Radiation Dose to Swallowing Muscles and Post-Radiotherapy Laryngeal Penetration or Aspiration in Head and Neck Squamous Cell Carcinoma
Simple Summary
Abstract
1. Introduction
2. Materials and Methods
2.1. Study Population
2.2. Radiotherapy Treatment
2.3. Swallowing Assessment
2.4. Case Group
2.5. Control Group
2.6. Variables
2.6.1. Exposure
2.6.2. Outcome
2.7. Confounders
2.7.1. Clinical Confounders
2.7.2. Dosimetric Confounders
2.8. Statistical Analysis
3. Results
4. Discussion
5. Conclusions
Supplementary Materials
Author Contributions
Funding
Institutional Review Board Statement
Informed Consent Statement
Data Availability Statement
Conflicts of Interest
Abbreviations
| CI | Confidence interval |
| CT | Computed tomography |
| CTV-HR | High-risk clinical target volume |
| CTV-IR | Intermediate-risk clinical target volume |
| DARS | Dysphagia/aspiration-associated structures |
| FEES | Fiberoptic endoscopic evaluation of swallowing |
| FOM | Floor of the mouth |
| GTV | Gross tumor volume |
| ITM | Intrinsic tongue muscles |
| LASSO | Least absolute shrinkage and selection operator |
| LPM | Longitudinal pharyngeal muscles |
| OR | Odds ratio |
| PAS | Penetration-Aspiration Scale |
| PTV | Planning target volume |
| SGA | Subjective Global Assessment |
References
- Gawryszuk, A.; Bijl, H.P.; Holwerda, M.; Halmos, G.B.; Wedman, J.; Witjes, M.J.H.; van der Vliet, A.M.; Dorgelo, B.; Langendijk, J.A. Functional swallowing units (FSUs) as organs-at-risk for radiotherapy. Part 1: Physiology and anatomy. Radiother. Oncol. 2019, 130, 62–67. [Google Scholar] [CrossRef]
- Xu, B.; Boero, I.J.; Hwang, L.; Le, Q.T.; Moiseenko, V.; Sanghvi, P.R.; Cohen, E.E.W.; Mell, L.K.; Murphy, J.D. Aspiration pneumonia after concurrent chemoradiotherapy for head and neck cancer. Cancer 2014, 121, 1303–1311. [Google Scholar] [CrossRef] [PubMed]
- Kawai, S.; Yokota, T.; Onozawa, Y.; Hamauchi, S.; Fukutomi, A.; Ogawa, H.; Onoe, T.; Onitsuka, T.; Yurikusa, T.; Todaka, A.; et al. Risk factors for aspiration pneumonia after definitive chemoradiotherapy or bio-radiotherapy for locally advanced head and neck cancer: A monocentric case control study. BMC Cancer 2017, 17, 59. [Google Scholar] [CrossRef] [PubMed]
- Eisbruch, A.; Lyden, T.; Bradford, C.R.; Dawson, L.A.; Haxer, M.J.; Miller, A.E.; Teknos, T.N.; Chepeha, D.B.; Hogikyan, N.D.; Terrell, J.E.; et al. Objective assessment of swallowing dysfunction and aspiration after radiation concurrent with chemotherapy for head-and-neck cancer. Int. J. Radiat. Oncol. Biol. Phys. 2002, 53, 23–28. [Google Scholar] [CrossRef] [PubMed]
- Eisbruch, A.; Schwartz, M.; Rasch, C.; Vineberg, K.; Damen, E.; Van As, C.J.; Marsh, R.; Pameijer, F.A.; Balm, A.J.M. Dysphagia and aspiration after chemoradiotherapy for head-and-neck cancer: Which anatomic structures are affected and can they be spared by IMRT? Int. J. Radiat. Oncol. Biol. Phys. 2004, 60, 1425–1439. [Google Scholar] [CrossRef]
- Eisbruch, A.; Kim, H.M.; Feng, F.Y.; Lyden, T.H.; Haxer, M.J.; Feng, M.; Worden, F.P.; Bradford, C.R.; Prince, M.E.; Moyer, J.S.; et al. Chemo-IMRT of oropharyngeal cancer aiming to reduce dysphagia: Swallowing organs late complication probabilities and dosimetric correlates. Int. J. Radiat. Oncol. Biol. Phys. 2011, 81, e93–e99. [Google Scholar] [CrossRef]
- Caudell, J.J.; Schaner, P.E.; Desmond, R.A.; Meredith, R.F.; Spencer, S.A.; Bonner, J.A. Dosimetric factors associated with long-term dysphagia after definitive radiotherapy for squamous cell carcinoma of the head and neck. Int. J. Radiat. Oncol. Biol. Phys. 2010, 76, 403–409. [Google Scholar] [CrossRef]
- Levendag, P.C.; Teguh, D.N.; Voet, P.; van der Est, H.; Noever, I.; de Kruijf, W.J.M.; Kolkman-Deurloo, I.K.; Prevost, J.B.; Poll, J.; Schmitz, P.I.M.; et al. Dysphagia disorders in patients with cancer of the oropharynx are significantly affected by the radiation therapy dose to the superior and middle constrictor muscle: A dose-effect relationship. Radiother. Oncol. 2007, 85, 64–73. [Google Scholar] [CrossRef]
- Feng, F.Y.; Kim, H.M.; Lyden, T.H.; Haxer, M.J.; Feng, M.; Worden, F.P.; Chepeha, D.B.; Eisbruch, A. Intensity-modulated radiotherapy of head and neck cancer aiming to reduce dysphagia: Early dose-effect relationships for the swallowing structures. Int. J. Radiat. Oncol. Biol. Phys. 2007, 68, 1289–1298. [Google Scholar] [CrossRef]
- Nutting, C.; Finneran, L.; Roe, J.; Sydenham, M.A.; Beasley, M.; Bhide, S.; Boon, C.; Cook, A.; De Winton, E.; Emson, M.; et al. Dysphagia-optimised intensity-modulated radiotherapy versus standard intensity-modulated radiotherapy in patients with head and neck cancer (DARS): A phase 3, multicentre, randomised, controlled trial. Lancet Oncol. 2023, 24, 868–880. [Google Scholar] [CrossRef]
- Lee, A.W.; Ng, W.T.; Pan, J.J.; Chiang, C.L.; Poh, S.S.; Choi, H.C.; Ahn, Y.C.; AlHussain, H.; Corry, J.; Grau, C.; et al. International guideline on dose prioritization and acceptance criteria in radiation therapy planning for nasopharyngeal carcinoma. Int. J. Radiat. Oncol. Biol. Phys. 2019, 105, 567–580. [Google Scholar] [CrossRef]
- Jensen, K.; Friborg, J.; Hansen, C.R.; Samsøe, E.; Johansen, J.; Andersen, M.; Smulders, B.; Andersen, E.; Nielsen, M.S.; Eriksen, J.G.; et al. The Danish Head and Neck Cancer Group (DAHANCA) 2020 radiotherapy guidelines. Radiother. Oncol. 2020, 151, 149–151. [Google Scholar] [CrossRef]
- Pearson, W.G., Jr.; Hindson, D.F.; Langmore, S.E.; Zumwalt, A.C. Evaluating swallowing muscles essential for hyolaryngeal elevation by using muscle functional magnetic resonance imaging. Int. J. Radiat. Oncol. Biol. Phys. 2013, 85, 735–740. [Google Scholar] [CrossRef]
- Kumar, R.; Madanikia, S.; Starmer, H.; Yang, W.; Murano, E.; Alcorn, S.; McNutt, T.; Le, Y.; Quon, H. Radiation dose to the floor of mouth muscles predicts swallowing complications following chemoradiation in oropharyngeal squamous cell carcinoma. Oral Oncol. 2014, 50, 65–70. [Google Scholar] [CrossRef]
- Kamal, M.; Mohamed, A.S.R.; Volpe, S.; Zaveri, J.; Barrow, M.P.; Gunn, G.B.; Lai, S.Y.; Ferrarotto, R.; Lewin, J.S.; Rosenthal, D.I.; et al. Radiotherapy dose-volume parameters predict videofluoroscopy-detected dysphagia per DIGEST after IMRT for oropharyngeal cancer: Results of a prospective registry. Radiother. Oncol. 2018, 128, 442–451. [Google Scholar] [CrossRef]
- Dale, T.; Hutcheson, K.; Mohamed, A.S.; Lewin, J.S.; Gunn, G.B.; Rao, A.U.; Kalpathy-Cramer, J.; Frank, S.J.; Garden, A.S.; Messer, J.A.; et al. Beyond mean pharyngeal constrictor dose for beam path toxicity in non-target swallowing muscles: Dose-volume correlates of chronic radiation-associated dysphagia (RAD) after oropharyngeal intensity modulated radiotherapy. Radiother. Oncol. 2016, 118, 304–314. [Google Scholar] [CrossRef]
- Gawryszuk, A.; Bijl, H.P.; Holwerda, M.; Halmos, G.B.; Wedman, J.; Witjes, M.J.H.; van der Vliet, A.M.; Dorgelo, B.; Langendijk, J.A. Functional swallowing units (FSUs) as organs-at-risk for radiotherapy. Part 2: Advanced delineation guidelines for FSUs. Radiother. Oncol. 2019, 130, 68–74. [Google Scholar] [CrossRef] [PubMed]
- Cox, J.D.; Stetz, J.; Pajak, T.F. Toxicity criteria of the Radiation Therapy Oncology Group (RTOG) and the European Organization for Research and Treatment of Cancer (EORTC). Int. J. Radiat. Oncol. Biol. Phys. 1995, 31, 1341–1346. [Google Scholar] [CrossRef]
- Robbins, J.; Coyle, J.; Rosenbek, J.; Roecker, E.; Wood, J. Differentiation of normal and abnormal airway protection during swallowing using the penetration-aspiration scale. Dysphagia 1999, 14, 228–232. [Google Scholar] [CrossRef] [PubMed]
- Daggett, A.; Logemann, J.; Rademaker, A.; Pauloski, B. Laryngeal penetration during deglutition in normal subjects of various ages. Dysphagia 2006, 21, 270–274. [Google Scholar] [CrossRef] [PubMed]
- Pikus, L.; Levine, M.S.; Yang, Y.-X.; Rubesin, S.E.; Katzka, D.A.; Laufer, I.; Gefter, W.B. Videofluoroscopic studies of swallowing dysfunction and the relative risk of pneumonia. Am. J. Roentgenol. 2003, 180, 1613–1616. [Google Scholar] [CrossRef]
- Ho, D.E.; Imai, K.; King, G.; Stuart, E.A. MatchIt: Nonparametric preprocessing for parametric causal inference. J. Stat. Softw. 2011, 42, 1–28. [Google Scholar] [CrossRef]
- Jiang, N.; Zhang, L.J.; Li, L.Y.; Zhao, Y.; Eisele, D.W. Risk factors for late dysphagia after (chemo)radiotherapy for head and neck cancer: A systematic methodological review. Head Neck 2016, 38, 792–800. [Google Scholar] [CrossRef]
- Kuhn, M.A.; Gillespie, M.B.; Ishman, S.L.; Ishii, L.E.; Brody, R.; Cohen, E.; Dhar, S.I.; Hutcheson, K.; Jefferson, G.; Johnson, F.; et al. Expert consensus statement: Management of dysphagia in head and neck cancer patients. Otolaryngol. Head Neck Surg. 2023, 168, 571–592. [Google Scholar] [CrossRef] [PubMed]
- Chen, K.; Xing, L.; Xu, B.; Li, Y.; Liu, T.; Zhang, T.; Shi, H.; Lu, H.; Zhou, W.; Hou, J.; et al. Research progress in the risk factors and screening assessment of dysphagia in the elderly. Front. Med. 2022, 9, 1021763. [Google Scholar] [CrossRef] [PubMed]
- Huynh, T.M.; Dale, E.; Falk, R.S.; Hellebust, T.P.; Astrup, G.L.; Malinen, E.; Edin, N.F.J.; Bjordal, K.; Herlofson, B.B.; Kiserud, C.E.; et al. Radiation-induced long-term dysphagia in survivors of head and neck cancer and association with dose-volume parameters. Radiother. Oncol. 2024, 190, 110044. [Google Scholar] [CrossRef] [PubMed]
- Langendijk, J.A.; Doornaert, P.; Rietveld, D.H.F.; Verdonck-de Leeuw, I.M.; Leemans, C.R.; Slotman, B.J. A predictive model for swallowing dysfunction after curative radiotherapy in head and neck cancer. Radiother. Oncol. 2009, 90, 189–195. [Google Scholar] [CrossRef]
- Prasad, N.; Sinha, A. Subjective Global Assessment (SGA) of Malnutrition. In Handbook of Famine, Starvation, and Nutrient Deprivation: From Biology to Policy; Preedy, V.R., Patel, V.B., Eds.; Springer International Publishing: Cham, Switzerland, 2019; pp. 643–663. [Google Scholar] [CrossRef]
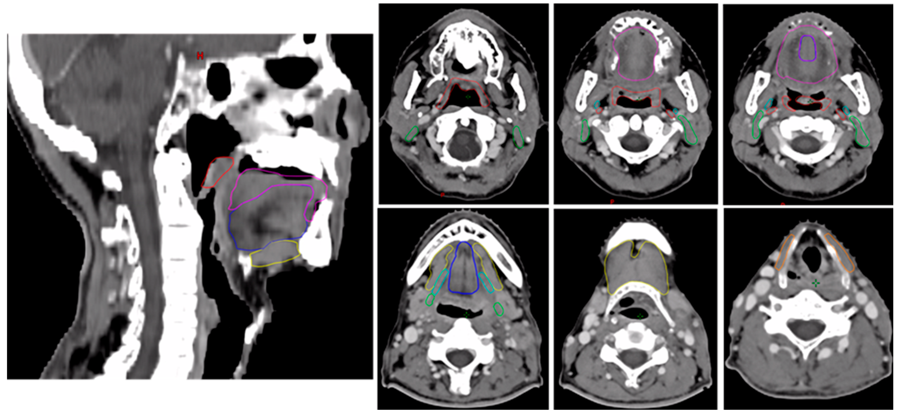
- Brouwer, C.L.; Steenbakkers, R.J.H.M.; Bourhis, J.; Budach, W.; Grau, C.; Grégoire, V.; van Herk, M.; Lee, A.; Maingon, P.; Nutting, C.; et al. CT-based delineation of organs at risk in the head and neck region: DAHANCA, EORTC, GORTEC, HKNPCSG, NCIC CTG, NCRI, NRG Oncology and TROG consensus guidelines. Radiother. Oncol. 2015, 117, 83–90. [Google Scholar] [CrossRef]
- Friedman, J.; Hastie, T.; Tibshirani, R. Regularization paths for generalized linear models via coordinate descent. J. Stat. Softw. 2010, 33, 1–22. [Google Scholar] [CrossRef]
- R Core Team. R: A Language and Environment for Statistical Computing; R Foundation for Statistical Computing: Vienna, Austria, 2023; Available online: https://www.R-project.org/ (accessed on 29 January 2026).
- Yeung, J.; Burke, P.G.R.; Knapman, F.L.; Patti, J.; Brown, E.C.; Gandevia, S.C.; Eckert, D.J.; Butler, J.E.; Bilston, L.E. Task-dependent neural control of regions within human genioglossus. J. Appl. Physiol. 2022, 132, 527–540. [Google Scholar] [CrossRef]
- Sanders, I.; Mu, L. A three-dimensional atlas of human tongue muscles. Anat. Rec. 2013, 296, 1102–1114. [Google Scholar] [CrossRef] [PubMed]
- Pu, D.; Lee, V.H.F.; Chan, K.M.K.; Yuen, M.T.Y.; Quon, H.; Tsang, R.K.Y. The relationships between radiation dosage and long-term swallowing kinematics and timing in nasopharyngeal carcinoma survivors. Dysphagia 2022, 37, 612–621. [Google Scholar] [CrossRef] [PubMed]
- Langmore, S.E. History of Fiberoptic Endoscopic Evaluation of Swallowing for Evaluation and Management of Pharyngeal Dysphagia: Changes over the Years. Dysphagia 2017, 32, 27–38. [Google Scholar] [CrossRef] [PubMed]



| Variable | Total | Without Laryngeal Penetration/Aspiration | With Laryngeal Penetration/Aspiration | p-Value |
|---|---|---|---|---|
| (n = 44) | (n = 22) | (n = 22) | ||
| PAS | <0.001 b | |||
| Median (IQR) | 2.5 (1, 4) | 1 (1, 2) | 4 (3, 7) | |
| Age | 0.119 a | |||
| Mean (SD) | 53.5 (9.5) | 55.7 (8.3) | 51.2 (10.2) | |
| Swallowing assessment | 0.125 c | |||
| FEES | 18 (40.9) | 6 (27.3) | 12 (54.5) | |
| VFSS | 26 (59.1) | 16 (72.7) | 10 (45.5) | |
| Time from radiotherapy to swallowing assessment (months) | 0.071 b | |||
| Median (IQR) | 10.8 (8, 20.1) | 9.6 (6.9, 14.8) | 14.6 (8.8, 29.4) | |
| Sex | 0.24 d | |||
| Male | 36 (81.8) | 16 (72.7) | 20 (90.9) | |
| Female | 8 (18.2) | 6 (27.3) | 2 (9.1) | |
| Site | 1 c | |||
| Nasopharynx | 30 (68.2) | 15 (68.2) | 15 (68.2) | |
| Oropharynx | 14 (31.8) | 7 (31.8) | 7 (31.8) | |
| ECOG PS | 1 d | |||
| 0 | 1 (2.3) | 0 (0) | 1 (4.5) | |
| 1 | 2 (4.5) | 1 (4.5) | 1 (4.5) | |
| 2 | 40 (90.9) | 20 (90.9) | 20 (90.9) | |
| 3 | 1 (2.3) | 1 (4.5) | 0 (0) | |
| SGA | 0.894 d | |||
| A | 27 (61.4) | 14 (63.6) | 13 (59.1) | |
| B | 12 (27.3) | 5 (22.7) | 7 (31.8) | |
| C | 1 (2.3) | 1 (4.5) | 0 (0) | |
| Missing | 4 (9.1) | 2 (9.1) | 2 (9.1) | |
| Smoking | 0.108 d | |||
| No | 3 (6.8) | 3 (13.6) | 0 (0) | |
| Yes | 40 (90.9) | 18 (81.8) | 22 (100) | |
| Missing | 1 (2.3) | 1 (4.5) | 0 (0) | |
| Feeding tube during treatment | 0.488 d | |||
| No | 2 (4.5) | 0 (0) | 2 (9.1) | |
| Yes | 42 (95.5) | 22 (100) | 20 (90.9) | |
| Tracheostomy | 0.233 d | |||
| No | 41 (93.2) | 22 (100) | 19 (86.4) | |
| Yes | 3 (6.8) | 0 (0) | 3 (13.6) | |
| T stage | 0.864 d | |||
| 1 | 1 (2.3) | 0 (0) | 1 (4.5) | |
| 2 | 2 (4.5) | 1 (4.5) | 1 (4.5) | |
| 3 | 11 (25) | 5 (22.7) | 6 (27.3) | |
| 4 | 30 (68.2) | 16 (72.7) | 14 (63.6) | |
| N stage | 0.265 d | |||
| 0 | 1 (2.3) | 0 (0) | 1 (4.5) | |
| 1 | 1 (2.3) | 0 (0) | 1 (4.5) | |
| 2 | 27 (61.4) | 16 (72.7) | 11 (50) | |
| 3 | 15 (34.1) | 6 (27.3) | 9 (40.9) | |
| Stage group | 0.51 c | |||
| II | 1 (2.3) | 1 (4.5) | 0 (0) | |
| III | 13 (29.5) | 5 (22.7) | 8 (36.4) | |
| IV | 30 (68.2) | 16 (72.7) | 14 (63.6) | |
| Chemotherapy sequence | 0.196 d | |||
| Concurrent | 13 (29.5) | 5 (22.7) | 8 (36.4) | |
| Induction and concurrent | 6 (13.6) | 5 (22.7) | 1 (4.5) | |
| Concurrent and adjuvant | 25 (56.8) | 12 (54.5) | 13 (59.1) | |
| Radiation dose | 0.34 b | |||
| Median (IQR) | 70 (70, 70) | 70 (70, 70) | 70 (70, 70) | |
| Swallowing rehabilitation | 1 c | |||
| Yes | 17 (38.6) | 9 (40.9) | 8 (36.4) | |
| No | 27 (61.4) | 13 (59.1) | 14 (63.6) |
| Variable | Total | Without Laryngeal Penetration/Aspiration | With Laryngeal Penetration/Aspiration | p-Value |
|---|---|---|---|---|
| (n = 44) | (n = 22) | (n = 22) | ||
| FOMmean | 69.99 (64.28, 73.82) | 69.5 (61, 71) | 72.9 (67.6, 74.7) | 0.017 b |
| FOMmin | 52.6 (12.6) | 50.1 (10.6) | 55 (14.1) | 0.199 a |
| FOMmax | 77.35 (75.06, 79.23) | 76.3 (74.1, 77.8) | 78.9 (75.9, 82.8) | 0.009 b |
| FOM V30 | 100 (100, 100) | 100 (100, 100) | 100 (100, 100) | 0.34 b |
| FOM V40 | 100 (100, 100) | 100 (100, 100) | 100 (100, 100) | 0.754 b |
| FOM V50 | 100 (98.31, 100) | 100 (96.4, 100) | 100 (100, 100) | 0.392 b |
| FOM V60 | 97.88 (81.42, 100.00) | 96.9 (65.6, 99) | 99.3 (90, 100) | 0.157 b |
| FOM V70 | 62.66 (9.39, 93.79) | 51.9 (7.9, 69.4) | 89.7 (40, 99.9) | 0.029 b |
| THMmean | 67.1 (8.7) | 64.5 (7.7) | 69.6 (9) | 0.049 a |
| THMmin | 45.7 (14.4) | 43.3 (13.7) | 48.1 (14.9) | 0.271 a |
| THMmax | 76.8 (5.7) | 74.8 (4.4) | 78.8 (6.2) | 0.018 a |
| THM V30 | 100 (100, 100) | 100 (100, 100) | 100 (100, 100) | 0.655 b |
| THM V40 | 100 (99.92, 100) | 100 (99.9, 100) | 100 (100, 100) | 0.59 b |
| THM V50 | 99.97 (95.32, 100) | 98.5 (94.2, 100) | 100 (99.3, 100) | 0.098 b |
| THM V60 | 94.62 (70.84, 99.74) | 77.4 (64.3, 97.6) | 99.5 (89, 100) | 0.048 b |
| THM V70 | 46.1 (37.7) | 32.8 (36.4) | 59.3 (35) | 0.018 a |
| PDSmean | 71.4 (5) | 69.8 (3.8) | 72.9 (5.6) | 0.038 a |
| PDSmin | 49.7 (14.1) | 46 (14.9) | 53.5 (12.6) | 0.078 a |
| PDSmax | 76.93 (75.87, 78.29) | 76.5 (75.4, 77.3) | 78 (76.2, 80.5) | 0.042 b |
| PDS V30 | 100 (100, 100) | 100 (100, 100) | 100 (100, 100) | 0.081 b |
| PDS V40 | 100 (100, 100) | 100 (99.7, 100) | 100 (100, 100) | 0.141 b |
| PDS V50 | 99.98 (98.09, 100) | 99.5 (97.2, 100) | 100 (99.7, 100) | 0.103 b |
| PDS V60 | 97.59 (89.65, 100) | 94.3 (87.5, 99.8) | 99.3 (92, 100) | 0.227 b |
| PDS V70 | 78.59 (59.81, 96.43) | 68.2 (55.3, 88.2) | 87.1 (70.2, 98.5) | 0.139 b |
| LPMmean | 73.42 (72.12, 75.08) | 73.3 (71.3, 74.3) | 73.7 (72.3, 75.8) | 0.105 b |
| LPMmin | 68.99 (60.06, 71.32) | 69.2 (61.4, 71) | 68.1 (59.8, 71.9) | 0.778 b |
| LPMmax | 76.80 (75.39, 78.34) | 76.6 (75.2, 77.6) | 77.3 (76.3, 80.4) | 0.156 b |
| LPM V30 | 100 (100, 100) | 100 (100, 100) | 100 (100, 100) | 0.162 b |
| LPM V40 | 100 (100, 100) | 100 (100, 100) | 100 (100, 100) | 0.081 b |
| LPM V50 | 100 (100, 100) | 100 (100, 100) | 100 (100, 100) | 0.279 b |
| LPM V60 | 100 (100, 100) | 100 (100, 100) | 100 (100, 100) | 0.914 b |
| LPM V70 | 99.78 (87.16, 100) | 99.9 (80.9, 100) | 98.9 (89.9, 100) | 0.942 b |
| HSGmean | 72.25 (67.30, 74.00) | 69.4 (65.3, 72.9) | 73.5 (71.8, 75.9) | 0.007 b |
| HSGmin | 59.16 (49.55, 66.26) | 54.9 (45.7, 59.4) | 65.4 (56.8, 69.3) | 0.012 b |
| HSGmax | 76.50 (74.77, 78.28) | 75.8 (74.5, 77.3) | 77.7 (76.1, 79.8) | 0.032 b |
| HSG V30 | 100 (100, 100) | 100 (100, 100) | 100 (100, 100) | 0.34 b |
| HSG V40 | 100 (100, 100) | 100 (100, 100) | 100 (100, 100) | 0.537 b |
| HSG V50 | 100 (99.97, 100) | 100 (98.4, 100) | 100 (100, 100) | 0.134 b |
| HSG V60 | 99.91 (88.32, 100) | 99.1 (76.6, 99.9) | 100 (99.8, 100) | 0.008 b |
| HSG V70 | 83.85 (39.59, 99.09) | 64.5 (35.6, 90.3) | 98.3 (80.9, 99.8) | 0.028 b |
| GGSmean | 62.82 (54.45, 67.66) | 57.4 (52.9, 62.7) | 65.4 (62.8, 71.9) | 0.004 b |
| GGSmin | 35.6 (10) | 32.7 (6.7) | 38.6 (12) | 0.049 a |
| GGSmax | 75.02 (72.64, 77.84) | 74.4 (71.9, 77) | 76.6 (74.2, 80.6) | 0.069 b |
| GGS V30 | 100 (99.89, 100) | 100 (99.5, 100) | 100 (100, 100) | 0.482 b |
| GGS V40 | 95.41 (88.49, 100) | 91.9 (84.2, 98.2) | 98.3 (94, 100) | 0.041 b |
| GGS V50 | 82.20 (67.64, 96.20) | 76.5 (58.6, 87.3) | 86.2 (81.7, 99.9) | 0.011 b |
| GGS V60 | 58.1 (32.1) | 46.1 (28.8) | 70.1 (31.3) | 0.012 a |
| GGS V70 | 35.7 (33.3) | 20.5 (25.5) | 51 (33.7) | 0.002 a |
| ITMmean | 56.4 (9.3) | 54.3 (7) | 58.6 (10.9) | 0.122 a |
| ITMmin | 30.57 (27.48, 36.65) | 28.4 (26.6, 32.2) | 32.2 (28.6, 39.8) | 0.051 b |
| ITMmax | 75.94 (74.44, 77.46) | 75.6 (74.4, 76.5) | 76.6 (74.6, 78.2) | 0.25 b |
| ITM V30 | 100 (98.88, 100) | 99.7 (98.7, 100) | 100 (99.5, 100) | 0.175 b |
| ITM V40 | 86.90 (76.05, 98.65) | 84.2 (72.8, 95.3) | 93.2 (80.9, 100) | 0.141 b |
| ITM V50 | 62.8 (24.8) | 57.6 (21.8) | 68.1 (27) | 0.16 a |
| ITM V60 | 44 (26.6) | 36.7 (21.6) | 51.3 (29.5) | 0.069 a |
| ITM V70 | 27.6 (25.3) | 20.7 (18.6) | 34.4 (29.4) | 0.071 a |
| Dosimetric Variable | Crude OR (95% CI) | Adj. OR a (95% CI) | pWald’s test | pLR-test |
|---|---|---|---|---|
| GGS V70 | 1.03 (1.01, 1.06) | 1.06 (1.03, 1.12) | 0.003 | <0.001 |
Disclaimer/Publisher’s Note: The statements, opinions and data contained in all publications are solely those of the individual author(s) and contributor(s) and not of MDPI and/or the editor(s). MDPI and/or the editor(s) disclaim responsibility for any injury to people or property resulting from any ideas, methods, instructions or products referred to in the content. |
© 2026 by the authors. Licensee MDPI, Basel, Switzerland. This article is an open access article distributed under the terms and conditions of the Creative Commons Attribution (CC BY) license.
Share and Cite
Chotchutipan, T.; Leelasawatsuk, P.; Phuengtrakul, T.; Aphichato, J.; Chumchuen, K.; Bridhikitti, J. Radiation Dose to Swallowing Muscles and Post-Radiotherapy Laryngeal Penetration or Aspiration in Head and Neck Squamous Cell Carcinoma. Cancers 2026, 18, 543. https://doi.org/10.3390/cancers18040543
Chotchutipan T, Leelasawatsuk P, Phuengtrakul T, Aphichato J, Chumchuen K, Bridhikitti J. Radiation Dose to Swallowing Muscles and Post-Radiotherapy Laryngeal Penetration or Aspiration in Head and Neck Squamous Cell Carcinoma. Cancers. 2026; 18(4):543. https://doi.org/10.3390/cancers18040543
Chicago/Turabian StyleChotchutipan, Thong, Peesit Leelasawatsuk, Tiraya Phuengtrakul, Jinnatham Aphichato, Kemmapon Chumchuen, and Jidapa Bridhikitti. 2026. "Radiation Dose to Swallowing Muscles and Post-Radiotherapy Laryngeal Penetration or Aspiration in Head and Neck Squamous Cell Carcinoma" Cancers 18, no. 4: 543. https://doi.org/10.3390/cancers18040543
APA StyleChotchutipan, T., Leelasawatsuk, P., Phuengtrakul, T., Aphichato, J., Chumchuen, K., & Bridhikitti, J. (2026). Radiation Dose to Swallowing Muscles and Post-Radiotherapy Laryngeal Penetration or Aspiration in Head and Neck Squamous Cell Carcinoma. Cancers, 18(4), 543. https://doi.org/10.3390/cancers18040543

