Brain Tumour Classification Using Noble Deep Learning Approach with Parametric Optimization through Metaheuristics Approaches
Abstract
1. Introduction
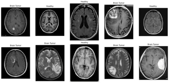
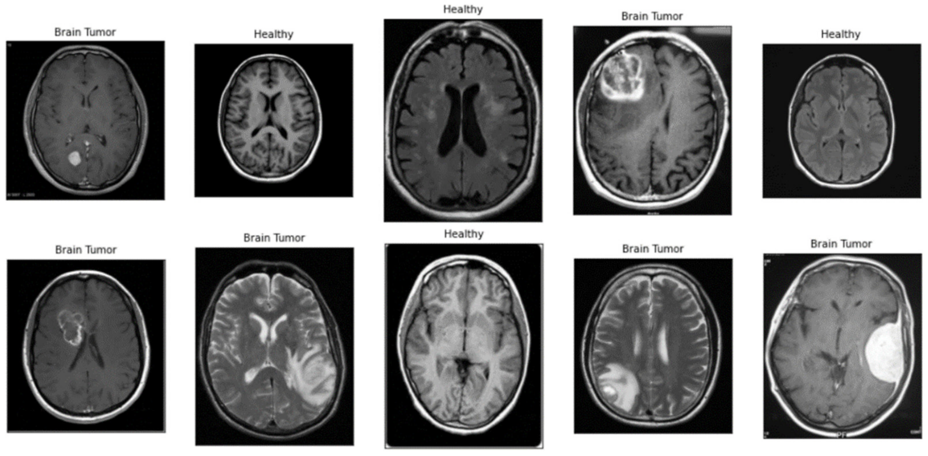
2. Proposed CNN Model in Brain Tumour Dataset
3. Optimization Approaches
3.1. Sunflower Optimization Algorithm (SFOA)
3.2. Forensic-Based Investigation Algorithm (FBIA)
3.3. Material Generation Algorithm (MGA)
4. Results and Discussion
5. Conclusions
Author Contributions
Funding
Institutional Review Board Statement
Informed Consent Statement
Data Availability Statement
Acknowledgments
Conflicts of Interest
References
- Gondal, A.H.; Khan, M.N.A. A Review of Fully Automated Techniques for Brain Tumor Detection from MR Images. Int. J. Mod. Educ. Comput. Sci. Rev. 2013, 5, 55. [Google Scholar] [CrossRef][Green Version]
- Iftekharuddin, K.M. Techniques in Fractal Analysis and Their Applications in Brain MRI. Med. Imaging Syst. Technol. Anal. Comput. Methods World Sci. 2005, 1, 63–86. [Google Scholar]
- Wang, D.; Doddrell, D. A Segmentation-Based and Partial-Volume-Compensated Method for an Accurate Measurement of Lateral Ventricular Volumes on T1-Weighted Magnetic Resonance Images. Magn. Reson. Imaging 2001, 19, 267–273. [Google Scholar] [CrossRef]
- Krishnamurthy, A.K.; Ahalt, S.C.; Melton, D.E.; Chen, P. Neural Networks for Vector Quantization of Speech and Images. IEEE J. Select. Areas Commun. 1990, 8, 1449–1457. [Google Scholar] [CrossRef]
- Zhao, X.; Wu, Y.; Song, G.; Li, Z.; Zhang, Y.; Fan, Y. A Deep Learning Model Integrating FCNNs and CRFs for Brain Tumor Segmentation. Med. Image Anal. 2018, 43, 98–111. [Google Scholar] [CrossRef]
- Wang, G.; Zuluaga, M.A.; Pratt, R.; Aertsen, M.; Doel, T.; Klusmann, M.; David, A.L.; Deprest, J.; Vercauteren, T.; Ourselin, S. Slic-Seg: A Minimally Interactive Segmentation of the Placenta from Sparse and Motion-Corrupted Fetal MRI in Multiple Views. Med. Image Anal. 2016, 34, 137–147. [Google Scholar] [CrossRef]
- Top, A.; Hamarneh, G.; Abugharbieh, R. Active Learning for Interactive 3D Image Segmentation. In Proceedings of the International Conference on Medical Image Computing and Computer-Assisted Intervention, Toronto, ON, Canada, 18–22 September 2011; Springer: Berlin/Heidelberg, Germany, 2011; pp. 603–610. [Google Scholar]
- Rother, C.; Kolmogorov, V.; Blake, A. “GrabCut” Interactive Foreground Extraction Using Iterated Graph Cuts. ACM Trans. Gr. 2004, 23, 309–314. [Google Scholar] [CrossRef]
- Havaei, M.; Davy, A.; Warde-Farley, D.; Biard, A.; Courville, A.; Bengio, Y.; Pal, C.; Jodoin, P.M.; Larochelle, H. Brain Tumor Segmentation with Deep Neural Networks. Med. Image Anal. 2017, 35, 18–31. [Google Scholar] [CrossRef] [PubMed]
- Bauer, S.; Wiest, R.; Nolte, L.-P.; Reyes, M. A Survey of MRI-Based Medical Image Analysis for Brain Tumor Studies. Phys. Med. Biol. 2013, 58, R97. [Google Scholar] [CrossRef]
- Rehman, A.; Khan, M.A.; Saba, T.; Mehmood, Z.; Tariq, U.; Ayesha, N. Microscopic Brain Tumor Detection and Classification Using 3D CNN and Feature Selection Architecture. Microsc. Res. Tech. 2021, 84, 133–149. [Google Scholar] [CrossRef] [PubMed]
- Reza, S.; Iftekharuddin, K. Improved Brain Tumor Tissue Segmentation Using Texture Features. Proc. MICCAI BraTS 2014, 10134, 27–30. [Google Scholar]
- Goetz, M.; Weber, C.; Bloecher, J.; Stieltjes, B.; Meinzer, H.-P.; Maier-Hein, K. Extremely Randomized Trees Based Brain Tumor Segmentation. In Proceedings of the BRATS Challange-MICCAI, Boston, MA, USA, 14 September 2014; pp. 006–011. [Google Scholar]
- Kleesiek, J.; Biller, A.; Urban, G.; Kothe, U.; Bendszus, M.; Hamprecht, F. Ilastik for Multi-Modal Brain Tumor Segmentation. Proc. MICCAI BraTS 2014, 12–17. [Google Scholar]
- Sarhan, A.M. Brain Tumor Classification in Magnetic Resonance Images Using Deep Learning and Wavelet Transform. J. Biomed. Sci. Eng. Appl. Artif. Intell. 2020, 13, 102. [Google Scholar] [CrossRef]
- Siar, M.; Teshnehlab, M. Brain Tumor Detection Using Deep Neural Network and Machine Learning Algorithm. In Proceedings of the 2019 9th International Conference on Computer and Knowledge Engineering (ICCKE), Mashhad, Iran, 24–25 October 2019; pp. 363–368. [Google Scholar]
- Roy, S.; Bandyopadhyay, S.K. Detection and Quantification of Brain Tumor from MRI of Brain and Its Symmetric Analysis. Int. J. Inform. Commun. Technol. Res. 2012, 2, 477–483. [Google Scholar]
- Mittal, M.; Goyal, L.M.; Kaur, S.; Kaur, I.; Verma, A.; Hemanth, D.J. Deep Learning Based Enhanced Tumor Segmentation Approach for MR Brain Images. Appl. Soft Comput. 2019, 78, 346–354. [Google Scholar] [CrossRef]
- Raja, P.S. Brain Tumor Classification Using a Hybrid Deep Autoencoder with Bayesian Fuzzy Clustering-Based Segmentation Approach. Biocybern. Biomed. Eng. 2020, 40, 440–453. [Google Scholar] [CrossRef]
- Mustaqeem, A.; Javed, A.; Fatima, T. An Efficient Brain Tumor Detection Algorithm Using Watershed & Thresholding Based Segmentation. Int. J. Image Gr. Signal Process. 2012, 4, 34. [Google Scholar]
- Vaidhya, K.; Thirunavukkarasu, S.; Alex, V.; Krishnamurthi, G. Multi-Modal Brain Tumor Segmentation Using Stacked Denoising Autoencoders. In BrainLes 2015; Springer: Berlin/Heidelberg, Germany, 2015; pp. 181–194. [Google Scholar]
- Agn, M.; Puonti, O.; af Rosenschöld, P.M.; Law, I.; Van Leemput, K. Brain Tumor Segmentation Using a Generative Model with an RBM Prior on Tumor Shape. In BrainLes 2015; Springer: Berlin/Heidelberg, Germany, 2015; pp. 168–180. [Google Scholar]
- Jia, Z.; Chen, D. Brain Tumor Identification and Classification of MRI Images Using Deep Learning Techniques. IEEE Access 2020, 1–10. [Google Scholar] [CrossRef]
- Mahalakshmi, S.; Velmurugan, T. Detection of Brain Tumor by Particle Swarm Optimization Using Image Segmentation. Indian J. Sci. Technol. 2015, 8, 1. [Google Scholar] [CrossRef]
- Mansour, R.F.; Escorcia-Gutierrez, J.; Gamarra, M.; Díaz, V.G.; Gupta, D.; Kumar, S. Artificial Intelligence with Big Data Analytics-Based Brain Intracranial Hemorrhage E-Diagnosis Using CT Images. Neural Comput. Appl. 2021, 1–17. [Google Scholar] [CrossRef]
- Reddy, A.V.N.; Krishna, C.P.; Mallick, P.K.; Satapathy, S.K.; Tiwari, P.; Zymbler, M.; Kumar, S. Analyzing MRI Scans to Detect Glioblastoma Tumor Using Hybrid Deep Belief Networks. J. Big Data 2020, 7, 1–17. [Google Scholar] [CrossRef]
- Havaei, M.; Dutil, F.; Pal, C.; Larochelle, H.; Jodoin, P.-M. A Convolutional Neural Network Approach to Brain Tumor Segmentation. In BrainLes 2015; Springer: Berlin/Heidelberg, Germany, 2015; pp. 195–208. [Google Scholar]
- Pradhan, A.; Mishra, D.; Das, K.; Panda, G.; Kumar, S.; Zymbler, M. On the Classification of MR Images Using “ELM-SSA” Coated Hybrid Model. Mathematics 2021, 9, 2095. [Google Scholar] [CrossRef]
- Kamnitsas, K.; Ledig, C.; Newcombe, V.F.; Simpson, J.P.; Kane, A.D.; Menon, D.K.; Rueckert, D.; Glocker, B. Efficient Multi-Scale 3D CNN with Fully Connected CRF for Accurate Brain Lesion Segmentation. Med. Image Anal. 2017, 36, 61–78. [Google Scholar] [CrossRef] [PubMed]
- Yi, D.; Zhou, M.; Chen, Z.; Gevaert, O. 3-D Convolutional Neural Networks for Glioblastoma Segmentation. arXiv 2016, arXiv:1611.04534v1. [Google Scholar]
- El-Dahshan, E.-S.A.; Mohsen, H.M.; Revett, K.; Salem, A.-B.M. Computer-Aided Diagnosis of Human Brain Tumor through MRI: A Survey and a New Algorithm. Expert Syst. Appl. 2014, 41, 5526–5545. [Google Scholar] [CrossRef]
- Dong, H.; Yang, G.; Liu, F.; Mo, Y.; Guo, Y. Automatic Brain Tumor Detection and Segmentation Using U-Net Based Fully Convolutional Networks. In Medical Image Understanding and Analysis. MIUA 2017; Valdés Hernández, M., González-Castro, V., Eds.; Springer: Cham, Switzerland, 2017. [Google Scholar] [CrossRef]
- Padole, V.B.; Chaudhari, D. Detection of Brain Tumor in MRI Images Using Mean Shift Algorithm and Normalized Cut Method. Int. J. Eng. Adv. Technol. 2012, 1, 53–56. [Google Scholar]
- Brain MRI Images for Brain Tumor Detection. 2019. Available online: https://www.kaggle.com/navoneel/brain-mri-images-for-brain-tumor-detection (accessed on 12 October 2021).
- Brain MRI Image 100% Accuracy. 2021. Available online: https://www.kaggle.com/code/vexxingbanana/brain-mri-image-100-accuracy/notebook (accessed on 12 October 2021).
- Gomes, G.F.; Giovani, R.S. An efficient Two-Step Damage Identification Method Using Sunflower Optimization Algorithm and Mode Shape Curvature (MSDBI–SFO). Eng. Comput. 2020, 1–20. [Google Scholar] [CrossRef]
- Francisco, M.B.; Pereira, J.L.J.; Oliver, G.A.; da Silva, F.H.S.; da Cunha, S.S., Jr.; Gomes, G.F. Multiobjective Design Optimization of CFRP Isogrid Tubes Using Sunflower Optimization Based on Metamodel. Comput. Struct. 2021, 249, 106508. [Google Scholar] [CrossRef]
- El-Sehiemy, R.A.; Hamida, M.A.; Mesbahi, T. Parameter Identification and State-of-Charge Estimation for Lithium-Polymer Battery Cells Using Enhanced Sunflower Optimization Algorithm. Int. J. Hydrog. Energy 2020, 45, 8833–8842. [Google Scholar] [CrossRef]
- Qais, M.H.; Hasanien, H.M.; Alghuwainem, S. Identification of Electrical Parameters for Three-Diode Photovoltaic Model Using Analytical and Sunflower Optimization Algorithm. Appl. Energy 2019, 250, 109–117. [Google Scholar] [CrossRef]
- Sasank, V.V.S.; Vankateswarlu, S. An Automatic Tumour Growth Prediction Based Segmentation Using Full Resolution Convolutional Network for Brain Tumour. Biomed. Signal Process. Control 2022, 71, 103090. [Google Scholar] [CrossRef]
- Chou, J.S.; Nguyen, N.M. FBI Inspired Meta-Optimization. Appl. Soft Comput. 2020, 93, 106339. [Google Scholar] [CrossRef]
- Kuyu, Y.Ç.; Vatansever, F. Modified Forensic-Based Investigation Algorithm for Global Optimization. Eng. Comput. 2021, 1–22. [Google Scholar] [CrossRef]
- Shaheen, A.M.; Ginidi, A.R.; El-Sehiemy, R.A.; Ghoneim, S.S. A Forensic-Based Investigation Algorithm for Parameter Extraction of Solar Cell Models. IEEE Access 2020, 9, 1–20. [Google Scholar] [CrossRef]
- Fathy, A.; Rezk, H.; Alanazi, T.M. Recent Approach of Forensic-Based Investigation Algorithm for Optimizing Fractional Order PID-Based MPPT with Proton Exchange Membrane Fuel Cell. IEEE Access 2021, 9, 18974–18992. [Google Scholar] [CrossRef]
- Talatahari, S.; Azizi, M.; Gandomi, A.H. Material Generation Algorithm: A Novel Metaheuristic Algorithm for Optimization of Engineering Problems. Processes 2021, 9, 859. [Google Scholar] [CrossRef]






| Sl. No. | Training Size | Learning Rate | No. of Epochs | Training Loss |
|---|---|---|---|---|
| 1 | 0.85 | 0.0001 | 10 | 0.037515 |
| 2 | 0.85 | 0.0002 | 20 | 0.16 |
| 3 | 0.85 | 0.0003 | 30 | 0.041045 |
| 4 | 0.9 | 0.0001 | 20 | 0.099357 |
| 5 | 0.9 | 0.0002 | 30 | 0.077585 |
| 6 | 0.9 | 0.0003 | 10 | 0.05669 |
| 7 | 0.95 | 0.0001 | 30 | 0.017702 |
| 8 | 0.95 | 0.0002 | 10 | 0.066966 |
| 9 | 0.95 | 0.0003 | 20 | 0.07958 |
| Sl. No. | Proposed Optimization Approaches | Optimal Parametric Setting | Response | ||
|---|---|---|---|---|---|
| Training Size | Learning Rate | No. of Epochs | Training Loss | ||
| 1 | Sunflower Optimization Algorithm | 0.95 | 0.0001 | 30 | 0.017556 |
| 2 | Forensic-Based Investigation Algorithm | 0.85 | 0.0001 | 29.99 | −0.002174 |
| 3 | Material Generation Algorithm | 0.95 | 0.0001 | 30 | 0.010996 |
Publisher’s Note: MDPI stays neutral with regard to jurisdictional claims in published maps and institutional affiliations. |
© 2022 by the authors. Licensee MDPI, Basel, Switzerland. This article is an open access article distributed under the terms and conditions of the Creative Commons Attribution (CC BY) license (https://creativecommons.org/licenses/by/4.0/).
Share and Cite
Nayak, D.R.; Padhy, N.; Mallick, P.K.; Bagal, D.K.; Kumar, S. Brain Tumour Classification Using Noble Deep Learning Approach with Parametric Optimization through Metaheuristics Approaches. Computers 2022, 11, 10. https://doi.org/10.3390/computers11010010
Nayak DR, Padhy N, Mallick PK, Bagal DK, Kumar S. Brain Tumour Classification Using Noble Deep Learning Approach with Parametric Optimization through Metaheuristics Approaches. Computers. 2022; 11(1):10. https://doi.org/10.3390/computers11010010
Chicago/Turabian StyleNayak, Dillip Ranjan, Neelamadhab Padhy, Pradeep Kumar Mallick, Dilip Kumar Bagal, and Sachin Kumar. 2022. "Brain Tumour Classification Using Noble Deep Learning Approach with Parametric Optimization through Metaheuristics Approaches" Computers 11, no. 1: 10. https://doi.org/10.3390/computers11010010
APA StyleNayak, D. R., Padhy, N., Mallick, P. K., Bagal, D. K., & Kumar, S. (2022). Brain Tumour Classification Using Noble Deep Learning Approach with Parametric Optimization through Metaheuristics Approaches. Computers, 11(1), 10. https://doi.org/10.3390/computers11010010

