Foam Glass Crystalline Granular Material from a Polymineral Raw Mix
Abstract
:1. Introduction
- −
- Study of the effect of mineral additives on thermal transformations of glass mass;
- −
- Research of the processes of formation of a porous structure during the firing of mixtures of various compositions;
- −
- Study of the structure and properties of expanded granular materials.
2. Materials and Methods
2.1. Characteristics of the Raw Materials Used
2.2. Mix Design
2.3. Laboratory Equipment and Research Methods
3. Results and Discussion
3.1. Thermal Foaming of Materials
3.2. Porization of Granules Obtained from Multicomponent Mixes
4. Conclusions
- −
- Theoretically substantiated and experimentally confirmed the efficiency of using skarn-magnetite ore dressing wastes in the composition of the raw mixture to obtain porous glass-crystalline material. The chemical and mineral composition of the technogenic component provides a decrease in the temperature of the pyroplastic state of the glass mass, the formation of a gas phase due to thermal transformations of minerals and intermediate compounds. The addition of lignite clay containing carbonized wood and aluminum hydroxides to the glass mass promotes an increase in porosity and the formation of crystalline phases in fired granules.
- −
- The expediency of a polymineral molding mixture for obtaining highly porous granules has been proved. The combination of raw materials containing gas-forming substances favors the intensive porosity of the pyroplastic mass. Glass mass with the addition of gum rock, ore dressing waste, and lignite clay allows you to directly influence the molding properties of the raw material mixture, the temperature of granule foaming, and the nature of porosity. The addition of sodium carbonate helps to strengthen the molded granules and lower the softening temperature of the raw material.
- −
- The developed polymineral mixture ensures the formation of stable raw granules with a plastic strength of 0.075 MPa; lowering the foaming temperature of the raw material mass to 750 °C; formation of foam glass-crystalline granules with a density of 330–350 kg/m3, the strength of which is 76% higher than that of foam glass.
- −
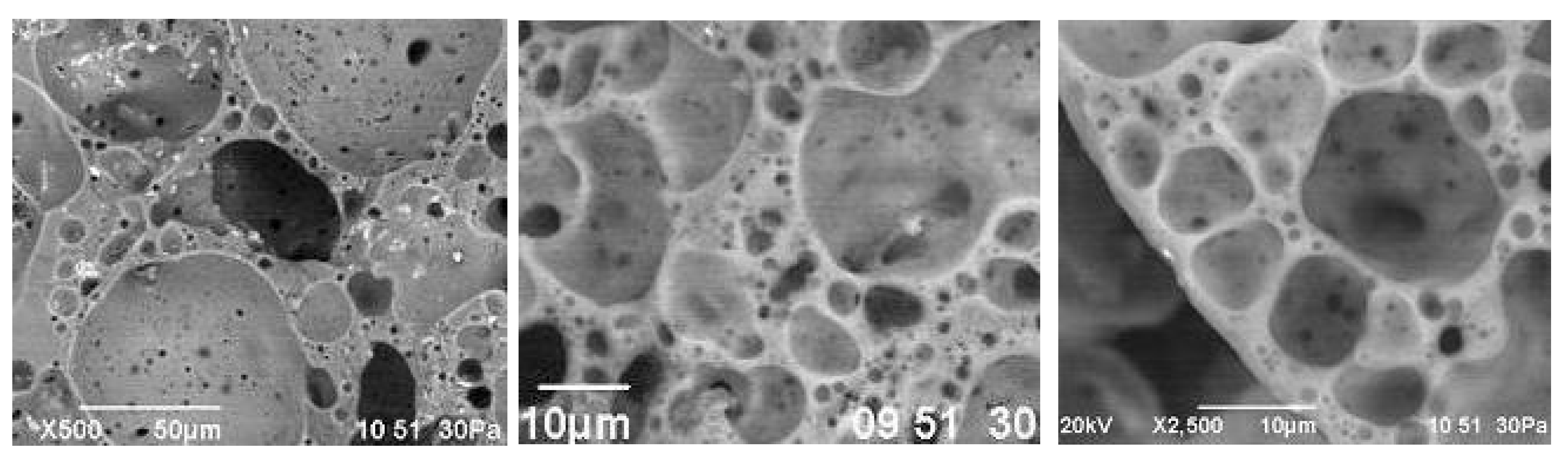
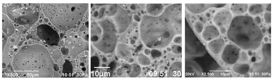
- The multicomponent composition of the raw mixture caused the formation of polymodal porosity of the granules due to the participation of the gas phase of various origins. The central part of the granules, containing closed cavities up to 5 mm in size, is surrounded by a denser shell, in which cells with a diameter of 0.1–0.2 mm are located. In the interpore partitions of granules, the smallest cavities with a size of 1–5 µm are concentrated. The structural features of the granules provide high heat-shielding properties of the material, comparable to those of foam glass.
- −
- Prospects for the development of the technology of glass-ceramic granular materials are associated with the further expansion of the raw material base based on a comprehensive study of the composition and properties of materials. It is necessary to improve the methods of molding raw granules, to clarify the mode of heat treatment, and to study the stability of glass-crystalline foam granules in composite materials of various compositions.
Author Contributions
Funding
Conflicts of Interest
References
- Wang, X.; Zhang, X.; Song, L.; Zhou, H.; Wang, Y.; Zhang, H.; Cong, P. Mitigating confined blast response of buried steel box structure with foam concrete. Thin-Walled Struct. 2021, 169, 108473. [Google Scholar] [CrossRef]
- Liu, S.; Zhu, K.; Cui, S.; Shen, X.; Tan, G. A novel building material with low thermal conductivity: Rapid synthesis of foam concrete reinforced silica aerogel and energy performance simulation. Energy Build. 2018, 177, 385–393. [Google Scholar] [CrossRef]
- Hou, L.; Li, J.; Lu, Z.; Niu, Y.; Jiang, J.; Li, T. Effect of nanoparticles on foaming agent and the foamed concrete. Constr. Build. Mater. 2019, 227, 116698. [Google Scholar] [CrossRef]
- Huynh, T.-P.; Ho, N.-T.; Bui, P.-T.; Do, N.-D.; Nguyen, T.-C. Mechanical-thermal characteristics of foamed ultra-lightweight composites. Mag. Civ. Eng. 2020, 98, 9802. [Google Scholar]
- Chen, G.; Li, F.; Geng, J.; Jing, P.; Si, Z. Identification, generation of autoclaved aerated concrete pore structure and simulation of its influence on thermal conductivity. Constr. Build. Mater. 2021, 294, 123572. [Google Scholar] [CrossRef]
- Murali, G.; Abid, S.R.; Karthikeyan, K.; Haridharan, M.; Amran, M.; Siva, A. Low-velocity impact response of novel prepacked expanded clay aggregate fibrous concrete produced with carbon nano tube, glass fiber mesh and steel fiber. Constr. Build. Mater. 2021, 284, 122749. [Google Scholar] [CrossRef]
- Peng, C.; Kim, Y.J.; Zhang, J. Thermal and energy characteristics of composite structural insulated panels consisting of glass fiber reinforced polymer and cementitious materials. J. Build. Eng. 2021, 43, 102483. [Google Scholar] [CrossRef]
- Zagorodnyuk, L.; Lesovik, V.S.; Sumskoy, D. Thermal insulation solutions of the reduced density. Constr. Mater. Prod. 2020. [Google Scholar] [CrossRef]
- Qu, Y.-N.; Su, Z.-G.; Xu, J.; Huo, W.-L.; Song, K.-C.; Wang, Y.-L.; Yang, J.-L. Preparation of ultralight glass foams via vacuum-assisted foaming. Mater. Lett. 2016, 166, 35–38. [Google Scholar] [CrossRef]
- Cimavilla-Román, P.; Villafañe-Calvo, J.; López-Gil, A.; König, J.; Rodríguez-Perez, M.A. Modelling of the mechanisms of heat transfer in recycled glass foams. Constr. Build. Mater. 2021, 274, 122000. [Google Scholar] [CrossRef]
- Bento, A.C.; Kubaski, E.T.; Sequinel, T.; Pianaro, S.A.; Varela, J.A.; Tebcherani, S.M. Glass foam of macroporosity using glass waste and sodium hydroxide as the foaming agent. Ceram. Int. 2013, 39, 2423–2430. [Google Scholar] [CrossRef]
- Konig, J.; Petersen, R.R.; Yue, Y. Influence of the glass particle size on the foaming process and physical characteristics of foam glasses. J. Non-Cryst. Solids 2016, 447, 190–197. [Google Scholar] [CrossRef]
- Hribar, U.; Spreitzer, M.; König, J. Applicability of water glass for the transfer of the glass-foaming process from controlled to air atmosphere. J. Clean. Prod. 2021, 282, 125428. [Google Scholar] [CrossRef]
- Silva, R.C.; Kubaski, E.T.; Tenório-Neto, E.T.; Lima-Tenório, M.K.; Tebcherani, S.M. Foam glass using sodium hydroxide as foaming agent: Study on the reaction mechanism in soda-lime glass matrix. J. Non-Cryst. Solids 2019, 511, 177–182. [Google Scholar] [CrossRef]
- Smiljanić, S.; Hrabar, U.; Spreitzer, M.; König, J. Influence of additives on the crystallization and thermal conductivity of container glass cullet for foamed glass preparation. Ceram. Int. 2021, 47, 32867–32873. [Google Scholar] [CrossRef]
- Østergaard, M.B.; König, R.R.P.J.; Johr, H.; Yu, Y. Influence of foaming agents on solid thermal conductivity of foam glasses prepared from CRT panel glass. J. Non-Cryst. Solids 2017, 465, 59–64. [Google Scholar] [CrossRef]
- Erofeev, V.T.; Rodin, A.I.; Bochkin, V.S.; Ermakov, A.A. Properties of porous glass ceramics based on siliceous rocks. Mag. Civ. Eng. 2021, 102, 10202. [Google Scholar]
- Monich, P.R.; Romero, A.R.; Hollen, D.; Bernardo, E. Porous glass-ceramics from alkali activation and sinter-crystallization of mixtures of waste glass and residues from plasma processing of municipal solid waste. J. Clean. Prod. 2018, 188, 871–878. [Google Scholar] [CrossRef]
- Yio, M.; Xiao, Y.; Ji, R.; Russell, M.; Cheeseman, C. Production of foamed glass-ceramics using furnace bottom ash and glass. Ceram. Int. 2021, 47, 8697–8706. [Google Scholar] [CrossRef]
- Guo, Y.; Zhang, Y.; Huang, H.; Meng, K.; Hu, K.; Hu, P.; Wang, X.; Zhang, Z.; Meng, X. Novel glass ceramic foams materials based on red mud. Ceram. Int. 2014, 40, 6677–6683. [Google Scholar] [CrossRef]
- Owoeye, S.S.; Matthew, G.O.; Ovienmhanda, F.O.; Tunmilayo, S.O. Preparation and characterization of foam glass from waste container glasses and water glass for application in thermal insulations. Ceram. Int. 2020, 46B, 11770–11775. [Google Scholar] [CrossRef]
- Kurtulus, C.; Kurtulus, R.; Kavas, T. Foam glass derived from ferrochrome slag and waste container glass: Synthesis and extensive characterizations. Ceram. Int. 2021, 47, 24997–25008. [Google Scholar] [CrossRef]
- Miryuk, O. Thermal transformations in polymineral technogenic cement raw. IOP Conf. Ser. Mater. Sci. Eng. 2020, 889, 012025. [Google Scholar] [CrossRef]
- König, J.; Petersen, R.R.; Iversen, N.; Yue, Y. Application of foaming agent–oxidizing agent couples to foamed-glass formation. J. Non-Cryst. Solids 2020, 553, 120469. [Google Scholar] [CrossRef]
- Hesky, D.; Aneziris, C.G.; Gro, U.; Horn, A. Water and waterglass mixtures for foam glass production. Ceram. Int. 2015, 41, 12604–12613. [Google Scholar] [CrossRef]
- Goltsman, B.; Yatsenko, L.A.; Goltsman, N.S. Study of the Water-Glass Role in the Foam Glass Synthesis Using Glycerol Foaming Agent. Diffus. Defect Data Part B Solid State Phenom. 2021, 316, 153–158. [Google Scholar] [CrossRef]
- Bernardo, E.; Elsayed, H.; Rincón Romero, A.; Crovace, M.C.; Zanotto, E.D.; Fey, T. Biosilicate® Glass-Ceramic Foams from Refined Alkali Activation and Gel Casting. Front. Mater. 2021, 7. [Google Scholar] [CrossRef]
- Siddika, A.; Hajimohammadi, A.; Sahajwalla, V. Powder sintering and gel casting methods in making glass foam using waste glass: A review on parameters, performance, and challenges. Ceram. Int. 2021. [Google Scholar] [CrossRef]
- Vaysman, Y.I.; Ketov, A.A.; Ketov, P.A. Secondary Application of Foam Glass when Producing Foam-Glass-Crystal Slabs. Stroit. Mater. 2017, 748, 56–59. [Google Scholar] [CrossRef]
- Akai, T.; Fukumi, K.; Yamashita, M. Formation of pale foam glass from colored glass cullet. J. Ceram. Soc. Jpn. 2020, 128, 153–157. [Google Scholar] [CrossRef]
- Liu, Y.; Xie, J.; Hao, P.; Shi, Y.; Xu, Y.; Ding, X. Study on Factors Affecting Properties of Foam Glass Made from Waste Glass. J. Renew. Mater. 2021, 9, 237–253. [Google Scholar] [CrossRef]
- Kim, E.; Kim, K.; Song, O. Properties of foamed glass upon addition of polysiloxane. J. Asian Ceram. Soc. 2020, 8, 930–938. [Google Scholar] [CrossRef]
- Kazmina, O.; Semukhin, B.; Elistratova, A. Strengthening of Foam Glass Materials. Adv. Mater. Res. 2013, 872, 79–83. [Google Scholar] [CrossRef]
- Azreen, N.M.; Raizal, S.M.R.; Haniza, M.; Voo, Y.L.; Amran, Y.H.M. Radiation shielding of ultra-high-performance concrete with silica sand, amang and lead glass. Constr. Build. Mater. 2018, 172, 370–377. [Google Scholar] [CrossRef]
- Loutou, M.; Hajjaji, M.; Mansori, M.; Favotto, C.; Hakkou, R. Phosphate sludge: Thermal transformation and use as lightweight aggregate material. J. Environ. Manag. 2013, 130, 354–360. [Google Scholar] [CrossRef] [PubMed]
- Adhikary, S.K.; Rudžionis, Ž.; Tučkutė, S.; Ashish, D.K. Effects of carbon nanotubes on expanded glass and silica aerogel based lightweight concrete. Sci. Rep. 2021, 11, 2104. [Google Scholar] [CrossRef] [PubMed]
- Roces, E.; Muñiz-Menéndez, M.; González-Galindo, J.; Estaire, J. Lightweight expanded clay aggregate properties based on laboratory testing. Constr. Build. Mater. 2021, 313, 125486. [Google Scholar] [CrossRef]
- Ogawa, Y.; Bui, P.T.; Kawai, K.; Sato, R. Effects of porous ceramic roof tile waste aggregate on strength development and carbonation resistance of steam-cured fly ash concrete. Constr. Build. Mater. 2020, 236. [Google Scholar] [CrossRef]
- Liu, T.; Tang, Y.; Han, L.; Song, J.; Luo, Z.; Lu, A. Recycling of harmful waste lead-zinc mine tailings and fly ash for preparation of inorganic porous ceramics. Ceram. Int. 2017, 43, 4910–4918. [Google Scholar] [CrossRef]
- Fedyuk, R.S.; Baranov, A.V.M.; Amran, Y. Effect of porous structure on sound absorption of cellular concrete. Constr. Mater. Prod. 2020, 3, 5–18. [Google Scholar]
- Amran, M.; Lee, Y.H.; Vatin, N.; Fediuk, R.; Poi-Ngian, S.; Lee, Y.Y.; Murali, G. Design efficiency, characteristics, and utilization of reinforced foamed concrete: A review. Crystals 2020, 10, 948. [Google Scholar] [CrossRef]
- Lesovik, V.; Voronov, V.; Glagolev, E.; Fediuk, R.; Alaskhanov, A.; Amran, Y.M.; Murali, G.; Baranov, A. Improving the behaviors of foam concrete through the use of composite binder. J. Build. Eng. 2020, 31, 101414. [Google Scholar] [CrossRef]
- Amran, Y.M.; Alyousef, R.; Alabduljabbar, H.; Khudhair, M.H.R.; Hejazi, F.; Alaskar, A.; Alrshoudi, F.; Siddika, A. Performance properties of structural fibred-foamed concrete. Results Eng. 2020, 5, 100092. [Google Scholar] [CrossRef]
- Amran, Y.M. Influence of structural parameters on the properties of fibred-foamed concrete. Innov. Infrastruct. Solut. 2020, 5, 1–18. [Google Scholar] [CrossRef]
- Fediuk, R.; Amran, M.; Vatin, N.; Vasilev, Y.; Lesovik, V.; Ozbakkaloglu, T. Acoustic Properties of Innovative Concretes: A Review. Materials 2021, 14, 398. [Google Scholar] [CrossRef] [PubMed]
- Cerny, V.; Kocianova, M.; Drochytka, R. Possibilities of lightweight high strength concrete production from sintered fly ash aggregate. Procedia Eng. 2017, 195, 9–16. [Google Scholar] [CrossRef]
- Narattha, C.; Chaipanich, A. Phase characterizations, physical properties and strength of environment-friendly cold-bonded fly ash lightweight aggregates. J. Clean. Prod. 2018, 171, 1094–1100. [Google Scholar] [CrossRef]
- Gomathi, P.; Sivakumar, A. Accelerated curing effects on the mechanical performance of cold bonded and sintered fly ash aggregate concrete. Constr. Build. Mater. 2015, 77, 276–287. [Google Scholar] [CrossRef]
- Borowski, G.; Ozga, M. Comparison of the processing conditions and the properties of granules made from fly ash of lignite and coal. Waste Manag. 2020, 104, 192–197. [Google Scholar] [CrossRef]
- Niu, Y.-H.; Fan, X.-Y.; Ren, D.; Wang, W.; Li, Y.; Yang, Z.; Cui, L. Effect of Na2CO3 content on thermal properties of foam-glass ceramics prepared from smelting slag. Mater. Chem. Phys. 2020, 256, 123610. [Google Scholar] [CrossRef]
- Onaizi, A.M.; Lim, N.H.A.S.; Huseien, G.F.; Amran, M.; Ma, C.K. Effect of the addition of nano glass powder on the compressive strength of high volume fly ash modified concrete. Mater. Today Proc. 2021. [Google Scholar] [CrossRef]
- Kasemchaisiri, R.; Tangtermsirikul, S. A method to determine water retainability of porous fine aggregate for design and quality control of fresh concrete. Constr. Build. Mater. 2007, 21, 1322–1334. [Google Scholar] [CrossRef]
- Rashad, A.M. Recycled waste glass as fine aggregate replacement in cementitious materials based on Portland cement. Constr. Build. Mater. 2014, 72, 340–357. [Google Scholar] [CrossRef]
- Kazmina, O.V.; Mitina, N.A.; Minaev, K.M. Lightweight cement mortar with inorganic perlite microspheres for equipping oil and gas production wells. Mag. Civ. Eng. 2020, 93, 83–96. [Google Scholar]
- Yıldırım, H.; Özturan, T. Impact resistance of concrete produced with plain and reinforced cold-bonded fly ash aggregates. J. Build. Eng. 2021, 42, 102875. [Google Scholar] [CrossRef]
- Li, X.; He, C.; Lv, Y.; Jian, S.; Liu, G.; Jiang, W.; Jiang, D. Utilization of municipal sewage sludge and waste glass powder in production of lightweight aggregates. Constr. Build. Mater. 2020, 256, 119413. [Google Scholar] [CrossRef]
- Moghadam, M.J.; Ajalloeian, R.; Hajiannia, A. Preparation and application of alkali-activated materials based on waste glass and coal gangue. Constr. Build. Mater. 2019, 221, 84–98. [Google Scholar] [CrossRef]
- Rodríguez-Álvaro, R.; Seara-Paz, S.; González-Fonteboa, B.; Etxeberria, M. Study of different granular by-products as internal curing water reservoirs in concrete. J. Build. Eng. 2021, 45, 103623. [Google Scholar] [CrossRef]
- Song, H.; Chai, C.; Zhao, Z.; Wei, L.; Wu, H.; Cheng, F. Experimental study on foam glass prepared by hydrothermal hot pressing-calcination technique using waste glass and fly ash. Ceram. Int. 2021, 47, 28603–28613. [Google Scholar] [CrossRef]
- Usanova, K.; Barabanshchikov, Y.G. Cold-bonded fly ash aggregate concrete. Mag. Civ. Eng. 2020, 95, 104–118. [Google Scholar] [CrossRef]
- Korsun, V.; Vatin, N.; Korsun, A.; Nemova, D. Physical-mechanical properties of the modified fine-grained concrete subjected to thermal effects up to 200 °C. Appl. Mech. Mater. 2014, 633–634, 1013–1017. [Google Scholar] [CrossRef]
- Elistratkin, M.Y.; Lesovik, V.S.; Zagorodnjuk, L.H.; Pospelova, E.A.; Shatalova, S.V. New point of view on materials development. IOP Conf. Ser. Mater. Sci. Eng. 2018, 327, 032020. [Google Scholar] [CrossRef] [Green Version]
- Murali, G.; Abid, S.R.; Amran, M.; Fediuk, R.; Vatin, N.; Karelina, M. Combined Effect of Multi-Walled Carbon Nanotubes, Steel Fibre and Glass Fibre Mesh on Novel Two-Stage Expanded Clay Aggregate Concrete against Impact Loading. Crystals 2021, 11, 720. [Google Scholar] [CrossRef]
- Murali, G.; Fediuk, R. A Taguchi approach for study on impact response of ultra-high-performance polypropylene fibrous cementitious composite. J. Build. Eng. 2020, 30, 101301. [Google Scholar] [CrossRef]
- Chernysheva, N.; Lesovik, V.; Fediuk, R.; Vatin, N. Improvement of Performances of the Gypsum-Cement Fiber Reinforced Composite (GCFRC). Materials 2020, 13, 3847. [Google Scholar] [CrossRef]
- Lesovik, V.; Volodchenko, A.; Fediuk, R.; Amran, Y.H.M. Improving the Hardened Properties of Nonautoclaved Silicate Materials Using Nanodispersed Mine Waste. J. Mater. Civ. Eng. 2021, 33, 04021214. [Google Scholar] [CrossRef]
- Lesovik, V.; Chernysheva, N.; Fediuk, R.; Amran, M.; Murali, G.; de Azevedo, A.R. Optimization of fresh properties and durability of the green gypsum-cement paste. Constr. Build. Mater. 2021, 287, 123035. [Google Scholar] [CrossRef]















| Material | SiO2 | Al2O3 | Fe2O3 | CaO | MgO | SO3 | K2O + Na2O | Other | LOI |
|---|---|---|---|---|---|---|---|---|---|
| Breakage sheet glass | 69.7–71.8 | 2.0–5.3 | 0.1–0.9 | 4.1–6.7 | 3.1–4.1 | 0.3–0.5 | 13.3–14.8 | 0.4 | 0 |
| Breakage glass containers | 69.4–71.5 | 3.3–5.5 | 0.6–1.2 | 5.2–5.6 | 3.2–4.3 | 0.2–0.4 | 14.1–16.0 | 0.2 | 0 |
| Opoka | 80.7 | 5.2 | 2.8 | 0.8 | 0.7 | 1.4 | 1.1 | 0.5 | 6.8 |
| WMS | 40.3–41.7 | 12.3–12.9 | 15.8–16.5 | 12.1–12.5 | 6.4–6.5 | 6.7–6.8 | 2.5–2.6 | 1.3–1.5 | 2.5–2.6 |
| Lignite clay | 12.7 | 47.7 | 3.5 | 0.6 | 0.3 | 6.7 | 0.8 | 0.4 | 27.3 |
| Mix ID | Raw Mix Composition, % | Na2CO3 Content, % | The Amount of Liquid Glass in the Molding Mass, % | Plastic Strength of the Molding Mass, MPa | |||
|---|---|---|---|---|---|---|---|
| Glass Breakage | Opoka | WMS | Lignite Clay | ||||
| C | 100 | 0 | 0 | 0 | 0 | 40 | 0.070 |
| C1 | 80 | 20 | 0 | 0 | 0 | 40 | 0.082 |
| C2 | 80 | 0 | 20 | 0 | 0 | 40 | 0.027 |
| C3 | 80 | 0 | 0 | 20 | 0 | 40 | 0.042 |
| CB1 | 60 | 20 | 20 | 0 | 0 | 45 | 0.051 |
| CB11 | 60 | 20 | 20 | 0 | 3 | 45 | 0.072 |
| CB2 | 60 | 20 | 0 | 20 | 0 | 45 | 0.065 |
| CB21 | 60 | 20 | 0 | 20 | 3 | 45 | 0.083 |
| CB3 | 60 | 13 | 15 | 12 | 0 | 45 | 0.057 |
| CB31 | 60 | 13 | 15 | 12 | 3 | 45 | 0.075 |
| Mix ID | True Density of the Granule Substance, kg/m3 | Bulk Density of the Granule, kg/m3 | Porosity of the Granule, % |
|---|---|---|---|
| C | 2650 | 340 | 87.2 |
| CB11 | 2810 | 330 | 88.3 |
| CB21 | 2650 | 350 | 86.8 |
| CB31 | 2780 | 335 | 87.9 |
| Mix ID | Density of Granules, kg/m3, Fired at Temperature, °C | ||||||
|---|---|---|---|---|---|---|---|
| 700 | 725 | 750 | 775 | 800 | 825 | 850 | |
| C | 870 | 765 | 690 | 570 | 440 | 390 | 340 |
| CB1 | 765 | 585 | 435 | 385 | 335 | 350 | 420 |
| CB11 | 380 | 330 | 340 | 370 | 440 | 590 | 730 |
| CB2 | 875 | 740 | 670 | 580 | 455 | 380 | 345 |
| CB21 | 610 | 455 | 390 | 350 | 360 | 415 | 505 |
| CB3 | 815 | 655 | 545 | 460 | 390 | 330 | 345 |
| CB31 | 470 | 385 | 335 | 350 | 390 | 430 | 615 |
| Mix ID | Granule Diameter, mm | Granule Density, kg/m3 | Bulk Density of Granules, kg/m3 | Granule Strength, MPa | Water Absorption, % | Coefficient of Thermal Conductivity, W/(m·°C) |
|---|---|---|---|---|---|---|
| C | 10–15 | 340 | 220 | 2.1 | 4.5 | 0.062 |
| CB11 | 10–15 | 330 | 215 | 3.4 | 3,8 | 0.058 |
| CB21 | 10–15 | 350 | 240 | 3.2 | 4.1 | 0.061 |
| CB31 | 10–15 | 335 | 210 | 3.7 | 3.7 | 0.057 |
Publisher’s Note: MDPI stays neutral with regard to jurisdictional claims in published maps and institutional affiliations. |
© 2021 by the authors. Licensee MDPI, Basel, Switzerland. This article is an open access article distributed under the terms and conditions of the Creative Commons Attribution (CC BY) license (https://creativecommons.org/licenses/by/4.0/).
Share and Cite
Miryuk, O.; Fediuk, R.; Amran, M. Foam Glass Crystalline Granular Material from a Polymineral Raw Mix. Crystals 2021, 11, 1447. https://doi.org/10.3390/cryst11121447
Miryuk O, Fediuk R, Amran M. Foam Glass Crystalline Granular Material from a Polymineral Raw Mix. Crystals. 2021; 11(12):1447. https://doi.org/10.3390/cryst11121447
Chicago/Turabian StyleMiryuk, Olga, Roman Fediuk, and Mugahed Amran. 2021. "Foam Glass Crystalline Granular Material from a Polymineral Raw Mix" Crystals 11, no. 12: 1447. https://doi.org/10.3390/cryst11121447
APA StyleMiryuk, O., Fediuk, R., & Amran, M. (2021). Foam Glass Crystalline Granular Material from a Polymineral Raw Mix. Crystals, 11(12), 1447. https://doi.org/10.3390/cryst11121447
