Fish Collagen: Extraction, Characterization, and Applications for Biomaterials Engineering
Abstract
1. Introduction
2. Collagen Formation, Stability, and Molecular Structure
2.1. Marine Collagen
2.1.1. Fish Skin
2.1.2. Fish Scale
2.1.3. Fish Bones
2.1.4. Fish Cartilage
3. Collagen Extraction Methods
3.1. Acid Extraction Procedure
3.2. Pepsin-Aided AcOH Extraction Procedure
4. Influence of Extraction Parameters on Collagen Yield
4.1. Effect of the Temperature on Collagen Extraction
4.2. Effect of the Extraction Time
4.3. Effect of Solvent Concentration
4.4. Effect of Solid-to-Liquid Ratio
5. Other Extraction Methods
5.1. Deep Eutectic Solvent (DES) Extraction
5.2. Supercritical Fluid Extraction (SFE)
5.3. Extrusion and Ultrasound-Assisted Extraction of Collagen
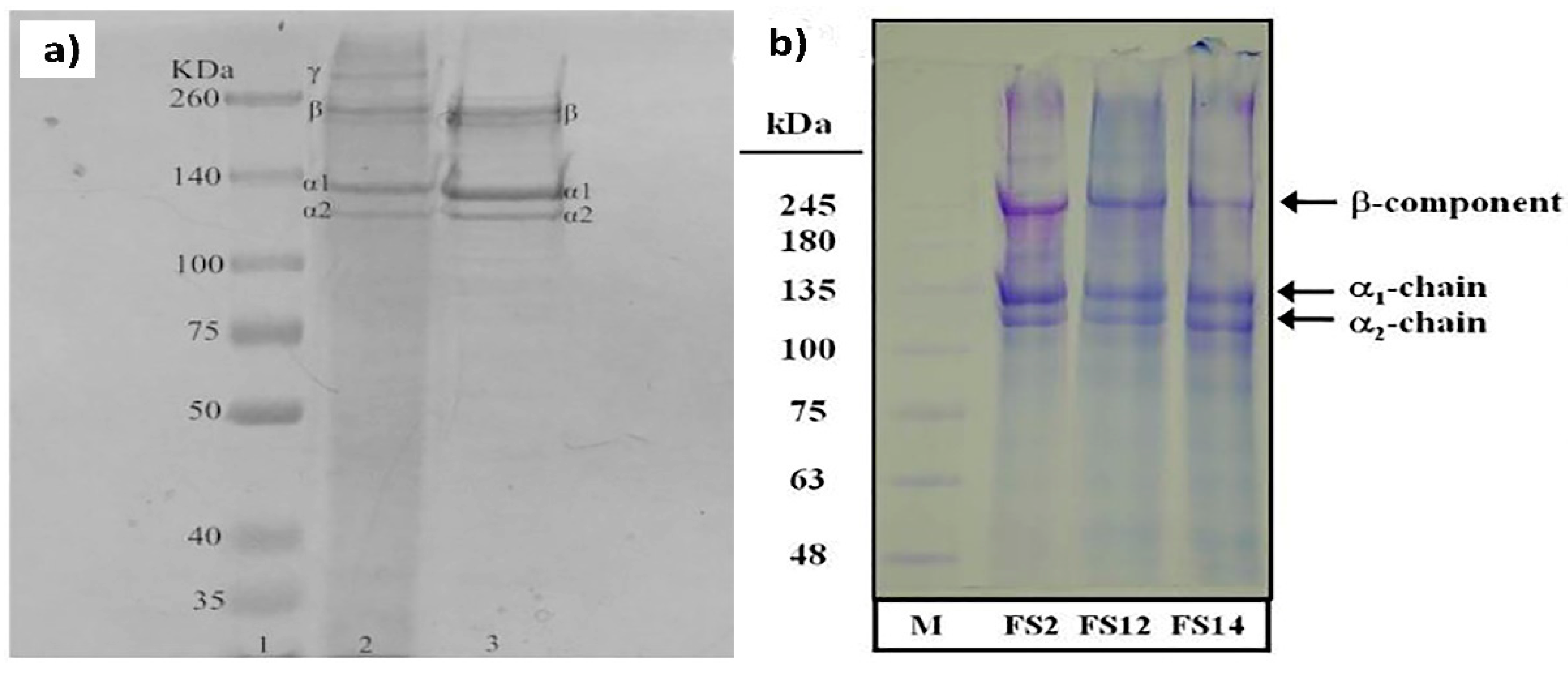
6. Collagen Characterization Methods
6.1. Chemical Composition of Collagen
6.2. Characterized Purity of Collagen and Breakdown
6.3. Secondary Structure of Collagen
6.4. The Yield of Collagen and Amino Acid Analysis
6.5. Thermal Properties of Collagen
7. Marine Collagen Biomaterials Application
8. Conclusions and Future Perspective
Author Contributions
Funding
Conflicts of Interest
Abbreviations
| AcOH | Acetic acid |
| ALP | Alkaline phosphatase activity |
| ASC | Acid-soluble collagen |
| BSE | Bovine spongiform encephalopathy |
| CC | Choline chloride |
| CP | Bacterial collagenolytic proteases |
| DES | Deep eutectic solvent |
| DSC | Differential scanning calorimetry |
| ECM | Extracellular matrix |
| EHE | Extrusion-hydro-extraction |
| EDTA | Ethylenediaminetetraacetic acid |
| FTIR | Fourier transform infrared spectroscopy |
| Gly | Glycine |
| HBA | Hydrogen bond acceptor |
| HBD | Hydrogen bond donor |
| HCl | Hydrochloric acid |
| Hyp | 4-Hydroxyproline: |
| NaOH | Sodium hydroxide |
| PBS | Phosphate buffer solution |
| PEF | High-intensity pulsed electric fields |
| PSC | Pepsin-soluble collagen |
| SBE | Semi-bionic extraction |
| SDS-PAGE | Sodium dodecyl sulfate sulfate-polyacrylamide gel electrophoresis |
| SFE | Supercritical fluid extraction |
| OA | Oxalic acid |
References
- Müller, W.E. The origin of metazoan complexity: Porifera as integrated animals. Integr. Comp. Biol. 2003, 43, 3–10. [Google Scholar] [CrossRef] [PubMed]
- Shoulders, M.D.; Raines, R.T. Collagen structure and stability. Annu. Rev. Biochem. 2009, 78, 929–958. [Google Scholar] [CrossRef] [PubMed]
- Sahiner, M.; Alpaslan, D.; Bitlisli, B.O. Collagen-based hydrogel films as drug-delivery devices with antimicrobial properties. Polym. Bull. 2014, 71, 3017–3033. [Google Scholar] [CrossRef]
- Dong, C.; Lv, Y. Application of collagen scaffold in tissue engineering: Recent advances and new perspectives. Polymers 2016, 8, 42. [Google Scholar] [CrossRef] [PubMed]
- Xu, H.; Xu, H.; Zhang, L.; Qu, X.; Zhao, B. Absorbable collagen suture and non-absorbable silk suture in oral implantation. Chin. J. Tissue Eng. Res. 2014, 18, 1877. [Google Scholar]
- Wang, E.; Han, J.; Zhang, X.; Wu, Y.; Deng, X.-L. Efficacy of a mineralized collagen bone-grafting material for peri-implant bone defect reconstruction in mini pigs. Regen. Biomater. 2019, 6, 107–111. [Google Scholar] [CrossRef]
- Ågren, M. Wound Healing Biomaterials-Volume 2: Functional Biomaterials; Woodhead Publishing: Sawston, UK, 2016. [Google Scholar]
- Silver, F.H. The importance of collagen fibers in vertebrate biology. J. Eng. Fibers Fabr. 2009, 4, 9–17. [Google Scholar] [CrossRef]
- Davison-Kotler, E.; Marshall, W.S.; García-Gareta, E. Sources of Collagen for Biomaterials in Skin Wound Healing. Bioengineering 2019, 6, 56. [Google Scholar] [CrossRef]
- Silva, T.H.; Moreira-Silva, J.; Marques, A.L.; Domingues, A.; Bayon, Y.; Reis, R.L. Marine origin collagens and its potential applications. Mar. Drugs 2014, 12, 5881–5901. [Google Scholar] [CrossRef]
- Chang, S.-W.; Buehler, M.J. Molecular biomechanics of collagen molecules. Mater. Today 2014, 17, 70–76. [Google Scholar] [CrossRef]
- Aguda, A.H.; Panwar, P.; Du, X.; Nguyen, N.T.; Brayer, G.D.; Brömme, D. Structural basis of collagen fiber degradation by cathepsin K. Proc. Natl. Acad. Sci. USA 2014, 111, 17474–17479. [Google Scholar] [CrossRef]
- Kan, M.; Qian, X.; Zhang, T.; Yue, D.; Zhao, Y. Highly Active IrO x Nanoparticles/Black Si Electrode for Efficient Water Splitting with Conformal TiO2 Interface Engineering. ACS Sustain. Chem. Eng. 2017, 5, 10940–10946. [Google Scholar] [CrossRef]
- Mahboob, S. Isolation and characterization of collagen from fish waste material-skin, scales and fins of Catla catla and Cirrhinus mrigala. J. Food Sci. Technol. 2015, 52, 4296–4305. [Google Scholar] [CrossRef] [PubMed]
- Caruso, G. Fishery wastes and by-products: A resource to be valorised. J. Fish. Sci. 2015, 9, 80–83. [Google Scholar]
- Silvipriya, K.; Kumar, K.K.; Bhat, A.; Kumar, B.D.; John, A.; Lakshmanan, P. Collagen: Animal sources and biomedical application. J. Appl. Pharm. Sci. 2015, 5, 123–127. [Google Scholar] [CrossRef]
- Shavandi, A.; Hou, Y.; Carne, A.; McConnell, M.; Bekhit, A.E.-d.A. Chapter Four-Marine Waste Utilization as a Source of Functional and Health Compounds. In Advances in Food and Nutrition Research; Toldrá, F., Ed.; Academic Press: Cambridge, MA, USA, 2019; Volume 87, pp. 187–254. [Google Scholar]
- Hou, Y.; Shavandi, A.; Carne, A.; Bekhit, A.A.; Ng, T.B.; Cheung, R.C.F.; Bekhit, A.E.-d.A. Marine shells: Potential opportunities for extraction of functional and health-promoting materials. Crit. Rev. Environ. Sci. Technol. 2016, 46, 1047–1116. [Google Scholar] [CrossRef]
- Blanco, M.; Vázquez, J.A.; Pérez-Martín, R.I.; Sotelo, C.G. Collagen extraction optimization from the skin of the small-spotted catshark (S. canicula) by response surface methodology. Mar. Drugs 2019, 17, 40. [Google Scholar] [CrossRef]
- Sotelo, C.G.; Comesaña, M.B.; Ariza, P.R.; Pérez-Martín, R.I. Characterization of collagen from different discarded fish species of the west coast of the Iberian Peninsula. J. Aquat. Food Prod. Technol. 2016, 25, 388–399. [Google Scholar] [CrossRef]
- Skierka, E.; Sadowska, M. The influence of different acids and pepsin on the extractability of collagen from the skin of Baltic cod (Gadus morhua). Food Chem. 2007, 105, 1302–1306. [Google Scholar] [CrossRef]
- Rodríguez, F.; Moran, L.; González, G.; Troncoso, E.; Zuñiga, R. Collagen extraction from mussel byssus: A new marine collagen source with physicochemical properties of industrial interest. J. Food Sci. Technol. 2017, 54, 1228–1238. [Google Scholar] [CrossRef]
- Raman, M.; Gopakumar, K. Fish collagen and its applications in food and pharmaceutical industry: A review. EC Nutr. 2018, 13, 752–767. [Google Scholar]
- Khong, N.M.; Yusoff, F.M.; Jamilah, B.; Basri, M.; Maznah, I.; Chan, K.W.; Armania, N.; Nishikawa, J. Improved collagen extraction from jellyfish (Acromitus hardenbergi) with increased physical-induced solubilization processes. Food Chem. 2018, 251, 41–50. [Google Scholar] [CrossRef] [PubMed]
- Tziveleka, L.-A.; Ioannou, E.; Tsiourvas, D.; Berillis, P.; Foufa, E.; Roussis, V. Collagen from the marine sponges Axinella cannabina and Suberites carnosus: Isolation and morphological, biochemical, and biophysical characterization. Mar. Drugs 2017, 15, 152. [Google Scholar] [CrossRef] [PubMed]
- Wu, J.; Guo, X.; Liu, H.; Chen, L. Isolation and Comparative Study on the Characterization of Guanidine Hydrochloride Soluble Collagen and Pepsin Soluble Collagen from the Body of Surf Clam Shell (Coelomactra antiquata). Foods 2019, 8, 11. [Google Scholar] [CrossRef]
- Lim, Y.-S.; Ok, Y.-J.; Hwang, S.-Y.; Kwak, J.-Y.; Yoon, S. Marine Collagen as A Promising Biomaterial for Biomedical Applications. Mar. Drugs 2019, 17, 467. [Google Scholar] [CrossRef]
- León-López, A.; Morales-Peñaloza, A.; Martínez-Juárez, V.M.; Vargas-Torres, A.; Zeugolis, D.I.; Aguirre-Álvarez, G. Hydrolyzed Collagen—Sources and Applications. Molecules 2019, 24, 4031. [Google Scholar] [CrossRef]
- Coppola, D.; Oliviero, M.; Vitale, G.A.; Lauritano, C.; D’Ambra, I.; Iannace, S.; de Pascale, D. Marine Collagen from Alternative and Sustainable Sources: Extraction, Processing and Applications. Mar. Drugs 2020, 18, 214. [Google Scholar] [CrossRef]
- Meyer, M. Processing of collagen based biomaterials and the resulting materials properties. Biomed. Eng. Online 2019, 18, 24. [Google Scholar] [CrossRef]
- Paul, R.G.; Bailey, A.J. Chemical stabilisation of collagen as a biomimetic. Sci. World J. 2003, 3, 138–155. [Google Scholar] [CrossRef] [PubMed]
- Yin, S.-J.; Zhang, L.; Zhang, L.; Wan, J.; Song, W.; Jiang, X.; Park, Y.-D.; Si, Y.-X. Metabolic responses and arginine kinase expression of juvenile cuttlefish (Sepia pharaonis) under salinity stress. Int. J. Biol. Macromol. 2018, 113, 881–888. [Google Scholar] [CrossRef]
- Khan, S.B.; Qian, Z.-J.; Ryu, B.; Kim, S.-K. Isolation and biochemical characterization of collagens from seaweed pipefish, Syngnathus schlegeli. Biotechnol. Bioprocess Eng. 2009, 14, 436–442. [Google Scholar] [CrossRef]
- Alemán, A.; Martínez-Alvarez, O. Marine collagen as a source of bioactive molecules: A review. Nat. Prod. J. 2013, 3, 105–114. [Google Scholar] [CrossRef]
- Carvalho, A.M.; Marques, A.P.; Silva, T.H.; Reis, R.L. Evaluation of the potential of collagen from codfish skin as a biomaterial for biomedical applications. Mar. Drugs 2018, 16, 495. [Google Scholar] [CrossRef] [PubMed]
- Blanco, M.; Vázquez, J.A.; Pérez-Martín, R.I.; Sotelo, C.G. Hydrolysates of fish skin collagen: An opportunity for valorizing fish industry byproducts. Mar. Drugs 2017, 15, 131. [Google Scholar] [CrossRef] [PubMed]
- Chinh, N.T.; Manh, V.Q.; Trung, V.Q.; Lam, T.D.; Huynh, M.D.; Tung, N.Q.; Trinh, N.D.; Hoang, T. Characterization of Collagen Derived From Tropical Freshwater Carp Fish Scale Wastes and Its Amino Acid Sequence. Nat. Prod. Commun. 2019, 14, 1–12. [Google Scholar] [CrossRef]
- Cumming, M.H.; Hall, B.; Hofman, K. Isolation and Characterisation of Major and Minor Collagens from Hyaline Cartilage of Hoki (Macruronus novaezelandiae). Mar. Drugs 2019, 17, 223. [Google Scholar] [CrossRef]
- Sionkowska, A.; Kozlowska, J. Fish Scales As A Biocomposite of Collagen and Calcium Salts. In Key Engineering Materials; Trans Tech Publications Ltd.: Stafa-Zurich, Switzerland, 2014; Volume 587, pp. 185–190. [Google Scholar]
- Liu, H.; Huang, K. Structural Characteristics of Extracted Collagen from Tilapia (Oreochromis mossambicus) Bone: Effects of Ethylenediaminetetraacetic Acid Solution and Hydrochloric Acid Treatment. Int. J. Food Prop. 2016, 19, 63–75. [Google Scholar] [CrossRef]
- Wijaya, H.; Putriani, S.; Safithri, M.; Tarman, K. Isolation and Allergenicity of Protein Collagen from Parang-Parang Fish Skin (Cirocentrus dorab). In IOP Conference Series: Earth and Environmental Science; IOP Publishing: Bristol, UK, 2020; Volume 411, p. 012054. [Google Scholar]
- Govindharaj, M.; Roopavath, U.K.; Rath, S.N. Valorization of discarded Marine Eel fish skin for collagen extraction as a 3D printable blue biomaterial for tissue engineering. J. Clean. Prod. 2019, 230, 412–419. [Google Scholar] [CrossRef]
- Veeruraj, A.; Arumugam, M.; Balasubramanian, T. Isolation and characterization of thermostable collagen from the marine eel-fish (Evenchelys macrura). Process Biochem. 2013, 48, 1592–1602. [Google Scholar] [CrossRef]
- Ahmed, R.; Getachew, A.T.; Cho, Y.-J.; Chun, B.-S. Application of bacterial collagenolytic proteases for the extraction of type I collagen from the skin of bigeye tuna (Thunnus obesus). LWT 2018, 89, 44–51. [Google Scholar] [CrossRef]
- Sousa, R.O.; Martins, E.; Carvalho, D.N.; Alves, A.L.; Oliveira, C.; Duarte, A.R.C.; Silva, T.H.; Reis, R.L. Collagen from Atlantic cod (Gadus morhua) skins extracted using CO2 acidified water with potential application in healthcare. J. Polym. Res. 2020, 27, 1–9. [Google Scholar] [CrossRef]
- Van De Water, L.; Varney, S.; Tomasek, J.J. Mechanoregulation of the myofibroblast in wound contraction, scarring, and fibrosis: Opportunities for new therapeutic intervention. Adv. Wound Care 2013, 2, 122–141. [Google Scholar] [CrossRef] [PubMed]
- Jeevithan, E.; Bao, B.; Bu, Y.; Zhou, Y.; Zhao, Q.; Wu, W. Type II collagen and gelatin from silvertip shark (Carcharhinus albimarginatus) cartilage: Isolation, purification, physicochemical and antioxidant properties. Mar. Drugs 2014, 12, 3852–3873. [Google Scholar] [CrossRef] [PubMed]
- Liang, Q.; Wang, L.; Sun, W.; Wang, Z.; Xu, J.; Ma, H. Isolation and characterization of collagen from the cartilage of Amur sturgeon (Acipenser schrenckii). Process Biochem. 2014, 49, 318–323. [Google Scholar] [CrossRef]
- Chen, Y.; Dan, N.; Wang, L.; Liu, X.; Dan, W. Study on the cross-linking effect of a natural derived oxidized chitosan oligosaccharide on the porcine acellular dermal matrix. RSC Adv. 2016, 6, 38052–38063. [Google Scholar] [CrossRef]
- Shalaby, M.; Agwa, M.; Saeed, H.; Khedr, S.M.; Morsy, O.; El-Demellawy, M.A. Fish Scale Collagen Preparation, Characterization and Its Application in Wound Healing. J. Polym. Environ. 2020, 28, 166–178. [Google Scholar] [CrossRef]
- Gauza-Włodarczyk, M.; Kubisz, L.; Mielcarek, S.; Włodarczyk, D. Comparison of thermal properties of fish collagen and bovine collagen in the temperature range 298–670 K. Mater. Sci. Eng. C 2017, 80, 468–471. [Google Scholar] [CrossRef]
- Duan, R.; Zhang, J.; Du, X.; Yao, X.; Konno, K. Properties of collagen from skin, scale and bone of carp (Cyprinus carpio). Food Chem. 2009, 112, 702–706. [Google Scholar] [CrossRef]
- Kimura, S.; Miyauchi, Y.; Uchida, N. Scale and bone type I collagens of carp (Cyprinus carpio). Comp. Biochem. Physiol. B Comp. Biochem. 1991, 99, 473. [Google Scholar] [CrossRef]
- Yunoki, S.; Suzuki, T.; Takai, M. Stabilization of low denaturation temperature collagen from fish by physical cross-linking methods. J. Biosci. Bioeng. 2003, 96, 575–577. [Google Scholar] [CrossRef]
- Ramli, L.; Natsir, H.; Dali, S.; Danial, S. Collagen Extraction from Bone of Lutjanus sp. and Toxicity Assay. J. Akta Kim. Indones. 2019, 12, 67–72. [Google Scholar] [CrossRef]
- Shavandi, A.; Saeedi, P.; Bekhit, A.E.-D. Pulsed Electric Field Processing. In Innovative Technologies in Seafood Processing; Ozogul, Y., Ed.; CRC: Boca Raton, FL, USA, 2019; pp. 155–174. [Google Scholar]
- He, G.; Yin, Y.; Yan, X.; Wang, Y. Semi-Bionic Extraction of Effective Ingredient from Fishbone by High Intensity Pulsed Electric Fields. J. Food Process Eng. 2017, 40, e12392. [Google Scholar] [CrossRef]
- He, G.; Yan, X.; Wang, X.; Wang, Y. Extraction and structural characterization of collagen from fishbone by high intensity pulsed electric fields. J. Food Process Eng. 2019, 42, e13214. [Google Scholar] [CrossRef]
- Brazee, S.L.; Carrington, E. Interspecific comparison of the mechanical properties of mussel byssus. Biol. Bull. 2006, 211, 263–274. [Google Scholar] [CrossRef] [PubMed]
- Lucas, J.M.; Vaccaro, E.; Waite, J.H. A molecular, morphometric and mechanical comparison of the structural elements of byssus from Mytilus edulis and Mytilus galloprovincialis. J. Exp. Biol. 2002, 205, 1807–1817. [Google Scholar] [PubMed]
- Luo, Q.-B.; Chi, C.-F.; Yang, F.; Zhao, Y.-Q.; Wang, B. Physicochemical properties of acid-and pepsin-soluble collagens from the cartilage of Siberian sturgeon. Environ. Sci. Pollut. Res. 2018, 25, 31427–31438. [Google Scholar] [CrossRef]
- Qin, X.-X.; Coyne, K.J.; Waite, J.H. Tough tendons mussel byssus has collagen with silk-like domains. J. Biol. Chem. 1997, 272, 32623–32627. [Google Scholar] [CrossRef]
- Qin, X.; Waite, J.H. Exotic collagen gradients in the byssus of the mussel Mytilus edulis. J. Exp. Biol. 1995, 198, 633–644. [Google Scholar]
- Ahmed, R.; Haq, M.; Chun, B.-S. Characterization of marine derived collagen extracted from the by-products of bigeye tuna (Thunnus obesus). Int. J. Biol. Macromol. 2019, 135, 668–676. [Google Scholar] [CrossRef]
- Coelho, R.C.; Marques, A.L.; Oliveira, S.M.; Diogo, G.S.; Pirraco, R.P.; Moreira-Silva, J.; Xavier, J.C.; Reis, R.L.; Silva, T.H.; Mano, J.F. Extraction and characterization of collagen from Antarctic and Sub-Antarctic squid and its potential application in hybrid scaffolds for tissue engineering. Mater. Sci. Eng. C 2017, 78, 787–795. [Google Scholar] [CrossRef]
- Cheng, X.; Shao, Z.; Li, C.; Yu, L.; Raja, M.A.; Liu, C. Isolation, characterization and evaluation of collagen from jellyfish rhopilema esculentum kishinouye for use in hemostatic applications. PLoS ONE 2017, 12, e0169731. [Google Scholar] [CrossRef] [PubMed]
- Salamone, J.C.; Salamone, A.B.; Swindle-Reilly, K.; Leung, K.X.-C.; McMahon, R.E. Grand challenge in biomaterials-wound healing. Regen. Biomater. 2016, 3, 127–128. [Google Scholar] [CrossRef]
- Pati, F.; Adhikari, B.; Dhara, S. Isolation and characterization of fish scale collagen of higher thermal stability. Bioresour. Technol. 2010, 101, 3737–3742. [Google Scholar] [CrossRef] [PubMed]
- Ibáñez, J.A.M.E.; Castro-Puyana, M. Supercritical Fluid Extraction. Encycl. Food Health 2016, 227–233. [Google Scholar] [CrossRef]
- Jongjareonrak, A.; Benjakul, S.; Visessanguan, W.; Nagai, T.; Tanaka, M. Isolation and characterisation of acid and pepsin-solubilised collagens from the skin of Brownstripe red snapper (Lutjanus vitta). Food Chem. 2005, 93, 475–484. [Google Scholar] [CrossRef]
- Schmidt, M.; Dornelles, R.; Mello, R.; Kubota, E.; Mazutti, M.; Kempka, A.; Demiate, I. Collagen extraction process. Int. Food Res. J. 2016, 22, 913–922. [Google Scholar]
- Prestes, R.C. Colágeno e seus derivados: Características e aplicações em produtos cárneos. J. Health Sci. 2013, 15. [Google Scholar] [CrossRef]
- Draget, K.; Philips, G.; Williams, P. Handbook of Hydrocolloids; Woodhead Publishing: Cambridge, UK, 2000. [Google Scholar]
- Liu, D.; Wei, G.; Li, T.; Hu, J.; Lu, N.; Regenstein, J.M.; Zhou, P. Effects of alkaline pretreatments and acid extraction conditions on the acid-soluble collagen from grass carp (Ctenopharyngodon idella) skin. Food Chem. 2015, 172, 836–843. [Google Scholar] [CrossRef]
- Kittiphattanabawon, P.; Benjakul, S.; Visessanguan, W.; Shahidi, F. Isolation and characterization of collagen from the cartilages of brownbanded bamboo shark (Chiloscyllium punctatum) and blacktip shark (Carcharhinus limbatus). LWT-Food Sci. Technol. 2010, 43, 792–800. [Google Scholar] [CrossRef]
- Żelechowska, E.; Sadowska, M.; Turk, M. Isolation and some properties of collagen from the backbone of Baltic cod (Gadus morhua). Food Hydrocoll. 2010, 24, 325–329. [Google Scholar] [CrossRef]
- Bai, C.; Wei, Q.; Ren, X. Selective Extraction of Collagen Peptides with High Purity from Cod Skins by Deep Eutectic Solvents. ACS Sustain. Chem. Eng. 2017, 5, 7220–7227. [Google Scholar] [CrossRef]
- Tan, Y.; Chang, S.K. Isolation and characterization of collagen extracted from channel catfish (Ictalurus punctatus) skin. Food Chem. 2018, 242, 147–155. [Google Scholar] [CrossRef] [PubMed]
- Arumugam, G.K.S.; Sharma, D.; Balakrishnan, R.M.; Ettiyappan, J.B.P. Extraction, optimization and characterization of collagen from sole fish skin. Sustain. Chem. Pharm. 2018, 9, 19–26. [Google Scholar] [CrossRef]
- Yang, H.; Duan, L.; Li, Q.; Tian, Z.; Li, G. Experimental and modeling investigation on the rheological behavior of collagen solution as a function of acetic acid concentration. J. Mech. Behav. Biomed. Mater. 2018, 77, 125–134. [Google Scholar] [CrossRef] [PubMed]
- Kaewdang, O.; Benjakul, S.; Kaewmanee, T.; Kishimura, H. Characteristics of collagens from the swim bladders of yellowfin tuna (Thunnus albacares). Food Chem. 2014, 155, 264–270. [Google Scholar] [CrossRef] [PubMed]
- Chuaychan, S.; Benjakul, S.; Kishimura, H. Characteristics of acid-and pepsin-soluble collagens from scale of seabass (Lates calcarifer). LWT Food Sci. Technol. 2015, 63, 71–76. [Google Scholar] [CrossRef]
- Pal, G.K.; Nidheesh, T.; Suresh, P. Comparative study on characteristics and in vitro fibril formation ability of acid and pepsin soluble collagen from the skin of catla (Catla catla) and rohu (Labeo rohita). Food Res. Int. 2015, 76, 804–812. [Google Scholar] [CrossRef]
- Chen, J.; Li, L.; Yi, R.; Xu, N.; Gao, R.; Hong, B. Extraction and characterization of acid-soluble collagen from scales and skin of tilapia (Oreochromis niloticus). LWT-Food Sci. Technol. 2016, 66, 453–459. [Google Scholar] [CrossRef]
- Muthumari, K.; Anand, M.; Maruthupandy, M. Collagen extract from marine finfish scales as a potential mosquito larvicide. Protein J. 2016, 35, 391–400. [Google Scholar] [CrossRef]
- Vallejos, N.; González, G.; Troncoso, E.; Zúñiga, R. Acid and enzyme-aided collagen extraction from the byssus of Chilean mussels (Mytilus Chilensis): Effect of process parameters on extraction performance. Food Biophys. 2014, 9, 322–331. [Google Scholar] [CrossRef]
- Yu, F.; Zong, C.; Jin, S.; Zheng, J.; Chen, N.; Huang, J.; Chen, Y.; Huang, F.; Yang, Z.; Tang, Y. Optimization of extraction conditions and characterization of pepsin-solubilised collagen from skin of giant croaker (Nibea japonica). Mar. Drugs 2018, 16, 29. [Google Scholar] [CrossRef] [PubMed]
- Junianto, J.; Iskandar, I.; Rizal, A.; Damayanti, W. The Influence of Concentration of Acetic Acid and Pepsin Enzyme in Nilem Fish Skin Collagen Extractionto the Amount of Rendement Produced. World News Nat. Sci. 2018, 21, 164–170. [Google Scholar]
- Lassoued, I.; Jridi, M.; Nasri, R.; Dammak, A.; Hajji, M.; Nasri, M.; Barkia, A. Characteristics and functional properties of gelatin from thornback ray skin obtained by pepsin-aided process in comparison with commercial halal bovine gelatin. Food Hydrocoll. 2014, 41, 309–318. [Google Scholar] [CrossRef]
- Huang, C.-Y.; Kuo, J.-M.; Wu, S.-J.; Tsai, H.-T. Isolation and characterization of fish scale collagen from tilapia (Oreochromis sp.) by a novel extrusion–hydro-extraction process. Food Chem. 2016, 190, 997–1006. [Google Scholar] [CrossRef]
- Sousa, R.O.; Alves, A.L.; Carvalho, D.N.; Martins, E.; Oliveira, C.; Silva, T.H.; Reis, R.L. Acid and enzymatic extraction of collagen from Atlantic cod (Gadus Morhua) swim bladders envisaging health-related applications. J. Biomater. Sci. Polym. Ed. 2020, 31, 20–37. [Google Scholar] [CrossRef]
- Wu, J.; Kong, L.; Zhang, J.; Chen, W. Extraction and properties of acid-soluble collagen and pepsin-soluble collagen from silver carp (Hypophthalmichthys molitrix) scales: Prerequisite information for fishery processing waste reuse. Pol. J. Environ. Stud. 2019, 28, 2923–2930. [Google Scholar] [CrossRef]
- Zhang, W.; Zheng, J.; Tian, X.; Tang, Y.; Ding, G.; Yang, Z.; Jin, H. Pepsin-Soluble Collagen from the Skin of Lophius litulo: A Preliminary Study Evaluating Physicochemical, Antioxidant, and Wound Healing Properties. Mar. Drugs 2019, 17, 708. [Google Scholar] [CrossRef]
- Cao, J.; Duan, Q.; Liu, X.; Shen, X.; Li, C. Extraction and Physicochemical Characterization of Pepsin Soluble Collagens from Golden Pompano (Trachinotus blochii) Skin and Bone. J. Aquat. Food Prod. Technol. 2019, 28, 837–847. [Google Scholar] [CrossRef]
- Yan, M.; Jiang, X.; Wang, G.; Wang, A.; Wang, X.; Wang, X.; Zhao, X.; Xu, H.; An, X.; Li, Y. Preparation of self-assembled collagen fibrillar gel from tilapia skin and its formation in presence of acidic polysaccharides. Carbohydr. Polym. 2020, 233, 115831. [Google Scholar] [CrossRef]
- Menezes, M.d.L.L.R.; Ribeiro, H.L.; Flávia de Oliveira, M.; de Andrade Feitosa, J.P. Optimization of the collagen extraction from Nile tilapia skin (Oreochromis niloticus) and its hydrogel with hyaluronic acid. Colloids Surf. B Biointerfaces 2020, 189, 110852. [Google Scholar] [CrossRef]
- Da Trindade Alfaro, A.; Fonseca, G.G.; Balbinot, E.; de Souza, N.E.; Prentice, C. Yield, viscosity, and gel strength of wami tilapia (Oreochromis urolepis hornorum) skin gelatin: Optimization of the extraction process. Food Sci. Biotechnol. 2014, 23, 765–773. [Google Scholar] [CrossRef]
- Li, K.; Xing, R.; Liu, S.; Li, P. Advances in preparation, analysis and biological activities of single chitooligosaccharides. Carbohydr. Polym. 2016, 139, 178–190. [Google Scholar] [CrossRef]
- Gouveia, A.S.; Oliveira, F.S.; Kurnia, K.A.; Marrucho, I.M. Deep eutectic solvents as azeotrope breakers: Liquid–liquid extraction and COSMO-RS prediction. ACS Sustain. Chem. Eng. 2016, 4, 5640–5650. [Google Scholar] [CrossRef]
- Duarte, A.R.C.; Santo, V.E.; Alves, A.; Silva, S.S.; Moreira-Silva, J.; Silva, T.H.; Marques, A.P.; Sousa, R.A.; Gomes, M.E.; Mano, J.F. Unleashing the potential of supercritical fluids for polymer processing in tissue engineering and regenerative medicine. J. Supercrit. Fluids 2013, 79, 177–185. [Google Scholar] [CrossRef]
- Ahn, S.; Yoon, H.; Kim, G.; Kim, Y.; Lee, S.; Chun, W. Designed three-dimensional collagen scaffolds for skin tissue regeneration. Tissue Eng. Part C Methods 2010, 16, 813–820. [Google Scholar] [CrossRef] [PubMed]
- Silva, J.O.C.; Barros, A.A.; Aroso, I.M.; Fassini, D.; Silva, T.H.; Reis, R.L.; Duarte, A.R.C. Extraction of collagen/gelatin from the marine demosponge Chondrosia reniformis (Nardo, 1847) using water acidified with carbon dioxide–process optimization. Ind. Eng. Chem. Res. 2016, 55, 6922–6930. [Google Scholar] [CrossRef]
- Nwabueze, T.U.; Iwe, M.O. Residence time distribution (RTD) in a single screw extrusion of African breadfruit mixtures. Food Bioprocess Technol. 2010, 3, 135. [Google Scholar] [CrossRef]
- Chen, W.-H.; Xu, Y.-Y.; Hwang, W.-S.; Wang, J.-B. Pretreatment of rice straw using an extrusion/extraction process at bench-scale for producing cellulosic ethanol. Bioresour. Technol. 2011, 102, 10451–10458. [Google Scholar] [CrossRef]
- Zou, Y.; Wang, L.; Cai, P.; Li, P.; Zhang, M.; Sun, Z.; Sun, C.; Xu, W.; Wang, D. Effect of ultrasound assisted extraction on the physicochemical and functional properties of collagen from soft-shelled turtle calipash. Int. J. Biol. Macromol. 2017, 105, 1602–1610. [Google Scholar] [CrossRef]
- Ojha, K.S.; Aznar, R.; O’Donnell, C.; Tiwari, B.K. Ultrasound technology for the extraction of biologically active molecules from plant, animal and marine sources. TrAC Trends Anal. Chem. 2020, 122, 115663. [Google Scholar] [CrossRef]
- Zou, Y.; Yang, H.; Zhang, X.; Xu, P.; Jiang, D.; Zhang, M.; Xu, W.; Wang, D. Effect of ultrasound power on extraction kinetic model, and physicochemical and structural characteristics of collagen from chicken lung. Food Prod. Process. Nutr. 2020, 2, 3. [Google Scholar] [CrossRef]
- Wang, J.-M.; Bao, J.-Q. The ultrasonic-assisted solvent extraction and characterization of fishskin collagen. Acta Agric. Shanghai 2017, 2, 21. [Google Scholar]
- Abraham, L.C.; Zuena, E.; Perez-Ramirez, B.; Kaplan, D.L. Guide to collagen characterization for biomaterial studies. J. Biomed. Mater. Res. Part B Appl. Biomater. 2008, 87, 264–285. [Google Scholar] [CrossRef] [PubMed]
- Fernandes-Silva, S.; Moreira-Silva, J.; Silva, S.; Perez-Martin, R.; Sotelo, C.; Mano, J.; Marques, A.; Silva, T.; Reis, R. Marine collagen scaffolds crosslinked’in situ’with genipin for cartilage regeneration. J. Tissue Eng. Regen. Med. 2012, 6, 163. [Google Scholar]
- Bielajew, B.J.; Hu, J.C.; Athanasiou, K.A. Collagen: Quantification, biomechanics and role of minor subtypes in cartilage. Nat. Rev. Mater. 2020, 1–18. [Google Scholar] [CrossRef]
- Gelse, K.; Pöschl, E.; Aigner, T. Collagens—Structure, function, and biosynthesis. Adv. Drug Deliv. Rev. Adv. Drug Deliv. Rev. 2003, 55, 1531–1546. [Google Scholar] [CrossRef]
- Polavarapu, P.L.; He, J. Peer Reviewed: Chiral Analysis Using Mid-IR Vibrational CD Spectroscopy; ACS Publications: Washington, DC, USA, 2004; pp. 61–67. Available online: https://pubs.acs.org/doi/pdf/10.1021/ac0415096 (accessed on 24 September 2020).
- Greenfield, N.J. Using circular dichroism spectra to estimate protein secondary structure. Nat. Protoc. 2006, 1, 2876. [Google Scholar] [CrossRef]
- Drzewiecki, K.E.; Grisham, D.R.; Parmar, A.S.; Nanda, V.; Shreiber, D.I. Circular dichroism spectroscopy of collagen fibrillogenesis: A new use for an old technique. Biophys. J. 2016, 111, 2377–2386. [Google Scholar] [CrossRef]
- Molnár-Perl, I. Quantitation of Amino Acids and Amines by Chromatography: Methods and Protocols; Elsevier: Amsterdam, The Netherlands, 2005. [Google Scholar]
- Liu, D.; Zhou, P.; Li, T.; Regenstein, J.M. Comparison of acid-soluble collagens from the skins and scales of four carp species. Food Hydrocoll. 2014, 41, 290–297. [Google Scholar] [CrossRef]
- Davoodi, J.; Wakarchuk, W.W.; Surewicz, W.K.; Carey, P.R. Scan-rate dependence in protein calorimetry: The reversible transitions of Bacillus circulans xylanase and a disulfide-bridge mutant. Protein Sci. 1998, 7, 1538–1544. [Google Scholar] [CrossRef]
- Cho, J.-K.; Jin, Y.-G.; Rha, S.-J.; Kim, S.-J.; Hwang, J.-H. Biochemical characteristics of four marine fish skins in Korea. Food Chem. 2014, 159, 200–207. [Google Scholar] [CrossRef] [PubMed]
- Nie, L.; Deng, Y.; Li, P.; Hou, R.; Shavandi, A.; Yang, S. Hydroxyethyl Chitosan-Reinforced Polyvinyl Alcohol/Biphasic Calcium Phosphate Hydrogels for Bone Regeneration. ACS Omega 2020, 5, 10948–10957. [Google Scholar] [CrossRef] [PubMed]
- Nie, L.; Wu, Q.; Long, H.; Hu, K.; Li, P.; Wang, C.; Sun, M.; Dong, J.; Wei, X.; Suo, J.; et al. Development of chitosan/gelatin hydrogels incorporation of biphasic calcium phosphate nanoparticles for bone tissue engineering. J. Biomater. Sci. Polym. Ed. 2019, 30, 1636–1657. [Google Scholar] [CrossRef] [PubMed]
- Shavandi, A.; Bekhit, A.E.-D.A.; Ali, M.A.; Sun, Z. Bio-mimetic composite scaffold from mussel shells, squid pen and crab chitosan for bone tissue engineering. Int. J. Biol. Macromol. 2015, 80, 445–454. [Google Scholar] [CrossRef] [PubMed]
- Shavandi, A.; Bekhit, A.E.-D.A.; Sun, Z.; Ali, M.A. Bio-scaffolds produced from irradiated squid pen and crab chitosan with hydroxyapatite/β-tricalcium phosphate for bone-tissue engineering. Int. J. Biol. Macromol. 2016, 93, 1446–1456. [Google Scholar] [CrossRef] [PubMed]
- Shahrousvand, M.; Tabar, F.A.; Shahrousvand, E.; Babaei, A.; Hasani-Sadrabadi, M.M.; Sadeghi, G.M.M.; Jafari, H.; Salimi, A. High aspect ratio phospho-calcified rock candy-like cellulose nanowhiskers of wastepaper applicable in osteogenic differentiation of hMSCs. Carbohydr. Polym. 2017, 175, 293–302. [Google Scholar] [CrossRef]
- Dimitriou, R.; Jones, E.; McGonagle, D.; Giannoudis, P.V. Bone regeneration: Current concepts and future directions. BMC Med. 2011, 9, 66. [Google Scholar] [CrossRef]
- Elango, J.; Zhang, J.; Bao, B.; Palaniyandi, K.; Wang, S.; Wenhui, W.; Robinson, J.S. Rheological, biocompatibility and osteogenesis assessment of fish collagen scaffold for bone tissue engineering. Int. J. Biol. Macromol. 2016, 91, 51–59. [Google Scholar] [CrossRef]
- Jin, S.; Sun, F.; Zou, Q.; Huang, J.; Zuo, Y.; Li, Y.; Wang, S.; Cheng, L.; Man, Y.; Yang, F. Fish collagen and hydroxyapatite reinforced poly (lactide-co-glycolide) fibrous membrane for guided bone regeneration. Biomacromolecules 2019, 20, 2058–2067. [Google Scholar] [CrossRef]
- Pugliano, M.; Vanbellinghen, X.; Schwinté, P.; Benkirane-Jessel, N.; Keller, L. Combined Jellyfish Collagen Type II, Human Stem Cells and Tgf-Β3 as a Therapeutic Implant for Cartilage Repair. J. Stem Cell Res. Ther. 2017, 7, 2. [Google Scholar]
- Mredha, M.T.I.; Kitamura, N.; Nonoyama, T.; Wada, S.; Goto, K.; Zhang, X.; Nakajima, T.; Kurokawa, T.; Takagi, Y.; Yasuda, K. Anisotropic tough double network hydrogel from fish collagen and its spontaneous in vivo bonding to bone. Biomaterials 2017, 132, 85–95. [Google Scholar] [CrossRef] [PubMed]
- Gonzalez, A.C.d.O.; Costa, T.F.; Andrade, Z.d.A.; Medrado, A.R.A.P. Wound healing—A literature review. An. Bras. De Dermatol. 2016, 91, 614–620. [Google Scholar] [CrossRef] [PubMed]
- Hu, Z.; Yang, P.; Zhou, C.; Li, S.; Hong, P. Marine collagen peptides from the skin of Nile Tilapia (Oreochromis niloticus): Characterization and wound healing evaluation. Mar. Drugs 2017, 15, 102. [Google Scholar] [CrossRef] [PubMed]
- Zhou, T.; Wang, N.; Xue, Y.; Ding, T.; Liu, X.; Mo, X.; Sun, J. Electrospun tilapia collagen nanofibers accelerating wound healing via inducing keratinocytes proliferation and differentiation. Colloids Surf. B Biointerfaces 2016, 143, 415–422. [Google Scholar] [CrossRef]
- Wang, J.K.; Yeo, K.P.; Chun, Y.Y.; Tan, T.T.Y.; Tan, N.S.; Angeli, V.; Choong, C. Fish scale-derived collagen patch promotes growth of blood and lymphatic vessels in vivo. Acta Biomater. 2017, 63, 246–260. [Google Scholar] [CrossRef]
- Liu, C.; Sun, J. Hydrolyzed tilapia fish collagen induces osteogenic differentiation of human periodontal ligament cells. Biomed. Mater. 2015, 10, 065020. [Google Scholar] [CrossRef]
- Krishnan, S.; Sekar, S.; Katheem, M.F.; Krishnakumar, S.; Sastry, T.P. Fish scale collagen—A novel material for corneal tissue engineering. Artif. Organs 2012, 36, 829–835. [Google Scholar] [CrossRef]
- Patra, J.K.; Das, G.; Fraceto, L.F.; Campos, E.V.R.; del Pilar Rodriguez-Torres, M.; Acosta-Torres, L.S.; Diaz-Torres, L.A.; Grillo, R.; Swamy, M.K.; Sharma, S. Nano based drug delivery systems: Recent developments and future prospects. J. Nanobiotechnol. 2018, 16, 71. [Google Scholar] [CrossRef]
- Nguyen, C.T.; Vu, M.Q.; Phan, T.T.; Vu, T.Q.; Vo, Q.A.; Bach, G.L.; Thai, H. Novel pH-Sensitive Hydrogel Beads Based on Carrageenan and Fish Scale Collagen for Allopurinol Drug Delivery. J. Polym. Environ. 2020, 28, 1795–1810. [Google Scholar] [CrossRef]
- Pathan, I.B.; Munde, S.J.; Shelke, S.; Ambekar, W.; Mallikarjuna Setty, C. Curcumin loaded fish scale collagen-HPMC nanogel for wound healing application: Ex-vivo and In-vivo evaluation. Int. J. Polym. Mater. Polym. Biomater. 2019, 68, 165–174. [Google Scholar] [CrossRef]
- Moroi, S.; Miura, T.; Tamura, T.; Zhang, X.; Ura, K.; Takagi, Y. Self-assembled collagen fibrils from the swim bladder of Bester sturgeon enable alignment of MC3T3-E1 cells and enhance osteogenic differentiation. Mater. Sci. Eng. C 2019, 104, 109925. [Google Scholar] [CrossRef] [PubMed]
- Parisi, J.; Fernandes, K.; Avanzi, I.; Dorileo, B.; Santana, A.; Andrade, A.; Gabbai-Armelin, P.; Fortulan, C.; Trichês, E.; Granito, R. Incorporation of collagen from marine sponges (spongin) into hydroxyapatite samples: Characterization and in vitro biological evaluation. Mar. Biotechnol. 2019, 21, 30–37. [Google Scholar] [CrossRef] [PubMed]
- Muthukumar, T.; Aravinthan, A.; Sharmila, J.; Kim, N.S.; Kim, J.-H. Collagen/chitosan porous bone tissue engineering composite scaffold incorporated with Ginseng compound K. Carbohydr. Polym. 2016, 152, 566–574. [Google Scholar] [CrossRef] [PubMed]
- Kara, A.; Tamburaci, S.; Tihminlioglu, F.; Havitcioglu, H. Bioactive fish scale incorporated chitosan biocomposite scaffolds for bone tissue engineering. Int. J. Biol. Macromol. 2019, 130, 266–279. [Google Scholar] [CrossRef] [PubMed]
- Im, J.; Choi, C.H.; Mun, F.; Lee, J.; Kim, H.; Jung, W.-K.; Jang, C.H.; Kim, G. A polycaprolactone/fish collagen/alginate biocomposite supplemented with phlorotannin for hard tissue regeneration. RSC Adv. 2017, 7, 2009–2018. [Google Scholar] [CrossRef]
- Hadzik, J.; Kubasiewicz-Ross, P.; Kunert-Keil, C.; Jurczyszyn, K.; Nawrot-Hadzik, I.; Dominiak, M.; Gedrange, T. A silver carp skin derived collagen in bone defect treatment—A histological study in a rat model. Ann. Anat. Anat. Anz. 2016, 208, 123–128. [Google Scholar] [CrossRef]
- Diogo, G.S.; López-Senra, E.L.; Pirraco, R.P.; Canadas, R.F.; Fernandes, E.M.; Serra, J.; Pérez-Martín, R.I.; Sotelo, C.G.; Marques, A.P.; González, P. Marine collagen/apatite composite scaffolds envisaging hard tissue applications. Mar. Drugs 2018, 16, 269. [Google Scholar] [CrossRef]
- Li, J.; Wang, M.; Qiao, Y.; Tian, Y.; Liu, J.; Qin, S.; Wu, W. Extraction and characterization of type I collagen from skin of tilapia (Oreochromis niloticus) and its potential application in biomedical scaffold material for tissue engineering. Process Biochem. 2018, 74, 156–163. [Google Scholar] [CrossRef]
- Pustlauk, W.; Paul, B.; Gelinsky, M.; Bernhardt, A. Jellyfish collagen and alginate: Combined marine materials for superior chondrogenesis of MSC. Mater. Sci. Eng. C 2016, 64, 190–198. [Google Scholar] [CrossRef]
- Ouyang, Q.-Q.; Hu, Z.; Lin, Z.-P.; Quan, W.-Y.; Deng, Y.-F.; Li, S.-D.; Li, P.-W.; Chen, Y. Chitosan hydrogel in combination with marine peptides from tilapia for burns healing. Int. J. Biol. Macromol. 2018, 112, 1191–1198. [Google Scholar] [CrossRef]
- Zhou, T.; Sui, B.; Mo, X.; Sun, J. Multifunctional and biomimetic fish collagen/bioactive glass nanofibers: Fabrication, antibacterial activity and inducing skin regeneration in vitro and in vivo. Int. J. Nanomed. 2017, 12, 3495. [Google Scholar] [CrossRef] [PubMed]
- Pozzolini, M.; Millo, E.; Oliveri, C.; Mirata, S.; Salis, A.; Damonte, G.; Arkel, M.; Scarfì, S. Elicited ROS scavenging activity, photoprotective, and wound-healing properties of collagen-derived peptides from the marine sponge Chondrosia reniformis. Mar. Drugs 2018, 16, 465. [Google Scholar] [CrossRef] [PubMed]
- Ge, B.; Wang, H.; Li, J.; Liu, H.; Yin, Y.; Zhang, N.; Qin, S. Comprehensive Assessment of Nile Tilapia Skin (Oreochromis niloticus) Collagen Hydrogels for Wound Dressings. Mar. Drugs 2020, 18, 178. [Google Scholar] [CrossRef] [PubMed]
- Yang, F.; Qin, X.; Zhang, T.; Lin, H.; Zhang, C. Evaluation of Small Molecular Polypeptides from the Mantle of Pinctada Martensii on Promoting Skin Wound Healing in Mice. Molecules 2019, 24, 4231. [Google Scholar] [CrossRef] [PubMed]
- Felician, F.F.; Yu, R.-H.; Li, M.-Z.; Li, C.-J.; Chen, H.-Q.; Jiang, Y.; Tang, T.; Qi, W.-Y.; Xu, H.-M. The wound healing potential of collagen peptides derived from the jellyfish Rhopilema esculentum. Chin. J. Traumatol. 2019, 22, 12–20. [Google Scholar] [CrossRef]
- Ramanathan, G.; Singaravelu, S.; Muthukumar, T.; Thyagarajan, S.; Rathore, H.S.; Sivagnanam, U.T.; Perumal, P.T. Fabrication of Arothron stellatus skin collagen film incorporated with Coccinia grandis as a durable wound construct. Int. J. Polym. Mater. Polym. Biomater. 2017, 66, 558–568. [Google Scholar] [CrossRef]
- Xiong, X.; Liang, J.; Xu, Y.; Liu, J.; Liu, Y. The wound healing effects of the Tilapia collagen peptide mixture TY001 in streptozotocin diabetic mice. J. Sci. Food Agric. 2020, 100, 2848–2858. [Google Scholar] [CrossRef]
- Suzuki, A.; Kato, H.; Kawakami, T.; Kodama, Y.; Shiozawa, M.; Kuwae, H.; Miwa, K.; Hoshikawa, E.; Haga, K.; Shiomi, A. Development of microstructured fish scale collagen scaffolds to manufacture a tissue-engineered oral mucosa equivalent. J. Biomater. Sci. 2020, 31, 578–600. [Google Scholar] [CrossRef]
- Olatunji, O.; Olubowale, M.; Okereke, C. Microneedle-assisted transdermal delivery of acetylsalicylic acid (aspirin) from biopolymer films extracted from fish scales. Polym. Bull. 2018, 75, 4103–4115. [Google Scholar] [CrossRef]





| Source | Type of Collagen | Source Tissue | Extraction Conditions and Yield (Y) | Remarks | Ref |
|---|---|---|---|---|---|
| Small-spotted catshark (Scyliorhinus canicula) | Type I | Skin | T 1 = 25 °C Time = 34 h AcOH 2 = 1 M Y 3 = 61.24% | Maximized recovery of collagen in the first stage of extraction (alkaline pretreatment) obtained at 4 °C, 2 h, and 0.1 M NaOH. | [19] |
| Rabbitfish (Chimaera monstrosa), Small-spotted catshark (Scyliorhinus canicular), Lantern shark (Etmopterus spp.), Catshark (Galeus spp.), Cuckoo ray (Leucoraja naevus), Common Atlantic grenadier (Nezumia aequalis) | Type I | Skin | AcOH = 0.5 M Y = 20% | The collagen type of rabbitfish was different from those of the other studied species. The beta component is very weak, and the alpha 2 components are hardly seen; there are two bands with a molecular weight between alpha 1 and beta dimmer (136 and 161kDa), respectively. The other species has two alpha chains around 100 kDa and a beta component of about 200 kD. | [20] |
| Atlantic cod (Gadus morhua) | Type I | Skin | T = 4 °C Time = 72 h S/L 4 = 1/10 AcOH = 0.5 M Y = not evaluated Purity = 90% | Collagen showed a concentration-dependent effect in metabolism and on cell adhesion of lung fibroblast MRC-5 cells. | [39] |
| Parang-Parang | Type I | Skin | NaOH = 0.1 M AcOH = 0.5 M Time = 12 h Y = 1.915% | [41] | |
| Eel fish | Type I | Skin | AcOH = 0.5 M T = 4 °C Time = 42 h Y = 4.2% | Extracted collagen was used as blue biomaterials for biomedical applications. | [42] |
| Eel fish (Evenchelys macrura) | Type I | Skin | AcOH = 0.5 M Time = 3 days T = 4 °C Y = 4.7% | Pepsin hydrolysis did not affect the secondary structure of collagen. | [43] |
| Tuna | Type I | Skin and Scales | AcOH = 0.5 M Time = 48 h T = 4 °C Y = 188 g/kg and 177 g/kg | Type I collagen was extracted from fish skin by using bacterial CP 5. | [44] |
| Atlantic cod (Gadus morhua) | Type I | Swim bladder | T = 25 °C AcOH = 0.5 M Pepsin 6 = 10% Time = 3 days Y = 11.53% | Extracted collagen showed a typical shear thinning behavior, which could be interesting for further processing to develop biomaterials. | [64] |
| Catla catla and Cirrhinus mrigala | Type I | Skin, scales, and fins | S/L = 1:15 Time (ASC 7) = 24 h Time (PSC 8) = 48 h T = 4 °C AcOH = 0.5 M Pepsin = 20 U/g Yield = 13, 9.5 and 13; 11.2, 8.3 and 13.1%, | Gly and alanine were the most abundant amino acids, while tryptophan was absent in all used tissues. | [14] |
| Giant croaker (Nibea japonica) | Type I | Skin | S/L = 1:60 Time = 8.5 h T = 4 °C AcOH = 0.5 M Pepsin = 1389 U/g, Y = 84.85% | FTIR 9 analysis revealed that PSC maintains its triple-helical structure. | [65] |
| Sole fish (Aseraggodes umbratilis) | Type I | Skin | AcOH = 0.5 M S/L = 1/8.97 (g/mL) Time = 32 h T = 25 °C Y = 19% | Extracted collagen was in the form of fibrils with irregular linkages. | [66] |
| Atlantic cod (Gadus morhua) | Type I | Skin | CO2 Pressure = 50 bar T = 37 °C Time = 3 h Y = 13.8% | Type I collagen extracted had a denaturation temperature of 32.3 °C, which can limit its biomaterial applications | [45] |
| Tilapia (Oreochromis sp.) | Type I | Scales | Double distilled H2O extraction T = 25–50 °C Time = 1 h S/L = 1/10 Y = 12.3% | Collagen yields from extruded samples were higher than those from non-extruded samples. | [47] |
| Hoki (Macruronus novaezelandiae) | Type II and minor Type IX and Type XI | Nasal cartilage | T = 8 °C AcOH = 0.2 M Pepsin = 0.1% Time = 24 h | A 90 kDa, highly glycosylated collagen, which has not been identified in any other species, was obtained. | [60] |
| Tilapia (Oreochromis mossambicus) | Type I | Bone | Time = 24 h AcOH = 0.5 M Pepsin = 0.1% S/L = 1/20 Y = 3.5% (ASC) Y = 6.0% (PSC) | Extracted collagen (EDTA-treated fishbone) showed a more integrated secondary structure compared to HCl-treated fishbone extraction. | [54] |
| Lutjanus sp. | Type I | Bone | Y = 4.535% | The collagen isolated from Lutjanus sp. bone can be used as a natural anticancer agent. | [55] |
| Aristichthys nobilis | Type I | Bone | 1% pepsin electric field strength = 20 kV/cm pulse number = 8 | The maximum collagen yield of 16.13 mg/mL was obtained. | [58] |
| Amur sturgeon (Acipenser schrenckii) | Type I and Type II with other minor types | Cartilage | Extraction of SSC: 0.45 M NaCl (0.05 M Tris-HCl, pH 7.5), 1:100 (w/v), 24 h Extraction of ASC: 0.5 M HOAc, 1:100 (w/v), 24 h Extraction of PSC: 0.1% (w/v) pepsin in 0.01 M HCl, 1:100 (w/v), 48 h Y = 27.04% (ASC) Y = 55.92%(PSC) Y = 2.18% (SCC 10) | Collagen was observed as a dense sheet-like film linked by random coiled filaments | [48] |
| Siberian sturgeon (Acipenser baerii) | Type I and Type II | Cartilage | NaOH = 0.1 M AcOH = 0.5 M T = 4 °C porcine pepsin = 1% (w/w) | The maximum transition temperature (Tmax) of the ASC and PSC was 28.3 and 30.5 °C, respectively. | [61] |
| Tilapia and Grey mullet | Type I | Scale | AcOH = 0.5 M Time = 3 days Y = 40% (ASC) | Significant inhibitory activity against all the tested bacteria (Streptococcus mutans, Bacillus subtilis, Staphylococcus aureus, and Escherichia coli) and wound-closure ability were observed. | [46] |
| Tilapia (Oreochromis niloticus) | Type I | Skin and Scale | AcOH- = 0.5 M Time = 24 h T = 4 °C pH = 7 Y of Scale = 3.2% Y of Skin = 27.2% | The extracted collagen can be a suitable alternative to land-based mammalian collagen. | [67] |
| Tropical freshwater carp fish (C. carpio) | Type I | Scales | AcOH = 0.5 M Time = 24 h Y = 13.6% | The presence of tryptophan, a rare amino acid in collagen, was observed. | [48] |
| Squid (Loligo vulgaris) | Type I and Type V | Mantle | T = 4 °C AcOH = 0.5 M Pepsin = 0.1% Time = 3 days Y = 5.1% (ASC) Y = 24.2% (PSC) | No cytotoxicity was observed by the collagen extracts. | [68] |
| Marine sponges (Axinella cannabina and Suberites carnosus) | Type IV | Tissues | Extraction by an alkaline denaturing homogenization buffer (0.1 M Tris-HCl, pH 9.5, 0.01 M EDTA, 8 M urea, 0.1 M 2-mercaptoethanol) Y = 12.6 and 5% | Low amino acid content for the intercellular collagen results in low thermal stability. | [25] |
| Jellyfish (Acromitus hardenbergi) | Type I, II and III | Bell and oral arms | T = 4 °C AcOH = 0.5 M Time = 1 h Y = 37.08% (Bell) Y = 40.20% (Oral arms) | Collagen exhibited better appearance and instrumental color than collagen extracted by conventional methods, and it was found to be non-toxic in vitro and free of heavy metal contamination. | [24] |
| Surf clam Shell (Coelomactra antiquatas | Type I | Body | T = 4 °C Time = 24 h 50 Mm Tris–HCl, pH 7.0 G/HCl 11 = 4M Y = 0.59% (GSC) Y = 3.78% (PSC) | The guanidine hydrochloride soluble collagen had a dense sheet-like film linked by random-coiled filaments and PSC had fine globular filaments. | [26] |
| Antarctic (Kondakovia longimana) and Sub-Antarctic squid (llex argentines) | Muscles and skin | T = 4 °C Time = 72 h AcOH = 0.5 M Pepsin = 3 mg/g of sample Y = 1.18% and 3.26% | Collagen exhibited an amino acid profile similar to the one of calf collagen, but it exhibited a less preserved structure, with hydrolyzed portions and lower melting temperatures (24–34 °C). | [69] |
| Source of Collagen | Extraction Solvent | Extraction Conditions | Yield (Y) | Reference |
|---|---|---|---|---|
| Swim bladders of yellowfin tuna | 0.5 M AcOH | T = 4 °C Time = 48 h S/L = 1/10 | Y = 1.07% | [81] |
| Scales of seabass | 0.5 M AcOH | T = 4 °C Time = 48 h S/L = 1/10 | Y = 0.38% | [82] |
| Grass carp skin | 0.5 M AcOH | T = 4 °C Time = 72 h S/L = 1/40 | Y = 90% | [74] |
| Skins of catla and rohu fish | 0.5 M AcOH | T = 4 °C Time = 72 h S/L = 1/16 | Y = 63% (catla) Y = 46% (rohu) | [83] |
| Scales and skin of tilapia | 0.5 M AcOH | T = 4 °C Time = 24 h S/L = 1/10 | Y = 27.2% (skin) Y = 3.2% (scales) | [67] |
| Cod skins | 0.5 M AcOH | T = 4 °C Time = 72 h S/L = 1/10 | Y = not evaluated | [35] |
| Sole fish skin | 0.5 M AcOH | T = 25 °C Time = 32 h S/L = 1/9 | Y = 19% | [79] |
| Small-spotted catshark skin | 0.5 M AcOH | T = 25 °C Time = 34 h | Y = 61.24% | [19] |
| Catfish (Ictalurus punctatus) skin | AcOH, HCl, citric acid, and lactic acid | pH = 1.8, 2.1, 2.4, 2.7 and 3.0 Time = 60 h T = 4 °C | Y = 5% to 42.36% | [78] |
| Tilapia (Oreochromis niloticus) Skin and Scale | 0.5 M AcOH | Time = 24 h T = 4 °C pH = 7 | Y of scale = 3.2% Y of skin = 27.2% | [84] |
| Tuna skin, scale, and bone | 0.5 M AcOH | Time = 3 days T = 4 °C | Y of skin = 13.5% Y of scale = 0.05% Y of bone = 0.1% | [64] |
| Sardinella longiceps (oil Sardine) Scale | 0.5 M AcOH | Time = 4 days T = 4 °C S/L = 1/9 | Y = 1.25% | [85] |
| Source of Collagen | Extraction Solvent | Extraction Conditions | Yield (Y) | Ref |
|---|---|---|---|---|
| Thornback ray skin | 0.2 M AcOH | T = 4 °C Time = 18 h S/L = 1/10 5 g of pepsin/g of skin | Y = 30.16% | [89] |
| Scales of seabass | 0.5 M AcOH | T = 4 °C Time = 48 h S/L = 1/10 20 g of pepsin/g of skin | Y = 1.06% | [82] |
| Jellyfish | 0.6 M AcOH | T = 4 °C Time = 72 h S/L = 1/10 1% pepsin | Y = 0.28% | [90] |
| Skins of catla and rohu fish | 0.5 M AcOH | T = 4 °C Time = 48 h S/L = 1/60 | Y = 69% (catla) Y = 65% (rohu) | [83] |
| Skin of giant croaker | 0.5 M AcOH | Pepsin concentration = 800–2400U/g S/L = 1:45–1:65 Time = 6–10 h pH = 1 to 4 T = 4 °C | Y = 84.85% | [87] |
| By-products of bigeye tuna | 0.5 M AcOH | T = 4 °C Time = 48 h S/L = 1/40 0,2 g of pepsin/g of material | Y of bone = 2,6% Y of scale = 4,6% Y of skin = 16,7% | [64] |
| Cod swim bladders | 0.5 M AcOH | T = 25 °C Time = 3 days S/L = 1/10 10% pepsin | Y = 11.53% | [91] |
| Catfish skin | HCl | pH = 2.4 S/L = 1/5 to 1/20 Pepsin concentration = 0.118 to 23.6 KU/g T = 4 °C | Y = 59.03% | [78] |
| Nilem fish skin | 0.5, 0.7, and 0.9 M AcOH | Pepsin concentration = 0.5, 1, and 1.5% T = 4 °C | Y = 4.25–6.18% | [88] |
| Silver carp (Hypophthalmichthys molitrix) scales | 0.5 M AcOH | T = 4 °C S/L = 1/10–1/50 Time = 10–60 h 1–5% Pepsin | Y = the maximum yield 12.06% | [92] |
| Lophius litulon skin | 0.5 M AcOH | T = 4 °C 1–6% Pepsin | Y = not evaluated | [93] |
| Golden pompano (Trachinotus blochii) Skin and Bone | 0.5 M AcOH | T = 4 °C S/L = 1/40 Time = 48 h | Y of skin = 21.81% Y of bone = 1.25% | [94] |
| Tilapia skin | 0.5 M AcOH | Time = 48 h T = 4 °C 0.5% Pepsin | Y = not evaluated | [95] |
| Sardinella longiceps (oil Sardine) Scale | 0.5 M AcOH | Time = 4 days T = 4 °C S/L = 1/15 Pepsin = 40 unit/g of residue | Y = 3% | [85] |
| Amide Structure | Amide Type | Source of the Signal | Wavenumber (cm−1) |
|---|---|---|---|
![]() | I | C=O stretch | 1620 < ν < 1800 |
![]() | II | N–H bend coupled withC–N stretch | 1590 < ν < 1650 |
![]() | III | N–H bend | 1200 < ν < 1400 |
![]() | A | N–H stretch coupled with hydrogen bond | 3300 < ν < 3400 |
| Bands of Type I Collagen | Expected Molar Mass (kDa) |
|---|---|
| α1 | 120–150 kDa |
| α2 | 120–150 kDa |
| β1 | 200–250 kDa |
| Amino Acid | Scales of Seabass (ASC 1) [82] | Scales of Seabass (PSC 2) [82] | The Skin of Bighead Carp (ASC) [117] | Scales of Bighead Carp (ASC) [117] | The Skin of Nibea Japonica (PSC) [87] |
|---|---|---|---|---|---|
| Alanine | 133 | 133 | 122 | 118 | 128 |
| Arginine | 52 | 51 | 54.7 | 49.5 | 51 |
| Asparagine | 44 | 42 | 48.8 | 51.9 | 43 |
| Cysteine | 0 | 0 | 0.2 | 0.4 | 0 |
| Glutamine | 71 | 69 | 80.3 | 82.6 | 73 |
| Glycine | 327 | 337 | 325 | 308 | 348 |
| Histidine | 7 | 7 | 4.3 | 4.4 | 8 |
| Isoleucine | 11 | 9 | 12.2 | 12.7 | 9 |
| Leucine | 21 | 19 | 23 | 25.1 | 25 |
| Lysine | 27 | 26 | 29.4 | 26 | 30 |
| H. Lysine | 6 | 6 | 2.8 | 2.4 | 4.3 |
| Methionine | 15 | 14 | 16 | 11.2 | 10 |
| H. Proline | 85 | 89 | 66.1 | 93.6 | 75 |
| Proline | 108 | 106 | 115 | 112 | 116 |
| Serine | 28 | 33 | 34.7 | 31.9 | 29 |
| Threonine | 24 | 24 | 0 | 0 | 20 |
| Tyrosine | 5 | 3 | 3.4 | 3.7 | 3 |
| Valine | 22 | 20 | 21.5 | 22.1 | 19 |
| Collagen Source | Type of Collagen | Application | Remarks | Ref |
|---|---|---|---|---|
| Blue shark cartilage | Type II | Bone tissue regeneration | The stiffness increased from 4.71 MPa for collagen scaffold to 8.95 MPa for collagen–hydroxyapatite. The composite sample showed the highest ALP activity | [126] |
| Fish scale and skin | Bone tissue regeneration | Fish collagen and hydroxyapatite-reinforced poly(lactide-co-glycolide) fibrous membrane had higher stiffness and favorable cytocompatibility with bone mesenchymal stem cells | [127] | |
| Swim bladder | Type I | Bone tissue regeneration | Self-assembled collagen fibrils from the swim bladder improved osteogenic differentiation. The ALP activity increased on day one, while on day five, it decreased | [139] |
| Aplysina fulva | Bone tissue regeneration | Incorporation of collagen from marine sponges (Spongin) into hydroxyapatite samples can be used for bone regeneration application | [140] | |
| Swim bladder | Type I | Cartilage and bone tissue regeneration | Swim bladder collagen-based tough double network hydrogels potential biomaterials as load-bearing implants | [129] |
| Lates calcarifer scale | Bone tissue engineering | A porous scaffold by using fish scale collagen, hydroxyapatite, chitosan, and beta-tricalcium phosphate was prepared | [141] | |
| Sparus aurata | Type I | Bone tissue engineering | Preparation of biocomposite scaffold for bone tissue engineering with incorporation bioactive fish scale into chitosan | [142] |
| Flatfish (Paralichthys olivaceus) | Type I | Bone tissue engineering | A polycaprolactone/fish collagen/alginate biocomposite scaffold showed a potential for hard regeneration tissue such as bone | [143] |
| Silver carp skin (Hypophthalmichthys molitrix) | Bone tissue engineering | Histological analysis showed new bone formation after 8 weeks in silver crap skin collagen combined with xenograft | [144] | |
| Shark skin (Prionace glauca) | Bone and hard tissue engineering | Collagen from shark skin (Prionace glauca) and calcium phosphates from the teeth of two different shark species (Prionace glauca and Isurus oxyrinchus) were combined and prepared 3D composite scaffold | [145] | |
| Tilapia skin | Type I | Biomedical scaffold for tissue engineering | Fish skin collagen microfiber matrix scaffolds were highly biocompatible and feasible for the development of scaffolds in tissue engineering | [146] |
| Jellyfish | Type II | Cartilage tissue engineering | Type II collagen from the jellyfish implant leads to the differentiation of mesenchymal stem cells. Therapeutic TGF-β3 as nanoreservoirs that were combined lead to cartilage differentiation | [128] |
| Antarctic squid Kondakovia longimana skin | Type I | Tissue engineering | Incorporation of extracted collagen from Antarctic squid Kondakovia longimana on poly-ε-caprolactone 3D printed scaffolds for tissue engineering applications | [65] |
| Jellyfish (Rhopilema esculentum) | Cartilage tissue engineering | Combined jellyfish collagen with alginate for superior chondrogenesis of hMSC | [147] | |
| Nile tilapia (Oreochromis niloticus) skin | Type I | Skin regeneration and wound healing | Polypeptides extracted from Nile tilapia skin enhanced wound-healing process through in vitro and in vivo assays | [131] |
| Tilapia skin | Type I | Wound dressing | The electrospun tilapia collagen nanofibers as a wound dressing could accelerate skin wound healing | [132] |
| Seawater cultured Tilapia | Skin regeneration | Chitosan hydrogel in combination with marine peptides from tilapia showed antibacterial activity, pro-cell proliferation, and migration, well-burning healing | [148] | |
| Tilapia | Wound dressing | Electrospun fish collagen/bioactive glass nanofibers showed improved skin regeneration with adequate tensile strength and antibacterial activity | [149] | |
| Sponge C. reniformis | Skin regeneration and wound healing | A significant antioxidant activity, no toxicity, and increasing of fibroblast and keratinocytes proliferation have been reported | [150] | |
| Tilapia and grey mullet scale | Type I | Wound healing | All the extracted collagen have inhibitory activity against all of the tested bacteria and also had better closure of the wound | [50] |
| Nile tilapia skin (Oreochromis niloticus) | Type I | Wound dressing | Mechanical strength increased with increasing pepsin soluble collagen in the hydrogel. Hydrogel accelerates the healing of second-degree burn wounds. | [151] |
| Lophius litulon skin | Type I | Wound healing | In vitro antioxidant study revealed extracted collagen had scavenging ability for 2,2-diphenyl-1-picrylhydrazyl (DPPH), HO·, O2−, and ABTS. The collagen could help ulcer healing due to its compatibility | [93] |
| Pinctada martensii mantle | Wound healing | The molecular weight of polypeptides extracted from Pinctada martensii was 302.17–2936.43 Da. Small polypeptides molecules promote the proliferation of fibroblasts and keratinocyte | [152] | |
| Jellyfish Rhopilema esculentum | Type I | Wound healing | Protein fragments with molecular weight <25 kDa. Re-epithelialization, tissue regeneration, and increased collagen deposition were improved in histological assessment | [153] |
| Arothron stellatus fish skin | Wound dressing | Film scaffold based on collagen from Arothron stellatus fish skin and bioactive extract obtained from Coccinia grandis and drug ciprofloxacin Cell adhesion and proliferation of the film sample was higher than the control sample | [154] | |
| Tilapia | Wound healing | Tilapia collagen was mixed with TY001 as a promotive healing process. Increase of insulin growth factor-1, basic fibroblast growth factor, platelet-derived growth factor, transforming growth facts β 1, vascular endothelial growth factor, and epidermal growth factor | [155] | |
| Snakehead scales | Type I | Vascular tissue engineering | Good infiltration of cells, blood vessels, and lymphatic vessels were showed by collagen extracted from fish scales | [133] |
| Tilapia scale | Type I | Oral mucosa tissue | Histologic evaluation illustrated that all scaffolds based on the microstructured fish collagen have the potential for use in oral mucosa tissue | [156] |
| Tilapia | periodontal tissue regeneration | The results of osteogenic markers, including ALP, COL I, RUNX2, and OCN showed cell viability and osteogenic differentiation | [134] | |
| Sish scale (L. calcarifer) | Corneal Tissue Engineering | At day 15, 90 to 100% confluent growth showed similar morphological features of limbal epithelium | [135] | |
| Carp fish scales | Type I | Drug delivery | The stability of the drug was increased, and also the release was slower than the control sample | [137] |
| Fish scales | Drug delivery | The microneedles hydrogels released 34.5% of drug-loaded during 24 h | [133] | |
| Fish scales | Drug delivery and wound dressing | Curcumin was loaded into nanogel-based fish scale collagen for delivery of the drug to the wound. | [138] | |
| Fish scales | Drug delivery and wound dressing | Fish scales collagen film was used to release aspirin. The concentration of aspirin after 48 h from microneedles hydrogel was 0.74 mg/mL | [157] |
© 2020 by the authors. Licensee MDPI, Basel, Switzerland. This article is an open access article distributed under the terms and conditions of the Creative Commons Attribution (CC BY) license (http://creativecommons.org/licenses/by/4.0/).
Share and Cite
Jafari, H.; Lista, A.; Siekapen, M.M.; Ghaffari-Bohlouli, P.; Nie, L.; Alimoradi, H.; Shavandi, A. Fish Collagen: Extraction, Characterization, and Applications for Biomaterials Engineering. Polymers 2020, 12, 2230. https://doi.org/10.3390/polym12102230
Jafari H, Lista A, Siekapen MM, Ghaffari-Bohlouli P, Nie L, Alimoradi H, Shavandi A. Fish Collagen: Extraction, Characterization, and Applications for Biomaterials Engineering. Polymers. 2020; 12(10):2230. https://doi.org/10.3390/polym12102230
Chicago/Turabian StyleJafari, Hafez, Alberto Lista, Manuela Mafosso Siekapen, Pejman Ghaffari-Bohlouli, Lei Nie, Houman Alimoradi, and Amin Shavandi. 2020. "Fish Collagen: Extraction, Characterization, and Applications for Biomaterials Engineering" Polymers 12, no. 10: 2230. https://doi.org/10.3390/polym12102230
APA StyleJafari, H., Lista, A., Siekapen, M. M., Ghaffari-Bohlouli, P., Nie, L., Alimoradi, H., & Shavandi, A. (2020). Fish Collagen: Extraction, Characterization, and Applications for Biomaterials Engineering. Polymers, 12(10), 2230. https://doi.org/10.3390/polym12102230





