FIGO 2018 Versus Ontogenetic Staging for Locally Advanced Cervical Cancer: An International Multicenter Cohort Study Comparing the Two Classifications and Their Prognostic Implications
Simple Summary
Abstract
1. Introduction
2. Methods
2.1. Patient and Data Selection
2.2. Imaging and Staging
2.3. Endpoints and Statistical Analysis
3. Results
4. Discussion
5. Conclusions
Supplementary Materials
Author Contributions
Funding
Institutional Review Board Statement
Informed Consent Statement
Data Availability Statement
Conflicts of Interest
References
- Massobrio, R.; Bianco, L.; Campigotto, B.; Attianese, D.; Maisto, E.; Pascotto, M.; Ruo Redda, M.G.; Ferrero, A. New frontiers in locally advanced cervical cancer treatment. J. Clin. Med. 2024, 13, 4458. [Google Scholar] [CrossRef] [PubMed]
- Mohamud, A.; Høgdall, C.; Schnack, T. Prognostic value of the 2018 FIGO staging system for cervical cancer. Gynecol. Oncol. 2022, 165, 506–513. [Google Scholar] [CrossRef] [PubMed]
- Matsuo, K.; Machida, H.; Mandelbaum, R.S.; Konishi, I.; Mikami, M. Validation of the 2018 FIGO cervical cancer staging system. Gynecol. Oncol. 2019, 152, 87–93. [Google Scholar] [CrossRef]
- Long, X.; He, M.; Yang, L.; Zou, D.; Wang, D.; Chen, Y.; Zhou, Q. Validation of the 2018 FIGO staging system for predicting the prognosis of patients with stage IIIC cervical cancer. Clin. Med. Insights Oncol. 2023, 17, 11795549221146652. [Google Scholar] [CrossRef]
- Li, N.; Xu, P.; Hu, Y. Rationality of FIGO 2018 IIIC cervical cancer according to local tumor and pelvic lymph node metastatic extent: A cohort study. BMC Women’s Health 2025, 25, 308. [Google Scholar] [CrossRef] [PubMed]
- Höckel, M. Morphogenetic fields of embryonic development in locoregional cancer spread. Lancet Oncol. 2015, 16, e148–e151. [Google Scholar] [CrossRef]
- Höckel, M.; Behn, U. The order of cancer: A theory of malignant progression by inverse morphogenesis. Front. Oncol. 2019, 9, 416. [Google Scholar] [CrossRef]
- Höckel, M.; Trott, S.; Dornhöfer, N.; Horn, L.C.; Hentschel, B.; Wolf, B. Vulvar field resection based on ontogenetic cancer field theory for surgical treatment of vulvar carcinoma: A single-centre, single-group, prospective trial. Lancet Oncol. 2018, 19, 537–548. [Google Scholar] [CrossRef]
- Höckel, M.; Wolf, B.; Hentschel, B.; Horn, L.C. Surgical treatment and histopathological assessment of advanced cervicovaginal carcinoma: A prospective study and retrospective analysis. Eur. J. Cancer 2017, 70, 99–110. [Google Scholar] [CrossRef]
- Höckel, M.; Hentschel, B.; Horn, L.C. Association between developmental steps in the organogenesis of the uterine cervix and locoregional progression of cervical cancer: A prospective clinicopathological analysis. Lancet Oncol. 2014, 15, 445–456. [Google Scholar] [CrossRef]
- Eisenhauer, E.A.; Therasse, P.; Bogaerts, J.; Schwartz, L.H.; Sargent, D.; Ford, R.; Dancey, J.; Arbuck, S.; Gwyther, S.; Mooney, M.; et al. New response evaluation criteria in solid tumours: Revised RECIST guideline (version 1.1). Eur. J. Cancer 2009, 45, 228–247. [Google Scholar] [CrossRef]
- Höckel, M.; Horn, L.C.; Manthey, N.; Braumann, U.D.; Wolf, U.; Teichmann, G.; Frauenschläger, K.; Dornhöfer, N.; Einenkel, J. Resection of the embryologically defined uterovaginal (Müllerian) compartment and pelvic control in patients with cervical cancer: A prospective analysis. Lancet Oncol. 2009, 10, 683–692. [Google Scholar] [CrossRef] [PubMed]
- Höckel, M.; Wolf, B.; Schmidt, K.; Mende, M.; Aktas, B.; Kimmig, R.; Dornhöfer, N.; Horn, L.C. Surgical resection based on ontogenetic cancer field theory for cervical cancer: Mature results from a single-centre, prospective, observational, cohort study. Lancet Oncol. 2019, 20, 1316–1326. [Google Scholar] [CrossRef] [PubMed]
- Wolf, B.; Ganzer, R.; Stolzenburg, J.U.; Hentschel, B.; Horn, L.C.; Höckel, M. Extended mesometrial resection (EMMR): Surgical approach to the treatment of locally advanced cervical cancer based on the theory of ontogenetic cancer fields. Gynecol. Oncol. 2017, 146, 292–298. [Google Scholar] [CrossRef] [PubMed]
- Höckel, M. Ontogenetic staging of gynecologic cancer: Diagnostic management and findings. In Cancer Field Surgery in Gynecologic Oncology; Springer Nature: Cham, Switzerland, 2025; pp. 105–123. [Google Scholar]
- Torabi, M.; Aquino, S.L.; Harisinghani, M.G. Current concepts in lymph node imaging. J. Nucl. Med. 2004, 45, 1509–1518. [Google Scholar]
- Yang, W.T.; Lam, W.W.; Yu, M.Y.; Cheung, T.H.; Metreweli, C. Comparison of dynamic helical CT and dynamic MR imaging in the evaluation of pelvic lymph nodes in cervical carcinoma. AJR Am. J. Roentgenol. 2000, 175, 759–766. [Google Scholar] [CrossRef]
- R Core Team. R: A Language and Environment for Statistical Computing; R Foundation for Statistical Computing: Vienna, Austria, 2024. [Google Scholar]
- Posit Team. RStudio: Integrated Development Environment for R; Posit Software, PBC: Boston, MA, USA, 2025. Available online: http://www.posit.co/ (accessed on 30 November 2025).
- Wickham, H. ggplot2: Elegant Graphics for Data Analysis; Springer: New York, NY, USA, 2016. [Google Scholar]
- Kassambara, A.; Kosinski, M.; Biecek, P. survminer: Drawing Survival Curves Using ggplot2, R package version 0.5.1; R Foundation for Statistical Computing: Vienna, Austria, 2025. Available online: https://rpkgs.datanovia.com/survminer/ (accessed on 8 February 2026).
- Harrell, F.E. Hmisc: Harrell Miscellaneous, R package version 5.2-3; R Foundation for Statistical Computing: Vienna, Austria, 2025. Available online: https://CRAN.R-project.org/package=Hmisc (accessed on 8 February 2026).
- Davison, A.C.; Hinkley, D.V. Bootstrap Methods and Their Applications; Cambridge University Press: Cambridge, UK, 1997. [Google Scholar] [CrossRef]
- Blanche, P.; Dartigues, J.F.; Jacqmin-Gadda, H. Estimating and comparing time-dependent areas under ROC curves for censored event times with competing risks. Stat. Med. 2013, 32, 5381–5397. [Google Scholar] [CrossRef]
- Gerds, T.; Kattan, M. Medical Risk Prediction Models: With Ties to Machine Learning; Chapman & Hall/CRC: Boca Raton, FL, USA, 2021. [Google Scholar] [CrossRef]
- Höckel, M. Ontogenetic anatomy and the cancer field model of local tumor progression: The paradigm of ontogenetic cancer fields. In Cancer Field Surgery in Gynecologic Oncology; Springer Nature: Cham, Switzerland, 2025; pp. 13–21. [Google Scholar]
- Martinez, A.; Voglimacci, M.; Lusque, A.; Ducassou, A.; Gladieff, L.; Dupuis, N.; Angeles, M.A.; Martinez, C.; Tanguy Le Gac, Y.; Chantalat, E.; et al. Tumour and pelvic lymph node metabolic activity on FDG-PET/CT to stratify patients for para-aortic surgical staging in locally advanced cervical cancer. Eur. J. Nucl. Med. Mol. Imaging 2020, 47, 1252–1260. [Google Scholar] [CrossRef]
- Uzan, C.; Souadka, A.; Gouy, S.; Debaere, T.; Duclos, J.; Lumbroso, J.; Haie-Meder, C.; Morice, P. Analysis of morbidity and clinical implications of laparoscopic para-aortic lymphadenectomy in a continuous series of 98 patients with advanced-stage cervical cancer and negative PET-CT imaging in the para-aortic area. Oncologist 2011, 16, 1021–1027. [Google Scholar] [CrossRef]
- De Cuypere, M.; Lovinfosse, P.; Goffin, F.; Gennigens, C.; Rovira, R.; Duch, J.; Fastrez, M.; Gebhart, G.; Squifflet, J.L.; Luyckx, M.; et al. Added value of para-aortic surgical staging compared to (18)F-FDG PET/CT on the external beam radiation field for patients with locally advanced cervical cancer: An ONCO-GF study. Eur. J. Surg. Oncol. 2019, 46, 883–887. [Google Scholar] [CrossRef]
- Ramirez, P.T.; Jhingran, A.; Macapinlac, H.A.; Euscher, E.D.; Munsell, M.F.; Coleman, R.L.; Soliman, P.T.; Schmeler, K.M.; Frumovitz, M.; Ramondetta, L.M. Laparoscopic extraperitoneal para-aortic lymphadenectomy in locally advanced cervical cancer: A prospective correlation of surgical findings with positron emission tomography/computed tomography findings. Cancer 2011, 117, 1928–1934. [Google Scholar] [CrossRef]
- Marnitz, S.; Tsunoda, A.T.; Martus, P.; Vieira, M.; Affonso Junior, R.J.; Nunes, J.; Budach, V.; Hertel, H.; Mustea, A.; Sehouli, J.; et al. Surgical versus clinical staging prior to primary chemoradiation in patients with cervical cancer FIGO stages IIB-IVA: Oncologic results of a prospective randomized international multicenter (Uterus-11) intergroup study. Int. J. Gynecol. Cancer 2020, 30, 1855–1861. [Google Scholar] [CrossRef] [PubMed] [PubMed Central]
- Benedetti-Panici, P.; Maneschi, F.; Scambia, G.; Greggi, S.; Cutillo, G.; D’Andrea, G.; Rabitti, C.; Coronetta, F.; Capelli, A.; Mancuso, S. Lymphatic spread of cervical cancer: An anatomical and pathological study based on 225 radical hysterectomies with systematic pelvic and aortic lymphadenectomy. Gynecol. Oncol. 1996, 62, 19–24. [Google Scholar] [CrossRef] [PubMed]
- Benedetti-Panici, P.; Maneschi, F.; D’Andrea, G.; Cutillo, G.; Rabitti, C.; Congiu, M.; Coronetta, F.; Capelli, A. Early cervical carcinoma: The natural history of lymph node involvement redefined on the basis of thorough parametrectomy and giant section study. Cancer 2000, 88, 2267–2274, Erratum in Cancer 2000, 89, 473. [Google Scholar] [CrossRef] [PubMed]
- Querleu, D.; Morrow, C.P. Classification of radical hysterectomy. Lancet Oncol. 2008, 9, 297–303. [Google Scholar] [CrossRef] [PubMed]
- Kubitschke, H.; Wolf, B.; Morawetz, E.; Horn, L.-C.; Aktas, B.; Behn, U.; Höckel, M.; Käs, J. Roadmap to Local Tumour Growth: Insights from Cervical Cancer. Sci. Rep. 2019, 9, 12768. [Google Scholar] [CrossRef]
- Suprasert, P.; Srisomboon, J.; Kasamatsu, T. Radical hysterectomy for stage IIB cervical cancer: A review. Int. J. Gynecol. Cancer 2005, 15, 995–1001. [Google Scholar] [CrossRef] [PubMed]
- Sodeikat, P.; Lia, M.; Martin, M.; Horn, L.C.; Höckel, M.; Aktas, B.; Wolf, B. The Importance of Clinical Examination under General Anesthesia: Improving Parametrial Assessment in Cervical Cancer Patients. Cancers 2021, 13, 2961. [Google Scholar] [CrossRef] [PubMed] [PubMed Central]
- Höckel, M. Long-Term Experience with (Laterally) Extended Endopelvic Resection (LEER) in Relapsed Pelvic Malignancies. Curr. Oncol. Rep. 2015, 17, 9. [Google Scholar] [CrossRef]








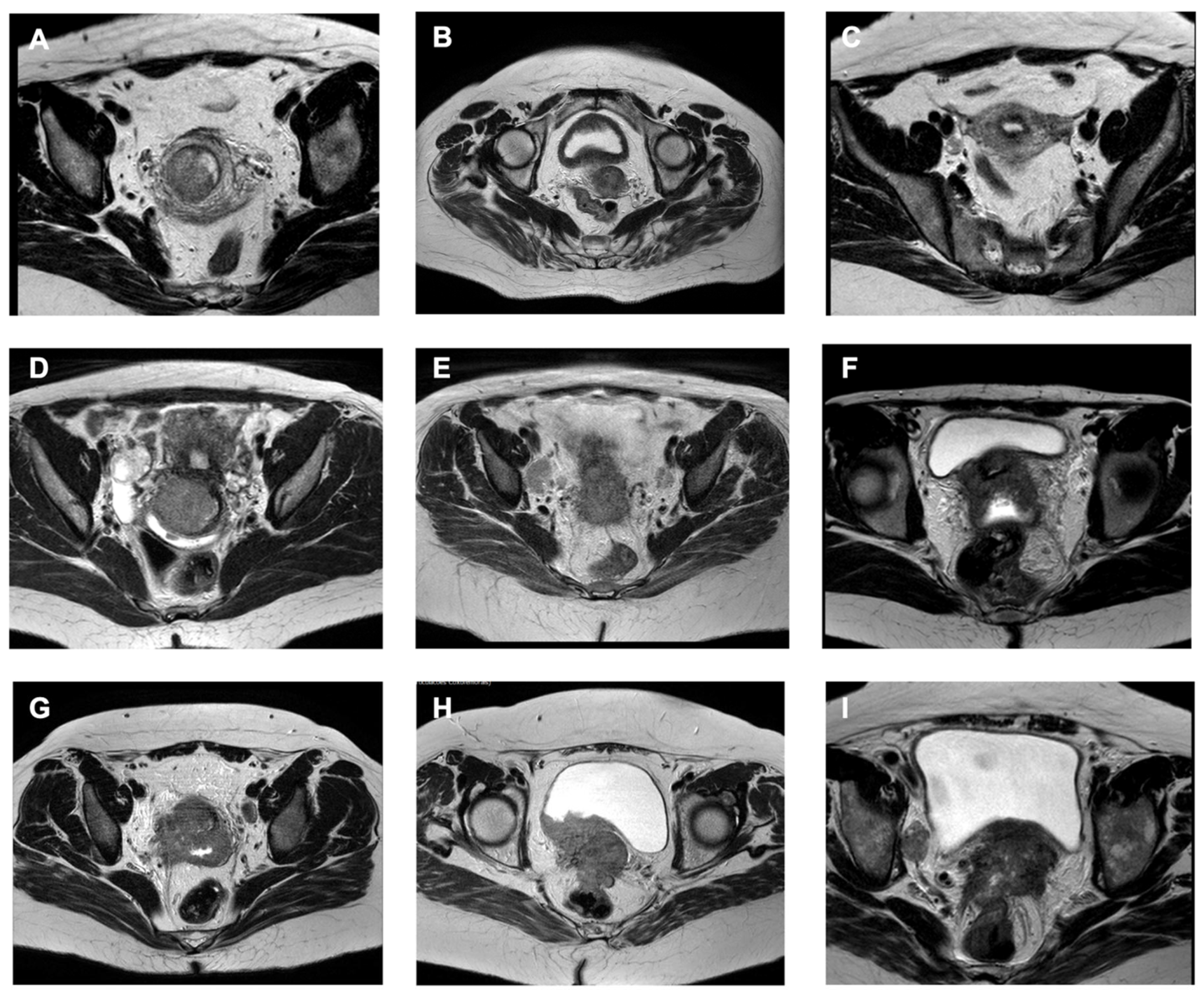
| Ontogenetic Tumor (oT) Stage | Description | Landmarks on MRI |
|---|---|---|
| oT1 | The tumor is limited to the cervical stroma. | The pelvic MRI in the T2 mode shows an uninterrupted dark cervical border zone in both transverse and sagittal planes and no evidence of tumor invasion of the uterine corpus. |
| oT2 | The tumor is limited to the Müllerian compartment (includes cases of initial parametrial involvement limited to the paracervix, without fatty tissue/mesometrium invasion). | Pelvic MRI in the T2 mode can show an interrupted dark cervical border zone in both transverse and sagittal planes, without signs of invasion on urogenital mesentery components (uterine artery with fatty tissue, uterosacral ligaments, bladder mesentery, and inferior hypogastric plexus branches) or bladder adventitia.
|
| oT3a | The cancer infiltrates any anatomical compartment derived from the Müllerian duct morphogenetic field. | Involvement of any of the following structures:
|
| oT3b | The cancer infiltrates any compartment matured from the primordial genital tract morphogenetic field. | MRI shows extracervical tumor spread up to the border of the parietal (somatic) retro-, subperitoneum, and peritoneum; endopelvic fascia; and mesorectum, but there is no evidence of infiltration of these tissues. Unilateral or bilateral ureteral dilatation is often present but not obligatory. Tumor involvement of the urethral and bladder wall with or without infiltration of the mucosal layer is often obvious with MRI. Involvement of any of the following structures:
|
| oT4 | The most advanced ontogenetic local tumor stage is evident if the cancer infiltrates tissues derived from the mesonephric system morphogenetic field, in addition to the oT3b cancer field. oT4 tumors can infiltrate any pelvic and abdominal tissue, except the spinal column and adjacent autochthonous musculature. | Involvement of any of the following structures:
|
| Ontogenetic Anatomical Structure | Corresponding Conventional Anatomic Structure |
|---|---|
| Urogenital mesentery | Structure composed of uterine arteries and veins with their surrounding fatty tissue, bladder mesenteries, inferior hypogastric plexus, and vaginal vessels with their adjacent fatty tissue. Corresponds to the parametrium with its fatty tissue portion. |
| Distal urogenital mesentery | Distal parametrium portion up to the pelvic side wall, subperitoneum and endopelvic fascia. Usually corresponds to FIGO IIIB. |
| Vascular mesometrium | Uterine arteries and veins with their surrounding fatty tissue. |
| Ligamentous mesometrium | Uterosacral ligaments. |
| Mesocolpium | Sacrovaginal ligaments. |
| Parietal structures | Pelvic muscles, sacral roots, sciatic nerve, bone, and major vessels. |
| Characteristic | Brazil N = 274 1 | Russia N = 67 1 | p-Value 2 |
|---|---|---|---|
| Patient age (years) | 48 (38, 58) | 52 (45, 65) | 0.003 |
| FIGO (2018) stage | 0.046 | ||
| IIB | 65.0 (23.7%) | 28.0 (41.8%) | |
| IIIA | 5.0 (1.8%) | 1.0 (1.5%) | |
| IIIB | 23.0 (8.4%) | 8.0 (11.9%) | |
| IIIC1 | 139.0 (50.7%) | 24.0 (35.8%) | |
| IIIC2 | 24.0 (8.8%) | 4.0 (6.0%) | |
| IVA | 18.0 (6.6%) | 2.0 (3.0%) | |
| Ontogenetic tumor (oT) stage | 0.14 | ||
| oT2 | 60.0 (21.9%) | 16.0 (23.9%) | |
| oT3a | 77.0 (28.1%) | 25.0 (37.3%) | |
| oT3b | 87.0 (31.8%) | 21.0 (31.3%) | |
| oT4 | 50.0 (18.2%) | 5.0 (7.5%) | |
| Lymph node metastasis | 176.0 (64.2%) | 28.0 (41.8%) | <0.001 |
| Tumor size (mm) | 53 (42, 65) | 49 (42, 59) | 0.2 |
| Histologic subtype | 0.11 | ||
| Adenocarcinoma | 27.0 (9.9%) | 10.0 (14.9%) | |
| Adenosquamous carcinoma | 2.0 (0.7%) | 2.0 (3.0%) | |
| Squamous cell carcinoma | 245.0 (89.4%) | 55.0 (82.1%) | |
| Local staging (pelvis) | |||
| Pelvic MRI | 274 (100%) | 67 (100%) | |
| Retroperitoneum, upper abdomen and chest evaluation | |||
| CT scans | 274 (100%) | 67 (100%) | |
| PET/CT | 10 (3.6%) | 6 (8.9%) | |
| Treatment | <0.001 | ||
| Concurrent chemoradiotherapy | 223.0 (81.4%) | 35.0 (52.2%) | |
| Induction chemotherapy + concurrent chemoradiotherapy (same as INTERLACE trial regimen) | 42.0 (15.3%) | 30.0 (44.8%) | |
| Pembrolizumab + concurrent chemoradiotherapy (same as Keynote-A18 trial regimen) | 4.0 (1.5%) | 2.0 (3.0%) | |
| Radiotherapy only | 5.0 (1.8%) | 0.0 (0.0%) | |
| Type of radiotherapy tecnique | |||
| EBRT (IMRT) 40–50 Gy + brachytherapy 28–40 Gy | 70 (25.5%) | 67 (100%) | |
| EBRT (3D CRT) 40–50 Gy + brachytherapy 28–40 Gy | 204 (74.4%) | 0 | |
| Extended-field EBRT (IMRT) | 4 (1.4%) | 4.0 (6.0%) | |
| Extended-field EBRT (3D CRT) | 20.0 (7.3%) | 0 | |
| Recurrence type | <0.001 | ||
| distant | 14.0 (5.1%) | 3.0 (4.5%) | |
| local | 76.0 (27.7%) | 4.0 (6.0%) | |
| local + distant | 18.0 (6.6%) | 4.0 (6.0%) | |
| no recurrence | 166.0 (60.6%) | 56.0 (83.6%) |
Disclaimer/Publisher’s Note: The statements, opinions and data contained in all publications are solely those of the individual author(s) and contributor(s) and not of MDPI and/or the editor(s). MDPI and/or the editor(s) disclaim responsibility for any injury to people or property resulting from any ideas, methods, instructions or products referred to in the content. |
© 2026 by the authors. Licensee MDPI, Basel, Switzerland. This article is an open access article distributed under the terms and conditions of the Creative Commons Attribution (CC BY) license.
Share and Cite
Rezende, B.; Wolf, B.; Colman, V.; Oliveira, R.d.; Kulikova, S.; Sorokin, P. FIGO 2018 Versus Ontogenetic Staging for Locally Advanced Cervical Cancer: An International Multicenter Cohort Study Comparing the Two Classifications and Their Prognostic Implications. Cancers 2026, 18, 689. https://doi.org/10.3390/cancers18040689
Rezende B, Wolf B, Colman V, Oliveira Rd, Kulikova S, Sorokin P. FIGO 2018 Versus Ontogenetic Staging for Locally Advanced Cervical Cancer: An International Multicenter Cohort Study Comparing the Two Classifications and Their Prognostic Implications. Cancers. 2026; 18(4):689. https://doi.org/10.3390/cancers18040689
Chicago/Turabian StyleRezende, Bruno, Benjamin Wolf, Vinicius Colman, Rivadavio de Oliveira, Svetlana Kulikova, and Pavel Sorokin. 2026. "FIGO 2018 Versus Ontogenetic Staging for Locally Advanced Cervical Cancer: An International Multicenter Cohort Study Comparing the Two Classifications and Their Prognostic Implications" Cancers 18, no. 4: 689. https://doi.org/10.3390/cancers18040689
APA StyleRezende, B., Wolf, B., Colman, V., Oliveira, R. d., Kulikova, S., & Sorokin, P. (2026). FIGO 2018 Versus Ontogenetic Staging for Locally Advanced Cervical Cancer: An International Multicenter Cohort Study Comparing the Two Classifications and Their Prognostic Implications. Cancers, 18(4), 689. https://doi.org/10.3390/cancers18040689

