Differences in Outcomes Based on the Degree to Which Bone Defects Are Filled with Cancellous Allochip Bone Grafts in Hand Enchondroma Patients
Simple Summary
Abstract
1. Introduction
2. Materials and Methods
2.1. Surgical Procedure and Rehabilitation
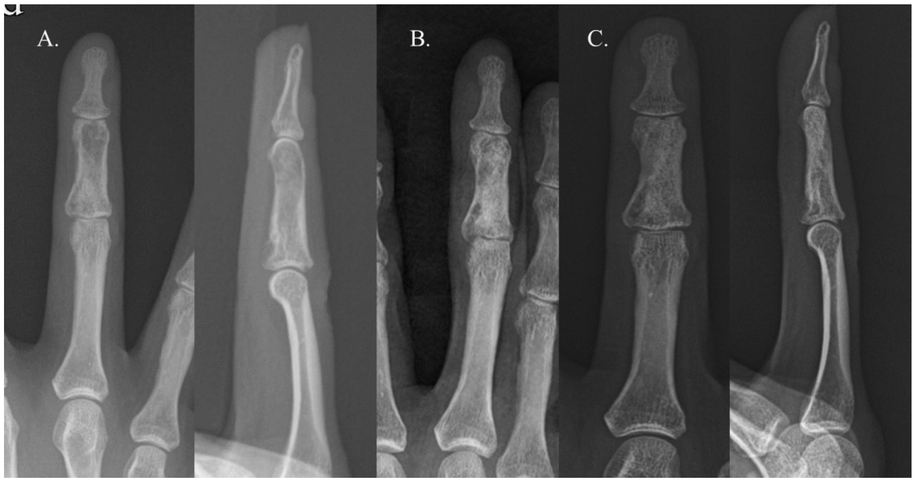
2.2. Radiographic Evaluation
2.3. Clinical Evaluation
2.4. Statistical Analysis
3. Results
4. Discussion
5. Conclusions
Author Contributions
Funding
Institutional Review Board Statement
Informed Consent Statement
Data Availability Statement
Conflicts of Interest
References
- Gaulke, R. The distribution of solitary enchondromata at the hand. J. Hand Surg. Br. Eur. Vol. 2002, 27, 444–445. [Google Scholar] [CrossRef] [PubMed]
- Sercan, Ç.; Ali, C.; Kutay, Y.; Tufan, K. Surgical Treatment of Solitary Enchondromas of the Hand. Cureus 2020, 12, e7497. [Google Scholar]
- Nazarova, N.Z.; Umarova, G.S.; Vaiman, M.; Asilova, S.U.; Abba, M.; Foonberg, M.; Shterenshis, M. The surgical management of the cavity and bone defects in enchondroma cases: A prospective randomized trial. Surg. Oncol. 2021, 37, 101565. [Google Scholar] [CrossRef]
- Goto, T.; Yokokura, S.; Kawano, H.; Yamamoto, A.; Matsuda, K.; Nakamura, K. Simple curettage without bone grafting for enchondromata of the hand: With special reference to replacement of the cortical window. J. Hand Surg. Br. 2002, 27, 446–451. [Google Scholar] [CrossRef]
- Redgrave, N.; Nikkhah, D.; Kang, N.; Toft, N. Surgical Management of Enchondromas of the Hand: A 12-Year Experience. J. Hand Microsurg. 2023, 15, 188–195. [Google Scholar] [CrossRef] [PubMed]
- Ciobanu, P.; Panuta, A.; Radu, I.; Forna, N.; Arcana, S.; Tudor, R.; Covaciu, A.; Niculescu, V.; Poroch, V.; Puha, B. Treatment of Bone Defects Resulted after Excision of Enchondroma of the Hand in 15 Patients, Comparing the Techniques of Autologous Bone Graft, Injectable Bone Substitute and Spontaneous Healing. Appl. Sci. 2022, 12, 1300. [Google Scholar] [CrossRef]
- Lubahn, J.D.; Bachoura, A. Enchondroma of the Hand: Evaluation and Management. J. Am. Acad. Orthop. Surg. 2016, 24, 625–633. [Google Scholar] [CrossRef] [PubMed]
- Gaulke, R.; Suppelna, G. Solitary enchondroma at the hand. Long-term follow-up study after operative treatment. J. Hand Surg. Br. 2004, 29, 64–66. [Google Scholar]
- Takigawa, K. Chondroma of the bones of the hand. A review of 110 cases. J. Bone Jt. Surg. Am. 1971, 53, 1591–1600. [Google Scholar] [CrossRef]
- Kuur, E.; Hansen, S.L.; Lindequist, S. Treatment of solitary enchondromas in fingers. J. Hand Surg. Br. 1989, 14, 109–112. [Google Scholar] [CrossRef]
- Bauer, R.D.; Lewis, M.M.; Posner, M.A. Treatment of enchondromas of the hand with allograft bone. J. Hand Surg. Am. 1988, 13, 908–916. [Google Scholar] [CrossRef] [PubMed]
- Figl, M.; Leixnering, M. Retrospective review of outcome after surgical treatment of enchondromas in the hand. Arch. Orthop. Trauma Surg. 2009, 129, 729–734. [Google Scholar] [CrossRef] [PubMed]
- Hasselgren, G.; Forssblad, P.; Törnvall, A. Bone grafting unnecessary in the treatment of enchondromas in the hand. J. Hand Surg. Am. 1991, 16, 139–142. [Google Scholar] [CrossRef] [PubMed]
- Wu, P.K.; Chen, C.F.; Chen, C.M.; Tsai, S.W.; Cheng, Y.C.; Chang, M.C.; Chen, W.M. Grafting for bone defects after curettage of benign bone tumor—Analysis of factors influencing the bone healing. J. Chin. Med. Assoc. JCMA 2018, 81, 643–648. [Google Scholar] [CrossRef] [PubMed]
- Park, H.Y.; Joo, M.W.; Choi, Y.H.; Chung, Y.G.; Park, C.J. Simple curettage and allogeneic cancellous bone chip impaction grafting in solitary enchondroma of the short tubular bones of the hand. Sci. Rep. 2023, 13, 2081. [Google Scholar] [CrossRef]
- Akoh, C.C.; Craig, E.; Troester, A.M.; Miller, B.J. Radiographic Enchondroma Surveillance: Assessing Clinical Outcomes and Costs Effectiveness. Iowa Orthop. J. 2019, 39, 185–193. [Google Scholar]
- Enneking, W.F.; Dunham, W.; Gebhardt, M.C.; Malawar, M.; Pritchard, D.J. A system for the functional evaluation of reconstructive procedures after surgical treatment of tumors of the musculoskeletal system. Clin. Orthop. Relat. Res. (1976–2007) 1993, 286, 241–246. [Google Scholar] [CrossRef]
- Sassoon, A.A.; Fitz-Gibbon, P.D.; Harmsen, W.S.; Moran, S.L. Enchondromas of the hand: Factors affecting recurrence, healing, motion, and malignant transformation. J. Hand Surg. Am. 2012, 37, 1229–1234. [Google Scholar] [CrossRef]
- Morii, T.; Mochizuki, K.; Tajima, T.; Satomi, K. Treatment outcome of enchondroma by simple curettage without augmentation. J. Orthop. Sci. 2010, 15, 112–117. [Google Scholar] [CrossRef]
- Schaller, P.; Baer, W. Operative treatment of enchondromas of the hand: Is cancellous bone grafting necessary? Scand. J. Plast. Reconstr. Surg. Hand Surg. 2009, 43, 279–285. [Google Scholar] [CrossRef]
- Yercan, H.; Ozalp, T.; Coskunol, E.; Ozdemir, O. Long-term results of autograft and allograft applications in hand enchondromas. Acta Orthop. Traumatol. Turc. 2004, 38, 337–342. [Google Scholar] [PubMed]
- Żyluk, A. Outcomes of Surgery for Enchondromas within the Hand. Ortop. Traumatol. Rehabil. 2021, 23, 325–334. [Google Scholar] [CrossRef] [PubMed]
- Huang, Y.C.; Chen, C.Y.; Lin, K.C.; Renn, J.H.; Tarng, Y.W.; Hsu, C.J.; Chang, W.N.; Yang, S.W. Comparing morbidities of bone graft harvesting from the anterior iliac crest and proximal tibia: A retrospective study. J. Orthop. Surg. Res. 2018, 13, 115. [Google Scholar] [CrossRef]
- Younger, E.M.; Chapman, M.W. Morbidity at bone graft donor sites. J. Orthop. Trauma 1989, 3, 192–195. [Google Scholar] [CrossRef]
- Shin, S.R.; Tornetta, P., III. Donor site morbidity after anterior iliac bone graft harvesting. J. Orthop. Trauma 2016, 30, 340–343. [Google Scholar]
- Bachoura, A.; Rice, I.S.; Lubahn, A.R.; Lubahn, J.D. The surgical management of hand enchondroma without postcurettage void augmentation: Authors’ experience and a systematic review. Hand 2015, 10, 461–471. [Google Scholar] [CrossRef]
- Hung, Y.W.; Ko, W.S.; Liu, W.H.; Chow, C.S.; Kwok, Y.Y.; Wong, C.W.; Tse, W.L.; Ho, P.C. Local review of treatment of hand enchondroma (artificial bone substitute versus autologous bone graft) in a tertiary referral centre: 13 years’ experience. Hong Kong Med. J. 2015, 21, 217–223. [Google Scholar] [CrossRef] [PubMed][Green Version]
- Orman, O.; Adiguzel, İ.F.; Sencan, A.; Baydar, M.; Orman, M.; Ozturk, A. Comparison of distal radius autograft technique with iliac crest autograft technique in solitary finger enchondromas. Med. Bull. Sisli Etfal Hosp. 2022, 56, 400. [Google Scholar]
- Graham, S.M.; Leonidou, A.; Aslam-Pervez, N.; Hamza, A.; Panteliadis, P.; Heliotis, M.; Mantaliris, A.; Tsiridis, E. Biological therapy of bone defects: The immunology of bone allo-transplantation. Expert Opin. Biol. Ther. 2010, 10, 885–901. [Google Scholar] [CrossRef]
- Lunde, K.B.; Foss, O.A.; Fosse, L.; Skallerud, B. Constitutive models for constrained compression of unimpacted and impacted human morselized bone grafts. J. Biomech. Eng. 2008, 130, 061014. [Google Scholar] [CrossRef]



| Group 1 (n = 35) | Group 2 (n = 24) | p-Value | |
|---|---|---|---|
| Preoperative TAM (degree) | 198.2 (78–250) | 197.6 (79–250) | 0.14 |
| TAM at 6 months post surgery (degree) | 239.2 (range, 210–250) | 238.9 (range, 210–250) | 0.16 |
Disclaimer/Publisher’s Note: The statements, opinions and data contained in all publications are solely those of the individual author(s) and contributor(s) and not of MDPI and/or the editor(s). MDPI and/or the editor(s) disclaim responsibility for any injury to people or property resulting from any ideas, methods, instructions or products referred to in the content. |
© 2024 by the authors. Licensee MDPI, Basel, Switzerland. This article is an open access article distributed under the terms and conditions of the Creative Commons Attribution (CC BY) license (https://creativecommons.org/licenses/by/4.0/).
Share and Cite
Kang, S.J.; Lim, J.-H.; Kim, C.W.; Kang, G.R.; Kim, S.; Jung, S.-T. Differences in Outcomes Based on the Degree to Which Bone Defects Are Filled with Cancellous Allochip Bone Grafts in Hand Enchondroma Patients. Cancers 2024, 16, 3811. https://doi.org/10.3390/cancers16223811
Kang SJ, Lim J-H, Kim CW, Kang GR, Kim S, Jung S-T. Differences in Outcomes Based on the Degree to Which Bone Defects Are Filled with Cancellous Allochip Bone Grafts in Hand Enchondroma Patients. Cancers. 2024; 16(22):3811. https://doi.org/10.3390/cancers16223811
Chicago/Turabian StyleKang, Sung Ju, Jun-Hyuk Lim, Chan Wi Kim, Gyo Rim Kang, Sungmin Kim, and Sung-Taek Jung. 2024. "Differences in Outcomes Based on the Degree to Which Bone Defects Are Filled with Cancellous Allochip Bone Grafts in Hand Enchondroma Patients" Cancers 16, no. 22: 3811. https://doi.org/10.3390/cancers16223811
APA StyleKang, S. J., Lim, J.-H., Kim, C. W., Kang, G. R., Kim, S., & Jung, S.-T. (2024). Differences in Outcomes Based on the Degree to Which Bone Defects Are Filled with Cancellous Allochip Bone Grafts in Hand Enchondroma Patients. Cancers, 16(22), 3811. https://doi.org/10.3390/cancers16223811

