Calcein Binding to Assess Mineralization in Hydrogel Microspheres
Abstract
:1. Introduction
2. Materials and Methods
2.1. Cell Culture
2.2. Cell Encapsulation
2.3. Osteodifferentiation and Calcein Staining of Encapsulated Cells
2.4. Viability Assays
2.5. Alkaline Phosphatase Staining of Encapsulated Cells
2.6. Alizarin Red S Staining of Encapsulated Cells
2.7. Statistical Analysis
3. Results
3.1. Cell Encapsulation
3.2. Cell Viability
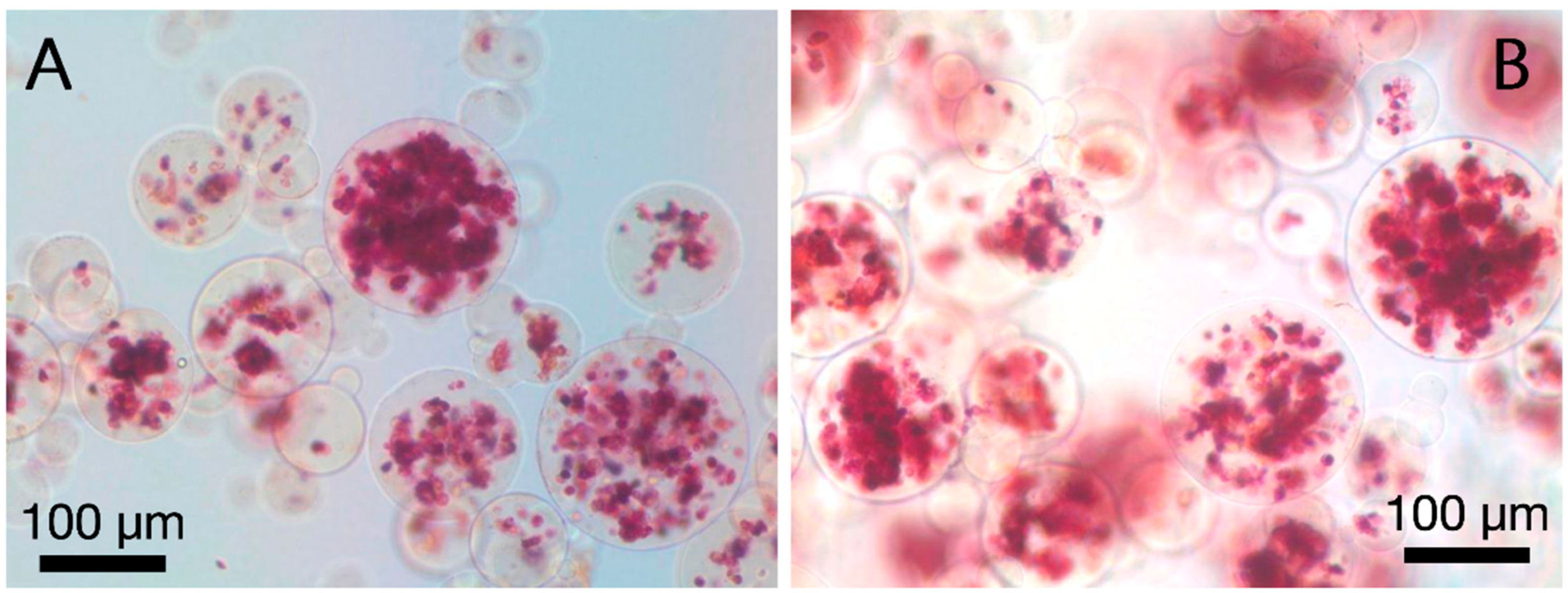
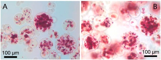
3.3. Colorimetric Stains
4. Discussion
Author Contributions
Funding
Data Availability Statement
Conflicts of Interest
References
- Hale, L.; Ma, Y.; Santerre, R. Semi-quantitative fluorescence analysis of calcein binding as a measurement of in vitro mineralization. Calcif. Tissue Int. 2000, 67, 80–84. [Google Scholar] [CrossRef] [PubMed]
- Serguienko, A.; Wang, M.Y.; Myklebost, O. Real-time vital mineralization detection and quantification during in vitro osteoblast differentiation. Biol. Proced. Online 2018, 20, 14. [Google Scholar] [CrossRef] [PubMed]
- Tambutté, E.; Tambutté, S.; Segonds, N.; Zoccola, D.; Venn, A.; Erez, J.; Allemand, D. Calcein labelling and electrophysiology: Insights on coral tissue permeability and calcification. Proc. R. Soc. B Biol. Sci. 2012, 279, 19–27. [Google Scholar] [CrossRef] [PubMed] [Green Version]
- Moran, A. Calcein as a marker in experimental studies newly-hatched gastropods. Mar. Biol. 2000, 137, 893–898. [Google Scholar] [CrossRef]
- Puchtler, H.; Meloan, S.N.; Terry, M.S. On the history and mechanism of alizarin and alizarin red S stains for calcium. J. Histochem. Cytochem. 1969, 17, 110–124. [Google Scholar] [CrossRef] [PubMed]
- 6Samineni, S.; Glackin, C.; Shively, J.E. Role of CEACAM1, ECM, and mesenchymal stem cells in an orthotopic model of human breast cancer. Int. J. Breast Cancer 2011, 2011, 381080. [Google Scholar]
- Nierste, B.A.; Glackin, C.A.; Kirshner, J. Dkk-1 and IL-7 in plasma of patients with multiple myeloma prevent differentiation of mesenchymal stem cells into osteoblasts. Am. J. Blood Res. 2014, 4, 73. [Google Scholar] [PubMed]
- Mehta, S.; McClarren, B.; Aijaz, A.; Chalaby, R.; Cook-Chennault, K.; Olabisi, R.M. The effect of low-magnitude, high-frequency vibration on poly (ethylene glycol)-microencapsulated mesenchymal stem cells. J. Tissue Eng. 2018, 9, 2041731418800101. [Google Scholar] [CrossRef] [PubMed] [Green Version]
- Aijaz, A.; Perera, D.; Olabisi, R.M. Polymeric materials for cell microencapsulation. In Cell Microencapsulation; Springer: New York, NY, USA, 2017; p. 79. [Google Scholar]
- Gregory, C.A.; Gunn, W.G.; Peister, A.; Prockop, D.J. An Alizarin red-based assay of mineralization by adherent cells in culture: Comparison with cetylpyridinium chloride extraction. Anal. Biochem. 2004, 329, 77–84. [Google Scholar] [CrossRef] [PubMed]
- Mathieu, P.S.; Loboa, E.G. Cytoskeletal and focal adhesion influences on mesenchymal stem cell shape, mechanical properties, and differentiation down osteogenic, adipogenic, and chondrogenic pathways. Tissue Eng. Part B Rev. 2012, 18, 436–444. [Google Scholar] [CrossRef] [PubMed] [Green Version]
- Kilian, K.A.; Bugarija, B.; Lahn, B.T.; Mrksich, M. Geometric cues for directing the differentiation of mesenchymal stem cells. Proc. Natl. Acad. Sci. USA 2010, 107, 4872–4877. [Google Scholar] [CrossRef] [PubMed] [Green Version]
- White, C.; DiStefano, T.; Olabisi, R. The influence of substrate modulus on retinal pigment epithelial cells. J. Biomed. Mater. Res. Part A 2017, 105, 1260–1266. [Google Scholar] [CrossRef] [PubMed] [Green Version]
- Murphy, C.M.; Matsiko, A.; Haugh, M.G.; Gleeson, J.P.; O’Brien, F.J. Mesenchymal stem cell fate is regulated by the composition and mechanical properties of collagen–glycosaminoglycan scaffolds. J. Mech. Behav. Biomed. Mater. 2012, 11, 53–62. [Google Scholar] [CrossRef] [PubMed]
- Perera, D.; Medini, M.; Seethamraju, D.; Falkowski, R.; White, K.; Olabisi, R.M. The effect of polymer molecular weight and cell seeding density on viability of cells entrapped within PEGDA hydrogel microspheres. J. Microencapsul. 2018, 35, 475–481. [Google Scholar] [CrossRef] [PubMed] [Green Version]





Publisher’s Note: MDPI stays neutral with regard to jurisdictional claims in published maps and institutional affiliations. |
© 2021 by the authors. Licensee MDPI, Basel, Switzerland. This article is an open access article distributed under the terms and conditions of the Creative Commons Attribution (CC BY) license (https://creativecommons.org/licenses/by/4.0/).
Share and Cite
White, K.; Chalaby, R.; Lowe, G.; Berlin, J.; Glackin, C.; Olabisi, R. Calcein Binding to Assess Mineralization in Hydrogel Microspheres. Polymers 2021, 13, 2274. https://doi.org/10.3390/polym13142274
White K, Chalaby R, Lowe G, Berlin J, Glackin C, Olabisi R. Calcein Binding to Assess Mineralization in Hydrogel Microspheres. Polymers. 2021; 13(14):2274. https://doi.org/10.3390/polym13142274
Chicago/Turabian StyleWhite, Kristopher, Rabab Chalaby, Gina Lowe, Jacob Berlin, Carlotta Glackin, and Ronke Olabisi. 2021. "Calcein Binding to Assess Mineralization in Hydrogel Microspheres" Polymers 13, no. 14: 2274. https://doi.org/10.3390/polym13142274
APA StyleWhite, K., Chalaby, R., Lowe, G., Berlin, J., Glackin, C., & Olabisi, R. (2021). Calcein Binding to Assess Mineralization in Hydrogel Microspheres. Polymers, 13(14), 2274. https://doi.org/10.3390/polym13142274
