Inflammatory Myofibroblastic Tumor: An Updated Review
Simple Summary
Abstract
1. Introduction
2. Epidemiology
3. Clinical and Radiological Features
3.1. Clinical Features
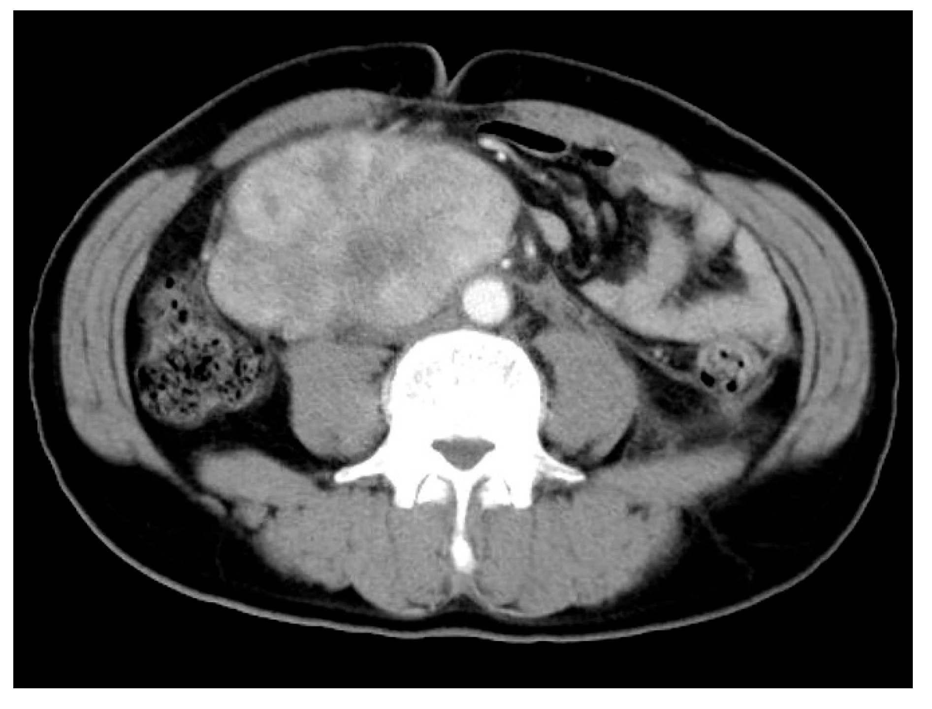
3.2. Radiological Features
4. Histopathological Features
4.1. Macroscopic Features
4.2. Histopathology
5. Immunohistochemical Features
6. Molecular Features
7. Inflammatory Myofibroblastic Tumor Subtypes and Recently Described Myofibroblastic Sarcoma
7.1. Pregnancy–Associated Inflammatory Myofibroblastic Tumor
7.2. Epithelioid Inflammatory Myofibroblastic Sarcoma
7.3. Myxoid Inflammatory Myofibroblastic Sarcoma
8. Diagnostic Approach
9. Differential Diagnosis
9.1. Inflammatory Pseudotumor
9.2. IgG4-Related Sclerosing Disease
9.3. Pseudosarcomatous Myofibroblastic Proliferation
9.4. Inflammatory Fibroid Polyp
9.5. Nodular Fasciitis
9.6. Desmoid Fibromatosis
9.7. Inflammatory Well-Differentiated Liposarcoma
9.8. Low-Grade Myofibroblastic Sarcoma
9.9. Myxoinflammatory Fibroblastic Sarcoma
9.10. Inflammatory Leiomyosarcoma
9.11. Embryonal Rhabdomyosarcoma
9.12. Gastrointestinal Stromal Tumor
9.13. Epstein–Barr Virus-Positive Inflammatory Follicular Dendritic Cell Sarcoma
10. Treatment and Prognosis
10.1. Treatment
10.2. Prognosis
10.3. Risk Stratification Model for Uterine Inflammatory Myofibroblastic Tumor
11. Future Perspectives
12. Conclusions
Funding
Data Availability Statement
Conflicts of Interest
Abbreviations
| ALK | Anaplastic lymphoma kinase |
| CT | Computed tomography |
| DFM | Desmoid fibromatosis |
| DOG1 | Discovered on GIST-1 |
| EBV | Epstein–Barr virus |
| EBER | EBV-encoded small RNA |
| EFDCS | Epstein–Barr virus-positive inflammatory follicular dendritic cell sarcoma |
| EIMS | Epithelioid inflammatory myofibroblastic sarcoma |
| ERMS | Embryonal rhabdomyosarcoma |
| FDC | Follicular dendritic cell |
| FISH | Fluorescence in situ hybridization |
| RMS | Embryonal rhabdomyosarcoma |
| GIST | Gastrointestinal stromal tumor |
| H&E | Hematoxylin and eosin |
| HPF | High-power field |
| IFP | Inflammatory fibroid polyp |
| IGSD | Immunoglobulin G4-related sclerosing disease |
| IHC | Immunohistochemistry |
| ILPS | Inflammatory leiomyosarcoma |
| IPT | Inflammatory pseudotumor |
| ISH | In situ hybridization |
| IWDLPS | Inflammatory well-differentiated liposarcoma |
| KIT | KIT proto-oncogene, receptor tyrosine kinase |
| LGMS | Low-grade myofibroblastic sarcoma |
| MIFS | Myxoinflammatory fibroblastic sarcoma |
| MIMS | Myxoid inflammatory myofibroblastic sarcoma |
| MRI | Magnetic resonance imaging |
| MSA | Muscle-specific actin |
| MYOD1 | Myogenic differentiation 1 |
| NCCN | National Comprehensive Cancer Network |
| NF | Nodular fasciitis |
| NGS | Next-generation sequencing |
| PAIMT | Pregnancy–associated inflammatory myofibroblastic tumor |
| PDGFRA | Platelet-derived growth factor receptor alpha |
| PMP | Pseudosarcomatous myofiboblastic proliferation |
| SDHB | Succinate dehydrogenase subunit B |
| SMA | Smooth muscle actin |
| STR | Short tandem repeat |
| TKI | Tyrosine kinase inhibitors |
| WHO | World Health Organization |
References
- Yamamoto, H. Inflammatory myofibroblastic tumour. In WHO Classification of Tumours. Soft Tissue and Bone Tumours, 5th ed.; The WHO Editorial Board, Ed.; IARC Press: Lyon, France, 2020; pp. 109–111. ISBN 978-92-832-4502-5. [Google Scholar]
- Lindberg, M.R. Diagnostic Pathology: Soft Tissue Tumors, 5th ed.; Elsevier: Philadelphia, PA, USA, 2024; pp. 214–219. ISBN 978-0-443-10936-2. [Google Scholar]
- Spencer, H. The pulmonary plasma cell/histiocytoma complex. Histopathology 1984, 8, 903–916. [Google Scholar] [CrossRef] [PubMed]
- Warter, A.; Satge, D.; Roeslin, N. Angioinvasive plasma cell granulomas of the lung. Cancer 1987, 59, 435–443. [Google Scholar] [CrossRef] [PubMed]
- Pisciotto, P.T.; Gray, G.F., Jr.; Miller, D.R. Abdominal plasma cell pseudotumor. J. Pediatr. 1978, 93, 628–630. [Google Scholar] [CrossRef] [PubMed]
- Tang, T.T.; Segura, A.D.; Oechler, H.W.; Harb, J.M.; Adair, S.E.; Gregg, D.C.; Camitta, B.M.; Franciosi, R.A. Inflammatory myofibrohistiocytic proliferation simulating sarcoma in children. Cancer 1990, 65, 1626–1634. [Google Scholar] [CrossRef]
- Gonzalez-Crussi, F.; deMello, D.E.; Sotelo-Avila, C. Omental-mesenteric myxoid hamartomas. Infantile lesions simulating malignant tumors. Am. J. Surg. Pathol. 1983, 7, 567–578. [Google Scholar] [CrossRef]
- Matsubara, O.; Tan-Liu, N.S.; Kenney, R.M.; Mark, E.J. Inflammatory pseudotumors of the lung: Progression from organizing pneumonia to fibrous histiocytoma or to plasma cell granuloma in 32 cases. Hum. Pathol. 1988, 19, 807–814. [Google Scholar] [CrossRef]
- Ramachandra, S.; Hollowood, K.; Bisceglia, M.; Fletcher, C.D. Inflammatory pseudotumour of soft tissues: A clinicopathological and immunohistochemical analysis of 18 cases. Histopathology 1995, 27, 313–323. [Google Scholar] [CrossRef]
- Wu, J.P.; Yunis, E.J.; Fetterman, G.; Jaeschke, W.F.; Gilbert, E.F. Inflammatory pseudo-tumours of the abdomen: Plasma cell granulomas. J. Clin. Pathol. 1973, 26, 943–948. [Google Scholar] [CrossRef]
- Coffin, C.M.; Dehner, L.P.; Meis-Kindblom, J.M. Inflammatory myofibroblastic tumor, inflammatory fibrosarcoma, and related lesions: An historical review with differential diagnostic considerations. Semin. Diagn. Pathol. 1998, 15, 102–110. [Google Scholar]
- Meis, J.M.; Enzinger, F.M. Inflammatory fibrosarcoma of the mesentery and retroperitoneum. A tumor closely simulating inflammatory pseudotumor. Am. J. Surg. Pathol. 1991, 15, 1146–1156. [Google Scholar] [CrossRef]
- Gleason, B.C.; Hornick, J.L. Inflammatory myofibroblastic tumours: Where are we now? J. Clin. Pathol. 2008, 61, 428–437. [Google Scholar] [CrossRef] [PubMed]
- Mariño-Enríquez, A.; Wang, W.L.; Roy, A.; Lopez-Terrada, D.; Lazar, A.J.; Fletcher, C.D.; Coffin, C.M.; Hornick, J.L. Epithelioid inflammatory myofibroblastic sarcoma: An aggressive intra-abdominal variant of inflammatory myofibroblastic tumor with nuclear membrane or perinuclear ALK. Am. J. Surg. Pathol. 2011, 35, 135–144. [Google Scholar] [CrossRef] [PubMed]
- Fletcher, C.D.M. Tumors of Soft tissue. In Diagnostic Histopathology of Tumors, 5th ed.; Fletcher, C.D.M., Ed.; Elsevier: Philadelphia, PA, USA, 2021; pp. 1919–1985. ISBN 978-0-323-42860-6. [Google Scholar]
- Chmiel, P.; SłOwikowska, A.; Banaszek, Ł.; Szumera, C.A.; Szostakowski, B.; SpałEk, M.J.; Świtaj, T.; Rutkowski, P.; Czarnecka, A.M. Inflammatory myofibroblastic tumor from molecular diagnostics to current treatment. Oncol. Res. 2024, 32, 1141–1162. [Google Scholar] [CrossRef]
- Coffin, C.M.; Hornick, J.L.; Fletcher, C.D. Inflammatory myofibroblastic tumor: Comparison of clinicopathologic, histologic, and immunohistochemical features including ALK expression in atypical and aggressive cases. Am. J. Surg. Pathol. 2007, 31, 509–520. [Google Scholar] [CrossRef]
- Coffin, C.M.; Watterson, J.; Priest, J.R.; Dehner, L.P. Extrapulmonary inflammatory myofibroblastic tumor (inflammatory pseudotumor). A clinicopathologic and immunohistochemical study of 84 cases. Am. J. Surg. Pathol. 1995, 19, 859–872. [Google Scholar] [CrossRef]
- Karnak, I.; Senocak, M.E.; Ciftci, A.O.; Cağlar, M.; Bingöl-Koloğlu, M.; Tanyel, F.C.; Büyükpamukçu, N. Inflammatory myofibroblastic tumor in children: Diagnosis and treatment. J. Pediatr. Surg. 2001, 36, 908–912. [Google Scholar] [CrossRef] [PubMed]
- Tsuzuki, T.; Magi-Galluzzi, C.; Epstein, J.I. ALK-1 expression in inflammatory myofibroblastic tumor of the urinary bladder. Am. J Surg. Pathol. 2004, 28, 1609–1614. [Google Scholar] [CrossRef]
- Makhlouf, H.R.; Sobin, L.H. Inflammatory myofibroblastic tumors (inflammatory pseudotumors) of the gastrointestinal tract: How closely are they related to inflammatory fibroid polyps? Hum. Pathol. 2002, 33, 307–315. [Google Scholar] [CrossRef]
- Sakurai, H.; Hasegawa, T.; Watanabe, S.; Suzuki, K.; Asamura, H.; Tsuchiya, R. Inflammatory myofibroblastic tumor of the lung. Eur. J. Cardiothorac. Surg. 2004, 25, 155–159. [Google Scholar] [CrossRef]
- Patankar, T.; Prasad, S.; Shenoy, A.; Rathod, K. Pulmonary inflammatory pseudotumour in children. Australas Radiol. 2000, 44, 318–320. [Google Scholar] [CrossRef]
- Surabhi, V.R.; Chua, S.; Patel, R.P.; Takahashi, N.; Lalwani, N.; Prasad, S.R. Inflammatory Myofibroblastic Tumors: Current Update. Radiol. Clin. N. Am. 2016, 54, 553–563. [Google Scholar] [CrossRef]
- Teoh, J.Y.; Chan, N.H.; Mak, S.M.; Lo, A.W.; Leung, C.Y.; Hui, Y.; Law, I.C.; Fan, C.W.; Cheung, F.K.; Chan, S.W.; et al. Inflammatory myofibroblastic tumours of the urinary bladder: Multi-centre 18-year experience. Urol. Int. 2015, 94, 31–36. [Google Scholar] [CrossRef]
- Teoh, J.Y.; Chan, N.H.; Cheung, H.Y.; Hou, S.S.; Ng, C.F. Inflammatory myofibroblastic tumors of the urinary bladder: A systematic review. Urology 2014, 84, 503–508. [Google Scholar] [CrossRef]
- Montgomery, E.A.; Shuster, D.D.; Burkart, A.L.; Esteban, J.M.; Sgrignoli, A.; Elwood, L.; Vaughn, D.J.; Griffin, C.A.; Epstein, J.I. Inflammatory myofibroblastic tumors of the urinary tract: A clinicopathologic study of 46 cases, including a malignant example inflammatory fibrosarcoma and a subset associated with high-grade urothelial carcinoma. Am. J. Surg. Pathol. 2006, 30, 1502–1512. [Google Scholar] [CrossRef] [PubMed]
- Li, Y.P.; Han, W.W.; Yang, Y.; He, L.J.; Zhang, W.P. Inflammatory Myofibroblastic Tumor of the Urinary Bladder and Ureter in Children: Experience of a Tertiary Referral Center. Urology 2020, 145, 229–235. [Google Scholar] [CrossRef] [PubMed]
- Collin, M.; Charles, A.; Barker, A.; Khosa, J.; Samnakay, N. Inflammatory myofibroblastic tumour of the bladder in children: A review. J. Pediatr. Urol. 2015, 11, 239–245. [Google Scholar] [CrossRef] [PubMed]
- Busca, A.; Parra-Herran, C. Myxoid Mesenchymal Tumors of the Uterus: An Update on Classification, Definitions, and Differential Diagnosis. Adv. Anat. Pathol. 2017, 24, 354–361. [Google Scholar] [CrossRef]
- Parra-Herran, C.; Quick, C.M.; Howitt, B.E.; Dal Cin, P.; Quade, B.J.; Nucci, M.R. Inflammatory myofibroblastic tumor of the uterus: Clinical and pathologic review of 10 cases including a subset with aggressive clinical course. Am. J. Surg. Pathol. 2015, 39, 157–168. [Google Scholar] [CrossRef]
- Bennett, J.A.; Croce, S.; Pesci, A.; Niu, N.; Van de Vijver, K.; Burks, E.J.; Burandt, E.; Zannoni, G.F.; Rabban, J.T.; Oliva, E. Inflammatory Myofibroblastic Tumor of the Uterus: An Immunohistochemical Study of 23 Cases. Am. J. Surg. Pathol. 2020, 44, 1441–1449. [Google Scholar] [CrossRef]
- Pickett, J.L.; Chou, A.; Andrici, J.A.; Clarkson, A.; Sioson, L.; Sheen, A.; Reagh, J.; Najdawi, F.; Kim, Y.; Riley, D.; et al. Inflammatory Myofibroblastic Tumors of the Female Genital Tract Are Under-recognized: A Low Threshold for ALK Immunohistochemistry Is Required. Am. J. Surg. Pathol. 2017, 41, 1433–1442. [Google Scholar] [CrossRef]
- Banet, N.; Ning, Y.; Montgomery, E.A. Inflammatory Myofibroblastic Tumor of the Placenta: A Report of a Novel Lesion in 2 Patients. Int. J. Gynecol. Pathol. 2015, 34, 419–423. [Google Scholar] [CrossRef] [PubMed]
- Ladwig, N.R.; Schoolmeester, J.K.; Weil, L.; Chapman, J.S.; Zaloudek, C.; Umetsu, S.E. Inflammatory Myofibroblastic Tumor Associated with the Placenta: Short Tandem Repeat Genotyping Confirms Uterine Site of Origin. Am. J. Surg. Pathol. 2018, 42, 807–812. [Google Scholar] [CrossRef] [PubMed]
- Cheek, E.H.; Fadra, N.; Jackson, R.A.; Davila, J.I.; Sukov, W.R.; Uckerman, M.T.; Clayton, A.; Keeney, G.L.; Halling, K.C.; Torres-Mora, J.; et al. Uterine inflammatory myofibroblastic tumors in pregnant women with and without involvement of the placenta: A study of 6 cases with identification of a novel TIMP3-RET fusion. Hum. Pathol. 2020, 97, 29–39. [Google Scholar] [CrossRef]
- Devereaux, K.A.; Fitzpatrick, M.B.; Hartinger, S.; Jones, C.; Kunder, C.A.; Longacre, T.A. Pregnancy-associated Inflammatory Myofibroblastic Tumors of the Uterus Are Clinically Distinct and Highly Enriched for TIMP3-ALK and THBS1-ALK Fusions. Am. J. Surg. Pathol. 2020, 44, 970–981. [Google Scholar] [CrossRef] [PubMed]
- Rabban, J.T.; Zaloudek, C.J.; Shekitka, K.M.; Tavassoli, F.A. Inflammatory myofibroblastic tumor of the uterus: A clinicopathologic study of 6 cases emphasizing distinction from aggressive mesenchymal tumors. Am. J. Surg. Pathol. 2005, 29, 1348–1355. [Google Scholar] [CrossRef]
- Haimes, J.D.; Stewart, C.J.R.; Kudlow, B.A.; Culver, B.P.; Meng, B.; Koay, E.; Whitehouse, A.; Cope, N.; Lee, J.C.; Ng, T.; et al. Uterine Inflammatory Myofibroblastic Tumors Frequently Harbor ALK Fusions with IGFBP5 and THBS1. Am. J. Surg. Pathol. 2017, 41, 773–780. [Google Scholar] [CrossRef]
- Pierry, C.; Pérot, G.; Karanian-Philippe, M.; Neuville, A.; Gomez-Brouchet, A.; Crestani, S.; Coindre, J.M. Polypoid laryngeal inflammatory myofibroblastic tumors: Misleading lesions: Description of six cases showing ALK overexpression. Am. J. Clin. Pathol. 2015, 144, 511–516. [Google Scholar] [CrossRef]
- He, C.Y.; Dong, G.H.; Yang, D.M.; Liu, H.G. Inflammatory myofibroblastic tumors of the nasal cavity and paranasal sinus: A clinicopathologic study of 25 cases and review of the literature. Eur. Arch. Otorhinolaryngol. 2015, 272, 789–797. [Google Scholar] [CrossRef]
- Lahlou, G.; Classe, M.; Wassef, M.; Just, P.A.; Le Clerc, N.; Herman, P.; Verillaud, B. Sinonasal Inflammatory Myofibroblastic Tumor with Anaplastic Lymphoma Kinase 1 Rearrangement: Case Study and Literature Review. Head Neck Pathol. 2017, 11, 131–138. [Google Scholar] [CrossRef]
- Zhu, Z.; Zha, Y.; Wang, W.; Wang, X.; Gao, Y.; Lv, W. Inflammatory Myofibroblastic Tumors in Paranasal Sinus and Nasopharynx: A Clinical Retrospective Study of 13 Cases. Biomed. Res. Int. 2018, 2018, 7928241. [Google Scholar] [CrossRef]
- Lopez-Nunez, O.; John, I.; Panasiti, R.N.; Ranganathan, S.; Santoro, L.; Grélaud, D.; Wu, T.; Buccoliero, A.M.; Casanova, M.; Alaggio, R.; et al. Infantile inflammatory myofibroblastic tumors: Clinicopathological and molecular characterization of 12 cases. Mod. Pathol. 2020, 33, 576–590. [Google Scholar] [CrossRef] [PubMed]
- Chen, Y.F.; Zhang, W.D.; Wu, M.W.; Ou-Yang, D.; Zhang, Q. Inflammatory myofibroblastic tumor of the head and neck. Med. Oncol. 2011, 28 (Suppl. 1), 349–353. [Google Scholar] [CrossRef] [PubMed]
- Ong, H.S.; Ji, T.; Zhang, C.P.; Li, J.; Wang, L.Z.; Li, R.R.; Sun, J.; Ma, C.Y. Head and neck inflammatory myofibroblastic tumor (IMT): Evaluation of clinicopathologic and prognostic features. Oral Oncol. 2012, 48, 141–148. [Google Scholar] [CrossRef]
- Idrees, M.T.; Huan, Y.; Woo, P.; Wang, B.Y. Inflammatory myofibroblastic tumor of larynx: A benign lesion with variable morphological spectrum. Ann. Diagn. Pathol. 2007, 11, 433–439. [Google Scholar] [CrossRef]
- Wenig, B.M.; Devaney, K.; Bisceglia, M. Inflammatory myofibroblastic tumor of the larynx. A clinicopathologic study of eight cases simulating a malignant spindle cell neoplasm. Cancer 1995, 76, 2217–2229. [Google Scholar] [CrossRef]
- Pettinato, G.; Manivel, J.C.; De Rosa, N.; Dehner, L.P. Inflammatory myofibroblastic tumor (plasma cell granuloma). Clinicopathologic study of 20 cases with immunohistochemical and ultrastructural observations. Am. J. Clin. Pathol. 1990, 94, 538–546. [Google Scholar] [CrossRef]
- Telugu, R.B.; Prabhu, A.J.; Kalappurayil, N.B.; Mathai, J.; Gnanamuthu, B.R.; Manipadam, M.T. Clinicopathological Study of 18 Cases of Inflammatory Myofibroblastic Tumors with Reference to ALK-1 Expression: 5-Year Experience in a Tertiary Care Center. J. Pathol. Transl. Med. 2017, 51, 255–263. [Google Scholar] [CrossRef]
- Chun, Y.S.; Wang, L.; Nascimento, A.G.; Moir, C.R.; Rodeberg, D.A. Pediatric inflammatory myofibroblastic tumor: Anaplastic lymphoma kinase (ALK) expression and prognosis. Pediatr. Blood Cancer 2005, 45, 796–801. [Google Scholar] [CrossRef] [PubMed]
- Sargar, K.M.; Sheybani, E.F.; Shenoy, A.; Aranake-Chrisinger, J.; Khanna, G. Pediatric Fibroblastic and Myofibroblastic Tumors: A Pictorial Review. Radiographics 2016, 36, 1195–1214. [Google Scholar] [CrossRef]
- Lichtenberger, J.P., 3rd; Biko, D.M.; Carter, B.W.; Pavio, M.A.; Huppmann, A.R.; Chung, E.M. Primary Lung Tumors in Children: Radiologic-Pathologic Correlation from the Radiologic Pathology Archives. Radiographics 2018, 38, 2151–2172. [Google Scholar] [CrossRef]
- Gao, F.; Zhong, R.; Li, G.H.; Zhang, W.D. Computed tomography and magnetic resonance imaging findings of inflammatory myofibroblastic tumors of the head and neck. Acta Radiol. 2014, 55, 434–440. [Google Scholar] [CrossRef] [PubMed]
- Folpe, A.L.; Nielsen, G.P. Bone and Soft Tissue Pathology, 2nd ed.; Elsevier: Philadelpia, PA, USA, 2023; pp. 58–62. ISBN 978-0-323-75871-0. [Google Scholar]
- Cessna, M.H.; Zhou, H.; Sanger, W.G.; Perkins, S.L.; Tripp, S.; Pickering, D.; Daines, C.; Coffin, C.M. Expression of ALK1 and p80 in inflammatory myofibroblastic tumor and its mesenchymal mimics: A study of 135 cases. Mod. Pathol. 2002, 15, 931–938. [Google Scholar] [CrossRef] [PubMed]
- Takeuchi, K.; Soda, M.; Togashi, Y.; Sugawara, E.; Hatano, S.; Asaka, R.; Okumura, S.; Nakagawa, K.; Mano, H.; Ishikawa, Y. Pulmonary inflammatory myofibroblastic tumor expressing a novel fusion, PPFIBP1-ALK: Reappraisal of anti-ALK immunohistochemistry as a tool for novel ALK fusion identification. Clin. Cancer Res. 2011, 17, 3341–3348. [Google Scholar] [CrossRef]
- Yamamoto, H.; Yoshida, A.; Taguchi, K.; Kohashi, K.; Hatanaka, Y.; Yamashita, A.; Mori, D.; Oda, Y. ALK, ROS1 and NTRK3 gene rearrangements in inflammatory myofibroblastic tumours. Histopathology 2016, 69, 72–83. [Google Scholar] [CrossRef]
- Hornick, J.L.; Sholl, L.M.; Dal Cin, P.; Childress, M.A.; Lovly, C.M. Expression of ROS1 predicts ROS1 gene rearrangement in inflammatory myofibroblastic tumors. Mod. Pathol. 2015, 28, 732–739. [Google Scholar] [CrossRef] [PubMed]
- Bertz, S.; Stöhr, R.; Gaisa, N.T.; Wullich, B.; Hartmann, A.; Agaimy, A. TERT promoter mutation analysis as a surrogate to morphology and immunohistochemistry in problematic spindle cell lesions of the urinary bladder. Histopathology 2020, 77, 949–962. [Google Scholar] [CrossRef]
- Bridge, J.A.; Kanamori, M.; Ma, Z.; Pickering, D.; Hill, D.A.; Lydiatt, W.; Lui, M.Y.; Colleoni, G.W.; Antonescu, C.R.; Ladanyi, M.; et al. Fusion of the ALK gene to the clathrin heavy chain gene, CLTC, in inflammatory myofibroblastic tumor. Am. J. Pathol. 2001, 159, 411–415. [Google Scholar] [CrossRef]
- Chen, S.T.; Lee, J.C. An inflammatory myofibroblastic tumor in liver with ALK and RANBP2 gene rearrangement: Combination of distinct morphologic, immunohistochemical, and genetic features. Hum. Pathol. 2008, 39, 1854–1858. [Google Scholar] [CrossRef]
- Debelenko, L.V.; Arthur, D.C.; Pack, S.D.; Helman, L.J.; Schrump, D.S.; Tsokos, M. Identification of CARS-ALK fusion in primary and metastatic lesions of an inflammatory myofibroblastic tumor. Lab. Investig. 2003, 83, 1255–1265. [Google Scholar] [CrossRef]
- Griffin, C.A.; Hawkins, A.L.; Dvorak, C.; Henkle, C.; Ellingham, T.; Perlman, E.J. Recurrent involvement of 2p23 in inflammatory myofibroblastic tumors. Cancer Res. 1999, 59, 2776–2780. [Google Scholar]
- Lawrence, B.; Perez-Atayde, A.; Hibbard, M.K.; Rubin, B.P.; Dal Cin, P.; Pinkus, J.L.; Pinkus, G.S.; Xiao, S.; Yi, E.S.; Fletcher, C.D.; et al. TPM3-ALK and TPM4-ALK oncogenes in inflammatory myofibroblastic tumors. Am. J. Pathol. 2000, 157, 377–384. [Google Scholar] [CrossRef] [PubMed]
- Yamamoto, H.; Kohashi, K.; Oda, Y.; Tamiya, S.; Takahashi, Y.; Kinoshita, Y.; Ishizawa, S.; Kubota, M.; Tsuneyoshi, M. Absence of human herpesvirus-8 and Epstein-Barr virus in inflammatory myofibroblastic tumor with anaplastic large cell lymphoma kinase fusion gene. Pathol. Int. 2006, 56, 584–590. [Google Scholar] [CrossRef] [PubMed]
- Inamura, K.; Kobayashi, M.; Nagano, H.; Sugiura, Y.; Ogawa, M.; Masuda, H.; Yonese, J.; Ishikawa, Y. A novel fusion of HNRNPA1-ALK in inflammatory myofibroblastic tumor of urinary bladder. Hum. Pathol. 2017, 69, 96–100. [Google Scholar] [CrossRef] [PubMed]
- Lovly, C.M.; Gupta, A.; Lipson, D.; Otto, G.; Brennan, T.; Chung, C.T.; Borinstein, S.C.; Ross, J.S.; Stephens, P.J.; Miller, V.A.; et al. Inflammatory myofibroblastic tumors harbor multiple potentially actionable kinase fusions. Cancer Discov. 2014, 4, 889–895. [Google Scholar] [CrossRef]
- Lee, J.C.; Li, C.F.; Huang, H.Y.; Zhu, M.J.; Mariño-Enríquez, A.; Lee, C.T.; Ou, W.B.; Hornick, J.L.; Fletcher, J.A. ALK oncoproteins in atypical inflammatory myofibroblastic tumours: Novel RRBP1-ALK fusions in epithelioid inflammatory myofibroblastic sarcoma. J. Pathol. 2017, 241, 316–323. [Google Scholar] [CrossRef]
- Coffin, C.M.; Patel, A.; Perkins, S.; Elenitoba-Johnson, K.S.; Perlman, E.; Griffin, C.A. ALK1 and p80 expression and chromosomal rearrangements involving 2p23 in inflammatory myofibroblastic tumor. Mod. Pathol. 2001, 14, 569–576. [Google Scholar] [CrossRef]
- Cook, J.R.; Dehner, L.P.; Collins, M.H.; Ma, Z.; Morris, S.W.; Coffin, C.M.; Hill, D.A. Anaplastic lymphoma kinase (ALK) expression in the inflammatory myofibroblastic tumor: A comparative immunohistochemical study. Am. J. Surg. Pathol. 2001, 25, 1364–1371. [Google Scholar] [CrossRef]
- Alassiri, A.H.; Ali, R.H.; Shen, Y.; Lum, A.; Strahlendorf, C.; Deyell, R.; Rassekh, R.; Sorensen, P.H.; Laskin, J.; Marra, M.; et al. ETV6-NTRK3 Is Expressed in a Subset of ALK-Negative Inflammatory Myofibroblastic Tumors. Am. J. Surg. Pathol. 2016, 40, 1051–1061. [Google Scholar] [CrossRef]
- Antonescu, C.R.; Suurmeijer, A.J.; Zhang, L.; Sung, Y.S.; Jungbluth, A.A.; Travis, W.D.; Al-Ahmadie, H.; Fletcher, C.D.; Alaggio, R. Molecular characterization of inflammatory myofibroblastic tumors with frequent ALK and ROS1 gene fusions and rare novel RET rearrangement. Am. J. Surg. Pathol. 2015, 39, 957–967. [Google Scholar] [CrossRef]
- Chan, J.K.; Cheuk, W.; Shimizu, M. Anaplastic lymphoma kinase expression in inflammatory pseudotumors. Am. J. Surg. Pathol. 2001, 25, 761–768. [Google Scholar] [CrossRef]
- Chang, J.C.; Zhang, L.; Drilon, A.E.; Chi, P.; Alaggio, R.; Borsu, L.; Benayed, R.; Travis, W.D.; Ladanyi, M.; Antonescu, C.R. Expanding the Molecular Characterization of Thoracic Inflammatory Myofibroblastic Tumors beyond ALK Gene Rearrangements. J. Thorac. Oncol. 2019, 14, 825–834. [Google Scholar] [CrossRef]
- Takahashi, A.; Kurosawa, M.; Uemura, M.; Kitazawa, J.; Hayashi, Y. Anaplastic lymphoma kinase-negative uterine inflammatory myofibroblastic tumor containing the ETV6-NTRK3 fusion gene: A case report. J. Int. Med. Res. 2018, 46, 3498–3503. [Google Scholar] [CrossRef] [PubMed]
- Acosta, A.M.; Demicco, E.G.; Dal Cin, P.; Hirsch, M.S.; Fletcher, C.D.M.; Jo, V.Y. Pseudosarcomatous myofibroblastic proliferations of the urinary bladder are neoplasms characterized by recurrent FN1-ALK fusions. Mod. Pathol. 2021, 34, 469–477. [Google Scholar] [CrossRef]
- Yorita, K.; Togashi, Y.; Nakagawa, H.; Miyazaki, K.; Sakata, S.; Baba, S.; Takeuchi, K.; Hayashi, Y.; Murakami, I.; Kuroda, N.; et al. Vocal cord inflammatory myofibroblastic tumor with mucoid deposits harboring TIMP3-ALK fusion: A potential diagnostic pitfall. Pathol. Int. 2019, 69, 366–371. [Google Scholar] [CrossRef] [PubMed]
- Kerr, D.A.; Thompson, L.D.R.; Tafe, L.J.; Jo, V.Y.; Neyaz, A.; Divakar, P.; Paydarfar, J.A.; Pastel, D.A.; Shirai, K.; John, I.; et al. Clinicopathologic and Genomic Characterization of Inflammatory Myofibroblastic Tumors of the Head and Neck: Highlighting a Novel Fusion and Potential Diagnostic Pitfall. Am. J. Surg. Pathol. 2021, 45, 1707–1719. [Google Scholar] [CrossRef]
- Bennett, J.A.; Pinto, A. The “Other” Uterine Mesenchymal Neoplasms: Recent Developments and Emerging Entities. Adv. Anat. Pathol. 2024, 31, 380–396. [Google Scholar] [CrossRef]
- Bennett, J.A.; Nardi, V.; Rouzbahman, M.; Morales-Oyarvide, V.; Nielsen, G.P.; Oliva, E. Inflammatory myofibroblastic tumor of the uterus: A clinicopathological, immunohistochemical, and molecular analysis of 13 cases highlighting their broad morphologic spectrum. Mod. Pathol. 2017, 30, 1489–1503. [Google Scholar] [CrossRef] [PubMed]
- Ladwig, N.R.; Bean, G.R.; Pekmezci, M.; Boscardin, J.; Joseph, N.M.; Therrien, N.; Sangoi, A.R.; Piening, B.; Rajamanickam, V.; Galvin, M.; et al. Uterine Inflammatory Myofibroblastic Tumors: Proposed Risk Stratification Model Using Integrated Clinicopathologic and Molecular Analysis. Am. J. Surg. Pathol. 2023, 47, 157–171. [Google Scholar] [CrossRef]
- Saeed, H.; Almardini, N.; Jacques, S.M.; Qureshi, F. Inflammatory myofibroblastic tumour: Unexpected finding on placental examination. Eur. J. Obstet. Gynecol. Reprod. Biol. 2015, 194, 254–255. [Google Scholar] [CrossRef]
- Schoolmeester, J.K.; Sukov, W.R. ALK-rearranged Inflammatory Myofibroblastic Tumor of the Placenta, With Observations on Site of Origin. Int. J. Gynecol. Pathol. 2017, 36, 228–229. [Google Scholar] [CrossRef]
- Squires, L.; Matsika, A.; Turner, J.; Fitness, J.; Lourie, R. ALK-rearranged inflammatory myofibroblastic tumour of placental membranes. Pathology 2018, 50, 777–779. [Google Scholar] [CrossRef] [PubMed]
- Schoolmeester, J.K.; Minn, K.; Sukov, W.R.; Halling, K.C.; Clayton, A.C. Uterine inflammatory myofibroblastic tumor involving the decidua of the extraplacental membranes: Report of a case with a TIMP3-ROS1 gene fusion. Hum. Pathol. 2020, 100, 45–46. [Google Scholar] [CrossRef] [PubMed]
- Makhdoum, S.; Nardi, V.; Devereaux, K.A.; Kunder, C.A.; Nielsen, G.P.; Oliva, E.; Young, R.H.; Roberts, D.J. Inflammatory myofibroblastic tumors associated with the placenta: A series of 9 cases. Hum. Pathol. 2020, 106, 62–73. [Google Scholar] [CrossRef]
- Schwartz, C.; Gundogan, F.; Singh, K.; Schoolmeester, J.K.; Banet, N. Inflammatory Myofibroblastic Tumor of the Placenta with Subsequent Successful Pregnancy and Benign Hysterectomy: A Case Report With 59-Month Follow-up. Int. J. Gynecol. Pathol. 2023, 42, 315–318. [Google Scholar] [CrossRef]
- Sim, A.; Devouassoux-Shisheboran, M.; Benmoulay-Rigollot, C.; Picot, T.; Péoc’h, M.; Karpathiou, G. Uterine inflammatory myofibroblastic tumor with THBS1-INSR fusion. Pathol. Res. Pract. 2023, 246, 154500. [Google Scholar] [CrossRef] [PubMed]
- Singh, P.; Nambirajan, A.; Gaur, M.K.; Raj, R.; Kumar, S.; Malik, P.S.; Jain, D. Primary pulmonary epithelioid inflammatory myofibroblastic sarcoma: A rare entity and a literature review. J. Pathol. Transl. Med. 2022, 56, 231–237. [Google Scholar] [CrossRef]
- Li, X.; Zheng, J.; Li, X.; Chen, Y.; Liu, K.; Li, F.; Lu, Z. Case Report: Ensartinib for gastric epithelioid inflammatory myofibrosarcoma with STRN-ALK fusion. Front. Oncol. 2023, 13, 1252221. [Google Scholar] [CrossRef]
- Kim, E.E.; Park, C.K.; Kang, K.M.; Kwak, Y.; Park, S.H.; Won, J.K. Primary epithelioid inflammatory myofibroblastic sarcoma of the brain with EML4::ALK fusion mimicking intra-axial glioma: A case report and brief literature review. J. Pathol. Transl. Med. 2024, 58, 141–145. [Google Scholar] [CrossRef]
- Papke, D.J., Jr.; Odintsov, I.; Dickson, B.C.; Nucci, M.R.; Agaimy, A.; Fletcher, C.D.M. Myxoid Inflammatory Myofibroblastic Sarcoma: Clinicopathologic Analysis of 25 Cases of a Distinctive Sarcoma with Deceptively Bland Morphology and Aggressive Clinical Behavior. Am. J. Surg. Pathol. 2024, 48, 1005–1016. [Google Scholar] [CrossRef]
- Deshpande, V.; Zen, Y.; Chan, J.K.; Yi, E.E.; Sato, Y.; Yoshino, T.; Klöppel, G.; Heathcote, J.G.; Khosroshahi, A.; Ferry, J.A.; et al. Consensus statement on the pathology of IgG4-related disease. Mod. Pathol. 2012, 25, 1181–1192. [Google Scholar] [CrossRef]
- Jebastin, J.A.S.; Smith, S.C.; Perry, K.D.; Gupta, N.S.; Alanee, S.; Carskadon, S.; Chitale, D.A.; Palanisamy, N.; Williamson, S.R. Pseudosarcomatous myofibroblastic proliferations of the genitourinary tract are genetically different from nodular fasciitis and lack USP6, ROS1 and ETV6 gene rearrangements. Histopathology 2018, 73, 321–326. [Google Scholar] [CrossRef] [PubMed]
- Fritchie, K.J.; Hornick, J.L.; Rossi, S. Inflammatory fibroid polyp. In WHO Classification of Tumours. Digestive system Tumours, 5th ed.; The WHO Classification of Tumours Editorial Board, Ed.; IARC Press: Lyon, France, 2019; pp. 452–453. ISBN 978-92-832-4499-8. [Google Scholar]
- Sugawara, T.; Sugita, S.; Tateno, M.; Yabutani, A.; Segawa, K.; Ito, Y.; Tsujiwaki, M.; Fujita, H.; Ono, Y.; Hasegawa, T. Colonic inflammatory fibroid polyp with PDGFRA expression. Pathol. Int. 2018, 68, 205–206. [Google Scholar] [CrossRef] [PubMed]
- Oliveira, A.M.; Wang, J.; Wang, W.L. Nodular fasciitis. In WHO Classification of Tumours. Soft Tissue and Bone Tumours, 5th ed.; The WHO Editorial Board, Ed.; IARC Press: Lyon, France, 2020; pp. 49–50. ISBN 978-92-832-4502. [Google Scholar]
- Fritchie, K.J.; Crago, A.M.; van de Rijin, M. Desmoid fibromatosis. In WHO Classification of Tumours. Soft Tissue and Bone Tumours, 5th ed.; The WHO Editorial Board, Ed.; IARC Press: Lyon, France, 2020; pp. 93–95. ISBN 978-92-832-4502. [Google Scholar]
- Sbaraglia, M.; Dei Tos, A.P.; Pedeutour, F. Atypical lipomatous tumour/well-differentiated liposarcoma. In WHO Classification of Tumours. Soft Tissue and Bone Tumours, 5th ed.; The WHO Editorial Board, Ed.; IARC Press: Lyon, France, 2020; pp. 93–95. ISBN 978-92-832-4502. [Google Scholar]
- Kraus, M.D.; Guillou, L.; Fletcher, C.D. Well-differentiated inflammatory liposarcoma: An uncommon and easily overlooked variant of a common sarcoma. Am. J. Surg. Pathol. 1997, 21, 518–527. [Google Scholar] [CrossRef]
- Mentzel, T.D.W. Low-grade myofibroblastic sarcoma. In WHO Classification of Tumours. Soft Tissue and Bone Tumours, 5th ed.; The WHO Editorial Board, Ed.; IARC Press: Lyon, France, 2020; pp. 112–113. ISBN 978-92-832-4502-5. [Google Scholar]
- Mentzel, T.; Dry, S.; Katenkamp, D.; Fletcher, C.D. Low-grade myofibroblastic sarcoma: Analysis of 18 cases in the spectrum of myofibroblastic tumors. Am. J. Surg. Pathol. 1998, 22, 1228–1238. [Google Scholar] [CrossRef] [PubMed]
- Montgomery, E.A.; Antonescu, C.R.; Folpe, A.L. Myxoinflammatory fibroblastic sarcoma. In WHO Classification of Tumours. Soft Tissue and Bone Tumours, 5th ed.; The WHO Editorial Board, Ed.; IARC Press: Lyon, France, 2020; pp. 116–118. ISBN 978-92-832-4502-5. [Google Scholar]
- Antonescu, C.R.; Zhang, L.; Nielsen, G.P.; Rosenberg, A.E.; Dal Cin, P.; Fletcher, C.D. Consistent t(1;10) with rearrangements of TGFBR3 and MGEA5 in both myxoinflammatory fibroblastic sarcoma and hemosiderotic fibrolipomatous tumor. Genes Chromosomes Cancer 2011, 50, 757–764. [Google Scholar] [CrossRef]
- Zreik, R.T.; Carter, J.M.; Sukov, W.R.; Ahrens, W.A.; Fritchie, K.J.; Montgomery, E.A.; Weiss, S.W.; Folpe, A.L. TGFBR3 and MGEA5 rearrangements are much more common in “hybrid” hemosiderotic fibrolipomatous tumor-myxoinflammatory fibroblastic sarcomas than in classical myxoinflammatory fibroblastic sarcomas: A morphological and fluorescence in situ hybridization study. Hum. Pathol. 2016, 53, 14–24. [Google Scholar] [CrossRef]
- Hallor, K.H.; Sciot, R.; Staaf, J.; Heidenblad, M.; Rydholm, A.; Bauer, H.C.; Aström, K.; Domanski, H.A.; Meis, J.M.; Kindblom, L.G.; et al. Two genetic pathways, t(1;10) and amplification of 3p11-12, in myxoinflammatory fibroblastic sarcoma, haemosiderotic fibrolipomatous tumour, and morphologically similar lesions. J. Pathol. 2009, 217, 716–727. [Google Scholar] [CrossRef]
- Kao, Y.C.; Ranucci, V.; Zhang, L.; Sung, Y.S.; Athanasian, E.A.; Swanson, D.; Dickson, B.C.; Antonescu, C.R. Recurrent BRAF Gene Rearrangements in Myxoinflammatory Fibroblastic Sarcomas, but Not Hemosiderotic Fibrolipomatous Tumors. Am. J. Surg. Pathol. 2017, 41, 1456–1465. [Google Scholar] [CrossRef]
- Fletcher, C.D.M.; Mertens, F. Inflammatory leiomyosarcoma. In WHO Classification of Tumours. Soft Tissue and Bone Tumours, 5th ed.; The WHO Editorial Board, Ed.; IARC Press: Lyon, France, 2020; pp. 193–194. ISBN 978-92-832-4502-5. [Google Scholar]
- Cloutier, J.M.; Charville, G.W.; Mertens, F.; Sukov, W.; Fritchie, K.; Perry, K.D.; Edgar, M.; Rowsey, R.A.; Folpe, A.L. “Inflammatory Leiomyosarcoma” and “Histiocyte-rich Rhabdomyoblastic Tumor”: A clinicopathological, immunohistochemical and genetic study of 13 cases, with a proposal for reclassification as “Inflammatory Rhabdomyoblastic Tumor”. Mod. Pathol. 2021, 34, 758–769. [Google Scholar] [CrossRef]
- Rudzinski, E.R. Embryonal rhabdomyosarcoma. In WHO Classification of Tumours. Soft Tissue and Bone Tumours, 5th ed.; The WHO Editorial Board, Ed.; IARC Press: Lyon, France, 2020; pp. 201–204. ISBN 978-92-832-4502-5. [Google Scholar]
- Walterhouse, D.O.; Pappo, A.S.; Meza, J.L.; Breneman, J.C.; Hayes-Jordan, A.A.; Parham, D.M.; Cripe, T.P.; Anderson, J.R.; Meyer, W.H.; Hawkins, D.S. Shorter-duration therapy using vincristine, dactinomycin, and lower-dose cyclophosphamide with or without radiotherapy for patients with newly diagnosed low-risk rhabdomyosarcoma: A report from the Soft Tissue Sarcoma Committee of the Children’s Oncology Group. J. Clin. Oncol. 2014, 32, 3547–3552. [Google Scholar] [CrossRef]
- Hawkins, D.S.; Chi, Y.Y.; Anderson, J.R.; Tian, J.; Arndt, C.A.S.; Bomgaars, L.; Donaldson, S.S.; Hayes-Jordan, A.; Mascarenhas, L.; McCarville, M.B.; et al. Addition of Vincristine and Irinotecan to Vincristine, Dactinomycin, and Cyclophosphamide Does Not Improve Outcome for Intermediate-Risk Rhabdomyosarcoma: A Report from the Children’s Oncology Group. J. Clin. Oncol. 2018, 36, 2770–2777. [Google Scholar] [CrossRef] [PubMed]
- Dei Tos, A.P.; Hornick, J.L.; Miettinen, M.; Wanless, I.R.; Wardelmann, E. Gastrointestinal stromal tumour. In WHO Classification of Tumours. Soft Tissue and Bone Tumours, 5th ed.; The WHO Editorial Board, Ed.; IARC Press: Lyon, France, 2020; pp. 216–221. ISBN 978-92-832-4502-5. [Google Scholar]
- Miettinen, M.; Sobin, L.H.; Lasota, J. Gastrointestinal stromal tumors of the stomach: A clinicopathologic, immunohistochemical, and molecular genetic study of 1765 cases with long-term follow-up. Am. J Surg. Pathol. 2005, 29, 52–68. [Google Scholar] [CrossRef] [PubMed]
- Miettinen, M.; Lasota, J.; Sobin, L.H. Gastrointestinal stromal tumors of the stomach in children and young adults: A clinicopathologic, immunohistochemical, and molecular genetic study of 44 cases with long-term follow-up and review of the literature. Am. J. Surg. Pathol. 2005, 29, 1373–1381. [Google Scholar] [CrossRef]
- Janeway, K.A.; Kim, S.Y.; Lodish, M.; Nosé, V.; Rustin, P.; Gaal, J.; Dahia, P.L.; Liegl, B.; Ball, E.R.; Raygada, M.; et al. Defects in succinate dehydrogenase in gastrointestinal stromal tumors lacking KIT and PDGFRA mutations. Proc. Natl. Acad. Sci. USA 2011, 108, 314–318. [Google Scholar] [CrossRef] [PubMed]
- Wagner, A.J.; Remillard, S.P.; Zhang, Y.X.; Doyle, L.A.; George, S.; Hornick, J.L. Loss of expression of SDHA predicts SDHA mutations in gastrointestinal stromal tumors. Mod. Pathol. 2013, 26, 289–294. [Google Scholar] [CrossRef]
- Gill, A.J.; Chou, A.; Vilain, R.; Clarkson, A.; Lui, M.; Jin, R.; Tobias, V.; Samra, J.; Goldstein, D.; Smith, C.; et al. Immunohistochemistry for SDHB divides gastrointestinal stromal tumors (GISTs) into 2 distinct types. Am. J. Surg. Pathol. 2010, 34, 636–644. [Google Scholar] [CrossRef]
- Miettinen, M.; Wang, Z.F.; Sarlomo-Rikala, M.; Osuch, C.; Rutkowski, P.; Lasota, J. Succinate dehydrogenase-deficient GISTs: A clinicopathologic, immunohistochemical, and molecular genetic study of 66 gastric GISTs with predilection to young age. Am. J. Surg. Pathol. 2011, 35, 1712–1721. [Google Scholar] [CrossRef]
- Gaal, J.; Stratakis, C.A.; Carney, J.A.; Ball, E.R.; Korpershoek, E.; Lodish, M.B.; Levy, I.; Xekouki, P.; van Nederveen, F.H.; den Bakker, M.A.; et al. SDHB immunohistochemistry: A useful tool in the diagnosis of Carney-Stratakis and Carney triad gastrointestinal stromal tumors. Mod. Pathol. 2011, 24, 147–151. [Google Scholar] [CrossRef]
- Li, X.Q.; Cheuk, W.; Chuang, S.S.; Rech, K.L. EBV-positive inflammatory follicular dendritic cell sarcoma. In WHO Classification of Tumours. Haematolymphoid Tumors, 5th ed.; The WHO Classification of Tumours Editorial Board, Ed.; IARC Press: Lyon, France, 2024; pp. 791–793. ISBN 978-92-832-4520-9. [Google Scholar]
- Rech, K.L.; Demicco, E.G.; Gujral, S.; Hung, Y.P.; Macon, W.R.; Picarsic, J.; Rossi, E.D.; Schmitt, F.; Yin, W.H. Follicular dendritic cell sarcoma. In WHO Classification of Tumours. Haematolymphoid Tumors, 5th ed.; The WHO Classification of Tumours Editorial Board, Ed.; IARC Press: Lyon, France, 2024; pp. 787–789. ISBN 978-92-832-4520-9. [Google Scholar]
- Umetsu, S.E.; Ladwig, N.R. Advances in uterine inflammatory myofibroblastic tumours: Diagnostic challenges and risk stratification. Histopathology 2024, 85, 215–223. [Google Scholar] [CrossRef]
- Kyi, C.; Friedman, C.F.; Mueller, J.J.; Benayed, R.; Ladanyi, M.; Arcila, M.; Yang, S.R.; Hensley, M.L.; Chiang, S. Uterine mesenchymal tumors harboring ALK fusions and response to ALK-targeted therapy. Gynecol. Oncol. Rep. 2021, 37, 100852. [Google Scholar] [CrossRef]
- National Comprehensive Cancer Network. Clinical Practice Guidelines for Uterine Neoplasms (Version 2.2024); NCCN: Philadelphia, PA, USA, 2024; Available online: https://www.nccn.org/professionals/physician_gls/pdf/sarcoma.pdf (accessed on 18 March 2025).
- Shaw, A.T.; Kim, D.W.; Mehra, R.; Tan, D.S.; Felip, E.; Chow, L.Q.; Camidge, D.R.; Vansteenkiste, J.; Sharma, S.; De Pas, T.; et al. Ceritinib in ALK-rearranged non-small-cell lung cancer. N. Engl. J. Med. 2014, 370, 1189–1197. [Google Scholar] [CrossRef]
- Schöffski, P.; Kubickova, M.; Wozniak, A.; Blay, J.Y.; Strauss, S.J.; Stacchiotti, S.; Switaj, T.; Bücklein, V.; Leahy, M.G.; Italiano, A.; et al. Long-term efficacy update of crizotinib in patients with advanced, inoperable inflammatory myofibroblastic tumour from EORTC trial 90101 CREATE. Eur. J. Cancer 2021, 156, 12–23. [Google Scholar] [CrossRef] [PubMed]
- Schöffski, P.; Sufliarsky, J.; Gelderblom, H.; Blay, J.Y.; Strauss, S.J.; Stacchiotti, S.; Rutkowski, P.; Lindner, L.H.; Leahy, M.G.; Italiano, A.; et al. Crizotinib in patients with advanced, inoperable inflammatory myofibroblastic tumours with and without anaplastic lymphoma kinase gene alterations (European Organisation for Research and Treatment of Cancer 90101 CREATE): A multicentre, single-drug, prospective, non-randomised phase 2 trial. Lancet Respir. Med. 2018, 6, 431–441. [Google Scholar] [CrossRef] [PubMed]
- Villalobos, V.M.; Camidge, D.R. Targeting ALK in inflammatory myofibroblastic tumours. Lancet Respir. Med. 2018, 6, 405–407. [Google Scholar] [CrossRef] [PubMed]
- Childress, M.A.; Himmelberg, S.M.; Chen, H.; Deng, W.; Davies, M.A.; Lovly, C.M. ALK Fusion Partners Impact Response to ALK Inhibition: Differential Effects on Sensitivity, Cellular Phenotypes, and Biochemical Properties. Mol. Cancer Res. 2018, 16, 1724–1736. [Google Scholar] [CrossRef]
- Tsuma, Y.; Miyachi, M.; Ouchi, K.; Tsuchiya, K.; Iehara, T.; Naitoh, Y.; Konishi, E.; Yanagisawa, A.; Hosoi, H. Neoadjuvant Treatment with Cyclooxygenase-2 Inhibitor and Prednisolone Allows Conservative Surgery for Inflammatory Myofibroblastic Tumor of the Bladder. J. Pediatr. Hematol. Oncol. 2016, 38, e283–e285. [Google Scholar] [CrossRef]
- Casanova, M.; Brennan, B.; Alaggio, R.; Kelsey, A.; Orbach, D.; van Noesel, M.M.; Corradini, N.; Minard-Colin, V.; Zanetti, I.; Bisogno, G.; et al. Inflammatory myofibroblastic tumor: The experience of the European pediatric Soft Tissue Sarcoma Study Group (EpSSG). Eur. J. Cancer 2020, 127, 123–129. [Google Scholar] [CrossRef]
- Baldi, G.G.; Brahmi, M.; Lo Vullo, S.; Cojocaru, E.; Mir, O.; Casanova, M.; Vincenzi, B.; De Pas, T.M.; Grignani, G.; Pantaleo, M.A.; et al. The Activity of Chemotherapy in Inflammatory Myofibroblastic Tumors: A Multicenter, European Retrospective Case Series Analysis. Oncologist 2020, 25, e1777–e1784. [Google Scholar] [CrossRef]
- Alaggio, R.; Cecchetto, G.; Bisogno, G.; Gambini, C.; Calabrò, M.L.; Inserra, A.; Boldrini, R.; De Salvo, G.L.; ES, G.d.A.; Dall’igna, P. Inflammatory myofibroblastic tumors in childhood: A report from the Italian Cooperative Group studies. Cancer 2010, 116, 216–226. [Google Scholar] [CrossRef]
- Ladwig, N.; Boyraz, B. Risk Stratification of Miscellaneous Uterine Mesenchymal Neoplasms: The Role of Morphology, Immunohistochemistry, and Molecular Testing. Adv. Anat. Pathol. 2025, 32, 57–69. [Google Scholar] [CrossRef]
- Siemion, K.; Reszec-Gielazyn, J.; Kisluk, J.; Roszkowiak, L.; Zak, J.; Korzynska, A. What do we know about inflammatory myofibroblastic tumors?—A systematic review. Adv. Med. Sci. 2022, 67, 129–138. [Google Scholar] [CrossRef] [PubMed]
- Gros, L.; Dei Tos, A.P.; Jones, R.L.; Digklia, A. Inflammatory Myofibroblastic Tumour: State of the Art. Cancers 2022, 14, 3662. [Google Scholar] [CrossRef] [PubMed]
- Farris, N.; Sampson, M. Single-agent rituximab for treatment of multifocal and multiple relapsed pulmonary inflammatory myofibroblastic tumor in an adolescent patient. Pediatr. Blood Cancer 2021, 68, e29131. [Google Scholar] [CrossRef] [PubMed]











| Histological Pattern | Key Histological Features | Differential Diagnosis |
|---|---|---|
| Myxoid (a) | Loosely arranged plump or spindled myofibroblasts; edematous myxoid background; abundant blood vessels; infiltrate of plasma cells, lymphocytes, and eosinophils | Inflammatory pseudotumor Inflammatory fibroid polyp Nodular fasciitis Myxoinflammatory fibroblastic sarcoma |
| Hypercellular | Compact spindle cells proliferation in fascicular or storiform patterns; variably myxoid and collagenous stroma; prominent inflammatory infiltrate. | Pseudosarcomatous myofibroblastic proliferation Inflammatory well-differentiated liposarcoma Low-grade myofibroblastic sarcoma Inflammatory leiomyosarcoma Embryonal rhabdomyosarcoma Gastrointestinal stromal tumor Epstein–Barr virus-positive inflammatory follicular dendritic cell sarcoma |
| Hypocellular fibrous | Low cellularity of spindle cells; hyalinized collagenous stroma; relatively sparse inflammatory infiltrate | IgG4-related sclerosing disease Desmoid fibromatosis |
| Atypical features (b) | Hypercellularity, necrosis, ganglion-like cells, round or polygonal cells, herringbone pattern, multinucleated or anaplastic giant cells, atypical mitoses |
| Genes Involved | Incidence | Cytogenetic Alterations | Gene Fusion | Immunohistochemistry | |
|---|---|---|---|---|---|
| Inflammatory myofibroblastic tumor | ALK (2p23) | 50–60% | t(1;2)(q22;p23) | TPM3::ALK (a) | ALK (+) (d); SMA, calponin, h-caldesmon, desmin, cytokeratins (±) |
| t(2;19)(p23;p13) | TPM4::ALK | ||||
| t(2;17)(p23;q23) | CLTC::ALK | ||||
| t(2;11)(p23;p15) | CARS::ALK | ||||
| t(2;4)(p23;q21) | SEC31A::ALK | ||||
| t(2;12)(p23;p11) | PPFIBP1::ALK | ||||
| inv(2)(p23;q35) | ATIC::ALK | ||||
| inv(2)(p21;p23) | EML4::ALK | ||||
| t(2;17)(p23;q24) | PRKAR1A::ALK | ||||
| inv(2)(p23;q34) | FN1::ALK (b) | ||||
| ROS1 (6q22.1) | 5–10% | t(3;6)(q12;q22) | TFG::ROS1 | ROS1 (+) | |
| t(6;17)(q22;p13) | YWHAE::ROS1 | ||||
| t(2;6)(q35;q22) | FN1::ROS1 | ||||
| t(6;22)(q22;q12) | TIMP3::ROS1 | ||||
| t(6;7)(q22;p13) | NUDCD3::ROS1 | ||||
| NTRK3 (15q25.3) | 5–10% | t(12;15)(p13;q25) | ETV6::NTRK3 | Pan-TRK (+) | |
| RET (10q11.21) | Rare | t(10;22)(q11;q12) | TIMP3::RET FN1::RET (c) | ||
| PDGFRB (5q32) | Rare | t(5;12)(q32;q13) | NAB2::PDGFRB | PDGFRB (+) | |
| Epithelioid inflammatory myofibroblastic sarcoma | ALK (2p23) | Rare | inv(2)(p23;q13) | RANBP2::ALK RANBP1::ALK | ALK (+) (e) |
| Clinical Features | Histological Features | IHC | Molecular Genetics | Prognosis (a) | |
|---|---|---|---|---|---|
| Pregnancy- associated inflammatory myofibroblastic tumor | Occur incidentally in pregnant women; usually in the setting of prenatal complications such as DM, hypertension, preeclampsia, or abnormal implantation | Three patterns (1) hypocellular and myxoid, (2) decidualized and cellular with a moderate myxoid matrix, (3) smooth muscle-like with minimal myxoid stroma | ALK (+), PR (+), CD10 (+), SMA (±), ER (±) | ALK fusion with TIMP3 and THBS1; fusion involving RET, ROS, or INSR (a subset of ALK-negative tumors) | Benign |
| Epithelioid inflammatory myofibroblastic sarcoma | Median age of 39 years; male predominance; intraabdominal region, particularly mesentery and omentum | Sheets of epithelioid and round cells with vesicular nuclei; abundant myxoid stroma; predominant neutrophilic infiltration | ALK (+) (b), desmin (+), CD30 (+), SMA (±) | RANBP2::ALK; RRBP1::ALK | More aggressive |
| Myxoid inflammatory myofibroblastic sarcoma | Median age of 37 years; affects males and females equally; predominantly occurs in peritoneum, but also in paratesticular region, chest wall, extremity, retroperitoneum, uterus | Bland to mildly atypical neoplastic myofibroblasts; delicate branching vessels; myxoid stroma; infiltrative growth; inflammatory infiltrate | SMA(±), desmin (±), CD30 (±), CD34 (±); rare expression of ALK (4% of cases) | PDGFRB rearrangements; PML::JAK1; SEC31A::PDGFRA; KRAS mutations (G12V and Q61H) (a small subset) | More aggressive |
| Tumor Type | Clinical Features | Histological Features | IHC | Molecular Features |
|---|---|---|---|---|
| Inflammatory pseudotumor | Associated with infection, immune reaction, post-traumatic | Mixed inflammatory cells infiltrate; fibroblasts, myofibroblasts; fibrosis | SMA (+); ALK (−) | No known genetic alterations |
| IgG4-related sclerosing disease | Middle-aged to elderly adults; elevated serum IgG4 levels in most cases | Dense lymphoplasmacytic infiltrate; storiform fibrosis; obliterative phlebitis | IgG4-positive plasma cells | No known genetic alterations |
| Pseudosarcomatous myofibroblastic proliferations | Previous instrumentation or surgery; genitourinary tract, especially urinary bladder | Myofibroblasts with palely eosinophilic cytoplasm; tissue culture-like pattern | SMA (+); desmin (+); ALK (+) in 70% | FN1::ALK |
| Inflammatory fibroid polyp | Middle-aged adult; slight female predominance; stomach, small intestine | Spindled cells; edematous or myxoid stroma; inflammatory infiltrate, prominent eosinophils | CD34 (+); SMA (±); desmin (±) | PDGFRA activating mutations |
| Nodular fasciitis | Young adults; rapidly grow; subcutaneous tissue of the extremity | Myofibroblastic proliferation; tissue culture-like growth pattern; microcystic changes | SMA (+), often diffuse; desmin (±) | USP rearrangement |
| Desmoid fibromatosis | Young to middle-aged adults, pediatric; abdominal wall, extremities, mesentery | Uniform fibroblastic proliferation; long sweeping fascicles. collagen deposition | SMA (+); desmin (±); nuclear β-catenin (+) in majority | Somatic mutations in CTNNB1; germline mutations in APC |
| Inflammatory well-differentiated liposarcoma | Older adults; mostly arise in retroperitoneum | Dense chronic inflammatory cells; scattered atypical stromal cells; lipoblasts | MDM2 (+); CDK4 (+) | MDM2 and CDK4 amplification |
| Low-grade myofibroblastic sarcoma | Adults; head and neck, especially tongue, oral cavity, extremities | Cellular fascicles of spindle cells; diffusely infiltrative growth | SMA (±), desmin (±) | Alterations of 12p11 and 12q13-q22 in some cases |
| Myxoinflammatory fibroblastic sarcoma | Adults; acral dorsal extremities, particularly fingers, hands | Atypical fibroblastic cells with macronucleoi; myxohyaline stroma; inflammatory infiltrate | CD34 (±); SMA (±); CD68 (±) | t(1;10)(p22;q24); TGFBR3::OGA; BRAF rearrangements |
| Inflammatory leiomyosarcoma | Adults; inflammatory-type symptoms; retroperitoneum, lower limb, trunk, lung | Fascicles of atypical spindle cells; prominent, diffusely inflammatory infiltrate | SMA (+); desmin (+); myogen (±) | Near-haploid genotype |
| Embryonal rhabdomyosarcoma | Children and young adults; head and neck, genitourinary system | Primitive round and spindle cell morphology; scattered rhabdomyoblasts | Desmin (+), myogenin (+), MYOD1 (+) | Complex aneuploid karyotype |
| Gastrointestinal stromal tumor | Gastrointestinal tract; mesentery, omentum, retroperitoneum | Broad morphologic spectrum; spindle cell, epithelioid, or mixed morphology | CD117 (+), DOG1 (+); PDGFRA (+) (a); SDHB loss (b) | KIT or PDGFRA mutations |
| EBV-positive inflammatory follicular dendritic cell sarcoma | Young to middle-aged adults; Occurs almost exclusively in liver, spleen | Atypical spindle to oval cells; accompanied by a rich lymphoplasmacytic infiltrate | CD21 (+), CD23 (+), CD35 (+) | Copy-neutral loss of heterozygosity of 5q; gain of chromosome X |
Disclaimer/Publisher’s Note: The statements, opinions and data contained in all publications are solely those of the individual author(s) and contributor(s) and not of MDPI and/or the editor(s). MDPI and/or the editor(s) disclaim responsibility for any injury to people or property resulting from any ideas, methods, instructions or products referred to in the content. |
© 2025 by the author. Licensee MDPI, Basel, Switzerland. This article is an open access article distributed under the terms and conditions of the Creative Commons Attribution (CC BY) license (https://creativecommons.org/licenses/by/4.0/).
Share and Cite
Choi, J.H. Inflammatory Myofibroblastic Tumor: An Updated Review. Cancers 2025, 17, 1327. https://doi.org/10.3390/cancers17081327
Choi JH. Inflammatory Myofibroblastic Tumor: An Updated Review. Cancers. 2025; 17(8):1327. https://doi.org/10.3390/cancers17081327
Chicago/Turabian StyleChoi, Joon Hyuk. 2025. "Inflammatory Myofibroblastic Tumor: An Updated Review" Cancers 17, no. 8: 1327. https://doi.org/10.3390/cancers17081327
APA StyleChoi, J. H. (2025). Inflammatory Myofibroblastic Tumor: An Updated Review. Cancers, 17(8), 1327. https://doi.org/10.3390/cancers17081327

