Molecular Mutations and Clinical Behavior in Bethesda III and IV Thyroid Nodules: A Comparative Study
Simple Summary
Abstract
1. Introduction
2. Materials and Methods
2.1. Patient Samples
2.2. Data Collection
2.3. Statistical Analysis
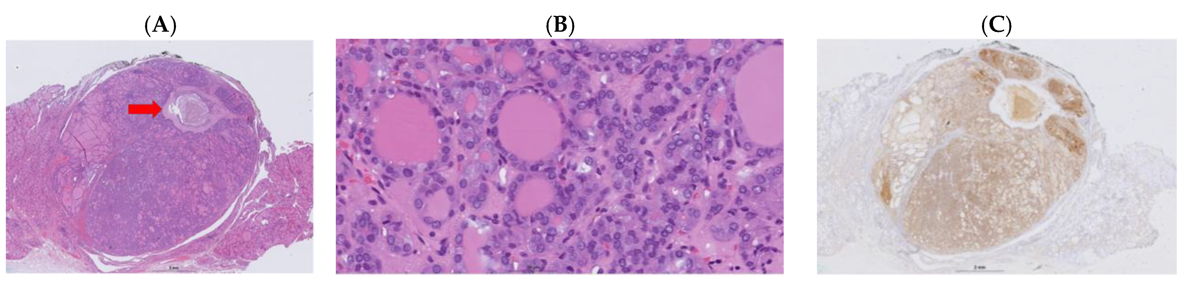
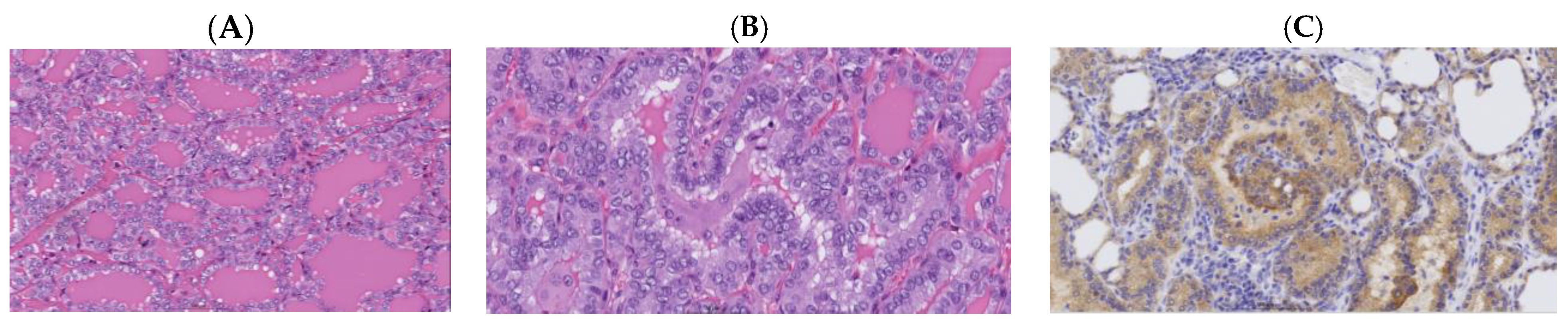
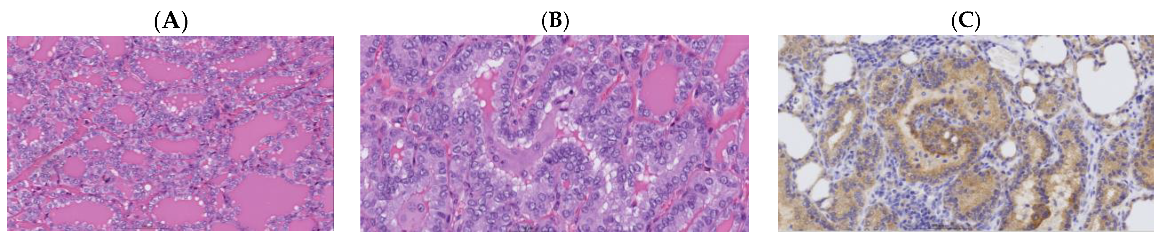
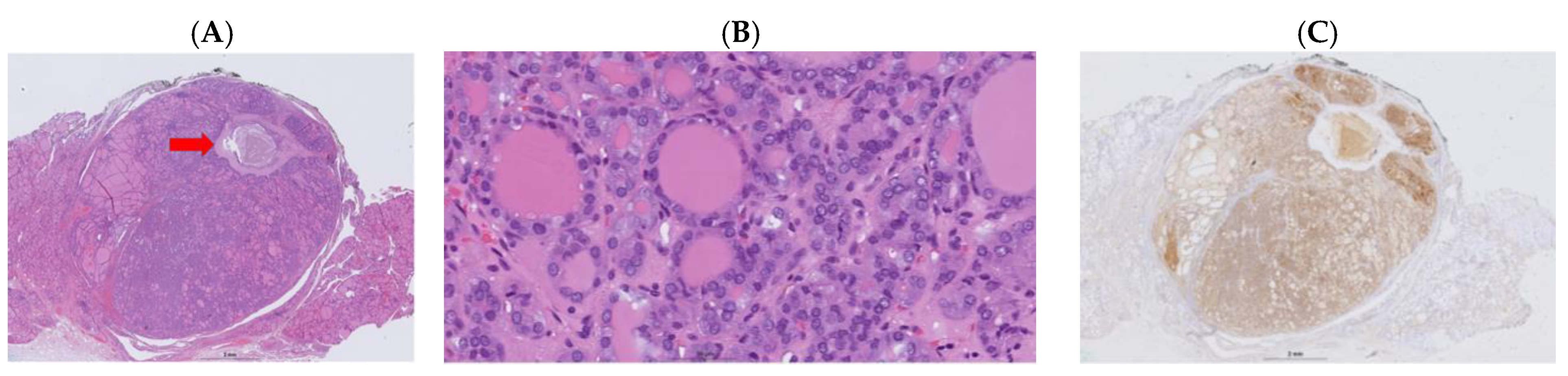
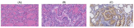
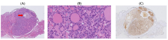
3. Results
4. Discussion
5. Conclusions
Author Contributions
Funding
Institutional Review Board Statement
Informed Consent Statement
Data Availability Statement
Conflicts of Interest
References
- Haugen, B.R.; Alexander, E.K.; Bible, K.C.; Doherty, G.M.; Mandel, S.J.; Nikiforov, Y.E.; Pacini, F.; Randolph, G.W.; Sawka, A.M.; Schlumberger, M.; et al. 2015 American Thyroid Association Management Guidelines for Adult Patients with Thyroid Nodules and Differentiated Thyroid Cancer: The American Thyroid Association Guidelines Task Force on Thyroid Nodules and Differentiated Thyroid Cancer. Thyroid 2016, 26, 1–133. [Google Scholar] [CrossRef]
- San Martin, V.T.; Lawrence, L.; Bena, J.; Madhun, N.Z.; Berber, E.; Elsheikh, T.M.; Nasr, C.E. Real-world Comparison of Afirma GEC and GSC for the Assessment of Cytologically Indeterminate Thyroid Nodules. J. Clin. Endocrinol. Metab. 2020, 105, dgz099. [Google Scholar] [CrossRef] [PubMed]
- Merdad, M. A contemporary look at thyroid nodule management. Saudi Med. J. 2020, 41, 123–127. [Google Scholar] [CrossRef] [PubMed]
- Fujimoto, Y.; Oka, A.; Omoto, R.; Hirose, M. Ultrasound scanning of the thyroid gland as a new diagnostic approach. Ultrasonics 1967, 5, 177–180. [Google Scholar] [CrossRef] [PubMed]
- Cibas, E.S.; Ali, S.Z. The Bethesda System for Reporting Thyroid Cytopathology. Thyroid 2009, 19, 1159–1165. [Google Scholar] [CrossRef] [PubMed]
- Yang, J.; Schnadig, V.; Logrono, R.; Wasserman, P.G. Fine-needle aspiration of thyroid nodules: A study of 4703 patients with histologic and clinical correlations. Cancer 2007, 111, 306–315. [Google Scholar] [CrossRef] [PubMed]
- VanderLaan, P.A.; Marqusee, E.; Krane, J.F. Usefulness of diagnostic qualifiers for thyroid fine-needle aspirations with atypia of undetermined significance. Am. J. Clin. Pathol. 2011, 136, 572–577. [Google Scholar] [CrossRef] [PubMed]
- Nikiforova, M.N.; Lynch, R.A.; Biddinger, P.W.; Alexander, E.K.; Dorn, G.W., 2nd; Tallini, G.; Kroll, T.G.; Nikiforov, Y.E. RAS point mutations and PAX8-PPAR gamma rearrangement in thyroid tumors: Evidence for distinct molecular pathways in thyroid follicular carcinoma. J. Clin. Endocrinol. Metab. 2003, 88, 2318–2326. [Google Scholar] [CrossRef] [PubMed]
- Rajab, M.; Payne, R.J.; Forest, V.I.; Pusztaszeri, M. Molecular Testing for Thyroid Nodules: The Experience at McGill University Teaching Hospitals in Canada. Cancers 2022, 14, 4140. [Google Scholar] [CrossRef] [PubMed] [PubMed Central]
- Nikiforov, Y.E. Molecular analysis of thyroid tumors. Mod. Pathol. 2011, 24, S34–S43. [Google Scholar] [CrossRef]
- Prete, A.; Borges de Souza, P.; Censi, S.; Muzza, M.; Nucci, N.; Sponziello, M. Update on Fundamental Mechanisms of Thyroid Cancer. Front. Endocrinol. 2020, 11, 102. [Google Scholar] [CrossRef] [PubMed]
- Steward, D.L.; Carty, S.E.; Sippel, R.S.; Yang, S.P.; Sosa, J.A.; Sipos, J.A.; Figge, J.J.; Mandel, S.; Haugen, B.R.; Burman, K.D.; et al. Performance of a Multigene Genomic Classifier in Thyroid Nodules with Indeterminate Cytology A Prospective Blinded Multicenter Study. JAMA Oncol. 2019, 5, 204–212. [Google Scholar] [CrossRef]
- Gharib, H.; Papini, E.; Garber, J.R.; Duick, D.S.; Harrell, R.M.; Hegedus, L.; Paschke, R.; Valcavi, R.; Vitti, P. American association of Clinical Endocrinologists, American college of endocrinology, and Associazione Medici Endocrinologi medical guidelines for clinical practice for the diagnosis and management of thyroid nodules—2016 update appendix. Endocr. Pract. Am. Assoc. Clin. Endocrinol. 2016, 22, 622–639. [Google Scholar] [CrossRef] [PubMed]
- Mascarella, M.A.; Peeva, M.; Forest, V.I.; Pusztaszeri, M.P.; Avior, G.; Tamilia, M.; Mlynarek, A.M.; Hier, M.P.; Payne, R.J. Association of Bethesda category and molecular mutation in patients undergoing thyroidectomy. Clin. Otolaryngol. 2022, 47, 75–80. [Google Scholar] [CrossRef] [PubMed]
- Turkdogan, S.; Pusztaszeri, M.; Forest, V.I.; Hier, M.P.; Payne, R.J. Are Bethesda III Thyroid Nodules More Aggressive than Bethesda IV Thyroid Nodules When Found to Be Malignant? Cancers 2020, 12, 2563. [Google Scholar] [CrossRef] [PubMed] [PubMed Central]
- Yaprak Bayrak, B.; Eruyar, A.T. Malignancy rates for Bethesda III and IV thyroid nodules: A retrospective study of the correlation between fine-needle aspiration cytology and histopathology. BMC Endocr. Disord. 2020, 20, 48. [Google Scholar] [CrossRef] [PubMed]
- Al-Kurd, A.; Maree, A.; Mizrahi, I.; Kaganov, K.; Weinberger, J.M.; Mali, B.; Mazeh, H.; Hirshoren, N. An Institutional Analysis of Malignancy Rate in Bethesda III and IV Nodules of the Thyroid. Am. J. Otolaryngol. Head Neck Surg. 2019, 2, 1034. [Google Scholar]
- Ho, A.S.; Sarti, E.E.; Jain, K.S.; Wang, H.; Nixon, I.J.; Shaha, A.R.; Shah, J.P.; Kraus, D.H.; Ghossein, R.; Fish, S.A.; et al. Malignancy rate in thyroid nodules classified as Bethesda category III (AUS/FLUS). Thyroid. Off. J. Am. Thyroid. Assoc. 2014, 24, 832–839. [Google Scholar] [CrossRef]
- Nath, M.C.; Erickson, L.A. Aggressive Variants of Papillary Thyroid Carcinoma: Hobnail, Tall Cell, Columnar, and Solid. Adv. Anat. Pathol. 2018, 25, 172–179. [Google Scholar] [CrossRef] [PubMed]
- Shaha, A.R. Extrathyroidal extension-what does it mean. Oral Oncol. 2017, 68, 50–52. [Google Scholar] [CrossRef] [PubMed]
- Rossi, E.D.; Vielh, P. Thyroid and Molecular Testing. Advances in Thyroid Molecular Cytopathology. J. Mol. Pathol. 2021, 2, 77–92. [Google Scholar] [CrossRef]
- Morand, G.B.; Tessler, I.; Noik, M.; Krasner, J.; Yamin, T.; Pusztaszeri, M.P.; Avior, G.; Payne, R.J. Molecular profiling for Bethesda III to VI nodules: Results of a multicenter international retrospective study. Endocr. Pract. Off. J. Am. Coll. Endocrinol. Am. Assoc. Clin. Endocrinol. 2024, 30, 319–326. [Google Scholar] [CrossRef]
- Hsiao, S.J.; Nikiforov, Y.E. Molecular Genetics and Diagnostics of Thyroid Cancer. In The Thyroid and Its Diseases; Luster, M., Duntas, L.H., Wartofsky, L., Eds.; Springer International Publishing: Berlin/Heidelberg, Germany, 2019; pp. 549–561. [Google Scholar]
- Macerola, E.; Poma, A.M.; Vignali, P.; Basolo, A.; Ugolini, C.; Torregrossa, L.; Santini, F.; Basolo, F. Molecular Genetics of Follicular-Derived Thyroid Cancer. Cancers 2021, 13, 1139. [Google Scholar] [CrossRef] [PubMed] [PubMed Central]
- Pozdeyev, N.; Gay, L.M.; Sokol, E.S.; Hartmaier, R.; Deaver, K.E.; Davis, S.; French, J.D.; Borre, P.V.; LaBarbera, D.V.; Tan, A.C.; et al. Genetic Analysis of 779 Advanced Differentiated and Anaplastic Thyroid Cancers. Clin. Cancer Res. 2018, 24, 3059–3068. [Google Scholar] [CrossRef] [PubMed] [PubMed Central]
- Crescenzi, A.; Palermo, A.; Trimboli, P. Cancer prevalence in the subcategories of the indeterminate class III (AUS/FLUS) of the Bethesda system for thyroid cytology: A meta-analysis. J. Endocrinol. Investig. 2021, 44, 1343–1351. [Google Scholar] [CrossRef] [PubMed]
- Rao, K.N.; Randolph, G.W.; Lopez, F.; Zafereo, M.; Coca-Pelaz, A.; Piazza, C.; Dange, P.; Rodrigo, J.P.; Stenman, G.; de Keizer, B.; et al. Assessment of the risk of malignancy in Bethesda III thyroid nodules: A comprehensive review. Endocrine 2024, 85, 473–492. [Google Scholar] [CrossRef] [PubMed]
- Chen, D.; Huang, J.F.; Liu, K.; Zhang, L.Q.; Yang, Z.; Chuai, Z.R.; Wang, Y.X.; Shi, D.C.; Huang, Q.; Fu, W.L. BRAFV600E mutation and its association with clinicopathological features of colorectal cancer: A systematic review and meta-analysis. PLoS ONE 2014, 9, e90607. [Google Scholar] [CrossRef] [PubMed] [PubMed Central]
- Nucera, C.; Lawler, J.; Hodin, R.; Parangi, S. The BRAFV600E mutation: What is it really orchestrating in thyroid cancer? Oncotarget 2010, 1, 751–756. [Google Scholar] [CrossRef] [PubMed] [PubMed Central]


| Variant | Bethesda III (%) (n = 117) | Bethesda IV (%) (n = 86) | p-Value |
|---|---|---|---|
| Age (years) mean (min–max, ±SD) | 54.4 (22–88, ±12.3) | 51.9 (16–78, ±15.0) | 0.195 |
| Sex Female Male | 90 (76.9) 27 (23.1) | 73 (84.9) 13 (15.1) | 0.159 |
| Nodule size (cm) mean (min–max, ±SD) | 2.17 (0.1–7.5, ±1.4) | 2.27 (0.1–6.7, ±1.1) | 0.610 |
| Pathology | 0.009 | ||
| Benign | 38 (32.5) | 14 (16.3) | |
| Malignant/NIFTP * | 79 (67.5) | 72 (83.7) | |
| Aggressive features | 0.573 | ||
| Present | 12 (10.3) | 11 (12.8) | |
| Not present/NIFTP | 105(89.7) | 75 (87.2) |
| Variant | Malignant/NIFTP Bethesda III (%) (n = 79) | Malignant/NIFTP Bethesda IV (%) (n = 72) | p-Value |
|---|---|---|---|
| Sex Female Male | 60 (76.0) 19 (24.1) | 61 (84.7) 11 (15.3) | 0.177 |
| Surgical intervention | |||
| Hemithyroidectomy | 65 (82.3) | 65 (90.3) | 0.156 |
| Total Thyroidectomy | 14 (17.7) | 7 (9.7) | |
| Type of Malignancy/NIFTP | |||
| NIFTP Papillary carcinoma | 11 (13.9) 55 (69.6) | 4 (5.6) 54 (75.0) | 0.089 0.461 |
| Follicular carcinoma | 1 (1.3) | 6 (8.3) | 0.039 |
| Oncocytic (Hürthle cell) carcinoma | 5 (6.3) | 3 (4.2) | 0.554 |
| Poorly differentiated thyroid carcinoma | 1 (1.3) | 6 (8.3) | 0.039 |
| Well-differentiated follicular neoplasm of undetermined malignant potential | 4 (5.1) | 3 (4.2) | 0.794 |
| Mutation | Malignant/NIFTP Bethesda III (%) (n = 79) | Malignant/NIFTP Bethesda IV (%) (n = 72) | p-Value |
|---|---|---|---|
| HRAS | 8 (10.1) | 13 (18.1) | 0.160 |
| KRAS | 2 (2.5) | 0 (0) | 0.174 * |
| NRAS | 20 (25.3) | 12 (16.7) | 0.194 |
| EIF1AX | 13 (16.5) | 9 (12.5) | 0.491 |
| PTEN | 3 (3.8) | 3 (4.2) | 0.908 |
| DICER1 | 3 (3.8) | 8 (11.1) | 0.084 |
| CNA | 11 (13.9) | 23 (31.9) | 0.008 |
| GEP | 11 (13.9) | 24 (33.3) | 0.005 |
| TP53 | 3 (3.8) | 3 (4.2) | 0.908 |
| BRAF V600E | 4 (5.1) | 0 (0) | 0.053 * |
| THADA fusion | 6 (7.6) | 3 (4.2) | 0.374 |
| ALK fusion | 1 (1.3) | 1 (1.4) | 0.947 * |
| Mutation | Non-Aggressive/NIFTP Bethesda III (%) (n = 67) | Aggressive Bethesda III (%) (n = 12) | p-Value |
|---|---|---|---|
| HRAS | 7 (10.4) | 1 (8.3) | 0.073 |
| KRAS | 2 (3.0) | 0 (0) | 0.765 * |
| NRAS | 19 (28.4) | 1(8.3) | 0.033 |
| EIF1AX | 11 (16.4) | 2 (16.7) | 0.131 |
| PTEN | 3 (4.5) | 0 (0) | 0.712 * |
| DICER1 | 3 (4.5) | 0 (0) | 0.130 * |
| CNA | 9 (13.4) | 2 (16.7) | 0.498 |
| GEP | 10 (14.9) | 1 (8.3) | 0.431 |
| TP53 | 0 (0) | 3 (25.0) | 0.018 * |
| BRAFV600E | 1 (1.5) | 3 (25.0) | 0.001 * |
| THADA fusion | 6 (9.0) | 0 (0) | 0.117 |
| ALK fusion | 0 (0) | 1 (8.3) | 0.245 * |
| Mutation | Non-Aggressive/NIFTP Bethesda IV (%) (n = 61) | Aggressive Bethesda IV (%) (n = 11) | p-Value |
|---|---|---|---|
| HRAS | 11 (18.0) | 2 (18.2) | 0.855 |
| KRAS | 0 (0) | 0 (0) | - * |
| NRAS | 11 (18.0) | 1 (9.1) | 0.550 |
| EIF1AX | 5(8.2) | 4 (36.4) | 0.001 |
| PTEN | 2 (3.3) | 1 (9.1) | 0.619 * |
| DICER1 | 7 (11.5) | 1 (9.1) | 0.873 |
| CNA | 20 (32.8) | 3 (27.3) | 0.689 |
| GEP | 21 (34.4) | 3 (27.3) | 0.752 |
| TP53 | 0 (0) | 3 (27.3) | 0.001 * |
| BRAFV600E | 0 (0) | 0 (0) | - * |
| THADA fusion | 3 (4.9) | 0 (0) | 0.500 * |
| ALK fusion | 0 (0) | 1 (9.1) | 0.116 * |
Disclaimer/Publisher’s Note: The statements, opinions and data contained in all publications are solely those of the individual author(s) and contributor(s) and not of MDPI and/or the editor(s). MDPI and/or the editor(s) disclaim responsibility for any injury to people or property resulting from any ideas, methods, instructions or products referred to in the content. |
© 2024 by the authors. Licensee MDPI, Basel, Switzerland. This article is an open access article distributed under the terms and conditions of the Creative Commons Attribution (CC BY) license (https://creativecommons.org/licenses/by/4.0/).
Share and Cite
Payne, A.E.; Lefebvre, C.; Minello, M.; Rajab, M.; da Silva, S.D.; Pusztaszeri, M.; Hier, M.P.; Forest, V.-I. Molecular Mutations and Clinical Behavior in Bethesda III and IV Thyroid Nodules: A Comparative Study. Cancers 2024, 16, 4249. https://doi.org/10.3390/cancers16244249
Payne AE, Lefebvre C, Minello M, Rajab M, da Silva SD, Pusztaszeri M, Hier MP, Forest V-I. Molecular Mutations and Clinical Behavior in Bethesda III and IV Thyroid Nodules: A Comparative Study. Cancers. 2024; 16(24):4249. https://doi.org/10.3390/cancers16244249
Chicago/Turabian StylePayne, Alexandra E., Coralie Lefebvre, Michael Minello, Mohannad Rajab, Sabrina Daniela da Silva, Marc Pusztaszeri, Michael P. Hier, and Veronique-Isabelle Forest. 2024. "Molecular Mutations and Clinical Behavior in Bethesda III and IV Thyroid Nodules: A Comparative Study" Cancers 16, no. 24: 4249. https://doi.org/10.3390/cancers16244249
APA StylePayne, A. E., Lefebvre, C., Minello, M., Rajab, M., da Silva, S. D., Pusztaszeri, M., Hier, M. P., & Forest, V.-I. (2024). Molecular Mutations and Clinical Behavior in Bethesda III and IV Thyroid Nodules: A Comparative Study. Cancers, 16(24), 4249. https://doi.org/10.3390/cancers16244249

