The Diagnosis and Evolution of Patients with LARS Syndrome: A Five-Year Retrospective Study from a Single Surgery Unit
Simple Summary
Abstract
1. Introduction
2. Materials and Methods
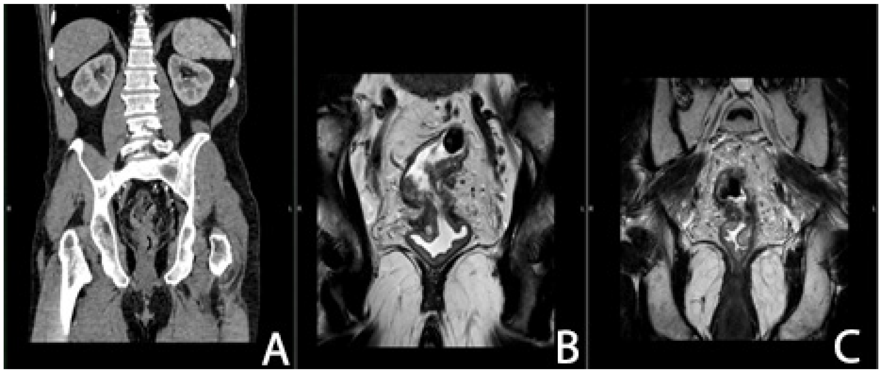
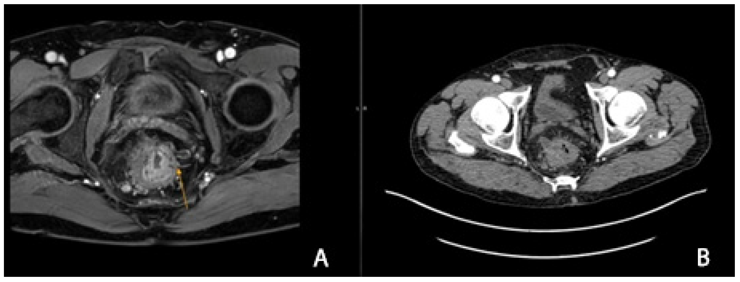
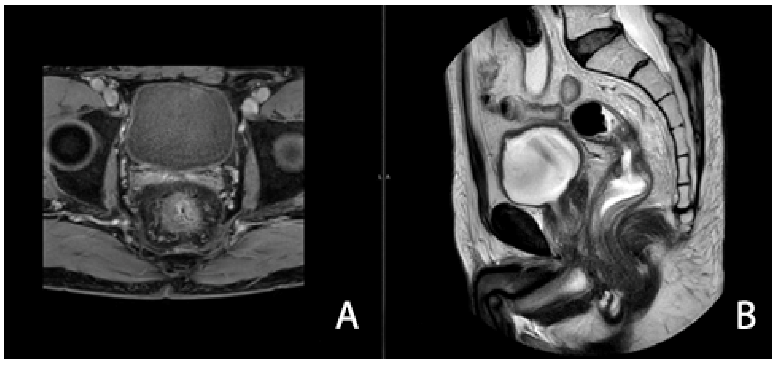
3. Results
4. Discussion
5. Conclusions
Author Contributions
Funding
Institutional Review Board Statement
Informed Consent Statement
Data Availability Statement
Acknowledgments
Conflicts of Interest
References
- Hernandez, M.C.; Wong, P.; Melstrom, K. Low anterior resection syndrome. J. Surg. Oncol. 2023, 127, 1271–1276. [Google Scholar] [CrossRef]
- Rosen, H.; Sebesta, C.G.; Sebesta, C. Management of Low Anterior Resection Syndrome (LARS) Following Resection for Rectal Cancer. Cancers 2023, 15, 778. [Google Scholar] [CrossRef]
- Renner, K.; Rosen, H.R.; Novi, G.; Hölbling, N.; Schiessel, R. Quality of life after surgery for rectal cancer: Do we still need a permanent colostomy? Dis. Colon Rectum. 1994, 42, 1160–1167. [Google Scholar] [CrossRef] [PubMed]
- Croese, A.D.; Lonie, J.M.; Trollope, A.F.; Vangaveti, V.N.; Ho, Y.H. A meta-analysis of the prevalence of low anterior resection syndrome and systematic review of risk factors. Int. J. Surg. 2018, 56, 234–241. [Google Scholar] [CrossRef]
- Chen, T.Y.T.; Emmertsen, K.J.; Laurberg, S. Bowel dysfunction after rectal cancer treatment: A study comparing the specialist’s versus patient’s perspective. BMJ Open. 2014, 4, e003374. [Google Scholar] [CrossRef] [PubMed]
- Jorge, J.M.; Wexner, S.D. Etiology and management of fecal incontinence. Dis. Colon Rectum. 1993, 36, 77–97. [Google Scholar] [CrossRef] [PubMed]
- Keane, C.; Fearnhead, N.S.; Bordeianou, L.G.; Christensen, P.; Basany, E.E.; Laurberg, S.; Mellgren, A.; Messick, C.; Orangio, G.R.; Verjee, A.; et al. LARS International Collaborative Group. International Consensus Definition of Low Anterior Resection Syndrome. Dis. Colon Rectum. 2020, 63, 274–284. [Google Scholar] [CrossRef]
- Brierley, J.D.; Gospodarowicz, M.K.; Wittekind, C. TNM Classification of Malignant Tumors, 8th ed.; John Wiley & Sons: Hoboken, NJ, USA, 2017. [Google Scholar]
- Schober, P.; Boer, C.; Schwarte, L.A. Correlation Coefficients: Appropriate Use and Interpretation. Anesth. Analg. 2018, 126, 1763–1768. [Google Scholar] [CrossRef] [PubMed]
- Emmertsen, K.J.; Laurberg, S. Low anterior resection syndrome score: Development and validation of a symptom-based scoring system for bowel dysfunction after low anterior resection for rectal cancer. Ann. Surg. 2012, 255, 922–928. [Google Scholar] [CrossRef]
- Andronic, O.; Radu, G.; Păduraru, D.; Ion, D.; Bolocan Alexandra Oprescu, S. Validation of the Romanian version of LARS score. J. Surg. Sci. 2020, 7, 154–159. [Google Scholar]
- Nicotera, A.; Falletto, E.; Arezzo, A.; Mistrangelo, M.; Passera, R.; Morino, M. Risk factors for Low Anterior Resection Syndrome (LARS) in patients undergoing laparoscopic surgery for rectal cancer. Surg. Endosc. 2022, 36, 6059–6066. [Google Scholar] [CrossRef] [PubMed]
- Zuo, L.G.; Ge, S.T.; Wang, X.; Zhu, Y.K.; Liu, Z.H.; Yang, Y.T.; Jiang, C.Q.; Li, S.Q.; Liu, M.L. Analysis of prognosis and influencing factors of postoperative low anterior resection syndrome for rectal cancer patients undergoing laparoscopic anus-preserving radical resection. Chin. J. Gastrointest. Surg. 2019, 22, 573–578. [Google Scholar] [CrossRef]
- Liu, F.; Hou, S.; Gao, Z.D.; Shen, Z.L.; Ye, Y.J. Cross-sectional study of low anterior resection syndrome in patients who have survived more than 5 years after sphincter-preserving surgery for rectal cancer. Chin. J. Gastrointest. Surg. 2023, 26, 283–289. [Google Scholar] [CrossRef]
- Pieniowski, E.H.A.; Nordenvall, C.; Palmer, G.; Johar, A.; Tumlin Ekelund, S.; Lagergren, P.; Abraham-Nordling, M. Prevalence of low anterior resection syndrome and impact on quality of life after rectal cancer surgery: Population-based study. BJS Open. 2020, 4, 935–942. [Google Scholar] [CrossRef] [PubMed]
- Tschann, P.; Weigl, M.; Brock, T.; Frick, J.; Sturm, O.; Presl, J.; Jäger, T.; Weitzendorfer, M.; Schredl, P.; Clemens, P.; et al. Identification of Risk Factors for Sexual Dysfunction after Multimodal Therapy of Locally Advanced Rectal Cancer and Their Impact on Quality of Life: A Single-Center Trial. Cancers 2022, 14, 5796. [Google Scholar] [CrossRef]
- Moran, B.; Heald, R.J. Manual of Total Mesorectal Excision, 1st ed.; CRC Press: Boca Raton, FL, USA, 2013. [Google Scholar] [CrossRef]
- Karanijia, N.; Schache, D.; Heald, R. Function of the distal rectum after low anterior resection for carcinoma. Br. J. Surg. 1992, 79, 114–116. [Google Scholar] [CrossRef] [PubMed]
- Gillis, R.A.; Dias Souza, J.; Hicks, K.A.; Mangel, A.W.; Pagani, F.D.; Hamilton, B.L.; Garvey, T.Q., III; Pace, D.G.; Browne, R.K.; Norman, W.P. Inhibitory control of proximal colonic motility by the sympathetic nervous system. Am. J. Physiol. Gastrointest. Liver Physiol. 1987, 253, G531–G539. [Google Scholar] [CrossRef] [PubMed]
- Martellucci, J. Low anterior resection syndrome. Dis. Colon Rectum. 2016, 59, 79–82. [Google Scholar] [CrossRef] [PubMed]
- Tryliskyy, Y.; Wong, C.S.; Demykhova, I.; Tyselskyi, V.; Kebkalo, A.; Poylin, V. Systematic review and meta-analysis of randomized controlled trials evaluating the effect of the level of ligation of inferior mesenteric artery on functional outcomes in rectal cancer surgery. Int. J. Color. Dis. 2022, 37, 709–718. [Google Scholar] [CrossRef]
- Iizuka, I.; Koda, K.; Seike, K.; Shimizu, K.; Takami, Y.; Fukuda, H.; Tsuchida, D.; Oda, K.; Takiguchi, N.; Miyazaki, M. Defecatory malfunction caused by motility disorder of the neorectum after anterior resection for rectal cancer. Am. J. Surg. 2004, 188, 176–180. [Google Scholar] [CrossRef]
- Koda, K.; Saito, N.; Seike, K.; Shimizu, K.; Kosugi, C.; Miyazaki, M. Denervation of the neorectum as a potential cause of defecatory disorder following low anterior resection for rectal cancer. Dis. Colon Rectum. 2005, 48, 210–217. [Google Scholar] [CrossRef] [PubMed]
- Dinning, P.G.; Wiklendt, L.; Maslen, L.; Gibbins, I.; Patton, V.; Arkwright, J.W.; Lubowski, D.Z.; O’Grady, G.; Bampton, P.A.; Brookes, S.J.; et al. Quantification of in vivo colonic motor patterns in healthy humans before and after a meal revealed by high-resolution fiber-optic manometry. Neurogastroenterol. Motil. 2014, 26, 1443–1457. [Google Scholar] [CrossRef] [PubMed]
- Gerassy-Vainberg, S.; Blatt, A.; Danin-Poleg, Y.; Gershovich, K.; Sabo, E.; Nevelsky, A.; Daniel, S.; Dahan, A.; Ziv, O.; Dheer, R.; et al. Radiation induces proinflammatory dysbiosis: Transmission of inflammatory susceptibility by host cytokine induction. Gut 2018, 67, 97–107. [Google Scholar] [CrossRef]
- Christensen, P.; Baeten, C.I.M.; Espin-Barany, E.; Martellucci, J.; Nugent, K.P.; Zerbib, F.; Pellino, G.; Rosen, H. Management guidelines for low anterior resection syndrome-the MANUEL project. Color. Dis. 2021, 23, 461–475. [Google Scholar] [CrossRef] [PubMed]
- Kim, S.; Kang, S.I.; Kim, S.H.; Kim, J.H. The Effect of Anastomotic Leakage on the Incidence and Severity of Low Anterior Resection Syndrome in Patients Undergoing Proctectomy: A Propensity Score Matching Analysis. Ann. Coloproctol. 2021, 37, 281–290. [Google Scholar] [CrossRef] [PubMed]
- Balla, A.; Saraceno, F.; Rullo, M.; Morales-Conde, S.; Targarona Soler, E.M.; Di Saverio, S.; Guerrieri, M.; Lepiane, P.; Di Lorenzo, N.; Adamina, M.; et al. Protective ileostomy creation after anterior resection of the rectum: Shared decision-making or still subjective? Color. Dis. 2023, 25, 647–659. [Google Scholar] [CrossRef]
- Batistotti, P.; Montale, A.; Bruzzone, M.; Amato, A.; Binda, G.A. Protective ileostomy after low anterior resection for extraperitoneal rectal cancer: Does the reversal surgery timing affect closure failure? Updates Surg. 2023, 75, 1811–1818. [Google Scholar] [CrossRef] [PubMed]
- Vogel, I.; Reeves, N.; Tanis, P.J.; Bemelman, W.A.; Torkington, J.; Hompes, R.; Cornish, J.A. Impact of a defunctioning ileostomy and time to stoma closure on bowel function after low anterior resection for rectal cancer: A systematic review and meta-analysis. Tech. Coloproctol. 2021, 25, 751–760. [Google Scholar] [CrossRef]
- Ziv, Y.; Zbar, A.; Bar-Shavit, Y.; Igov, I. Low anterior resection syndrome (LARS): Cause and effect and reconstructive considerations. Tech. Coloproctol. 2013, 17, 151–162. [Google Scholar] [CrossRef] [PubMed]
- Beamish, E.L.; Johnson, J.; Shaw, E.J.; Scott, N.A.; Bhowmick, A.; Rigby, R.J. Loop ileostomy-mediated fecal stream diversion is associated with microbial dysbiosis. Gut Microbes. 2017, 8, 467–478. [Google Scholar] [CrossRef] [PubMed]
- Coppersmith, N.A.; Schultz, K.S.; Esposito, A.C.; Reinhart, K.; Ray, E.; Leeds, E.L.; Pantel, H.J.; Reddy, V.B.; Longo, W.E.; Mongiu, A.K. Pelvic Floor Physical Therapy Prehabilitation (PrePFPT) for the prevention of low anterior resection syndrome. Surg. Oncol. Insight. 2024, 1, 100097. [Google Scholar] [CrossRef]
- Asnong, A.; D’Hoore, A.; Van Kampen, M.; Wolthuis, A.; Van Molhem, Y.; Van Geluwe, B.; Devoogdt, N.; De Groef, A.; Guler Caamano Fajardo, I.; Geraerts, I.; et al. The Role of Pelvic Floor Muscle Training on Low Anterior Resection Syndrome: A Multicenter Randomized Controlled Trial. Ann. Surg. 2022, 276, 761–768. [Google Scholar] [CrossRef] [PubMed]
- Koifman, E.; Armoni, M.; Gorelik, Y.; Harbi, A.; Streltsin, Y.; Duek, S.D.; Brun, R.; Mazor, Y. Long term persistence and risk factors for anorectal symptoms following low anterior resection for rectal cancer. BMC Gastroenterol. 2024, 24, 31. [Google Scholar] [CrossRef] [PubMed]
- He, S.; Liu, Z.; Li, L.; Zhang, J.; Shi, L.; Song, Y.; Lin, H.; Sun, W.; Wang, J.; Deng, Y.; et al. Improvement of low anterior resection syndrome beyond 2 years after total mesorectal excision. J. Surg. Oncol. 2022, 125, 448–456. [Google Scholar] [CrossRef] [PubMed]
- Yeo, S.M.; Son, G.M. Low Anterior Resection Syndrome: Pathophysiology, Risk Factors, and Current Management. Ewha Med. J. 2022, 45, e12. [Google Scholar] [CrossRef]
- Rao, S.S.; Bharucha, A.E.; Chiarioni, G.; Felt-Bersma, R.; Knowles, C.; Malcolm, A.; Wald, A. Anorectal disorders. Gastroenterology 2016, 150, 1430–1442.e4. [Google Scholar] [CrossRef]






| LARS—Score—Scoring instructions Add the Scores from Each 5 Answers to One Final Score | |
|---|---|
Do you ever have ocasions when you cannot control your flatus (wind)?
| 0 4 7 |
Do you ever have any accidental leakage of liquid stool?
| 0 3 3 |
How often do you open your bowels?
| 4 2 0 5 |
Do you ever have to open your bowels again within one hours of the last bowel opening?
| 0 9 11 |
Do you ever have such a strong urge to open your bowels that you have to rush to the toilet?
| 0 11 16 |
| Total score: | |
| Interpretation 0–20 No LARS 21–29 Minor LARS 30–42 Major LARS |
| Parameter | Total | Major LARS | Minor LARS | Non-LARS | p-Value |
|---|---|---|---|---|---|
| No. of cases | 102 | 36 (35.3%) | 24 (23.5%) | 42 (41.2%) | |
| Gender % | 0.030 (a)* | ||||
| Female | 34 (33.3) | 6 (17.6) | 10 (29.4) | 18 (52.9) | |
| Male | 68 (66.7) | 30 (44.1) | 14 (20.6) | 24 (35.3) | |
| Age | 58 + 13.5 | 58.7 + 12 | 63.9 + 12.9 | 0.110 (b) | |
| Tumor location (%) | |||||
| Upper rectal | 28 (27.4) | 2 (7.1) | 2 (7.1) | 24 (85.7) | <0.0001 (a)* |
| Middle rectal | 44 (43.2) | 16 (36.4) | 18 (40.9) | 10 (22.7) | |
| Low rectal | 30 (29.4) | 18 (60) | 4 (13.3) | 8 (26.7) | |
| Radiotherapy (%) | |||||
| Yes | 83 (81.4) | 33 (91.6) | 19 (82.1) | 29 (75) | 0.086 (a) |
| No | 19 (18.6) | 3 (8.4) | 5 (17.9) | 11 (25) | |
| Chemotherapy (%) | |||||
| Yes | 88 (86.3) | 32 (89.9) | 20 (79.2) | 36 (85.7) | 0.821 (a) |
| No | 14 (13.7) | 4 (11.1) | 4 (20.8) | 6 (14.3) | |
| Type of surgery (%) | |||||
| LAR + PME | 22 (21.6) | 1 (2.7) | 1 (4.2) | 20 (47.6) | <0.001 (a)* |
| LAR + TME | 12 (11.8) | 4 (11.1) | 4 (16.7) | 4 (9.5) | |
| ULAR + TME | 68 (66.6) | 31 (86.1) | 19 (79.1) | 18 (42.9) | |
| Ileostomy (%) | |||||
| Yes | 68 (66.6) | 32 (88.9) | 18 (75) | 20 (47.6) | <0.001 (a)* |
| No | 34 (33.3) | 4 (11.1) | 6 (25) | 22 (52.4) | |
| Complication (%) | |||||
| Stenosis | 4 (3.9) | 4 (11.1) | - | - | |
| Fistula | 10 (9.8) | 6 (11.1) | 2 (8.3) | 2 (4.8) | |
| None | 88 (86.3) | 26 (72.2) | 22 (91.7) | 40 (95.2) | |
| Duration of ileostomy (%) | |||||
| Without | 26 (25.5) | - | 6 (25) | 20 (47.6) | - |
| 6 weeks | 26 (25.5) | 10 (27.8) | 4 (16.7) | 12 (28.6) | 0.092 (a) |
| 7–12 weeks | 44 (43.1) | 20 (55.6) | 14 (58.3) | 10 (23.8) | |
| 12+ weeks | 6 (5.9) | 6 (16.7) | - | - | - |
| LARS at 6 months | 60 | 6 | 14 | 40 | |
| LARS at 2 years | 35 | 7 | 14 | 14 | |
| Colostomy | 7 | 4 | 3 | ||
| Type of anastomosis (%) | |||||
| Manual | 20 (19.6) | 2 (5.5) | 4 (16.7) | 14 (33.3) | 0.007 (a)* |
| Mechanical | 82 (80.4) | 34 (94.5) | 20 (83.3) | 28 (66.7) | |
| Comorbidities | |||||
| Obesity | 54 (58.7) | 28 (56) | 14 (58.3) | 12 (66.7) | <0.001 (a)* |
| Diabetes mellitus | 38 (41.3) | 22 (44) | 10 (41.7) | 6 (33.3) | <0.001 (a)* |
| pT (%) | |||||
| yT0 | 10 (9.8) | 2 (5.5) | 2 (8.3) | 6 (14.3) | 0.112 (a) |
| T1 | 8 (7.8) | 2 (5.5) | 4 (16.6) | 2 (4.7) | |
| T2 | 46 (45.1) | 14 (39) | 14 (58.4) | 18 (43) | |
| T3 | 38 (37.3) | 18 (50) | 4 (16.7) | 16 (38) | |
| pN (%) | |||||
| N0 | 36 (35.3) | 18 (50) | 6 (25) | 12 (37.5) | |
| N1 | 42 (41.2) | 8 (22.2) | 10 (41.7) | 14 (43.7) | |
| N2 | 22 (21.6) | 8 (22.2) | 8 (33.3) | 6 (18.8) | |
| N3 | 2 (1.9) | 2 (5.6) | - | - |
Disclaimer/Publisher’s Note: The statements, opinions and data contained in all publications are solely those of the individual author(s) and contributor(s) and not of MDPI and/or the editor(s). MDPI and/or the editor(s) disclaim responsibility for any injury to people or property resulting from any ideas, methods, instructions or products referred to in the content. |
© 2024 by the authors. Licensee MDPI, Basel, Switzerland. This article is an open access article distributed under the terms and conditions of the Creative Commons Attribution (CC BY) license (https://creativecommons.org/licenses/by/4.0/).
Share and Cite
Obleagă, C.V.; Cazacu, S.M.; Țenea Cojan, T.Ș.; Mirea, C.S.; Florescu, D.N.; Constantin, C.; Șerbănescu, M.-S.; Florescu, M.M.; Streba, L.; Popescu, D.M.; et al. The Diagnosis and Evolution of Patients with LARS Syndrome: A Five-Year Retrospective Study from a Single Surgery Unit. Cancers 2024, 16, 4175. https://doi.org/10.3390/cancers16244175
Obleagă CV, Cazacu SM, Țenea Cojan TȘ, Mirea CS, Florescu DN, Constantin C, Șerbănescu M-S, Florescu MM, Streba L, Popescu DM, et al. The Diagnosis and Evolution of Patients with LARS Syndrome: A Five-Year Retrospective Study from a Single Surgery Unit. Cancers. 2024; 16(24):4175. https://doi.org/10.3390/cancers16244175
Chicago/Turabian StyleObleagă, Cosmin Vasile, Sergiu Marian Cazacu, Tiberiu Ștefăniță Țenea Cojan, Cecil Sorin Mirea, Dan Nicolae Florescu, Cristian Constantin, Mircea-Sebastian Șerbănescu, Mirela Marinela Florescu, Liliana Streba, Dragoș Marian Popescu, and et al. 2024. "The Diagnosis and Evolution of Patients with LARS Syndrome: A Five-Year Retrospective Study from a Single Surgery Unit" Cancers 16, no. 24: 4175. https://doi.org/10.3390/cancers16244175
APA StyleObleagă, C. V., Cazacu, S. M., Țenea Cojan, T. Ș., Mirea, C. S., Florescu, D. N., Constantin, C., Șerbănescu, M.-S., Florescu, M. M., Streba, L., Popescu, D. M., Vîlcea, I. D., & Ciorbagiu, M. C. (2024). The Diagnosis and Evolution of Patients with LARS Syndrome: A Five-Year Retrospective Study from a Single Surgery Unit. Cancers, 16(24), 4175. https://doi.org/10.3390/cancers16244175

