Effect of Fermentation Response on Biosynthesis of Endopolygalacturonase from a Potent Strain of Bacillus by Utilizing Polymeric Substrates of Agricultural Origin
Abstract
1. Introduction
2. Results
2.1. Isolation, Identification and Screening of Bacillus subtilis
2.1.1. Scanning Electron Microscopy and Transmission Electron Microscopy of Isolated Bacillus Strain
2.1.2. Molecular Identification of the isolated strains
2.1.3. Evolutionary Relationships of Taxa
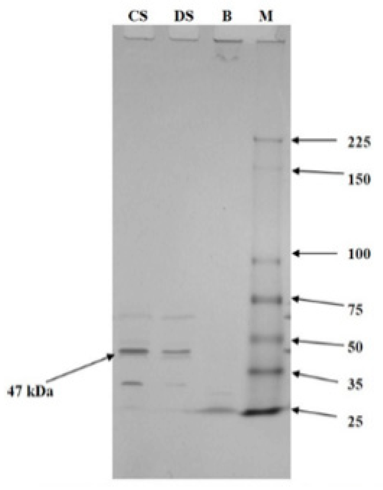
2.1.4. Partial Purification and SDS-PAGE Analysis
2.2. Standardization of Submerged Bioprocess Parameters
2.2.1. Optimization of Initial pH of the Fermentation Medium
2.2.2. Temperature Influence on EndoPGase Production Efficiency
2.2.3. Influence of Inducer-Substrate’s Induction on EndoPGase Activity
2.3. Fermentation Medium Optimization by Response Surface Methodology (RSM)
0.017 × B × C + 0.28 × A2 + 0.56 × B2 + 0.097 × C2
3. Materials and Methods
3.1. Screening of Pure Culture Strain
3.2. Qualitative Assay for Pectinolytic Activity
3.3. Scanning and Transmission Electron Microscopy (SEM)
3.4. Genetic Identification of the Isolate
3.4.1. Extraction and Purification of Genomic DNA
3.4.2. PCR Amplification
3.5. Submerged Fermentation Medium (SMF)
Enzyme Extraction and Endo-Polygalacturonase Enzyme Assay
3.6. Partial Purification and SDS-PAGE Analysis
3.7. Optimization Parameters
3.8. Statistical Method
4. Conclusions
Author Contributions
Funding
Institutional Review Board Statement
Informed Consent Statement
Data Availability Statement
Acknowledgments
Conflicts of Interest
References
- Urena, I.C. A Review of Natural and Engineered Enzymes Involved in Bioethanol Production. Master’s Thesis, University of Montana, Missoula, MT, USA, 2016. [Google Scholar]
- Chen, J.; Liu, W.; Liu, C.-M.; Li, T.; Liang, R.-H.; Luo, S.-J. Pectin Modifications: A Review. Crit. Rev. Food Sci. Nutr. 2015, 55, 1684–1698. [Google Scholar] [CrossRef] [PubMed]
- Nsude, C.A.; Ujah, I.I.; Achikanu, C.E.; Ezenwali, M.O.; Udaya, C.L.; Chilaka, F.C. Optimization of fermentation condition for pectinase production from Aspergillus flavus, using African star cherry pectin as a carbon source. Int. J. Ecol. Environ. Sci. 2019, 1, 15–19. [Google Scholar]
- Barman, S.; Sit, N.; Badwaik, L.S.; Deka, S.C. Pectinase Production by Aspergillus Niger Using Banana (Musa balbisiana) Peel as Substrate and Its Effect on Clarification of Banana Juice. J. Food Sci. Technol. 2014, 52, 3579–3589. [Google Scholar] [CrossRef] [PubMed][Green Version]
- Kubra, K.T.; Ali, S.; Walait, M.; Sundus, H. Potential Applications of Pectinases in Food, Agricultural and Environmental Sectors. Int. J. Pharm. Chem. Biol. Sci. 2018, 6, 23–34. [Google Scholar]
- Gummadi, S.N.; Panda, T. Purification and Biochemical Properties of Microbial Pectinases—A Review. Process Biochem. 2003, 38, 987–996. [Google Scholar] [CrossRef]
- Raju, E.V.N.; Divakar, G. Production of pectinase by using Bacillus circulans isolated from dump yards of vegetable wastes. Int. J. Pharm. Sci. Res. 2013, 4, 2615. [Google Scholar] [CrossRef]
- Garg, G.; Singh, A.; Kaur, A.; Singh, R.; Kaur, J.; Mahajan, R. Microbial Pectinases: An Ecofriendly Tool of Nature for Industries. 3 Biotech. 2016, 6, 47. [Google Scholar] [CrossRef]
- Rebello, S.; Anju, M.; Aneesh, E.M.; Sindhu, R.; Binod, P.; Pandey, A. Recent Advancements in the Production and Application of Microbial Pectinases: An Overview. Rev. Environ. Sci. Biotechnol. 2017, 16, 381–394. [Google Scholar] [CrossRef]
- Oumer, O.J. Pectinase: Substrate, Production and Their Biotechnological Applications. Int. J. Environ. Aagric. Biotech. 2017, 2, 1007–1014. [Google Scholar] [CrossRef]
- Oumer, O.J.; Abate, D. Screening and Molecular Identification of Pectinase Producing Microbes from Coffee Pulp. Biomed Res. Int. 2018, 2018, 2961767. [Google Scholar] [CrossRef]
- Oumer, O.J.; Abate, D. Comparative Studies of Pectinase Production by Bacillus subtilis Strain Btk 27 in Submerged and Solid-State Fermentations. Biomed Res. Int. 2018, 2018, 1514795. [Google Scholar] [CrossRef] [PubMed]
- Hoa, B.; Hung, P.V. Optimization of Nutritional Composition and Fermentation Conditions for Cellulase and Pectinase Production by Aspergillus oryzae Using Response Surface Methodology. Int. Food Res. J. 2013, 20, 3269–3274. [Google Scholar]
- Da Gama Ferreira, R.; Azzoni, A.R.; Freitas, S. Techno-Economic Analysis of the Industrial Production of a Low-Cost Enzyme Using E. coli: The Case of Recombinant β-Glucosidase. Biotechnol. Biofuels 2018, 11, 81. [Google Scholar] [CrossRef] [PubMed]
- Ahmed, T.; Rana, M.R.; Zzaman, W.; Ara, R.; Aziz, M.G. Optimization of Substrate Composition for Pectinase Production from Satkara (Citrus macroptera) Peel Using Aspergillus Niger-ATCC 1640 in Solid-State Fermentation. Heliyon 2021, 7, e08133. [Google Scholar] [CrossRef] [PubMed]
- Darah, I.; Haritharan, W.; Lim, S.H. Involvement of Physicochemical Parameters on Pectinase Production by Aspergillus niger HFD5A-1. J. Pure Appl. Microbiol. 2013, 7, 2541–2549. [Google Scholar]
- Managamuri, U.; Vijayalakshmi, M.; Poda, S.; Ganduri, V.S.R.K.; Babu, R.S. Optimization of Culture Conditions by Response Surface Methodology and Unstructured Kinetic Modeling for Bioactive Metabolite Production by Nocardiopsis litoralis VSM-8. 3 Biotech. 2016, 6, 219. [Google Scholar] [CrossRef] [PubMed]
- El-Sayed, M.H. Thermoalkali-stable pectinase from Bacillus subtilis strain NVFO 19 isolated from agricultural waste dump soil. Curr. Res. Microbiol. Biotechnol. 2015, 3, 805–815. [Google Scholar]
- Aaisha, G.A.; Barate, D.L. Isolation and Identification of Pectinolytic Bacteria from Soil Samples of Akola Region, India. Int. J. Curr. Microbiol. Appl. Sci. 2016, 5, 514–521. [Google Scholar] [CrossRef]
- Kavuthodi, B.; Thomas, S.; Sebastian, D. Co-Production of Pectinase and Biosurfactant by the Newly Isolated Strain Bacillus subtilis BKDS1. Br. Microbiol. Res. J. 2015, 10, 1–12. [Google Scholar] [CrossRef]
- Singh, A.; Kaur, A.; Dua, A.; Mahajan, R. An Efficient and Improved Methodology for the Screening of Industrially Valuable Xylano-Pectino-Cellulolytic Microbes. Enzyme Res. 2015, 2015, 725281. [Google Scholar] [CrossRef] [PubMed]
- Sridevi, K.; SivaRaagini, P.; Sumanth, M.; Vijalakshmi, K. Isolation and Screening of Pectinolytic Bacteria from the Mango Fruit Yards. World J. Pharm. Pharm. Sci. 2015, 5, 738–748. [Google Scholar]
- Kumari, B.; Lalitha, P.; Sudhakar, K.; Hemamalini, N.; Sree, S.; Vijetha, P. Studies on pectinase production by Bacillus subtilis using agro-industrial wastes. Res. J. Pharm. Biol. Chem. Sci. 2015, 5, 330–339. [Google Scholar]
- Kumari, B.L.; Lalitha, R.; Sudhakar, P. Studies on Isolation, Purification and Molecular Identification of Pectinase Producing Bacteria. Int. J. Adv. Res. 2013, 1, 204–2012. [Google Scholar]
- Kusuma, M.P.; Reddy, D.S.R. Optimization of Polygalacturonase using isolated Bacillus subtilis C4 by submerged fermentation. J. Pharm. Res. 2014, 8, 106–112. [Google Scholar]
- Nawawi, M.H.; Mohamad, R.; Tahir, P.M.; Saad, W.Z. Extracellular Xylanopectinolytic Enzymes by Bacillus subtilis ADI1 from EFB’s Compost. Int. Sch. Res. Not. 2017, 2017, 7831954. [Google Scholar] [CrossRef] [PubMed]
- Kaur, S.J.; Gupta, V.K. Production of Pectinolytic Enzymes Pectinase and Pectin Lyase by Bacillus subtilis SAV-21 in Solid State Fermentation. Ann. Microbiol. 2017, 67, 333–342. [Google Scholar] [CrossRef]
- Adeyefa, O.M.; Ebuehi, O.A.T. Isolation, Identification and Characterization of Pectinase Producers from Agro Wastes (Citrus sinensis and Ananas comosus). World J. Agric. Soil Sci. 2020, 4, 1–6. [Google Scholar] [CrossRef]
- Shrestha, S.; Khatiwada, J.R.; Zhang, X.; Chio, C.; Kognou, A.L.M.; Chen, F.; Han, S.; Chen, X.; Qin, W. Screening and Molecular Identification of Novel Pectinolytic Bacteria from Forest Soil. Fermentation 2021, 7, 40. [Google Scholar] [CrossRef]
- Zhang, J.; Bilal, M.; Liu, S.; Zhang, J.; Lu, H.; Luo, H.; Luo, C.; Shi, H.; Iqbal, H.M.N.; Zhao, Y. Isolation, Identification and Antimicrobial Evaluation of Bactericides Secreting Bacillus subtilis Natto as a Biocontrol Agent. Processes 2020, 8, 259. [Google Scholar] [CrossRef]
- Saitou, N.; Nei, M. The Neighbor-Joining Method: A New Method for Reconstructing Phylogenetic Trees. Mol. Biol. Evol. 1987, 4, 406–425. [Google Scholar] [CrossRef]
- Felsenstein, J. Confidence Limits on Phylogenies: An Approach Using the Bootstrap. Evolution 1985, 39, 783–791. [Google Scholar] [CrossRef] [PubMed]
- Tamura, K.; Nei, M.; Kumar, S. Prospects for Inferring Very Large Phylogenies by Using the Neighbor-Joining Method. Proc. Natl. Acad. Sci. USA 2004, 101, 11030–11035. [Google Scholar] [CrossRef] [PubMed]
- Tamura, K. MEGA 11: Molecular Evolutionary Genetics Analysis Version 11. Mol. Biol. Evol. 2021, 38, 3022–3027. [Google Scholar] [CrossRef] [PubMed]
- Fratebianchi, D.; Cavello, I.A.; Cavalitto, S.F. Purification and Biochemical and Kinetic Properties of an Endo-Polygalacturonase from the Industrial Fungus Aspergillus sojae. Microb. Physiol. 2017, 27, 102–109. [Google Scholar] [CrossRef] [PubMed]
- Zhang, G.; Li, S.; Xu, Y.; Wang, J.; Wang, F.; Xin, Y.; Shen, Z.; Zhang, H.; Ma, M.; Liu, H. Production of Alkaline Pectinase: A Case Study Investigating the Use of Tobacco Stalk with the Newly Isolated Strain Bacillus tequilensis Cas-Mei-2-33. BMC Biotechnol. 2019, 19, 45. [Google Scholar] [CrossRef]
- Anand, G.; Yadav, S.; Yadav, D. Purification and Characterization of Polygalacturonase from Aspergillus fumigatus MTCC 2584 and Elucidating Its Application in Retting of Crotalaria juncea Fiber. 3 Biotech. 2016, 6, 201. [Google Scholar] [CrossRef]
- Doan, C.T.; Chen, C.-L.; Nguyen, V.B.; Tran, T.N.; Nguyen, A.D.; Wang, S.-L. Conversion of Pectin-Containing by-Products to Pectinases by Bacillus amyloliquefaciens and Its Applications on Hydrolyzing Banana Peels for Prebiotics Production. Polymers 2021, 13, 1483. [Google Scholar] [CrossRef]
- Nazir, Z.; Ijaz, S.; Gul, R.; Saleem, M. Purification and Characterization of an Acidic Polygalacturonase from Grapes and Its Potential to Improve Juice Quality. Pak. J. Zool. 2019, 51, 1387–1402. [Google Scholar] [CrossRef]
- Mat Jalil, M.; Ibrahim, D. Partial Purification and Characterisation of Pectinase Produced by Aspergillus niger LFP-1 Grown on Pomelo Peels as a Substrate. Trop. Life Sci. Res. 2021, 32, 1–22. [Google Scholar] [CrossRef]
- Munir, N.; Asad, J.; Haidri, S.H. Purification and Characterization of Endopolygalacturonase by Bacillus subtillus. Biochem. Anal. Biochem. 2015, 4, 1–12. [Google Scholar] [CrossRef]
- Aminzadeh, S.; Naderi-Manesh, H.; Khajeh, K.; Naderi-Manesh, M. Purification, Characterization, Kinetic Properties, and Thermal Behavior of Extracellular Polygalacturonase Produced by Filamentous Fungus Tetracoccosporium sp. Appl. Biochem. Biotechnol. 2006, 135, 193–208. [Google Scholar] [CrossRef]
- Vasanthi, M. Optimization of pectinase enzyme production by using sour orange peel as substrate in solid state fermentation. Asian J. Biomed. Pharm. 2012, 2, 16–26. [Google Scholar]
- Demir, N.; Nadaroglu, H.; Demir, Y.; Isik, C.; Taskin, E.; Adiguzel, A.; Gulluce, M. Purification and Characterization of an Alka-line Pectin Lyase Produced by a Newly Isolated Brevibacillus borstelensis (P35) and Its Applications in Fruit Juice and Oil Extraction. Eur. Food Res. Technol. 2014, 239, 127–135. [Google Scholar] [CrossRef]
- Jahan, N.; Shahid, F.; Aman, A.; Mujahid, T.Y.; Qader, S.A.U. Utilization of Agro Waste Pectin for the Production of Industrially Important Polygalacturonase. Heliyon 2017, 3, e00330. [Google Scholar] [CrossRef] [PubMed]
- Ahlawat, S.; Dhiman, S.S.; Battan, B.; Mandhan, R.P.; Sharma, J. Pectinase Production by Bacillus subtilis and Its Potential Application in Biopreparation of Cotton and Micropoly Fabric. Process Biochem. 2009, 44, 521–526. [Google Scholar] [CrossRef]
- Beg, Q.K.; Bhushan, B.; Kapoor, M.; Hoondal, G.S. Production and Characterization of Thermostable Xylanase and Pectinase from Streptomyces sp. QG-11-3. J. Ind. Microbio. Biotechnol. 2000, 24, 396–402. [Google Scholar] [CrossRef]
- Pathania, S.; Sharma, N.; Handa, S. Optimization of Culture Conditions Using Response Surface Methodology for Synergism Production of Cellulase, Xylanase and Pectinase by Rhizopus delemar F2 under Solid State Fermentation. J. Pharmacogn. Phytochem. 2017, 6, 1872–1878. [Google Scholar]
- Ezeilo, U.; Lee, C.; Huyop, F.; Zakaria, I.; Wahab, R. Raw Oil Palm Frond Leaves as Cost-Effective Substrate for Cellulase and Xylanase Productions by Trichoderma asperellum UC1 under Solid-State Fermentation. J Environ. Manag. 2019, 243, 206–217. [Google Scholar] [CrossRef]
- Ezeilo, U.; Wahab, R.; Mahat, N. Optimization Studies on Cellulase and Xylanase Production by Rhizopus oryzae UC2 Using Raw Oil Palm Frond Leaves as Substrate under Solid State Fermentation. Renew. Energy 2020, 156, 1301–1312. [Google Scholar] [CrossRef]
- Soares, M.M.; Da Silva, R.; Carmona, E.C.; Gomes, E. Pectinolytic enzyme production by Bacillus Species and their potential application on juice extraction. World J. Microbiol. Biotechnol. 2001, 17, 79–82. [Google Scholar] [CrossRef]
- Shah, T.A.; Lee, C.C.; Orts, W.J.; Tabassum, R. Biological Pretreatment of Rice Straw by Ligninolytic Bacillus sp. Strains for Enhancing Biogas Production. Environ. Prog. Sustain. Energy 2018, 38, e13036. [Google Scholar] [CrossRef]
- Regmi, S.; Yoo, H.Y.; Choi, Y.H.; Choi, Y.S.; Yoo, J.C.; Kim, S.W. Prospects for Bio-Industrial Application of an Extremely Alkaline Mannanase from Bacillus subtilis subsp. inaquosorum CSB31. Biotechnol. J. 2017, 12, 1700113. [Google Scholar] [CrossRef]
- Spurr, A.R. A Low-Viscosity Epoxy Resin Embedding Medium for Electron Microscopy. J. Ultrastruc. Res. 1969, 26, 31–43. [Google Scholar] [CrossRef]
- Shah, T.A.; Ali, S.; Afzal, A.; Tabassum, R. Simultaneous Pretreatment and Biohydrogen Production from Wheat Straw by Newly Isolated Ligninolytic Bacillus sp. Strains with Two-Stage Batch Fermentation System. Bioenergy Res. 2018, 11, 835–849. [Google Scholar] [CrossRef]
- Saleem, A.; Umar, H.; Shah, T.A.; Tabassum, R. Fermentation of Simple and Complex Substrates to Biohydrogen Using Pure Bacillus cereus RTUA and RTUB Strains. Environ. Technol. Innov. 2020, 18, 100704. [Google Scholar] [CrossRef]
- Bibi, N.; Ali, S.; Tabassum, R. Statistical Optimization of Pectinase Biosynthesis from Orange Peel by Bacillus licheniformis Using Submerged Fermentation. Waste Biomass Valorization 2016, 7, 467–481. [Google Scholar] [CrossRef]
- Maciel, M.H.C.; Herculano, P.N.; Porto, T.S.; Teixeira, M.F.S.; Moreira, K.A.; de Souza-Motta, C.M. Production and Partial Characterization of Pectinases from Forage Palm by Aspergillus niger URM4645. Afr. J. Biotechnol. 2011, 10, 2469–2475. [Google Scholar]
- Miller, G.L. Use of Dinitrosalicylic Acid Reagent for Determination of Reducing Sugar. Anal. Chem. 1959, 31, 426–428. [Google Scholar] [CrossRef]
- Rafique, N.; Bashir, S.; Khan, M.Z.; Hayat, I.; Orts, W.; Wong, D.W. Metabolic Engineering of Bacillus subtilis with an Endopolygalacturonase Gene Isolated from Pectobacterium. carotovorum; a Plant Pathogenic Bacterial Strain. PLoS ONE 2021, 16, e0256562. [Google Scholar] [CrossRef]









| Source | Sum of Squares | df | Mean Square | F-Value | p-Value |
|---|---|---|---|---|---|
| Model | 10.22 | 9 | 1.14 | 9.50 | 0.0116 * |
| A-×1 | 0.87 | 1 | 0.87 | 7.28 | 0.0429 * |
| B-×2 | 0.43 | 1 | 0.43 | 3.62 | 0.1154 |
| C-×3 | 3.19 | 1 | 3.19 | 26.68 | 0.0036 ** |
| AB | 1.59 | 1 | 1.59 | 13.32 | 0.0148 * |
| AC | 2.76 | 1 | 2.76 | 23.14 | 0.0048 ** |
| BC | 1.182 × 10−3 | 1 | 1.182 × 10−3 | 9.891× 10−3 | 0.9246 |
| A2 | 0.29 | 1 | 0.29 | 2.44 | 0.1789 |
| B2 | 1.16 | 1 | 1.16 | 9.68 | 0.0265 |
| C2 | 0.035 | 1 | 0.035 | 0.29 | 0.6130 |
| Residual | 0.60 | 5 | 0.12 | ||
| Lack of Fit | 0.60 | 3 | 0.20 | ||
| Pure Error | 0.000 | 2 | 0.000 | ||
| Cor Total | 10.82 | 14 |
Publisher’s Note: MDPI stays neutral with regard to jurisdictional claims in published maps and institutional affiliations. |
© 2022 by the authors. Licensee MDPI, Basel, Switzerland. This article is an open access article distributed under the terms and conditions of the Creative Commons Attribution (CC BY) license (https://creativecommons.org/licenses/by/4.0/).
Share and Cite
Rafique, N.; Ijaz, R.; Khan, M.Z.; Rafiq, S.; Hayat, I.; Hussain, I.; Ahmad, K.S.; Tabassum, R.; Xie, Z. Effect of Fermentation Response on Biosynthesis of Endopolygalacturonase from a Potent Strain of Bacillus by Utilizing Polymeric Substrates of Agricultural Origin. Catalysts 2022, 12, 875. https://doi.org/10.3390/catal12080875
Rafique N, Ijaz R, Khan MZ, Rafiq S, Hayat I, Hussain I, Ahmad KS, Tabassum R, Xie Z. Effect of Fermentation Response on Biosynthesis of Endopolygalacturonase from a Potent Strain of Bacillus by Utilizing Polymeric Substrates of Agricultural Origin. Catalysts. 2022; 12(8):875. https://doi.org/10.3390/catal12080875
Chicago/Turabian StyleRafique, Nagina, Raina Ijaz, Muhammad Zubair Khan, Saima Rafiq, Imran Hayat, Imtiaz Hussain, Khawaja Shafique Ahmad, Romana Tabassum, and Zhijian Xie. 2022. "Effect of Fermentation Response on Biosynthesis of Endopolygalacturonase from a Potent Strain of Bacillus by Utilizing Polymeric Substrates of Agricultural Origin" Catalysts 12, no. 8: 875. https://doi.org/10.3390/catal12080875
APA StyleRafique, N., Ijaz, R., Khan, M. Z., Rafiq, S., Hayat, I., Hussain, I., Ahmad, K. S., Tabassum, R., & Xie, Z. (2022). Effect of Fermentation Response on Biosynthesis of Endopolygalacturonase from a Potent Strain of Bacillus by Utilizing Polymeric Substrates of Agricultural Origin. Catalysts, 12(8), 875. https://doi.org/10.3390/catal12080875

