Multidisciplinary Tumor Board Evaluation of Pediatric Patients with Adrenocortical Tumors Across Seven International Centers
Simple Summary
Abstract
1. Introduction
2. Materials and Methods
3. Results
3.1. Patient Characteristics
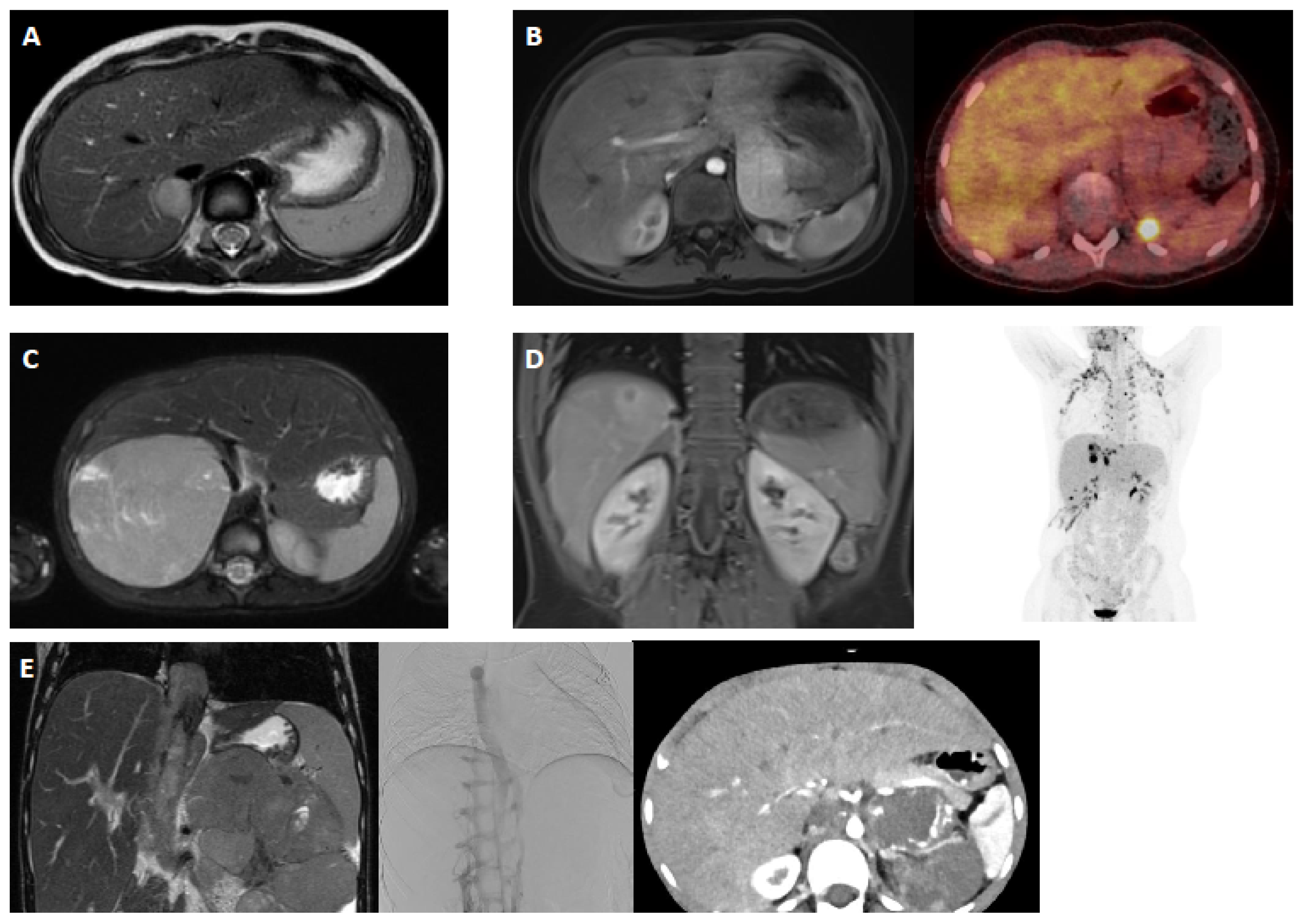
3.2. Case 1: Localized Right-Sided Adrenocortical Tumor with Androgen Secretion, Initial Diagnosis (For Case 1 Details See Table 1 and Figure 1A)
3.3. Case 2: Second Local Relapse of Stage IV Left-Sided Adrenocortical Carcinoma with Androgen Secretion (For Case 2 Details, See Table 1 and Figure 1B)
3.4. Case 3: Right-Sided Adrenocortical Tumor of Stage III with Androgen Secretion, Initial Diagnosis (For Case 3 Details, See Table 1 and Figure 1C)
3.5. Case 4: Stage IV Left-Sided Adrenocortical Carcinoma, Cortisol-Secreting, with Multiple Metastases and Multiple Disease Progressions (For Case 4 Details, See Table 1 and Figure 1D)
3.6. Case 5: Adrenocortical Carcinoma (Left Side), Stage IV, Androgen-Producing After Neoadjuvant Therapy (For Case 5 Details, See Table 1 and Figure 1E)
3.7. Summative Analysis of Agreement for All Cases
4. Discussion
5. Conclusions
Supplementary Materials
Author Contributions
Funding
Institutional Review Board Statement
Informed Consent Statement
Data Availability Statement
Conflicts of Interest
References
- Faria, A.M.; Almeida, M.Q. Differences in the molecular mechanisms of adrenocortical tumorigenesis between children and adults. Mol. Cell. Endocrinol. 2012, 351, 52–57. [Google Scholar] [CrossRef]
- Siegel, D.A.; King, J.; Tai, E.; Buchanan, N.; Ajani, U.A.; Li, J. Cancer incidence rates and trends among children and adolescents in the United States, 2001–2009. Pediatrics 2014, 134, e945–e955. [Google Scholar] [CrossRef] [PubMed]
- McAteer, J.P.; Huaco, J.A.; Gow, K.W. Predictors of survival in pediatric adrenocortical carcinoma: A Surveillance, Epidemiology, and End Results (SEER) program study. J. Pediatr. Surg. 2013, 48, 1025–1031. [Google Scholar] [CrossRef]
- Jouinot, A.; Bertherat, J. Diseases Predisposing to Adrenocortical Malignancy (Li-Fraumeni Syndrome, Beckwith-Wiedemann Syndrome, and Carney Complex). Exp. Suppl. 2019, 111, 149–169. [Google Scholar] [PubMed]
- Ribeiro, R.C.; Figueiredo, B. Childhood adrenocortical tumours. Eur. J. Cancer 2004, 40, 1117–1126. [Google Scholar] [CrossRef] [PubMed]
- Ribeiro, R.C.; Sandrini, F.; Figueiredo, B.; Zambetti, G.P.; Michalkiewicz, E.; Lafferty, A.R.; DeLacerda, L.; Rabin, M.; Cadwell, C.; Sampaio, G.; et al. An inherited p53 mutation that contributes in a tissue-specific manner to pediatric adrenal cortical carcinoma. Proc. Natl. Acad. Sci. USA 2001, 98, 9330–9335. [Google Scholar] [CrossRef]
- Pinto, E.M.; Billerbeck, A.E.; Villares, M.C.; Domenice, S.; Mendonça, B.B.; Latronico, A.C. Founder effect for the highly prevalent R337H mutation of tumor suppressor p53 in Brazilian patients with adrenocortical tumors. Arq. Bras. Endocrinol. Metabol. 2004, 48, 647–650. [Google Scholar] [CrossRef]
- Bougeard, G.; Renaux-Petel, M.; Flaman, J.-M.; Charbonnier, C.; Fermey, P.; Belotti, M.; Gauthier-Villars, M.; Stoppa-Lyonnet, D.; Consolino, E.; Brugières, L.; et al. Revisiting Li-Fraumeni Syndrome From TP53 Mutation Carriers. J. Clin. Oncol. 2015, 33, 2345–2352. [Google Scholar] [CrossRef]
- Wasserman, J.D.; Novokmet, A.; Eichler-Jonsson, C.; Ribeiro, R.C.; Rodriguez-Galindo, C.; Zambetti, G.P.; Malkin, D. Prevalence and functional consequence of TP53 mutations in pediatric adrenocortical carcinoma: A children’s oncology group study. J. Clin. Oncol. 2015, 33, 602–609. [Google Scholar] [CrossRef]
- Kerkhofs, T.M.; Ettaieb, M.H.; Verhoeven, R.H.; Kaspers, G.J.; Tissing, W.J.; Loeffen, J.; Van den Heuvel-Eibrink, M.M.; De Krijger, R.R.; Haak, H.R. Adrenocortical carcinoma in children: First population-based clinicopathological study with long-term follow-up. Oncol. Rep. 2014, 32, 2836–2844. [Google Scholar] [CrossRef]
- Wajchenberg, B.L.; Albergaria Pereira, M.A.; Medonca, B.B.; Latronico, A.C.; Campos Carneiro, P.; Alves, V.A.; Zerbini, M.C.; Liberman, B.; Carlos Gomes, G.; Kirschner, M.A. Adrenocortical carcinoma: Clinical and laboratory observations. Cancer 2000, 88, 711–736. [Google Scholar] [CrossRef]
- Dehner, L.P.; Hill, D.A. Adrenal cortical neoplasms in children: Why so many carcinomas and yet so many survivors? Pediatr. Dev. Pathol. 2009, 12, 284–291. [Google Scholar] [CrossRef]
- Wieneke, J.A.; Thompson, L.D.; Heffess, C.S. Adrenal cortical neoplasms in the pediatric population: A clinicopathologic and immunophenotypic analysis of 83 patients. Am. J. Surg. Pathol. 2003, 27, 867–881. [Google Scholar] [CrossRef] [PubMed]
- Sandrini, R.; Ribeiro, R.C.; DeLacerda, L. Childhood adrenocortical tumors. J. Clin. Endocrinol. Metab. 1997, 82, 2027–2031. [Google Scholar] [CrossRef]
- Ghazi, A.A.; Mofid, D.; Salehian, M.T.; Amirbaigloo, A.; Zare, K.; Jafari, B.; Rahimi, F. Functioning adrenocortical tumors in children-secretory behavior. J. Clin. Res. Pediatr. Endocrinol. 2013, 5, 27–32. [Google Scholar]
- Michalkiewicz, E.; Sandrini, R.; Figueiredo, B.; Miranda, E.C.; Caran, E.; Oliveira-Filho, A.G.; Marques, R.; Pianovski, M.A.; Lacerda, L.; Cristofani, L.M.; et al. Clinical and outcome characteristics of children with adrenocortical tumors: A report from the International Pediatric Adrenocortical Tumor Registry. J. Clin. Oncol. 2004, 22, 838–845. [Google Scholar] [CrossRef] [PubMed]
- Riedmeier, M.; Agarwal, S.; Antonini, S.; Costa, T.; Diclehan, O.; Fassnacht, M.; Figueiredo, B.C.; Guran, T.; Härtel, C.; Haubitz, I.; et al. Assessment of prognostic factors in pediatric adrenocortical tumors: The modified pediatric S-GRAS score in an international multicenter cohort-a work from the ENSAT-PACT working group. Eur. J. Endocrinol. 2024, 191, 64–74. [Google Scholar] [CrossRef]
- Zambaiti, E.; Duci, M.; De Corti, F.; Gamba, P.; Dall’Igna, P.; Ghidini, F.; Virgone, C. Clinical prognostic factors in pediatric adrenocortical tumors: A meta-analysis. Pediatr. Blood Cancer 2021, 68, e28836. [Google Scholar] [CrossRef]
- Rodriguez-Galindo, C.; Krailo, M.D.; Pinto, E.M.; Pashankar, F.; Weldon, C.B.; Huang, L.; Caran, E.M.; Hicks, J.; McCarville, M.B.; Malkin, D.; et al. Treatment of Pediatric Adrenocortical Carcinoma With Surgery, Retroperitoneal Lymph Node Dissection, and Chemotherapy: The Children’s Oncology Group ARAR0332 Protocol. J. Clin. Oncol. 2021, 39, JCO2002871. [Google Scholar] [CrossRef]
- Hubertus, J.; Boxberger, N.; Redlich, A.; Von Schweinitz, D.; Vorwerk, P. Surgical aspects in the treatment of adrenocortical carcinomas in children: Data of the GPOH-MET 97 trial. Klin. Padiatr. 2012, 224, 143–147. [Google Scholar] [CrossRef]
- Redlich, A.; Boxberger, N.; Strugala, D.; Frühwald, M.C.; Leuschner, I.; Kropf, S.; Bucsky, P.; Vorwerk, P. Systemic treatment of adrenocortical carcinoma in children: Data from the German GPOH-MET 97 trial. Klin. Padiatr. 2012, 224, 366–371. [Google Scholar] [CrossRef] [PubMed]
- Virgone, C.; Roganovic, J.; Vorwerk, P.; Redlich, A.; Schneider, D.T.; Janic, D.; Bien, E.; Lopez-Almaraz, R.; Godzinski, J.; Osterlundh, G.; et al. Adrenocortical tumours in children and adolescents: The EXPeRT/PARTNER diagnostic and therapeutic recommendations. Pediatr. Blood Cancer 2021, 68 (Suppl. S4), e29025. [Google Scholar] [CrossRef] [PubMed]
- Riedmeier, M.; Antonini, S.R.R.; Brandalise, S.; Costa, T.; Daiggi, C.M.; de Figueiredo, B.C.; de Krijger, R.R.; De Sá Rodrigues, K.E.; Deal, C.; Del Rivero, J.; et al. International consensus on mitotane treatment in pediatric patients with adrenal cortical tumors: Indications, therapy, and management of adverse effects. Eur. J. Endocrinol. 2024, 190, G15–G24. [Google Scholar] [CrossRef]
- Pinto, E.M.; Chen, X.; Easton, J.; Finkelstein, D.; Liu, Z.; Pounds, S.; Rodriguez-Galindo, C.; Lund, T.C.; Mardis, E.R.; Wilson, R.K.; et al. Genomic landscape of paediatric adrenocortical tumours. Nat. Commun. 2015, 6, 6302. [Google Scholar] [CrossRef]
- Bancos, I.; Taylor, A.E.; Chortis, V.; Sitch, A.J.; Jenkinson, C.; Davidge-Pitts, C.J.; Lang, K.; Tsagarakis, S.; Macech, M.; Riester, A.; et al. Urine steroid metabolomics for the differential diagnosis of adrenal incidentalomas in the EURINE-ACT study: A prospective test validation study. Lancet Diabetes Endocrinol. 2020, 8, 773–781. [Google Scholar] [CrossRef] [PubMed]
- Berke, K.; Constantinescu, G.; Masjkur, J.; Kimpel, O.; Dischinger, U.; Peitzsch, M.; Kwapiszewska, A.; Dobrowolski, P.; Nölting, S.; Reincke, M.; et al. Plasma Steroid Profiling in Patients With Adrenal Incidentaloma. J. Clin. Endocrinol. Metab. 2022, 107, e1181–e1192. [Google Scholar] [CrossRef]
- Fanelli, F.; Di Dalmazi, G. Serum steroid profiling by mass spectrometry in adrenocortical tumors: Diagnostic implications. Curr. Opin. Endocrinol. Diabetes Obes. 2019, 26, 160–165. [Google Scholar] [CrossRef]
- Fassnacht, M.; Dekkers, O.M.; Else, T.; Baudin, E.; Berruti, A.; de Krijger, R.; Haak, H.R.; Mihai, R.; Assie, G.; Terzolo, M. European Society of Endocrinology Clinical Practice Guidelines on the management of adrenocortical carcinoma in adults, in collaboration with the European Network for the Study of Adrenal Tumors. Eur. J. Endocrinol. 2018, 179, G1–G46. [Google Scholar] [CrossRef]
- Reibetanz, J.; Jurowich, C.; Erdogan, I.; Nies, C.; Rayes, N.; Dralle, H.; Behrend, M.; Allolio, B.; Fassnacht, M. Impact of lymphadenectomy on the oncologic outcome of patients with adrenocortical carcinoma. Ann. Surg. 2012, 255, 363–369. [Google Scholar] [CrossRef]
- Hendricks, A.; Diers, J.; Baum, P.; Weibel, S.; Kastner, C.; Muller, S.; Lock, J.F.; Kohler, F.; Meybohm, P.; Kranke, P.; et al. Systematic review and meta-analysis on volume-outcome relationship of abdominal surgical procedures in Germany. Int. J. Surg. 2021, 86, 24–31. [Google Scholar] [CrossRef]
- Puglisi, S.; Calabrese, A.; Basile, V.; Ceccato, F.; Scaroni, C.; Altieri, B.; Della Casa, S.; Loli, P.; Pivonello, R.; De Martino, M.C.; et al. Mitotane Concentrations Influence Outcome in Patients with Advanced Adrenocortical Carcinoma. Cancers 2020, 12, 740. [Google Scholar] [CrossRef] [PubMed]
- Puglisi, S.; Calabrese, A.; Basile, V.; Ceccato, F.; Scaroni, C.; Simeoli, C.; Torlontano, M.; Cannavò, S.; Arnaldi, G.; Stigliano, A.; et al. Mitotane Concentrations Influence the Risk of Recurrence in Adrenocortical Carcinoma Patients on Adjuvant Treatment. J. Clin. Med. 2019, 8, 1850. [Google Scholar] [CrossRef] [PubMed]
- Metz, T.; Heider, A.; Vellody, R.; Jarboe, M.D.; Gemmete, J.J.; Grove, J.J.; Smith, E.A.; Mody, R.; Newman, E.A.; Dillman, J.R. Image-guided percutaneous core needle biopsy of soft-tissue masses in the pediatric population. Pediatr. Radiol. 2016, 46, 1173–1178. [Google Scholar] [CrossRef] [PubMed]
- Mitton, B.; Seeger, L.L.; Eckardt, M.A.; Motamedi, K.; Eilber, F.C.; Nelson, S.D.; Eckardt, J.J.; Federman, N. Image-guided percutaneous core needle biopsy of musculoskeletal tumors in children. J. Pediatr. Hematol. Oncol. 2014, 36, 337–341. [Google Scholar] [CrossRef]
- Ceraulo, A.; Ouziel, A.; Lavergne, E.; Perrier, L.; Decouvelaere, A.V.; Chotel, F.; Thiesse, P.; Marec-Berard, P. Percutaneous guided biopsy for diagnosing suspected primary malignant bone tumors in pediatric patients: A safe, accurate, and cost-saving procedure. Pediatr. Radiol. 2017, 47, 235–244. [Google Scholar] [CrossRef]


| Case | Patient Characteristics | Diagnosis | Clinical Course | Pathology 1 | Genetics 1 | Radiology 1 | Further diagnosis | Question | ||
|---|---|---|---|---|---|---|---|---|---|---|
| Number | Age (in Years) | Sex | Family History | |||||||
| 1 | 3.8 | Female | Without events | Adrenocortical tumor (right side), androgen-secreting | -Clitoral hypertrophy detected 10 months ago during check-up; -Inconspicuous female chromosome set -Endocrine workup: marked hyperandrogenemia; DHEAS-B value: 4.870 µg/L; normal FSH, LH, estradiol, testosterone, ACTH, and cortisol levels; AGS excluded -Ultrasound: suspicious for focal nodular hyperplasia (FNH) of liver -Further staging: no pathological findings | Not complete | Not complete | MRI: adrenal gland tumor right CT Thorax: no filiae (see Figure 1A) | Mild development delay | Primary diagnosis -treatment recommendations |
| 2 | 6.9 | Female | Without events | Adrenocortical carcinoma (left side) initially stage 2, relapse stage IV, 5.4 × 5.2 × 5.2 cm, androgen-secreting | -04/21: First diagnosis -01/22: Relapse (local, lungs, kidney) -Previous oncological therapy: 04/21: Adrenalectomy (R0 resection) 01/22: Surgery on 4.9 cm lung metastasis 02/22: Partial kidney resection with 2 cm ACC metastasis 04/22: Partial renal re-resection with confirmed metastasis 03–09/22: Six cycles of chemotherapy (EDP) per GPOH-MET registry Since 03/22: Mitotane therapy, levels in target range since 09/22 -Follow up 09/2023: tumor left adrenal loge | Wieneke Score: 4 Ki-67 expression: 20%, focal areas 40% | No germline mutation detected INFORM study inclusion: no molecular target identified Borderline findings: AURKC, TYK2, and GDF overexpression | MRI: left adrenal loge CT Thorax: no filiae (see Figure 1B) | None | Local relapse of left adrenal gland 9/23 -treatment recommendations |
| 3 | 3.1 | Female | Without events | Adrenocortical tumor (right side) stage III androgen-secreting | -Clinical signs of pubertal hair development and clitoral hypertrophy over few weeks | Not complete | Not complete | MRI: adrenal tumor CT Thorax: no filiae (see Figure 1C) | None | Primary diagnosis -treatment recommendations |
| 4 | 12.8 | Female | Without events | Adrenocortical carcinoma (left side), stage IV, cortisol-secreting, metastases: lymph nodes, liver, pulmonary | -02/23: First diagnosis -02–08/23: Eight cycles of chemotherapy (EDP) + mitotane (per GPOH-MET registry) -> partial response -10/23: Tumor resection with laparotomic adrenalectomy (right side), tumor mass reduction -11/23: Tumor progression; adjuvant chemotherapy (2 cycles of EDP) plus mitotane | Wieneke Score: 6 Ki-67 expression: 20%, focal areas 40% | No germline mutation detected INFORM study inclusion: no molecular target identified Borderline findings: FGFR1, VEGFA | MRI/FDG-PET: progression of metastases (liver and pulmonal) (see Figure 1D) | Epilepsy | Progression of metastases (liver and pulmonal) -further treatment recommendations |
| 5 | 5.4 | Female | Without events | adrenocortical carcinoma (left side), stage IV Tumor size: 16 × 11 × 16 cm, androgen-secreting | -02/23: First diagnosis with clinical signs of precocious puberty Infiltration: Vena cava, thrombus in right atrium, pulmonary filiae -02–08/23: Eight blocks of chemotherapy (EDP) according to GPOH-MET registry + mitotane | Not available | Li–Fraumeni syndrome | MRI/ CT Thorax: partial response (see Figure 1E) | Li–Fraumeni syndrome Arterial hypertension AV block (first degree), mild QTc elongation | Staging at end of intensive chemotherapy further treatment recommendations (surgery? immunotherapy? mitotane only?) |
| Case | Additional Diagnostics | Surgery | Systemic Treatment | Mitotane | Radiotherapy | Others |
|---|---|---|---|---|---|---|
| 1 | PET-CT (100%) cranial MRI (17%) endocrine workup (86%) | Primary surgical approach (100%) | Systemic treatment in dependency of histology and surgical outcome (100%) | Genetic counseling (100%) | ||
| 2 | PET-CT (86%) endocrine workup (100%) | Primary surgical approach (86%) | Systemic adjuvant therapy (100%) chemotherapy (71%) Mitotane alone (14%) Mitotane plus chemotherapy (42%) | Consideration of radiotherapy (67%) (neoadjuvant 14%, adjuvant 43%) | Adjuvant targeted therapy with cabozantinib (14%) | |
| 3 | PET-CT (100%) endocrine workup (100%) | Primary surgical approach (100%) | Adjuvant EDP-like chemotherapy (100%) | Mitotane treatment (100%) | Adjuvant radiotherapy in addition to systemic treatment (33%) | Genetic counseling (100%) |
| 4 | No additional diagnostics | Not recommended | Salvage therapy (71%) | Continuation of mitotane (100%) | Additional radiotherapy (29%) | Palliative setting (100%) Ketoconazole/metyrapone symptomatically |
| 5 | No additional diagnostics | Extended tumor resection (86%) | Neoadjuvant chemotherapy plus mitotane (100%), mitotane maintenance therapy (71%) | Not recommended | Adjuvant targeted/ biological therapy (43%) | |
Disclaimer/Publisher’s Note: The statements, opinions and data contained in all publications are solely those of the individual author(s) and contributor(s) and not of MDPI and/or the editor(s). MDPI and/or the editor(s) disclaim responsibility for any injury to people or property resulting from any ideas, methods, instructions or products referred to in the content. |
© 2025 by the authors. Licensee MDPI, Basel, Switzerland. This article is an open access article distributed under the terms and conditions of the Creative Commons Attribution (CC BY) license (https://creativecommons.org/licenses/by/4.0/).
Share and Cite
Riedmeier, M.; Schlötelburg, W.; Agarwal, S.; Biswas, A.; Ekinci, S.; Fassnacht, M.; Villares Fragoso, M.C.B.; Gonc, E.N.; Gultekin, M.; Haliloglu, M.; et al. Multidisciplinary Tumor Board Evaluation of Pediatric Patients with Adrenocortical Tumors Across Seven International Centers. Cancers 2025, 17, 1014. https://doi.org/10.3390/cancers17061014
Riedmeier M, Schlötelburg W, Agarwal S, Biswas A, Ekinci S, Fassnacht M, Villares Fragoso MCB, Gonc EN, Gultekin M, Haliloglu M, et al. Multidisciplinary Tumor Board Evaluation of Pediatric Patients with Adrenocortical Tumors Across Seven International Centers. Cancers. 2025; 17(6):1014. https://doi.org/10.3390/cancers17061014
Chicago/Turabian StyleRiedmeier, Maria, Wiebke Schlötelburg, Shipra Agarwal, Ahitagni Biswas, Saniye Ekinci, Martin Fassnacht, Maria C. B. Villares Fragoso, E. Nazli Gonc, Melis Gultekin, Mithat Haliloglu, and et al. 2025. "Multidisciplinary Tumor Board Evaluation of Pediatric Patients with Adrenocortical Tumors Across Seven International Centers" Cancers 17, no. 6: 1014. https://doi.org/10.3390/cancers17061014
APA StyleRiedmeier, M., Schlötelburg, W., Agarwal, S., Biswas, A., Ekinci, S., Fassnacht, M., Villares Fragoso, M. C. B., Gonc, E. N., Gultekin, M., Haliloglu, M., Jain, V., Jana, M., Janus, D., Meena, J. P., Munarin, J., Orhan, D., Del Rivero, J., Sharma, R., Tuli, G., ... Wiegering, V. (2025). Multidisciplinary Tumor Board Evaluation of Pediatric Patients with Adrenocortical Tumors Across Seven International Centers. Cancers, 17(6), 1014. https://doi.org/10.3390/cancers17061014

