Thin Films and Glass–Ceramic Composites of Huntite Borates Family: A Brief Review
Abstract
1. Introduction
2. Thin Film Growth
2.1. Liquid-Phase Epitaxy Technique
2.1.1. Key Parameters of LPE
2.1.2. LPE of Rare-Earth Layers with Huntite-Type Structure
2.2. Polymeric Precursor Method and Sol-Gel Technique
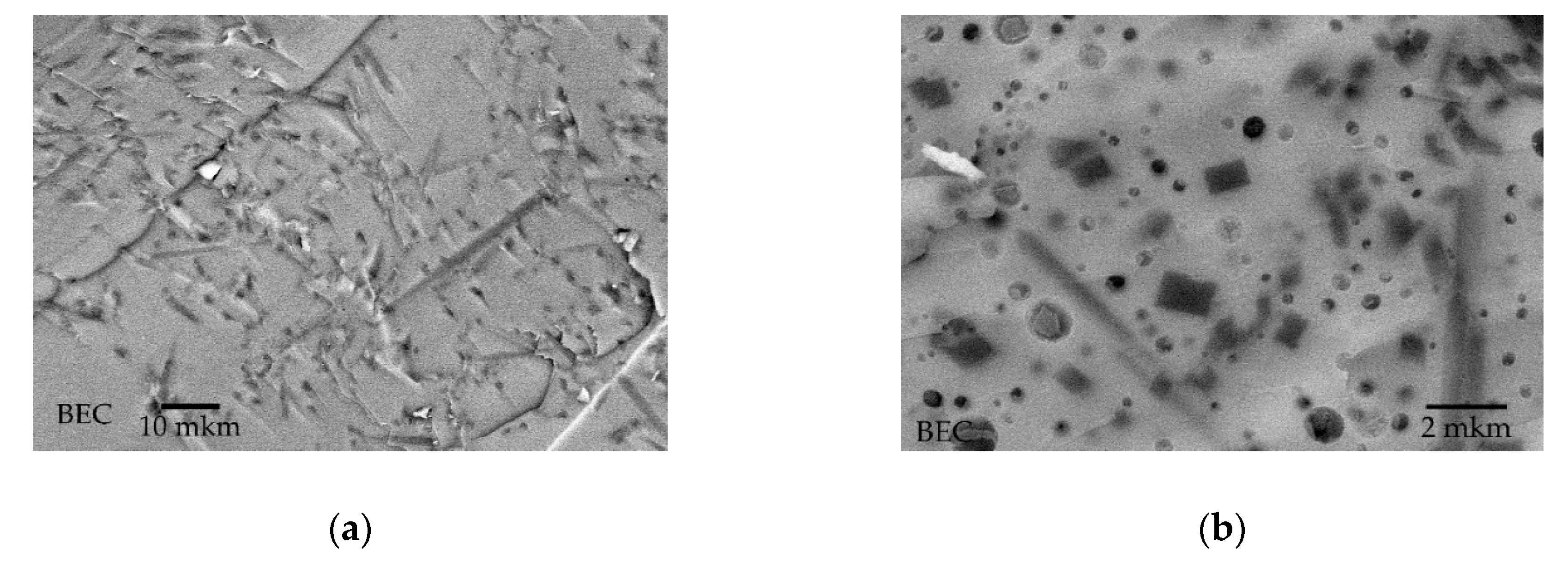
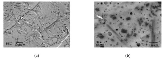
3. RAB Related Glass-Ceramics Materials
4. Conclusions
Author Contributions
Funding
Conflicts of Interest
References
- Ballman, A.A. A new series of synthetic borates isostructural with the carbonate mineral huntite. Am. Mineral. 1962, 47, 1380–1383. [Google Scholar]
- Mills, A.D. Crystallographic Data for New Rare Earth Borate Compounds, RX3(BO3)4. Inorg. Chem. 1962, 1, 960–961. [Google Scholar] [CrossRef]
- Hong, H.-P.; Dwight, K. Crystal structure and fluorescence lifetime of NdAl3(BO3)4, a promising laser material. Mater. Res. Bull. 1974, 9, 1661–1665. [Google Scholar] [CrossRef]
- Jarchow, O.; Lutz, F.; Klaska, K.H. Polimorphie und fehlordnung von NdAl3(BO3)4. Z. Kristallogr. 1979, 149, 162–164. [Google Scholar]
- Wang, G.; He, M.; Luo, Z. Structure of β-NdAl3(BO3)4 (NAB) crystals. Mat. Res. Bull. 1991, 26, 1085–1089. [Google Scholar] [CrossRef]
- Leonyuk, N.I.; Maltsev, V.V.; Volkova, E.A.; Koporulina, E.V.; Kuleshov, N.V.; Kisel, V.E.; Gorbachenya, K.N. Ytterbium and Erbium Co-doped Rare-Earth Aluminum Borate Crystals as New Materials for Eye-Safe Lasers: Flux Growth and Characterization. In Handbook of Ecomaterials; Springer Science and Business Media LLC: Berlin/Heidelberg, Germany, 2018; pp. 1–46. [Google Scholar]
- Kuz’Micheva, G.M.; Kaurova, I.; Rybakov, V.B.; Podbel’Skiy, V.V. Crystallochemical Design of Huntite-Family Compounds. Crystals 2019, 9, 100. [Google Scholar] [CrossRef]
- Leonyuk, N. Recent developments in the growth of RM3(BO3)4 crystals for science and modern applications. Prog. Cryst. Growth Charact. Mater. 1995, 31, 279–312. [Google Scholar] [CrossRef]
- Aka, G.; Viegas, N.; Teisseire, B.; Godard, J. Flux growth and characterization of rare-earth-doped non-linear huntite-type borate crystals: Y1−xNdx(Al0.7Ga0.3)3(BO3)4 and Y1−xYbxAl3(BO3)4. J. Mater. Chem. 1995, 5, 583–587. [Google Scholar] [CrossRef]
- Koporulina, E.; Leonyuk, N.; Hansen, D.; Bray, K. Flux growth and luminescence of Ho:YAl3(BO3)4 and PrAl3(BO3)4 crystals. J. Cryst. Growth 1998, 191, 767–773. [Google Scholar] [CrossRef]
- Jaque, D.; Capmany, J.; Solé, J.G. Red, green, and blue laser light from a single Nd:YAl3(BO34crystal based on laser oscillation at 1.3 μm. Appl. Phys. Lett. 1999, 75, 325–327. [Google Scholar] [CrossRef]
- Dekker, P.; Dawes, J.; Piper, J.A.; Liu, Y.; Wang, J. 1.1 W CW self-frequency-doubled diode-pumped Yb:YAl3(BO3)4 laser. Opt. Commun. 2001, 195, 431–436. [Google Scholar] [CrossRef]
- Dominiak-Dzik, G.; Ryba-Romanowski, W.; Kovacs, L.; Beregi, E. Effect of temperature on luminescence and VUV to visible conversion in the YAl3(BO3)4:Dy3+ (YAB:Dy) crystal. Radiat. Meas. 2004, 38, 557–561. [Google Scholar] [CrossRef]
- Li, J.; Wang, J.; Cheng, X.; Hu, X.; Wang, X.; Zhao, S. Growth, optical properties and defects of Tb:YAl3(BO3)4 crystal. Mater. Lett. 2004, 58, 1096–1099. [Google Scholar] [CrossRef]
- Chen, Y.J.; Lin, Y.F.; Gong, X.H.; Tan, Q.G.; Luo, Z.D.; Huang, Y.D. 2.0 W diode-pumped Er:Yb:YAl3(BO3)4 laser at 1.5–1.6 μm. Appl. Phys. Lett. 2006, 89, 241111. [Google Scholar] [CrossRef]
- Tolstik, N.A.; Kurilchik, S.V.; Kisel, V.E.; Kuleshov, N.; Maltsev, V.V.; Pilipenko, O.V.; Koporulina, E.; Leonyuk, N.I. Efficient 1 W continuous-wave diode-pumped Er,Yb:YAl3(BO3)4 laser. Opt. Lett. 2007, 32, 3233–3235. [Google Scholar] [CrossRef] [PubMed]
- Lagatsky, A.; Kisel, V.E.; E Troshin, A.; A Tolstik, N.; Kuleshov, N.; I Leonyuk, N.; E Zhukov, A.; Rafailov, E.U.; Sibbett, W. Diode-pumped passively mode-locked Er,Yb:YAl3(BO3)4 laser at 1.5–1.6 microm. Opt. Lett. 2008, 33, 83–85. [Google Scholar] [CrossRef]
- Tolstik, N.A.; Kisel, V.E.; Kuleshov, N.V.; Maltsev, V.V.; Leonyuk, N.I. Er,Yb:YAl3(BO3)4—Efficient 1.5 mkm laser crystal. Appl. Phys. 2009, 97, 357–362. [Google Scholar] [CrossRef]
- Jaque, D.; Enguita, O.; Caldino, U.C.; Ramírez, M.O.; Solé, J.G.; Zaldo, C.; Santiuste, J.M.; Jiang, A.D.; Luo, Z.D. Optical characterization and laser gain modeling of a NdAl3(BO3)4 (NAB) microchip laser crystal. J. Appl. Phys. 2001, 90, 561–569. [Google Scholar] [CrossRef]
- Xue, D.; Zhang, S. Calculation of the nonlinear optical coefficient of the crystal. J. Phys. Condens. Matter 1996, 8, 1949–1956. [Google Scholar] [CrossRef]
- Jaque, D.; Enguita, O.; Solé, J.G.; Jiang, A.D.; Luo, Z.D. Infrared continuous-wave laser gain in neodymium aluminum borate: A promising candidate for microchip diode-pumped solid state lasers. Appl. Phys. Lett. 2000, 76, 2176–2178. [Google Scholar] [CrossRef]
- Lutz, F.; Huber, G. Phosphate and borate crystals for high optical gain. J. Cryst. Growth 1981, 52, 646–649. [Google Scholar] [CrossRef]
- Kumar, J.; Thirumavalavan, M.; Gnanam, F.; Ramasamy, P.; Bocelli, G. Growth, morphological and structural investigations of neodymium aluminium borate crystals from different flux systems. J. Cryst. Growth 1990, 100, 651–654. [Google Scholar] [CrossRef]
- Deubener, J.; Allix, M.; Davis, M.; Durán, A.; Höche, T.; Honma, T.; Komatsu, T.; Krüger, S.; Mitra, I.; Müller, R.; et al. Updated definition of glass-ceramics. J. Non-Crystall. Solids 2018, 501, 3–10. [Google Scholar] [CrossRef]
- Scheel, H.J. Introduction to Liquid Phase Epitaxy; Wiley: Hoboken, NJ, USA, 2007; pp. 1–19. [Google Scholar]
- Nelson, H. Epitaxial growth from the liquid state and its application to the fabrication of tunnel and laser diodes. RCA Rev. 1963, 24, 603. [Google Scholar]
- Linares, R.C. Epitaxial growth of narrow linewidthyttrium iron garnet films. J. Cryst. Growth 1968, 3, 443–446. [Google Scholar] [CrossRef]
- Ferrand, B.; Chambaz, B.; Couchaud, M. Liquid phase epitaxy: A versatile technique for the development of miniature optical components in single crystal dielectric media. Opt. Mater. 1999, 11, 101–114. [Google Scholar] [CrossRef]
- Vegard, L. Die constitution der mischkristalle und die raumfüllung der atome. Z. Phys. 1921, 5, 17–26. [Google Scholar] [CrossRef]
- Lutz, F.; Leiss, M.; Müller, J. Epitaxy of NdAl3(BO3)4 for thin film miniature lasers. J. Cryst. Growth 1979, 47, 130–132. [Google Scholar] [CrossRef]
- Lutz, F.; Rüppel, D.; Leiss, M. Epitaxial layers of the laser material Nd(Ga, Cr)3(BO3)4. J. Cryst. Growth 1980, 48, 41–44. [Google Scholar] [CrossRef]
- Ghez, R.; Giess, E. Liquid phase epitaxial growth kinetics of magnetic garnet films grown by isothermal dipping with axial rotation. Mater. Res. Bull. 1973, 8, 31–42. [Google Scholar] [CrossRef]
- Ghez, R.; Giess, E. The temperature dependence of garnet liquid phase epitaxial growth kinetics. J. Cryst. Growth 1974, 27, 221–226. [Google Scholar] [CrossRef]
- Leonyuk, N.; Leonyuk, L. Growth and characterization of RM3(BO3)4 crystals. Prog. Cryst. Growth Charact. Mater. 1995, 31, 179–278. [Google Scholar] [CrossRef]
- Volkova, E.; Maltsev, V.; Kolganova, O.; Leonyuk, N. High-temperature growth and characterization of (Er,Yb):YAl3(BO3)4 and NdAl3(BO3)4 epitaxial layers. J. Cryst. Growth 2014, 401, 547–549. [Google Scholar] [CrossRef]
- Jung, S.-T.; Kang, J.-K.; Chung, S.-J. Crystal growth and X-ray topography of NdAl3(BO3)4. J. Cryst. Growth 1995, 149, 207–214. [Google Scholar] [CrossRef]
- Momma, K.; Izumi, F. VESTA 3for three-dimensional visualization of crystal, volumetric and morphology data. J. Appl. Crystallogr. 2011, 44, 1272–1276. [Google Scholar] [CrossRef]
- Volkova, E.; Ksenofontov, D.A.; Maltsev, V.V.; Leonyuk, N.I.; Kabalov, Y.K.; Barilo, S.N.; Bychkov, G.L.; Tolstik, N.A.; Kuleshov, N. Liquid-phase epitaxy of single-crystal erbium-ytterbium codoped YAl3(BO3)4 layers as key components of planar waveguides. Inorg. Mater. 2011, 47, 979–982. [Google Scholar] [CrossRef]
- Xu, Y.; Gong, X.; Chen, Y.; Huang, M.; Luo, Z.; Huang, Y. Crystal growth and optical properties of YbAl3(BO3)4: A promising stoichiometric laser crystal. J. Cryst. Growth 2003, 252, 241–245. [Google Scholar] [CrossRef]
- Malakhovskii, A.; Kutsak, T.; Sukhachev, A.; Aleksandrovsky, A.S.; Krylov, A.S.; Gudim, I.; Molokeev, M.S. Spectroscopic properties of ErAl3(BO3)4 single crystal. Chem. Phys. 2014, 428, 137–143. [Google Scholar] [CrossRef]
- Filatov, S.K. Vysokotemperaturnaya Kristallografiya (HighTemperature Crystallography); Springer: Leningrad, Russia, 1990. [Google Scholar]
- Volkova, E.; Leonyuk, N. Growth of Yb:YAl3(BO3)4 thin films by liquid-phase epitaxy. J. Cryst. Growth 2005, 275, e2467–e2470. [Google Scholar] [CrossRef]
- Azizov, A.V.; Leonyuk, N.I. The effect of supersaturation and temperature on the rate of growth of YAl3(BO3)4 crystals from molten solution. J. Cryst. Growth 1981, 54, 296–298. [Google Scholar] [CrossRef]
- Tolstik, N.A.; Heinrich, S.; Kahn, A.; Volkova, E.; Maltsev, V.; Kuleshov, N.; Huber, G.; Leonyuk, N. High-temperature growth and spectroscopic characterization of Er,Yb:YAl3(BO3)4 epitaxial thin layers. Opt. Mater. 2010, 32, 1377–1379. [Google Scholar] [CrossRef]
- Lu, Y.; Dekker, P.; Dawes, J. Liquid-Phase Epitaxial Growth and Characterization of Nd:YAl3(BO3)4 Optical Waveguides. Crystals 2019, 9, 79. [Google Scholar] [CrossRef]
- Maia, L.; Mastelaro, V.R.; Hernandes, A.; Fick, J.; Ibáñez, A. Er:YAl3(BO3)4 glassy thin films from polymeric precursor and sol-gel methods: Waveguides for integrated optics. Thin Solid Films 2009, 517, 6584–6587. [Google Scholar] [CrossRef]
- Maia, L.; Mastelaro, V.R.; Pairis, S.; Hernandes, A.C.; Ibanez, A. A sol–gel route for the development of rare-earth aluminum borate nanopowders and transparent thin films. J. Solid State Chem. 2007, 180, 611–618. [Google Scholar] [CrossRef]
- Maia, L.; Ibanez, A.; Fick, J.; Sanz, N.; Hernandes, A.C.; Mastelaro, V.R. Y0.9Er0.1Al3(BO3)4 Thin Films Preparedby the Polymeric Precursor Methodfor Integrated Optics. J. Nanosci. Nanotechnol. 2007, 7, 3629–3637. [Google Scholar] [CrossRef]
- Maia, L.; Fick, J.; Bouchard, C.; Mastelaro, V.R.; Hernandes, A.; Ibáñez, A. Elaboration and optimization of (Y,Er)Al3(BO3)4 glassy planar waveguides through the sol–gel process. Opt. Mater. 2010, 32, 484–490. [Google Scholar] [CrossRef]
- Maia, L.; Fick, J.; Hernandes, A.; Mastelaro, V.R.; Ibáñez, A. Optical properties of amorphous, erbium-doped yttrium alumino-borate thin films. Opt. Mater. 2012, 34, 665–670. [Google Scholar] [CrossRef]
- Malashkevich, G.E.; Sigaev, V.; Golubev, N.V.; Mamadzhanova, E.; Sukhodola, A.; Paleari, A.; Sarkisov, P.; Shimko, A.N. Spectroscopic properties of Sm-containing yttrium-aluminoborate glasses and analogous huntite-like polycrystals. Mater. Chem. Phys. 2012, 137, 48–54. [Google Scholar] [CrossRef]
- Malashkevich, G.E.; Golubev, N.V.; Mamadzhanova, E.K.; Ziyatdinova, M.; Sigaev, V.N.; Sukhodola, A.A.; Khotchenkova, T.G.; Prusova, I.V.; Sergeev, I.I. Oxide glass with minimum distance 0.67 nm between rare-earth activators. Glas. Ceram. 2013, 70, 141–142. [Google Scholar] [CrossRef]
- Ziyatdinova, M.; Golubev, N.V.; Ignat’Eva, E.; Okhrimchuk, A.; Khotchenkova, T.G.; Sigaev, V.N. Spectroscopic Properties of Yttrium-Aluminum-Borate Glasses Activated by Terbium and Cerium Ions. Glas. Ceram. 2016, 72, 366–369. [Google Scholar] [CrossRef]
- Malashkevich, G.E.; Kouhar, V.; Pestryakov, E.; Sigaev, V.; Golubev, N.V.; Ziyatdinova, M.; Sukhodola, A. Spectral-luminescent and laser properties of the (Y1−x,Ybx)2O3−Al2O3−B2O3 glasses. Opt. Mater. 2018, 76, 253–259. [Google Scholar] [CrossRef]
- Naprasnikov, D.A.; Maltsev, V.V.; Leonyuk, N.I. YAl3(BO3)4- and GdAl3(BO3)4-based glass-ceramic composites. Inorg. Mater. 2015, 52, 68–75. [Google Scholar] [CrossRef]
- Naprasnikov, D.; Maltsev, V.V.; Leonyuk, N.; Gorbachenya, K.; Kurilchik, S.; Kisel, V.E.; Kuleshov, N. Micro-crystallization and spectroscopic properties of Er, Yb:RAl-borates (R = Y, Gd) obtained in RAl3(BO3)4–K2Mo3O10–B2O3–R2O3 and RAl3(BO3)4–B2O3 systems. J. Cryst. Growth 2017, 457, 302–306. [Google Scholar] [CrossRef]
- Lorenzi, R.; Golubev, N.V.; Ziyatdinova, M.; Jarý, V.; Babin, V.; Malashkevich, G.E.; Paleari, A.; Sigaev, V.N.; Fasoli, M.; Nikl, M. Radio- and photoluminescence properties of Ce/Tb co-doped glasses with huntite-like composition. Opt. Mater. 2018, 78, 247–252. [Google Scholar] [CrossRef]

















| Material | a, nm/Misfit with YAB, % | c, nm Misfit with YAB, % | Ref. |
|---|---|---|---|
| YAl3(BO3)4 | 0.9289/0.00 | 0.7239/0.00 | [38] |
| YbAl3(BO3)4 | 0.9251/−0.4 | 0.7189/−0.6 | [39] |
| Yb0.1Y0.9Al3(BO3)4 | 0.9285/−0.04 | 0.7234/−0.06 | - |
| ErAl3(BO3)4 | 0.9285/−0.04 | 0.7222/−0.2 | [40] |
| Er0.04Y0.96Al3(BO3)4 | 0.9288/−0.01 | 0.7238/−0.01 | - |
| Er0.015Yb0.11Y0.875Al3(BO3)4 | 0.9285/−0.04 | 0.7233/−0.08 | - |
| Compound | α[100], 10−6 K−1 | α[001], 10−6 K−1 |
|---|---|---|
| YAl3(BO3)4 | 4.2 | 12.97 |
| Er0.015Yb0.11Y0.875Al3(BO3)4 | 4.4 | 13.17 |
© 2020 by the authors. Licensee MDPI, Basel, Switzerland. This article is an open access article distributed under the terms and conditions of the Creative Commons Attribution (CC BY) license (http://creativecommons.org/licenses/by/4.0/).
Share and Cite
Volkova, E.A.; Naprasnikov, D.A.; Leonyuk, N.I. Thin Films and Glass–Ceramic Composites of Huntite Borates Family: A Brief Review. Crystals 2020, 10, 487. https://doi.org/10.3390/cryst10060487
Volkova EA, Naprasnikov DA, Leonyuk NI. Thin Films and Glass–Ceramic Composites of Huntite Borates Family: A Brief Review. Crystals. 2020; 10(6):487. https://doi.org/10.3390/cryst10060487
Chicago/Turabian StyleVolkova, Elena A., Daniil A. Naprasnikov, and Nikolay I. Leonyuk. 2020. "Thin Films and Glass–Ceramic Composites of Huntite Borates Family: A Brief Review" Crystals 10, no. 6: 487. https://doi.org/10.3390/cryst10060487
APA StyleVolkova, E. A., Naprasnikov, D. A., & Leonyuk, N. I. (2020). Thin Films and Glass–Ceramic Composites of Huntite Borates Family: A Brief Review. Crystals, 10(6), 487. https://doi.org/10.3390/cryst10060487

