Retrospective Italian Registry on DSM-TACE: Experience Beyond Current Recommendations
Simple Summary
Abstract
1. Introduction
2. Materials and Methods
2.1. Study Design and Setting
2.2. Patient Population
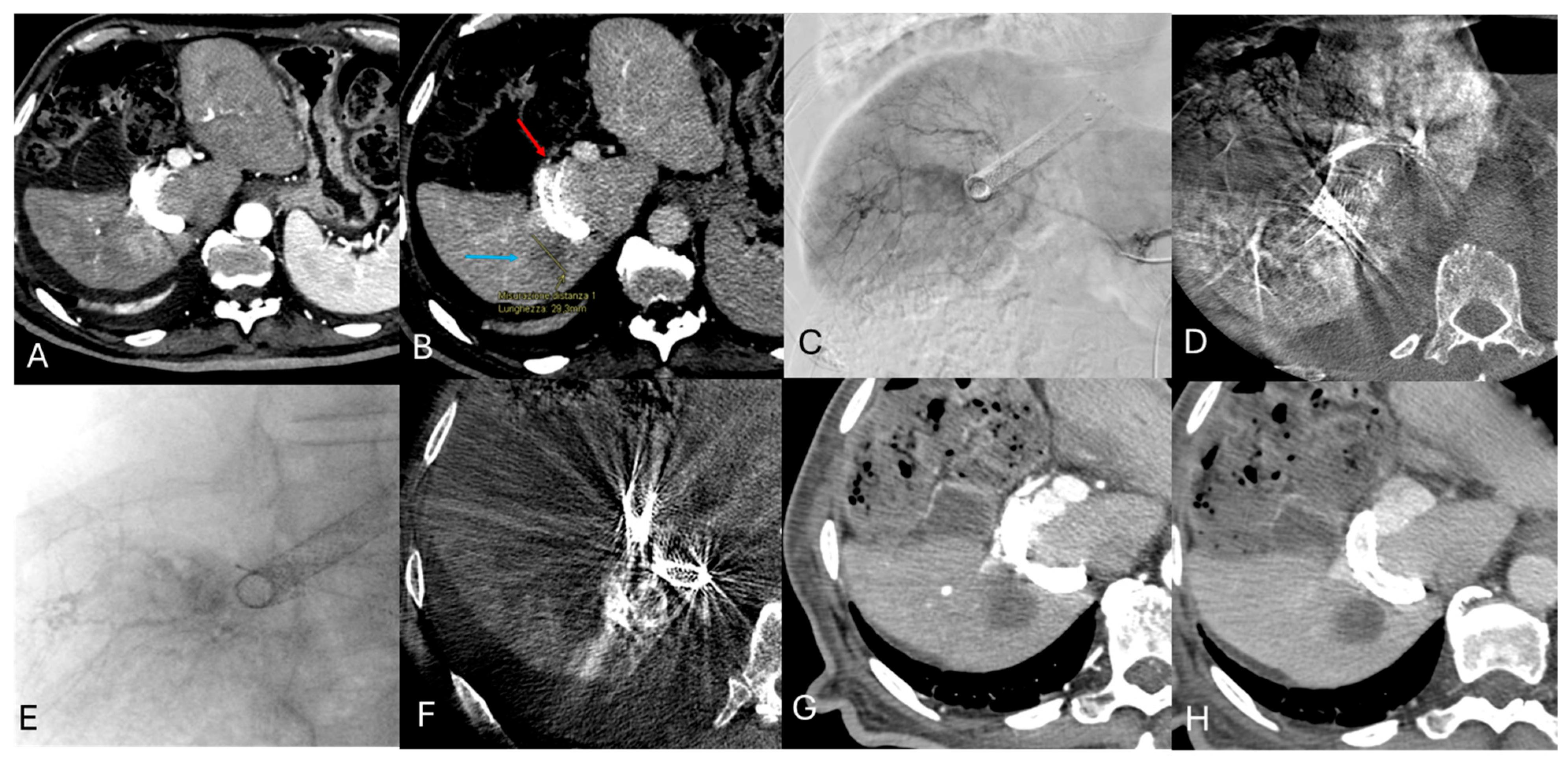
2.3. DSM-TACE Procedure
2.4. Oncological Response and Safety Profile
2.5. Statistical Analysis
3. Results
3.1. Study Population
3.2. Safety Profile
3.3. Efficacy
3.4. Per-Patients Oncological Response
3.5. Per-Nodule Oncological Response
4. Discussion
5. Conclusions
Author Contributions
Funding
Institutional Review Board Statement
Informed Consent Statement
Data Availability Statement
Conflicts of Interest
References
- European Association for the Study of the Liver. EASL Clinical Practice Guidelines on the management of hepatocellular carcinoma. J. Hepatol. 2025, 82, 315–374. [Google Scholar] [CrossRef] [PubMed]
- Giurazza, F.; Lucatelli, P.; Corvino, F.; Argirò, R.; Roccatagliata, P.; Ierardi, A.M.; Niola, R. Temporary Flow Diversion in Oncological Embolization Procedures Using Degradable Starch Microspheres. Diagnostics 2024, 14, 2844. [Google Scholar] [CrossRef]
- Thaarup, I.C.; Gummesson, C.; Bjarnsholt, T. Measuring enzymatic degradation of degradable starch microspheres using confocal laser scanning microscopy. Acta Biomater. 2021, 131, 464–471. [Google Scholar] [CrossRef]
- Iezzi, R.; Pompili, M.; Rinninella, E.; Annicchiarico, E.; Garcovich, M.; Cerrito, L.; Ponziani, F.; De Gaetano, A.; Siciliano, M.; Basso, M.; et al. TACE with degradable starch microspheres (DSM-TACE) as second-line treatment in HCC patients dismissing or ineligible for sorafenib. Eur. Radiol. 2019, 29, 1285–1292. [Google Scholar] [CrossRef] [PubMed]
- Pieper, C.C.; Meyer, C.; Vollmar, B.; Hauenstein, K.; Schild, H.H.; Wilhelm, K.E. Temporary arterial embolization of liver parenchyma with degradable starch microspheres (EmboCept®S) in a swine model. Cardiovasc. Interv. Radiol. 2015, 38, 435–441. [Google Scholar] [CrossRef] [PubMed]
- Wiggermann, P.; Wohlgemuth, W.A.; Heibl, M.; Vasilj, A.; Loss, M.; Schreyer, A.G.; Stroszczynski, C.; Jung, E.M. Dynamic evaluation and quantification of microvascularization during degradable starch microspheres transarterial Chemoembolisation (DSM-TACE) of HCC lesions using contrast enhanced ultrasound (CEUS): A feasibility study. Clin. Hemorheol. Microcirc. 2013, 53, 337–348. [Google Scholar] [CrossRef] [PubMed]
- Schicho, A.; Hellerbrand, C.; Krüger, K.; Beyer, L.P.; Wohlgemuth, W.; Niessen, C.; Hohenstein, E.; Stroszczynski, C.; Pereira, P.L.; Wiggermann, P. Impact of Different Embolic Agents for Transarterial Chemoembolization (TACE) Procedures on Systemic Vascular Endothelial Growth Factor (VEGF) Levels. J. Clin. Transl. Hepatol. 2016, 4, 288–292. [Google Scholar] [CrossRef]
- Schicho, A.; Pereira, P.L.; Haimerl, M.; Niessen, C.; Michalik, K.; Beyer, L.P.; Stroszczynski, C.; Wiggermann, P. Transarterial chemoembolization (TACE) with degradable starch microspheres (DSM) in hepatocellular carcinoma (HCC): Multi-center results on safety and efficacy. Oncotarget 2017, 8, 72613–72620. [Google Scholar] [CrossRef] [PubMed] [PubMed Central]
- Haubold, J.; Reinboldt, M.P.; Wetter, A.; Li, Y.; Ludwig, J.M.; Lange, C.; Wedemeyer, H.; Schotten, C.; Umutlu, L.; Theysohn, J. DSM-TACE of HCC: Evaluation of Tumor Response in Patients Ineligible for Other Systemic or Loco-Regional Therapies. Rofo 2020, 192, 862–869. (In English) [Google Scholar] [CrossRef] [PubMed]
- Ludwig, J.M.; Iezzi, R.; Theysohn, J.M.; Albrecht, T.; Posa, A.; Gross, A. European Multicenter Study on Degradable Starch Microsphere TACE: The Digestible Way to Conquer HCC in Patients with High Tumor Burden. Cancers 2021, 13, 5122. [Google Scholar] [CrossRef] [PubMed] [PubMed Central]
- Orlacchio, A.; Chegai, F.; Merolla, S.; Francioso, S.; Giudice, C.D.; Angelico, M.; Tisone, G.; Simonetti, G. Downstaging disease in patients with hepatocellular carcinoma outside up-to-seven criteria: Strategies using degradable starch microspheres transcatheter arterial chemo-embolization. World J. Hepatol. 2015, 7, 1694–1700. [Google Scholar] [CrossRef] [PubMed] [PubMed Central]
- Orlacchio, A.; Chegai, F.; Roma, S.; Merolla, S.; Bosa, A.; Francioso, S. Degradable starch microspheres transarterial chemoembolization (DSMs-TACE) in patients with unresectable hepatocellular carcinoma (HCC): Long-term results from a single-center 137-patient cohort prospective study. Radiol. Medica 2020, 125, 98–106. [Google Scholar] [CrossRef] [PubMed]
- Orlacchio, A.; Chegai, F.; Francioso, S.; Merolla, S.; Monti, S.; Angelico, M.; Tisone, G.; Mannelli, L. Repeated Transarterial Chemoembolization with Degradable Starch Microspheres (DSMs-TACE) of Unresectable Hepatocellular Carcinoma: A Prospective Pilot Study. Curr. Med. Imaging 2018, 14, 637–645. [Google Scholar] [CrossRef] [PubMed] [PubMed Central]
- Vogl, T.J.; Langenbach, M.C.; Hammerstingl, R.; Albrecht, M.H.; Chatterjee, A.R.; Gruber-Rouh, T. Evaluation of two different transarterial chemoembolization protocols using Lipiodol and degradable starch microspheres in therapy of hepatocellular carcinoma: A prospective trial. Hepatol. Int. 2021, 15, 685–694. [Google Scholar] [CrossRef] [PubMed] [PubMed Central]
- Minici, R.; Ammendola, M.; Manti, F.; Siciliano, M.A.; Minici, M.; Komaei, I.; Currò, G.; Laganà, D. Safety and Efficacy of Degradable Starch Microspheres Transcatheter Arterial Chemoembolization (DSM-TACE) in the Downstaging of IntermediateStage Hepatocellular Carcinoma (HCC) in Patients With a Child-Pugh Score of 8–9. Front. Pharmacol. 2021, 12, 634087. [Google Scholar] [CrossRef]
- Mohr, I.; Vogeler, M.; Pfeiffenberger, J.; Sprengel, S.D.; Klauss, M.; Radeleff, B.; Teufel, A.; Chang, D.H.; Springfeld, C.; Longerich, T.; et al. Clinical effects and safety of different transarterial chemoembolization methods for bridging and palliative treatments in hepatocellular carcinoma. J. Cancer Res. Clin. Oncol. 2022, 148, 3163–3174. [Google Scholar] [CrossRef] [PubMed] [PubMed Central]
- Collettini, F.; Andrašina, T.; Reimer, P.; Schima, W.; Stroszczynski, C.; Lamprecht, Y.; Auer, T.A.; Rohan, T.; Wildgruber, M.; Gebauer, B.; et al. Degradable starch microspheres transarterial chemoembolization (DSM-TACE) in patients with unresectable hepatocellular carcinoma: Results from the Prospective Multicenter Observational HepaStar Trial. Eur. Radiol. 2025, 35, 4132–4140. [Google Scholar] [CrossRef] [PubMed] [PubMed Central]
- Giurazza, F.; Carrubba, C.; Punzi, E.; Tortora, R.; Guarracino, M.; Brangi, F.; Falaschi, F.; Migliaccio, C.; Corvino, F.; Vennarecci, G.; et al. Conventional vs. DEB vs. DSM: Which technique for palliative TACE in intermediate-stage HCC? Results on 70 patients in terms of efficacy and tolerance. Radiol. Medica 2025, 130, 1888–1896. [Google Scholar] [CrossRef]
- Collettini, F.; Gottschalk, H.; Auer, T.A.; Röcken, C.; Roßner, F.; Heitplatz, B.; Masthoff, M.; Andersson, J. Pathological response after degradable starch microspheres transarterial chemoembolization for hepatocellular carcinoma: A Histopathological study on explanted livers. Eur. J. Radiol. 2025, 193, 112454. [Google Scholar] [CrossRef]
- Lucatelli, P.; Burrel, M.; Guiu, B.; de Rubeis, G.; van Delden, O.; Helmberger, T. CIRSE Standards of Practice on Hepatic Transarterial Chemoembolisation. Cardiovasc. Interv. Radiol. 2021, 44, 1851–1867. [Google Scholar] [CrossRef] [PubMed]
- Iezzi, R.; Contegiacomo, A.; Posa, A.; Scrofani, A.R.; Rocco, B.; Maresca, A.; Bargellini, I.; Bilhim, T.; Crocetti, L.; De Cobelli, F.; et al. Think tank on locoregional treatments in hepatocellular carcinoma: A snapshot of real-life practice. CVIR Oncol. 2025, 1, 15. [Google Scholar] [CrossRef]
- Common Terminology Criteria for Adverse Events (CTCAE) Version 5.0. Available online: https://ctep.cancer.gov/protocolDevelopment/electronic_applications/docs/CTCAE_v5_Quick_Reference_8.5x11.pdf (accessed on 30 December 2025).
- Rozzanigo, U.; Gatti, F.; Luppi, G.; Costa, L.; Petralia, B.; Pravadelli, C.; Maioli, I.; Frisinghelli, M.; Fersino, S.; Riccardo, B.; et al. Chemoembolization with degradable starch microspheres (DSM-TACE): Expanding indications in HCC multidisciplinary tumor board. Hepatoma Res. 2023, 9, 14. [Google Scholar] [CrossRef]
- Lanza, C.; Ascenti, V.; Amato, G.V.; Pellegrino, G.; Triggiani, S.; Tintori, J.; Intrieri, C.; Angileri, S.A.; Biondetti, P.; Carriero, S.; et al. All You Need to Know About TACE: A Comprehensive Review of Indications, Techniques, Efficacy, Limits, and Technical Advancement. J. Clin. Med. 2025, 14, 314. [Google Scholar] [CrossRef] [PubMed] [PubMed Central]
- Schindler, P.; Kaldewey, D.; Rennebaum, F.; Trebicka, J.; Pascher, A.; Wildgruber, M.; Köhler, M.; Masthoff, M. Safety, efficacy, and survival of different transarterial chemoembolization techniques in the management of unresectable hepatocellular carcinoma: A comparative single-center analysis. J. Cancer Res. Clin. Oncol. 2024, 150, 235. [Google Scholar] [CrossRef] [PubMed] [PubMed Central]
- Yildiz, I.; Deniz, S.; Ozer, A.; Caliskan, K. Trans-Arterial Chemoembolization with 50 μm Degradable Starch Microspheres Versus 300–500 μm Drug Eluting Beads in Hepatocellular Carcinoma: A Comparative Analysis of Initial Treatment Outcomes. J. Belg. Soc. Radiol. 2022, 106, 10. [Google Scholar] [CrossRef] [PubMed] [PubMed Central]
- Miyayama, S.; Matsui, O. Superselective Conventional Transarterial Chemoembolization for Hepatocellular Carcinoma: Rationale, Technique, and Outcome. J. Vasc. Interv. Radiol. 2016, 27, 1269–1278. [Google Scholar] [CrossRef] [PubMed]
- de Baere, T.; Ronot, M.; Chung, J.W.; Golfieri, R.; Kloeckner, R.; Park, J.W.; Gebauer, B.; Kibriya, N.; Ananthakrishnan, G.; Miyayama, S. Initiative on Superselective Conventional Transarterial Chemoembolization Results (INSPIRE). Cardiovasc. Interv. Radiol. 2022, 45, 1430–1440. [Google Scholar] [CrossRef] [PubMed] [PubMed Central]
- Sieghart, W.; Hucke, F.; Peck-Radosavljevic, M. Transarterial chemoembolization: Modalities, indication, and patient selection. J. Hepatol. 2015, 62, 1187–1195. [Google Scholar] [CrossRef] [PubMed]
- Miyayama, S.; Yamashiro, M.; Ikeda, R.; Matsumoto, J.; Takeuchi, K.; Sakuragawa, N.; Ueda, T.; Sanada, T.; Notsumata, K.; Terada, T. Efficacy of Superselective Conventional Transarterial Chemoembolization Using Guidance Software for Hepatocellular Carcinoma within Three Lesions Smaller Than 3 cm. Cancers 2021, 13, 6370. [Google Scholar] [CrossRef] [PubMed] [PubMed Central]


| Variable | Gruppo 0 (N = 139) | Gruppo 1 (N = 48) | p-Value |
|---|---|---|---|
| Age | 69.76 ± 9.59 | 68.89 ± 9.64 | 8.53 |
| Score Child | 6.07 ± 1.20 | 5.24 ± 1.15 | <0.001 |
| MELD | 8.88 ± 1.97 | 9.74 ± 2.78 | 2.21 |
| MELDNa | 9.88 ± 2.71 | 10.54 ± 3.07 | 7.22 |
| Sex | 4.24 | ||
| F | 24 (17.6%) | 12 (25.0%) | |
| M | 115 (82.4%) | 36 (75.0%) | |
| Performance status | 10.00 | ||
| 0 | 75 (54.3%) | 28 (57.8%) | |
| 1 | 54 (39.1%) | 19 (39.1%) | |
| 2 | 10 (6.5%) | 1 (3.1%) | |
| Child-Pugh | 0.10 | ||
| A | 94 (67.6%) | 42 (87.3%) | |
| B | 41 (29.6%) | 6 (12.7%) | |
| C | 4 (2.8%) | 0 (0.0%) | |
| BCLC | 0.16 | ||
| A | 76 (54.9%) | 31 (64.1%) | |
| B | 53 (38.0%) | 10 (20.3%) | |
| C | 10 (7.0%) | 7 (15.6%) | |
| Etiology | 0.04 | ||
| Alcohol | 55 (39.5%) | 12 (25.6%) | |
| HCV | 47 (33.6%) | 19 (39.5%) | |
| NASH | 16 (11.8%) | 15 (30.2%) | |
| HBV | 16 (11.8%) | 0 (0.0%) | |
| Other | 5 (3.3%) | 2 (4.7%) |
| Category | Subcategory | N = 187 |
|---|---|---|
| Portal vein tumor thrombosis | Yes | 19 (9.5%) |
| No | 182 (90.5%) | |
| Previous curative treatments | None | |
| Tumor burden | Unilobar | 149 (74.12%) |
| Bilobar | 52 (25.8%) | |
| Tumor load | Solitary | 47 (23.4%) |
| Bifocal | 24 (12%) | |
| Multifocal | 130 | |
| Largest tumor size (mm) | Mean ± SD | 32.9 ± 21.4 |
| Median (IQR) | 28 (35–21) |
| Parameter Grade 1 | Lobar DSM-TACE (n/N, %) | Superselective DSM-TACE (n/N, %) | p Value |
|---|---|---|---|
| AST ↑ | 40/102 (39%) | 6/9 (67%) | 0.11 |
| ALT ↑ | 60/102 (5–9%) | 7/9 (73%) | 0.21 |
| Total bilirubin ↑ | 22/102 (22%) | 1/9 (13%) | 0.39 |
| GGT ↑ | 6/102 (6%) | 0/9 (0%) | 0.45 |
| Creatinine ↑ | 2/102 (2%) | 0/9 (0%) | 0.64 |
| Platelets ↓ Grade 2 | 7/102 (7%) | 1/9 (5%) | 0.76 |
| AST ↑ | 19/102 (19%) | 1/9 (6%) | 0.16 |
| ALT ↑ | 4/102 (4%) | 1/9 (11%) | 0.32 |
| Total bilirubin ↑ | 3/102 (3%) | 0/9 (0%) | 0.49 |
| GGT ↑ | 1/102 (1%) | 0/9 (0%) | 0.68 |
| Creatinine ↑ | 1/102 (1%) | 0/9 (0%) | 0.74 |
| PES | Yes | Grades | χ2 | p = |
|---|---|---|---|---|
| Lobar DSM-TACE | 36/110 (32.7%) | 1–2 | 2.176 | 0.1402 |
| Superselective DSM-TACE | 6/34 (17.6%) | 1–2 | ||
| Nausea | ||||
| Lobar DSM-TACE | 0/110 (0%) | 0 | 0.389 | 0.5329 |
| Superselective DSM-TACE | 1/34 (2.9%) | 1 | ||
| Pain | ||||
| Lobar DSM-TACE | 31/110 (28.2%) | 1–2 | 1.171 | 0.2792 |
| Superselective DSM-TACE | 6/35 (17.1) | 1–2 | ||
| Vomit | ||||
| Lobar DSM-TACE | 0/110 (0%) | 0 | 0.389 | 0.5329 |
| Superselective DSM-TACE | 1/34 (2.9%) | 1 |
| Entire Cohort | Lobar DSM-TACE | Superselective DSM-TACE | χ2 | p = | |
|---|---|---|---|---|---|
| 1-month | |||||
| CR | 28/187 (15%) | 18/139 (12.9%) | 10/48 (20.8%) | ||
| PR | 102/187 (54.5%) | 74/139 (53.2%) | 28/48 (20.14%) | 6.62 | 0.085 |
| SD | 41/187 (22%) | 35/139 (25.2%) | 6/48 (4.3%) | ||
| PD | 16/187 (8.6%) | 12/139 (8.6%) | 4/48 (8.3%) | ||
| ORR (CR + PR) | 130/187 (70%) | 92/139 (66.2%) | 38/48 (79.2%) | 2.34 | 0.126 |
| DCR (CR + PR + SD) | 171/187 (91.4%) | 127/139 (91.4%) | 44/48 (91.7%) | 0.002 | 0.96 |
| 3–6 months | |||||
| CR | 15/136 (11%) | 8/110 (7.3%) | 7/26 (26.9%) | ||
| PR | 28/136 (20.6%) | 21/110 (19.1%) | 7/26 (26.9%) | 9.27 | 0.026 |
| SD | 51/136 (37.5%) | 46/110 (41.8%) | 5/26 (19.2%) | ||
| PD | 46/136 (33.8%) | 39/110 (35.5%) | 7/26 (26.9%) | ||
| ORR (CR + PR) | 43/136 (31.6%) | 29/110 (26.4%) | 14/26 (53.8%) | 6.77 | 0.009 |
| DCR (CR + PR + SD) | 94/136 (69%) | 75/110 (68.2%) | 19/26 (73%) | 0.23 | 0.63 |
| 6–9 months | |||||
| CR | 5/88 (5.7%) | 2/72 (2.8%) | 3/16 (18.75%) | ||
| PR | 13/88 (14.8%) | 9/72 (12.5%) | 4/16 (25%) | 7.82 | 0.050 |
| SD | 16/88 (18.2%) | 13/72 (18.1%) | 3/16 (18.75%) | ||
| PD | 54/88 (61.4%) | 48/72 (66.7%) | 6/16 (37.5%) | ||
| ORR (CR + PR) | 18/88 (20.5%) | 11/72 (15.3%) | 7/16 (43.75%) | 6.72 | 0.009 |
| DCR (CR + PR + SD) | 34/88 (38.6%) | 24/72 (33.3%) | 10/16 (62.5%) | 5.62 | 0.018 |
| 9–12 months | |||||
| CR | 2/37 (5.4%) | 1/29 (3.4%) | 1/8 (12.5%) | ||
| PR | 3/37 (8%) | 3/29 (10.3%) | 0 (0%) | 0.87 | 0.83 |
| SD | 5/37 (13.5%) | 4/29 (13.8%) | 1/8 (12.5%) | ||
| PD | 25/37 (67.6%) | 20/29 (69%) | 5/8 (62.5%) | ||
| ORR (CR + PR) | 5/37 (13.5%) | 4/29 (13.8%) | 1/8 (12.5%) | 0.009 | 0.92 |
| DCR (CR + PR + SD) | 10/37 (2.7%) | 8/29 (27.6%) | 2/8 (25%) | 0.01 | 0.92 |
| BCLC | CR | PR | SD | PD |
|---|---|---|---|---|
| A | 0 (0.0%) | 0 (0.0%) | 4 (20%) | 16 (80%) |
| B | 3 (20%) | 2 (13.3%) | 1 (6.7%) | 9 (60%) |
| C | 0 (0.0%) | 1 (33.3%) | 0 (0.0%) | 2 (66.7%) |
| χ2 | 11.28 | |||
| p = | 0.08 |
| Lobar DSM-TACE | Superselective DSM-TACE | χ2 | p = | |
|---|---|---|---|---|
| 1 month | 0.565 | 0.9043 | ||
| CR | 61/268 (22.8%) | 13/66 (19.7%) | ||
| PR | 129/268 (48%) | 34/66 (51.5%) | ||
| SD | 62/268 (23%) | 16/66 (24.2%) | ||
| PD | 16/268 (6%) | 3/66 (4.5%) | ||
| ORR | 190/268 (70.9%) | 47/66 (71.2%) | ||
| DCR | 252/268 (94%) | 63/66 (95.5%) | ||
| 3–6 months | 16.836 | 0.0008 | ||
| CR | 8/99 (8.1%) | 9/24 (37.5%) | ||
| PR | 23/99 (23.2%) | 7/24 (29.2%) | ||
| SD | 39 (39.4%) | 2/24 (8.3%) | ||
| PD | 23 (23.2%) | 6/24 (25%) | ||
| ORR | 31/99 (31.3%) | 16/24 (66.7%) | ||
| DCR | 70/99 (70.7%) | 22/24 (91.7%) | ||
| 6–9 months | 6.458 | 0.0913 | ||
| CR | 5/56 (8.9%) | 4/16 (25%) | ||
| PR | 9/56 (16.1%) | 4/16 (25%) | ||
| SD | 9/56 (16.1%) | 4/16 (25%) | ||
| PD | 33/56 (58.9%) | 4/16 (25%) | ||
| ORR | 14/56 (25%) | 8/16 (50%) | ||
| DCR | 23/56(41%) | 12/16 (75%) | ||
| 9–12 months | 0.507 | 0.9174 | ||
| CR | 3/26 (11.5%) | 1/5 (20%) | ||
| PR | 1/26 (3.8%) | 0/0 (0%) | ||
| SD | 7/26 (26.9%) | 1/5 (20%) | ||
| PD | 15/26 (57.7%) | 3/5 (60%) | ||
| ORR | 4/26 (15.4%) | 1/5 (20%) | ||
| DCR | 11/26 (42.3%) | 2/5 (40%) |
Disclaimer/Publisher’s Note: The statements, opinions and data contained in all publications are solely those of the individual author(s) and contributor(s) and not of MDPI and/or the editor(s). MDPI and/or the editor(s) disclaim responsibility for any injury to people or property resulting from any ideas, methods, instructions or products referred to in the content. |
© 2026 by the authors. Licensee MDPI, Basel, Switzerland. This article is an open access article distributed under the terms and conditions of the Creative Commons Attribution (CC BY) license.
Share and Cite
Lucatelli, P.; Travaglini, M.G.; Damato, E.; Giurazza, F.; Ierardi, A.M.; Luppi, G.; Citone, M.; Cianni, R.; De Rubeis, G.; Biondetti, P.; et al. Retrospective Italian Registry on DSM-TACE: Experience Beyond Current Recommendations. Cancers 2026, 18, 736. https://doi.org/10.3390/cancers18050736
Lucatelli P, Travaglini MG, Damato E, Giurazza F, Ierardi AM, Luppi G, Citone M, Cianni R, De Rubeis G, Biondetti P, et al. Retrospective Italian Registry on DSM-TACE: Experience Beyond Current Recommendations. Cancers. 2026; 18(5):736. https://doi.org/10.3390/cancers18050736
Chicago/Turabian StyleLucatelli, Pierleone, Maria Giulia Travaglini, Elio Damato, Francesco Giurazza, Anna Maria Ierardi, Giacomo Luppi, Michele Citone, Roberto Cianni, Gianluca De Rubeis, Pierpaolo Biondetti, and et al. 2026. "Retrospective Italian Registry on DSM-TACE: Experience Beyond Current Recommendations" Cancers 18, no. 5: 736. https://doi.org/10.3390/cancers18050736
APA StyleLucatelli, P., Travaglini, M. G., Damato, E., Giurazza, F., Ierardi, A. M., Luppi, G., Citone, M., Cianni, R., De Rubeis, G., Biondetti, P., Corvino, F., Carrubba, C., Vallati, G., Cappelli, F., Posa, A., Lippi, M., Corona, M., Panebianco, V., Catalano, C., & Iezzi, R. (2026). Retrospective Italian Registry on DSM-TACE: Experience Beyond Current Recommendations. Cancers, 18(5), 736. https://doi.org/10.3390/cancers18050736

