Comparison of PD-L1 Expression Between Preoperative Biopsy Specimens and Surgical Specimens in Non-Small Cell Lung Cancer †
Simple Summary
Abstract
1. Introduction
2. Materials and Methods
2.1. Patient Selection
2.2. FFPE Sample Preparation and Immunohistochemical Analysis
2.3. Outcomes
2.4. Statistical Analysis
3. Results
3.1. Patient and Tumor Characteristics
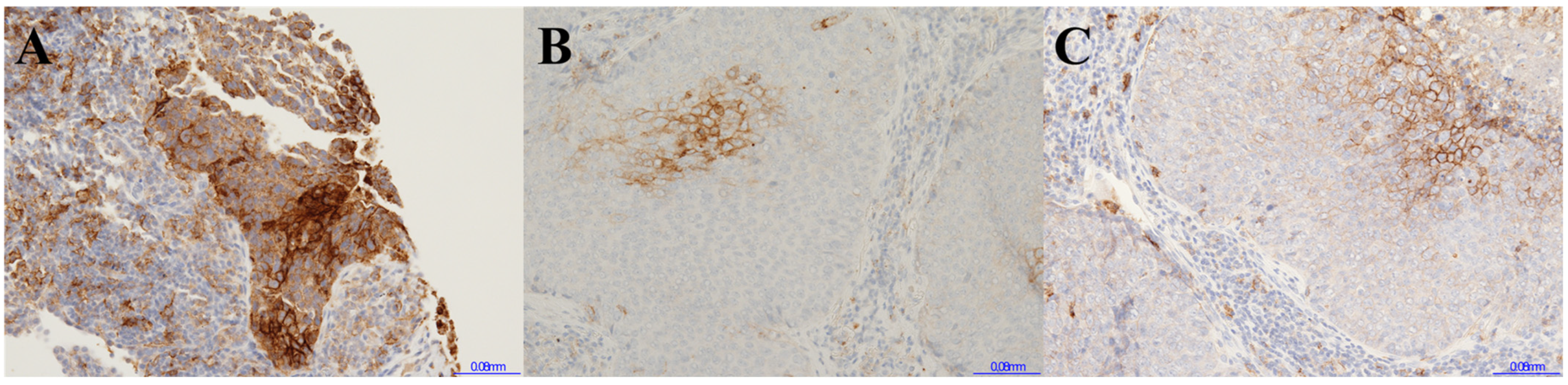
3.2. PD-L1 Immunohistochemical Staining
3.3. Concordance of PD-L1 Expressions
4. Discussion
5. Conclusions
Supplementary Materials
Author Contributions
Funding
Institutional Review Board Statement
Informed Consent Statement
Data Availability Statement
Acknowledgments
Conflicts of Interest
References
- Antonia, S.J.; Villegas, A.; Daniel, D.; Vicente, D.; Murakami, S.; Hui, R.; Yokoi, T.; Chiappori, A.; Lee, K.H.; de Wit, M.; et al. Durvalumab after Chemoradiotherapy in Stage III Non-Small-Cell Lung Cancer. N. Engl. J. Med. 2017, 377, 1919–1929. [Google Scholar] [CrossRef] [PubMed]
- Gandhi, L.; Rodriguez-Abreu, D.; Gadgeel, S.; Esteban, E.; Felip, E.; De Angelis, F.; Domine, M.; Clingan, P.; Hochmair, M.J.; Powell, S.F.; et al. Pembrolizumab plus Chemotherapy in Metastatic Non-Small-Cell Lung Cancer. N. Engl. J. Med. 2018, 378, 2078–2092. [Google Scholar] [CrossRef]
- Paz-Ares, L.; Luft, A.; Vicente, D.; Tafreshi, A.; Gumus, M.; Mazieres, J.; Hermes, B.; Çay Şenler, F.; Csőszi, T.; Fülöp, A.; et al. Pembrolizumab plus Chemotherapy for Squamous Non-Small-Cell Lung Cancer. N. Engl. J. Med. 2018, 379, 2040–2051. [Google Scholar] [CrossRef] [PubMed]
- Reck, M.; Rodriguez-Abreu, D.; Robinson, A.G.; Hui, R.; Csoszi, T.; Fulop, A.; Gottfried, M.; Peled, N.; Tafreshi, A.; Cuffe, S.; et al. Pembrolizumab versus Chemotherapy for PD-L1-Positive Non-Small-Cell Lung Cancer. N. Engl. J. Med. 2016, 375, 1823–1833. [Google Scholar] [CrossRef]
- Daly, M.E.; Singh, N.; Ismaila, N.; Antonoff, M.B.; Arenberg, D.A.; Bradley, J.; David, E.; Detterbeck, F.; Früh, M.; Gubens, M.A.; et al. Management of Stage III Non-Small-Cell Lung Cancer: ASCO Guideline. J. Clin. Oncol. 2022, 40, 1356–1384. [Google Scholar] [CrossRef]
- Ettinger, D.S.; Wood, D.E.; Aisner, D.L.; Akerley, W.; Bauman, J.R.; Bharat, A.; Bruno, D.S.; Chang, J.Y.; Chirieac, L.R.; D’Amico, T.A.; et al. Non-Small Cell Lung Cancer, Version 3.2022, NCCN Clinical Practice Guidelines in Oncology. J. Natl. Compr. Canc Netw. 2022, 20, 497–530. [Google Scholar] [CrossRef] [PubMed]
- Hendriks, L.E.; Kerr, K.M.; Menis, J.; Mok, T.S.; Nestle, U.; Passaro, A.; Peters, S.; Planchard, D.; Smit, E.F.; Solomon, B.J.; et al. Non-oncogene-addicted metastatic non-small-cell lung cancer: ESMO Clinical Practice Guideline for diagnosis, treatment and follow-up. Ann. Oncol. 2023, 34, 358–376. [Google Scholar] [CrossRef]
- Felip, E.; Altorki, N.; Zhou, C.; Csoszi, T.; Vynnychenko, I.; Goloborodko, O.; Luft, A.; Akopov, A.; Martinez-Marti, A.; Kenmotsu, H.; et al. Adjuvant atezolizumab after adjuvant chemotherapy in resected stage IB-IIIA non-small-cell lung cancer (IMpower010): A randomised, multicentre, open-label, phase 3 trial. Lancet 2021, 398, 1344–1357. [Google Scholar] [CrossRef]
- Forde, P.M.; Spicer, J.; Lu, S.; Provencio, M.; Mitsudomi, T.; Awad, M.M.; Felip, E.; Broderick, S.R.; Brahmer, J.R.; Swanson, S.J.; et al. Neoadjuvant Nivolumab plus Chemotherapy in Resectable Lung Cancer. N. Engl. J. Med. 2022, 386, 1973–1985. [Google Scholar] [CrossRef] [PubMed]
- Wakelee, H.; Liberman, M.; Kato, T.; Tsuboi, M.; Lee, S.H.; Gao, S.; Chen, K.N.; Dooms, C.; Majem, M.; Eigendorff, E.; et al. Perioperative Pembrolizumab for Early-Stage Non-Small-Cell Lung Cancer. N. Engl. J. Med. 2023, 389, 491–503. [Google Scholar] [CrossRef]
- Teixido, C.; Vilarino, N.; Reyes, R.; Reguart, N. PD-L1 expression testing in non-small cell lung cancer. Ther. Adv. Med. Oncol. 2018, 10, 1758835918763493. [Google Scholar] [CrossRef] [PubMed]
- Hirsch, F.R.; McElhinny, A.; Stanforth, D.; Ranger-Moore, J.; Jansson, M.; Kulangara, K.; Richardson, W.; Towne, P.; Hanks, D.; Vennapusa, B.; et al. PD-L1 Immunohistochemistry Assays for Lung Cancer: Results from Phase 1 of the Blueprint PD-L1 IHC Assay Comparison Project. J. Thorac. Oncol. 2017, 12, 208–222. [Google Scholar] [CrossRef] [PubMed]
- Tsao, M.S.; Kerr, K.M.; Kockx, M.; Beasley, M.B.; Borczuk, A.C.; Botling, J.; Bubendorf, L.; Chirieac, L.; Chen, G.; Chou, T.Y.; et al. PD-L1 Immunohistochemistry Comparability Study in Real-Life Clinical Samples: Results of Blueprint Phase 2 Project. J. Thorac. Oncol. 2018, 13, 1302–1311. [Google Scholar] [CrossRef]
- Felip, E.; Altorki, N.; Zhou, C.; Vallieres, E.; Martinez-Marti, A.; Rittmeyer, A.; Chella, A.; Reck, M.; Goloborodko, O.; Huang, M.; et al. Overall survival with adjuvant atezolizumab after chemotherapy in resected stage II-IIIA non-small-cell lung cancer (IMpower010): A randomised, multicentre, open-label, phase III trial. Ann. Oncol. 2023, 34, 907–919. [Google Scholar] [CrossRef] [PubMed]
- Sakaguchi, T.; Iketani, A.; Esumi, S.; Esumi, M.; Suzuki, Y.; Ito, K.; Fujiwara, K.; Nishii, Y.; Katsuta, K.; Yasui, H.; et al. The Current Achievements of Multi-Gene Panel Tests in Clinical Settings for Patients with Non-Small-Cell Lung Cancer. Cancers 2024, 16, 1670. [Google Scholar] [CrossRef]
- McHugh, M.L. Interrater reliability: The kappa statistic. Biochem. Med. 2012, 22, 276–282. [Google Scholar] [CrossRef] [PubMed]
- Gompelmann, D.; Sarova, P.; Mosleh, B.; Papaporfyriou, A.; Oberndorfer, F.; Idzko, M.; Hoda, M.A. PD-L1 assessment in lung cancer biopsies-pitfalls and limitations. Int. J. Biol. Markers 2024, 39, 3–8. [Google Scholar] [CrossRef]
- Shigeta, N.; Murakami, S.; Yokose, T.; Isaka, T.; Shinada, K.; Nagashima, T.; Adachi, H.; Shigefuku, S.; Murakami, K.; Miura, J.; et al. Comparison of SP263 and 22C3 pharmDx assays to test programmed death ligand-1 (PD-L1) expression in surgically resected non-small cell lung cancer. Thorac. Cancer 2024, 15, 1343–1349. [Google Scholar] [CrossRef] [PubMed]
- Ratcliffe, M.J.; Sharpe, A.; Midha, A.; Barker, C.; Scott, M.; Scorer, P.; Al-Masri, H.; Rebelatto, M.C.; Walker, J. Agreement between Programmed Cell Death Ligand-1 Diagnostic Assays across Multiple Protein Expression Cutoffs in Non-Small Cell Lung Cancer. Clin. Cancer Res. 2017, 23, 3585–3591. [Google Scholar] [CrossRef]
- Fujimoto, D.; Yamashita, D.; Fukuoka, J.; Kitamura, Y.; Hosoya, K.; Kawachi, H.; Sato, Y.; Nagata, K.; Nakagawa, A.; Tachikawa, R.; et al. Comparison of PD-L1 Assays in Non-small Cell Lung Cancer: 22C3 pharmDx and SP263. Anticancer Res. 2018, 38, 6891–6895. [Google Scholar] [CrossRef] [PubMed]
- Marchetti, A.; Barberis, M.; Franco, R.; De Luca, G.; Pace, M.V.; Staibano, S.; Volante, M.; Buttitta, F.; Guerini-Rocco, E.; Righi, L.; et al. Multicenter Comparison of 22C3 PharmDx (Agilent) and SP263 (Ventana) Assays to Test PD-L1 Expression for NSCLC Patients to Be Treated with Immune Checkpoint Inhibitors. J. Thorac. Oncol. 2017, 12, 1654–1663. [Google Scholar] [CrossRef]
- Sughayer, M.A.; Alnaimy, F.; Alsughayer, A.M.; Qamhia, N. Comparison of 22C3 PharmDx and SP263 Assays to Test PD-L1 Expression in NSCLC. Appl. Immunohistochem. Mol. Morphol. 2019, 27, 663–666. [Google Scholar] [CrossRef] [PubMed]
- Munari, E.; Rossi, G.; Zamboni, G.; Lunardi, G.; Marconi, M.; Sommaggio, M.; Netto, G.J.; Hoque, M.O.; Brunelli, M.; Martignoni, G.; et al. PD-L1 Assays 22C3 and SP263 are Not Interchangeable in Non–Small Cell Lung Cancer When Considering Clinically Relevant Cutoffs: An Interclone Evaluation by Differently Trained Pathologists. Am. J. Surg. Pathol. 2018, 42, 1384–1389. [Google Scholar] [CrossRef]
- Hendry, S.; Byrne, D.J.; Wright, G.M.; Young, R.J.; Sturrock, S.; Cooper, W.A.; Fox, S.B. Comparison of Four PD-L1 Immunohistochemical Assays in Lung Cancer. J. Thorac. Oncol. 2018, 13, 367–376. [Google Scholar] [CrossRef] [PubMed]
- Zhou, C.; Srivastava, M.K.; Xu, H.; Felip, E.; Wakelee, H.; Altorki, N.; Reck, M.; Liersch, R.; Kryzhanivska, A.; Oizumi, S.; et al. Comparison of SP263 and 22C3 immunohistochemistry PD-L1 assays for clinical efficacy of adjuvant atezolizumab in non-small cell lung cancer: Results from the randomized phase III IMpower010 trial. J. ImmunoTherapy Cancer 2023, 11. [Google Scholar] [CrossRef] [PubMed]
- Wang, Y.; Wu, J.; Deng, J.; She, Y.; Chen, C. The detection value of PD-L1 expression in biopsy specimens and surgical resection specimens in non-small cell lung cancer: A meta-analysis. J. Thorac. Dis. 2021, 13, 4301–4310. [Google Scholar] [CrossRef]
- Gniadek, T.J.; Li, Q.K.; Tully, E.; Chatterjee, S.; Nimmagadda, S.; Gabrielson, E. Heterogeneous expression of PD-L1 in pulmonary squamous cell carcinoma and adenocarcinoma: Implications for assessment by small biopsy. Mod. Pathol. 2017, 30, 530–538. [Google Scholar] [CrossRef] [PubMed]
- Gagné, A.; Wang, E.; Bastien, N.; Orain, M.; Desmeules, P.; Pagé, S.; Trahan, S.; Couture, C.; Joubert, D.; Joubert, P. Impact of Specimen Characteristics on PD-L1 Testing in Non–Small Cell Lung Cancer: Validation of the IASLC PD-L1 Testing Recommendations. J. Thorac. Oncol. 2019, 14, 2062–2070. [Google Scholar] [CrossRef] [PubMed]
- Kim, S.Y.; Kim, T.E.; Park, C.K.; Yoon, H.K.; Sa, Y.J.; Kim, H.R.; Woo, I.S.; Kim, T.J. Comprehensive Comparison of 22C3 and SP263 PD-L1 Expression in Non-Small-Cell Lung Cancer Using Routine Clinical and Conditioned Archives. Cancers 2022, 14, 3138. [Google Scholar] [CrossRef]
- Heymach, J.V.; Harpole, D.; Mitsudomi, T.; Taube, J.M.; Galffy, G.; Hochmair, M.; Winder, T.; Zukov, R.; Garbaos, G.; Gao, S.; et al. Perioperative Durvalumab for Resectable Non-Small-Cell Lung Cancer. N. Engl. J. Med. 2023, 389, 1672–1684. [Google Scholar] [CrossRef] [PubMed]
- Cascone, T.; Awad, M.M.; Spicer, J.D.; He, J.; Lu, S.; Sepesi, B.; Tanaka, F.; Taube, J.M.; Cornelissen, R.; Havel, L.; et al. Perioperative Nivolumab in Resectable Lung Cancer. N. Engl. J. Med. 2024, 390, 1756–1769. [Google Scholar] [CrossRef] [PubMed]
- Lu, S.; Zhang, W.; Wu, L.; Wang, W.; Zhang, P.; Neotorch, I.; Fang, W.; Xing, W.; Chen, Q.; Yang, L.; et al. Perioperative Toripalimab Plus Chemotherapy for Patients With Resectable Non-Small Cell Lung Cancer: The Neotorch Randomized Clinical Trial. JAMA 2024, 331, 201–211. [Google Scholar] [CrossRef]


| n = 33 | (%) | |
|---|---|---|
| Median age [range] | 74 | [47–89] |
| Gender (female) | 11 | 33% |
| Smoking history | ||
| Never | 8 | 24% |
| Former/current | 25 | 76% |
| Histology | ||
| Adenocarcinoma | 27 | 82% |
| Squamous cell carcinoma | 6 | 18% |
| pStage (UICC 8th) | ||
| IIA-IIB | 18 | 55% |
| IIIA-IIIB | 15 | 45% |
| Biopsy methods | ||
| TBB (primary lesions) | 28 | 85% |
| CTNB (primary lesions) | 4 | 12% |
| EBUS-TBNA (lymph node) | 1 | 3% |
| Surgical methods | ||
| Lobectomy (primary lesions) | 33 | 100% |
| Time interval from biopsy to surgery (day) [range] | 35 | [14–137] |
| Three categorical classifications | Concordance rate | Cohen’s κ score | |
| Biopsy specimens (22C3) | Surgical specimens (SP263) | 57.6 | 0.349 * |
| Biopsy specimens (22C3) | Surgical specimens (22C3) | 63.6 | 0.441 * |
| Surgical specimens (SP263) | Surgical specimens (22C3) | 66.7 | 0.467 * |
| Two categorical classifications with PD-L1 1% cutoff | Concordance rate | Cohen’s κ | |
| Biopsy specimens (22C3) | Surgical specimens (SP263) | 72.7 | 0.465 * |
| Biopsy specimens (22C3) | Surgical specimens (22C3) | 78.8 | 0.573 * |
| Surgical specimens (SP263) | Surgical specimens (22C3) | 81.8 | 0.637 * |
| Two categorical classifications with PD-L1 50% cutoff | Concordance rate | Cohen’s κ | |
| Biopsy specimen(22C3) | Surgical specimens (SP263) | 81.8 | 0.526 * |
| Biopsy specimen(22C3) | Surgical specimens (22C3) | 84.8 | 0.651 * |
| Surgical specimens (SP263) | Surgical specimens (22C3) | 84.8 | 0.582 * |
Disclaimer/Publisher’s Note: The statements, opinions and data contained in all publications are solely those of the individual author(s) and contributor(s) and not of MDPI and/or the editor(s). MDPI and/or the editor(s) disclaim responsibility for any injury to people or property resulting from any ideas, methods, instructions or products referred to in the content. |
© 2025 by the authors. Licensee MDPI, Basel, Switzerland. This article is an open access article distributed under the terms and conditions of the Creative Commons Attribution (CC BY) license (https://creativecommons.org/licenses/by/4.0/).
Share and Cite
Sakaguchi, T.; Iketani, A.; Ito, K.; Nishii, Y.; Katsuta, K.; Hataji, O. Comparison of PD-L1 Expression Between Preoperative Biopsy Specimens and Surgical Specimens in Non-Small Cell Lung Cancer. Cancers 2025, 17, 398. https://doi.org/10.3390/cancers17030398
Sakaguchi T, Iketani A, Ito K, Nishii Y, Katsuta K, Hataji O. Comparison of PD-L1 Expression Between Preoperative Biopsy Specimens and Surgical Specimens in Non-Small Cell Lung Cancer. Cancers. 2025; 17(3):398. https://doi.org/10.3390/cancers17030398
Chicago/Turabian StyleSakaguchi, Tadashi, Akemi Iketani, Kentaro Ito, Yoichi Nishii, Koji Katsuta, and Osamu Hataji. 2025. "Comparison of PD-L1 Expression Between Preoperative Biopsy Specimens and Surgical Specimens in Non-Small Cell Lung Cancer" Cancers 17, no. 3: 398. https://doi.org/10.3390/cancers17030398
APA StyleSakaguchi, T., Iketani, A., Ito, K., Nishii, Y., Katsuta, K., & Hataji, O. (2025). Comparison of PD-L1 Expression Between Preoperative Biopsy Specimens and Surgical Specimens in Non-Small Cell Lung Cancer. Cancers, 17(3), 398. https://doi.org/10.3390/cancers17030398
