Chemotherapy Enrichment of ID Family Expression Is Associated with IL-6 Signaling in Ovarian Cancer
Simple Summary
Abstract
1. Introduction
2. Materials and Methods
2.1. Cell Lines and Culture Conditions
2.2. Public Database Analysis
2.3. Gene Expression by qRT-PCR
2.4. Lysate Preparation and Western Immunoblotting
2.5. Animal Experiments
2.6. Immunohistochemistry (IHC)
2.7. Spheroid Assays
2.8. Chemosensitivity Assays
2.9. Flow Cytometry
2.10. Enzyme-Linked Immunosorbent Assay (ELISA)
2.11. siRNA Transfections
2.12. Statistical Analysis
3. Results
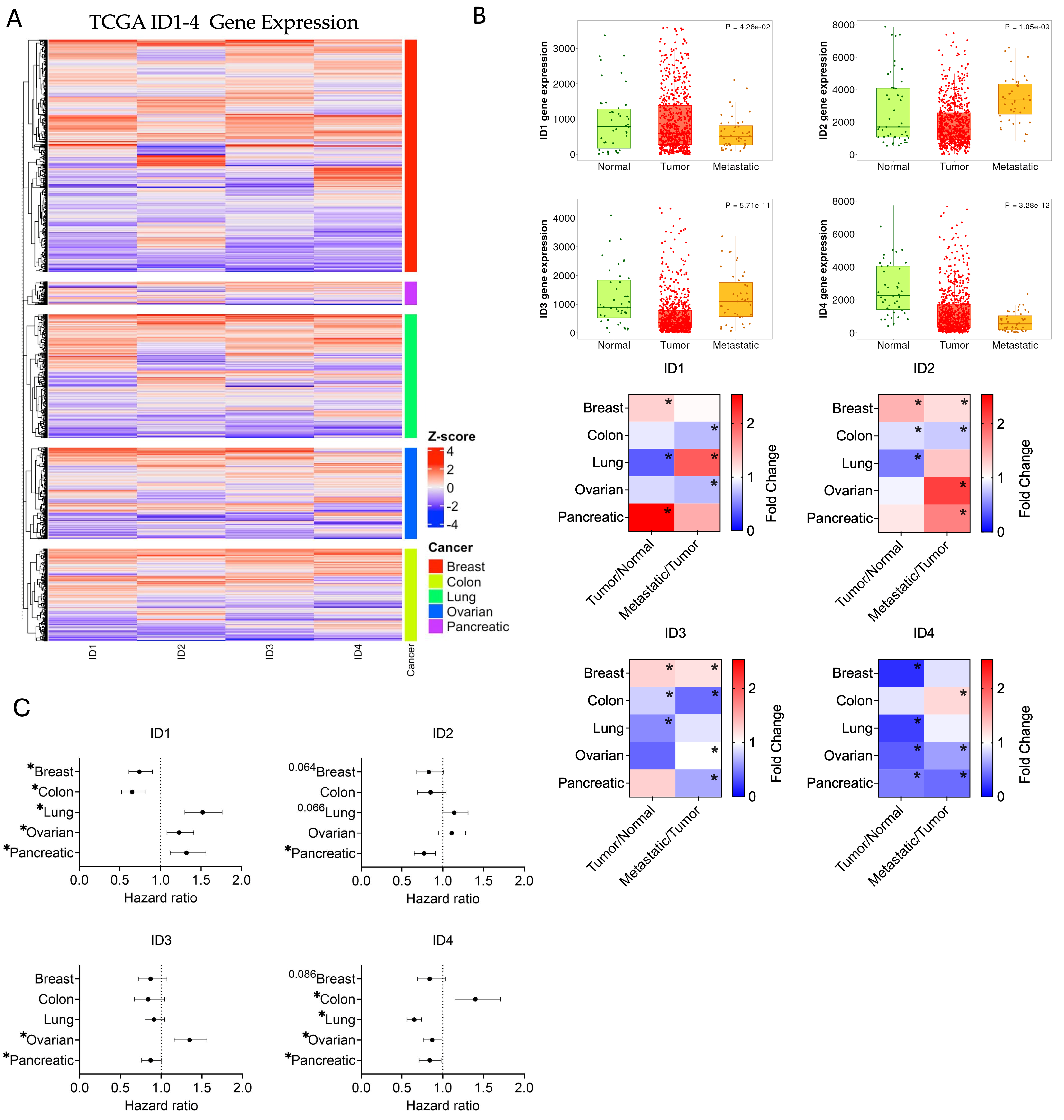
3.1. Patient-Level Patterns of ID1-4 Expression Across Several Prevalent Cancers
3.2. Chemotherapy-Associated Upregulation of ID Expression in Ovarian Cancer
3.3. Chemotherapy-Associated Upregulation of ID Expression Is Cycle-Dependent
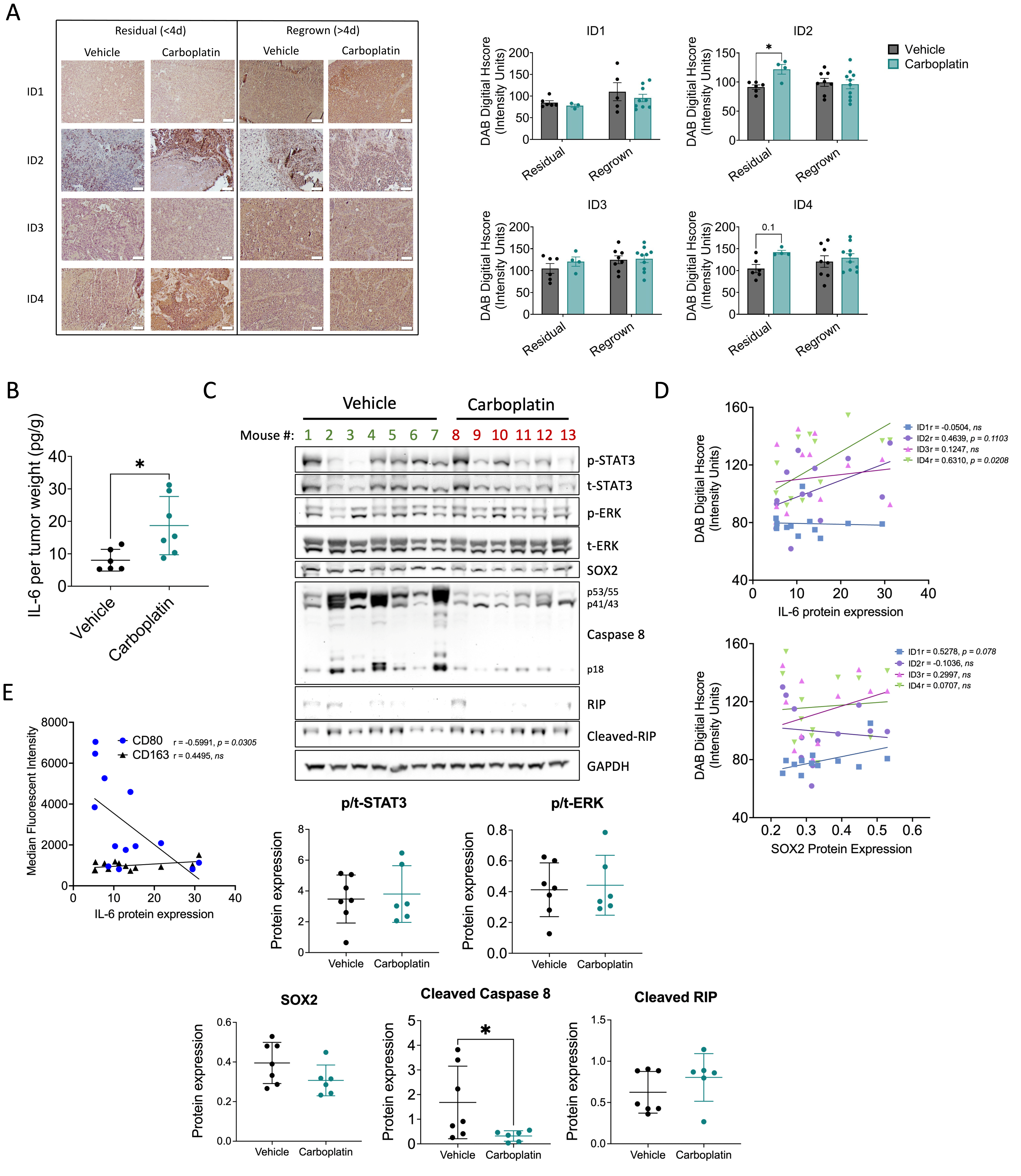
3.4. Chemotherapy-Enriched ID Expression Is Time Point-Dependent and May Promote a Pro-Tumoral Macrophage Phenotype in a Xenograft Mouse Model
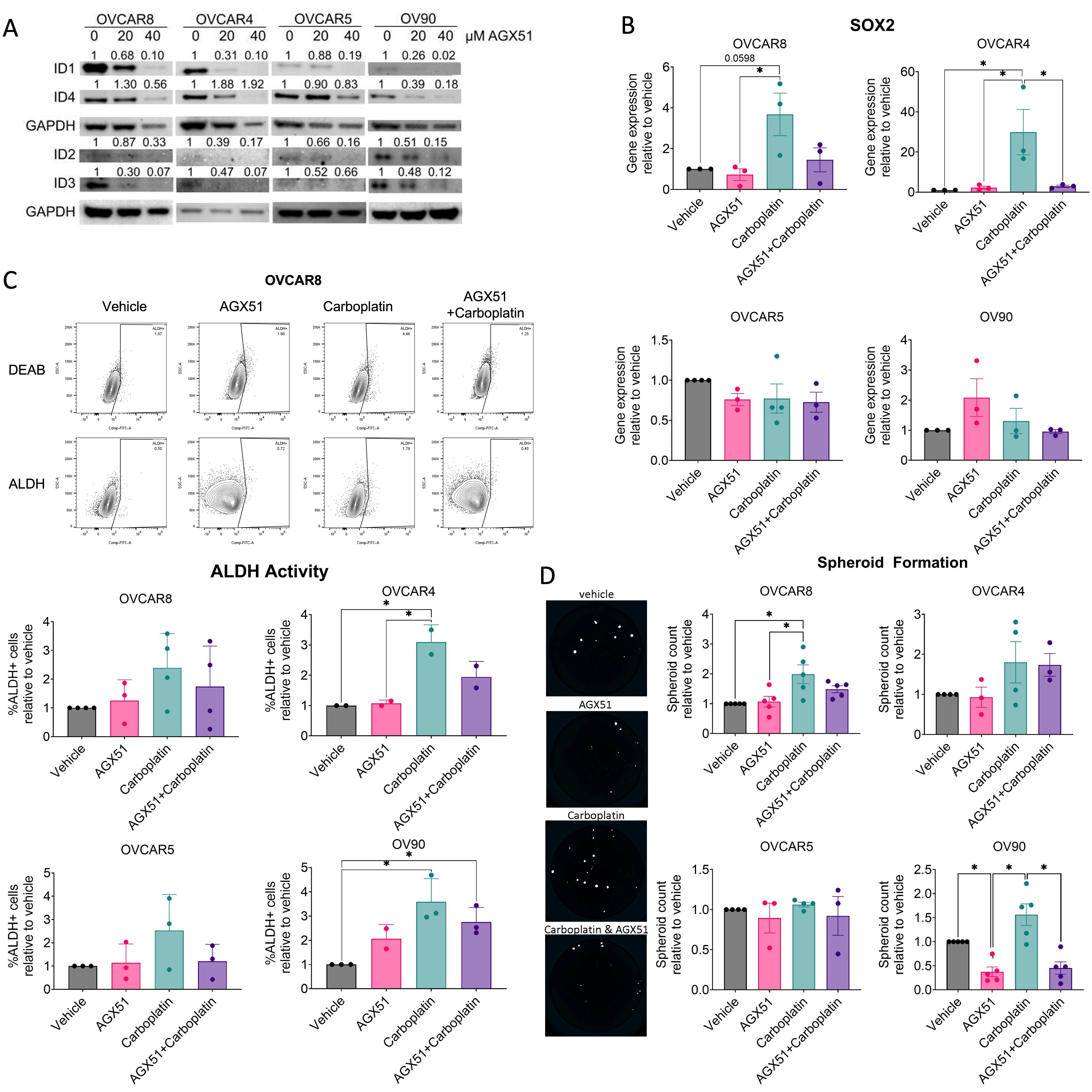
3.5. Pan-ID Inhibition Partially Attenuates Chemotherapy-Enhanced CSC Features
3.6. Pan-ID Inhibition Attenuates Chemotherapy-Enhanced IL-6 Secretion
4. Discussion
5. Conclusions
Supplementary Materials
Author Contributions
Funding
Institutional Review Board Statement
Data Availability Statement
Acknowledgments
Conflicts of Interest
References
- Frąszczak, K.; Barczyński, B. The Role of Cancer Stem Cell Markers in Ovarian Cancer. Cancers 2023, 16, 40. [Google Scholar] [CrossRef]
- Baldwin, L.A.; Huang, B.; Miller, R.W.; Tucker, T.; Goodrich, S.T.; Podzielinski, I.; DeSimone, C.P.; Ueland, F.R.; van Nagell, J.R.; Seamon, L.G. Ten-year relative survival for epithelial ovarian cancer. Obstet. Gynecol. 2012, 120, 612–618. [Google Scholar] [CrossRef]
- Huang, J.; Chan, W.C.; Ngai, C.H.; Lok, V.; Zhang, L.; Lucero-Prisno, D.E.; Xu, W.; Zheng, Z.J.; Elcarte, E.; Withers, M.; et al. Worldwide Burden, Risk Factors, and Temporal Trends of Ovarian Cancer: A Global Study. Cancers 2022, 14, 2230. [Google Scholar] [CrossRef]
- Poursheikhani, A.; Yousefi, H.; Tavakoli-Bazzaz, J.; Ghaffari, S.H. EGFR Blockade Reverses Cisplatin Resistance in Human Epithelial Ovarian Cancer Cells. Iran. Biomed. J. 2020, 24, 370–378. [Google Scholar] [CrossRef] [PubMed]
- Robinson, M.; Gilbert, S.F.; Waters, J.A.; Lujano-Olazaba, O.; Lara, J.; Alexander, L.J.; Green, S.E.; Burkeen, G.A.; Patrus, O.; Sarwar, Z.; et al. Characterization of SOX2, OCT4 and NANOG in Ovarian Cancer Tumor-Initiating Cells. Cancers 2021, 13, 262. [Google Scholar] [CrossRef] [PubMed]
- House, C.D.; Jordan, E.; Hernandez, L.; Ozaki, M.; James, J.M.; Kim, M.; Kruhlak, M.J.; Batchelor, E.; Elloumi, F.; Cam, M.C.; et al. NFκB Promotes Ovarian Tumorigenesis via Classical Pathways That Support Proliferative Cancer Cells and Alternative Pathways That Support ALDH. Cancer Res. 2017, 77, 6927–6940. [Google Scholar] [CrossRef]
- Lasorella, A.; Benezra, R.; Iavarone, A. The ID proteins: Master regulators of cancer stem cells and tumour aggressiveness. Nat. Rev. Cancer 2014, 14, 77–91. [Google Scholar] [CrossRef]
- Nair, R.; Teo, W.S.; Mittal, V.; Swarbrick, A. ID proteins regulate diverse aspects of cancer progression and provide novel therapeutic opportunities. Mol. Ther. 2014, 22, 1407–1415. [Google Scholar] [CrossRef]
- Lyden, D.; Young, A.Z.; Zagzag, D.; Yan, W.; Gerald, W.; O’Reilly, R.; Bader, B.L.; Hynes, R.O.; Zhuang, Y.; Manova, K.; et al. Id1 and Id3 are required for neurogenesis, angiogenesis and vascularization of tumour xenografts. Nature 1999, 401, 670–677. [Google Scholar] [CrossRef]
- Niola, F.; Zhao, X.; Singh, D.; Sullivan, R.; Castano, A.; Verrico, A.; Zoppoli, P.; Friedmann-Morvinski, D.; Sulman, E.; Barrett, L.; et al. Mesenchymal high-grade glioma is maintained by the ID-RAP1 axis. J. Clin. Investig. 2013, 123, 405–417. [Google Scholar] [CrossRef] [PubMed]
- Cerami, E.; Gao, J.; Dogrusoz, U.; Gross, B.E.; Sumer, S.O.; Aksoy, B.A.; Jacobsen, A.; Byrne, C.J.; Heuer, M.L.; Larsson, E.; et al. The cBio cancer genomics portal: An open platform for exploring multidimensional cancer genomics data. Cancer Discov. 2012, 2, 401–404. [Google Scholar] [CrossRef]
- Gao, J.; Aksoy, B.A.; Dogrusoz, U.; Dresdner, G.; Gross, B.; Sumer, S.O.; Sun, Y.; Jacobsen, A.; Sinha, R.; Larsson, E.; et al. Integrative analysis of complex cancer genomics and clinical profiles using the cBioPortal. Sci. Signal. 2013, 6, pl1. [Google Scholar] [CrossRef]
- Gu, Z. Complex heatmap visualization. iMeta Sci. 2022, 1, e43. [Google Scholar] [CrossRef]
- Bartha, Á.; Győrffy, B. TNMplot.com: A Web Tool for the Comparison of Gene Expression in Normal, Tumor and Metastatic Tissues. Int. J. Mol. Sci. 2021, 22, 2622. [Google Scholar] [CrossRef] [PubMed]
- Győrffy, B. Discovery and ranking of the most robust prognostic biomarkers in serous ovarian cancer. Geroscience 2023, 45, 1889–1898. [Google Scholar] [CrossRef] [PubMed]
- Javellana, M.; Eckert, M.A.; Heide, J.; Zawieracz, K.; Weigert, M.; Ashley, S.; Stock, E.; Chapel, D.; Huang, L.; Yamada, S.D.; et al. Neoadjuvant Chemotherapy Induces Genomic and Transcriptomic Changes in Ovarian Cancer. Cancer Res. 2022, 82, 169–176. [Google Scholar] [CrossRef] [PubMed]
- Holmberg, R.; Robinson, M.; Gilbert, S.F.; Lujano-Olazaba, O.; Waters, J.A.; Kogan, E.; Velasquez, C.L.R.; Stevenson, D.; Cruz, L.S.; Alexander, L.J.; et al. TWEAK-Fn14-RelB Signaling Cascade Promotes Stem Cell-like Features that Contribute to Post-Chemotherapy Ovarian Cancer Relapse. Mol. Cancer Res. 2023, 21, 170–186. [Google Scholar] [CrossRef]
- Waters, J.A.; Robinson, M.; Lujano-Olazaba, O.; Lucht, C.; Gilbert, S.F.; House, C.D. Omental Preadipocytes Stimulate Matrix Remodeling and IGF Signaling to Support Ovarian Cancer Metastasis. Cancer Res. 2024, 84, 2073–2089. [Google Scholar] [CrossRef]
- Lee, Y.J.; Nam, E.J.; Kim, S.; Kim, Y.T.; Itkin-Ansari, P.; Kim, S.W. Expression Profiles of ID and E2A in Ovarian Cancer and Suppression of Ovarian Cancer by the E2A Isoform E47. Cancers 2022, 14, 2903. [Google Scholar] [CrossRef]
- Teo, W.S.; Holliday, H.; Karthikeyan, N.; Cazet, A.S.; Roden, D.L.; Harvey, K.; Konrad, C.V.; Murali, R.; Varghese, B.A.; Thankamony, A.P.; et al. Id Proteins Promote a Cancer Stem Cell Phenotype in Mouse Models of Triple Negative Breast Cancer via Negative Regulation of Robo1. Front. Cell Dev. Biol. 2020, 8, 552. [Google Scholar] [CrossRef]
- Niola, F.; Zhao, X.; Singh, D.; Castano, A.; Sullivan, R.; Lauria, M.; Nam, H.S.; Zhuang, Y.; Benezra, R.; Di Bernardo, D.; et al. Id proteins synchronize stemness and anchorage to the niche of neural stem cells. Nat. Cell Biol. 2012, 14, 477–487. [Google Scholar] [CrossRef]
- Liang, D.; Hu, H.; Li, S.; Dong, J.; Wang, X.; Wang, Y.; He, L.; He, Z.; Gao, Y.; Gao, S.J.; et al. Oncogenic herpesvirus KSHV Hijacks BMP-Smad1-Id signaling to promote tumorigenesis. PLoS Pathog. 2014, 10, e1004253. [Google Scholar] [CrossRef]
- Cheung, P.Y.; Yip, Y.L.; Tsao, S.W.; Ching, Y.P.; Cheung, A.L. Id-1 induces cell invasiveness in immortalized epithelial cells by regulating cadherin switching and Rho GTPases. J. Cell. Biochem. 2011, 112, 157–168. [Google Scholar] [CrossRef]
- Stankic, M.; Pavlovic, S.; Chin, Y.; Brogi, E.; Padua, D.; Norton, L.; Massagué, J.; Benezra, R. TGF-β-Id1 signaling opposes Twist1 and promotes metastatic colonization via a mesenchymal-to-epithelial transition. Cell Rep. 2013, 5, 1228–1242. [Google Scholar] [CrossRef] [PubMed]
- Castañón, E.; Soltermann, A.; López, I.; Román, M.; Ecay, M.; Collantes, M.; Redrado, M.; Baraibar, I.; López-Picazo, J.M.; Rolfo, C.; et al. The inhibitor of differentiation-1 (Id1) enables lung cancer liver colonization through activation of an EMT program in tumor cells and establishment of the pre-metastatic niche. Cancer Lett. 2017, 402, 43–51. [Google Scholar] [CrossRef] [PubMed]
- Niu, L.L.; Cheng, C.L.; Li, M.Y.; Yang, S.L.; Hu, B.G.; Chong, C.C.N.; Chan, S.L.; Ren, J.; Chen, G.G.; Lai, P.B.S. ID1-induced p16/IL6 axis activation contributes to the resistant of hepatocellular carcinoma cells to sorafenib. Cell Death Dis. 2018, 9, 852. [Google Scholar] [CrossRef]
- Meng, J.; Liu, K.; Shao, Y.; Feng, X.; Ji, Z.; Chang, B.; Wang, Y.; Xu, L.; Yang, G. ID1 confers cancer cell chemoresistance through STAT3/ATF6-mediated induction of autophagy. Cell Death Dis. 2020, 11, 137. [Google Scholar] [CrossRef] [PubMed]
- Wang, Y.; Zong, X.; Mitra, S.; Mitra, A.K.; Matei, D.; Nephew, K.P. IL-6 mediates platinum-induced enrichment of ovarian cancer stem cells. JCI Insight 2018, 3, e122360. [Google Scholar] [CrossRef]
- Teng, K.; Ma, H.; Gai, P.; Zhao, X.; Qi, G. SPHK1 enhances olaparib resistance in ovarian cancer through the NFκB/NRF2/ferroptosis pathway. Cell Death Discov. 2025, 11, 29. [Google Scholar] [CrossRef]
- Ozturk, H.; Seker-Polat, F.; Abbaszadeh, N.; Kingham, Y.; Orsulic, S.; Adli, M. High PRMT5 levels, maintained by KEAP1 inhibition, drive chemoresistance in high-grade serous ovarian cancer. J. Clin. Investig. 2025, 135, e184283. [Google Scholar] [CrossRef]
- Guo, Q.Y.; Song, J.N.; Chen, Y.M.; Yuan, H.N.; Xue, W.S.; Sun, Y.; Niu, X.L.; Wang, Y.; Chen, X. IL-6 regulates epithelial ovarian cancer EMT, invasion, and metastasis by modulating Let-7c and miR-200c through the STAT3/HIF-1α pathway. Med. Oncol. 2024, 41, 155. [Google Scholar] [CrossRef]
- Coward, J.; Kulbe, H.; Chakravarty, P.; Leader, D.; Vassileva, V.; Leinster, D.A.; Thompson, R.; Schioppa, T.; Nemeth, J.; Vermeulen, J.; et al. Interleukin-6 as a Therapeutic Target in Human Ovarian Cancer. Clin. Cancer Res. 2011, 17, 6083–6096. [Google Scholar] [CrossRef]
- Wu, X.; Lu, W.; Xu, C.; Jiang, C.; Zhuo, Z.; Wang, R.; Zhang, D.; Cui, Y.; Chang, L.; Zuo, X.; et al. Macrophages Phenotype Regulated by IL-6 Are Associated with the Prognosis of Platinum-Resistant Serous Ovarian Cancer: Integrated Analysis of Clinical Trial and Omics. J. Immunol. Res. 2023, 2023, 6455704. [Google Scholar] [CrossRef]
- Cruz, L.S.; Robinson, M.; Stevenson, D.; Amador, I.C.; Jordan, G.J.; Valencia, S.; Navarrete, C.; House, C.D. Chemotherapy Enriches for Proinflammatory Macrophage Phenotypes that Support Cancer Stem-Like Cells and Disease Progression in Ovarian Cancer. Cancer Res. Commun. 2024, 4, 2638–2652. [Google Scholar] [CrossRef] [PubMed]
- Wojnarowicz, P.M.; Escolano, M.G.; Huang, Y.H.; Desai, B.; Chin, Y.; Shah, R.; Xu, S.; Yadav, S.; Yaklichkin, S.; Ouerfelli, O.; et al. Anti-tumor effects of an ID antagonist with no observed acquired resistance. NPJ Breast Cancer 2021, 7, 58. [Google Scholar] [CrossRef] [PubMed]
- McAuliffe, S.M.; Morgan, S.L.; Wyant, G.A.; Tran, L.T.; Muto, K.W.; Chen, Y.S.; Chin, K.T.; Partridge, J.C.; Poole, B.B.; Cheng, K.H.; et al. Targeting Notch, a key pathway for ovarian cancer stem cells, sensitizes tumors to platinum therapy. Proc. Natl. Acad. Sci. USA 2012, 109, E2939–E2948. [Google Scholar] [CrossRef] [PubMed]
- Ishiguro, T.; Sato, A.; Ohata, H.; Ikarashi, Y.; Takahashi, R.U.; Ochiya, T.; Yoshida, M.; Tsuda, H.; Onda, T.; Kato, T.; et al. Establishment and Characterization of an In Vitro Model of Ovarian Cancer Stem-like Cells with an Enhanced Proliferative Capacity. Cancer Res. 2016, 76, 150–160. [Google Scholar] [CrossRef]
- Zhang, J.; Chen, Z.; Mao, Y.; He, Y.; Wu, X.; Wu, J.; Sheng, L. ID2 Promotes Lineage Transition of Prostate Cancer through FGFR and JAK-STAT Signaling. Cancers 2024, 16, 392. [Google Scholar] [CrossRef]
- Ma, X.; Zhengyu, J.; Li, N.; Jiang, W.; Gao, P.; Yang, M.; Yu, X.; Wang, G.; Zhang, Y. Ets2 suppresses inflammatory cytokines through MAPK/NF-κB signaling and directly binds to the IL-6 promoter in macrophages. Aging 2019, 11, 10610. [Google Scholar] [CrossRef]
- Raemdonck, K.; Vandenbroucke, R.E.; Demeester, J.; Sanders, N.N.; De Smedt, S.C. Maintaining the silence: Reflections on long-term RNAi. Drug Discov. Today 2008, 13, 917–931. [Google Scholar] [CrossRef]
- Shepherd, T.G.; Thériault, B.L.; Nachtigal, M.W. Autocrine BMP4 signalling regulates ID3 proto-oncogene expression in human ovarian cancer cells. Gene 2008, 414, 95–105. [Google Scholar] [CrossRef] [PubMed]
- Du, Y.; Yip, H. Effects of bone morphogenetic protein 2 on Id expression and neuroblastoma cell differentiation. Differentiation 2010, 79, 84–92. [Google Scholar] [CrossRef]
- Roschger, C.; Cabrele, C. The Id-protein family in developmental and cancer-associated pathways. Cell Commun. Signal. 2017, 15, 7. [Google Scholar] [CrossRef]
- Phadte, P.; Bishnu, A.; Dey, P.; Manikandan, M.; Mehrotra, M.; Singh, P.; Chakrabarty, S.; Majumdar, R.; Rekhi, B.; Patra, M.; et al. Autophagy-mediated ID1 turnover dictates chemo-resistant fate in ovarian cancer stem cells. J. Exp. Clin. Cancer Res. 2024, 43, 222. [Google Scholar] [CrossRef]
- Ren, Y.; Cheung, H.W.; Von Maltzhan, G.; Agrawal, A.; Cowley, G.S.; Weir, B.A.; Boehm, J.S.; Tamayo, P.; Karst, A.M.; Liu, J.F.; et al. Targeted Tumor-Penetrating siRNA Nanocomplexes for Credentialing the Ovarian Cancer Oncogene ID4. Sci. Transl. Med. 2012, 4, 147ra112, Erratum in Sci. Transl. Med. 2024, 16, eadp2153. https://doi.org/10.1126/scitranslmed.adp2153. [Google Scholar] [CrossRef]
- La, H.M.; Chan, A.L.; Hutchinson, A.M.; Su, B.Y.M.; Rossello, F.J.; Schittenhelm, R.B.; Hobbs, R.M. Functionally redundant roles of ID family proteins in spermatogonial stem cells. Stem Cell Rep. 2024, 19, 1379–1388. [Google Scholar] [CrossRef]
- Dell’Orso, S.; Ganci, F.; Strano, S.; Blandino, G.; Fontemaggi, G. ID4: A new player in the cancer arena. Oncotarget 2010, 1, 48–58. [Google Scholar] [CrossRef] [PubMed]
- Bounpheng, M.A.; Dimas, J.J.; Dodds, S.G.; Christy, B.A. Degradation of Id proteins by the ubiquitin-proteasome pathway. FASEB J. 1999, 13, 2257–2264. [Google Scholar] [CrossRef]
- Mern, D.S.; Hasskarl, J.; Burwinkel, B. Inhibition of Id proteins by a peptide aptamer induces cell-cycle arrest and apoptosis in ovarian cancer cells. Br. J. Cancer 2010, 103, 1237–1244. [Google Scholar] [CrossRef][Green Version]
- Kubelac, M.P.; Fetica, B.; Vlad, I.C.; Fulop, A.; Popa, A.; Achimas-Cadariu, P. The role of inhibitor of DNA-binding 1 (ID-1) protein and angiogenesis in serous ovarian cancer. Anticancer. Res. 2014, 34, 413–416. [Google Scholar] [PubMed]
- Dhadve, A.C.; Ray, P. An active RUNX1-ID1/ID3 axis governs differentiation and chemoresistance of cancer stem cell population in epithelial ovarian cancer cells. Biocell 2022, 46, 75–86. [Google Scholar] [CrossRef]
- Meng, Y.; Gu, C.; Wu, Z.; Zhao, Y.; Si, Y.; Fu, X.; Han, W. Id2 promotes the invasive growth of MCF-7 and SKOV-3 cells by a novel mechanism independent of dimerization to basic helix-loop-helix factors. BMC Cancer 2009, 9, 75. [Google Scholar] [CrossRef]
- Su, Y.; Gao, L.; Teng, L.; Wang, Y.; Cui, J.; Peng, S.; Fu, S. Id1 enhances human ovarian cancer endothelial progenitor cell angiogenesis via PI3K/Akt and NF-κB/MMP-2 signaling pathways. J. Transl. Med. 2013, 11, 132. [Google Scholar] [CrossRef]
- Hernandez, L.; Kim, M.K.; Noonan, A.M.; Sagher, E.; Kohlhammer, H.; Wright, G.; Lyle, L.T.; Steeg, P.S.; Anver, M.; Bowtell, D.D.; et al. A dual role for Caspase8 and NF-κB interactions in regulating apoptosis and necroptosis of ovarian cancer, with correlation to patient survival. Cell Death Discov. 2015, 1, 15053. [Google Scholar] [CrossRef] [PubMed]
- Jang, Y.S.; Kim, T.W.; Ryu, J.S.; Kong, H.J.; Jang, S.H.; Nam, G.H.; Kim, J.H.; Jeon, S. Upregulation of programmed death ligand-1 in tumor-associated macrophages affects chemotherapeutic response in ovarian cancer cells. PLoS ONE 2023, 18, e0277285. [Google Scholar] [CrossRef] [PubMed]






| TaqMan Gene Expression Assay: SOX2 | ThermoFisher | Hs01053049_s1 |
| TaqMan Gene Expression Assay: NOTCH3 | ThermoFisher | Hs01128537_m1 |
| TaqMan Gene Expression Assay: MMP2 | ThermoFisher | Hs01548727_m1 |
| TaqMan Gene Expression Assay: CDH2 | ThermoFisher | Hs00983056_m1 |
| TaqMan Gene Expression Assay: VIM | ThermoFisher | Hs00185584_m1 |
| TaqMan Gene Expression Assay: ZEB1 | ThermoFisher | Hs01566408_m1 |
| TaqMan Gene Expression Assay: ID1 | ThermoFisher | Hs03676575_s1 |
| TaqMan Gene Expression Assay: ID2 | ThermoFisher | Hs00747379_m1 |
| TaqMan Gene Expression Assay: ID3 | ThermoFisher | Hs00171409_m1 |
| TaqMan Gene Expression Assay: ID4 | ThermoFisher | 4331182-Hs02912975_g1 |
| TaqMan Gene Expression Assay: MAPK3K14 (NIK) | ThermoFisher | 4331182-Hs01089753_m1 |
| TaqMan Gene Expression Assay: GAPDH | ThermoFisher | 4448486-Hs02786624_g1 |
Disclaimer/Publisher’s Note: The statements, opinions and data contained in all publications are solely those of the individual author(s) and contributor(s) and not of MDPI and/or the editor(s). MDPI and/or the editor(s) disclaim responsibility for any injury to people or property resulting from any ideas, methods, instructions or products referred to in the content. |
© 2026 by the authors. Licensee MDPI, Basel, Switzerland. This article is an open access article distributed under the terms and conditions of the Creative Commons Attribution (CC BY) license.
Share and Cite
Keene, M.A.; Lighter, D.; Brenner, C.; Urbano, I.; Shelby, K.; Gilbert, S.F.; Robinson, M.; House, C.D. Chemotherapy Enrichment of ID Family Expression Is Associated with IL-6 Signaling in Ovarian Cancer. Cancers 2026, 18, 1186. https://doi.org/10.3390/cancers18081186
Keene MA, Lighter D, Brenner C, Urbano I, Shelby K, Gilbert SF, Robinson M, House CD. Chemotherapy Enrichment of ID Family Expression Is Associated with IL-6 Signaling in Ovarian Cancer. Cancers. 2026; 18(8):1186. https://doi.org/10.3390/cancers18081186
Chicago/Turabian StyleKeene, Megan Anne, Darren Lighter, Cassandra Brenner, Ixchel Urbano, Katelyn Shelby, Samuel F. Gilbert, Mikella Robinson, and Carrie D. House. 2026. "Chemotherapy Enrichment of ID Family Expression Is Associated with IL-6 Signaling in Ovarian Cancer" Cancers 18, no. 8: 1186. https://doi.org/10.3390/cancers18081186
APA StyleKeene, M. A., Lighter, D., Brenner, C., Urbano, I., Shelby, K., Gilbert, S. F., Robinson, M., & House, C. D. (2026). Chemotherapy Enrichment of ID Family Expression Is Associated with IL-6 Signaling in Ovarian Cancer. Cancers, 18(8), 1186. https://doi.org/10.3390/cancers18081186

