Matrix Regeneration Ability In Situ Induced by a Silk Fibroin Small-Caliber Artificial Blood Vessel In Vivo
Abstract
1. Introduction
2. Materials and Methods
2.1. Preparation of SFTSs
2.2. In Vivo Implantation of SFTSs
2.3. Scanning Electron Microscopy
2.4. Histological Analysis
2.5. Immunohistochemical Staining
2.6. Real-Time Quantitative PCR (RT-PCR) Analysis
2.7. Statistical Analysis
3. Results and Discussion
3.1. Morphology Observation by SEM and HE
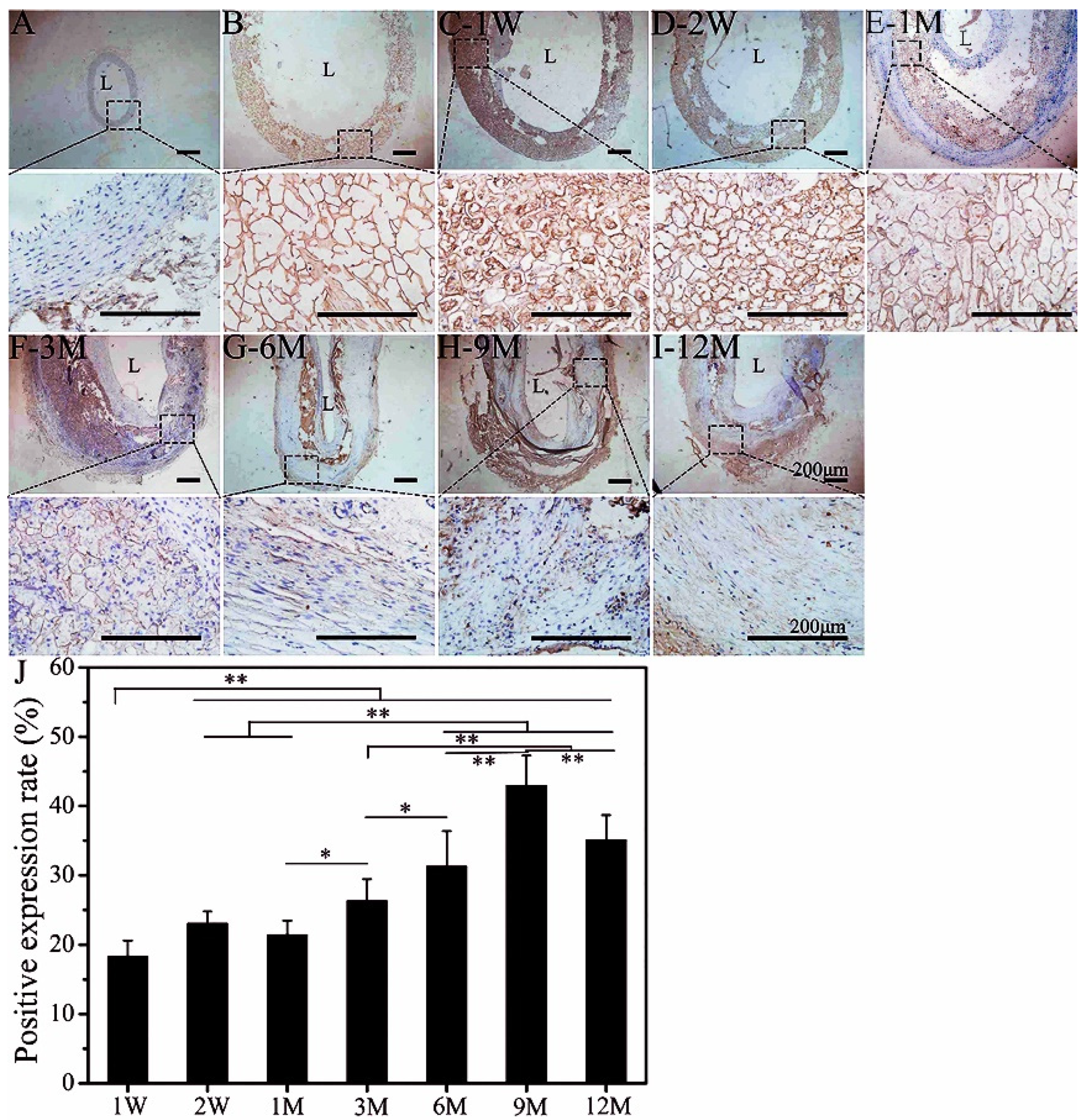
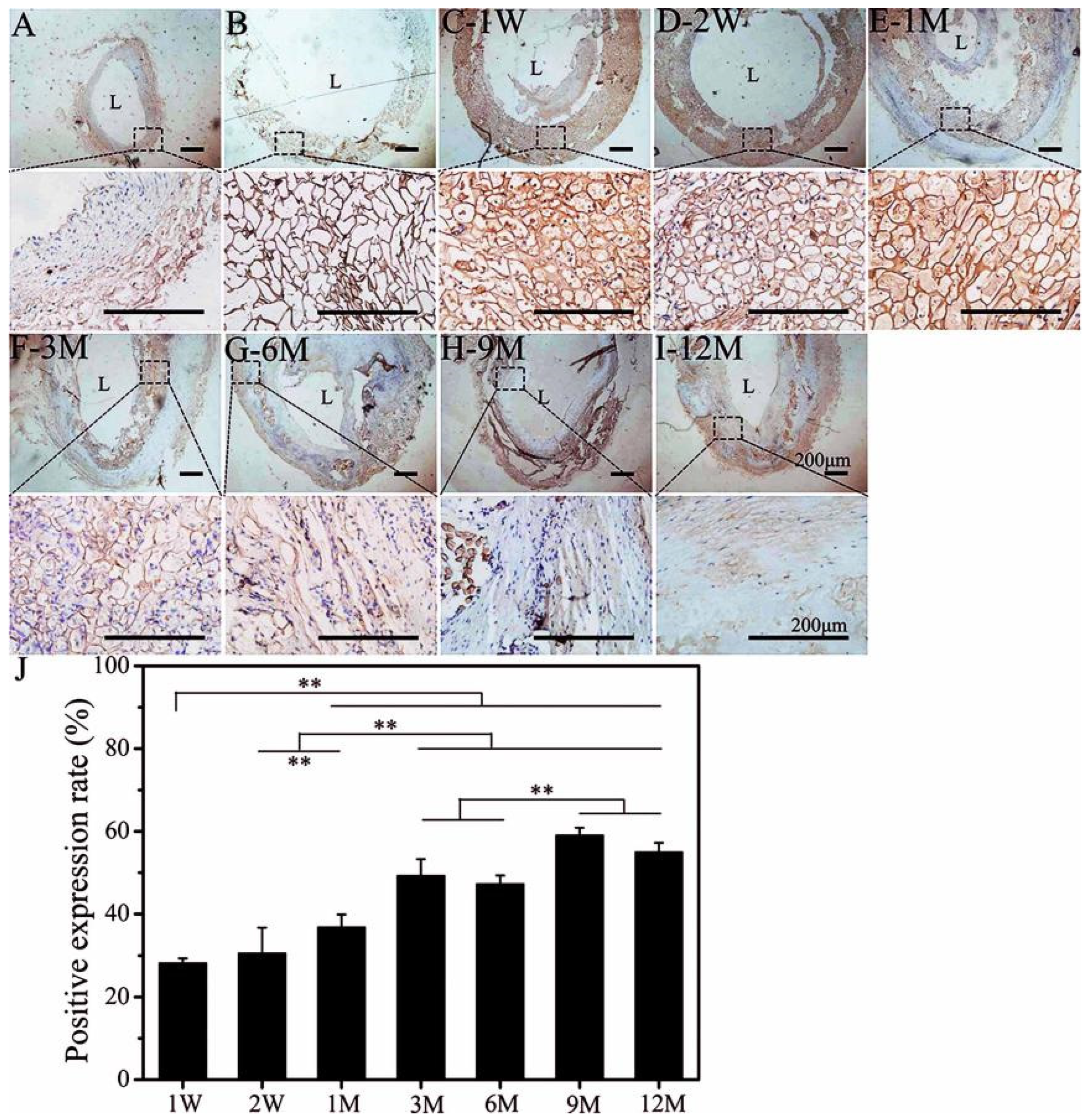
3.2. Deposition and Distribution of ECM after SFTSs Implantation
3.2.1. Elastin
3.2.2. Collagen
3.3. The Expression Level of ECM by RT-PCR
3.4. Self-Assembly of Matrix Fibers
3.4.1. SEM Observation
3.4.2. Masson and EVG Staining Observation
3.5. Expression Level of LOXL-1 Related to Matrix Fiber Self-Assembly
4. Conclusions
Author Contributions
Funding
Institutional Review Board Statement
Informed Consent Statement
Data Availability Statement
Conflicts of Interest
References
- Mathers, C.D.; Loncar, D. Projections of global mortality and burden of disease from 2002 to 2030. PLoS Med. 2006, 3, e442. [Google Scholar] [CrossRef] [PubMed]
- Catto, V.; Fare, S.; Cattaneo, I.; Figliuzzi, M.; Alessandrino, A.; Freddi, G.; Remuzzi, A.; Tanzi, M.C. Small diameter electrospun silk fibroin vascular grafts: Mechanical properties, in vitro biodegradability, and in vivo biocompatibility. Mater. Sci. Eng. C 2015, 54, 101–111. [Google Scholar] [CrossRef]
- Pashneh-Tala, S.; MacNeil, S.; Claeyssens, F. The tissue-engineered vascular graft-past, present, and future. Tissue Eng. Part B Rev. 2015, 22, 68–100. [Google Scholar] [CrossRef]
- Cabrera, P.O. Esthetic root coverage in periodontics: A review. CDS Rev. 1995, 88, 30–34. [Google Scholar]
- Cleary, M.A.; Geiger, E.; Grady, C.; Best, C.; Naito, Y.; Breuer, C. Vascular tissue engineering: The next generation. Trends Mol. Med. 2012, 18, 394–404. [Google Scholar] [CrossRef] [PubMed]
- Hibino, N.; Mejias, D.; Pietris, N.; Dean, E.; Yi, T.; Best, C.; Shinoka, T.; Breuer, C. The innate immune system contributes to tissue-engineered vascular graft performance. FASEB J. 2015, 29, 2431–2438. [Google Scholar] [CrossRef] [PubMed]
- Bos, G.W.; Poot, A.A.; Beugeling, T.; van Aken, W.G.; Feijen, J. Small-diameter vascular graft prostheses: Current status. Arch. Physiol. Biochem. 1998, 106, 100–115. [Google Scholar] [CrossRef]
- Zilla, P.; Bezuidenhout, D.; Human, P. Prosthetic vascular grafts: Wrong models, wrong questions and no healing. Biomaterials 2007, 28, 5009–5027. [Google Scholar] [CrossRef]
- Sionkowska, A. Current research on the blends of natural and synthetic polymers as new biomaterials: Review. Prog. Polym. Sci. 2011, 36, 1254–1276. [Google Scholar] [CrossRef]
- Karimi, F.; O’Connor, A.J.; Qiao, G.G.; Heath, D.E. Integrin clustering matters: A review of biomaterials functionalized with multivalent integrin-binding ligands to improve cell adhesion, migration, differentiation, angiogenesis, and biomedical device integration. Adv. Healthc. Mater. 2018, 7, 1701324. [Google Scholar] [CrossRef]
- Sundararaghavan, H.G.; Burdick, J.A. Cell encapsulation. Compr. Biomater. II 2017, 5, 154–174. [Google Scholar] [CrossRef]
- Rhodes, J.M.; Simons, M. The extracellular matrix and blood vessel formation: Not just a scaffold. J. Cell. Mol. Med. 2010, 11, 176–205. [Google Scholar] [CrossRef] [PubMed]
- Boland, E.D.; Matthews, J.A.; Pawlowski, K.J.; Simpson, D.G.; Wnek, G.E.; Bowlin, G.L. Electrospinning collagen and elastin: Preliminary vascular tissue engineering. Front. Biosci. 2004, 9, 1422–1432. [Google Scholar] [CrossRef] [PubMed]
- Hasan, A.; Memic, A.; Annabi, N.; Hossain, M.; Paul, A.; Dokmeci, M.R.; Dehghani, F.; Khademhosseini, A. Electrospun scaffolds for tissue engineering of vascular grafts. Acta Biomater. 2014, 10, 11–25. [Google Scholar] [CrossRef]
- Zhang, F.; Xie, Y.; Celik, H.; Akkus, O.; Bernacki, S.H.; King, M.W. Engineering small-caliber vascular grafts from collagen filaments and nanofibers with comparable mechanical properties to native vessels. Biofabrication 2019, 11, 035020. [Google Scholar] [CrossRef]
- McClure, M.J.; Sell, S.A.; Simpson, D.G.; Walpoth, B.H.; Bowlin, G.L. A three-layered electrospun matrix to mimic native arterial architecture using polycaprolactone, elastin, and collagen: A preliminary study. Acta Biomater. 2010, 6, 2422–2433. [Google Scholar] [CrossRef]
- Wise, S.G.; Byrom, M.J.; Waterhouse, A.; Bannon, P.G.; Weiss, A.S.; Ng, M.K.C. A multilayered synthetic human elastin/polycaprolactone hybrid vascular graft with tailored mechanical properties. Acta Biomater. 2011, 7, 295–303. [Google Scholar] [CrossRef]
- McCarthy, C.W.; Ahrens, D.C.; Joda, D.; Curtis, T.E.; Bowen, P.K.; Guillory, R.J.; Liu, S.Q.; Zhao, F.; Frost, M.C.; Goldman, J. Fabrication and short-term in vivo performance of a natural elastic lamina-polymeric hybrid vascular graft. ACS Appl. Mater. Interfaces 2015, 7, 16202–16212. [Google Scholar] [CrossRef]
- Das, S.; Pati, D.; Tiwari, N.; Nisal, A.; Sen Gupta, S. Synthesis of silk fibroin-glycopolypeptide conjugates and their recognition with lectin. Biomacromolecules 2012, 13, 3695–3702. [Google Scholar] [CrossRef]
- Naderi, H.; Matin, M.M.; Bahrami, A.R. Review paper: Critical issues in tissue engineering: Biomaterials, cell sources, angiogenesis, and drug delivery systems. J. Biomater. Appl. 2011, 26, 383–417. [Google Scholar] [CrossRef]
- Vepari, C.; Kaplan, D.L. Silk as a biomaterial. Prog. Polym. Sci. 2007, 32, 991–1007. [Google Scholar] [CrossRef] [PubMed]
- Chen, S.Y.; Liu, M.Y.; Huang, H.M.; Cheng, L.; Zhao, H.P. Mechanical properties of bombyx mori silkworm silk fibre and its corresponding silk fibroin filament: A comparative study. Mater. Design 2019, 181, 108077. [Google Scholar] [CrossRef]
- Koh, L.D.; Cheng, Y.; Teng, C.P.; Khin, Y.W.; Loh, X.J.; Tee, S.Y.; Low, M.; Ye, E.Y.; Yu, H.D.; Zhang, Y.W.; et al. Structures, mechanical properties and applications of silk fibroin materials. Prog. Polym. Sci. 2015, 46, 86–110. [Google Scholar] [CrossRef]
- Hao, Y.X.; Sun, D.; Wang, Q.Y.; Dong, F.L.; Zhang, G.; Wang, J.N. In vitro blood compatibility evaluation of silk fibroin by chemical crosslinking. Mater. Technol. 2015, 30, 327–331. [Google Scholar] [CrossRef]
- Liu, H.F.; Li, X.M.; Zhou, G.; Fan, H.B.; Fan, Y.B. Electrospun sulfated silk fibroin nanofibrous scaffolds for vascular tissue engineering. Biomaterials 2011, 32, 3784–3793. [Google Scholar] [CrossRef] [PubMed]
- Gogia, S.; Neelamegham, S. Role of fluid shear stress in regulating VWF structure, function and related blood disorders. Biorheology 2015, 52, 319–335. [Google Scholar] [CrossRef]
- Gupta, P.; Lorentz, K.L.; Haskett, D.G.; Cunnane, E.M.; Ramaswamy, A.K.; Weinbaum, J.S.; Vorp, D.A.; Mandal, B.B. Bioresorbable silk grafts for small diameter vascular tissue engineering applications: In vitro and in vivo functional analysis. Acta Biomater. 2020, 105, 146–158. [Google Scholar] [CrossRef]
- Nakazawa, Y.; Sato, M.; Takahashi, R.; Aytemiz, D.; Takabayashi, C.; Tamura, T.; Enomoto, S.; Sata, M.; Asakura, T. Development of small-diameter vascular grafts based on silk fibroin fibers from bombyx mori for vascular regeneration. J. Biomater. Sci. 2011, 22, 195–206. [Google Scholar] [CrossRef]
- Aytemiz, D.; Sakiyama, W.; Suzuki, Y.; Nakaizumi, N.; Tanaka, R.; Ogawa, Y.; Takagi, Y.; Nakazawa, Y.; Asakura, T. Small-diameter silk vascular grafts (3 mm diameter) with a double-raschel knitted silk tube coated with silk fibroin sponge. Adv. Healthc. Mater. 2013, 2, 361–368. [Google Scholar] [CrossRef]
- Shin, Y.; Yang, K.; Han, S.; Park, H.J.; Heo, Y.S.; Cho, S.W.; Chung, S. Reconstituting vascular microenvironment of neural stem cell niche in three-dimensional extracellular matrix. Adv. Healthc. Mater. 2014, 3, 1457–1464. [Google Scholar] [CrossRef]
- Wu, J.L.; Huang, C.; Liu, W.; Yin, A.L.; Chen, W.M.; He, C.L.; Wang, H.S.; Liu, S.; Fan, C.Y.; Bowlin, G.L.; et al. Cell infiltration and vascularization in porous nanoyarn scaffolds prepared by dynamic liquid electrospinning. J. Biomed. Nanotechnol. 2014, 10, 603–614. [Google Scholar] [CrossRef] [PubMed]
- Frydrych, M.; Chen, B. Large three-dimensional poly(glycerol sebacate)-based scaffolds-a freeze-drying preparation approach. J. Mater. Chem. B 2013, 1, 6650–6661. [Google Scholar] [CrossRef] [PubMed]
- Li, X.D.; Liu, L.B.; Zhang, X.Z.; Xu, T. Research and development of 3D printed vasculature constructs. Biofabrication 2018, 10, 032002. [Google Scholar] [CrossRef] [PubMed]
- Wang, J.N.; Wei, Y.L.; Yi, H.G.; Liu, Z.W.; Sun, D.; Zhao, H.R. Cytocompatibility of a silk fibroin tubular scaffold. Mater. Sci. Eng. C 2014, 34, 429–436. [Google Scholar] [CrossRef] [PubMed]
- Sun, X.L.; Hao, Y.X.; Wang, Q.Y.; Dong, F.L.; Wang, J.N. Cell growth and proliferation on the interface of a silk fabric tubular scaffold. Text. Res. J. 2015, 86, 2193–2201. [Google Scholar] [CrossRef]
- Liu, Y.F.; Tu, F.F.; Li, H.L.; Shi, P.G.; Yin, Y.; Dong, F.L.; Wang, J.N. Preparation, characterization and in vivo graft patency of a silk fibroin tubular scaffold. Mater. Technol. 2018, 33, 227–234. [Google Scholar] [CrossRef]
- Tu, F.F.; Liu, Y.F.; Li, H.L.; Shi, P.G.; Hao, Y.X.; Wu, Y.; Yi, H.G.; Yin, Y.; Wang, J.N. Vascular cell co-culture on silk fibroin matrix. Polymers 2018, 10, 39. [Google Scholar] [CrossRef]
- Li, H.L.; Wang, Y.N.; Sun, X.L.; Tian, W.; Xu, J.J.; Wang, J.N. Steady-state behavior and endothelialization of a silk-based small-caliber scaffold in vivo transplantation. Polymers 2019, 11, 1303. [Google Scholar] [CrossRef]
- Li, H.L.; Song, G.Z.; Tian, W.; Ding, M.Y.; Sun, X.L.; Xu, J.M.; Dong, F.L.; Wang, A.Q.; Ning, P.; Yin, Y. Motility and function of smooth muscle cells in a silk small-caliber tubular scaffold after replacement of rabbit common carotid artery. Mater. Sci. Eng. C 2020, 114, 110977. [Google Scholar] [CrossRef]
- Enomoto, S.; Sumi, M.; Kajimoto, K.; Nakazawa, Y.; Takahashi, R.; Takabayashi, C.; Asakura, T.; Sata, M. Long-term patency of small-diameter vascular graft made from fibroin, a silk-based biodegradable material. J. Vasc. Surg. 2010, 51, 155–164. [Google Scholar] [CrossRef]
- Emilio, A.S.; Barbara, G.; Francesco, R. Elasticand collagenous networks in vascular diseases. Cell Struct. Funct. 2000, 25, 69–72. [Google Scholar] [CrossRef]
- Yeo, G.C.; Baldock, C.; Wise, S.G.; Weiss, A.S. A negatively charged residue stabilizes the tropoelastin N-terminal region for elastic fiber assembly. J. Biol. Chem. 2014, 289, 34815–34826. [Google Scholar] [CrossRef] [PubMed]
- Van Der Rest, M.; Garrone, R. Collagen family of proteins. FASEB J. 1991, 5, 2814–2823. [Google Scholar] [CrossRef] [PubMed]
- Kuivaniemia, H.; Tromp, G. Type III collagen (COL3A1): Gene and protein structure, tissue distribution, and associated diseases. Gene 2019, 707, 151–171. [Google Scholar] [CrossRef]
- Liu, X.; Wu, H.; Byrne, M. Type III collagen is crucial for collagen I fibrillogenesis and for normal cardiovascular development. Proc. Natl. Acad. Sci. USA 1997, 94, 1852–1856. [Google Scholar] [CrossRef]
- Kim, J.K.; Xu, Y.; Xu, X.; Keene, D.R.; Gurusiddappa, S.; Liang, X.W.; Wary, K.K.; Höök, M. A novel binding site in collagen type III for integrins α1β1and α2β1. J. Biol. Chem. 2005, 280, 32512–32520. [Google Scholar] [CrossRef]
- Li, T.J.; Liu, X.N.; Ni, L.; Wang, Z.Q.; Wang, W.D.; Shi, T.; Liu, X.; Liu, C.W. Perivascular adipose tissue alleviates inflammatory factors and stenosis in diabetic blood vessels. Biochem. Biophys. Res. Commun. 2016, 480, 147–152. [Google Scholar] [CrossRef]
- Afra, S.; Matin, M.M. Potential of mesenchymal stem cells for bioengineered blood vessels in comparison with other eligible cell sources. Cell Tissue Res. 2020, 380, 1–13. [Google Scholar] [CrossRef]
- Fisher, S.A. Vascular smooth muscle phenotypic diversity and function. Physiol. Genom. 2010, 42A, 169–187. [Google Scholar] [CrossRef]
- Keulen, C.J.V.; Akker, E.V.D.; Pals, G.; Rauwerda, J.A. The role of type III collagen in the development of familial abdominal aortic aneurysms. Eur. J. Vasc. Endovasc. Surg. 1999, 18, 65–70. [Google Scholar] [CrossRef][Green Version]
- Mohindra, R.; Agrawal, D.K.; Thankam, F.G. Altered vascular extracellular matrix in the pathogenesis of atherosclerosis. J. Cardiovasc. Transl. 2021, 14, 647–660. [Google Scholar] [CrossRef] [PubMed]
- Fhayli, W.; Boet, Q.; Harki, O.; Briancon-Marjollet, A.; Jacob, M.P.; Faury, G. Rise and fall of elastic fibers from development to aging: Consequences on arterial structure-function and therapeutical perspectives. Matrix Biol. 2019, 84, 41–56. [Google Scholar] [CrossRef] [PubMed]








| Name | Type | Dilution Factor |
|---|---|---|
| Rabbit anti-human elastin | Primary antibody | 400 |
| Type III collagen antibody | Primary antibody | 400 |
| Rabbit anti-human LOXL-1 antibody | Primary antibody | 400 |
| Mouse anti-human type I collagen antibody | Primary antibody | 400 |
| Donkey anti-rabbit IgG labeled with horseradish | secondary antibody | 400 |
| Rabbit anti-mouse IgG labeled with horseradish peroxidase | secondary antibody | 400 |
| Gene | Primer Sequence (5′–3′) | Product Length (bps) | Annealing Temperature (°C) | Amplification Efficiency (%) |
|---|---|---|---|---|
| GAPDH | GTTCCACGGCAGGTCAAGG CGTACTCGGCACCAGCATCAC | 119 | 58 | 94 |
| Elastin | AAGATGGTGCAGACACTTCC AGAGCGAATCCAGCTTTGAG | 116 | 55 | 99 |
| Collagen-I | TGAGCCAGCAGATTGAGAAC CCAGTGTCCATGTCGCAGA | 175 | 55 | 96 |
| Collagen-III | AAGCCCCAGAAAATTG TGGTGGAACAGCAAAAATCA | 160 | 52 | 91 |
| LOXL-1 | CCTGTGACTTCGGCAACCTCAAG GATGTCGGCGTTGTAGGTGTCG | 92 | 53 | 92 |
| CD68 | CAGTTGAGAGTCGGCATTAGGTGAG CGTGAAGGATGGCAGCAGAGTG | 170 | 55 | 93 |
| CD80 | AGTCGGTGAAAGAAATGGCA TAATGATGTCGGGGAAGGTG | 156 | 56 | 95 |
| CD163 | CTGGGCTAATTCCAGCGCAG GATCCATCTGAGCAGGTTACTCCA | 171 | 55 | 92 |
Publisher’s Note: MDPI stays neutral with regard to jurisdictional claims in published maps and institutional affiliations. |
© 2022 by the authors. Licensee MDPI, Basel, Switzerland. This article is an open access article distributed under the terms and conditions of the Creative Commons Attribution (CC BY) license (https://creativecommons.org/licenses/by/4.0/).
Share and Cite
Li, H.; Dai, M.; Li, M.; Meng, L.; Yu, Y.; Xu, J.; Dong, F.; Fan, Q.; Yin, Y.; Wang, A.; et al. Matrix Regeneration Ability In Situ Induced by a Silk Fibroin Small-Caliber Artificial Blood Vessel In Vivo. Polymers 2022, 14, 3754. https://doi.org/10.3390/polym14183754
Li H, Dai M, Li M, Meng L, Yu Y, Xu J, Dong F, Fan Q, Yin Y, Wang A, et al. Matrix Regeneration Ability In Situ Induced by a Silk Fibroin Small-Caliber Artificial Blood Vessel In Vivo. Polymers. 2022; 14(18):3754. https://doi.org/10.3390/polym14183754
Chicago/Turabian StyleLi, Helei, Mengnan Dai, Meng Li, Lingpeng Meng, Yangxiao Yu, Jianmei Xu, Fenglin Dong, Qingmin Fan, Yin Yin, Aiqing Wang, and et al. 2022. "Matrix Regeneration Ability In Situ Induced by a Silk Fibroin Small-Caliber Artificial Blood Vessel In Vivo" Polymers 14, no. 18: 3754. https://doi.org/10.3390/polym14183754
APA StyleLi, H., Dai, M., Li, M., Meng, L., Yu, Y., Xu, J., Dong, F., Fan, Q., Yin, Y., Wang, A., & Wang, J. (2022). Matrix Regeneration Ability In Situ Induced by a Silk Fibroin Small-Caliber Artificial Blood Vessel In Vivo. Polymers, 14(18), 3754. https://doi.org/10.3390/polym14183754
