Impact of Radiation on Invasion and Migration of Glioma In Vitro and In Vivo
Simple Summary
Abstract
1. Introduction
2. Radiation-Induced Changes in the GBM Microenvironment
2.1. Radiation Impact to Cellular Components
2.2. Radiation Impact to Tumor Vasculature
2.3. Radiation Impact to Noncellular Components
3. The Impact of Radiation on GBM Cell Motility In Vitro
3.1. In Vitro Models
3.2. Molecular Mechanisms
3.2.1. MET Oncogene
3.2.2. Notch Signaling Pathway
3.2.3. Cathepsins
3.2.4. DNA-PKcs
3.2.5. Integrins
3.2.6. MMPs
3.2.7. Receptor Tyrosine Kinases
3.2.8. Calcium-Activated Potassium Channels
3.2.9. miRNAs
3.2.10. JNK and p38 MAPK Signaling
3.2.11. MDA-9/Syntenin
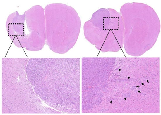
4. Radiation-Induced GBM Invasion In Vivo
5. Limitations of the In Vitro and In Vivo Studies
6. Effect of Other Types of Ionizing Radiation on Migration and Invasion of GBM
7. Pharmacological Approaches Targeting Basal and Radiation-Induced Migration/Invasion
7.1. Basal Migration/Invasion
7.2. Radiation-Induced Migration/Invasion
8. Conclusions
Author Contributions
Funding
Conflicts of Interest
References
- Schaff, L.R.; Mellinghoff, I.K. Glioblastoma and Other Primary Brain Malignancies in Adults: A Review. Am. Med. Assoc. 2023, 329, 574–587. [Google Scholar] [CrossRef] [PubMed]
- Grochans, S.; Cybulska, A.M.; Simińska, D.; Korbecki, J.; Kojder, K.; Chlubek, D.; Baranowska-Bosiacka, I. Epidemiology of Glioblastoma Multiforme–Literature Review. Cancers 2022, 14, 2412. [Google Scholar] [CrossRef]
- Rong, L.; Li, N.; Zhang, Z. Emerging therapies for glioblastoma: Current state and future directions. J. Exp. Clin. Cancer Res. 2022, 41, 142. [Google Scholar] [CrossRef] [PubMed]
- Cofano, F.; Bianconi, A.; De Marco, R.; Consoli, E.; Zeppa, P.; Bruno, F.; Pellerino, A.; Panico, F.; Salvati, L.F.; Rizzo, F.; et al. The Impact of Lateral Ventricular Opening in the Resection of Newly Diagnosed High-Grade Gliomas: A Single Center Experience. Cancers 2024, 16, 1574. [Google Scholar] [CrossRef]
- Knisely, J.P.; Fine, H.A. Reirradiation for Recurrent Glioblastoma: What We Know and What We Do Not. J. Clin. Oncol. 2023, 41, 1183–1188. [Google Scholar] [CrossRef]
- Seker-Polat, F.; Degirmenci, N.P.; Solaroglu, I.; Bagci-Onder, T. Tumor Cell Infiltration into the Brain in Glioblastoma: From Mechanisms to Clinical Perspectives. Cancers 2022, 14, 443. [Google Scholar] [CrossRef] [PubMed]
- Erices, J.I.; Bizama, C.; Niechi, I.; Uribe, D.; Rosales, A.; Fabres, K.; Navarro-Martínez, G.; Torres, Á.; Martín, R.S.; Roa, J.C.; et al. Glioblastoma Microenvironment and Invasiveness: New Insights and Therapeutic Targets. Int. J. Mol. Sci. 2023, 24, 7047. [Google Scholar] [CrossRef]
- Nørøxe, D.S.; Poulsen, H.S.; Lassen, U. Hallmarks of glioblastoma: A systematic review. ESMO Open 2016, 1, e000144. [Google Scholar] [CrossRef]
- Moncharmont, C.; Levy, A.; Guy, J.-B.; Falk, A.T.; Guilbert, M.; Trone, J.-C.; Alphonse, G.; Gilormini, M.; Ardail, D.; Toillon, R.-A.; et al. Radiation-enhanced cell migration/invasion process: A review. Crit. Rev. Oncol. 2014, 92, 133–142. [Google Scholar] [CrossRef]
- Gupta, K.; Burns, T.C. Radiation-induced alterations in the recurrent glioblastoma microenvironment: Therapeutic implications. Front. Oncol. 2018, 8, 503. [Google Scholar] [CrossRef]
- Tirosh, I.; Suvà, M.L. Tackling the Many Facets of Glioblastoma Heterogeneity. Cell Stem Cell 2020, 26, 303–304. [Google Scholar] [CrossRef] [PubMed]
- Lin, H.; Liu, C.; Hu, A.; Zhang, D.; Yang, H.; Mao, Y. Understanding the immunosuppressive microenvironment of glioma: Mechanistic insights and clinical perspectives. J. Hematol. Oncol. 2024, 17, 31. [Google Scholar] [CrossRef] [PubMed]
- Brown, N.F.; Carter, T.J.; Ottaviani, D.; Mulholland, P. Harnessing the immune system in glioblastoma. Br. J. Cancer 2018, 119, 1171–1181. [Google Scholar] [CrossRef] [PubMed]
- Lerouge, L.; Ruch, A.; Pierson, J.; Thomas, N.; Barberi-Heyob, M. Non-targeted effects of radiation therapy for glioblastoma. Heliyon 2024, 10, e30813. [Google Scholar] [CrossRef]
- Sharma, P.; Aaroe, A.; Liang, J.; Puduvalli, V.K. Tumor microenvironment in glioblastoma: Current and emerging concepts. Neuro-Oncol. Adv. 2023, 5, vdad009. [Google Scholar] [CrossRef]
- Watson, S.S.; Duc, B.; Kang, Z.; de Tonnac, A.; Eling, N.; Font, L.; Whitmarsh, T.; Massara, M.; iMAXT Consortium; Joyce, J.A.; et al. Microenvironmental reorganization in brain tumors following radiotherapy and recurrence revealed by hyperplexed immunofluorescence imaging. Nat. Commun. 2024, 15, 3226. [Google Scholar] [CrossRef] [PubMed]
- Brandao, M.; Simon, T.; Critchley, G.; Giamas, G. Astrocytes, the rising stars of the glioblastoma microenvironment. Glia 2018, 67, 779–790. [Google Scholar] [CrossRef]
- Berg, T.J.; Pietras, A. Radiotherapy-induced remodeling of the tumor microenvironment by stromal cells. Semin. Cancer Biol. 2022, 86, 846–856. [Google Scholar] [CrossRef]
- Pacheco, C.; Martins, C.; Monteiro, J.; Baltazar, F.; Costa, B.M.; Sarmento, B. Glioblastoma Vasculature: From its Critical Role in Tumor Survival to Relevant in Vitro Modelling. Front. Drug Deliv. 2022, 2, 823412. [Google Scholar] [CrossRef]
- Zhang, A.B.; Mozaffari, K.; Aguirre, B.; Li, V.; Kubba, R.; Desai, N.C.; Wei, D.; Yang, I.; Wadehra, M. Exploring the Past, Present, and Future of Anti-Angiogenic Therapy in Glioblastoma. Cancers 2023, 15, 830. [Google Scholar] [CrossRef]
- Deshors, P.; Toulas, C.; Arnauduc, F.; Malric, L.; Siegfried, A.; Nicaise, Y.; Lemarié, A.; Larrieu, D.; Tosolini, M.; Moyal, E.C.-J.; et al. Ionizing radiation induces endothelial transdifferentiation of glioblastoma stem-like cells through the Tie2 signaling pathway. Cell Death Dis. 2019, 10, 816. [Google Scholar] [CrossRef] [PubMed]
- Muthukrishnan, S.D.; Kawaguchi, R.; Nair, P.; Prasad, R.; Qin, Y.; Johnson, M.; Kornblum, H.I. Radiation-induced reprogramming drives glioma vascular transdifferentiation and tumor recurrence. bioRxiv 2021. [Google Scholar] [CrossRef]
- Seo, Y.-S.; Ko, I.O.; Park, H.; Jeong, Y.J.; Park, J.-A.; Kim, K.S.; Park, M.-J.; Lee, H.-J. Radiation-Induced Changes in Tumor Vessels and Microenvironment Contribute to Therapeutic Resistance in Glioblastoma. Front. Oncol. 2019, 9, 1259. [Google Scholar] [CrossRef] [PubMed]
- Chédeville, A.L.; Madureira, P.A. The role of hypoxia in glioblastoma radiotherapy resistance. Cancers 2021, 13, 542. [Google Scholar] [CrossRef]
- Monteiro, A.R.; Hill, R.; Pilkington, G.J.; Madureira, P.A. The role of hypoxia in glioblastoma invasion. Cells 2017, 6, 45. [Google Scholar] [CrossRef]
- Kramer, N.; Walzl, A.; Unger, C.; Rosner, M.; Krupitza, G.; Hengstschläger, M.; Dolznig, H. In vitro cell migration and invasion assays. Mutat. Res. Mol. Mech. Mutagen. 2012, 752, 10–24. [Google Scholar] [CrossRef]
- Vollmann-Zwerenz, A.; Leidgens, V.; Feliciello, G.; Klein, C.A.; Hau, P. Tumor cell invasion in glioblastoma. Int. J. Mol. Sci. 2020, 21, 1932. [Google Scholar] [CrossRef]
- Justus, C.R.; Leffler, N.; Ruiz-Echevarria, M.; Yang, L.V. In vitro cell migration and invasion assays. J. Vis. Exp. 2014, 88, e51046. [Google Scholar] [CrossRef]
- Pijuan, J.; Barceló, C.; Moreno, D.F.; Maiques, O.; Sisó, P.; Marti, R.M.; Macià, A.; Panosa, A. In vitro cell migration, invasion, and adhesion assays: From cell imaging to data analysis. Front. Cell Dev. Biol. 2019, 7, 107. [Google Scholar] [CrossRef]
- Eke, I.; Storch, K.; Kästner, I.; Vehlow, A.; Faethe, C.; Mueller-Klieser, W.; Taucher-Scholz, G.; Temme, A.; Schackert, G.; Cordes, N. Three-dimensional invasion of human glioblastoma cells remains unchanged by X-ray and carbon ion irradiation in vitro. Int. J. Radiat. Oncol. 2012, 84, e515–e523. [Google Scholar] [CrossRef]
- Nakamura, J.L.; Haas-Kogan, D.A.; Pieper, R.O. Glioma Invasiveness Responds Variably to Irradiation in a Co-Culture Model. Int. J. Radiat. Oncol. 2007, 69, 880–886. [Google Scholar] [CrossRef] [PubMed]
- De Bacco, F.; Luraghi, P.; Medico, E.; Reato, G.; Girolami, F.; Perera, T.; Gabriele, P.; Comoglio, P.M.; Boccaccio, C. Induction of MET by ionizing radiation and its role in radioresistance and invasive growth of cancer. JNCI J. Natl. Cancer Inst. 2011, 103, 645–666. [Google Scholar] [CrossRef] [PubMed]
- Kumar, V.; Vashishta, M.; Kong, L.; Lu, J.J.; Wu, X.; Dwarakanath, B.S.; Guha, C. Carbon Ion Irradiation Downregulates Notch Signaling in Glioma Cell Lines, Impacting Cell Migration and Spheroid Formation. Cells 2022, 11, 3354. [Google Scholar] [CrossRef]
- Vashishta, M.; Kumar, V.; Guha, C.; Wu, X.; Dwarakanath, B.S. Enhanced Glycolysis Confers Resistance Against Photon but Not Carbon Ion Irradiation in Human Glioma Cell Lines. Cancer Manag. Res. 2023, 15, 1–16. [Google Scholar] [CrossRef] [PubMed]
- Xiong, Y.; Ji, W.; Fei, Y.; Zhao, Y.; Wang, L.; Wang, W.; Han, M.; Tan, C.; Fei, X.; Huang, Q.; et al. Cathepsin L is involved in X-ray-induced invasion and migration of human glioma U251 cells. Cell. Signal. 2016, 29, 181–191. [Google Scholar] [CrossRef]
- Liu, X.; Wang, Q.; Liu, B.; Zheng, X.; Li, P.; Zhao, T.; Jin, X.; Ye, F.; Zhang, P.; Chen, W.; et al. Genistein inhibits radiation-induced invasion and migration of glioblastoma cells by blocking the DNA-PKcs/Akt2/Rac1 signaling pathway. Radiother. Oncol. 2020, 155, 93–104. [Google Scholar] [CrossRef]
- Stransky, N.; Ganser, K.; Quintanilla-Martinez, L.; Gonzalez-Menendez, I.; Naumann, U.; Eckert, F.; Koch, P.; Huber, S.M.; Ruth, P. Efficacy of combined tumor irradiation and KCa3.1-targeting with TRAM-34 in a syngeneic glioma mouse model. Sci. Rep. 2023, 13, 20604. [Google Scholar] [CrossRef]
- Hartmann, S.; Günther, N.; Biehl, M.; Katzer, A.; Kuger, S.; Worschech, E.; Sukhorukov, V.L.; Krohne, G.; Zimmermann, H.; Flentje, M.; et al. Hsp90 inhibition by NVP-AUY922 and NVP-BEP800 decreases migration and invasion of irradiated normoxic and hypoxic tumor cell lines. Cancer Lett. 2013, 331, 200–210. [Google Scholar] [CrossRef]
- Steinle, M.; Palme, D.; Misovic, M.; Rudner, J.; Dittmann, K.; Lukowski, R.; Ruth, P.; Huber, S.M. Ionizing radiation induces migration of glioblastoma cells by activating BK K + channels. Radiother. Oncol. 2011, 101, 122–126. [Google Scholar] [CrossRef]
- Rieken, S.; Habermehl, D.; Wuerth, L.; Brons, S.; Mohr, A.; Lindel, K.; Weber, K.; Haberer, T.; Debus, J.; Combs, S.E. Carbon ion irradiation inhibits glioma cell migration through downregulation of integrin expression. Int. J. Radiat. Oncol. 2011, 83, 394–399. [Google Scholar] [CrossRef]
- Kil, W.J.; Tofilon, P.J.; Camphausen, K. Post-radiation increase in VEGF enhances glioma cell motility in vitro. Radiat. Oncol. 2012, 7, 25. [Google Scholar] [CrossRef] [PubMed]
- D’alessandro, G.; Monaco, L.; Catacuzzeno, L.; Antonangeli, F.; Santoro, A.; Esposito, V.; Franciolini, F.; Wulff, H.; Limatola, C. Radiation increases functional KCa3.1 expression and invasiveness in glioblastoma. Cancers 2019, 11, 279. [Google Scholar] [CrossRef] [PubMed]
- Zhai, G.G.; Malhotra, R.; Delaney, M.; Latham, D.; Nestler, U.; Zhang, M.; Mukherjee, N.; Song, Q.; Robe, P.; Chakravarti, A. Radiation enhances the invasive potential of primary glioblastoma cells via activation of the Rho signaling pathway. J. Neuro-Oncol. 2005, 76, 227–237. [Google Scholar] [CrossRef]
- Goetze, K.; Scholz, M.; Taucher-Scholz, G.; Mueller-Klieser, W. The impact of conventional and heavy ion irradiation on tumor cell migration in vitro. Int. J. Radiat. Biol. 2007, 83, 889–896. [Google Scholar] [CrossRef] [PubMed]
- Zhen, L.; Li, J.; Zhang, M.; Yang, K. MiR-10b decreases sensitivity of glioblastoma cells to radiation by targeting AKT. J. Biol. Res. 2016, 23, 14. [Google Scholar] [CrossRef]
- Krcek, R.; Matschke, V.; Theis, V.; Adamietz, I.A.; Bühler, H.; Theiss, C. Vascular endothelial growth factor, irradiation, and axitinib have diverse effects on motility and proliferation of glioblastoma multiforme cells. Front. Oncol. 2017, 7, 182. [Google Scholar] [CrossRef]
- Kouam, P.N.; Rezniczek, G.A.; Kochanneck, A.; Priesch-Grzeszkowiak, B.; Hero, T.; Adamietz, I.A.; Bühler, H. Robo1 and vimentin regulate radiation-induced motility of human glioblastoma cells. PLoS ONE 2018, 13, e0198508. [Google Scholar] [CrossRef]
- Wild-Bode, C.; Weller, M.; Rimner, A.; Dichgans, J.; Wick, W. Sublethal Irradiation Promotes Migration and Invasiveness of Glioma Cells: Implications for Radiotherapy of Human Glioblastoma. Cancer Res. 2001, 61, 2744–2750. Available online: http://aacrjournals.org/cancerres/article-pdf/61/6/2744/3253099/ch060102744p.pdf (accessed on 28 April 2024).
- Badiga, A.V.; Chetty, C.; Kesanakurti, D.; Are, D.; Gujrati, M.; Klopfenstein, J.D.; Dinh, D.H.; Rao, J.S. MMP-2 siRNA inhibits radiation-enhanced invasiveness in glioma cells. PLoS ONE 2011, 6, e20614. [Google Scholar] [CrossRef]
- Fehlauer, F.; Muench, M.; Richter, E.; Rades, D. The inhibition of proliferation and migration of glioma spheroids exposed to temozolomide is less than additive if combined with irradiation. Oncol. Rep. 2007, 17, 941–945. Available online: http://www.ncbi.nlm.nih.gov/pubmed/17342340 (accessed on 28 April 2024). [CrossRef]
- Gliemroth, J.; Feyerabend, T.; Gerlach, C.; Arnold, H.; Terzis, A.J.A. Proliferation, migration, and invasion of human glioma cells exposed to fractionated radiotherapy in vitro. Neurosurg. Rev. 2003, 26, 198–205. [Google Scholar] [CrossRef] [PubMed]
- Kegelman, T.P.; Wu, B.; Das, S.K.; Talukdar, S.; Beckta, J.M.; Hu, B.; Emdad, L.; Valerie, K.; Sarkar, D.; Furnari, F.B.; et al. Inhibition of radiation-induced glioblastoma invasion by genetic and pharmacological targeting of MDA-9/Syntenin. Proc. Natl. Acad. Sci. USA 2016, 114, 370–375. [Google Scholar] [CrossRef] [PubMed]
- Wank, M.; Schilling, D.; Reindl, J.; Meyer, B.; Gempt, J.; Motov, S.; Alexander, F.; Wilkens, J.J.; Schlegel, J.; Schmid, T.E.; et al. Evaluation of radiation-related invasion in primary patient-derived glioma cells and validation with established cell lines: Impact of different radiation qualities with differing LET. J. Neuro-Oncol. 2018, 139, 583–590. [Google Scholar] [CrossRef] [PubMed]
- Furmanova-Hollenstein, P.; Broggini-Tenzer, A.; Eggel, M.; Millard, A.-L.; Pruschy, M. The microtubule stabilizer patupilone counteracts ionizing radiation-induced matrix metalloproteinase activity and tumor cell invasion. Radiat. Oncol. 2013, 8, 105. Available online: http://www.ro-journal.com/content/8/1/105 (accessed on 28 April 2024). [CrossRef]
- Dong, Z.; Zhou, L.; Han, N.; Zhang, M.; Lyu, X. Wnt/β-catenin pathway involvement in ionizing radiation-induced invasion of U87 glioblastoma cells. Strahlenther. Onkol. 2015, 191, 672–680. [Google Scholar] [CrossRef]
- Park, C.-M.; Park, M.-J.; Kwak, H.-J.; Lee, H.-C.; Kim, M.-S.; Lee, S.-H.; Park, I.-C.; Rhee, C.H.; Hong, S.-I. Ionizing radiation enhances matrix metalloproteinase-2 secretion and invasion of glioma cells through Src/epidermal growth factor receptor-mediated p38/Akt and phosphatidylinositol 3-kinase/Akt signaling pathways. Cancer Res. 2006, 66, 8511–8519. [Google Scholar] [CrossRef]
- Wank, M.; Schilling, D.; Schmid, T.E.; Meyer, B.; Gempt, J.; Barz, M.; Schlegel, J.; Liesche, F.; Kessel, K.A.; Wiestler, B.; et al. Human glioma migration and infiltration properties as a target for personalized radiation medicine. Cancers 2018, 10, 456. [Google Scholar] [CrossRef]
- Cordes, N.; Hansmeier, B.; Beinke, C.; Meineke, V.; van Beuningen, D. Irradiation differentially affects substratum-dependent survival, adhesion, and invasion of glioblastoma cell lines. Br. J. Cancer 2003, 89, 2122–2132. [Google Scholar] [CrossRef]
- Cheng, F.; Guo, D. MET in glioma: Signaling pathways and targeted therapies. J. Exp. Clin. Cancer Res. 2019, 38, 1–13. [Google Scholar] [CrossRef]
- Shi, Q.; Xue, C.; Zeng, Y.; Yuan, X.; Chu, Q.; Jiang, S.; Wang, J.; Zhang, Y.; Zhu, D.; Li, L. Notch signaling pathway in cancer: From mechanistic insights to targeted therapies. Signal Transduct. Target. Ther. 2024, 9, 128. [Google Scholar] [CrossRef]
- Wang, S.; Gu, S.; Chen, J.; Yuan, Z.; Liang, P.; Cui, H. Mechanism of Notch Signaling Pathway in Malignant Progression of Glioblastoma and Targeted Therapy. Biomolecules 2024, 14, 480. [Google Scholar] [CrossRef] [PubMed]
- Akil, A.; Gutiérrez-García, A.K.; Guenter, R.; Rose, J.B.; Beck, A.W.; Chen, H.; Ren, B. Notch Signaling in Vascular Endothelial Cells, Angiogenesis, and Tumor Progression: An Update and Prospective. Front. Cell Dev. Biol. 2021, 9, 642352. [Google Scholar] [CrossRef] [PubMed]
- XDing, X.; Zhang, C.; Chen, H.; Ren, M.; Liu, X. Cathepsins Trigger Cell Death and Regulate Radioresistance in Glioblastoma. Cells 2022, 11, 4108. [Google Scholar] [CrossRef]
- Camfield, S.; Chakraborty, S.; Dwivedi, S.K.D.; Pramanik, P.K.; Mukherjee, P.; Bhattacharya, R. Secrets of DNA-PKcs beyond DNA repair. npj Precis. Oncol. 2024, 8, 154. [Google Scholar] [CrossRef]
- Malric, L.; Monferran, S.; Gilhodes, J.; Boyrie, S.; Dahan, P.; Skuli, N.; Sesen, J.; Filleron, T.; Kowalski-Chauvel, A.; Moyal, E.C.-J.; et al. Interest of integrins targeting in glioblastoma according to tumor heterogeneity and cancer stem cell paradigm: An update. Oncotarget 2017, 8, 86947–86968. Available online: www.impactjournals.com/oncotarget/ (accessed on 28 April 2024). [CrossRef] [PubMed]
- Echavidre, W.; Picco, V.; Faraggi, M.; Montemagno, C. Integrin-αvβ3 as a Therapeutic Target in Glioblastoma: Back to the Future? Pharmaceutics 2022, 14, 1053. [Google Scholar] [CrossRef]
- Zhou, W.; Yu, X.; Sun, S.; Zhang, X.; Yang, W.; Zhang, J.; Zhang, X.; Jiang, Z. Increased expression of MMP-2 and MMP-9 indicates poor prognosis in glioma recurrence. Biomed. Pharmacother. 2019, 118, 109369. [Google Scholar] [CrossRef]
- Kesanakurti, D.; Chetty, C.; Dinh, D.H.; Gujrati, M.; Rao, J.S. Role of MMP-2 in the regulation of IL-6/Stat3 survival signaling via interaction with α5β1 integrin in glioma. Oncogene 2012, 32, 327–340. [Google Scholar] [CrossRef]
- Tirrò, E.; Massimino, M.; Romano, C.; Martorana, F.; Pennisi, M.S.; Stella, S.; Pavone, G.; Di Gregorio, S.; Puma, A.; Tomarchio, C.; et al. Prognostic and Therapeutic Roles of the Insulin Growth Factor System in Glioblastoma. Front. Oncol. 2021, 10, 612385. [Google Scholar] [CrossRef]
- Ezzati, S.; Salib, S.; Balasubramaniam, M.; Aboud, O. Epidermal Growth Factor Receptor Inhibitors in Glioblastoma: Current Status and Future Possibilities. Int. J. Mol. Sci. 2024, 25, 2316. [Google Scholar] [CrossRef]
- Oprita, A.; Baloi, S.-C.; Staicu, G.-A.; Alexandru, O.; Tache, D.E.; Danoiu, S.; Micu, E.S.; Sevastre, A.-S. Updated insights on EGFR signaling pathways in glioma. Int. J. Mol. Sci. 2021, 22, 587. [Google Scholar] [CrossRef] [PubMed]
- Brandalise, F.; Ratto, D.; Leone, R.; Olivero, F.; Roda, E.; Locatelli, C.A.; Bottone, M.G.; Rossi, P. Deeper and Deeper on the Role of BK and Kir4.1 Channels in Glioblastoma Invasiveness: A Novel Summative Mechanism? Front. Neurosci. 2020, 14, 595664. [Google Scholar] [CrossRef] [PubMed]
- Gabriely, G.; Yi, M.; Narayan, R.S.; Niers, J.M.; Wurdinger, T.; Imitola, J.; Ligon, K.L.; Kesari, S.; Esau, C.; Stephens, R.M.; et al. Human glioma growth is controlled by microRNA-10b. Cancer Res. 2011, 71, 3563–3572. [Google Scholar] [CrossRef] [PubMed]
- Chen, M.; Kim, B.; Robertson, N.; Mondal, S.K.; Medarova, Z.; Moore, A. Co-administration of temozolomide (TMZ) and the experimental therapeutic targeting miR-10b, profoundly affects the tumorigenic phenotype of human glioblastoma cells. Front. Mol. Biosci. 2023, 10, 1179343. [Google Scholar] [CrossRef]
- Chen, X.; Hao, A.; Li, X.; Ye, K.; Zhao, C.; Yang, H.; Ma, H.; Hu, L.; Zhao, Z.; Hu, L.; et al. Activation of JNK and p38 MAPK mediated by ZDHHC17 drives glioblastoma multiforme development and malignant progression. Theranostics 2020, 10, 998–1015. [Google Scholar] [CrossRef]
- Kegelman, T.P.; Das, S.K.; Hu, B.; Bacolod, M.D.; Fuller, C.E.; Menezes, M.E.; Emdad, L.; Dasgupta, S.; Baldwin, A.S.; Bruce, J.N.; et al. MDA-9/syntenin is a key regulator of glioma pathogenesis. Neuro-Oncology 2013, 16, 50–61. [Google Scholar] [CrossRef]
- Sahu, U.; Barth, R.F.; Otani, Y.; McCormack, R.; Kaur, B. Rat and Mouse Brain Tumor Models for Experimental Neuro-Oncology Research. J. Neuropathol. Exp. Neurol. 2022, 81, 312–329. [Google Scholar] [CrossRef]
- Tabatabai, G.; Frank, B.; Möhle, R.; Weller, M.; Wick, W. Irradiation and hypoxia promote homing of haematopoietic progenitor cells towards gliomas by TGF-β-dependent HIF-1α-mediated induction of CXCL12. Brain 2006, 129, 2426–2435. [Google Scholar] [CrossRef]
- Desmarais, G.; Fortin, D.; Bujold, R.; Wagner, R.; Mathieu, D.; Paquette, B. Infiltration of glioma cells in brain parenchyma stimulated by radiation in the F98/Fischer rat model. Int. J. Radiat. Biol. 2012, 88, 565–574. [Google Scholar] [CrossRef]
- Wang, S.-C.; Yu, C.-F.; Hong, J.-H.; Tsai, C.-S.; Chiang, C.-S. Radiation Therapy-Induced Tumor Invasiveness Is Associated with SDF-1-Regulated Macrophage Mobilization and Vasculogenesis. PLoS ONE 2013, 8, e69182. [Google Scholar] [CrossRef]
- Shankar, A.; Kumar, S.; Iskander, A.; Varma, N.R.; Janic, B.; Decarvalho, A.; Mikkelsen, T.; Frank, J.A.; Ali, M.M.; Knight, R.A.; et al. Subcurative radiation significantly increases cell proliferation, invasion, and migration of primary glioblastoma multiforme in vivo. Chin. J. Cancer 2014, 33, 148–158. [Google Scholar] [CrossRef] [PubMed]
- Pei, J.; Park, I.-H.; Ryu, H.-H.; Li, S.-Y.; Li, C.-H.; Lim, S.-H.; Wen, M.; Jang, W.-Y.; Jung, S. Sublethal dose of irradiation enhances invasion of malignant glioma cells through p53-MMP 2 pathway in U87MG mouse brain tumor model. Radiat. Oncol. 2015, 10, 164. [Google Scholar] [CrossRef]
- Edalat, L.; Stegen, B.; Klumpp, L.; Haehl, E.; Schilbach, K.; Lukowski, R.; Kühnle, M.; Bernhardt, G.; Buschauer, A.; Zips, D.; et al. BK K+ channel blockade inhibits radiation-induced migration/brain infiltration of glioblastoma cells. Oncotarget 2016, 7, 14259–14278. [Google Scholar] [CrossRef]
- Birch, J.L.; Strathdee, K.; Gilmour, L.; Vallatos, A.; McDonald, L.; Kouzeli, A.; Vasan, R.; Qaisi, A.H.; Croft, D.R.; Crighton, D.; et al. A novel small-molecule inhibitor of MRCK prevents radiation-driven invasion in glioblastoma. Cancer Res. 2018, 78, 6509–6522. [Google Scholar] [CrossRef]
- Zhang, X.; Wang, X.; Xu, R.; Ji, J.; Xu, Y.; Han, M.; Wei, Y.; Huang, B.; Chen, A.; Zhang, Q.; et al. YM155 decreases radiation-induced invasion and reverses epithelial-mesenchymal transition by targeting STAT3 in glioblastoma. J. Transl. Med. 2018, 16, 79. [Google Scholar] [CrossRef]
- Blaes, J.; Thomé, C.M.; Pfenning, P.-N.; Rübmann, P.; Sahm, F.; Wick, A.; Bunse, T.; Schmenger, T.; Sykora, J.; von Deimling, A.; et al. Inhibition of CD95/CD95L (FAS/FASLG) Signaling with APG101 prevents invasion and enhances radiation therapy for glioblastoma. Mol. Cancer Res. 2018, 16, 767–776. [Google Scholar] [CrossRef] [PubMed]
- Tsuji, Y.; Nonoguchi, N.; Okuzaki, D.; Wada, Y.; Motooka, D.; Hirota, Y.; Toho, T.; Yoshikawa, N.; Furuse, M.; Kawabata, S.; et al. Chronic pathophysiological changes in the normal brain parenchyma caused by radiotherapy accelerate glioma progression. Sci. Rep. 2021, 11, 1. [Google Scholar] [CrossRef] [PubMed]
- Das, S.K.; Maji, S.; Wechman, S.L.; Bhoopathi, P.; Pradhan, A.K.; Talukdar, S.; Sarkar, D.; Landry, J.; Guo, C.; Wang, X.-Y.; et al. MDA-9/Syntenin (SDCBP): Novel gene and therapeutic target for cancer metastasis. Pharmacol. Res. 2020, 155, 104695. [Google Scholar] [CrossRef]
- Perrin, S.L.; Samuel, M.S.; Koszyca, B.; Brown, M.P.; Ebert, L.M.; Oksdath, M.; Gomez, G.A. Glioblastoma heterogeneity and the tumour microenvironment: Implications for preclinical research and development of new treatments. Biochem. Soc. Trans. 2019, 47, 625–638. [Google Scholar] [CrossRef]
- Krieger, T.G.; Tirier, S.M.; Park, J.; Jechow, K.; Eisemann, T.; Peterziel, H.; Angel, P.; Eils, R.; Conrad, C. Modeling glioblastoma invasion using human brain organoids and single-cell transcriptomics. Neuro Oncol. 2020, 22, 1138–1149. [Google Scholar] [CrossRef]
- Chen, C.-C.; Li, H.-W.; Wang, Y.-L.; Lee, C.-C.; Shen, Y.-C.; Lin, H.-L.; Chen, X.-X.; Cho, D.-Y.; Hsieh, C.-L.; Guo, J.-H.; et al. Patient-derived tumor organoids as a platform of precision treatment for malignant brain tumors. Sci. Rep. 2022, 12, 1–10. [Google Scholar] [CrossRef] [PubMed]
- Stamm, A.; Reimers, K.; Strauß, S.; Vogt, P.; Scheper, T.; Pepelanova, I. In vitro wound healing assays—State of the art. BioNanoMaterials 2016, 17, 79–87. [Google Scholar] [CrossRef]
- Goertzen, C.; Eymael, D.; Magalhaes, M. Three-Dimensional Quantification of Spheroid Degradation-Dependent Invasion and Invadopodia Formation. Biol. Proced. Online 2018, 20, 20. [Google Scholar] [CrossRef]
- Lenting, K.; Verhaak, R.; ter Laan, M.; Wesseling, P.; Leenders, W. Glioma: Experimental models and reality. Acta Neuropathol. 2017, 133, 263–282. [Google Scholar] [CrossRef]
- Zaboronok, A.; Isobe, T.; Yamamoto, T.; Sato, E.; Takada, K.; Sakae, T.; Tsurushima, H.; Matsumura, A. Proton beam irradiation stimulates migration and invasion of human U87 malignant glioma cells. J. Radiat. Res. 2013, 55, 283–287. [Google Scholar] [CrossRef][Green Version]
- Oishi, T.; Koizumi, S.; Kurozumi, K. Molecular Mechanisms and Clinical Challenges of Glioma Invasion. Brain Sci. 2022, 12, 291. [Google Scholar] [CrossRef]
- De Fazio, E.; Pittarello, M.; Gans, A.; Ghosh, B.; Slika, H.; Alimonti, P.; Tyler, B. Intrinsic and Microenvironmental Drivers of Glioblastoma Invasion. Int. J. Mol. Sci. 2024, 25, 2563. [Google Scholar] [CrossRef] [PubMed]
- Stupp, R.; Hegi, M.E.; Gorlia, T.; Erridge, S.C.; Perry, J.; Hong, Y.-K.; Aldape, K.D.; Lhermitte, B.; Pietsch, T.; Grujicic, D.; et al. Cilengitide combined with standard treatment for patients with newly diagnosed glioblastoma with methylated MGMT promoter (CENTRIC EORTC 26071-22072 study): A multicentre, randomised, open-label, phase 3 trial. Lancet Oncol. 2014, 15, 1100–1108. [Google Scholar] [CrossRef] [PubMed]
- Peereboom, D.M.; Ye, X.; Mikkelsen, T.; Lesser, G.J.; Lieberman, F.S.; Robins, H.I.; Ahluwalia, M.S.; Sloan, A.E.; Grossman, S.A. A Phase II and Pharmacodynamic Trial of RO4929097 for Patients with Recurrent/Progressive Glioblastoma. Neurosurgery 2021, 88, 246–251. [Google Scholar] [CrossRef]
- Wick, A.; Desjardins, A.; Suarez, C.; Forsyth, P.; Gueorguieva, I.; Burkholder, T.; Cleverly, A.L.; Estrem, S.T.; Wang, S.; Lahn, M.M.; et al. Phase 1b/2a study of galunisertib, a small molecule inhibitor of transforming growth factor-beta receptor I, in combination with standard temozolomide-based radiochemotherapy in patients with newly diagnosed malignant glioma. Investig. New Drugs 2020, 38, 1570–1579. [Google Scholar] [CrossRef]
- Barrette, A.M.; Ronk, H.; Joshi, T.; Mussa, Z.; Mehrotra, M.; Bouras, A.; Nudelman, G.; Raj, J.G.J.; Bozec, D.; Lam, W.; et al. Anti-invasive efficacy and survival benefit of the YAP-TEAD inhibitor verteporfin in preclinical glioblastoma models. Neuro-Oncology 2021, 24, 694–707. [Google Scholar] [CrossRef] [PubMed]
- Read, R.D. Repurposing the drug verteporfin as anti-neoplastic therapy for glioblastoma. Neuro-Oncology 2022, 24, 708–710. [Google Scholar] [CrossRef] [PubMed]
- Whitehead, C.A.; Nguyen, H.P.T.; Morokoff, A.P.; Luwor, R.B.; Paradiso, L.; Kaye, A.H.; Mantamadiotis, T.; Stylli, S.S. Inhibition of Radiation and Temozolomide-Induced Invadopodia Activity in Glioma Cells Using FDA-Approved Drugs. Transl. Oncol. 2018, 11, 1406–1418. [Google Scholar] [CrossRef] [PubMed]
- Durand, M.; Chateau, A.; Jubréaux, J.; Devy, J.; Paquot, H.; Laurent, G.; Bazzi, R.; Roux, S.; Richet, N.; Reinhard-Ruch, A.; et al. Radiosensitization with Gadolinium Chelate-Coated Gold Nanoparticles Prevents Aggressiveness and Invasiveness in Glioblastoma. Int. J. Nanomed. 2023, 18, 243–261. [Google Scholar] [CrossRef]
- Linder, S.; Cervero, P.; Eddy, R.; Condeelis, J. Mechanisms and roles of podosomes and invadopodia. Nat. Rev. Mol. Cell Biol. 2022, 24, 86–106. [Google Scholar] [CrossRef]
- Mao, L.; Whitehead, C.A.; Paradiso, L.; Kaye, A.H.; Morokoff, A.P.; Luwor, R.B.; Stylli, S.S. Enhancement of invadopodia activity in glioma cells by sublethal doses of irradiation and temozolomide. J. Neurosurg. 2018, 129, 598–610. [Google Scholar] [CrossRef]
- Dinevska, M.; Gazibegovic, N.; Morokoff, A.P.; Kaye, A.H.; Drummond, K.J.; Mantamadiotis, T.; Stylli, S.S. Inhibition of radiation and temozolomide-induced glioblastoma invadopodia activity using ion channel drugs. Cancers 2020, 12, 2888. [Google Scholar] [CrossRef]
- Wick, W.; Fricke, H.; Junge, K.; Kobyakov, G.; Martens, T.; Heese, O.; Wiestler, B.; Schliesser, M.G.; von Deimling, A.; Pichler, J.; et al. A phase II, randomized, study of weekly APG101+reirradiation versus reirradiation in progressive glioblastoma. Clin. Cancer Res. 2014, 20, 6304–6313. [Google Scholar] [CrossRef]
- Vilalta, M.; Rafat, M.; Graves, E.E. Effects of radiation on metastasis and tumor cell migration. Cell. Mol. Life Sci. 2016, 73, 2999–3007. [Google Scholar] [CrossRef]



| Cell Lines * | Dose | Migration Outcome | Type of Assay | Evaluation Time | Molecular Findings | Reference |
|---|---|---|---|---|---|---|
| U251 | 10 Gy | Increased | Scratch | 24 h | Increased expression of MET oncogene after RT | [32] |
| U251, LN229 | 2, 4 Gy | Increased | Scratch | 24 h | Upregulation of Notch signaling after RT | [33] |
| U251, LN229 | 2, 4, 8 Gy | Increased | Scratch | 18 h | - | [34] |
| U251 | 8 Gy | Increased | Scratch | 24 h | Enhanced cathepsin L expression after RT | [35] |
| M059K and M059J | 2.46 Gy and 1.57 Gy *** | Increased for M059K, no effect for M059J | Scratch | 24 h | Enhanced migration of DNA-PKcs-positive (M059K) but not DNA-PKcs-negative (M059J) cells after RT | [36] |
| SMA-560 (murine glioma) | 2 Gy | No effect ** | Scratch and transwell migration | 8 and 24 h (wound healing), 16 h (transwell migration) | - | [37] |
| SNB19 | 2, 8 Gy | Decreasing tendency | Scratch assay and transwell migration | 24 h | - | [38] |
| T89G, U87 | 2 Gy | Increased * | Transwell migration | Every 15 min | Activation of BK channels after RT | [39] |
| U87, LN229 | 2, 10 Gy | Increased * | Transwell migration | 5 h | Increase in expression levels of ανβ3 and ανβ5 integrins after RT | [40] |
| U251 | Conditioned medium of cells irradiated with 2 Gy and kept for 72 h | Increased | Transwell migration | 22 h | Increased VEGF levels after RT | [41] |
| GL-15 | 35 Gy | Increased | Transwell migration | 4 h | Increased expression of invasion-related genes (CXCL12, CXCR4, MMP2, MMP9, MMP12, EGFR, KCNN4, AP-1, ATF2, EGR3, REST) and KCA3.1 channels after RT | [42] |
| UN3, GM2 (primary human GBM) | Doses up to 8 Gy | Increased up to 6 Gy, decreased at 8 Gy | Transwell migration | 48 h | Reduction in motility potential when inhibiting IGFR-1 signaling pathway upon RT exposure | [43] |
| U87 | 1, 3, 10 Gy | Increased (1 and 3 Gy), slightly decreased (10 Gy) | Transwell migration | 24 h | Trend of increased expression of β3 and β1 integrin after RT | [44] |
| A172, LN229 | 5 Gy | Decreased | Transwell migration | 18 h | MiR-10b enhances migration in presence of irradiation | [45] |
| U251, U373 | 2 Gy | Increased | Time-lapse videography | 24 h | Increase in VEGF secretion after RTfor U373, no change for U251; synergistic effect between VEGF exposition and irradiation on migration velocity of U373 | [46] |
| U-373 MG, U-87 MG | 0.5, 2, 8 Gy | Increased for U-373 MG, no effect for U-87 MG | Time-lapse videography | 24 h | Overexpression of Robo1 and Slit2 correlates with reduced motility Enhanced vimentin expression after RT | [47] |
| U87, U138, A172, LN229 | 6 Gy | No effect | Spheroid migration | Up to 50 h | Inhibition of β1 integrin diminished cell migration for both irradiated and non-irradiated cells | [30] |
| LN18, LN229, U87 | 3 Gy | Increased | Spheroid migration | Every 24 h for 4 days | Enhanced ανβ3 integrin expression after RT | [48] |
| U251, U87 | 8 Gy | Increasing tendency | Spheroid migration | 24 h | Enhanced MMP-2 expression after RT; MMP-2 inhibition led to reduced migration | [49] |
| GaMg, U87 | 5, 10 Gy | Decreased | Spheroid migration | Every 24 h for 4 days | - | [50] |
| GaMg, U87 | Ranging from 10 to 60 Gy (Fractionated) | Decreased | Spheroid migration | Every 24 h for 4 days | - | [51] |
| Cell Lines * | Dose | Invasion Outcome ** | Evaluation Time | Molecular Findings | Reference |
|---|---|---|---|---|---|
| U251 | 10 Gy | Increased | 24 h | Increased expression of MET oncogene after RT | [32] |
| U251, LN18 | Conditioned medium of cells irradiated with 2 Gy and kept for 72 h | Increased | 22 h | Increased VEGF levels after RT | [41] |
| U87, U251, and T98G | 5 Gy | Increased | 18–24 h | Inhibition of the invasive behavior after RT by a MDA-9/Systenin inhibitor | [52] |
| M059K and M059J | 2.46 Gy and 1.57 Gy *** | Increased for M059K, no effect for M059J | 24 h | Enhanced invasion of DNA-PKcs-positive (M059K) but not DNA-PKcs-negative (M059J) cells after RT | [36] |
| LN229, LN18 and U87 | 4 Gy | Increased for LN229 and U87, decreased for LN18 | 24 h | - | [53] |
| 3 primary GBM cell lines and GL-15 | 35 Gy | Increased | 24 h | Inhibition of the potassium channel KCa3.1 activity reduced the irradiation induced invasion | [42] |
| LN18, LN229, U87 | 1, 3, 6 Gy | Increased in a dose-dependent manner | 24 h | Enhanced ανβ3 integrin expression after RT | [48] |
| UN3, GM2 (primary human GBM) | 0–8 Gy | Increased until 6 Gy | 48 h | Inhibition of EGFR, IGFR-1, PI-3K, and Rho signaling reduced the irradiation-induced invasion | [43] |
| U251, U87 | 8 Gy | Increasing tendency | 24 h | Enhanced MMP-2 expression after RT; MMP-2 inhibition led to reduced invasion | [49] |
| U251 | 2 Gy | Increased | 24 h | Increased MMP activity after RT | [54] |
| U87 | 3 Gy | Increased | 20 h | Enhanced MMP-2, MMP-9, and VEGF expression after RT | [55] |
| U251, U373, LN18, LN428 | 1–5 Gy | Increased in cells lacking functional PTEN (U251 and U373) no effect in cells harboring WT-PTEN (LN18 and LN428) | 24 h | Enhanced MMP-2 secretion after RT in cells lacking functional PTEN, but not in cells harboring WT-PTEN | [56] |
| U251 | 8 Gy | Increased | 24 h | Enhanced cathepsin L expression after RT | [35] |
| 7 primary human GBM cell lines | 4 Gy | Increased in 3 cell lines, no effect on the others | 24 h | - | [57] |
| U87, U138, A172, LN229 | 6 Gy | No effect (spheroids embedded into a collagen type I matrix) | Up to 50 h | Inhibitors of JNK, PI3K, and p38 MAPK, significantly impaired invasive capacity | [30] |
| A172, LN229, LN18, U138 | 6 Gy | Decreased for A172, no effect to the others | 24 h | Increased β1- and β3-integrin cell surface expression and MMP-2 expression after RT; treatment with anti-β1, anti-β3, or MMP-2 inhibitor reduced the invasive potential | [58] |
| U87, A172, U373 and U251 | Up to 3 Gy | Slightly decreased for U251 at 1Gy, no effect to the others (co-culture assay, glioma invasion into a background of normal human astrocytes) | 96 h | Inhibition of MMP reduced U251 invasiveness | [31] |
| SNB19 | 2 Gy, 8 Gy | Decreased | 24 h | - | [38] |
| A172, LN229 | 5 Gy | Decreased | 18 h | MiR-10b enhances invasion in the presence of irradiation | [45] |
| Animal | Cell Line | Irradiation Dose | Histological Findings | Molecular Findings | Reference |
|---|---|---|---|---|---|
| Rats | 9L (rat glioma) | Cell pre-irradiation with 1 or 3 Gy | Increased invasive behavior for tumors growing from pre-irradiated cells | Increased MMP-2 and reduced TIMP-2 in tumors from pre-irradiated cells | [48] |
| Rats | 9L (rat glioma) | Cell pre-irradiation with 1 or 3 Gy | Increased invasive behavior for tumors growing from pre-irradiated cells | Cell pre-treatment with inhibitors of IGFR-1, PI-3K, and Rho significantly reduced irradiation mediated invasion | [43] |
| Mice | LNT-229 (human GBM) | Single fraction of 8 Gy to a 7 × 7 mm field 21 days after tumor implantation | Formation of cell satellites distant from the bulk tumor when tumor is irradiated | Increased MMP-9 and HIF-1α observed in irradiated tumors | [78] |
| Rats | F98 (rat glioma) | A total of 15 Gy, whole brain, 14 h prior to tumor implantation | Increased infiltrate surface of tumors and lower survival for animals with pre-irradiated brains | Increased TGF-b1; IL-1b; MMP-2; PGE2; PGD2; COX-2 in pre-irradiated brains | [79] |
| Mice | ALTS1C1 (mouse astrocytoma) | Single dose of either 8 Gy or 15 Gy to a 1 cm field 13 days after tumor implantation | Reduced tumor growth rate, but increased tumor invasiveness | Increased SDF-1 and HIF-1 on satellites of irradiated tumors | [80] |
| Rats | Primary patient-derived GBM cells | Single dose of 50 Gy to a target volume with 33mm radius on day 84 after tumor implantation | Increased proliferation and migratory/invasive behavior for irradiated tumors | Increased Ki-67; MMP-2, CD-44 in irradiated tumors | [81] |
| Mice | U87 (human GBM) (Bioluminescent) | Single dose of 6 Gy or five fractions of 2 Gy starting on day 14 after tumor implantation | Increased invasive behavior and higher number of tumor satellites when tumors were irradiated | No changes in MMP-2 between irradiated and control | [82] |
| Mice | U87MG-Katuska (human GBM) | Five fractions of 2 Gy starting on day 7 after tumor implantation | Increased infiltrative behavior for irradiated tumors | Upregulation of SDF-1, activation of BK channels after RT | [83] |
| Mice | U1242-luc cell (human GBM) | Four fractions of 2.5 Gy starting on day 11 after tumor implantation | Similar infiltrative behavior for control and irradiated groups. | Inhibition of the infiltrative behavior after RT by combination with an MDA-9/Systenin inhibitor | [52] |
| Mice | G7 (patient derived GBM cells) | Three fractions of 2 Gy to a 10 × 10 mm field 10–11 weeks post-tumor implantation | Increased infiltrative behavior for irradiated tumors | Inhibition of the infiltrative behavior after RT by combination with a MRCK inhibitor | [84] |
| Mice | U87 (human GBM) | Cell pre-irradiation (2.17 Gy) or, pre-irradiation plus genistein treatment | Increased invasive behavior for tumors growing from pre-irradiated cells | Cell pre-treatment with genistein blocks the DNA-PKcs/Akt2/Rac1 pathway, reducing irradiation-mediated invasion | [36] |
| Mice | U251 (human GBM) | Three fractions of 5 Gy to the pre-implanted tumor | Increased infiltrative behavior and more satellites for irradiated tumors | Increased expression of phospho-STAT3 (Ser727) and phospho-STAT3 (Tyr705) in irradiated tumors | [85] |
| Mice | SMA-560 (mouse glioma) | Single fraction of 6 Gy on day 4 after tumor implantation | Radiation-induced tumor satellite formation | Fewer tumor satellites when animals are treated with an inhibitor of CD95 ligand | [86] |
| Rats | F98 (rat glioma) | A total of 65 Gy to the right hemisphere 3 months prior to tumor implantation | Increased proliferation and invasiveness for tumors growing in pre-irradiated brains Lower survival for animals with tumors growing in pre-irradiated brains | Higher expressions of CXCL12, VEGF-A, TGF-β1, and TNFα in irradiated brain tissue Higher expression of CXCR4, FGF-2, and ERK2 in tumor cells growing in pre-irradiated brains | [87] |
| Mice | SMA-560 (mouse glioma) | Five fractions of 4 Gy to the right hemisphere 7 days after tumor implantation | Increased number of animals with satellite tumors when tumors were irradiated as compared to control group | No changes in abundance of Iba1+ or CD68+ reactive microglia and CD3+, CD8+ cytotoxic or FoxP3+ regulatory T cells between irradiated and control | [37] |
Disclaimer/Publisher’s Note: The statements, opinions and data contained in all publications are solely those of the individual author(s) and contributor(s) and not of MDPI and/or the editor(s). MDPI and/or the editor(s) disclaim responsibility for any injury to people or property resulting from any ideas, methods, instructions or products referred to in the content. |
© 2024 by the authors. Licensee MDPI, Basel, Switzerland. This article is an open access article distributed under the terms and conditions of the Creative Commons Attribution (CC BY) license (https://creativecommons.org/licenses/by/4.0/).
Share and Cite
Franco, M.S.; Raulefs, S.; Schilling, D.; Combs, S.E.; Schmid, T.E. Impact of Radiation on Invasion and Migration of Glioma In Vitro and In Vivo. Cancers 2024, 16, 3900. https://doi.org/10.3390/cancers16233900
Franco MS, Raulefs S, Schilling D, Combs SE, Schmid TE. Impact of Radiation on Invasion and Migration of Glioma In Vitro and In Vivo. Cancers. 2024; 16(23):3900. https://doi.org/10.3390/cancers16233900
Chicago/Turabian StyleFranco, Marina Santiago, Susanne Raulefs, Daniela Schilling, Stephanie E. Combs, and Thomas E. Schmid. 2024. "Impact of Radiation on Invasion and Migration of Glioma In Vitro and In Vivo" Cancers 16, no. 23: 3900. https://doi.org/10.3390/cancers16233900
APA StyleFranco, M. S., Raulefs, S., Schilling, D., Combs, S. E., & Schmid, T. E. (2024). Impact of Radiation on Invasion and Migration of Glioma In Vitro and In Vivo. Cancers, 16(23), 3900. https://doi.org/10.3390/cancers16233900

