Ultrasound-Guided Histotripsy Triggers the Release of Tumor-Associated Antigens from Breast Cancers
Simple Summary
Abstract
1. Introduction
2. Materials and Methods
2.1. E0771E2 Cell Culture and Animal Studies
2.2. Flow Cytometry
2.3. E0771E2 Cell-Culture Sample Preparation
2.4. Ex Vivo E0771E2 Tumor Sample Preparation
2.5. In Vivo E0771E2 Tumor Sample Preparation
2.6. Histotripsy Treatments
2.7. Ultra-Performance Liquid Chromatography (UPLC) Assay
2.8. Western Blot Assays
2.9. Statistics and Western Blot Analysis
3. Results
3.1. HER2 Expression in EO771E2 Cells
3.1.1. Protein Concentrations in Total Cell-Free Fragments (CFs) and RIPA Buffer Lysate (RB)
3.1.2. UPLC Detection Reveals Dose–Response Release of HER2 Protein
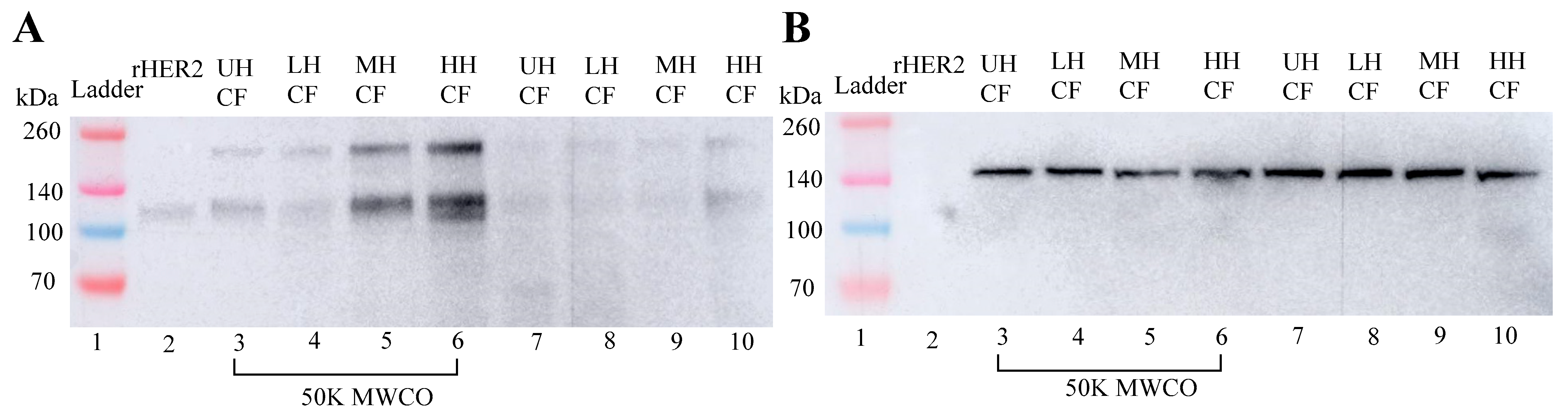
3.1.3. Western Blot Assay of the Dose–Response Release of HER2 In Vitro Histotripsy of E0771E2 Cells
3.2. Ex Vivo Histotripsy of E0771E2 Tumors
3.2.1. BCA Protein Assay of Tumor Histotripsy Treatment Lysis
3.2.2. UPLC Analysis of the Lysis from the Tumor Treated with Histotripsy
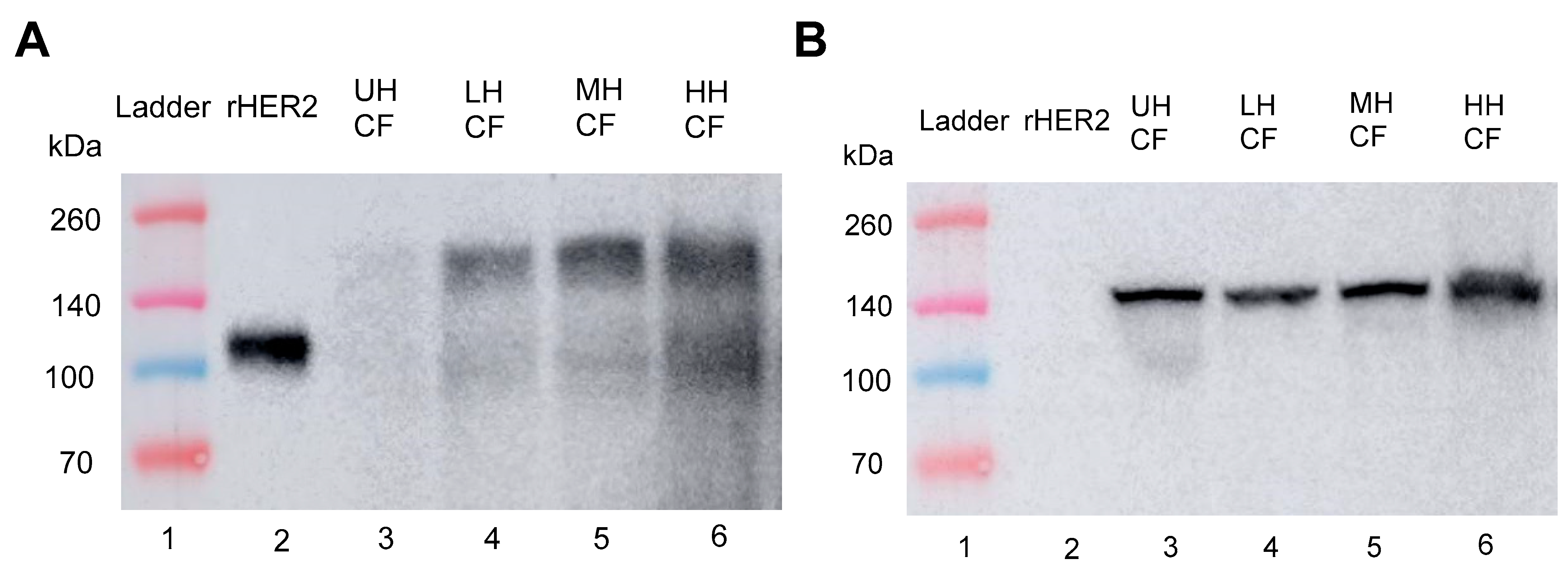
3.2.3. Western Blot Assay of Tumor Histotripsy Treatment Lysis
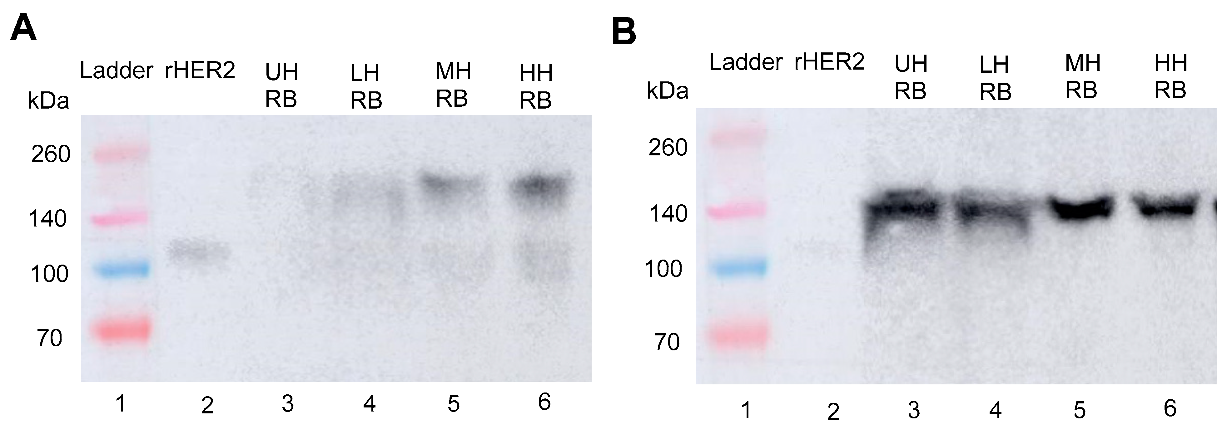
3.3. In Vivo Histotripsy of E0771E2 Tumors
4. Discussion
5. Conclusions
Supplementary Materials
Author Contributions
Funding
Institutional Review Board Statement
Informed Consent Statement
Data Availability Statement
Conflicts of Interest
Abbreviations
| BSA | bovine serum albumin |
| CF | cell free |
| DAMP | damage-associated molecular pattern |
| ECD | extracellular domain |
| HER2 | human epidermal growth factor receptor 2 |
| MW | molecular weight |
| ppl | pulses per focal location |
| prf | pulse repetition frequency |
| RB | RIPA buffer |
| rHER2 | recombinant HER2 |
| RIPA | radio-immunoprecipitation assay |
| TAA | tumor-associated antigen |
| TIL | tumor-infiltrating lymphocyte |
| TSA | tumor-specific antigen |
References
- Debela, D.T.; Muzazu, S.G.; Heraro, K.D.; Ndalama, M.T.; Mesele, B.W.; Haile, D.C.; Kitui, S.K.; Manyazewal, T. New approaches and procedures for cancer treatment: Current perspectives. SAGE Open Med. 2021, 9, 20503121211034366. [Google Scholar] [CrossRef] [PubMed] [PubMed Central]
- Emens, L.A.; Romero, P.J.; Anderson, A.C.; Bruno, T.C.; Capitini, C.M.; Collyar, D.; Gulley, J.L.; Hwu, P.; Posey, A.D., Jr.; Silk, A.W.; et al. Challenges and opportunities in cancer immunotherapy: A Society for Immunotherapy of Cancer (SITC) strategic vision. J. Immunother. Cancer 2024, 12, e009063. [Google Scholar] [CrossRef] [PubMed] [PubMed Central]
- Vilela, T.; Valente, S.; Correia, J.; Ferreira, F. Advances in immunotherapy for breast cancer and feline mammary carcinoma: From molecular basis to novel therapeutic targets. Biochim. Biophys. Acta Rev. Cancer 2024, 1879, 189144. [Google Scholar] [CrossRef] [PubMed]
- Yang, M.; Cui, M.; Sun, Y.; Liu, S.; Jiang, W. Mechanisms, combination therapy, and biomarkers in cancer immunotherapy resistance. Cell Commun. Signal. 2024, 22, 338. [Google Scholar] [CrossRef] [PubMed] [PubMed Central]
- Cui, J.W.; Li, Y.; Yang, Y.; Yang, H.K.; Dong, J.M.; Xiao, Z.H.; He, X.; Guo, J.H.; Wang, R.Q.; Dai, B.; et al. Tumor immunotherapy resistance: Revealing the mechanism of PD-1/PD-L1-mediated tumor immune escape. Biomed. Pharmacother. 2024, 171, 116203. [Google Scholar] [CrossRef] [PubMed]
- Xu, Z.; Hall, T.L.; Vlaisavljevich, E. Lee, F.T., Jr. Histotripsy: The first noninvasive, non-ionizing, non-thermal ablation technique based on ultrasound. Int. J. Hyperth. 2021, 38, 561–575. [Google Scholar] [CrossRef] [PubMed] [PubMed Central]
- Bader, K.B.; Vlaisavljevich, E.; Maxwell, A.D. For Whom the Bubble Grows: Physical Principles of Bubble Nucleation and Dynamics in Histotripsy Ultrasound Therapy. Ultrasound Med. Biol. 2019, 45, 1056–1080. [Google Scholar] [CrossRef] [PubMed] [PubMed Central]
- Tumor-Destroying Sound Waves Receive FDA Approval for Liver Treatment in Humans. University of Michigan News. 2023. Available online: https://news.umich.edu/tumor-destroying-sound-waves-receive-fda-approval-for-liver-treatment-in-humans/ (accessed on 20 September 2024).
- Qu, S.; Worlikar, T.; Felsted, A.E.; Ganguly, A.; Beems, M.V.; Hubbard, R.; Pepple, A.L.; Kevelin, A.A.; Garavaglia, H.; Dib, J.; et al. Non-thermal histotripsy tumor ablation promotes abscopal immune responses that enhance cancer immunotherapy. J. Immunother. Cancer 2020, 8, e000200. [Google Scholar] [CrossRef] [PubMed] [PubMed Central]
- Pepple, A.L.; Guy, J.L.; McGinnis, R.; Felsted, A.E.; Song, B.; Hubbard, R.; Worlikar, T.; Garavaglia, H.; Dib, J.; Chao, H.; et al. Spatiotemporal local and abscopal cell death and immune responses to histotripsy focused ultrasound tumor ablation. Front. Immunol. 2023, 14, 1012799. [Google Scholar] [CrossRef]
- Thim, E.A.; Kitelinger, L.E.; Rivera-Escalera, F.; Mathew, A.S.; Elliott, M.R.; Bullock, T.N.J.; Price, R.J. Focused ultrasound ablation of melanoma with boiling histotripsy yields abscopal tumor control and antigen-dependent dendritic cell activation. Theranostics 2024, 14, 1647–1661. [Google Scholar] [CrossRef] [PubMed] [PubMed Central]
- Hay, A.N.; Vickers, E.R.; Patwardhan, M.; Gannon, J.; Ruger, L.; Allen, I.C.; Vlaisavljevich, E.; Tuohy, J. Investigating cell death responses associated with histotripsy ablation of canine osteosarcoma. Int. J. Hyperth. 2023, 40, 2279027. [Google Scholar] [CrossRef] [PubMed]
- Worlikar, T.; Hall, T.; Zhang, M.; Mendiratta-Lala, M.; Green, M.; Cho, C.S.; Xu, Z. Insights from in vivo preclinical cancer studies with histotripsy. Int. J. Hyperth. 2024, 41, 2297650. [Google Scholar] [CrossRef] [PubMed] [PubMed Central]
- Pan, L.; Li, J.; Xu, Q.; Gao, Z.; Yang, M.; Wu, X.; Li, X. HER2/PI3K/AKT pathway in HER2-positive breast cancer: A review. Medicine 2024, 103, e38508. [Google Scholar] [CrossRef] [PubMed] [PubMed Central]
- Wang, S.H.; Lu, L.; Fan, Y.; Wicha, M.S.; Cao, Z.; Chang, A.E.; Xia, J.C.; Baker, J.R., Jr.; Li, Q. Characterization of a novel transgenic mouse tumor model for targeting HER2+ cancer stem cells. Int. J. Biol. Sci. 2013, 10, 25–32. [Google Scholar] [CrossRef] [PubMed Central]
- Chen, J.S.; Chen, J.W.; Bhattacharjee, S.; Cao, Z.; Wang, H.; Swanson, S.D.; Zong, H.; James, R.; Baker, J.R., Jr.; Wang, S.H. Functionalized Nanoparticles with Targeted Antibody to Enhance Imaging of Breast Cancer in vivo. J. Nanobiotechnol. 2020, 18, 135. [Google Scholar] [CrossRef] [PubMed] [PubMed Central]
- Vidal-Jove, J.; Serres-Creixams, X.; Ziemlewicz, T.J.; Cannata, J.M. Liver Histotripsy Mediated Abscopal Effect-Case Report. IEEE Trans. Ultrason. Ferroelectr. Freq. Control. 2021, 68, 3001–3005. [Google Scholar] [CrossRef] [PubMed]
- Okarvi, S.M.; AlJammaz, I. Development of the Tumor-Specific Antigen-Derived Synthetic Peptides as Potential Candidates for Targeting Breast and Other Possible Human Carcinomas. Molecules 2019, 24, 3142. [Google Scholar] [CrossRef] [PubMed] [PubMed Central]
- Alrhmoun, S.; Sennikov, S. The Role of Tumor-Associated Antigen HER2/neu in Tumor Development and the Different Approaches for Using It in Treatment: Many Choices and Future Directions. Cancers 2022, 14, 6173. [Google Scholar] [CrossRef] [PubMed] [PubMed Central]
- Kellner, C.; Lutz, S.; Oberg, H.H.; Wesch, D.; Otte, A.; Diemer, K.J.; Wilcken, H.; Bauerschlag, D.; Glüer, C.C.; Wichmann, C.; et al. Tumor cell lysis and synergistically enhanced antibody-dependent cell-mediated cytotoxicity by NKG2D engagement with a bispecific immunoligand targeting the HER2 antigen. Biol. Chem. 2021, 403, 545–556. [Google Scholar] [CrossRef] [PubMed]
- Dela Cruz, J.S.; Morrison, S.L.; Penichet, M.L. Insights into the mechanism of anti-tumor immunity in mice vaccinated with the human HER2/neu extracellular domain plus anti-HER2/neu IgG3-(IL-2) or anti-HER2/neu IgG3-(GM-CSF) fusion protein. Vaccine 2005, 23, 4793–4803. [Google Scholar] [CrossRef] [PubMed]
- Wang, B.; Zaidi, N.; He, L.Z.; Zhang, L.; Kuroiwa, J.M.; Keler, T.; Steinman, R.M. Targeting of the non-mutated tumor antigen HER2/neu to mature dendritic cells induces an integrated immune response that protects against breast cancer in mice. Breast Cancer Res. 2012, 14, R39. [Google Scholar] [CrossRef] [PubMed] [PubMed Central]
- Shi, F.; Huang, X.; Hong, Z.; Lu, N.; Huang, X.; Liu, L.; Liang, T.; Bai, X. Improvement strategy for immune checkpoint blockade: A focus on the combination with immunogenic cell death inducers. Cancer Lett. 2023, 562, 216167. [Google Scholar] [CrossRef] [PubMed]
- Zhao, J.; Du, G.; Sun, X. Tumor Antigen-Based Nanovaccines for Cancer Immunotherapy: A Review. J. Biomed. Nanotechnol. 2021, 17, 2099–2113. [Google Scholar] [CrossRef] [PubMed]
- Allen, C.T.; Clavijo, P.E.; Van Waes, C.; Chen, Z. Anti-Tumor Immunity in Head and Neck Cancer: Understanding the Evidence, How Tumors Escape and Immunotherapeutic Approaches. Cancers 2015, 7, 2397–2414. [Google Scholar] [CrossRef] [PubMed] [PubMed Central]
- Le Naour, A.; Koffi, Y.; Diab, M.; Le Guennec, D.; Rougé, S.; Aldekwer, S.; Goncalves-Mendes, N.; Talvas, J.; Farges, M.-C.; Caldefie-Chezet, F.; et al. EO771, the First Luminal B Mammary Cancer Cell Line from C57BL/6 Mice. Cancer Cell Int. 2020, 20, 328. [Google Scholar] [CrossRef]
- Chen, Y.; Sun, J.; Luo, Y.; Liu, J.; Wang, X.; Feng, R.; Huang, J.; Du, H.; Li, Q.; Tan, J.; et al. Pharmaceutical Targeting Th2-Mediated Immunity Enhances Immunotherapy Response in Breast Cancer. J. Transl. Med. 2022, 20, 615. [Google Scholar] [CrossRef] [PubMed]
- Angelico, G.; Broggi, G.; Tinnirello, G.; Puzzo, L.; Vecchio, G.M.; Salvatorelli, L.; Memeo, L.; Santoro, A.; Farina, J.; Mulé, A.; et al. Tumor Infiltrating Lymphocytes (TILS) and PD-L1 Expression in Breast Cancer: A Review of Current Evidence and Prognostic Implications from Pathologist’s Perspective. Cancers 2023, 15, 4479. [Google Scholar] [CrossRef]
- Xia, Q.H.; Lu, C.T.; Tong, M.Q.; Yue, M.; Chen, R.; Zhuge, D.L.; Yao, Q.; Xu, H.L.; Zhao, Y.Z. Ganoderma Lucidum Polysaccharides Enhance the Abscopal Effect of Photothermal Therapy in Hepatoma-Bearing Mice Through Immunomodulatory, Anti-Proliferative, Pro-Apoptotic and Anti-Angiogenic. Front. Pharmacol. 2021, 12, 648708. [Google Scholar] [CrossRef] [PubMed] [PubMed Central]
- Franzese, O.; Torino, F.; Giannetti, E.; Cioccoloni, G.; Aquino, A.; Faraoni, I.; Fuggetta, M.P.; De Vecchis, L.; Giuliani, A.; Kaina, B.; et al. Abscopal Effect and Drug-Induced Xenogenization: A Strategic Alliance in Cancer Treatment? Int. J. Mol. Sci. 2021, 22, 10672. [Google Scholar] [CrossRef] [PubMed] [PubMed Central]
- Chen, M.; Quan, G.; Wen, T.; Yang, P.; Qin, W.; Mai, H.; Sun, Y.; Lu, C.; Pan, X.; Wu, C. Cold to Hot: Binary Cooperative Microneedle Array-Amplified Photoimmunotherapy for Eliciting Antitumor Immunity and the Abscopal Effect. ACS Appl. Mater. Interfaces 2020, 12, 32259–32269. [Google Scholar] [CrossRef] [PubMed]











| Experiment | Pulses per Location | 3D Location Spacing (mm) | Target Volume (mm3) | Total Locations | Total Pulses | Pulse Density (Pulses/mm3) |
|---|---|---|---|---|---|---|
| In vitro | 10 (LH) 50 (MH) 100 (HH) | 1 | 100.5 | 99 | 990 (LH) 4950 (MH) 9900 (HH) | 10 (LH) 49 (MH) 98 (HH) |
| Ex vivo | 0.5 | 25 | 191 | 1910 (LH) 9550 (MH) 19,100 (HH) | 76 (LH) 380 (MH) 760 (HH) | |
| In vivo | 100 | 0.5 | 17–52.5 | 125–417 | 12,500–41,700 | 863–796 |
Disclaimer/Publisher’s Note: The statements, opinions and data contained in all publications are solely those of the individual author(s) and contributor(s) and not of MDPI and/or the editor(s). MDPI and/or the editor(s) disclaim responsibility for any injury to people or property resulting from any ideas, methods, instructions or products referred to in the content. |
© 2025 by the authors. Licensee MDPI, Basel, Switzerland. This article is an open access article distributed under the terms and conditions of the Creative Commons Attribution (CC BY) license (https://creativecommons.org/licenses/by/4.0/).
Share and Cite
Tang, S.; McGinnis, R.; Cao, Z.; Baker, J.R., Jr.; Xu, Z.; Wang, S. Ultrasound-Guided Histotripsy Triggers the Release of Tumor-Associated Antigens from Breast Cancers. Cancers 2025, 17, 183. https://doi.org/10.3390/cancers17020183
Tang S, McGinnis R, Cao Z, Baker JR Jr., Xu Z, Wang S. Ultrasound-Guided Histotripsy Triggers the Release of Tumor-Associated Antigens from Breast Cancers. Cancers. 2025; 17(2):183. https://doi.org/10.3390/cancers17020183
Chicago/Turabian StyleTang, Shengzhuang, Reliza McGinnis, Zhengyi Cao, James R. Baker, Jr., Zhen Xu, and Suhe Wang. 2025. "Ultrasound-Guided Histotripsy Triggers the Release of Tumor-Associated Antigens from Breast Cancers" Cancers 17, no. 2: 183. https://doi.org/10.3390/cancers17020183
APA StyleTang, S., McGinnis, R., Cao, Z., Baker, J. R., Jr., Xu, Z., & Wang, S. (2025). Ultrasound-Guided Histotripsy Triggers the Release of Tumor-Associated Antigens from Breast Cancers. Cancers, 17(2), 183. https://doi.org/10.3390/cancers17020183

