Correction: Regua et al. TrkA Interacts with and Phosphorylates STAT3 to Enhance Gene Transcription and Promote Breast Cancer Stem Cells in Triple-Negative and HER2-Enriched Breast Cancers. Cancers 2021, 13, 2340
Error in Figure
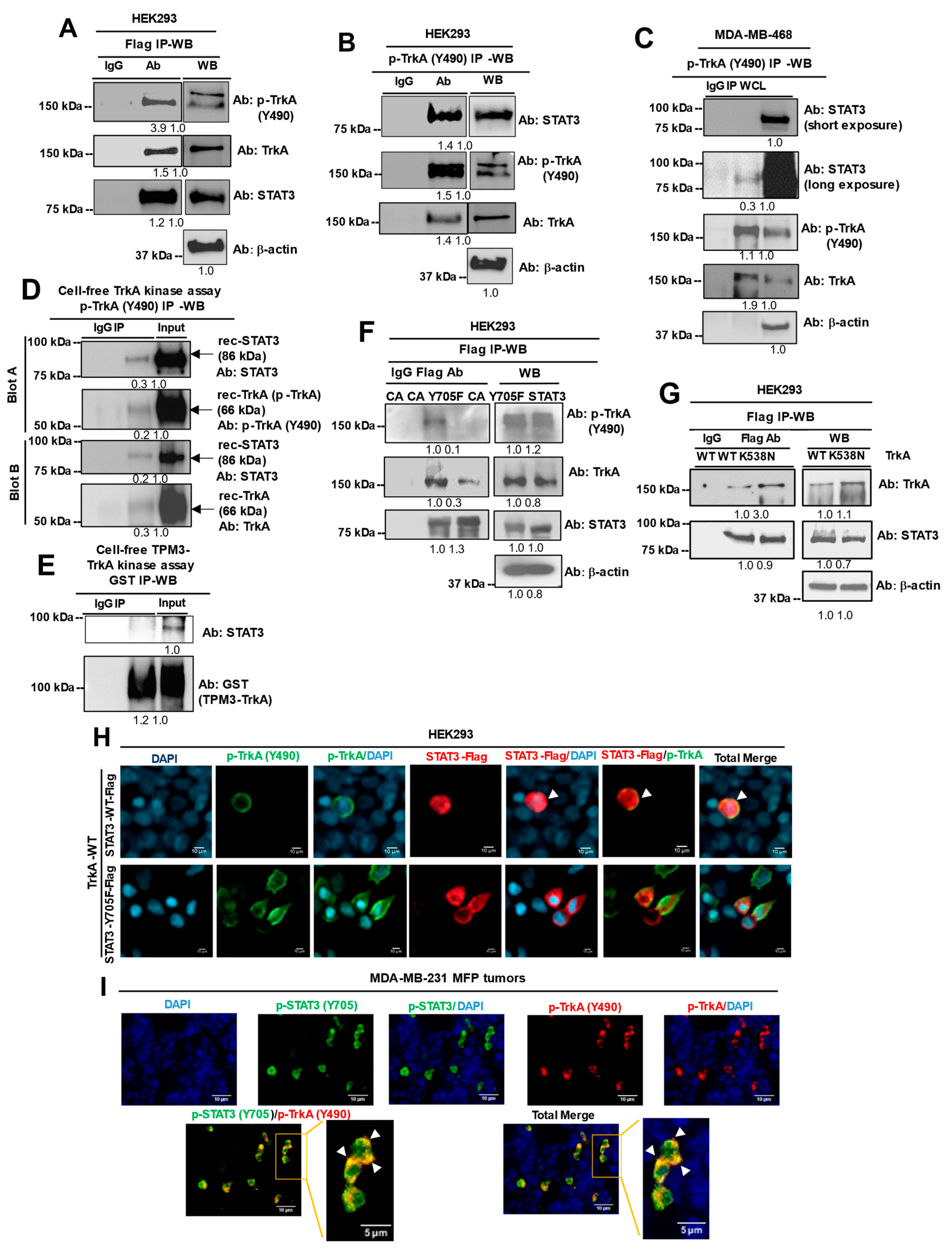
![]() |
Reference
- Regua, A.T.; Aguayo, N.R.; Jalboush, S.A.; Doheny, D.L.; Manore, S.G.; Zhu, D.; Wong, G.L.; Arrigo, A.; Wagner, C.J.; Yu, Y.; et al. TrkA Interacts with and Phosphorylates STAT3 to Enhance Gene Transcription and Promote Breast Cancer Stem Cells in Triple-Negative and HER2-Enriched Breast Cancers. Cancers 2021, 13, 2340. [Google Scholar] [CrossRef] [PubMed]
Disclaimer/Publisher’s Note: The statements, opinions and data contained in all publications are solely those of the individual author(s) and contributor(s) and not of MDPI and/or the editor(s). MDPI and/or the editor(s) disclaim responsibility for any injury to people or property resulting from any ideas, methods, instructions or products referred to in the content. |
© 2024 by the authors. Licensee MDPI, Basel, Switzerland. This article is an open access article distributed under the terms and conditions of the Creative Commons Attribution (CC BY) license (https://creativecommons.org/licenses/by/4.0/).
Share and Cite
Regua, A.T.; Aguayo, N.R.; Jalboush, S.A.; Doheny, D.L.; Manore, S.G.; Zhu, D.; Wong, G.L.; Arrigo, A.; Wagner, C.J.; Yu, Y.; et al. Correction: Regua et al. TrkA Interacts with and Phosphorylates STAT3 to Enhance Gene Transcription and Promote Breast Cancer Stem Cells in Triple-Negative and HER2-Enriched Breast Cancers. Cancers 2021, 13, 2340. Cancers 2024, 16, 3409. https://doi.org/10.3390/cancers16193409
Regua AT, Aguayo NR, Jalboush SA, Doheny DL, Manore SG, Zhu D, Wong GL, Arrigo A, Wagner CJ, Yu Y, et al. Correction: Regua et al. TrkA Interacts with and Phosphorylates STAT3 to Enhance Gene Transcription and Promote Breast Cancer Stem Cells in Triple-Negative and HER2-Enriched Breast Cancers. Cancers 2021, 13, 2340. Cancers. 2024; 16(19):3409. https://doi.org/10.3390/cancers16193409
Chicago/Turabian StyleRegua, Angelina T., Noah R. Aguayo, Sara Abu Jalboush, Daniel L. Doheny, Sara G. Manore, Dongqin Zhu, Grace L. Wong, Austin Arrigo, Calvin J. Wagner, Yang Yu, and et al. 2024. "Correction: Regua et al. TrkA Interacts with and Phosphorylates STAT3 to Enhance Gene Transcription and Promote Breast Cancer Stem Cells in Triple-Negative and HER2-Enriched Breast Cancers. Cancers 2021, 13, 2340" Cancers 16, no. 19: 3409. https://doi.org/10.3390/cancers16193409
APA StyleRegua, A. T., Aguayo, N. R., Jalboush, S. A., Doheny, D. L., Manore, S. G., Zhu, D., Wong, G. L., Arrigo, A., Wagner, C. J., Yu, Y., Thomas, A., Chan, M. D., Ruiz, J., Jin, G., Strowd, R., Sun, P., Lin, J., & Lo, H.-W. (2024). Correction: Regua et al. TrkA Interacts with and Phosphorylates STAT3 to Enhance Gene Transcription and Promote Breast Cancer Stem Cells in Triple-Negative and HER2-Enriched Breast Cancers. Cancers 2021, 13, 2340. Cancers, 16(19), 3409. https://doi.org/10.3390/cancers16193409


