Weathering and Coupled Mineralization of Serpentine by Urease Gene Overexpression Strain
Abstract
1. Introduction
2. Results and Discussion
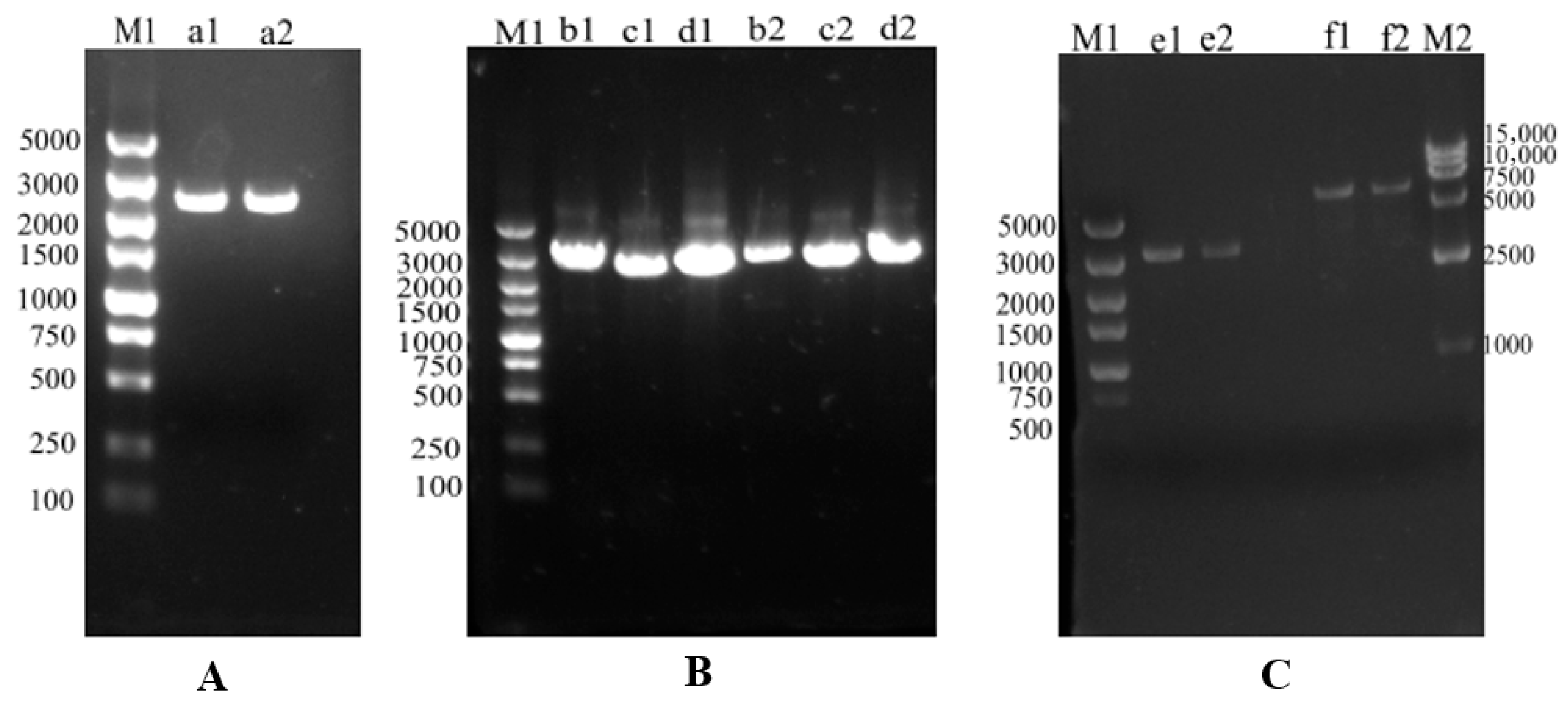
2.1. Construction of the Urease Gene Overexpression Vector and Verification of the Recombinant Strain
2.2. Growth and Urease Activity of the Urease Overexpression Strain
2.3. Analysis of the Serpentine Weathering Culture System by the Urease Overexpression Strain and Characterization of Solid-Phase Products
3. Materials and Methods
3.1. Experimental Strains and Mineral Materials
3.1.1. Strains and Cultivation
3.1.2. Plasmid pAX01
3.1.3. Serpentine
3.1.4. Urease
3.2. Construction of Urease Gene Overexpression Vector and Engineered Strain
3.2.1. Construction of the Urease Gene Overexpression Vector
3.2.2. Construction of the Urease-Overexpressing Strain pAX01-Urease/WB800N
3.3. Growth and Urease Activity Assay of the Overexpression Strain
3.4. Analysis of Bacterial Weathering of Serpentine and Its Secondary Products
4. Conclusions
Supplementary Materials
Author Contributions
Funding
Data Availability Statement
Acknowledgments
Conflicts of Interest
References
- Sun, Q.B.; Lian, B. The different roles of carbonic anhydrases in wollastonite weathering accompanied by carbonation. Geochim. Cosmochim. Acta 2019, 244, 437–450. [Google Scholar] [CrossRef]
- Yu, Y.; Yue, J. Comparison of test methods for modification of cement-based materials using MICP technology. China Sci. 2021, 16, 382–389. [Google Scholar]
- Carter, E.L.; Hausinger, R.P. Characterization of the urease accessory protein ureD in fusion with the maltose binding protein. J. Bacteriol. 2010, 192, 2294–2304. [Google Scholar] [CrossRef] [PubMed]
- Real-Guerra, R.; Stanisçuaski, F.; Carlini, C.R. Soybean urease: Over a hundred years of knowledge. In A Comprehensive Survey of International Soybean Research-Genetics, Physiology, Agronomy and Nitrogen Relationships; Board, J., Ed.; IntechOpen: London, UK, 2013; pp. 317–339. [Google Scholar]
- Gebru, K.A.; Kidanemariam, T.G.; Gebretinsae, H.K. Bio-cement production using microbially induced calcite precipitation (MICP) method: A review. Chem. Eng. Sci. 2021, 238, 116610. [Google Scholar] [CrossRef]
- Callahan, B.P.; Yuan, Y.; Wolfenden, R. The burden borne by urease. J. Am. Chem. Soc. 2005, 127, 10828–10829. [Google Scholar] [CrossRef] [PubMed]
- Wen, K.; Li, Y.; Amini, F.; Li, L. Impact of bacteria and urease concentration on precipitation kinetics and crystal morphology of calcium carbonate. Acta Geotech. 2020, 15, 17–27. [Google Scholar] [CrossRef]
- Cui, M.; Fu, X.; Zheng, J.J.; Lü, S.Y.; Xiong, H.H.; Zeng, C.; Han, S.Y. Multivariate experimental study on soybean urease induced calcium carbonate precipitation. Rock Soil Mech. 2022, 43, 3027–3035. [Google Scholar]
- Qin, Y.; Cabral, J.M.S. Review properties and applications of urease. Biocatal. Biotransform. 2009, 20, 1–14. [Google Scholar] [CrossRef]
- Finlay, R.D.; Mahmood, S.; Rosenstock, N.; Bolou-Bi, E.B.; Köhler, S.J.; Fahad, Z.; Rosling, A.; Wallander, H.; Belyazid, S.; Bishop, K.; et al. Reviews and syntheses: Biological weathering and its consequences at different spatial levels—From nanoscale to global scale. Biogeosciences 2020, 17, 1507–1533. [Google Scholar] [CrossRef]
- Power, I.M.; Wilson, S.A.; Dipple, G.M. Serpentinite Carbonation for CO2 Sequestration. Elements 2013, 9, 115–121. [Google Scholar] [CrossRef]
- Cruz-Ramos, H.; Glaser, P.; Wray, L.V.; Fisher, S.H. The Bacillus subtilis ureABC operon. J. Bacteriol. 1997, 179, 3371–3373. [Google Scholar] [CrossRef] [PubMed]
- Fu, J.; Wang, H.; Chen, L.; Xue, J. Development status and trends of serpentine ore. Hydrometall. China 2007, 26, 132–135. [Google Scholar]
- Cheng, T.W.; Ding, Y.C.; Chiu, J.P. A study of synthetic forsterite refractory materials using waste serpentine cutting. Miner. Eng. 2002, 15, 271–275. [Google Scholar] [CrossRef]
- Li, Z.B.; Xu, J.; Teng, H.H.; Liu, L.W.; Chen, J.; Chen, Y.; Zhao, L.; Ji, J.F. Bioleaching of Lizardite by Magnesium- and Nickel-Resistant Fungal Isolate from Serpentinite Soils-Implication for Carbon Capture and Storage. Geomicrobiol. J. 2015, 32, 181–192. [Google Scholar] [CrossRef]
- Su, X.; Sun, C. Recovery pathway for serpentine tailings solid waste. China Ceram. Ind. 2010, 17, 37–39. [Google Scholar]
- Sheng, X.F.; Ji, J.F.; Chen, J. Potential of CO2 sequestration in ultramafic rocks of China. Quat. Sci. 2011, 31, 447–454. [Google Scholar]
- Liu, H.L.; Liu, X.R.; Li, X.F.; Fu, Z.Y.; Lian, B. The molecular regulatory mechanisms of the bacteria involved in serpentine weathering coupled with carbonation. Chem. Geol. 2021, 565, 120069. [Google Scholar] [CrossRef]
- Dai, G.; Xu, X.; Ding, C. Review of mechanism of microbial induced carbonate precipitation and its application in healing concrete cracks. China Concr. Cem. Prod. 2020, 1–7. [Google Scholar]
- Bachmeier, K.L.; Williams, A.E.; Warmington, J.R.; Bang, S.S. Urease activity in microbiologically-induced calcite precipitation. J. Biotechnol. 2002, 93, 171–181. [Google Scholar] [CrossRef]
- Li, X.F.; He, X.D.; Ren, K.Y.; Dong, H.L.; Lian, B. Mechanisms of carbonate precipitation induced by two model bacteria. Chem. Geol. 2023, 628, 121461. [Google Scholar] [CrossRef]
- Li, X.F.; Sun, M.L.; Zhang, L.T.; Finlay, R.D.; Liu, R.L.; Lian, B. Widespread bacterial responses and their mechanism of bacterial metallogenic detoxification under high concentrations of heavy metals. Ecotoxicol. Environ. Saf. 2022, 246, 114193. [Google Scholar] [CrossRef]
- Purgstaller, B.; Konrad, F.; Dietzel, M.; Immenhauser, A.; Mavromatis, V. Control of Mg2+/Ca2+ Activity Ratio on the Formation of Crystalline Carbonate Minerals via an Amorphous Precursor. Cryst. Growth Des. 2017, 17, 1069–1078. [Google Scholar] [CrossRef]
- Uroz, S.; Calvaruso, C.; Turpault, M.P.; Frey-Klett, P. Mineral weathering by bacteria: Ecology, actors and mechanisms. Trends Microbiol. 2009, 17, 378–387. [Google Scholar] [CrossRef] [PubMed]
- Wang, X.; Zhu, X.; Zhang, L.; Yu, C.; Lian, B. Synthesis of biogenic high-magnesium calcite and its experimental immobilization effect on Cd2+. Geomicrobiol. J. 2021, 38, 482–493. [Google Scholar] [CrossRef]
- Liu, R.L.; Lian, B. Immobilisation of Cd(II) on biogenic and abiotic calcium carbonate. J. Hazard. Mater. 2019, 378, 120707. [Google Scholar] [CrossRef]
- Lu, M.X.; Wang, X.X.; Li, Y.; Liu, H.L.; An, X.C.; Lian, B. Soil microbial community structure and environmental effects of serpentine weathering under different vegetative covers in the serpentine mining area of Donghai County, China. Sci. Total Environ. 2022, 835, 155452. [Google Scholar] [CrossRef]
- Miao, X.; Jiang, E.; Wang, J.; Du, Y. Using spectrophotometry with para-dimethyl-amino-benzaldehyde as chromogenic agent to determine macro and micro urea in aqueous solution. J. Northeast Agric. Univ. 2011, 42, 87–92. [Google Scholar]
- Klaic, P.M.A.; Nunes, A.M.; Moreira, A.D.; Vendruscolo, C.T.; Ribeiro, A.S. Determination of Na, K, Ca and Mg in xanthan gum: Sample treatment by acid digestion. Carbohydr. Polym. 2011, 83, 1895–1900. [Google Scholar] [CrossRef]





| Category | Composition | Application |
|---|---|---|
| medium A | 1 g NaCl, 1 g tryptone, 0.5 g yeast extract, 9 g sorbitol, dissolved in 100 mL ddH2O | Culture medium for preparing receptive cells of B. subtilis |
| medium B | 9.12 g mannitol, 9.1 g sorbitol, 10 mL 100% glycerol, dissolved in 100 mL ddH2O | Culture medium for preparing receptive cells of B. subtilis |
| Electroporation medium | 0.45 g sorbitol, 0.95 g trehalose, 0.46 g mannitol, 0.5 mL 100% glycerol, dissolved in 5 mL ddH2O | Culture medium during cell shock |
| Activating medium | 0.1 g NaCl, 0.1 g tryptone, 0.05 g yeast extract, 0.9 g sorbitol, 0.7 g mannitol, dissolved in 10 mL dd H2O | Cells must be revived in a hypertonic culture medium after an electric shock |
| Ampicillin-resistant LB medium | 1 g NaCl, 1 g tryptone, 0.5 g yeast extract, 100 mL ddH2O, ampicillin storage solution to a final concentration of 100 μg∙mL−1 | Screening of E. coli containing recombinant plasmid pAX01-Urease |
| Erythromycin-resistant LB medium | 1 g NaCl, 1 g tryptone, 0.5 g yeast extract, 100 mL ddH2O, erythromycin storage solution to make the final concentration of 50 μg∙mL−1 | Screening of B. subtilis culture medium containing recombinant plasmid pAX01-urease |
| Serpentine weathering coupled mineralization medium | 94.4 mL LB medium sterilized by high temperature and high pressure, 2 mL filtered sterilized xylose storage solution (0.5 g∙mL−1), 2 mL sterilized CaCl2 liquor (0.4 g∙mL−1), 0.6 mL urea mother liquor (0.5 g∙mL−1), 4 g serpentine | Weathering coupled mineralization culture of overexpression strains |
| Primers | Sequences 5′–3′ |
|---|---|
| Urease-F | CAAAGGGGGAAATGGGATCC ATGAAACTGACACCGGTT |
| Urease-R | GAAGAGTGCGGCCGCCCGCGGTTAAAATAAGAAATAACG’ |
| Pax-F | GTTGCCCTGGAGACAGGGG |
| Pax-R | GATATGGTGCAAGTCAGCACG |
| lacA-F | TCGTCTTCAAGAATGATGGGC |
| lacA-R | AAAGTCTACCGAGAAAAAACACG |
Disclaimer/Publisher’s Note: The statements, opinions and data contained in all publications are solely those of the individual author(s) and contributor(s) and not of MDPI and/or the editor(s). MDPI and/or the editor(s) disclaim responsibility for any injury to people or property resulting from any ideas, methods, instructions or products referred to in the content. |
© 2025 by the authors. Licensee MDPI, Basel, Switzerland. This article is an open access article distributed under the terms and conditions of the Creative Commons Attribution (CC BY) license.
Share and Cite
Nie, W.; Liu, X.; Ren, K.; Liu, Y.; Lian, B. Weathering and Coupled Mineralization of Serpentine by Urease Gene Overexpression Strain. Catalysts 2026, 16, 22. https://doi.org/10.3390/catal16010022
Nie W, Liu X, Ren K, Liu Y, Lian B. Weathering and Coupled Mineralization of Serpentine by Urease Gene Overexpression Strain. Catalysts. 2026; 16(1):22. https://doi.org/10.3390/catal16010022
Chicago/Turabian StyleNie, Wenjun, Xuerong Liu, Kaiyan Ren, Yitao Liu, and Bin Lian. 2026. "Weathering and Coupled Mineralization of Serpentine by Urease Gene Overexpression Strain" Catalysts 16, no. 1: 22. https://doi.org/10.3390/catal16010022
APA StyleNie, W., Liu, X., Ren, K., Liu, Y., & Lian, B. (2026). Weathering and Coupled Mineralization of Serpentine by Urease Gene Overexpression Strain. Catalysts, 16(1), 22. https://doi.org/10.3390/catal16010022

