Dynamic Contrast-Enhanced and Diffusion-Weighted Imaging in Magnetic Resonance in the Assessment of Peritoneal Recurrence of Ovarian Cancer in Patients with or Without BRCA Mutation
Simple Summary
Abstract
1. Introduction
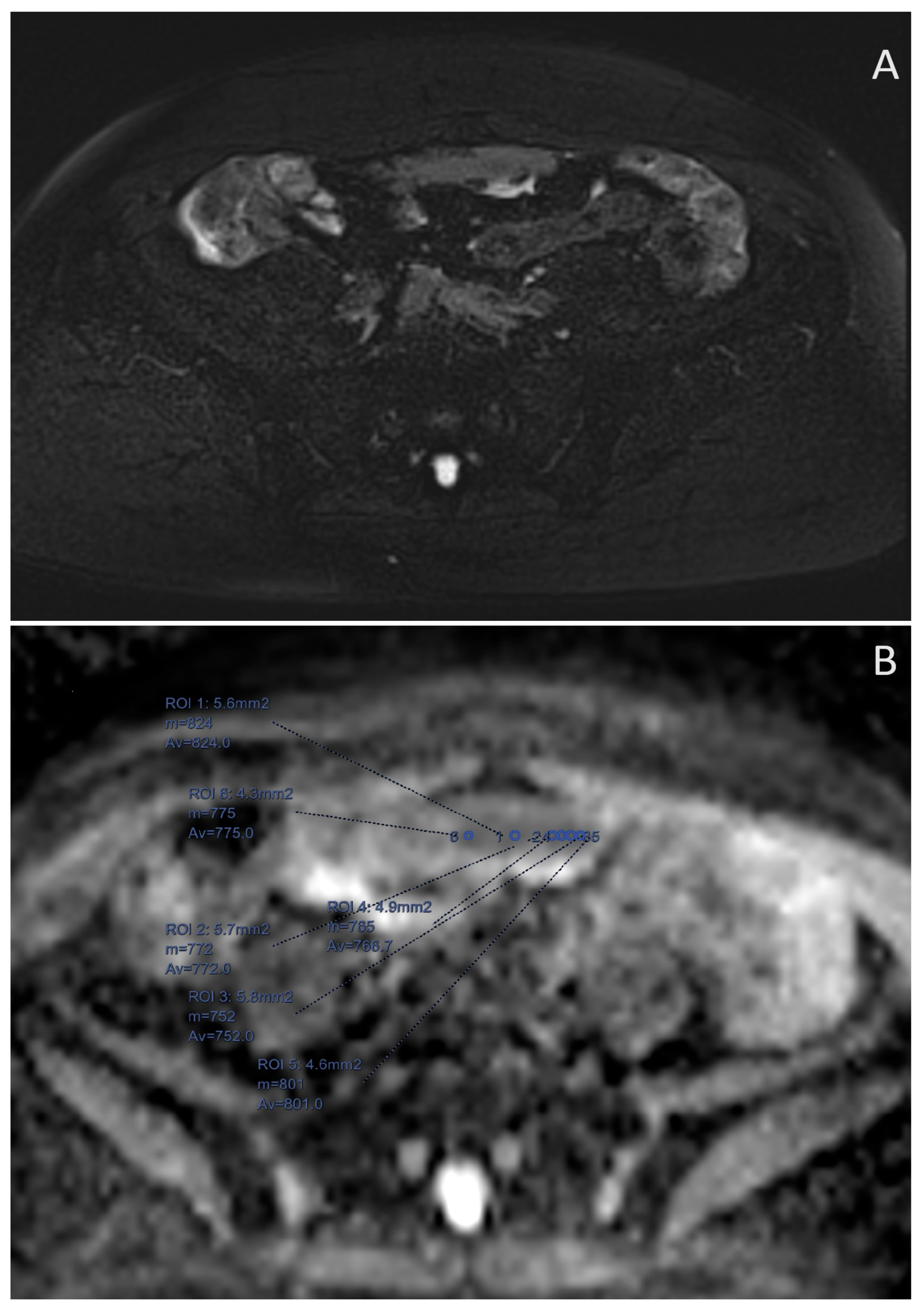
2. Materials and Methods
2.1. Study Protocol
2.2. Imaging Protocol
2.3. Statistical Analysis
3. Results
3.1. Statistical Analysis of the Selected Parameters
3.1.1. Categorizing Patients According to BRCA Mutation Status
3.1.2. Patient Categorization According to the Size of the Peritoneal Metastasis
3.2. Interobserver Agreement
4. Discussion
5. Conclusions
Author Contributions
Funding
Institutional Review Board Statement
Informed Consent Statement
Data Availability Statement
Conflicts of Interest
References
- Ledermann, J.A.; Raja, F.A.; Fotopoulou, C.; Gonzalez-Martin, A.; Colombo, N.; Sessa, C.; Group, E.G.W. Newly diagnosed and relapsed epithelial ovarian carcinoma: ESMO Clinical Practice Guidelines for diagnosis, treatment and follow-up. Ann. Oncol. 2013, 24 (Suppl. S6), vi24–vi32. [Google Scholar] [CrossRef] [PubMed]
- Torre, L.A.; Trabert, B.; DeSantis, C.E.; Miller, K.D.; Samimi, G.; Runowicz, C.D.; Gaudet, M.M.; Jemal, A.; Siegel, R.L. Ovarian cancer statistics, 2018. CA Cancer J. Clin. 2018, 68, 284–296. [Google Scholar] [CrossRef] [PubMed]
- Lisio, M.A.; Fu, L.; Goyeneche, A.; Gao, Z.H.; Telleria, C. High-Grade Serous Ovarian Cancer: Basic Sciences, Clinical and Therapeutic Standpoints. Int. J. Mol. Sci. 2019, 20, 952. [Google Scholar] [CrossRef] [PubMed]
- Piedimonte, S.; Power, J.; Foulkes, W.D.; Weber, E.; Palma, L.; Schiavi, A.; Ambrosio, E.; Konci, R.; Gilbert, L.; Jardon, K.; et al. BRCA testing in women with high-grade serous ovarian cancer: Gynecologic oncologist-initiated testing compared with genetics referral. Int. J. Gynecol. Cancer 2020, 30, 1757–1761. [Google Scholar] [CrossRef]
- Sioulas, V.D.; Schiavone, M.B.; Kadouri, D.; Zivanovic, O.; Roche, K.L.; O’Cearbhaill, R.; Abu-Rustum, N.R.; Levine, D.A.; Sonoda, Y.; Gardner, G.J.; et al. Optimal primary management of bulky stage IIIC ovarian, fallopian tube and peritoneal carcinoma: Are the only options complete gross resection at primary debulking surgery or neoadjuvant chemotherapy? Gynecol. Oncol. 2017, 145, 15–20. [Google Scholar] [CrossRef]
- Vergote, I.; Trope, C.G.; Amant, F.; Kristensen, G.B.; Ehlen, T.; Johnson, N.; Verheijen, R.H.; van der Burg, M.E.; Lacave, A.J.; Panici, P.B.; et al. Neoadjuvant chemotherapy or primary surgery in stage IIIC or IV ovarian cancer. N. Engl. J. Med. 2010, 363, 943–953. [Google Scholar] [CrossRef]
- Oza, A.M.; Cook, A.D.; Pfisterer, J.; Embleton, A.; Ledermann, J.A.; Pujade-Lauraine, E.; Kristensen, G.; Carey, M.S.; Beale, P.; Cervantes, A.; et al. Standard chemotherapy with or without bevacizumab for women with newly diagnosed ovarian cancer (ICON7): Overall survival results of a phase 3 randomised trial. Lancet Oncol. 2015, 16, 928–936. [Google Scholar] [CrossRef]
- Burger, R.A.; Brady, M.F.; Bookman, M.A.; Fleming, G.F.; Monk, B.J.; Huang, H.; Mannel, R.S.; Homesley, H.D.; Fowler, J.; Greer, B.E.; et al. Incorporation of bevacizumab in the primary treatment of ovarian cancer. N. Engl. J. Med. 2011, 365, 2473–2483. [Google Scholar] [CrossRef]
- DiSilvestro, P.; Banerjee, S.; Colombo, N.; Scambia, G.; Kim, B.G.; Oaknin, A.; Friedlander, M.; Lisyanskaya, A.; Floquet, A.; Leary, A.; et al. Overall survival with maintenance olaparib at a 7-year follow-up in patients with newly diagnosed advanced ovarian cancer and a BRCA mutation: The SOLO1/GOG 3004 trial. J. Clin. Oncol. 2022, 1, 609–617. [Google Scholar]
- Ray-Coquard, I.L.; Leary, A.; Pignata, S.; Cropet, C.; Martin, A.J.; Bogner, G.; Yoshida, H.; Vergote, I.B.; Colombo, N.; Maenpaa, J.; et al. LBA29 Final overall survival (OS) results from the phase III PAOLA-1/ENGOT-ov25 trial evaluating maintenance olaparib (ola) plus bevacizumab (bev) in patients (pts) with newly diagnosed advanced ovarian cancer (AOC). Ann. Oncol. 2022, 33, S1396–S1397. [Google Scholar] [CrossRef]
- Monk, B.J.; Parkinson, C.; Lim, M.C.; O’Malley, D.M.; Oaknin, A.; Wilson, M.K.; Coleman, R.L.; Lorusso, D.; Bessette, P.; Ghamande, S.; et al. A randomized, phase III trial to evaluate rucaparib monotherapy as maintenance Treatment in patients with newly diagnosed ovarian cancer (ATHENA-MONO/GOG-3020/ENGOT-ov45). J. Clin. Oncol. 2022, 40, 3952–3964. [Google Scholar] [CrossRef] [PubMed]
- Marchetti, C.; Ataseven, B.; Perrone, A.M.; Cassani, C.; Fruscio, R.; Sassu, C.M.; Apostol, A.I.; Harter, P.; De Iaco, P.; Camnasio, C.A.; et al. Clinical characteristics and survival outcome of early-stage, high-grade, serous tubo-ovarian carcinoma according to BRCA mutational status. Gynecol. Oncol. 2024, 187, 170–177. [Google Scholar] [CrossRef] [PubMed]
- Myhr, A.S.; Bjørge, L.; Torkildsen, C.F. Secondary Cytoreductive Surgery in Relapsed Platinum-Sensitive Epithelial Ovarian Cancer: A Systematic Review of Randomized Controlled Trials. Cancers 2024, 16, 2613. [Google Scholar] [CrossRef] [PubMed]
- Colombo, N.; Sessa, C.; du Bois, A.; Ledermann, J.; McCluggage, W.G.; McNeish, I.; Morice, P.; Pignata, S.; Ray-Coquard, I.; Vergote, I.; et al. ESMO-ESGO consensus conference recommendations on ovarian cancer: Pathology and molecular biology, early and advanced stages, borderline tumours and recurrent diseasedagger. Ann. Oncol. 2019, 30, 672–705. [Google Scholar] [CrossRef]
- Buechel, M.; Herzog, T.J.; Westin, S.N.; Coleman, R.L.; Monk, B.J.; Moore, K.N. Treatment of patients with recurrent epithelial ovarian cancer for whom platinum is still an option. Ann. Oncol. 2019, 30, 721–732. [Google Scholar] [CrossRef]
- Poveda, A.; Floquet, A.; Ledermann, J.A.; Asher, R.; Penson, R.T.; Oza, A.M.; Korach, J.; Huzarski, T.; Pignata, S.; Friedlander, M.; et al. Olaparib tablets as maintenance therapy in patients with platinum-sensitive relapsed ovarian cancer and a BRCA1/2 mutation (SOLO2/ENGOT-Ov21): A final analysis of a double-blind, randomised, placebo-controlled, phase 3 trial. Lancet Oncol. 2022, 22, 620–631. [Google Scholar] [CrossRef]
- Durán, M.A.M.; Mora, M.C.; Díaz, C.M.; Blanco, C.F.; Seoane, R.M.; Fernández, R.S.; García, E.R. Role and usefulness of mr imaging in the assessment of peritoneal carcinomatosis. Eur. J. Radiol. 2022, 156, 110519. [Google Scholar] [CrossRef]
- Manganaro, L.; Gigli, S.; Antonelli, A.; Saldari, M.; Tomao, F.; Marchetti, C.; Anastasi, E.; Laghi, A. Imaging strategy in recurrent ovarian cancer: A practical review. Abdom. Radiol. 2019, 44, 1091–1102. [Google Scholar] [CrossRef]
- Lindgren, A.; Anttila, M.; Rautiainen, S.; Arponen, O.; Kivela, A.; Makinen, P.; Harma, K.; Hamalainen, K.; Kosma, V.M.; Yla-Herttuala, S.; et al. Primary and metastatic ovarian cancer: Characterization by 3.0 T diffusion-weighted MRI. Eur. Radiol. 2017, 27, 4002–4012. [Google Scholar] [CrossRef]
- Liu, Z.L.; Chen, H.H.; Zheng, L.L.; Sun, L.P.; Shi, L. Angiogenic signaling pathways and anti-angiogenic therapy for cancer. Signal Transduct. Target. Ther. 2023, 8, 198. [Google Scholar] [CrossRef]
- Abe, M.; Shoji, T.; Chiba, Y.; Takatori, E.; Kaido, Y.; Nagasawa, T.; Kagabu, M.; Takahashi, F.; Aida, T.; Baba, T. Efficacy and Safety of Platinum-based Chemotherapy with Bevacizumab Followed by Bevacizumab Maintenance for Recurrent Ovarian, Fallopian Tube, and Primary Peritoneal Cancer During PARP Inhibitor Therapy: A Multicenter Retrospective Study. Anticancer Res. 2023, 43, 1265–1272. [Google Scholar] [CrossRef] [PubMed]
- Drew, Y.; Kim, J.W.; Penson, R.T.; O’Malley, D.M.; Parkinson, C.; Roxburgh, P.; Plummer, R.; Im, S.A.; Imbimbo, M.; Ferguson, M.; et al. Olaparib plus Durvalumab, with or without Bevacizumab, as Treatment in PARP Inhibitor-Naïve Platinum-Sensitive Relapsed Ovarian Cancer: A Phase II Multi-Cohort Study. Clin. Cancer Res. 2024, 30, 50–62. [Google Scholar] [CrossRef] [PubMed]
- Du, K.; Li, Q.; Huang, J.; Chan, D.W.; Li, J.; Chang, X.; Wang, H.; Tang, J.; Yang, Q. An increase of serum CA-125 to two times of nadir level strongly predicts the image-identified relapse of serous ovarian cancer. Sci. Rep. 2024, 14, 14986. [Google Scholar] [CrossRef] [PubMed]
- Piatek, S.; Panek, G.; Lewandowski, Z.; Bidzinski, M.; Piatek, D.; Kosinski, P.; Wielgos, M. Rising serum CA-125 levels within the normal range is strongly associated recurrence risk and survival of ovarian cancer. J. Ovarian Res. 2020, 13, 102. [Google Scholar] [CrossRef] [PubMed]
- Grabowska-Derlatka, L.; Derlatka, P.; Szeszkowski, W.; Cieszanowski, A. Diffusion-Weighted Imaging of Small Peritoneal Implants in “Potentially” Early-Stage Ovarian Cancer. Biomed. Res. Int. 2016, 2016, 9254742. [Google Scholar] [CrossRef][Green Version]
- Halaburda-Rola, M.; Grabowska-Derlatka, L.; Kraj, L.; Stec, R.; Derlatka, P. Evaluation of Selected MRI Parameters in the Differentiation of Mucinous Ovarian Carcinomas and Metastatic Ovarian Tumors. Cancers 2024, 16, 3569. [Google Scholar] [CrossRef]
- Li, H.M.; Zhang, R.; Gu, W.Y.; Zhao, S.H.; Lu, N.; Zhang, G.F.; Peng, W.J.; Qiang, J.W. Whole solid tumour volume histogram analysis of the apparent diffusion coefficient for differentiating high-grade from low-grade serous ovarian carcinoma: Correlation with Ki-67 proliferation status. Clin. Radiol. 2019, 74, 918–925. [Google Scholar] [CrossRef]
- Szadkowska, M.A.; Palucki, J.; Cieszanowski, A. Diagnosis and treatment of peritoneal carcinomatosis—A comprehensive overview. Pol. J. Radiol. 2023, 88, e89–e97. [Google Scholar] [CrossRef]
- Winfield, J.M.; Payne, G.S.; Weller, A.; deSouza, N.M. DCE-MRI, DW-MRI, and MRS in Cancer: Challenges and Advantages of Implementing Qualitative and Quantitative Multi-parametric Imaging in the Clinic. Top. Magn. Reson. Imaging 2016, 25, 245–254. [Google Scholar] [CrossRef]
- Li, H.M.; Tang, W.; Feng, F.; Zhao, S.H.; Gu, W.Y.; Zhang, G.F.; Qiang, J.W. Whole solid tumor volume histogram parameters for predicting the recurrence in patients with epithelial ovarian carcinoma: A feasibility study on quantitative DCE-MRI. Acta Radiol. 2020, 61, 1266–1276. [Google Scholar] [CrossRef]
- Zhao, J.; Kader, A.; Mangarova, D.B.; Brangsch, J.; Brenner, W.; Hamm, B.; Makowski, M.R. Dynamic Contrast-Enhanced MRI of Prostate Lesions of Simultaneous [(68)Ga]Ga-PSMA-11 PET/MRI: Comparison between Intraprostatic Lesions and Correlation between Perfusion Parameters. Cancers 2021, 13, 1404. [Google Scholar] [CrossRef] [PubMed]
- Li, H.M.; Qiang, J.W.; Ma, F.H.; Zhao, S.H. The value of dynamic contrast-enhanced MRI in characterizing complex ovarian tumors. J. Ovarian Res. 2017, 10, 4. [Google Scholar] [CrossRef] [PubMed]
- Sopo, M.; Anttila, M.; Hamalainen, K.; Kivela, A.; Yla-Herttuala, S.; Kosma, V.M.; Keski-Nisula, L.; Sallinen, H. Expression profiles of VEGF-A, VEGF-D and VEGFR1 are higher in distant metastases than in matched primary high grade epithelial ovarian cancer. BMC Cancer 2019, 19, 584. [Google Scholar] [CrossRef] [PubMed]
- Lindgren, A.; Anttila, M.; Arponen, O.; Rautiainen, S.; Könönen, M.; Vanninen, R.; Sallinen, H. Prognostic value of preoperative dynamic contrast-enhanced magnetic resonance imaging in epithelial ovarian cancer. Eur. J. Radiol. 2019, 115, 66–73. [Google Scholar] [CrossRef]
- Li, Z.; Zhao, Z.; Wang, C.; Wang, D.; Mao, H.; Liu, F.; Yang, Y.; Tao, F.; Lu, Z. Association Between DCE-MRI Per fusion Histogram Parameters and EGFR and VEGF Expressions in Different Lauren Classifications of Advanced Gastric Cancer. Pathol. Oncol. Res. 2021, 27, 1610001. [Google Scholar] [CrossRef]
- Lindgren, A.; Anttila, M.; Arponen, O.; Hamalainen, K.; Kononen, M.; Vanninen, R.; Sallinen, H. Dynamic contrast-enhanced MRI to characterize angiogenesis in primary epithelial ovarian cancer: An exploratory study. Eur. J. Radiol. 2023, 165, 110925. [Google Scholar] [CrossRef]
- Saida, T.; Shikama, A.; Mori, K.; Ishiguro, T.; Minaguchi, T.; Satoh, T.; Nakajima, T. Comparing Characteristics of Pelvic High-grade Serous Carcinomas with and without Breast Cancer Gene Variants on MR Imaging. Magn. Reson. Med. Sci. 2024, 23, 18–26. [Google Scholar] [CrossRef]
- Derlatka, P.; Grabowska-Derlatka, L.; Halaburda-Rola, M.; Szeszkowski, W.; Czajkowski, K. The Value of Magnetic Resonance Diffusion-Weighted Imaging and Dynamic Contrast Enhancement in the Diagnosis and Prognosis of Treatment Response in Patients with Epithelial Serous Ovarian Cancer. Cancers 2022, 14, 2464. [Google Scholar] [CrossRef]
- Ma, T.; Yang, S.; Jing, H.; Cong, L.; Cao, Z.; Liu, Z.; Huang, Z. Apparent diffusion coefficients in prostate cancer: Correlation with molecular markers Ki-67, HIF-1alpha and VEGF. NMR Biomed. 2018, 31, e3884. [Google Scholar] [CrossRef]
- Meng, X.; Li, H.; Kong, L.; Zhao, X.; Huang, Z.; Zhao, H.; Zhu, W.; Li, X.; Yu, J.; Xing, L. MRI In rectal cancer: Correlations between MRI features and molecular markers Ki-67, HIF-1alpha, and VEGF. J. Magn. Reson. Imaging 2016, 44, 594–600. [Google Scholar] [CrossRef]
- Jovic, A.; Fila, J.; Grsic, K.; Ivkic, M.; Ozretic, D. Diffusion-weighted MRI: Impact of the size of the ROI in detecting metastases in subcentimeter lymph nodes in head and neck squamous cell carcinoma. Neuroradiology 2020, 62, 987–994. [Google Scholar] [CrossRef] [PubMed]
- Eiber, M.; Beer, A.J.; Holzapfel, K.; Tauber, R.; Ganter, C.; Weirich, G.; Krause, B.J.; Rummeny, E.J.; Gaa, J. Preliminary results for characterization of pelvic lymph nodes in patients with prostate cancer by diffusion-weighted MR-imaging. Investig. Radiol. 2010, 45, 15–23. [Google Scholar] [CrossRef] [PubMed]
- Afaq, A.; Andreou, A.; Koh, D.M. Diffusion-weighted magnetic resonance imaging for tumour response assessment: Why, when and how? Cancer Imaging 2010, 10, S179–S188. [Google Scholar] [CrossRef] [PubMed]
- Mukuda, N.; Fujii, S.; Inoue, C.; Fukunaga, T.; Tanabe, Y.; Itamochi, H.; Ogawa, T. Apparent diffusion coefficient (ADC) measurement in ovarian tumor: Effect of region-of-interest methods on ADC values and diagnostic ability. J. Magn. Reson. Imaging 2016, 43, 720–725. [Google Scholar] [CrossRef]
- Reijonen, M.; Holopainen, E.; Arponen, O.; Kononen, M.; Vanninen, R.; Anttila, M.; Sallinen, H.; Rinta-Kiikka, I.; Lindgren, A. Neoadjuvant chemotherapy induces an elevation of tumour apparent diffusion coefficient values in patients with ovarian cancer. BMC Cancer 2023, 23, 299. [Google Scholar] [CrossRef]
- Duran, B.; Agridag Ucpinar, B. Four Different Apparent Diffusion Coefficient Measurement Methods in Breast Masses. J. Coll. Physicians Surg. Pak. 2021, 31, 1024–1029. [Google Scholar]
- Song, H.; Bak, S.; Kim, I.; Woo, J.Y.; Cho, E.J.; Choi, Y.J.; Rha, S.E.; Oh, S.A.; Youn, S.Y.; Lee, S.J. An application of machine learning that uses the magnetic resonance imaging metric, mean apparent diffusion coefficient, to differentiate between the histological types of ovarian cancer. J. Clin. Med. 2021, 11, 22. [Google Scholar] [CrossRef]




| Sequence | TE | TR | Flip Angle | Slice Thickness (mm) | FOV (mm) | Orientation | NEX | Breath Hold |
|---|---|---|---|---|---|---|---|---|
| T1 in and out phase | 1–2.22, 2–4.92 | 125 | 70 | 6 | 300 × 225 | axial | 1 | no |
| T2 TIRM | 89 | 4840 | 150 | 3 | 219 × 199 | axial | 2 | no |
| T2 TSE | 116 | 4250 | 137 | 3 | 299 × 286 | axial, coronal and sagittal | 1 | no |
| T2 fat sat Tra | 123 | 2110 | 150 | 3 | 300 × 300 | axial | 1 | no |
| DWI | 76 | 3200 | 90 | 6 | 289 × 234 | axial | 2 | no |
| Vibe T1 GRE | 1.1 | 3.1 | 10 | 3 | 288 × 156 | axial, sagittal and coronal | 1 | no |
| Variable | BRCAmut (n = 18) | BRCAwt (n = 25) Including 5 HRD Positive | p-Value |
|---|---|---|---|
| Age (avg ± sd) | 56.4 ± 9 | 56.6 ± 12.3 | 0.9 t |
| FIGO stage | 0.98 F | ||
| I | 2 | 3 | |
| II | 1 | 1 | |
| III | 14 | 19 | |
| IV | 1 | 2 | |
| First-line chemotherapy | 0.22 F | ||
| PCL + CBDCA | 18 | 23 | |
| CBDCA mono | 0 | 2 | |
| Maintenance treatment | 0.25 F | ||
| Bevacizumab | 0 | 5 | |
| PARP inhibitors | 14 (olaparib) | 15 (niraparib) | |
| BEV & PARPi | 1 | 1 | |
| other | 3 | 4 | |
| Treatment response | 0.47 F | ||
| Complete response | 17 | 22 | |
| Partial response | 1 | 3 |
| Characteristic | BRCAwt (N = 25) | BRCAmut (N = 18) | All Patients (N = 43) | p-Value |
|---|---|---|---|---|
| ADC | 788.7 ± 139.5 | 977.3 ± 103 | 867.7 ± 155.8 | <0.001 t |
| TTP | 256.3 ± 50 | 160 ± 35.5 | 216.2 ± 65 | <0.01 t |
| Perf. Max. En. | 148.6 ± 22.4 | 233.6 ± 29.2 | 184.2 ± 49.3 | <0.01 t |
| Size of the implants a | 0.01 F | |||
| <1 cm, n (%) | 6 (24%) | 12 (67%) | 18 (41%) | |
| >1 cm, <2 cm n (%) | 14 (56%) | 3 (17%) | 17 (40%) | |
| >2 cm, n (%) | 5 (20%) | 3 (17%) | 8 (19%) |
| Size of the Peritoneal Metastasis | |||||
|---|---|---|---|---|---|
| Characteristic | <1 cm (N = 18) | >1 cm, <2 cm (N = 17) | >2 cm (N = 8) | All Patients (N = 43) | p-Value |
| ADC | 956.6 ± 108.7 | 760.5 ± 108 | 895.3 ± 203 | 867.7 ± 155.8 | 0.0003 |
| Pairwise comparison | B | A | B | ||
| TTP | 203 ± 67.2 | 234.4 ± 57.5 | 207.6 ± 73.8 | 216.2 ± 65 | 0.3 |
| Perf. Max. En. | 196.3 ± 50.9 | 167.5 ± 48.2 | 192.5 ± 43 | 184.2 ± 49.3 | 0.2 |
| Parameter | ICC | 95% CI | p-Value |
|---|---|---|---|
| ADC | 0.98 | 0.96–0.99 | <0.01 |
| TTP | 0.95 | 0.91–0.97 | <0.01 |
Disclaimer/Publisher’s Note: The statements, opinions and data contained in all publications are solely those of the individual author(s) and contributor(s) and not of MDPI and/or the editor(s). MDPI and/or the editor(s) disclaim responsibility for any injury to people or property resulting from any ideas, methods, instructions or products referred to in the content. |
© 2024 by the authors. Licensee MDPI, Basel, Switzerland. This article is an open access article distributed under the terms and conditions of the Creative Commons Attribution (CC BY) license (https://creativecommons.org/licenses/by/4.0/).
Share and Cite
Jankowska-Lombarska, M.; Grabowska-Derlatka, L.; Kraj, L.; Derlatka, P. Dynamic Contrast-Enhanced and Diffusion-Weighted Imaging in Magnetic Resonance in the Assessment of Peritoneal Recurrence of Ovarian Cancer in Patients with or Without BRCA Mutation. Cancers 2024, 16, 3738. https://doi.org/10.3390/cancers16223738
Jankowska-Lombarska M, Grabowska-Derlatka L, Kraj L, Derlatka P. Dynamic Contrast-Enhanced and Diffusion-Weighted Imaging in Magnetic Resonance in the Assessment of Peritoneal Recurrence of Ovarian Cancer in Patients with or Without BRCA Mutation. Cancers. 2024; 16(22):3738. https://doi.org/10.3390/cancers16223738
Chicago/Turabian StyleJankowska-Lombarska, Melania, Laretta Grabowska-Derlatka, Leszek Kraj, and Pawel Derlatka. 2024. "Dynamic Contrast-Enhanced and Diffusion-Weighted Imaging in Magnetic Resonance in the Assessment of Peritoneal Recurrence of Ovarian Cancer in Patients with or Without BRCA Mutation" Cancers 16, no. 22: 3738. https://doi.org/10.3390/cancers16223738
APA StyleJankowska-Lombarska, M., Grabowska-Derlatka, L., Kraj, L., & Derlatka, P. (2024). Dynamic Contrast-Enhanced and Diffusion-Weighted Imaging in Magnetic Resonance in the Assessment of Peritoneal Recurrence of Ovarian Cancer in Patients with or Without BRCA Mutation. Cancers, 16(22), 3738. https://doi.org/10.3390/cancers16223738

