFE Hollow Fiber Membranes. Sep. Purif. Technol. 2009, 66, 229–236. [Google Scholar] [CrossRef]
- Huang, Y.; Huang, Q.-L.; Liu, H.; Zhang, C.-X.; You, Y.-W.; Li, N.-N.; Xiao, C.-F. Preparation, Characterization, and Applications of Electrospun Ultrafine Fibrous PTFE Porous Membranes. J. Memb. Sci. 2017, 523, 317–326. [Google Scholar] [CrossRef]
- Li, K.; Zhang, Y.; Xu, L.; Zeng, F.; Hou, D.; Wang, J. Optimizing Stretching Conditions in Fabrication of PTFE Hollow Fiber Membrane for Performance Improvement in Membrane Distillation. J. Memb. Sci. 2018, 550, 126–135. [Google Scholar] [CrossRef]
- Öztürk, A.; Fıçıcılar, B.; Eroğlu, İ.; Yurtcan, A.B. Facilitation of Water Management in Low Pt Loaded PEM Fuel Cell by Creating Hydrophobic Microporous Layer with PTFE, FEP and PDMS Polymers: Effect of Polymer and Carbon Amounts. Int J. Hydrog. Energy 2017, 42, 21226–21249. [Google Scholar] [CrossRef]
- Huiming, X.; Gangjin, C.; Xumin, C.; Zhi, C. A Flexible Electret Membrane with Persistent Electrostatic Effect and Resistance to Harsh Environment for Energy Harvesting. Sci. Rep. 2017, 7, 8443. [Google Scholar] [CrossRef] [PubMed]
- Huang, Y.; Xiao, C.; Huang, Q.; Liu, H.; Guo, Z.; Sun, K. Robust Preparation of Tubular PTFE/FEP Ultrafine Fibers-Covered Porous Membrane by Electrospinning for Continuous Highly Effective Oil/Water Separation. J. Memb. Sci. 2018, 568, 87–96. [Google Scholar] [CrossRef]
- Chen, K.; Xiao, C.; Huang, Q.; Liu, H.; Liu, H.; Wu, Y.; Liu, Z. Study on Vacuum Membrane Distillation (VMD) Using FEP Hollow Fiber Membrane. Desalination 2015, 375, 24–32. [Google Scholar] [CrossRef]
- Chen, K.; Xiao, C.; Huang, Q.; Zhang, C.; Wu, Y.; Liu, H.; Liu, Z. Study on the Fabrication and Properties of FEP/SiO2 Hybrid Flat-Sheet Membrane and Its Application in VMD. Desalination Water Treat. 2016, 57, 14908–14918. [Google Scholar] [CrossRef]
- Xu, K.; Cai, Y.; Hassankiadeh, N.T.; Cheng, Y.; Li, X.; Wang, X.; Wang, Z.; Drioli, E.; Cui, Z. ECTFE Membrane Fabrication via TIPS Method Using ATBC Diluent for Vacuum Membrane Distillation. Desalination 2019, 456, 13–22. [Google Scholar] [CrossRef]
- Cui, Z.; Pan, J.; Wang, Z.; Frappa, M.; Drioli, E.; Macedonio, F. Hyflon/PVDF Membranes Prepared by NIPS and TIPS: Comparison in MD Performance. Sep. Purif. Technol. 2020, 247, 116992. [Google Scholar] [CrossRef]
- Li, X.; Zhang, Y.; Cao, J.; Wang, X.; Cui, Z.; Zhou, S.; Li, M.; Drioli, E.; Wang, Z.; Zhao, S. Enhanced Fouling and Wetting Resistance of Composite Hyflon AD/Poly(Vinylidene Fluoride) Membrane in Vacuum Membrane Distillation. Sep. Purif. Technol. 2019, 211, 135–140. [Google Scholar] [CrossRef]
- Lu, K.J.; Zuo, J.; Chang, J.; Kuan, H.N.; Chung, T.-S. Omniphobic Hollow-Fiber Membranes for Vacuum Membrane Distillation. Env. Sci. Technol. 2018, 52, 4472–4480. [Google Scholar] [CrossRef]
- Lu, K.J.; Zuo, J.; Chung, T.S. Tri-Bore PVDF Hollow Fibers with a Super-Hydrophobic Coating for Membrane Distillation. J. Memb. Sci. 2016, 514, 165–175. [Google Scholar] [CrossRef]
- Figoli, A.; Ursino, C.; Galiano, F.; Di Nicolò, E.; Campanelli, P.; Carnevale, M.C.; Criscuoli, A. Innovative Hydrophobic Coating of Perfluoropolyether (PFPE) on Commercial Hydrophilic Membranes for DCMD Application. J. Memb. Sci. 2017, 522, 192–201. [Google Scholar] [CrossRef]
- Dai, Z.; Wang, N.; Yu, Y.; Lu, Y.; Jiang, L.; Zhang, D.-A.; Wang, X.; Yan, X.; Long, Y.-Z. One-Step Preparation of a Core-Spun Cu/P (VDF-TrFE) Nanofibrous Yarn for Wearable Smart Textile to Monitor Human Movement. ACS Appl. Mater. Interfaces 2021, 13, 44234–44242. [Google Scholar] [CrossRef] [PubMed]
- Yeow, M.L.; Liu, Y.T.; Li, K. Morphological Study of Poly (Vinylidene Fluoride) Asymmetric Membranes: Effects of the Solvent, Additive, and Dope Temperature. J. Appl. Polym. Sci. 2004, 92, 1782–1789. [Google Scholar] [CrossRef]
- Lai, C.Y.; Groth, A.; Gray, S.; Duke, M. Impact of Casting Conditions on PVDF/Nanoclay Nanocomposite Membrane Properties. Chem. Eng. J. 2015, 267, 73–85. [Google Scholar] [CrossRef]
- Wang, X.; Zhang, L.; Sun, D.; An, Q.; Chen, H. Effect of Coagulation Bath Temperature on Formation Mechanism of Poly(Vinylidene Fluoride) Membrane. J. Appl. Polym. Sci. 2008, 110, 1656–1663. [Google Scholar] [CrossRef]
- Kong, X.; Lu, X.; Ren, K. Towards High-Performance Polysulfone Membranes: A Controllable Membrane Formation Process Using Surfactant in NIPS. J. Taiwan Inst. Chem. Eng. 2021, 129, 171–179. [Google Scholar] [CrossRef]
- Loh, C.H.; Wang, R. Effects of Additives and Coagulant Temperature on Fabrication of High Performance PVDF/Pluronic F127 Blend Hollow Fiber Membranes via Nonsolvent Induced Phase Separation. Chin. J. Chem. Eng. 2012, 20, 71–79. [Google Scholar] [CrossRef]
- Chen, Z.; Rana, D.; Matsuura, T.; Meng, D.; Lan, C.Q. Study on Structure and Vacuum Membrane Distillation Performance of PVDF Membranes: II. Influence of Molecular Weight. Chem. Eng. J. 2015, 276, 174–184. [Google Scholar] [CrossRef]
- Castro, A. Methods for Making Microporous Products. U.S. Patent 4,247,498, 27 January 1981. [Google Scholar]
- Hassankiadeh, N.T.; Cui, Z.; Kim, J.H.; Shin, D.W.; Sanguineti, A.; Arcella, V.; Lee, Y.M.; Drioli, E. PVDF Hollow Fiber Membranes Prepared from Green Diluent via Thermally Induced Phase Separation: Effect of PVDF Molecular Weight. J. Memb. Sci. 2014, 471, 237–246. [Google Scholar] [CrossRef]
- Li, X.; Xu, G.; Lu, X.; Xiao, C. Effects of Mixed Diluent Compositions on Poly(Vinylidene Fluoride) Membrane Morphology in a Thermally Induced Phase-Separation Process. J. Appl. Polym. Sci. 2008, 107, 3630–3637. [Google Scholar] [CrossRef]
- Rajabzadeh, S.; Maruyama, T.; Sotani, T.; Matsuyama, H. Preparation of PVDF Hollow Fiber Membrane from a Ternary Polymer/Solvent/Nonsolvent System via Thermally Induced Phase Separation (TIPS) Method. Sep. Purif. Technol. 2008, 63, 415–423. [Google Scholar] [CrossRef]
- Cui, Z.; Hassankiadeh, N.T.; Zhuang, Y.; Drioli, E.; Lee, Y.M. Crystalline Polymorphism in Poly(Vinylidenefluoride) Membranes. Prog. Polym. Sci. 2015, 51, 94–126. [Google Scholar] [CrossRef]
- Gu, M.; Zhang, J.; Wang, X.; Tao, H.; Ge, L. Formation of Poly(Vinylidene Fluoride) (PVDF) Membranes via Thermally Induced Phase Separation. Desalination 2006, 191, 160–167. [Google Scholar] [CrossRef]
- Cui, Z.; Hassankiadeh, N.T.; Lee, S.Y.; Lee, J.M.; Woo, K.T.; Sanguineti, A.; Arcella, V.; Lee, Y.M.; Drioli, E. Poly(Vinylidene Fluoride) Membrane Preparation with an Environmental Diluent via Thermally Induced Phase Separation. J. Memb. Sci. 2013, 444, 223–236. [Google Scholar] [CrossRef]
- Liu, G.; Pan, J.; Xu, X.; Wang, Z.; Cui, Z. Preparation of ECTFE Porous Membrane with a Green Diluent TOTM and Performance in VMD Process. J. Memb. Sci. 2020, 612, 118375. [Google Scholar] [CrossRef]
- Caquineau, H.; Menut, P.; Deratani, A.; Dupuy, C. Influence of the Relative Humidity on Film Formation by Vapor Induced Phase Separation. Polym. Eng. Sci. 2003, 43, 798–808. [Google Scholar] [CrossRef]
- Bouyer, D.; Vachoud, L.; Chakrabandhu, Y.; Pochat-Bohatier, C. Influence of Mass Transfer on Gelation Time Using VIPS-Gelation Process for Chitin Dissolved in LiCl/NMP Solvent-Modelling and Experimental Study. Chem. Eng. J. 2010, 157, 605–619. [Google Scholar] [CrossRef]
- Xie, Q.; Xu, J.; Feng, L.; Jiang, L.; Tang, W.; Luo, X.; Han, C.C. Facile Creation of a Super-Amphiphobic Coating Surface with Bionic Microstructure. Adv. Mater. 2004, 16, 302–305. [Google Scholar] [CrossRef]
- Peng, M.; Li, H.; Wu, L.; Zheng, Q.; Chen, Y.; Gu, W. Porous Poly(Vinylidene Fluoride) Membrane with Highly Hydrophobic Surface. J. Appl. Polym. Sci. 2005, 98, 1358–1363. [Google Scholar] [CrossRef]
- Fan, H.; Peng, Y.; Li, Z.; Chen, P.; Jiang, Q.; Wang, S. Preparation and Characterization of Hydrophobic PVDF Membranes by Vapor-Induced Phase Separation and Application in Vacuum Membrane Distillation. J. Polym. Res. 2013, 20, 134. [Google Scholar] [CrossRef]
- Marino, T.; Russo, F.; Figoli, A. The Formation of Polyvinylidene Fluoride Membranes with Tailored Properties via Vapour/Non-Solvent Induced Phase Separation. Membranes 2018, 8, 71. [Google Scholar] [CrossRef]
- Russo, F.; Galiano, F.; Pedace, F.; Aricò, F.; Figoli, A. Dimethyl Isosorbide As a Green Solvent for Sustainable Ultrafiltration and Microfiltration Membrane Preparation. ACS Sustain. Chem. Eng. 2020, 8, 659–668. [Google Scholar] [CrossRef]
- Zeleny, J. The Electrical Discharge from Liquid Points, and a Hydrostatic Method of Measuring the Electric Intensity at Their Surfaces. Phys. Rev. 1914, 3, 69. [Google Scholar] [CrossRef]
- Formhals, A. Method and Apparatus for the Production of Fibers. U.S. Patent 2,123,992, 10 May 1938. [Google Scholar]
- Mestral, G. De Velvet Type Fabric and Method of Producing Same. U.S. Patent 2,717,437, 13 September 1955. [Google Scholar]
- Demir, M.M.; Yilgor, I.; Yilgor, E.; Erman, B. Electrospinning of Polyurethane Fibers. Polymer 2002, 43, 3303–3309. [Google Scholar] [CrossRef]
- Raghavan, P.; Lim, D.H.; Ahn, J.H.; Nah, C.; Sherrington, D.C.; Ryu, H.S.; Ahn, H.J. Electrospun Polymer Nanofibers: The Booming Cutting Edge Technology. React. Funct. Polym. 2012, 72, 915–930. [Google Scholar] [CrossRef]
- Bhardwaj, N.; Kundu, S.C. Electrospinning: A Fascinating Fiber Fabrication Technique. Biotechnol. Adv. 2010, 28, 325–347. [Google Scholar] [CrossRef]
- Al-Qadhi, M.; Merah, N.; Matin, A.; Abu-Dheir, N.; Khaled, M.; Youcef-Toumi, K. Preparation of Superhydrophobic and Self-Cleaning Polysulfone Non-Wovens by Electrospinning: Influence of Process Parameters on Morphology and Hydrophobicity. J. Polym. Res. 2015, 22, 207. [Google Scholar] [CrossRef]
- Liao, Y.; Wang, R.; Tian, M.; Qiu, C.; Fane, A.G. Fabrication of Polyvinylidene Fluoride (PVDF) Nanofiber Membranes by Electro-Spinning for Direct Contact Membrane Distillation. J. Memb. Sci. 2013, 425, 30–39. [Google Scholar] [CrossRef]
- Yao, M.; Woo, Y.C.; Tijing, L.D.; Shim, W.G.; Choi, J.S.; Kim, S.H.; Shon, H.K. Effect of Heat-Press Conditions on Electrospun Membranes for Desalination by Direct Contact Membrane Distillation. Desalination 2016, 378, 80–91. [Google Scholar] [CrossRef]
- Fadhil, S.; Marino, T.; Makki, H.F.; Alsalhy, Q.F.; Blefari, S.; Macedonio, F.; Di Nicolò, E.; Giorno, L.; Drioli, E.; Figoli, A. Novel PVDF-HFP Flat Sheet Membranes Prepared by Triethyl Phosphate (TEP) Solvent for Direct Contact Membrane Distillation. Chem. Eng. Process. Process Intensif. 2016, 102, 16–26. [Google Scholar] [CrossRef]
- Khayet, M.; Cojocaru, C.; García-Payo, M.C. Experimental Design and Optimization of Asymmetric Flat-Sheet Membranes Prepared for Direct Contact Membrane Distillation. J. Memb. Sci. 2010, 351, 234–245. [Google Scholar] [CrossRef]
- Su, C.-I.; Shih, J.-H.; Huang, M.-S.; Wang, C.-M.; Shih, W.-C.; Liu, Y. A Study of Hydrophobic Electrospun Membrane Applied in Seawater Desalination by Membrane Distillation. Fibers Polym. 2012, 13, 698–702. [Google Scholar] [CrossRef]
- Xiong, J.; Huo, P.; Ko, F.K. Fabrication of Ultrafine Fibrous Polytetrafluoroethylene Porous Membranes by Electrospinning. J. Mater. Res. 2009, 24, 2755–2761. [Google Scholar] [CrossRef]
- Khumalo, N.; Nthunya, L.; Derese, S.; Motsa, M.; Verliefde, A.; Kuvarega, A.; Mamba, B.B.; Mhlanga, S.; Dlamini, D.S. Water Recovery from Hydrolysed Human Urine Samples via Direct Contact Membrane Distillation Using PVDF/PTFE Membrane. Sep. Purif. Technol. 2019, 211, 610–617. [Google Scholar] [CrossRef]
- Xu, M.; Cheng, J.; Du, X.; Guo, Q.; Huang, Y.; Huang, Q. Amphiphobic Electrospun PTFE Nanofibrous Membranes for Robust Membrane Distillation Process. J. Memb. Sci. 2022, 641, 119876. [Google Scholar] [CrossRef]
- Huang, Q.-L.; Xiao, C.; Miao, Z.-Q.; Feng, X.; Hu, X.-Y. Preparation and Characterization of Poly(Tetrafluoroethylene–Cohexafluoropropylene) (FEP) Hollow Fiber Membranes for Desalination. Desalination Water Treat. 2013, 51, 3948–3953. [Google Scholar] [CrossRef]
- Pan, J.; Ma, W.; Huang, L.; Li, R.; Huang, Q.; Xiao, C.; Jiang, Z. Fabrication and Characterization of ECTFE Hollow Fiber Membranes via Low-Temperature Thermally Induced Phase Separation (L-TIPS). J. Memb. Sci. 2021, 634, 119429. [Google Scholar] [CrossRef]
- Falbo, F.; Santoro, S.; Galiano, F.; Simone, S.; Davoli, M.; Drioli, E.; Figoli, A. Organic/Organic Mixture Separation by Using Novel ECTFE Polymeric Pervaporation Membranes. Polymer 2016, 98, 110–117. [Google Scholar] [CrossRef]
- Müller, H.J. A New Solvent Resistant Membrane Based on ECTFE. Desalination 2006, 199, 191–192. [Google Scholar] [CrossRef]
- Marino, T.; Blefari, S.; Di Nicolò, E.; Figoli, A. A More Sustainable Membrane Preparation Using Triethyl Phosphate as Solvent. Green Process. Synth. 2017, 6, 295–300. [Google Scholar] [CrossRef]
- Nejati, S.; Boo, C.; Osuji, C.O.; Elimelech, M. Engineering Flat Sheet Microporous PVDF Films for Membrane Distillation. J. Memb. Sci. 2015, 492, 355–363. [Google Scholar] [CrossRef]
- Zhao, H.; Xia, S.; Ma, P. Use of Ionic Liquids as “green” Solvents for Extractions. J. Chem. Technol. Biotechnol. 2005, 80, 1089–1096. [Google Scholar] [CrossRef]
- Xing, D.Y. Use Ionic Liquids for Hollow Fiber Spinning. In Hollow Fiber Membranes; Elsevier: Amsterdam, The Netherlands, 2021. [Google Scholar]
- Kim, D.; Nunes, S.P. Green Solvents for Membrane Manufacture: Recent Trends and Perspectives. Curr. Opin. Green Sustain. Chem. 2021, 28, 100427. [Google Scholar] [CrossRef]
- Mariën, H.; Vankelecom, I.F.J. Optimization of the Ionic Liquid-Based Interfacial Polymerization System for the Preparation of High-Performance, Low-Fouling RO Membranes. J. Memb. Sci. 2018, 556, 342–351. [Google Scholar] [CrossRef]
- Dunn, C.A.; Shi, Z.; Zhou, R.; Gin, D.L.; Noble, R.D. (Cross-Linked Poly(Ionic Liquid)-Ionic Liquid-Zeolite) Mixed-Matrix Membranes for CO2/CH4 Gas Separations Based on Curable Ionic Liquid Prepolymers. Ind. Eng. Chem. Res. 2019, 58, 4704–4708. [Google Scholar] [CrossRef]
- Livazovic, S.; Li, Z.; Behzad, A.R.; Peinemann, K.V.; Nunes, S.P. Cellulose Multilayer Membranes Manufacture with Ionic Liquid. J. Memb. Sci. 2015, 490, 282–293. [Google Scholar] [CrossRef]
- Xing, D.Y.; Chan, S.Y.; Chung, T.S. Fabrication of Porous and Interconnected PBI/P84 Ultrafiltration Membranes Using [EMIM]OAc as the Green Solvent. Chem. Eng. Sci. 2013, 87, 194–203. [Google Scholar] [CrossRef]
- Xing, D.Y.; Peng, N.; Chung, T.S. Investigation of Unique Interactions between Cellulose Acetate and Ionic Liquid [EMIM]SCN, and Their Influences on Hollow Fiber Ultrafiltration Membranes. J. Memb. Sci. 2011, 380, 87–97. [Google Scholar] [CrossRef]
- Xing, D.Y.; Peng, N.; Chung, T.S. Formation of Cellulose Acetate Membranes via Phase Inversion Using Ionic Liquid, [BMIM]SCN, As the Solvent. Ind. Eng. Chem. Res. 2010, 49, 8761–8769. [Google Scholar] [CrossRef]
- Li, J.; Ren, L.; Shao, J.; Adeel, M.; Tu, Y.; Ma, Z.; He, Y. Effect of Ionic Liquid on the Structure and Desalination Performance of PVDF-PTFE Electrospun Membrane. J. Appl. Polym. Sci. 2020, 137, 48467. [Google Scholar] [CrossRef]
- Marino, T.; Blasi, E.; Tornaghi, S.; Di Nicolò, E.; Figoli, A. Polyethersulfone Membranes Prepared with Rhodiasolv® Polarclean as Water Soluble Green Solvent. J. Memb. Sci. 2018, 549, 192–204. [Google Scholar] [CrossRef]
- Hassankiadeh, N.T.; Cui, Z.; Kim, J.H.; Shin, D.W.; Lee, S.Y.; Sanguineti, A.; Arcella, V.; Lee, Y.M.; Drioli, E. Microporous Poly(Vinylidene Fluoride) Hollow Fiber Membranes Fabricated with PolarClean as Water-Soluble Green Diluent and Additives. J. Memb. Sci. 2015, 479, 204–212. [Google Scholar] [CrossRef]
- Jung, J.T.; Kim, J.F.; Wang, H.H.; di Nicolo, E.; Drioli, E.; Lee, Y.M. Understanding the Non-Solvent Induced Phase Separation (NIPS) Effect during the Fabrication of Microporous PVDF Membranes via Thermally Induced Phase Separation (TIPS). J. Memb. Sci. 2016, 514, 250–263. [Google Scholar] [CrossRef]
- Zou, D.; Hu, C.; Drioli, E.; Zhong, Z. Engineering Green and High-Flux Poly(Vinylidene Fluoride) Membranes for Membrane Distillation via a Facile Co-Casting Process. J. Memb. Sci. 2022, 655, 120577. [Google Scholar] [CrossRef]
- Rasool, M.A.; Pescarmona, P.P.; Vankelecom, I.F.J. Applicability of Organic Carbonates as Green Solvents for Membrane Preparation. ACS Sustain. Chem. Eng. 2019, 71, 13774–13785. [Google Scholar] [CrossRef]
- Ismail, N.; Essalhi, M.; Rahmati, M.; Cui, Z.; Khayet, M.; Tavajohi, N. Experimental and Theoretical Studies on the Formation of Pure β-Phase Polymorphs during Fabrication of Polyvinylidene Fluoride Membranes by Cyclic Carbonate Solvents. Green Chem. 2021, 23, 2130–2147. [Google Scholar] [CrossRef]
- Rasool, M.A.; Vankelecom, I.F.J. Use of γ-Valerolactone and Glycerol Derivatives as Bio-Based Renewable Solvents for Membrane Preparation. Green Chem. 2019, 21, 1054–1064. [Google Scholar] [CrossRef]
- Wu, L.; Sun, J. An Improved Process for Polyvinylidene Fluoride Membrane Preparation by Using a Water Soluble Diluent via Thermally Induced Phase Separation Technique. Mater. Des. 2015, 86, 204–214. [Google Scholar] [CrossRef]
- Cui, Z.; Hassankiadeh, N.T.; Lee, S.Y.; Woo, K.T.; Lee, J.M.; Sanguineti, A.; Arcella, V.; Lee, Y.M.; Drioli, E. Tailoring Novel Fibrillar Morphologies in Poly(Vinylidene Fluoride) Membranes Using a Low Toxic Triethylene Glycol Diacetate (TEGDA) Diluent. J. Memb. Sci. 2015, 473, 128–136. [Google Scholar] [CrossRef]
- Gronwald, O.; Weber, M. AGNIQUE AMD 3L as Green Solvent for Polyethersulfone Ultrafiltration Membrane Preparation. J. Appl. Polym. Sci. 2020, 137, 48419. [Google Scholar] [CrossRef]
- Kim, D.; Salazar, O.R.; Nunes, S.P. Membrane Manufacture for Peptide Separation. Green Chem. 2016, 18, 5151–5159. [Google Scholar] [CrossRef]
- Ursino, C.; Simone, S.; Donato, L.; Santoro, S.; De Santo, M.P.; Drioli, E.; Di Nicolò, E.; Figoli, A. ECTFE Membranes Produced by Non-Toxic Diluents for Organic Solvent Filtration Separation. RSC Adv. 2016, 6, 81001–81012. [Google Scholar] [CrossRef]
- Rasool, M.A.; Van Goethem, C.; Vankelecom, I.F.J. Green Preparation Process Using Methyl Lactate for Cellulose-Acetate-Based Nanofiltration Membranes. Sep. Purif. Technol. 2020, 232, 115903. [Google Scholar] [CrossRef]
- Cui, Y.; Liu, X.Y.; Chung, T.S.; Weber, M.; Staudt, C.; Maletzko, C. Removal of Organic Micro-Pollutants (Phenol, Aniline and Nitrobenzene) via Forward Osmosis (FO) Process: Evaluation of FO as an Alternative Method to Reverse Osmosis (RO). Water Res 2016, 91, 104–114. [Google Scholar] [CrossRef] [PubMed]
- Su, Y.; Chen, C.; Li, Y.; Li, J. Preparation of PVDF Membranes via TIPS Method: The Effect of Mixed Diluents on Membrane Structure and Mechanical Property. J. Macromol. Sci. Ence Part A Pure Appl. Chem. 2007, 44, 305–313. [Google Scholar] [CrossRef]
- Marino, T.; Galiano, F.; Molino, A.; Figoli, A. New Frontiers in Sustainable Membrane Preparation: CyreneTM as Green Bioderived Solvent. J. Memb. Sci. 2019, 580, 224–234. [Google Scholar] [CrossRef]
- Carner, C.A.; Croft, C.F.; Kolev, S.D.; Almeida, M.I.G. Green Solvents for the Fabrication of Polymer Inclusion Membranes (PIMs). Sep. Purif. Technol. 2020, 239, 116486. [Google Scholar] [CrossRef]
- Dumée, L.F.; Gray, S.; Duke, M.; Sears, K.; Schütz, J.; Finn, N. The Role of Membrane Surface Energy on Direct Contact Membrane Distillation Performance. Desalination 2013, 323, 22–30. [Google Scholar] [CrossRef]
- Franco, J.A.; Kentish, S.E.; Perera, J.M.; Stevens, G.W. Fabrication of a Superhydrophobic Polypropylene Membrane by Deposition of a Porous Crystalline Polypropylene Coating. J. Memb. Sci. 2008, 318, 107–113. [Google Scholar] [CrossRef]
- Han, B.; Liang, S.; Wang, B.; Zheng, J.; Xie, X.; Xiao, K.; Wang, X.; Huang, X. Simultaneous Determination of Surface Energy and Roughness of Dense Membranes by a Modified Contact Angle Method. Colloids Surf. A Phys. Eng. Asp. 2019, 562, 370–376. [Google Scholar] [CrossRef]
- Shaker, M.; Salahinejad, E. A Combined Criterion of Surface Free Energy and Roughness to Predict the Wettability of Non-Ideal Low-Energy Surfaces. Prog. Org. Coat. 2018, 119, 123–126. [Google Scholar] [CrossRef]
- Chin, S.S.; Chiang, K.; Fane, A.G. The Stability of Polymeric Membranes in a TiO2 Photocatalysis Process. J. Memb. Sci. 2006, 275, 202–211. [Google Scholar] [CrossRef]
- Kochkodan, V.; Weigel, W.; Ulbricht, M. Molecularly Imprinted Composite Membranes for Selective Binding of Desmetryn from Aqueous Solutions. Desalination 2002, 149, 323–328. [Google Scholar] [CrossRef]
- Zuo, G.; Wang, R. Novel Membrane Surface Modification to Enhance Anti-Oil Fouling Property for Membrane Distillation Application. J. Memb. Sci. 2013, 447, 26–35. [Google Scholar] [CrossRef]
- Shao, Y.; Han, M.; Wang, Y.; Li, G.; Xiao, W.; Li, X.; Wu, X.; Ruan, X.; Yan, X.; He, G.; et al. Superhydrophobic Polypropylene Membrane with Fabricated Antifouling Interface for Vacuum Membrane Distillation Treating High Concentration Sodium/Magnesium Saline Water. J. Memb. Sci. 2019, 579, 240–252. [Google Scholar] [CrossRef]
- Zheng, R.; Chen, Y.; Wang, J.; Song, J.; Li, X.M.; He, T. Preparation of Omniphobic PVDF Membrane with Hierarchical Structure for Treating Saline Oily Wastewater Using Direct Contact Membrane Distillation. J. Memb. Sci. 2018, 555, 197–205. [Google Scholar] [CrossRef]
- Meng, S.; Mansouri, J.; Ye, Y.; Chen, V. Effect of Templating Agents on the Properties and Membrane Distillation Performance of TiO2-Coated PVDF Membranes. J. Memb. Sci. 2014, 450, 48–59. [Google Scholar] [CrossRef]
- Lu, X.; Peng, Y.; Ge, L.; Lin, R.; Zhu, Z.; Liu, S. Amphiphobic PVDF Composite Membranes for Anti-Fouling Direct Contact Membrane Distillation. J. Memb. Sci. 2016, 505, 61–69. [Google Scholar] [CrossRef]
- Deng, L.; Ye, H.; Li, X.; Li, P.; Zhang, J.; Wang, X.; Zhu, M.; Hsiao, B.S. Self-Roughened Omniphobic Coatings on Nanofibrous Membrane for Membrane Distillation. Sep. Purif. Technol. 2018, 206, 14–25. [Google Scholar] [CrossRef]
- Wang, M.; Liu, G.; Yu, H.; Lee, S.-H.; Wang, L.; Zheng, J.; Wang, T.; Yun, Y.; Lee, J.K. ZnO Nanorod Array Modified PVDF Membrane with Superhydrophobic Surface for Vacuum Membrane Distillation Application. ACS Appl. Mater. Interfaces 2018, 10, 13452–13461. [Google Scholar] [CrossRef]
- Ardeshiri, F.; Akbari, A.; Peyravi, M.; Jahanshahi, M. PDADMAC/PAA Semi-IPN Hydrogel-Coated PVDF Membrane for Robust Anti-Wetting in Membrane Distillation. J. Ind. Eng. Chem. 2019, 74, 14–25. [Google Scholar] [CrossRef]
- Qing, W.; Wu, Y.; Li, X.; Shi, X.; Shao, S.; Mei, Y.; Zhang, W.; Tang, C.Y. Omniphobic PVDF Nanofibrous Membrane for Superior Anti-Wetting Performance in Direct Contact Membrane Distillation. J. Memb. Sci. 2020, 608, 118226. [Google Scholar] [CrossRef]
- Huang, J.; Hu, Y.; Bai, Y.; He, Y.; Zhu, J. Novel Solar Membrane Distillation Enabled by a PDMS/CNT/PVDF Membrane with Localized Heating. Desalination 2020, 489, 114529. [Google Scholar] [CrossRef]
- Li, Z.; Zhang, P.; Guan, K.; Yoshioka, T.; Matsuyama, H. Water Flux Enhancement of PVDF Membrane by a Facile Coating Method for Vacuum Membrane Distillation. Desalination 2022, 536, 115818. [Google Scholar] [CrossRef]
- Li, B.; Yun, Y.; Wang, M.; Li, C.; Yang, W.; Li, J.; Liu, G. Superhydrophobic Polymer Membrane Coated by Mineralized β-FeOOH Nanorods for Direct Contact Membrane Distillation. Desalination 2021, 500, 114889. [Google Scholar] [CrossRef]
- Kebria, M.R.S.; Rahimpour, A.; Bakeri, G.; Abedini, R. Experimental and Theoretical Investigation of Thin ZIF-8/Chitosan Coated Layer on Air Gap Membrane Distillation Performance of PVDF Membrane. Desalination 2019, 450, 21–32. [Google Scholar] [CrossRef]
- Lee, E.J.; Deka, B.J.; An, A.K. Reinforced Superhydrophobic Membrane Coated with Aerogel-Assisted Polymeric Microspheres for Membrane Distillation. J. Memb. Sci. 2019, 573, 570–578. [Google Scholar] [CrossRef]
- Liu, L.; Shen, F.; Chen, X.; Luo, J.; Su, Y.; Wu, H.; Wan, Y. A Novel Plasma-Induced Surface Hydrophobization Strategy for Membrane Distillation: Etching, Dipping and Grafting. J. Memb. Sci. 2016, 499, 544–554. [Google Scholar] [CrossRef]
- Khemakhem, S.; Amar, R. Ben Grafting of Fluoroalkylsilanes on Microfiltration Tunisian Clay Membrane. Ceram. Int. 2011, 37, 3323–3328. [Google Scholar] [CrossRef]
- Kujawa, J.; Kujawski, W.; Koter, S.; Jarzynka, K.; Rozicka, A.; Bajda, K.; Cerneaux, S.; Persin, M.; Larbot, A. Membrane Distillation Properties of TiO2 Ceramic Membranes Modified by Perfluoroalkylsilanes. Desalination Water Treat 2013. [Google Scholar] [CrossRef]
- Kujawa, J.; Rozicka, A.; Cerneaux, S.; Kujawski, W. The Influence of Surface Modification on the Physicochemical Properties of Ceramic Membranes. Colloids Surf. A Phys. Eng. Asp. 2014, 443, 567–575. [Google Scholar] [CrossRef]
- Pinheiro, A.F.M.; Hoogendoorn, D.; Nijmeijer, A.; Winnubst, L. Development of a PDMS-Grafted Alumina Membrane and Its Evaluation as Solvent Resistant Nanofiltration Membrane. J. Memb. Sci. 2014, 463, 24–32. [Google Scholar] [CrossRef]
- Tooma, M.A.; Najim, T.S.; Alsalhy, Q.F.; Marino, T.; Criscuoli, A.; Giorno, L.; Figoli, A. Modification of Polyvinyl Chloride (PVC) Membrane for Vacuum Membrane Distillation (VMD) Application. Desalination 2015, 373, 58–70. [Google Scholar] [CrossRef]
- Han, L.; Tan, Y.Z.; Xu, C.; Xiao, T.; Trinh, T.A.; Chew, J.W. Zwitterionic Grafting of Sulfobetaine Methacrylate (SBMA) on Hydrophobic PVDF Membranes for Enhanced Anti-Fouling and Anti-Wetting in the Membrane Distillation of Oil Emulsions. J. Memb. Sci. 2019, 588, 117196. [Google Scholar] [CrossRef]
- Yang, C.; Li, X.M.; Gilron, J.; Kong, D.F.; Yin, Y.; Oren, Y.; Linder, C.; He, T. CF4 Plasma-Modified Superhydrophobic PVDF Membranes for Direct Contact Membrane Distillation. J. Memb. Sci. 2014, 456, 155–161. [Google Scholar] [CrossRef]
- Hamad, E.M.; Al-Gharabli, S.; Kujawa, J. Tunable Hydrophobicity and Roughness on PVDF Surface by Grafting to Mode—Approach to Enhance Membrane Performance in Membrane Distillation Process. Sep. Purif. Technol. 2022, 291, 120935. [Google Scholar] [CrossRef]
- Zhang, W.; Lu, Y.; Liu, J.; Li, X.; Li, B.; Wang, S. Preparation of Re-Entrant and Anti-Fouling PVDF Composite Membrane with Omniphobicity for Membrane Distillation. J. Memb. Sci. 2020, 595, 117563. [Google Scholar] [CrossRef]
- Yang, X.; Wang, R.; Shi, L.; Fane, A.G.; Debowski, M. Performance Improvement of PVDF Hollow Fiber-Based Membrane Distillation Process. J. Memb. Sci. 2011, 369, 437–447. [Google Scholar] [CrossRef]
- Yin, Y.; Jeong, N.; Tong, T. The Effects of Membrane Surface Wettability on Pore Wetting and Scaling Reversibility Associated with Mineral Scaling in Membrane Distillation. J. Memb. Sci. 2020, 614, 118503. [Google Scholar] [CrossRef]
- Xing, X.; Zhao, Y.; Xu, C.; He, Y.; Yang, C.; Xiao, K.; Zheng, J.; Deng, B. Omniphobic Polyvinylidene Fluoride Membrane Decorated with a ZnO Nano Sea Urchin Structure: Performance Against Surfactant-Wetting in Membrane Distillation. Ind. Eng. Chem. Res. 2022, 61, 2237–2244. [Google Scholar] [CrossRef]
- Zou, D.; Lee, Y.M. Design Strategy of Poly(Vinylidene Fluoride) Membranes for Water Treatment. Prog. Polym. Sci. 2022, 128, 101535. [Google Scholar] [CrossRef]
- Ameduri, B. From Vinylidene Fluoride (VDF) to the Applications of VDF-Containing Polymers and Copolymers: Recent Developments and Future Trends. Chem. Rev. 2009, 109, 6632–6686. [Google Scholar] [CrossRef] [PubMed]
- Essalhi, M.; Khayet, M. Surface Segregation of Fluorinated Modifying Macromolecule for Hydrophobic/Hydrophilic Membrane Preparation and Application in Air Gap and Direct Contact Membrane Distillation. J. Memb. Sci. 2012, 417, 163–173. [Google Scholar] [CrossRef]
- Lee, E.-J.; Deka, B.J.; Guo, J.; Woo, Y.C.; Shon, H.K.; An, A.K. Engineering the Re-Entrant Hierarchy and Surface Energy of PDMS-PVDF Membrane for Membrane Distillation Using a Facile and Benign Microsphere Coating. Env. Sci. Technol. 2017, 51, 10117–10126. [Google Scholar] [CrossRef] [PubMed]
- Mokhtar, N.M.; Lau, W.J.; Ismail, A.F.; Ng, B.C. Physicochemical Study of Polyvinylidene Fluoride-Cloisite15A® Composite Membranes for Membrane Distillation Application. RSC Adv. 2014, 4, 63367–63379. [Google Scholar] [CrossRef]
- Lu, K.J.; Zuo, J.; Chung, T.S. Novel PVDF Membranes Comprising N-Butylamine Functionalized Graphene Oxide for Direct Contact Membrane Distillation. J. Memb. Sci. 2017, 539, 34–42. [Google Scholar] [CrossRef]
- Prince, J.A.; Rana, D.; Singh, G.; Matsuura, T.; Jun Kai, T.; Shanmugasundaram, T.S. Effect of Hydrophobic Surface Modifying Macromolecules on Differently Produced PVDF Membranes for Direct Contact Membrane Distillation. Chem. Eng. J. 2014, 242, 387–396. [Google Scholar] [CrossRef]
- Hou, D.; Fan, H.; Jiang, Q.; Wang, J.; Zhang, X. Preparation and Characterization of PVDF Flat-Sheet Membranes for Direct Contact Membrane Distillation. Sep. Purif. Technol. 2014, 135, 211–222. [Google Scholar] [CrossRef]
- Huang, Q.; Gao, S.; Huang, Y.; Zhang, M.; Xiao, C. Study on Photothermal PVDF/ATO Nanofiber Membrane and Its Membrane Distillation Performance. J. Memb. Sci. 2019, 582, 203–210. [Google Scholar] [CrossRef]
- Li, J.; Ren, L.F.; Zhou, H.S.; Yang, J.; Shao, J.; He, Y. Fabrication of Superhydrophobic PDTS-ZnO-PVDF Membrane and Its Anti-Wetting Analysis in Direct Contact Membrane Distillation (DCMD) Applications. J. Memb. Sci. 2021, 620, 118924. [Google Scholar] [CrossRef]
- Agbaje, T.A.; Al-Gharabli, S.; Mavukkandy, M.O.; Kujawa, J.; Arafat, H.A. PVDF/Magnetite Blend Membranes for Enhanced Flux and Salt Rejection in Membrane Distillation. Desalination 2018, 436, 69–80. [Google Scholar] [CrossRef]
- Ma, W.; Wang, X.; Zhang, J. Effect of MMT, SiO2, CaCO3, and PTFE Nanoparticles on the Morphology and Crystallization of Poly(Vinylidene Fluoride). J. Polym. Sci. B Polym. Phys. 2010, 48, 2154–2164. [Google Scholar] [CrossRef]
- Yan, H.; Lu, X.; Wu, C.; Sun, X.; Tang, W. Fabrication of a Super-Hydrophobic Polyvinylidene Fluoride Hollow Fiber Membrane Using a Particle Coating Process. J. Memb. Sci. 2017, 533, 130–140. [Google Scholar] [CrossRef]
- Bian, X.; Shi, L.; Yang, X.; Lu, X. Effect of Nano-TiO2 Particles on the Performance of PVDF, PVDF-g-(Maleic Anhydride), and PVDF- g-Poly(Acryl Amide) Membranes. Ind. Eng. Chem. Res. 2011, 50, 12113–12123. [Google Scholar] [CrossRef]
- Ko, C.C.; Ali, A.; Drioli, E.; Tung, K.L.; Chen, C.H.; Chen, Y.R.; Macedonio, F. Performance of Ceramic Membrane in Vacuum Membrane Distillation and in Vacuum Membrane Crystallization. Desalination 2018, 440, 48–58. [Google Scholar] [CrossRef]
- Zhou, H.; Wang, H.; Niu, H.; Zhao, Y.; Xu, Z.; Lin, T. A Waterborne Coating System for Preparing Robust, Self-Healing, Superamphiphobic Surfaces. Adv. Funct. Mater. 2017, 27, 1604261. [Google Scholar] [CrossRef]
- Wang, X.; Xiao, C.; Liu, H.; Chen, M.; Hao, J.; Wu, Y. A Study on Fabrication of PVDF-HFP/PTFE Blend Membranes with Controllable and Bicontinuous Structure for Highly Effective Water-in-Oil Emulsion Separation. RSC Adv. 2018, 8, 27754–27762. [Google Scholar] [CrossRef]
- Siyal, M.I.; Khan, A.A.; Lee, C.K.; Kim, J.O. Surface Modification of Glass Fiber Membranes by Fluorographite Coating for Desalination of Concentrated Saline Water with Humic Acid in Direct-Contact Membrane Distillation. Sep. Purif. Technol. 2018, 205, 284–292. [Google Scholar] [CrossRef]
- Zhao, D.; Zuo, J.; Lu, K.J.; Chung, T.S. Fluorographite Modified PVDF Membranes for Seawater Desalination via Direct Contact Membrane Distillation. Desalination 2017, 413, 119–126. [Google Scholar] [CrossRef]
- Simone, S.; Figoli, A.; Criscuoli, A.; Carnevale, M.C.; Rosselli, A.; Drioli, E. Preparation of Hollow Fibre Membranes from PVDF/PVP Blends and Their Application in VMD. J. Memb. Sci. 2010, 364, 219–232. [Google Scholar] [CrossRef]
- Li, W.; Chen, Y.; Yao, L.; Ren, X.; Li, Y.; Deng, L. Fe3O4/PVDF-HFP Photothermal Membrane with in-Situ Heating for Sustainable, Stable and Efficient Pilot-Scale Solar-Driven Membrane Distillation. Desalination 2020, 478, 114288. [Google Scholar] [CrossRef]
- Lee, E.J.; An, A.K.; Hadi, P.; Lee, S.; Woo, Y.C.; Shon, H.K. Advanced Multi-Nozzle Electrospun Functionalized Titanium Dioxide/Polyvinylidene Fluoride-Co-Hexafluoropropylene (TiO2/PVDF-HFP) Composite Membranes for Direct Contact Membrane Distillation. J. Memb. Sci. 2017, 524, 712–720. [Google Scholar] [CrossRef]
- Nassrullah, H.; Makanjuola, O.; Janajreh, I.; AlMarzooqi, F.A.; Hashaikeh, R. Incorporation of Nanosized LTL Zeolites in Dual-Layered PVDF-HFP/Cellulose Membrane for Enhanced Membrane Distillation Performance. J. Memb. Sci. 2020, 611, 118298. [Google Scholar] [CrossRef]
- An, X.; Liu, Z.; Hu, Y. Amphiphobic Surface Modification of Electrospun Nanofibrous Membranes for Anti-Wetting Performance in Membrane Distillation. Desalination 2018, 432, 23–31. [Google Scholar] [CrossRef]
- Chen, Z.; Li, J.; Zhou, J.; Chen, X. Photothermal Janus PPy-SiO2@PAN/F-SiO2@PVDF-HFP Membrane for High-Efficient, Low Energy and Stable Desalination through Solar Membrane Distillation. Chem. Eng. J. 2023, 451, 138473. [Google Scholar] [CrossRef]
- Shaulsky, E.; Nejati, S.; Boo, C.; Perreault, F.; Osuji, C.O.; Elimelech, M. Post-Fabrication Modification of Electrospun Nanofiber Mats with Polymer Coating for Membrane Distillation Applications. J. Memb. Sci. 2017, 530, 158–165. [Google Scholar] [CrossRef]
- Li, W.; Deng, L.; Huang, H.; Zhou, J.; Liao, Y.; Qiu, L.; Yang, H.; Yao, L. Janus Photothermal Membrane as an Energy Generator and a Mass-Transfer Accelerator for High-Efficiency Solar-Driven Membrane Distillation. ACS Appl. Mater. Interfaces 2021, 13, 26861–26869. [Google Scholar] [CrossRef] [PubMed]
- Aljumaily, M.M.; Alayan, H.M.; Mohammed, A.A.; Alsaadi, M.A.; Alsalhy, Q.F.; Figoli, A.; Criscuoli, A. The Influence of Coating Super-Hydrophobic Carbon Nanomaterials on the Performance of Membrane Distillation. Appl. Water Sci. 2022, 12, 28. [Google Scholar] [CrossRef]
- Yadav, A.; Singh, K.; Panda, A.B.; Labhasetwar, P.K.; Shahi, V.K. Membrane Distillation Crystallization for Simultaneous Recovery of Water and Salt from Tannery Industry Wastewater Using TiO2 Modified Poly(Vinylidene Fluoride-Co-Hexafluoropropylene) Nanocomposite Membranes. J. Water Process Eng. 2021, 44, 102393. [Google Scholar] [CrossRef]
- Lu, C.; Su, C.; Cao, H.; Ma, X.; Duan, F.; Chang, J.; Li, Y. F-POSS Based Omniphobic Membrane for Robust Membrane Distillation. Mater Lett 2018, 228, 85–88. [Google Scholar] [CrossRef]
- Lalia, B.S.; Guillen, E.; Arafat, H.A.; Hashaikeh, R. Nanocrystalline Cellulose Reinforced PVDF-HFP Membranes for Membrane Distillation Application. Desalination 2014, 332, 134–141. [Google Scholar] [CrossRef]
- Ajdar, M.; Azdarpour, A.; Mansourizadeh, A.; Honarvar, B. Improvement of Porous Polyvinylidene Fluoride-Co-Hexafluropropylene Hollow Fiber Membranes for Sweeping Gas Membrane Distillation of Ethylene Glycol Solution. Chin. J. Chem. Eng. 2020, 28, 3002–3010. [Google Scholar] [CrossRef]
- García-Fernández, L.; García-Payo, M.C.; Khayet, M. Effects of Mixed Solvents on the Structural Morphology and Membrane Distillation Performance of PVDF-HFP Hollow Fiber Membranes. J. Memb. Sci. 2014, 468, 324–338. [Google Scholar] [CrossRef]
- Balis, E.; Sapalidis, A.; Pilatos, G.; Kouvelos, E.; Athanasekou, C.; Veziri, C.; Boutikos, P.; Beltsios, K.G.; Romanos, G. Enhancement of Vapor Flux and Salt Rejection Efficiency Induced by Low Cost-High Purity MWCNTs in Upscaled PVDF and PVDF-HFP Hollow Fiber Modules for Membrane Distillation. Sep. Purif. Technol. 2019, 224, 163–179. [Google Scholar] [CrossRef]
- Zhao, L.; Wu, C.; Lu, X.; Ng, D.; Truong, Y.B.; Xie, Z. Activated Carbon Enhanced Hydrophobic/Hydrophilic Dual-Layer Nanofiber Composite Membranes for High-Performance Direct Contact Membrane Distillation. Desalination 2018, 446, 59–69. [Google Scholar] [CrossRef]
- Hemmat, A.; Ghoreishi, S.M.; Sabet, J.K. Effect of Salt Additives on the Fabrication of Poly (Vinylidene Fluoride-Co-Hexafluropropylene) (PVDF-HFP) Nanofiber Membranes for Air Gap Membrane Distillation. Procedia Mater. Sci. 2015, 11, 370–375. [Google Scholar] [CrossRef]
- Mat Radzi, N.H.; Ahmad, A.L. Double Layer PVDF Blends PVDF-HFP Membrane with Modified ZnO Nanoparticles for Direct Contact Membrane Distillation (DCMD). Asia-Pac. J. Chem. Eng. 2022, 17, e2753. [Google Scholar] [CrossRef]
- Chen, T.; Soroush, A.; Rahaman, M.S. Highly Hydrophobic Electrospun Reduced Graphene Oxide/Poly(Vinylidene Fluoride-Co-Hexafluoropropylene) Membranes for Use in Membrane Distillation. Ind. Eng. Chem. Res. 2018, 57, 14535–14543. [Google Scholar] [CrossRef]
- Yadav, A.; Sharma, P.; Panda, A.B.; Shahi, V.K. Photocatalytic TiO2 Incorporated PVDF-Co-HFP UV-Cleaning Mixed Matrix Membranes for Effective Removal of Dyes from Synthetic Wastewater System via Membrane Distillation. J. Env. Chem. Eng. 2021, 9, 105904. [Google Scholar] [CrossRef]
- Xu, Y.; Yang, Y.; Fan, X.; Liu, Z.; Song, Y.; Wang, Y.; Tao, P.; Song, C.; Shao, M. In-Situ Silica Nanoparticle Assembly Technique to Develop an Omniphobic Membrane for Durable Membrane Distillation. Desalination 2021, 499, 114832. [Google Scholar] [CrossRef]
- Chen, T.; Ma, W.; Lee, J.; Jassby, D.; Rahaman, M.S. Development of Robust and Superamphiphobic Membranes Using Reduced Graphene Oxide (RGO)/PVDF-HFP Nanocomposite Mats for Membrane Distillation. Env. Sci. Nano 2021, 8, 2883–2893. [Google Scholar] [CrossRef]
- Zheng, L.; Wang, J.; Yu, D.; Zhang, Y.; Wei, Y. Preparation of PVDF-CTFE Hydrophobic Membrane by Non-Solvent Induced Phase Inversion: Relation between Polymorphism and Phase Inversion. J. Memb. Sci. 2018, 550, 480–491. [Google Scholar] [CrossRef]
- Zheng, L.; Wu, Z.; Zhang, Y.; Wei, Y.; Wang, J. Effect of Non-Solvent Additives on the Morphology, Pore Structure, and Direct Contact Membrane Distillation Performance of PVDF-CTFE Hydrophobic Membranes. J. Environ. Sci. 2016, 45, 28–39. [Google Scholar] [CrossRef] [PubMed]
- Ren, J.; Li, J.; Xu, Z.; Liu, Y.; Cheng, F. Simultaneous Anti-Fouling and Flux-Enhanced Membrane Distillation via Incorporating Graphene Oxide on PTFE Membrane for Coking Wastewater Treatment. Appl. Surf. Sci. 2020, 531, 147349. [Google Scholar] [CrossRef]
- Bhadra, M.; Roy, S.; Mitra, S. Flux Enhancement in Direct Contact Membrane Distillation by Implementing Carbon Nanotube Immobilized PTFE Membrane. Sep. Purif. Technol. 2016, 161, 136–143. [Google Scholar] [CrossRef]
- Zhou, T.; Yao, Y.; Xiang, R.; Wu, Y. Formation and Characterization of Polytetrafluoroethylene Nanofiber Membranes for Vacuum Membrane Distillation. J. Memb. Sci. 2014, 453, 402–408. [Google Scholar] [CrossRef]
- Su, C.; Li, Y.; Cao, H.; Lu, C.; Li, Y.; Chang, J.; Duan, F. Novel PTFE Hollow Fiber Membrane Fabricated by Emulsion Electrospinning and Sintering for Membrane Distillation. J. Memb. Sci. 2019, 583, 200–208. [Google Scholar] [CrossRef]
- Wang, K.; Hou, D.; Wang, J.; Wang, Z.; Tian, B.; Liang, P. Hydrophilic Surface Coating on Hydrophobic PTFE Membrane for Robust Anti-Oil-Fouling Membrane Distillation. Appl. Surf. Sci. 2018, 450, 57–65. [Google Scholar] [CrossRef]
- Sun, W.; Shen, F.; Wang, Z.; Zhang, Y.; Wan, Y. An Ultrathin, Porous and in-Air Hydrophilic/Underwater Oleophobic Coating Simultaneously Increasing the Flux and Antifouling Property of Membrane for Membrane Distillation. Desalination 2018, 445, 40–50. [Google Scholar] [CrossRef]
- Qing, W.; Hu, Z.; Ma, Q.; Zhang, W. Conductive Fe3O4/PANI@PTFE Membrane for High Thermal Efficiency in Interfacial Induction Heating Membrane Distillation. Nano Energy 2021, 89, 106339. [Google Scholar] [CrossRef]
- Bhadra, M.; Roy, S.; Mitra, S. Desalination across a Graphene Oxide Membrane via Direct Contact Membrane Distillation. Desalination 2016, 378, 37–43. [Google Scholar] [CrossRef]
- Xie, B.; Xu, G.; Jia, Y.; Gu, L.; Wang, Q.; Mushtaq, N.; Cheng, B.; Hu, Y. Engineering Carbon Nanotubes Enhanced Hydrophobic Membranes with High Performance in Membrane Distillation by Spray Coating. J. Memb. Sci. 2021, 625, 118978. [Google Scholar] [CrossRef]
- McGaughey, A.L.; Karandikar, P.; Gupta, M.; Childress, A.E. Hydrophobicity versus Pore Size: Polymer Coatings to Improve Membrane Wetting Resistance for Membrane Distillation. ACS Appl. Polym. Mater. 2020, 2, 1256–1267. [Google Scholar] [CrossRef]
- Ju, J.; Li, Z.; Lv, Y.; Liu, M.; Fejjari, K.; Kang, W.; Liao, Y. Electrospun PTFE/PI Bi-Component Membranes with Robust 3D Superhydrophobicity and High Water Permeability for Membrane Distillation. J. Memb. Sci. 2020, 611, 118420. [Google Scholar] [CrossRef]
- Hou, D.; Wang, Z.; Wang, K.; Wang, J.; Lin, S. Composite Membrane with Electrospun Multiscale-Textured Surface for Robust Oil-Fouling Resistance in Membrane Distillation. J. Memb. Sci. 2018, 546, 179–187. [Google Scholar] [CrossRef]
- Anari, Z.; Sengupta, A.; Wickramasinghe, S.R. Surface Oxidation of Ethylenechlorotrifluoroethylene (ECTFE) Membrane for the Treatment of Real Produced Water by Membrane Distillation. Int. J. Environ. Res. Public Health 2018, 15, 1561. [Google Scholar] [CrossRef] [PubMed]

























| Membrane Process | Configuration | Main Features | Application | References |
|---|---|---|---|---|
| MD | DCMD/OMD, VMD, AGMD and SGMD, etc. | Driving force: vapor pressure difference across membrane Objectives: Obtain high purity permeate, treatment of high concentration feed solutions. Advantages: be operated with low-grade waste heat sources | Seawater desalination, production of pure water, concentration of industrial wastewater such as biological solution, separation of azeotrope, etc. | [1,2,3] |
| MCr | DCMCr/OMCr, VMCr, AGMCr AGMD and SGMCr, etc. | Driving force: vapor pressure difference across membrane Producing macroscopic crystals with narrow size distribution and controlled morphology | Desalination and crystallization of salt solution, recovery of crystals from wastewater, preparation of biological macromolecules such as proteins and enzymes, etc. | [4,5,6,7,8,9] |
| Solvent and anti-solvent crystallization | Concentration gradient/pressure gradient across the membrane | Pharmaceutical compounds, inorganic nanocomposites, organic salts | [10,11,12] |
| Fluoropolymer Membrane Materials | Molecular Formula [48] |
|---|---|
| PVDF | ![]() |
| P(VDF-co-HFP) | ![]() |
| P(VDF-co-TFE) | ![]() |
| P(VDF-co-CTFE) | ![]() |
| PTFE | ![]() |
| FEP | ![]() |
| ECTFE | ![]() |
| Polymers | Melting Temperature (Tm) (°C) | Crystallization Temperature (Tc) (°C) | Crystallinity Degree | Average Molecular Weight (Mw) (kg/mol) |
|---|---|---|---|---|
| PVDF [70,71] | 110–171 | 50–140 (β phase lower temperature, α phase higher temperature) | 0.09–0.6 | 600–700 |
| P(VDF-co-TFE) [57] | <50 | --- | --- | 1570 |
| P(VDF-co-CTFE) [72,73,74] | 110–168 | 123–129 | 0.13–0.29 | 270–290 |
| P(VDF-co-HFP) [75,76,77] | 117–147 | 106–138 | 0.01–0.33 | 115–600 |
| PTFE [78,79,80,81] | 325–342 | 296–315 | 0.33–0.54 | 260–45,000 |
| FEP [82,83,84] | 147–280 | 189–234 | 0.37–0.4 | 250–600 |
| ECTFE [85,86,87] | 175–285 | 190–222 | 0.25–0.3 | --- |
| MD Type | Membrane Type | Preparation Methods | Contact Angle (°) | Feed Solution | Temperature (°C) Tf/Tp | Flux (LMH) | Rejections (%) | References |
|---|---|---|---|---|---|---|---|---|
| DCMD | Flat sheet PVDF | NIPS and VIPS | 130.3 | Sea water | 60/20 | 23.5 | >99.7 | [91] |
| DCMD | Flat sheet PVDF | Commercial | 124 | Real wastewater with antibiotics | 60/20 | 19.76 | 100 | [92] |
| DCMD | Flat sheet PVDF | Commercial functionalized with graphene | 73 | 0.5 M NaCl | 70/20 | 19 | 99.9 | [93] |
| VMD | Flat sheet PVDF | UV-curing | 162.6 | 0.6 M NaCl | 55/5 | 35 | 99.99 | [94] |
| AGMD | Nanofiber PVDF | Electrospinning | 130 | 0.6 M NaCl | (37–82)/22 | 11–12 | 98.7–99.9 | [87] |
| SGMD | Flat sheet PVDF | VIPS and NIPS | 138.2 | 0.5 M NaCl | 25/20 | 8.6 | --- | [95] |
| DCMD | Nano fiber PTFE | Electrospinning | 151 | 0.6 M NaCl | 60/20 | 40 | 99.99 | [96] |
| DCMD | Flat sheet ECTFE | TIPS | 100–119 | 0.6 M NaCl | (40–60)/14 | 6.5–22 | 99.91–99.82 | [97] |
| DCMD | P(VDF-co-HFP) | Electrospinning | 150 | 0.6 M NaCl | (40–80)/20 | 48.6 | 99.99 | [98] |
| DCMD | P(VDF-co-TFE) | NIPS | 86.8 | 0.3 M NaCl | 55/25 | 7.3 | --- | [57] |
| DCMD | Flat Sheet P(VDF-co-CTFE) | NIPS | 97.28 | 0.6 M NaCl | 55/25 | 20.65 | 99.95 | [99] |
| DCMCr | Flat sheet PVDF | Commercial with coating | 137 | 5.3 M NaCl | 34/10.5 | 1.78–2.54 | --- | [6] |
| DCMCr | Hollow fiber PTFE | Commercial | 108 | Saturated thiourea solution | 39/(24–39) | --- | --- | [100] |
| DCMD and MCr | Flat sheet P(VDF-co-HFP) | NIPS | 90.18 | 0.05 and 5.3 M NaCl | 36/15.5 | 0.62 | >99 | [101] |
| VMDCr | P(VDF-co-HFP) | TIPS | --- | sub-soil brine with CaSO4 and NaCl | 60 | 14 | --- | [102] |
| Hydrophobic Modification | Features |
|---|---|
| Surface coating |
|
| Surface grafting |
|
| Blending |
|
| Other methods |
|
| Materials | Features | |
|---|---|---|
| Particle [248,249,250] |
|
|
| Fluoropolymers [132,251,252] | Fluoroalkylsiloxane (FAS), Fluorocarbon surfactant (FS), Hyflon, Teflon, etc. |
|
| Copolymer [99,253] | P(VDF-co-HFP), P(VDF-co-CTFE), P(VDF-co-TrFE), PVDF-g-PSSA, etc. |
|
| Other materials [254,255,256] | Polydimethylsiloxane (PDMS), Graphene, two-dimensional materials, additives, pore formers such as PVP, LiCl, PEG, etc. |
|
Publisher’s Note: MDPI stays neutral with regard to jurisdictional claims in published maps and institutional affiliations. |
© 2022 by the authors. Licensee MDPI, Basel, Switzerland. This article is an open access article distributed under the terms and conditions of the Creative Commons Attribution (CC BY) license (https://creativecommons.org/licenses/by/4.0/).
Share and Cite
Li, X.; Pan, J.; Macedonio, F.; Ursino, C.; Carraro, M.; Bonchio, M.; Drioli, E.; Figoli, A.; Wang, Z.; Cui, Z. Fluoropolymer Membranes for Membrane Distillation and Membrane Crystallization. Polymers 2022, 14, 5439. https://doi.org/10.3390/polym14245439
Li X, Pan J, Macedonio F, Ursino C, Carraro M, Bonchio M, Drioli E, Figoli A, Wang Z, Cui Z. Fluoropolymer Membranes for Membrane Distillation and Membrane Crystallization. Polymers. 2022; 14(24):5439. https://doi.org/10.3390/polym14245439
Chicago/Turabian StyleLi, Xue, Jun Pan, Francesca Macedonio, Claudia Ursino, Mauro Carraro, Marcella Bonchio, Enrico Drioli, Alberto Figoli, Zhaohui Wang, and Zhaoliang Cui. 2022. "Fluoropolymer Membranes for Membrane Distillation and Membrane Crystallization" Polymers 14, no. 24: 5439. https://doi.org/10.3390/polym14245439
APA StyleLi, X., Pan, J., Macedonio, F., Ursino, C., Carraro, M., Bonchio, M., Drioli, E., Figoli, A., Wang, Z., & Cui, Z. (2022). Fluoropolymer Membranes for Membrane Distillation and Membrane Crystallization. Polymers, 14(24), 5439. https://doi.org/10.3390/polym14245439








