Pancreatectomy with Celiac Axis Resection and Reconstruction for Locally Advanced Pancreatic Cancer
Simple Summary
Abstract
1. Introduction
Classification of CA Resection and Reconstruction Pancreatectomy
2. Materials and Methods
2.1. Golden View
2.2. Creation of the Golden View
2.2.1. Kocher Mobilization
2.2.2. Nakao Mesenteric Approach
2.2.3. PD-CAR and TP-CAR(Spleen Preserving)
2.2.4. TP-CAR+TG
2.3. CA Resection and Reconstruction
2.3.1. Venous Bypass Graft
2.3.2. Procedure for Vessel Anastomosis
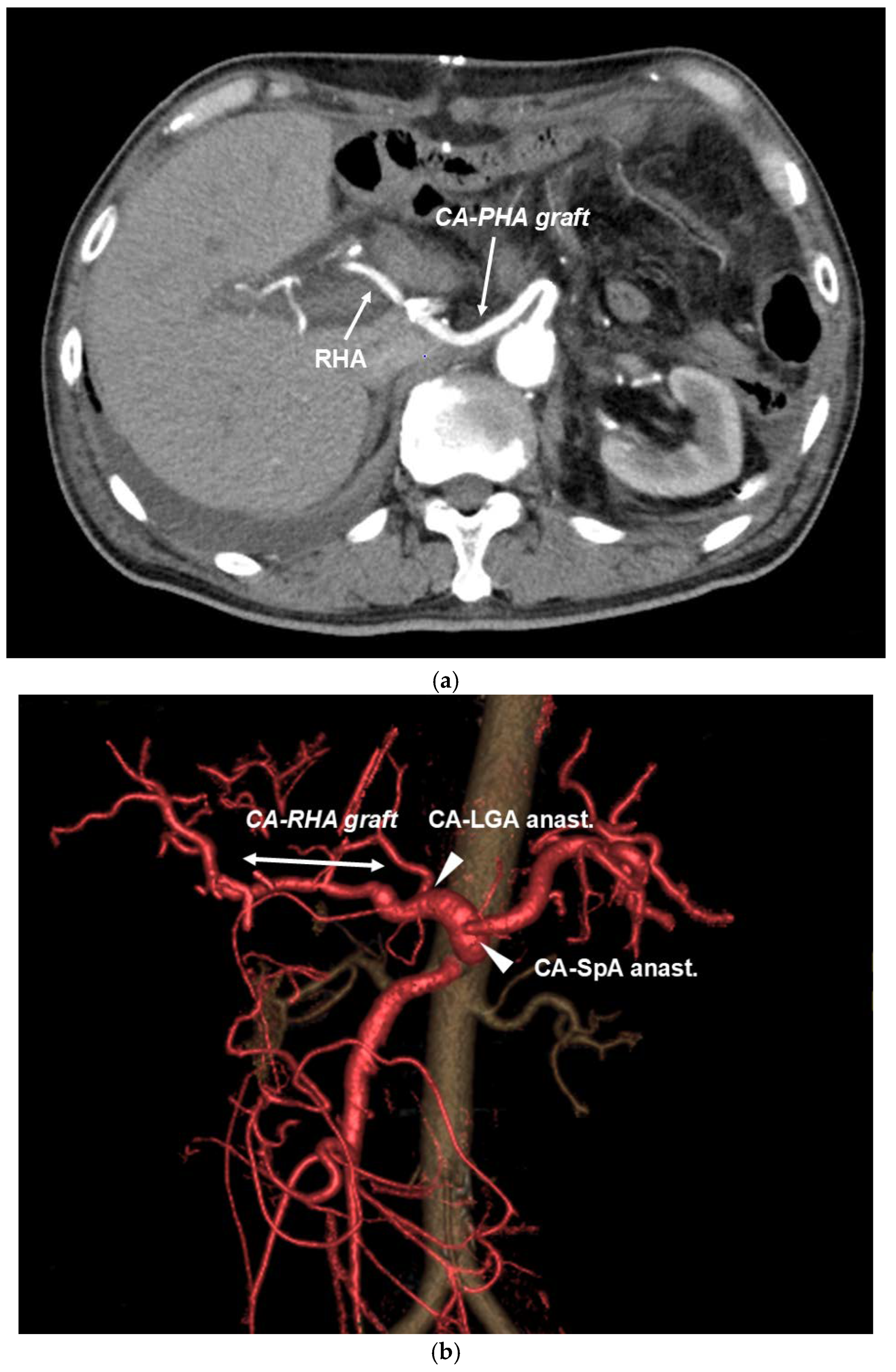
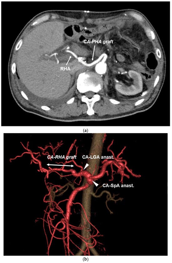
CA Reconstruction in TP-CAR+TG
CA Reconstruction in PD-CAR and TP-CAR(Spleen Preserving)
2.4. Patients
Indications
3. Results
4. Discussion
5. Conclusions
Author Contributions
Funding
Institutional Review Board Statement
Informed Consent Statement
Data Availability Statement
Conflicts of Interest
References
- Gu, A.; Li, J.; Qiu, S.; Hao, S.; Yue, Z.Y.; Zhai, S.; Li, M.Y.; Liu, Y. Pancreatic cancer environment: From patient-derived models to single-cell omics. Mol. Omics 2024, 20, 220–233. [Google Scholar] [CrossRef] [PubMed]
- Fortner, J.G. Regional resection of cancer of the pancreas A new surgical approach. Surgery 1973, 73, 307–320. [Google Scholar] [PubMed]
- Burris, H.A., 3rd; Moore, M.J.; Andersen, J.; Green, M.R.; Rotheenberg, M.L.; Modiano, M.R.; Cripps, M.C.; Portenoy, R.K.; Storniolo, A.M.; Tarassoff, P.; et al. Improvements in survival and clinical benefit with gemcitabine as first-line therapy for patients with advanced pancreas cancer: A randomized trial. J. Clin. Oncol. 1997, 15, 2403–2413. [Google Scholar] [CrossRef] [PubMed]
- Conroy, T.; Desseigne, F.; Ychou, M.; Bouche, O.; Guimbaud, R.; Becouarn, Y.; Adenis, A. FOLFIRINOX versus gemcitabine for metastatic pancreatic cancer. N. Engl. J. Med. 2011, 364, 1817–1825. [Google Scholar] [CrossRef]
- Von Hoff, D.D.; Ervin, T.; Arena, F.P.; Chiorean, E.G.; Infante, J.; Moore, M.; Seay, T.; Renschler, M.F. Increased survival in pancreatic cancer with nabpaclitaxel plus gemcitabine. N. Engl. J. Med. 2013, 369, 1691–1703. [Google Scholar] [CrossRef]
- Guo, J.; Wang, M.F.; Zhu, Y.; Watari, F.; Xu, Y.H.; Chen, X. Exploitation of platelets for antitumor drug delivery and modulation of the tumor immune microenvironment. Acta Mater. Medica 2023, 2, 172–190. [Google Scholar] [CrossRef]
- Yang, Y.; Guan, S.; Ou, Z.; Li, W.; Yan, L.; Situ, B. Advances in AI-based cancer cytology. Interdiscip. Med. 2023, 1, e20230013. [Google Scholar] [CrossRef]
- Hckert, T.; Sachsenmaier, M.; Hinz, U.; Schneider, L.; Michalski, C.W.; Springfeld, C.; Strobel, O.; Jager, D.; Ulrich, A.; Buchler, M.W. Locally advanced pancreatic cancer: Neoadjuvant therapy with Folfirinox results in resectability in 60% of patients. Ann. Surg. 2016, 264, 457–463. [Google Scholar] [CrossRef]
- Klaiber, U.; Schnaidt, E.S.; Hinz, U.; Gaida, M.M.; Heger, U.; Hank, T.; Strobel, O.; Neoptolemos, J.P.; Mihaljevic, A.L.; Buchler, M.W.; et al. Prognostic Factors of Survival After Neoadjuvant Treatment and Resection for Initially Unresectable Pancreatic Cancer. Ann Surg. 2021, 273, 154–162. [Google Scholar] [CrossRef]
- Rosello, S.; Pizzo, C.; Huerta, M.; Munoz, E.; Aliaga, R.; Vera, A.; Alfaro-Cervello, C.; Jorda, E.; Garces-Albir, M.; Roda, D.; et al. Neoadjuvant treatment for locally advanced unresectable and borderline resectable pancreatic cancer: Oncological outcomes at a single academic centre. ESMO Open. 2020, 5, e000929. [Google Scholar] [CrossRef]
- Japan Pancreas Society: Classification of Pancreatic Carcinoma, Fourth English ed.; Kanehara: Tokyo, Japan, 2019.
- UICC. TNM Classification of Malignant Tumor, 7th ed.; Sobin, L., Wittekind, C., Eds.; Wiley-Blackwell: Madrid, Spain, 2010. [Google Scholar]
- Hishinuma, S.; Ogata, Y.; Tomikawa, M.; Ozawa, I. Stomach-preserving distal pancreatectomy with combined resection of the celiac artery: A radical procedure for locally advanced cancer of the pancreatic body. J. Gastrointest. Surg. 2007, 11, 743–749. [Google Scholar] [CrossRef] [PubMed]
- Kondo, S.; Katoh, H.; Shimizu, T.; Omi, M.; Hirano, S.; Ambo, Y.; Okushiba, S.; Morikawa, T. Preoperative embolization of the common hepatic artery in preparation for radical pancreatectomy for pancreas body cancer. Hepatogastroenterology 2000, 47, 1447–1449. [Google Scholar] [PubMed]
- Appleby, L.H. The celiac axis in the expansion of the operation for gastric carcinoma. Cancer 1953, 6, 704–707. [Google Scholar] [CrossRef] [PubMed]
- Mizutani, S.; Shioya, T.; Maejima, K.; Komine, O.; Yoshino, M.; Hosino, A.; Ogata, M.; Watanabe, M.; Yanagimoto, K.; Shibuya, T.; et al. Two successful curative operations using stomach-preserving distal pancreatectomy with celiac axis resection for the treatment of locally advanced pancreatic body cancer. Hepatobiliary Pancreat. Surg. 2009, 16, 229–233. [Google Scholar] [CrossRef] [PubMed]
- Nakao, A.; Takagi, H. Isolated pancreatectomy for pancreatic head carcinoma using catheter bypass of the portal vein. Hepatogastroenterology 1993, 40, 426–429. [Google Scholar] [PubMed]
- Nakao, A.; Takeda, S.; Inoue, S.; Nomoto, S.; Kanazumi, N.; Sugimoto, H.; Fujii, T. Indications and techniques of extended resection for pancreatic cancer. World J. Surg. 2006, 30, 976–982. [Google Scholar] [CrossRef]
- Mizutani, S.; Taniai, N.; Furuki, H.; Shioda, M.; Ueda, J.; Aiomot, T.; Motoda, N.; Nakamura, Y.; Yoshida, H. Treatment of advanced pancreatic body and tail cancer by en bloc distal pancreatectomy with transverse mesocolon resection using a mesenteric approach. J. Nippon. Med. School 2021, 88, 301–310. [Google Scholar] [CrossRef]
- Strasberg, S.M.; Drebin, J.A.; Linehan, D. Radical antegrade modular pancreatosplenectomy. Surgery 2003, 133, 521–527. [Google Scholar] [CrossRef]
- Berríos-Torres, S.I.; Umscheid, C.A.; Bratzler, D.W.; Leas, B.; Stone, E.C.; Kelz, R.R. Centers for Disease Control and Prevention guideline for the prevention of surgical site infection, 2017. JAMA Surg. 2017, 152, 784–791. [Google Scholar] [CrossRef]
- Murase, Y.; Ban, D.; Maekawa, A.; Watanabe, S.; Ishikawa, Y.; Akahoshi, K.; Ogawa, K.; Ono, H.; Kudo, A.; Kudo, T.; et al. Successful conversion surgery of distal pancreatectomy with celiac axis resection (DP-CAR) with double arterial reconstruction using saphenous vein grafting for locally advanced pancreatic cancer: A case report. Surg. Case Rep. 2020, 6, 302. [Google Scholar] [CrossRef]
- Eisenhauer, E.A.; Therasse, P.; Bogaerts, J.; Schwartz, L.H.; Sargent, D.; Ford, R.; Dancey, J.; Arbuck, S.; Gwyther, S.; Mooney, M.; et al. New response evaluation criteria in solid tumours: Revised RECIST guideline (version 1.1). Eur. J. Cancer 2009, 45, 228–247. [Google Scholar] [CrossRef] [PubMed]
- Evans, D.B.; Rich, T.A.; Byrd, D.R.; Cleaary, K.R.; Connelly, J.H.; Levin, B.; Charnsangavej, C.; Fenoglio, C.J.; Ames, F.C. Preoperative chemoradiation and pancreaticoduodenectomy for adenocarcinoma of the pancreas. Arch. Surg. 1992, 127, 1335–1339. [Google Scholar] [CrossRef] [PubMed]
- Satoi, S.; Yamaue, H.; Kato, K.; Takahashi, S.; Hirono, S.; Takeda, S.; Eguchhi, H.; Sho, M.; Wada, K.; Shinchi, H.; et al. Role of adjuvant surgery for patients with initially unresectable pancreatic cancer with a long-term favorable response to non-surgical anti-cancer treatments: Results of a project study for pancreatic surgery by the Japanese Society of Hepato-Biliary-Pancreatic Surgery. J. Hepatobiliary Pancreat. Sci. 2013, 20, 590–600. [Google Scholar] [PubMed]
- Yanagimoto, H.; Satoi, S.; Yamamoto, T.; Yamaki, S.; Hirooka, S.; Kotsuka, M.; Ryota, H.; Ishida, M.; Matsui, Y.; Sekimoto, M. Benefits of conversion surgery after multimodal treatment for unresectable pancreatic ductal adenocarcinoma. Cancers 2020, 12, 1428. [Google Scholar] [CrossRef]
- Kunzmann, V.; Siveke, J.; Algul, H.; Goekkurt, E.; Siegler, G.; Martens, U.; Waldschmidt, D.; Pelzer, U.; Fuchs, M.; Kullmann, F.; et al. Nab-paclitaxel plus gemcitabine versus nab-paclitaxel plus gemcitabine followed by FOLFIRINOX induction chemotherapy in locally advanced pancreatic cancer (NEOLAP-AIO-PAK-0113): A multicenter, randomised, phase 2 trial. Lancet Gastroenterol. Hepatol. 2021, 6, 128–138. [Google Scholar] [CrossRef]
- National Comprehensive Cancer Network: National Comprehenive Cancer Network Clinical Practice Guidelines in Oncology (NCCN Guidelines®). Available online: http://www.nccn.org/professionals/physician_gls/f_guidelines.asp (accessed on 12 July 2016).
- Mataki, Y.; Kurahara, H.; Idichi, T.; Tanoue, K.; Hozaka, Y.; Kawasaki, Y.; Iino, S.; Maemura, K.; Shinchi, H.; Ohtuska, T. Clinical Benefits of Conversion Surgery for Unresectable Pancreatic Ductal Adenocarcinoma: A Single-Institution, Retrospective Analysis. Cancers 2021, 13, 1057. [Google Scholar] [CrossRef]
- Oettle, H.; Post, S.; Neuhaus, P.; Gellert, K.; Langrehr, J.; Ridwelski, K.; Schramm, H.; Fahlke, J.; Zuelke, C.; Burakart, C.; et al. Adjuvant chemotherapy with gemcitabine versus observation in patients undergoing curative-intent resection of pancreatic cancer: A randomized controlled trial. JAMA 2007, 297, 267–277. [Google Scholar] [CrossRef]
- Amano, H.; Miura, F.; Toyota, N.; Wada, K.; Katoh, K.; Hayano, K.; Kadowaki, S.; Shibuya, M.; Maeno, S.; Eguchi, T.; et al. Is pancreatectomy with arterial reconstruction a safe and useful procedure for locally advanced pancreatic cancer? J. Hepatobiliary Pancreat. Surg. 2009, 16, 850–857. [Google Scholar] [CrossRef]
- Yekebas, E.F.; Bogoevski, D.; Cataldegirmen, G.; Kunze, C.; Marx, A.; Vashist, Y.K.; Schurr, P.G.; Liebl, L.; Thieltges, S.; Karim, T.; et al. En bloc vascular resection for locally advanced pancreatic malignancies infiltrating major blood vessels: Perioperative outcome and long-term survival in 136 patients. Ann. Surg. 2008, 247, 300–309. [Google Scholar] [CrossRef]
- Loos, M.; Kester, T.; Klaiber, U.; Mihaljevic, A.L.; Mehrabi, A.; Muller-Stich, B.M.; Diener, M.K.; Scheider, M.A.; Berchtold, C.; Hinz, U.; et al. Arterial resection in pancreatic cancer surgery, effective after a learning curve. Ann. Surg. 2022, 275, 759–768. [Google Scholar] [CrossRef]
- Hashimoto, D.; Mizuma, M.; Kumamaru, H.; Miyata, H.; Chikamoto, A.; Igarashi, H.; Itoi, T.; Egawa, S.; Kodama, Y.; Satoi, S.; et al. Risk model for severe postoperative complications after total pancreatectomy based on a nationwide clinical database. Br. J. Surg. 2020, 107, 734–742. [Google Scholar] [CrossRef] [PubMed]
- Inoue, Y.; Oba, A.; Ono, Y.; Sato, T.; Ito, H.; Takahashi, Y. Radical resection for locally advanced pancreatic cancers in the era of new neoadjuvant therapy-arterial resection, arterial divestment and total pancreatectomy. Cancers 2021, 13, 1818. [Google Scholar] [CrossRef] [PubMed]










| Case | 1 | 2 | 3 | 4 | 5 |
|---|---|---|---|---|---|
| operation | PD-CAR | TP-CAR+TG | TP-CAR+TG | PD-CAR | TP-CAR(spleen pres.) |
| NST | GnP | GS | GS | GnP | GnP |
| period of NST(day) | 125 | 153 | 142 | 226 | 255 |
| CA19-9 normalization | yes | yes | no | no | yes |
| RECIST | SD | PR | SD | SD | SD |
| operation time(m) | 505 | 345 | 732 | 451 | 522 |
| blood loss | 785 | 910 | 950 | 3117 | 2635 |
| arterial reconstruction | CA-RHA | CA-PHA | CA-RHA | CA-PHAand SpA (Y-graft) | CA-RHA, CA-SpA, CA-LGA |
| venous reconstruction | PV-SMV | PV-SMV | PV-SMV | PV-SMV | PV-SMV |
| histological stage | T3 | T4 | T4 | T4 | T4 |
| invade artery | CHA, SpA | CA, CHA, SpA | CA, CHA, SpA | CA, CHA, SpA | CA, CHA, SpA |
| histopathology | Mod > por | por | Mod > por | mod | Por > mod |
| Evans classification | lla | lla | l | l | lla |
| Radicality | R0 | R0 | R1 | R0 | R0 |
| AST/ALT POD0(U/L) | 939/954 | 702/717 | 17/17 | 242/152 | 68/55 |
| morbidity (C.D.) | no | no | no | Pneumonia(llla) | no |
| Hospital days post op. | 34 | 27 | 40 | 104 | 18 |
| Mortality | no | no | no | no | no |
| adjuvant | no | yes | yes | no | yes |
Disclaimer/Publisher’s Note: The statements, opinions and data contained in all publications are solely those of the individual author(s) and contributor(s) and not of MDPI and/or the editor(s). MDPI and/or the editor(s) disclaim responsibility for any injury to people or property resulting from any ideas, methods, instructions or products referred to in the content. |
© 2024 by the authors. Licensee MDPI, Basel, Switzerland. This article is an open access article distributed under the terms and conditions of the Creative Commons Attribution (CC BY) license (https://creativecommons.org/licenses/by/4.0/).
Share and Cite
Mizutani, S.; Taniai, N.; Sukegawa, M.; Haruna, T.; Furuki, H.; Takata, H.; Ueda, J.; Yoshioka, M.; Aimoto, T.; Sakamoto, S.; et al. Pancreatectomy with Celiac Axis Resection and Reconstruction for Locally Advanced Pancreatic Cancer. Cancers 2024, 16, 4115. https://doi.org/10.3390/cancers16234115
Mizutani S, Taniai N, Sukegawa M, Haruna T, Furuki H, Takata H, Ueda J, Yoshioka M, Aimoto T, Sakamoto S, et al. Pancreatectomy with Celiac Axis Resection and Reconstruction for Locally Advanced Pancreatic Cancer. Cancers. 2024; 16(23):4115. https://doi.org/10.3390/cancers16234115
Chicago/Turabian StyleMizutani, Satoshi, Nobuhiko Taniai, Makoto Sukegawa, Takahiro Haruna, Hiroyasu Furuki, Hideyuki Takata, Junji Ueda, Masato Yoshioka, Takayuki Aimoto, Shunichiro Sakamoto, and et al. 2024. "Pancreatectomy with Celiac Axis Resection and Reconstruction for Locally Advanced Pancreatic Cancer" Cancers 16, no. 23: 4115. https://doi.org/10.3390/cancers16234115
APA StyleMizutani, S., Taniai, N., Sukegawa, M., Haruna, T., Furuki, H., Takata, H., Ueda, J., Yoshioka, M., Aimoto, T., Sakamoto, S., Suzuki, K., Nakamura, Y., & Yoshida, H. (2024). Pancreatectomy with Celiac Axis Resection and Reconstruction for Locally Advanced Pancreatic Cancer. Cancers, 16(23), 4115. https://doi.org/10.3390/cancers16234115

