Sacral-Nerve-Sparing Planning Strategy in Pelvic Sarcomas/Chordomas Treated with Carbon-Ion Radiotherapy
Abstract
Simple Summary
Abstract
1. Introduction
2. Materials and Methods
2.1. Patient and Tumor Characteristics
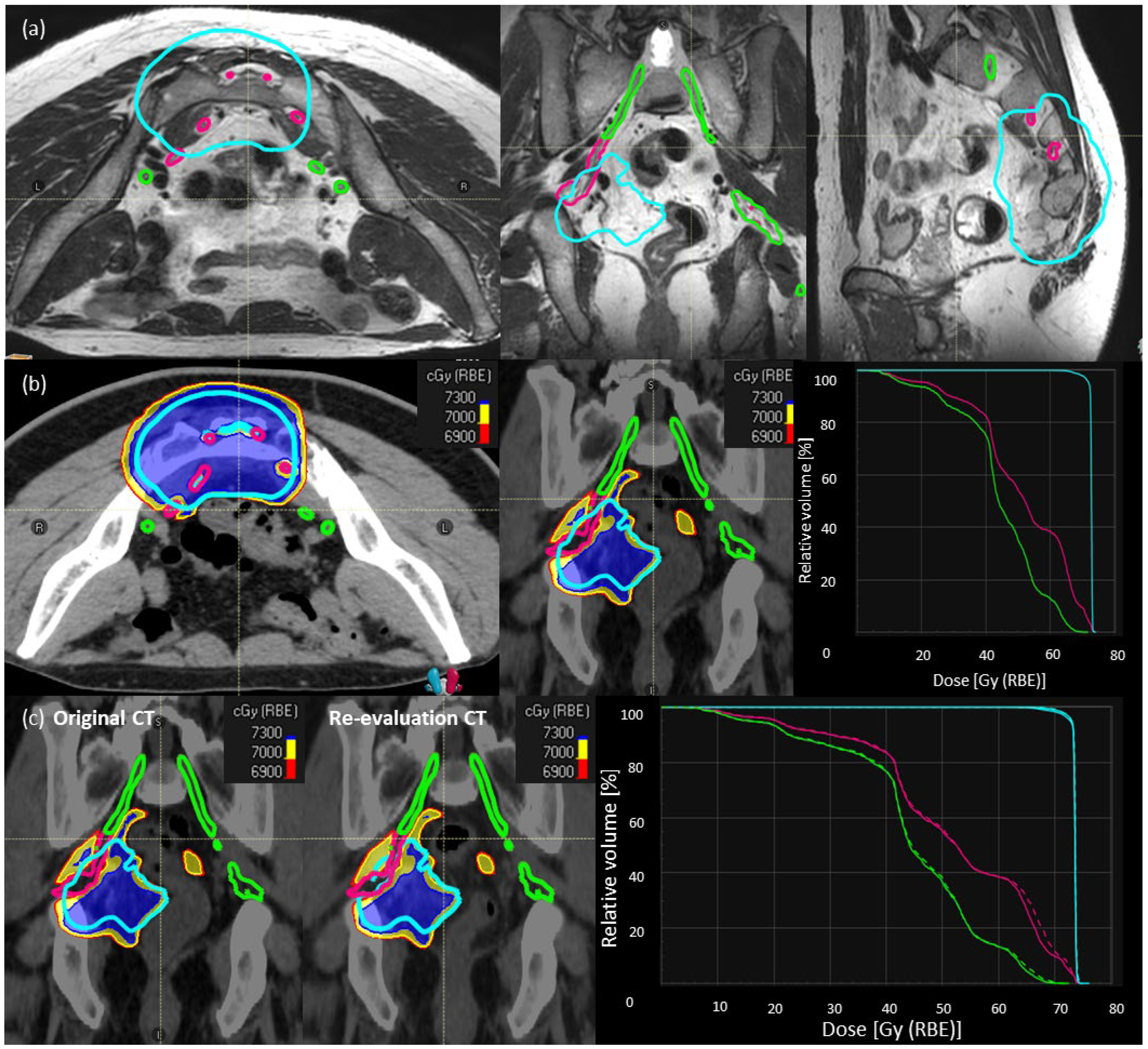
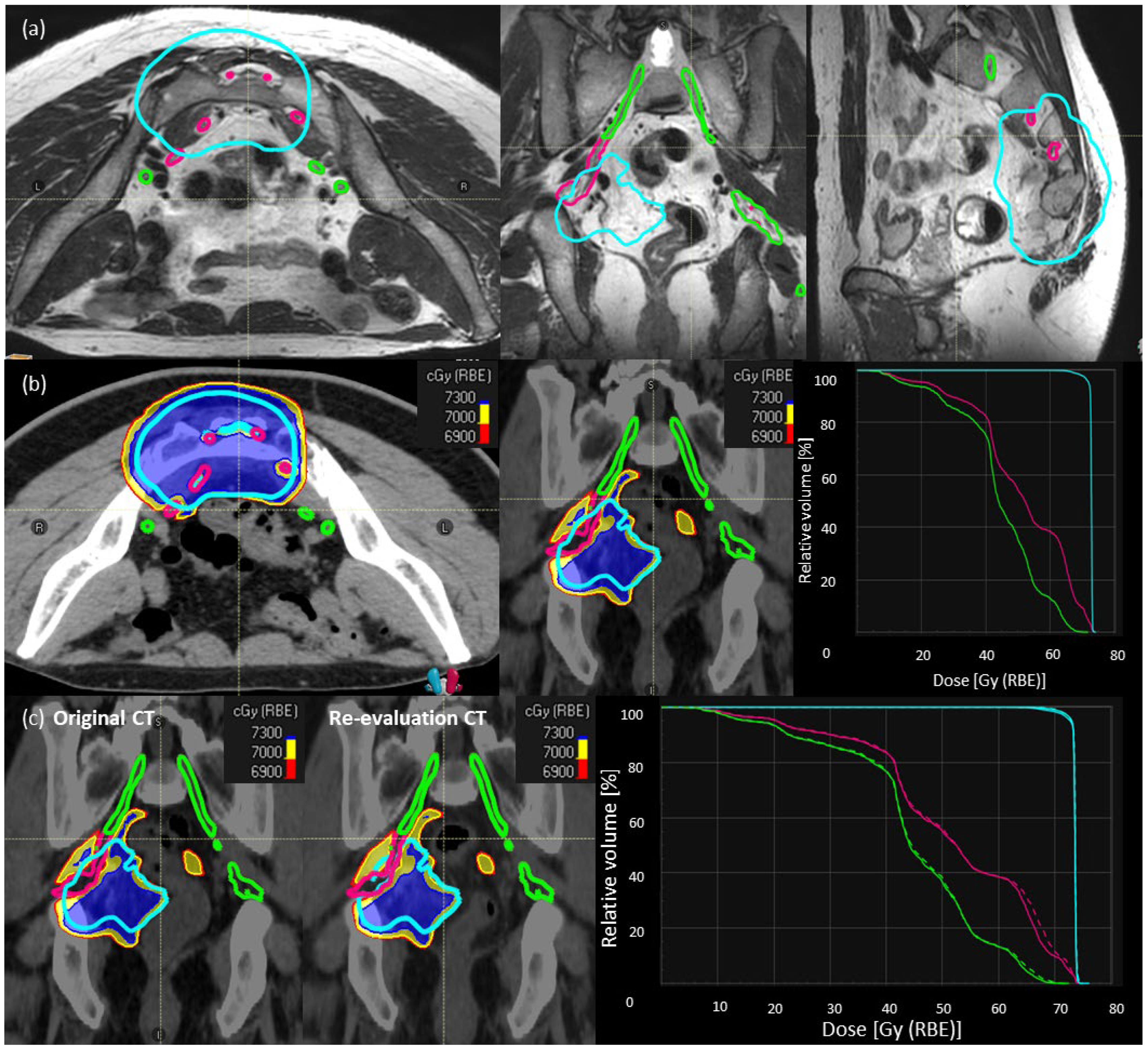
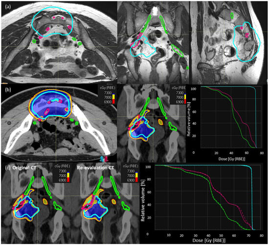
2.2. Treatment Simulation and Planning: Clinical
2.3. SNSo-CIRT Strategy
SNSo-CIRT Composed of Three Step Approach
2.4. DRBE and LETd Evaluation
- To investigate optimal DRBE thresholds, we increased the threshold in steps of 10 Gy (RBE) from 0–60 Gy (RBE) and then in steps of 1 Gy from 61–73 Gy (RBE). [in other words, we excluded from the analysis the portion of the whole sacral nerves, sacral nerves-to-spare, and cauda equina that were below the mentioned DRBE levels].
- Then, we evaluated LETd (in steps of 5–10 keV/µm from 0–200 keV/µm.) in these DRBE thresholds sub-volumes with the help of LETd volume histogram (LVH) (i.e., DRBE filtered LVH). The DRBE thresholding resulted in a change in absolute volume in the nerve structures and made the analysis of single data points on the DRBE-filtered relative LVH very unreliable.
- Since sacral nerves are serial organs, clinically relevant damage can be triggered by injury in a very small volume. Hence, we conducted a voxel-by-voxel analysis of DRBE-filtered-LETd.
- The number of voxels (dose calculation grid size 1 mm × 1 mm × 1 mm) in each organ may vary in different patients. Hence, we extracted normalized data of DRBE-filtered LETd for the whole sacral nerves, sacral nerves-to-spare, and cauda equina.e.g., for DRBE|LEM-I cutoff = 50 Gy (RBE), and LETd cutoff = 60 keV/µm
- For each DRBE|LEM-I threshold and each LETd threshold, we conducted a ROC (Receiver Operating Characteristic) analysis using a fraction of high-LETd voxels as a variable parameter. The predicted difference in the RILSN-free survival based on appropriate DRBE-filtered-LETd thresholds was assessed with the help of Kaplan–Meier analysis.
2.5. Clinical Follow-Up
2.6. Statistical Analysis
3. Results
3.1. Clinical Outcomes of SNSo-CIRT Strategy
3.2. DRBE|LEM-I and DRBE|mMKM and LETd Analysis for Sacral Nerves
3.3. DRBE|LEM-I Filtered LETd Evaluation
4. Discussion
5. Conclusions
Supplementary Materials
Author Contributions
Funding
Institutional Review Board Statement
Informed Consent Statement
Data Availability Statement
Conflicts of Interest
References
- Stacchiotti, S.; Casali, P.G.; Lo Vullo, S.; Mariani, L.; Palassini, E.; Mercuri, M.; Alberghini, M.; Pilotti, S.; Zanella, L.; Gronchi, A.; et al. Chordoma of the mobile spine and sacrum: A retrospective analysis of a series of patients surgically treated at two re-ferral centers. Ann. Surg. Oncol. 2010, 17, 211–219. [Google Scholar] [CrossRef]
- Asavamongkolkul, A.; Waikakul, S. Wide resection of sacral chordoma via a posterior approach. Int. Orthop. 2012, 36, 607–612. [Google Scholar] [CrossRef]
- Varga, P.P.; Szövérfi, Z.; Fisher, C.G.; Boriani, S.; Gokaslan, Z.L.; Dekutoski, M.B.; Chou, D.; Quraishi, N.A.; Reynolds, J.J.; Luzzati, A.; et al. Surgical treatment of sacral chordoma: Prognostic variables for local recurrence and overall survival. Eur. Spine J. 2014, 23, 1092–1101. [Google Scholar]
- Dubory, A.; Missenard, G.; Lambert, B.; Court, C. “En bloc” resection of sacral chordomas by combined anterior and posterior surgical approach: A monocentric retrospective review about 29 cases. Eur. Spine J. 2014, 23, 1940–1948. [Google Scholar] [CrossRef]
- Ozaki, T.; Flege, S.; Liljenqvist, U.; Hillmann, A.; Delling, G.; Salzer-Kuntschik, M.; Jürgens, H.; Kotz, R.; Winkelmann, W.; Bielack, S.S. Osteosarcoma of the spine: Experience of the Cooperative Osteosarcoma Study Group. Cancer 2002, 94, 1069–1077. [Google Scholar] [CrossRef]
- Dong, M.; Liu, R.; Zhang, Q.; Luo, H.; Wang, D.; Wang, Y.; Chen, J.; Ou, Y.; Wang, X. Efficacy and safety of carbon ion radio-therapy for bone sarcomas: A systematic review and meta-analysis. Radiat. Oncol. 2022, 17, 172. [Google Scholar] [CrossRef] [PubMed]
- Ozaki, T.; Flege, S.; Kevric, M.; Lindner, N.; Maas, R.; Delling, G.; Schwarz, R.; Von Hochstetter, A.R.; Salzer-Kuntschik, M.; Berdel, W.E.; et al. Osteosarcoma of the Pelvis: Experience of the Cooperative Osteosarcoma Study Group. J. Clin. Oncol. 2003, 21, 334–341. [Google Scholar] [CrossRef]
- Pennicooke, B.; Laufer, I.; Sahgal, A.; Varga, P.P.; Gokaslan, Z.L.; Bilsky, M.H.; Yamada, Y.J. Safety and local control of radiation therapy for chordoma of the spine and sacrum: A systematic review. Spine 2016, 41, S186. [Google Scholar] [CrossRef] [PubMed]
- Tinkle, C.L.; Lu, J.; Han, Y.; Li, Y.; McCarville, B.M.; Neel, M.D.; Bishop, M.W.; Krasin, M.J. Curative-intent radiotherapy for pediatric osteosarcoma: The St. Jude experience. Pediatr. Blood Cancer 2019, 66, e27763. [Google Scholar] [CrossRef] [PubMed]
- Matsunobu, A.; Imai, R.; Kamada, T.; Imaizumi, T.; Tsuji, H.; Tsujii, H.; Shioyama, Y.; Honda, H.; Tatezaki, S.; Working Group for Bone and Soft Tissue Sarcomas. Impact of carbon ion radiotherapy for unresectable osteosarcoma of the trunk. Cancer 2012, 118, 4555–4563. [Google Scholar] [CrossRef]
- Imai, R.; Kamada, T.; Araki, N. Clinical efficacy of carbon ion radiotherapy for unresectable chondrosarcomas. Anticancer Res. 2017, 37, 6959–6964. [Google Scholar] [CrossRef] [PubMed]
- Demizu, Y.; Imai, R.; Kiyohara, H.; Matsunobu, A.; Okamoto, M.; Okimoto, T.; Tsuji, H.; Ohno, T.; Shioyama, Y.; Nemoto, K.; et al. Carbon ion radiotherapy for sacral chordoma: A retrospective na-tionwide multicentre study in Japan. Radiother. Oncol. 2021, 154, 1–5. [Google Scholar] [CrossRef] [PubMed]
- Demizu, Y.; Jin, D.; Sulaiman, N.S.; Nagano, F.; Terashima, K.; Tokumaru, S.; Akagi, T.; Fujii, O.; Daimon, T.; Sasaki, R.; et al. Particle therapy using protons or carbon ions for unresectable or incompletely resected bone and soft tissue sarcomas of the pelvis. Int. J. Radiat. Oncol. Biol. Phys. 2017, 98, 367–374. [Google Scholar] [CrossRef] [PubMed]
- Mohamad, O.; Imai, R.; Kamada, T.; Nitta, Y.; Araki, N. Carbon ion radiotherapy for inoperable pediatric osteosarcoma. Oncotarget 2018, 9, 22976. [Google Scholar] [CrossRef] [PubMed]
- Shiba, S.; Okamoto, M.; Kiyohara, H.; Okazaki, S.; Kaminuma, T.; Shibuya, K.; Kohama, I.; Saito, K.; Yanagawa, T.; Chikuda, H.; et al. Impact of carbon ion radiotherapy on inoperable bone sarcoma. Cancers 2021, 13, 1099. [Google Scholar] [CrossRef]
- Bostel, T.; Mattke, M.; Nicolay, N.H.; Welzel, T.; Wollschläger, D.; Akbaba, S.; Mayer, A.; Sprave, T.; Debus, J.; Uhl, M. High-dose carbon-ion based radiotherapy of primary and recurrent sacrococcygeal chordomas: Long-term clinical results of a single particle therapy center. Radiat. Oncol. 2020, 15, 206. [Google Scholar] [CrossRef] [PubMed]
- Nishida, Y.; Kamada, T.; Imai, R.; Tsukushi, S.; Yamada, Y.; Sugiura, H.; Shido, Y.; Wasa, J.; Ishiguro, N. Clinical outcome of sacral chordoma with carbon ion radiotherapy compared with surgery. Int. J. Radiat. Oncol. Biol. Phys. 2011, 79, 110–116. [Google Scholar] [CrossRef] [PubMed]
- Imai, R.; Kamada, T.; Sugahara, S.; Tsuji, H.; Tsujii, H. Carbon ion radiotherapy for sacral chordoma. Br. J. Radiol. 2011, 84, S48–S54. [Google Scholar] [CrossRef]
- Kanai, T.; Furusawa, Y.; Fukutsu, K.; Itsukaichi, H.; Eguchi-Kasai, K.; Ohara, H. Irradiation of mixed beam and design of spread-out Bragg peak for heavy-ion radiotherapy. Radiat. Res. 1997, 147, 78–85. [Google Scholar] [CrossRef]
- Kanai, T.; Endo, M.; Minohara, S.; Miyahara, N.; Koyama-Ito, H.; Tomura, H.; Matsufuji, N.; Futami, Y.; Fukumura, A.; Hiraoka, T.; et al. Biophysical characteristics of HIMAC clinical irradiation system for heavy-ion radiation therapy. Int. J. Radiat. Oncol. Biol. Phys. 1999, 44, 201–210. [Google Scholar] [CrossRef]
- Kase, Y.; Kanai, T.; Matsumoto, Y.; Furusawa, Y.; Okamoto, H.; Asaba, T.; Sakama, M.; Shinoda, H. Microdosimetric meas-urements and estimation of human cell survival for heavy-ion beams. Radiat. Res. 2006, 166, 629–638. [Google Scholar] [CrossRef]
- Inaniwa, T.; Furukawa, T.; Kase, Y.; Matsufuji, N.; Toshito, T.; Matsumoto, Y.; Furusawa, Y.; Noda, K. Treatment planning for a scanned carbon beam with a modified microdosimetric kinetic model. Phys. Med. Biol. 2010, 55, 6721–6737. [Google Scholar] [CrossRef]
- Scholz, M.; Kellerer, A.M.; Kraft-Weyrather, W.; Kraft, G. Computation of cell survival in heavy ion beams for therapy. Radiat. Environ. Biophys. 1997, 36, 59–66. [Google Scholar] [CrossRef]
- Radaelli, S.; Fossati, P.; Stacchiotti, S.; Akiyama, T.; Asencio, J.M.; Bandiera, S.; Boglione, A.; Boland, P.; Bolle, S.; Bruland, Ø.; et al. The sacral chordoma margin. Eur. J. Surg. Oncol. (EJSO) 2020, 46, 1415–1422. [Google Scholar] [CrossRef]
- Salerno, K.E.; Alektiar, K.M.; Baldini, E.H.; Bedi, M.; Bishop, A.J.; Bradfield, L.; Chung, P.; DeLaney, T.F.; Folpe, A.; Kane, J.M.; et al. Radiation therapy for treatment of soft tissue sarcoma in adults: Executive summary of an ASTRO clinical practice guideline. Pract. Radiat. Oncol. 2021, 11, 339–351. [Google Scholar] [CrossRef]
- Nachankar, A.; Schafasand, M.; Carlino, A.; Hug, E.; Stock, M.; Góra, J.; Fossati, P. Planning Strategy to Optimize the Dose-Averaged LET Distribution in Large Pelvic Sarcomas/Chordomas Treated with Carbon-Ion Radiotherapy. Cancers 2023, 15, 4903. [Google Scholar] [CrossRef]
- Schafasand, M.; Resch, A.F.; Nachankar, A.; Gora, J.; Traneus, E.; Glimelius, L.; Georg, D.; Stock, M.; Carlino, A.; Fossati, P. Dose averaged linear energy transfer optimization for large sacral chordomas in carbon ion therapy. Med. Phys. 2023, submitted.
- Fossati, P.; Molinelli, S.; Matsufuji, N.; Ciocca, M.; Mirandola, A.; Mairani, A.; Mizoe, J.; Hasegawa, A.; Imai, R.; Kamada, T.; et al. Dose prescription in carbon ion radiotherapy: A planning study to compare NIRS and LEM approaches with a clinical-ly-oriented strategy. Phys. Med. Biol. 2012, 57, 7543. [Google Scholar] [CrossRef]
- Inaniwa, T.; Kanematsu, N. A trichrome beam model for biological dose calculation in scanned carbon-ion radiotherapy treatment planning. Phys. Med. Biol. 2014, 60, 437–451. [Google Scholar] [CrossRef]
- Pieters, R.S.; Niemierko, A.; Fullerton, B.C.; Munzenrider, J.E. Cauda equina tolerance to high-dose fractionated irradiation. Int. J. Radiat. Oncol. Biol. Phys. 2006, 64, 251–257. [Google Scholar] [CrossRef]
- Takenaka, S.; Araki, N.; Outani, H.; Hamada, K.I.; Yoshikawa, H.; Kamada, T.; Imai, R. Complication rate, functional outcomes, and risk factors associated with carbon ion radiotherapy for patients with unresectable pelvic bone sarcoma. Cancer 2020, 126, 4188–4196. [Google Scholar] [CrossRef]
- Delanian, S.; Lefaix, J.L. The radiation-induced fibroatrophic process: Therapeutic perspective via the antioxidant pathway. Radiother. Oncol. 2004, 73, 119–131. [Google Scholar] [CrossRef]
- Gillette, E.L.; Mahler, P.A.; Powers, B.E.; Gillette, S.M.; Vujaskovic, Z. Late radiation injury to muscle and peripheral nerves. Int. J. Radiat. Oncol. Biol. Phys. 1995, 31, 1309–1318. [Google Scholar] [CrossRef]
- Mendes, D.G.; Nawalkar, R.R.; Eldar, S. Post-irradiation femoral neuropathy. A case report. J. Bone Jt. Surg. Am. 1991, 73, 137–140. [Google Scholar] [CrossRef]
- Denham, J.W.; Hauer-Jensen, M. The radiotherapeutic injury—A complex ‘wound’. Radiother. Oncol. 2002, 63, 129–145. [Google Scholar] [CrossRef]
- Moore, N.R.; Dixon, A.K.; Wheeler, T.K.; Freer, C.E.; Hall, L.D.; Sims, C. Axillary fibrosis or recurrent tumour. An MRI study in breast cancer. Clin. Radiol. 1990, 42, 42–46. [Google Scholar] [CrossRef]
- Ko, K.; Sung, D.H.; Kang, M.J.; Ko, M.J.; Do, J.G.; Sunwoo, H.; Kwon, T.G.; Hwang, J.M.; Park, Y. Clinical, electrophysiological findings in adult patients with nontraumatic plexopathies. Ann. Rehabil. Med. 2011, 35, 807–815. [Google Scholar] [CrossRef]
- Vinciguerra, C.; Nardone, V.; Sicurelli, F.; Guida, C.; Cappabianca, S. Lumbosacral Plexopathy in Pelvic Radiotherapy: An Association not to be Neglected; A Systematic Review. Arch. Neurosci. 2019, 6, e86686. [Google Scholar] [CrossRef]
- Hwang, E.T.; Son, H.M.; Kim, J.Y.; Moon, S.M.; Lee, H.S. MR Imaging of Radiation-Induced Lumbosacral Plexopathy, as a Rare Complication of Concomitant Chemo-Radiation for Cervical Cancer. Investig. Magn. Reson. Imaging 2020, 24, 46–50. [Google Scholar] [CrossRef]
- Emami, B.; Lyman, J.; Brown, A.; Cola, L.; Goitein, M.; Munzenrider, J.E.; Shank, B.; Solin, L.J.; Wesson, M. Tolerance of normal tissue to therapeutic irradiation. Int. J. Radiat. Oncol. Biol. Phys. 1991, 21, 109–122. [Google Scholar] [CrossRef]
- DeLaney, T.F.; Liebsch, N.J.; Pedlow, F.X.; Adams, J.; Dean, S.; Yeap, B.Y.; McManus, P.; Rosenberg, A.E.; Nielsen, G.P.; Harmon, D.C.; et al. Phase II study of high-dose photon/proton radiotherapy in the management of spine sarcomas. Int. J. Radiat. Oncol. Biol. Phys. 2009, 74, 732–739. [Google Scholar] [CrossRef]
- Rutz, H.P.; Weber, D.C.; Sugahara, S.; Timmermann, B.; Lomax, A.J.; Bolsi, A.; Pedroni, E.; Coray, A.; Jermann, M.; Goitein, G. Extracranial chordoma: Outcome in patients treated with function-preserving surgery followed by spot-scanning proton beam irradiation. Int. J. Radiat. Oncol. Biol. Phys. 2007, 67, 512–520. [Google Scholar] [CrossRef]
- Stubblefield, M.D.; Ibanez, K.; Riedel, E.R.; Barzilai, O.; Laufer, I.; Lis, E.; Yamada, Y.; Bilsky, M.H. Peripheral nervous system injury after high-dose single-fraction image-guided stereotactic radiosurgery for spine tumors. Neurosurg. Focus 2017, 42, E12. [Google Scholar] [CrossRef]
- Min, M.; Roos, D.; Keating, E.; Kerr, L.; Mukherjee, R.; Potter, A.; Shakeshaft, J.; Baxim, S. External validation of the lumbosacral plexus contouring protocol developed by Yi et al. (IJROBP 2012; 84: 376-82) for pelvic malignancies. J. Med. Imaging Radiat. Oncol. 2014, 58, 117–124. [Google Scholar] [CrossRef]
- Yi, S.K.; Mak, W.; Yang, C.C.; Liu, T.; Cui, J.; Chen, A.M.; Purdy, J.A.; Monjazeb, A.M.; Do, L. Development of a standardized method for contouring the lumbosacral plexus: A preliminary dosimetric analysis of this organ at risk among 15 patients treated with intensity-modulated radiotherapy for lower gastrointestinal cancers. Int. J. Radiat. Oncol. Biol. Phys. 2012, 84, 376–382. [Google Scholar] [CrossRef]
- Matsumoto, S.; Lee, S.H.; Imai, R.; Inaniwa, T.; Matsufuji, N.; Fukahori, M.; Kohno, R.; Yonai, S.; Okonogi, N.; Yamada, S.; et al. Unresectable chondrosarcomas treated with carbon ion radiotherapy: Relationship between dose-averaged linear energy transfer and local recurrence. Anticancer Res. 2020, 40, 6429–6435. [Google Scholar] [CrossRef]
- Hagiwara, Y.; Bhattacharyya, T.; Matsufuji, N.; Isozaki, Y.; Takiyama, H.; Nemoto, K.; Tsuji, H.; Yamada, S. Influence of dose-averaged linear energy transfer on tumour control after carbon-ion radiation therapy for pancreatic cancer. Clin. Transl. Radiat. Oncol. 2020, 21, 19–24. [Google Scholar] [CrossRef]
- Molinelli, S.; Magro, G.; Mairani, A.; Allajbej, A.; Mirandola, A.; Chalaszczyk, A.; Imparato, S.; Ciocca, M.; Fiore, M.R.; Orlandi, E. How LEM-based RBE and dose-averaged LET affected clinical outcomes of sacral chordoma patients treated with carbon ion radiotherapy. Radiother. Oncol. 2021, 163, 209–214. [Google Scholar] [CrossRef]
- Ebner, D.K.; Frank, S.J.; Inaniwa, T.; Yamada, S.; Shirai, T. The emerging potential of multi-ion radiotherapy. Front. Oncol. 2021, 11, 624786. [Google Scholar] [CrossRef]
- Mairani, A.; Mein, S.; Blakely, E.; Debus, J.; Durante, M.; Ferrari, A.; Fuchs, H.; Georg, D.; Grosshans, D.R.; Guan, F.; et al. Roadmap: Helium ion therapy. Phys. Med. Biol. 2022, 67, 15TR02. [Google Scholar] [CrossRef]
- Kohno, R.; Koto, M.; Ikawa, H.; Lee, S.H.; Sato, K.; Hashimoto, M.; Inaniwa, T.; Shirai, T. High–Linear Energy Transfer Irradiation in Clinical Carbon-Ion Beam with the Linear Energy Transfer Painting Technique for Patients with Head and Neck Cancer. Adv. Radiat. Oncol. 2023, 9, 101317. [Google Scholar] [CrossRef]
- McIntyre, M.; Wilson, P.; Gorayski, P.; Bezak, E. A Systematic Review of LET-Guided Treatment Plan Optimisation in Proton Therapy: Identifying the Current State and Future Needs. Cancers 2023, 15, 4268. [Google Scholar] [CrossRef]
- Magrin, G.; Palmans, H.; Stock, M.; Georg, D. State-of-the-art and potential of experimental microdosimetry in ion-beam therapy. Radiother. Oncol. 2023, 182, 109586. [Google Scholar] [CrossRef]
- Okonogi, N.; Matsumoto, S.; Fukahori, M.; Furuichi, W.; Inaniwa, T.; Matsufuji, N.; Imai, R.; Yamada, S.; Kanematsu, N.; Tsuji, H. Dose-averaged linear energy transfer per se does not correlate with late rectal complications in carbon-ion radiotherapy. Radiother. Oncol. 2020, 153, 272–278. [Google Scholar] [CrossRef]
- Mori, Y.; Okonogi, N.; Matsumoto, S.; Furuichi, W.; Fukahori, M.; Miyasaka, Y.; Murata, K.; Wakatsuki, M.; Imai, R.; Koto, M.; et al. Effects of dose and dose-averaged linear energy transfer on pelvic insufficiency fractures after carbon-ion radiotherapy for uterine carcinoma. Radiother. Oncol. 2022, 177, 33–39. [Google Scholar] [CrossRef]
- Niemierko, A.; Schuemann, J.; Niyazi, M.; Giantsoudi, D.; Maquilan, G.; Shih, H.A.; Paganetti, H. Brain necrosis in adult patients after proton therapy: Is there evidence for dependency on linear energy transfer? Int. J. Radiat. Oncol. Biol. Phys. 2021, 109, 109–119. [Google Scholar] [CrossRef]
- Peeler, C.R.; Mirkovic, D.; Titt, U.; Blanchard, P.; Gunther, J.R.; Mahajan, A.; Mohan, R.; Grosshans, D.R. Clinical evidence of variable proton biological effectiveness in pediatric patients treated for ependymoma. Radiother. Oncol. 2016, 121, 395–401. [Google Scholar] [CrossRef]
- Wang, C.-C.; McNamara, A.L.; Shin, J.; Schuemann, J.; Grassberger, C.; Taghian, A.G.; Jimenez, R.B.; MacDonald, S.M.; Paganetti, H. End-of-range radiobiological effect on rib fractures in patients receiving proton therapy for breast cancer. Int. J. Radiat. Oncol. Biol. Phys. 2020, 107, 449–454. [Google Scholar] [CrossRef]
- Bahn, E.; Bauer, J.; Harrabi, S.; Herfarth, K.; Debus, J.; Alber, M. Late contrast enhancing brain lesions in proton-treated pa-tients with low-grade glioma: Clinical evidence for increased periventricular sensitivity and variable RBE. Int. J. Radiat. Oncol. Biol. Phys. 2020, 107, 571–578. [Google Scholar] [CrossRef]
- Schafasand, M.; Resch, A.F.; Nachankar, A.; Gora, J.; Traneus, E.; Glimelius, L.; Georg, D.; Stock, M.; Carlino, A.; Fossati, P. Investigation on the high linear energy transfer dose distribution in small and large tumors in carbon ion therapy. Med. Phys. 2024, 51, 556–565. [Google Scholar] [CrossRef]
- Schafasand, M.; Resch, A.F.; Traneus, E.; Glimelius, L.; Fossati, P.; Stock, M.; Gora, J.; Georg, D.; Carlino, A. Technical note: In silico benchmarking of the linear energy transfer-based functionalities for carbon ion beams in a commercial treatment plan-ning system. Med. Phys. 2023, 50, 1871–1878. [Google Scholar] [CrossRef] [PubMed]
- Tessonnier, T.; Ecker, S.; Besuglow, J.; Naumann, J.; Mein, S.; Longarino, F.K.; Ellerbrock, M.; Ackermann, B.; Winter, M.; Brons, S.; et al. Commissioning of helium ion therapy and the first patient treatment with active beam delivery. Int. J. Radiat. Oncol. Biol. Phys. 2023, 116, 935–948. [Google Scholar] [CrossRef] [PubMed]
- Amato, A.A.; Barohn, R.J.; Sahenk, Z.; Tutschka, P.J.; Mendell, J.R. Polyneuropathy complicating bone marrow and solid organ transplantation. Neurology 1993, 43, 1513. [Google Scholar] [CrossRef] [PubMed]




| Patient Characteristics | No-RILSN | RILSN | |
|---|---|---|---|
| (n = 32) | (n = 3) | ||
| Age | Median (years) | 61 | 55 |
| Range (years) | 24–76 | 54–66 | |
| Gender | Male | 20 | 2 |
| Female | 12 | 1 | |
| Histology | Chordoma | 25 | 3 |
| Chondrosarcoma | 3 | 0 | |
| Leiomyosarcoma | 2 | 0 | |
| Others | 2 | 0 | |
| Surgery | 8 | 1 | |
| Chemotherapy | 1 | 1 | |
| Comorbidities | Diabetes | 1 | 1 |
| CIRT doses [LEM-I] | Median [Gy (RBE)] | 73.6 | 73.6 |
| Range [Gy (RBE)] | 70.4–73.6 | 70.4–73.6 | |
| Tumor characteristics | |||
| Volume of HD-CTV | Mean ± SD [Gy (RBE)] | 503.3 ± 402.1 | 127.6 ± 45.8 |
| Volume of whole sacral nerves contoured | Mean ± SD [Gy (RBE)] | 32.5 ± 4.6 | 30.3 ± 12.1 |
| Volume of sacral nerves inside HD-CTV | Mean ± SD [Gy (RBE)] | 6.2 ± 6.0 | 2.8 ± 1.0 |
| DRBE Statistics | No-RILSN | RILSN | |
|---|---|---|---|
| (n = 32) | (n = 3) | ||
| Whole Sacral nerve | LEM ± I | ||
| D2% {Mean ± SD [Gy (RBE)]} | 72.2 ± 2.5 | 71.0 ± 1.1 | |
| D5% {Mean ± SD [Gy (RBE)]} | 71.5 ± 3.3 | 70.0 ± 1.8 | |
| D1 cm {Mean ± SD [Gy (RBE)]} | 73.0 ± 3.0 | 72.3 ± 1.4 | |
| D2 cm {Mean ± SD [Gy (RBE)]} | 72.6 ± 3.1 | 71.8 ± 1.1 | |
| D4 cm {Mean ± SD [Gy (RBE)]} | 72.0 ± 3.3 | 70.6 ± 1.2 | |
| D8 cm {Mean ± SD [Gy (RBE)]} | 70.7 ± 4.0 | 69.0 ± 2.3 | |
| mMKM | |||
| D2% {Mean ± SD [Gy (RBE)]} | 71.5 ± 5.0 | 71.3 ± 1.2 | |
| D5% {Mean ± SD [Gy (RBE)]} | 69.6 ± 5.2 | 69.9 ± 1.5 | |
| D1 cm {Mean ± SD [Gy (RBE)]} | 72.7 ± 5.1 | 72.2 ± 1.1 | |
| D2 cm {Mean ± SD [Gy (RBE)]} | 71.7 ± 5.2 | 71.6 ± 1.3 | |
| D4 cm {Mean ± SD [Gy (RBE)]} | 70.5 ± 5.3 | 70.8 ± 1.4 | |
| D8 cm {Mean ± SD [Gy (RBE)]} | 68.3 ± 6.0 | 68.8 ± 2.5 | |
| Sacral nerves-to spare | LEM-I | ||
| D2% {Mean ± SD [Gy (RBE)]} | 69.8 ± 3.0 | 69.3 ± 0.3 | |
| D5% {Mean ± SD [Gy (RBE)]} | 67.8 ± 4.1 | 66.9 ± 1.9 | |
| D1 cm {Mean ± SD [Gy (RBE)]} | 70.5 ± 2.9 | 69.9 ± 0.2 | |
| D2 cm {Mean ± SD [Gy (RBE)]} | 69.7 ± 3.0 | 69.4 ± 0.2 | |
| D4 cm {Mean ± SD [Gy (RBE)]} | 68.3 ± 3.5 | 68.3 ± 0.9 | |
| D8 cm {Mean ± SD [Gy (RBE)]} | 64.0 ± 7.5 | 64 ± 3.4 | |
| mMKM | |||
| D2% {Mean ± SD [Gy (RBE)]} | 68.4 ± 5.2 | 67.5 ± 1.5 | |
| D5% {Mean ± SD [Gy (RBE)]} | 65.3 ± 6.2 | 63.7 ± 1.2 | |
| D1 cm {Mean ± SD [Gy (RBE)]} | 69.7 ± 5.3 | 68.8 ± 1.7 | |
| D2 cm {Mean ± SD [Gy (RBE)]} | 68.1 ± 5.4 | 67.8 ± 1.5 | |
| D4 cm {Mean ± SD [Gy (RBE)]} | 65.8 ± 5.9 | 65.9 ± 0.8 | |
| D8 cm {Mean ± SD [Gy (RBE)]} | 60.7 ± 9.8 | 60.1 ± 1.9 | |
| Cauda equina | LEM ± I | ||
| D2% {Mean ± SD [Gy (RBE)]} | 58.1 ± 18.3 | 65.3 ± 2.0 | |
| D5% {Mean ± SD [Gy (RBE)]} | 54.2 ± 21.1 | 60.3 ± 7.8 | |
| D1 cm {Mean ± SD [Gy (RBE)]} | 57.9 ± 18.2 | 64.6 ± 2.8 | |
| D2 cm {Mean ± SD [Gy (RBE)]} | 55 ± 20.1 | 59.8 ± 8.6 | |
| D4 cm {Mean ± SD [Gy (RBE)]} | 49.6 ± 23.0 | 52 ± 12.1 | |
| D8 cm {Mean ± SD [Gy (RBE)]} | 39.9 ± 24.0 | 38.6 ± 15.6 | |
| mMKM | |||
| D2% {Mean ± SD [Gy (RBE)]} | 52 ± 18.2 | 59.3 ± 3.9 | |
| D5% {Mean ± SD [Gy (RBE)]} | 43.7 ± 23.5 | 52.8 ± 7.56 | |
| D1 cm {Mean ± SD [Gy (RBE)]} | 52.0 ± 18.2 | 57.2 ± 3.9 | |
| D2 cm {Mean ± SD [Gy (RBE)]} | 48.6 ± 19.4 | 51.7 ± 9.1 | |
| D4 cm {Mean ± SD [Gy (RBE)]} | 43.4 ± 21.7 | 44 ± 12.1 | |
| D8 cm {Mean ± SD [Gy (RBE)]} | 33.5 ± 22.9 | 32.2 ± 16.6 | |
| LETd Statistics | |||
| Whole Sacral nerve | LETd2% (Mean ± SD [KeV/µm]) | 81.6 ± 25.0 | 97.9 ± 12.6 |
| LETd5% (Mean ± SD [KeV/µm]) | 73.6 ± 23.6 | 87.1 ± 9.3 | |
| LETd1 cm (Mean ± SD [KeV/µm]) | 86.2 ± 25.7 | 103.0 ± 11.9 | |
| LETd2 cm (Mean ± SD [KeV/µm]) | 81.9 ± 25.3 | 97.9 ± 10.9 | |
| LETd4 cm (Mean ± SD [KeV/µm]) | 76.3 ± 24.3 | 89.7 ± 7.9 | |
| LETd8 cm (Mean ± SD [KeV/µm]) | 70.2 ± 23.3 | 79.9 ± 3.7 | |
| Sacral nerves-to spare | LETd2% (Mean ± SD [KeV/µm]) | 82.8 ± 25.2 | 99.2 ± 13.4 |
| LETd5% (Mean ± SD [KeV/µm]) | 75.4 ± 24.2 | 88.4 ± 10.4 | |
| LETd1 cm (Mean ± SD [KeV/µm]) | 86.8 ± 25.5 | 103.0 ± 11.9 | |
| LETd2 cm (Mean ± SD [KeV/µm]) | 81.9 ± 25.3 | 97.8 ± 10.8 | |
| LETd4 cm (Mean ± SD [KeV/µm]) | 76.0 ± 24.3 | 89.6 ± 8.0 | |
| LETd8 cm (Mean ± SD [KeV/µm]) | 69.4 ± 23.4 | 79.8 ± 3.8 | |
| Cauda equina | LETd2% (Mean ± SD [KeV/µm]) | 111.6 ± 74.3 | 173.0 ± 6.7 |
| LETd5% (Mean ± SD [KeV/µm]) | 104.9 ± 72.1 | 162.7 ± 13.9 | |
| LETd1 cm (Mean ± SD [KeV/µm]) | 106.9 ± 75.7 | 168.8 ± 13.3 | |
| LETd2 cm (Mean ± SD [KeV/µm]) | 102.2 ± 74.1 | 158.2 ± 20.7 | |
| LETd4 cm (Mean ± SD [KeV/µm]) | 87.2 ± 72.1 | 124.9 ± 45.3 | |
| LETd8 cm (Mean ± SD [KeV/µm]) | 72.2 ± 67.3 | 89.8 ± 61.9 | |
Disclaimer/Publisher’s Note: The statements, opinions and data contained in all publications are solely those of the individual author(s) and contributor(s) and not of MDPI and/or the editor(s). MDPI and/or the editor(s) disclaim responsibility for any injury to people or property resulting from any ideas, methods, instructions or products referred to in the content. |
© 2024 by the authors. Licensee MDPI, Basel, Switzerland. This article is an open access article distributed under the terms and conditions of the Creative Commons Attribution (CC BY) license (https://creativecommons.org/licenses/by/4.0/).
Share and Cite
Nachankar, A.; Schafasand, M.; Hug, E.; Martino, G.; Góra, J.; Carlino, A.; Stock, M.; Fossati, P. Sacral-Nerve-Sparing Planning Strategy in Pelvic Sarcomas/Chordomas Treated with Carbon-Ion Radiotherapy. Cancers 2024, 16, 1284. https://doi.org/10.3390/cancers16071284
Nachankar A, Schafasand M, Hug E, Martino G, Góra J, Carlino A, Stock M, Fossati P. Sacral-Nerve-Sparing Planning Strategy in Pelvic Sarcomas/Chordomas Treated with Carbon-Ion Radiotherapy. Cancers. 2024; 16(7):1284. https://doi.org/10.3390/cancers16071284
Chicago/Turabian StyleNachankar, Ankita, Mansure Schafasand, Eugen Hug, Giovanna Martino, Joanna Góra, Antonio Carlino, Markus Stock, and Piero Fossati. 2024. "Sacral-Nerve-Sparing Planning Strategy in Pelvic Sarcomas/Chordomas Treated with Carbon-Ion Radiotherapy" Cancers 16, no. 7: 1284. https://doi.org/10.3390/cancers16071284
APA StyleNachankar, A., Schafasand, M., Hug, E., Martino, G., Góra, J., Carlino, A., Stock, M., & Fossati, P. (2024). Sacral-Nerve-Sparing Planning Strategy in Pelvic Sarcomas/Chordomas Treated with Carbon-Ion Radiotherapy. Cancers, 16(7), 1284. https://doi.org/10.3390/cancers16071284

