Real-Time Blood Flow Assessment Using ICG Fluorescence Imaging During Hepatobiliary and Pancreatic Surgery with Consideration of Vascular Reconstruction
Simple Summary
Abstract
1. Introduction
2. Materials and Methods
2.1. Study Cohort
2.2. ICG Fluorescence Imaging and Surgical Procedures
2.3. Ethical Considerations
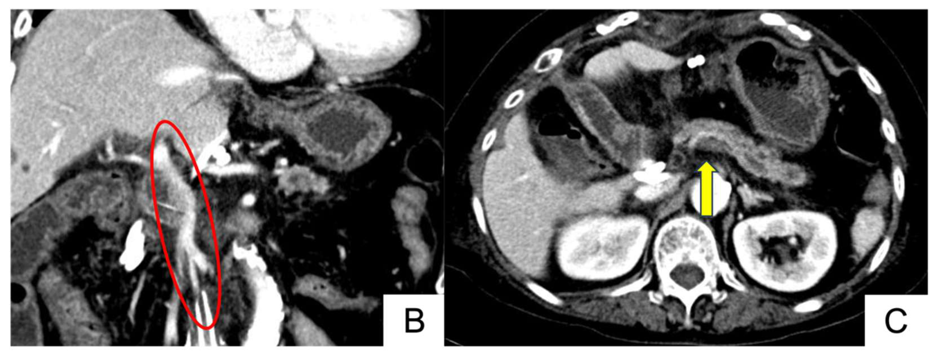
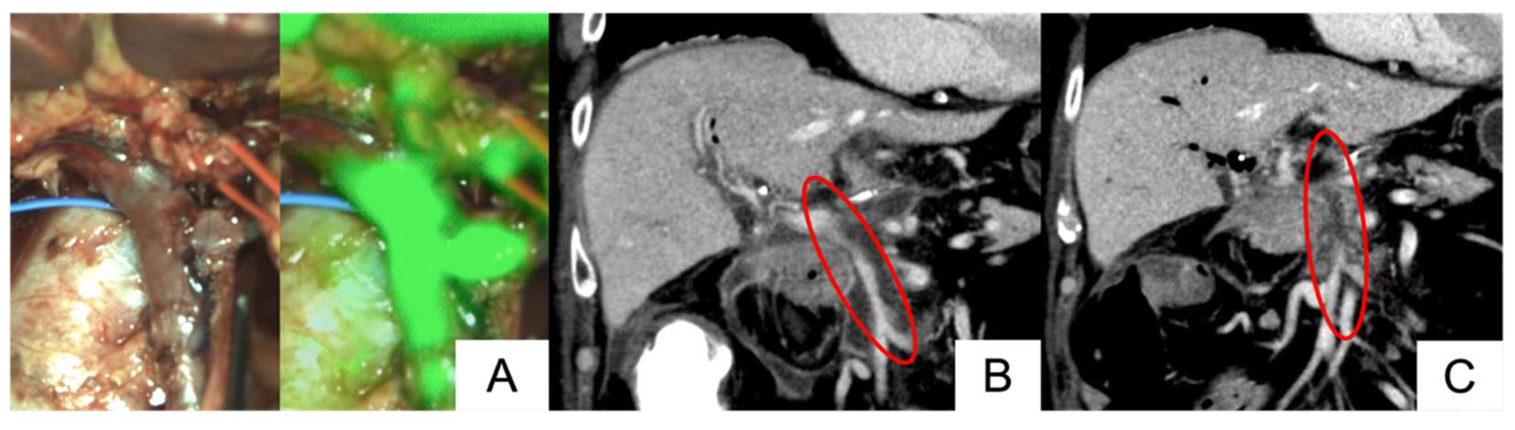
3. Results
4. Discussion
5. Conclusions
Supplementary Materials
Author Contributions
Funding
Institutional Review Board Statement
Informed Consent Statement
Data Availability Statement
Acknowledgments
Conflicts of Interest
Abbreviations
| AFV | Anterior fissure vein |
| CA | Celiac artery |
| CHA | Common hepatic artery |
| CT | Computed tomography |
| DP | Distal pancreatectomy |
| ISGPS | International Study Group of Pancreatic Surgery |
| MHV | Middle hepatic vein |
| PHA | Proper hepatic artery |
| PV | Portal vein |
References
- Filho, J.E.L.P.; Tustumi, F.; Coelho, F.F.; Júnior, S.S.; Honório, F.C.C.; Henriques, A.C.; Dias, A.R.; Waisberg, J. The impact of venous resection in pancreatoduodectomy: A systematic review and meta-analysis. Medicine 2021, 100, e27438. [Google Scholar] [CrossRef]
- Roch, A.M.; Kilbane, E.M.; Nguyen, T.; Ceppa, E.P.; Zyromski, N.J.; Schmidt, C.M.; Nakeeb, A.; House, M.G. Portal vein thrombosis after venous reconstruction during pancreatectomy: Timing and risks. J. Gastrointest. Surg. 2022, 26, 2148–2157. [Google Scholar] [CrossRef]
- Kinny-Köster, B.; Habib, J.R.; van Oosten, F.; Javed, A.A.; Cameron, J.L.; Burkhart, R.A.; Burns, W.R.; He, J.; Wolfgang, C.L. Conduits in vascular pancreatic surgery: Analysis of clinical outcomes, operative techniques, and graft performance. Ann. Surg. 2023, 278, e94–e104. [Google Scholar] [CrossRef]
- Chen, W.; Ke, K.; Chen, Y.L. Combined portal vein resection in the treatment of hilar cholangiocarcinoma: A systematic review and meta-analysis. Eur. J. Surg. Oncol. 2014, 40, 489–495. [Google Scholar] [CrossRef]
- Kok, T.; Peeters, P.M.J.G.; Hew, J.M.; Martijn, A.; Koetse, H.A.; Bijleveld, C.M.A.; Slooff, M.J.H. Doppler ultrasound and angiography of the vasculature of the liver in children after orthotopic liver transplantation: A prospective study. Pediatr. Radiol. 1995, 25, 517–524. [Google Scholar] [CrossRef]
- Akamatsu, N.; Sugawara, Y.; Kaneko, J.; Sano, K.; Imamura, H.; Kokudo, N.; Makuuchi, M. Effects of middle hepatic vein reconstruction on right liver graft regeneration. Transplantation 2003, 76, 832–837. [Google Scholar] [CrossRef]
- Duffy, J.P.; Hong, J.C.; Farmer, D.G.; Ghobrial, R.M.; Yersiz, H.; Hiatt, J.R.; Busuttil, R.W. Vascular complications of orthotopic liver transplantation: Experience in more than 4,200 patients. J. Am. Coll. Surg. 2009, 208, 896–903. [Google Scholar] [CrossRef]
- Smit, J.M.; Negenborn, V.L.; Jansen, S.M.; Jaspers, M.E.H.; de Vries, R.; Heymans, M.W.; Winters, H.A.H.; van Leeuwen, T.G.; Mullender, M.G.; Krekel, N.M.A. Intraoperative evaluation of perfusion in free flap surgery: A systematic review and meta-analysis. Microsurgery 2018, 38, 804–818. [Google Scholar] [CrossRef]
- Griffiths, M.; Chae, M.P.; Rozen, W.M. Indocyanine green-based fluorescent angiography in breast reconstruction. Gland Surg. 2016, 5, 133–149. [Google Scholar]
- Detter, C.; Wipper, S.; Russ, D.; Iffland, A.; Burdorf, L.; Thein, E.; Wegscheider, K.; Reichenspurner, H.; Reichart, B. Fluorescent cardiac imaging. Circulation 2007, 116, 1007–1014. [Google Scholar] [CrossRef]
- Schols, R.M.; Dip, F.; Lo Menzo, E.; Haddock, N.T.; Landin, L.; Lee, B.T.; Malagón, P.; Masia, J.; Mathes, D.W.; Nahabedian, M.Y.; et al. Delphi survey of intercontinental experts to identify areas of consensus on the use of indocyanine green angiography for tissue perfusion assessment during plastic and reconstructive surgery. Surgery 2022, 172, S46–S53. [Google Scholar] [CrossRef]
- Fransvea, P.; Fico, V.; Puccioni, C.; D’Agostino, L.; Costa, G.; Biondi, A.; Brisinda, G.; Sganga, G. Application of fluorescence-guided surgery in the acute care setting: A systematic literature review. Langenbeck’s Arch. Surg. 2023, 408, 375. [Google Scholar] [CrossRef] [PubMed]
- Blanco-Colino, R.; Espin-Basany, E. Intraoperative use of ICG fluorescence imaging to reduce the risk of anastomotic leakage in colorectal surgery: A systematic review and meta-analysis. Tech. Coloproctol. 2018, 22, 15–23. [Google Scholar] [CrossRef]
- Ishizawa, T.; Tamura, S.; Masuda, K.; Aoki, T.; Hasegawa, K.; Imamura, H.; Beck, Y.; Kokudo, N. Intraoperative fluorescent cholangiography using indocyanine green: A biliary road map for safe surgery. J. Am. Coll. Surg. 2009, 208, e1–e4. [Google Scholar] [CrossRef] [PubMed]
- Mehdorn, A.-S.; Beckmann, J.H.; Braun, F.; Becker, T.; Egberts, J.-H. Usability of indocyanine green in robot-assisted hepatic surgery. J. Clin. Med. 2021, 10, 456. [Google Scholar] [CrossRef] [PubMed]
- Ishizawa, T.; Fukushima, N.; Shibahara, J.; Masuda, K.; Tamura, S.; Aoki, T.; Hasegawa, K.; Beck, Y.; Fukayama, M.; Kokudo, N. Real-time identification of liver cancers by using indocyanine green fluorescent imaging. Cancer 2009, 115, 2491–2504. [Google Scholar] [CrossRef]
- Kinoshita, M.; Kawaguchi, T.; Tanaka, S.; Kimura, K.; Shinkawa, H.; Ohira, G.; Nishio, K.; Tanaka, R.; Kurihara, S.; Kushiyama, S.; et al. Application of indocyanine green fluorescence imaging for tumor localization during robot-assisted hepatectomy. Cancers 2023, 15, 4205. [Google Scholar] [CrossRef]
- Wang, X.; Teh, C.S.C.; Ishizawa, T.; Aoki, T.; Cavallucci, D.; Lee, S.-Y.; Panganiban, K.M.; Perini, M.V.; Shah, S.R.; Wang, H.; et al. Consensus guidelines for the use of fluorescence imaging in hepatobiliary surgery. Ann. Surg. 2021, 274, 97–106. [Google Scholar] [CrossRef]
- Ishizawa, T.; Bandai, Y.; Kokudo, N. Fluorescent cholangiography using indocyanine green for laparoscopic cholecystectomy: An initial experience. Arch. Surg. 2009, 144, 381–382. [Google Scholar] [CrossRef]
- Aoki, T.; Yasuda, D.; Shimizu, Y.; Odaira, M.; Niiya, T.; Kusano, T.; Mitamura, K.; Hayashi, K.; Murai, N.; Koizumi, T.; et al. Image-guided liver mapping using fluorescence navigation system with indocyanine green for anatomical hepatic resection. World J. Surg. 2008, 32, 1763–1767. [Google Scholar] [CrossRef]
- Ishizawa, T.; Zuker, N.B.; Kokudo, N.; Gayet, B. Positive and negative staining of hepatic segments by use of fluorescent imaging techniques during laparoscopic hepatectomy. Arch. Surg. 2012, 147, 393–394. [Google Scholar] [CrossRef]
- Berardi, G.; Igarashi, K.; Li, C.J.; Ozaki, T.; Mishima, K.; Nakajima, K.; Honda, M.; Wakabayashi, G. Parenchymal sparing anatomical liver resections with full laparoscopic approach: Description of technique and short-term results. Ann. Surg. 2021, 273, 785–791. [Google Scholar] [CrossRef]
- Zhou, J.; Tan, Z.; Sun, B.; Leng, Y.; Liu, S. Application of indocyanine green fluorescence imaging in hepatobiliary surgery. Int. J. Surg. 2024, 110, 7948–7961. [Google Scholar] [CrossRef] [PubMed]
- Kubota, K.; Kita, J.; Shimoda, M.; Rokkaku, K.; Kato, M.; Iso, Y.; Sawada, T. Intraoperative assessment of reconstructed vessels in living-donor liver transplantation, using a novel fluorescence imaging technique. J. Hepato Biliary Pancreat. Surg. 2006, 13, 100–104. [Google Scholar] [CrossRef]
- Oba, A.; Inoue, Y.; Sato, T.; Ono, Y.; Mise, Y.; Ito, H.; Ishizawa, T.; Takahashi, Y.; Saiura, A. Impact of indocyanine green-fluorescence imaging on distal pancreatectomy with celiac axis resection combined with reconstruction of the left gastric artery. HPB 2019, 21, 619–625. [Google Scholar] [CrossRef]
- Bockhorn, M.; Uzunoglu, F.G.; Adham, M.; Imrie, C.; Milicevic, M.; Sandberg, A.A.; Asbun, H.J.; Bassi, C.; Büchler, M.; Charnley, R.M.; et al. Borderline resectable pancreatic cancer: A consensus statement by the International Study Group of Pancreatic Surgery (ISGPS). Surgery 2014, 155, 977–988. [Google Scholar] [CrossRef]
- Dindo, D.; Demartines, N.; Clavien, P.-A. Classification of surgical complications: A new proposal with evaluation in a cohort of 6336 patients and results of a survey. Ann. Surg. 2004, 240, 205–213. [Google Scholar] [CrossRef]
- Schaafsma, B.E.; Mieog, J.S.D.; Hutteman, M.; van der Vorst, J.R.; Kuppen, P.J.K.; Löwik, C.W.G.M.; Frangioni, J.V.; van de Velde, C.J.H.; Vahrmeijer, A.L. The clinical use of indocyanine green as a near-infrared fluorescent contrast agent for image-guided oncologic surgery. J. Surg. Oncol. 2011, 104, 323–332. [Google Scholar] [CrossRef]
- Alander, J.T.; Kaartinen, I.; Laakso, A.; Pätilä, T.; Spillmann, T.; Tuchin, V.V.; Venermo, M.; Välisuo, P. A review of indocyanine green fluorescent imaging in surgery. Int. J. Biomed. Imaging 2012, 2012, 940585. [Google Scholar] [CrossRef]
- Ishizawa, T.; Saiura, A.; Kokudo, N. Clinical application of indocyanine green-fluorescence imaging during hepatectomy. Hepatobiliary Surg. Nutr. 2016, 5, 322–328. [Google Scholar] [CrossRef]
- Pruimboom, T.; Schols, R.M.; Van Kuijk, S.M.J.; Van der Hulst, R.; Qiu, S.S. Indocyanine green angiography for preventing postoperative mastectomy skin flap necrosis in immediate breast reconstruction. Cochrane Database Syst. Rev. 2020, 4, CD013280. [Google Scholar] [CrossRef] [PubMed]
- Phillips, B.T.; Lanier, S.T.; Conkling, N.; Wang, E.D.; Dagum, A.B.; Ganz, J.C.; Khan, S.U.; Bui, D.T. Intraoperative perfusion techniques can accurately predict mastectomy skin flap necrosis in breast reconstruction: Results of a prospective trial. Plast. Reconstr. Surg. 2012, 129, 778e–788e. [Google Scholar] [CrossRef]
- Singaravelu, A.; McCarrick, C.; Potter, S.; Cahill, R.A. Clinical and cost-effectiveness of intraoperative flap perfusion assessment with indocyanine green fluorescence angiography in breast and head and neck reconstructions: A systematic review and meta-analysis. Microsurgery 2024, 44, e31250. [Google Scholar] [CrossRef]
- Joh, J.H.; Park, H.-C.; Han, S.-A.; Ahn, H.J. Intraoperative indocyanine green angiography for the objective measurement of blood flow. Ann. Surg. Treat. Res. 2016, 90, 279–286. [Google Scholar] [CrossRef]
- Fuji, T.; Takagi, K.; Yasui, K.; Nishiyama, T.; Yamada, M.; Nagai, Y.; Kanehira, N.; Fujiwara, T. Hemodynamic assessment using SPY laser fluorescence imaging during pancreatoduodenectomy with common hepatic artery resection. Ann. Surg. Oncol. 2025, 32, 1334–1336. [Google Scholar] [CrossRef] [PubMed]
- Okada, K.-I.; Kawai, M.; Hirono, S.; Hayami, S.; Miyazawa, M.; Kitahata, Y.; Ueno, M.; Kobayashi, R.; Miyamoto, A.; Wada, Y.; et al. Pancreatectomy with artery en-bloc resection for pancreatic neck/body cancer: A single-arm pilot study. Anticancer Res. 2022, 42, 217–227. [Google Scholar] [CrossRef]
- Dai, B.; Guissi, N.E.I.; Sulyok, L.F.; Bryski, M.G.; Wang, Y.; Wang, D.; Singhal, S.; Cai, H. Advantages of using indocyanine green in liver transplantation: A narrative review. Ann. Transl. Med. 2022, 10, 110. [Google Scholar] [CrossRef] [PubMed]
- Kawaguchi, Y.; Ishizawa, T.; Miyata, Y.; Yamashita, S.; Masuda, K.; Satou, S.; Tamura, S.; Kaneko, J.; Sakamoto, Y.; Aoki, T.; et al. Portal uptake function in veno-occlusive regions evaluated by real-time fluorescent imaging using indocyanine green. J. Hepatol. 2013, 58, 247–253. [Google Scholar] [CrossRef]
- Mise, Y.; Hasegawa, K.; Satou, S.; Aoki, T.; Beck, Y.; Sugawara, Y.; Makuuchi, M.; Kokudo, N. Venous reconstruction based on virtual liver resection to avoid congestion in the liver remnant. Br. J. Surg. 2011, 98, 1742–1751. [Google Scholar] [CrossRef]
- Buc, E.; Dokmak, S.; Zappa, M.; Denninger, M.H.; Valla, D.C.; Belghiti, J.; Farges, O. Hepatic veins as a site of clot formation following liver resection. World J. Gastroenterol. 2011, 17, 403–406. [Google Scholar] [CrossRef]
- Han, S.; Choi, D.W.; Choi, S.H.; Heo, J.S.; Han, I.W.; You, Y.h. Long-term outcomes following en bloc resection for pancreatic ductal adenocarcinoma of the head with portomesenteric venous invasion. Asian J. Surg. 2021, 44, 313–320. [Google Scholar] [CrossRef] [PubMed]
- Tseng, J.F.; Tamm, E.P.; Lee, J.E.; Pisters, P.W.T.; Evans, D.B. Venous resection in pancreatic cancer surgery. Best Pract. Res. Clin. Gastroenterol. 2006, 2, 349–364. [Google Scholar] [CrossRef]
- Heckler, M.; Polychronidis, G.; Kinny-Köster, B.; Roth, S.; Hank, T.; Kaiser, J.; Michalski, C.; Loos, M. Thrombosis and anticoagulation after portal vein reconstruction during pancreatic surgery: A systematic review. J. Gastrointest. Surg. 2024, 29, 101852. [Google Scholar] [CrossRef]
- An, R.; Bai, R.; Zhang, S.; Xie, P.; Zhu, Y.; Wen, J.; Ma, Q.; Shen, X. Blood loss during liver transplantation is a predictor of postoperative thrombosis. Clin. Med. 2022, 22, 434–440. [Google Scholar] [CrossRef] [PubMed]
- Donzé, J.D.; Ridker, P.M.; Finlayson, S.R.G.; Bates, D.W. Impact of sepsis on risk of postoperative arterial and venous thromboses: Large prospective cohort study. BMJ Br. Med. J. 2014, 349, g5334. [Google Scholar] [CrossRef] [PubMed]
- Khalid, A.; Amini, N.; Pasha, S.A.; Demyan, L.; Newman, E.; King, D.A.; DePeralta, D.; Gholami, S.; Deutsch, G.B.; Melis, M.; et al. Impact of postoperative pancreatic fistula on outcomes in pancreatoduodenectomy: A comprehensive analysis of ACS-NSQIP Data. J. Gastrointest. Surg. 2024, 28, 1406–1411. [Google Scholar] [CrossRef]
- Lau, N.-S.; Ly, M.; Liu, K.; Majumdar, A.; McCaughan, G.; Crawford, M.; Pulitano, C. Current and potential applications for indocyanine green in liver transplantation. Transplantation 2022, 106, 1339–1350. [Google Scholar] [CrossRef]
- Wakabayashi, T.; Cacciaguerra, A.B.; Abe, Y.; Bona, E.D.; Nicolini, D.; Mocchegiani, F.; Kabeshima, Y.; Vivarelli, M.; Wakabayashi, G.; Kitagawa, Y. Indocyanine green fluorescence navigation in liver surgery: A systematic review on dose and timing of administration. Ann. Surg. 2022, 275, 1025–1034. [Google Scholar] [CrossRef] [PubMed]
- Mitsuhashi, N.; Kimura, F.; Shimizu, H.; Imamaki, M.; Yoshidome, H.; Ohtsuka, M.; Kato, A.; Yoshitomi, H.; Nozawa, S.; Furukawa, K.; et al. Usefulness of intraoperative fluorescence imaging to evaluate local anatomy in hepatobiliary surgery. J. Hepato Biliary Pancreat. Surg. 2008, 15, 508–514. [Google Scholar] [CrossRef]
- Pollmann, L.; Juratli, M.; Roushansarai, N.; Pascher, A.; Hölzen, J.P. Quantification of indocyanine green fluorescence imaging in general, visceral and transplant surgery. J. Clin. Med. 2023, 12, 3550. [Google Scholar] [CrossRef]
- Moynihan, A.; Boland, P.; Cucek, J.; Erzen, S.; Hardy, N.; McEntee, P.; Rojc, J.; Cahill, R. Technical and functional design considerations for a real-world interpretable AI solution for NIR perfusion analysis (including cancer). Eur. J. Surg. Oncol. 2024, 50, 108273. [Google Scholar] [CrossRef] [PubMed]





| Patient No. | Surgical Technique | Resected Vessel | Reconstructed Method | ICG Dosage (mg) | Fluorescence Signal in Reconstructed Vessel | Postoperative Stenosis/Occlusion |
|---|---|---|---|---|---|---|
| 1 | Hepatectomy | RHV | Type 4 (umbilical vein) | 2.5 mg | + | − |
| 2 | Hepatectomy | MHV | Reconstruction avoided * | 1.25 mg | ND | ND |
| 3 | PD | CHA SMV | Type 3 Type 3 | 2 mg | + + | − − |
| 4 | Extrahepatic bile duct resection | RHA | Type 3 | 2.5 mg | − ** | + |
| 5 | Hepatectomy | RHV | Type 4 (umbilical vein) | 2.5 mg | − | + |
| 6 | Hepatectomy | AFV | Reconstruction avoided * | 2.5 mg | ND | ND |
| 7 | TP | SMV | Type 3 | 2.5 mg | + | − |
| 8 | PD | SMV CA | Type 3 Type 3 | 2.5 mg | + + | − − |
| 9 | DP | SMV | Type 3 | 2.5 mg | + | − |
| 10 | PD | SMV | Type 3 | 2.5 mg | + | − |
| 11 | PD | SMV | Type 3 | 2.5 mg | + | − |
| 12 | PD | SMV SpV | Type 3 Type 3 | 2.5 mg | + − | − + |
| 13 | PD | RHA | Type 3 | 5 mg | + | − |
| 14 | PD | SMV | Type 3 | 2.5 mg | + | − |
| 15 | PD | SMV SpV | Type 3 Type 3 | 2.5 mg | + + | + + |
| 16 | PD | SMV PHA | Type 3 Type 3 | 2.5 mg | + + | − − |
Disclaimer/Publisher’s Note: The statements, opinions and data contained in all publications are solely those of the individual author(s) and contributor(s) and not of MDPI and/or the editor(s). MDPI and/or the editor(s) disclaim responsibility for any injury to people or property resulting from any ideas, methods, instructions or products referred to in the content. |
© 2025 by the authors. Licensee MDPI, Basel, Switzerland. This article is an open access article distributed under the terms and conditions of the Creative Commons Attribution (CC BY) license (https://creativecommons.org/licenses/by/4.0/).
Share and Cite
Fujimoto, H.; Kinoshita, M.; Ahn, C.; Yasuda, T.; Hatta, K.; Yoshida, M.; Nakanishi, K.; Kawaguchi, T.; Tani, N.; Okada, T.; et al. Real-Time Blood Flow Assessment Using ICG Fluorescence Imaging During Hepatobiliary and Pancreatic Surgery with Consideration of Vascular Reconstruction. Cancers 2025, 17, 868. https://doi.org/10.3390/cancers17050868
Fujimoto H, Kinoshita M, Ahn C, Yasuda T, Hatta K, Yoshida M, Nakanishi K, Kawaguchi T, Tani N, Okada T, et al. Real-Time Blood Flow Assessment Using ICG Fluorescence Imaging During Hepatobiliary and Pancreatic Surgery with Consideration of Vascular Reconstruction. Cancers. 2025; 17(5):868. https://doi.org/10.3390/cancers17050868
Chicago/Turabian StyleFujimoto, Hiroyuki, Masahiko Kinoshita, Changgi Ahn, Takuto Yasuda, Kosuke Hatta, Mizuki Yoshida, Koichi Nakanishi, Takahito Kawaguchi, Naoki Tani, Takuma Okada, and et al. 2025. "Real-Time Blood Flow Assessment Using ICG Fluorescence Imaging During Hepatobiliary and Pancreatic Surgery with Consideration of Vascular Reconstruction" Cancers 17, no. 5: 868. https://doi.org/10.3390/cancers17050868
APA StyleFujimoto, H., Kinoshita, M., Ahn, C., Yasuda, T., Hatta, K., Yoshida, M., Nakanishi, K., Kawaguchi, T., Tani, N., Okada, T., Watanabe, G., Tanaka, R., Kurihara, S., Nishio, K., Shinkawa, H., Kimura, K., & Ishizawa, T. (2025). Real-Time Blood Flow Assessment Using ICG Fluorescence Imaging During Hepatobiliary and Pancreatic Surgery with Consideration of Vascular Reconstruction. Cancers, 17(5), 868. https://doi.org/10.3390/cancers17050868

