Local Invasion Patterns Characterized by SARIFA and Tumor Budding Differ and Have Distinct Prognostic Significance in Esophageal Adenocarcinoma and Squamous Cell Carcinoma
Abstract
Simple Summary
Abstract
1. Introduction
2. Materials and Methods
2.1. Case Selection and Clinical Data
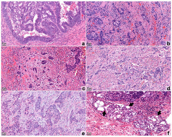
2.2. Histological Work-Up and Assessment
2.3. Ethical Approval
2.4. Statistical Analysis
3. Results
3.1. Cohort Characteristics and Differences in Clinicopathological Parameters of ESQCC and EAC Cases
3.2. Association between the Size of the Tumor Cell Clusters and SARIFA Status
3.3. Association between TB/PDC/SARIFA Status and the Extension of the Tumor
3.4. Association of TB/PDC/SARIFA Status with the Presence of Lymph Node Metastases
3.5. Survival Analysis
4. Discussion
5. Conclusions
Supplementary Materials
Author Contributions
Funding
Institutional Review Board Statement
Informed Consent Statement
Data Availability Statement
Acknowledgments
Conflicts of Interest
References
- Grille, V.J.; Campbell, S.; Gibbs, J.F.; Bauer, T.L. Esophageal Cancer: The Rise of Adenocarcinoma over Squamous Cell Carcinoma in the Asian Belt. J. Gastrointest. Oncol. 2021, 12, S339–S349. [Google Scholar] [CrossRef] [PubMed]
- Bray, F.; Laversanne, M.; Sung, H.; Ferlay, J.; Siegel, R.L.; Soerjomataram, I.; Jemal, A. Global Cancer Statistics 2022: GLOBOCAN Estimates of Incidence and Mortality Worldwide for 36 Cancers in 185 Countries. CA Cancer J. Clin. 2024, 74, 229–263. [Google Scholar] [CrossRef] [PubMed]
- Vass, T.; Bán, K.; Bennemann, S.; Balázs, Á.; Szijártó, A. Changes in the treatment of upper gastrointestinal tumors. Orv. Hetil. 2024, 165, 203–210. [Google Scholar] [CrossRef] [PubMed]
- Ferlay, J.; Ervik, M.; Lam, F.; Laversanne, M.; Colombet, M.; Mery, L.; Piñeros, M.; Znaor, A.; Soerjomataram, I.; Bray, F. Global Cancer Observatory: Cancer Today. Lyon, France: International Agency for Research on Cancer. Hungary Fact Sheet. 2024. Available online: https://gco.iarc.who.int/media/globocan/factsheets/populations/348-hungary-fact-sheet.pdf (accessed on 27 August 2024).
- Lugli, A.; Kirsch, R.; Ajioka, Y.; Bosman, F.; Cathomas, G.; Dawson, H.; Zimaity, H.E.; Fléjou, J.-F.; Hansen, T.P.; Hartmann, A.; et al. Recommendations for Reporting Tumor Budding in Colorectal Cancer Based on the International Tumor Budding Consensus Conference (ITBCC) 2016. Mod. Pathol. 2017, 30, 1299–1311. [Google Scholar] [CrossRef] [PubMed]
- Kalluri, R.; Weinberg, R.A. The Basics of Epithelial-Mesenchymal Transition. J. Clin. Investig. 2009, 119, 1420–1428. [Google Scholar] [CrossRef]
- Hanahan, D.; Weinberg, R.A. Hallmarks of Cancer: The Next Generation. Cell 2011, 144, 646–674. [Google Scholar] [CrossRef]
- Koelzer, V.H.; Langer, R.; Zlobec, I.; Lugli, A. Tumor Budding in Upper Gastrointestinal Carcinomas. Front. Oncol. 2014, 4, 216. [Google Scholar] [CrossRef]
- Szalai, L.; Jakab, Á.; Kocsmár, I.; Szirtes, I.; Kenessey, I.; Szijártó, A.; Schaff, Z.; Kiss, A.; Lotz, G.; Kocsmár, É. Prognostic Ability of Tumor Budding Outperforms Poorly Differentiated Clusters in Gastric Cancer. Cancers 2022, 14, 4731. [Google Scholar] [CrossRef]
- Thies, S.; Guldener, L.; Slotta-Huspenina, J.; Zlobec, I.; Koelzer, V.H.; Lugli, A.; Kröll, D.; Seiler, C.A.; Feith, M.; Langer, R. Impact of Peritumoral and Intratumoral Budding in Esophageal Adenocarcinomas. Hum. Pathol. 2016, 52, 1–8. [Google Scholar] [CrossRef]
- Grosser, B.; Glückstein, M.-I.; Dhillon, C.; Schiele, S.; Dintner, S.; VanSchoiack, A.; Kroeppler, D.; Martin, B.; Probst, A.; Vlasenko, D.; et al. Stroma AReactive Invasion Front Areas (SARIFA)—A New Prognostic Biomarker in Gastric Cancer Related to Tumor-Promoting Adipocytes. J. Pathol. 2022, 256, 71–82. [Google Scholar] [CrossRef]
- Grosser, B.; Emmerson, J.; Reitsam, N.G.; Cunningham, D.; Nankivell, M.; Langley, R.E.; Allum, W.H.; Trepel, M.; Märkl, B.; Grabsch, H.I. Stroma AReactive Invasion Front Areas (SARIFA) Improves Prognostic Risk Stratification of Perioperative Chemotherapy Treated Oesophagogastric Cancer Patients from the MAGIC and the ST03 Trial. Br. J. Cancer 2024, 130, 457–466. [Google Scholar] [CrossRef] [PubMed]
- Ulase, D.; Behrens, H.-M.; Röcken, C. Stroma AReactive Invasion Front Areas (SARIFA) Predict Poor Survival in Adenocarcinomas of the Stomach and Gastrooesophageal Junction: A Validation Study. Virchows Arch. Int. J. Pathol, 2024; Online ahead of print. [Google Scholar] [CrossRef]
- Martin, B.; Grosser, B.; Kempkens, L.; Miller, S.; Bauer, S.; Dhillon, C.; Banner, B.M.; Brendel, E.-M.; Sipos, É.; Vlasenko, D.; et al. Stroma AReactive Invasion Front Areas (SARIFA)-A New Easily to Determine Biomarker in Colon Cancer-Results of a Retrospective Study. Cancers 2021, 13, 4880. [Google Scholar] [CrossRef] [PubMed]
- Huang, J.; Duran, A.; Reina-Campos, M.; Valencia, T.; Castilla, E.A.; Müller, T.D.; Tschöp, M.H.; Moscat, J.; Diaz-Meco, M.T. Adipocyte P62/SQSTM1 Suppresses Tumorigenesis through Opposite Regulations of Metabolism in Adipose Tissue and Tumor. Cancer Cell 2018, 33, 770–784.e6. [Google Scholar] [CrossRef] [PubMed]
- Cao, Y. Adipocyte and Lipid Metabolism in Cancer Drug Resistance. J. Clin. Investig. 2019, 129, 3006–3017. [Google Scholar] [CrossRef] [PubMed]
- Jaqaman, K.; Kuwata, H.; Touret, N.; Collins, R.; Trimble, W.S.; Danuser, G.; Grinstein, S. Cytoskeletal Control of CD36 Diffusion Promotes Its Receptor and Signaling Function. Cell 2011, 146, 593–606. [Google Scholar] [CrossRef]
- Pascual, G.; Avgustinova, A.; Mejetta, S.; Martín, M.; Castellanos, A.; Attolini, C.S.-O.; Berenguer, A.; Prats, N.; Toll, A.; Hueto, J.A.; et al. Targeting Metastasis-Initiating Cells through the Fatty Acid Receptor CD36. Nature 2017, 541, 41–45. [Google Scholar] [CrossRef]
- Brierley, J.D.; Gospodarowicz, M.K.; Wittekind, C. (Eds.) TNM Classification of Malignant Tumours, 8th ed.; John Wiley & Sons Ltd.: Chichester, UK, 2017; pp. 70–75. [Google Scholar]
- Mandard, A.M.; Dalibard, F.; Mandard, J.C.; Marnay, J.; Henry-Amar, M.; Petiot, J.F.; Roussel, A.; Jacob, J.H.; Segol, P.; Samama, G. Pathologic Assessment of Tumor Regression after Preoperative Chemoradiotherapy of Esophageal Carcinoma. Clinicopathologic Correlations. Cancer 1994, 73, 2680–2686. [Google Scholar] [CrossRef]
- Barresi, V.; Branca, G.; Ieni, A.; Bonetti, L.R.; Baron, L.; Mondello, S.; Tuccari, G. Poorly Differentiated Clusters (PDCs) as a Novel Histological Predictor of Nodal Metastases in pT1 Colorectal Cancer. Virchows Arch. 2014, 464, 655–662. [Google Scholar] [CrossRef]
- Zlobec, I.; Bächli, M.; Galuppini, F.; Berger, M.D.; Dawson, H.E.; Nagtegaal, I.D.; Lugli, A. Refining the ITBCC Tumor Budding Scoring System with a “Zero-Budding” Category in Colorectal Cancer. Virchows Arch. Int. J. Pathol. 2021, 479, 1085–1090. [Google Scholar] [CrossRef]
- Bronsert, P.; Enderle-Ammour, K.; Bader, M.; Timme, S.; Kuehs, M.; Csanadi, A.; Kayser, G.; Kohler, I.; Bausch, D.; Hoeppner, J.; et al. Cancer Cell Invasion and EMT Marker Expression: A Three-Dimensional Study of the Human Cancer–Host Interface. J. Pathol. 2014, 234, 410–422. [Google Scholar] [CrossRef]
- Stein, H.J.; Feith, M.; Bruecher, B.L.D.M.; Naehrig, J.; Sarbia, M.; Siewert, J.R. Early Esophageal Cancer: Pattern of Lymphatic Spread and Prognostic Factors for Long-Term Survival after Surgical Resection. Ann. Surg. 2005, 242, 566–573, discussion 573–575. [Google Scholar] [CrossRef] [PubMed]
- Lagarde, S.M.; Phillips, A.W.; Navidi, M.; Disep, B.; Immanuel, A.; Griffin, S.M. The Presence of Lymphovascular and Perineural Infiltration after Neoadjuvant Therapy and Oesophagectomy Identifies Patients at High Risk for Recurrence. Br. J. Cancer 2015, 113, 1427–1433. [Google Scholar] [CrossRef] [PubMed]
- Joseph, A.; Raja, S.; Kamath, S.; Jang, S.; Allende, D.; McNamara, M.; Videtic, G.; Murthy, S.; Bhatt, A. Esophageal Adenocarcinoma: A Dire Need for Early Detection and Treatment. Cleve. Clin. J. Med. 2022, 89, 269–279. [Google Scholar] [CrossRef] [PubMed]
- Dao, T.V.; Nguyen, C.V.; Nguyen, Q.T.; Vu, H.T.N.; Phung, H.T.; Bui, O.T.; Nguyen, D.K.; Luong, B.V.; Tran, T.V. Evaluation of Tumor Budding in Predicting Survival for Gastric Carcinoma Patients in Vietnam. Cancer Control 2020, 27, 1073274820968883. [Google Scholar] [CrossRef]
- Grosser, B.; Heyer, C.M.; Austgen, J.; Sipos, E.; Reitsam, N.G.; Hauser, A.; VanSchoiack, A.; Kroeppler, D.; Vlasenko, D.; Probst, A.; et al. Stroma AReactive Invasion Front Areas (SARIFA) Proves Prognostic Relevance in Gastric Carcinoma and Is Based on a Tumor-Adipocyte Interaction Indicating an Altered Immune Response. Gastric Cancer 2024, 27, 72–85. [Google Scholar] [CrossRef] [PubMed]
- Noordzij, I.C.; Curvers, W.L.; Schoon, E.J. Endoscopic Resection for Early Esophageal Carcinoma. J. Thorac. Dis. 2019, 11, S713–S722. [Google Scholar] [CrossRef] [PubMed]
- Schröder, W.; Gisbertz, S.S.; Voeten, D.M.; Gutschow, C.A.; Fuchs, H.F.; van Berge Henegouwen, M.I. Surgical Therapy of Esophageal Adenocarcinoma—Current Standards and Future Perspectives. Cancers 2021, 13, 5834. [Google Scholar] [CrossRef]
- Beer, A.; Reber, A.; Paireder, M.; Schoppmann, S.F.; Heber, S.; Schiefer, A.-I. Tumor Cell Budding in Preoperative Biopsies of Esophageal and Gastroesophageal Junction Carcinoma Independently Predicts Survival in a Grade-Dependent Manner. Surgery 2022, 172, 567–574. [Google Scholar] [CrossRef]
- Gurzu, S.; Jung, I. Subcellular Expression of Maspin in Colorectal Cancer: Friend or Foe. Cancers 2021, 13, 366. [Google Scholar] [CrossRef]



| Cohort Characteristics | Total | Squamous Cell Carcinoma | Adenocarcinoma | p | |
|---|---|---|---|---|---|
| Patients | n | 100 | 57 | 43 | - |
| Age | year | 64.8 | 63.4 (45–80) | 66.7 (42–80) | 0.0140 |
| Sex | male | 80 | 42 (73.7%) | 38 (88.4%) | 0.0815 |
| female | 20 | 15 (26.3%) | 5 (11.6%) | ||
| pT | low | 41 | 28 (49.1%) | 13 (30.2%) | 0.0670 |
| high | 59 | 29 (50.9%) | 30 (69.8%) | ||
| pN | absent | 53 | 38 (66.7%) | 15 (34.9%) | 0.0023 |
| present | 47 | 19 (33.3%) | 28 (65.1%) | ||
| pM | absent | 97 | 56 (98.2%) | 42 (97.7%) | 1 |
| present | 3 | 1 (1.8%) | 1 (2.3%) | ||
| Vascular invasion | absent | 78 | 44 (77.2%) | 34 (79.1%) | 1 |
| present | 22 | 13 (22.8%) | 9 (20.9%) | ||
| Lymphovascular invasion | absent | 76 | 48 (84.2%) | 28 (65.1%) | 0.0342 |
| present | 24 | 9 (15.8%) | 15 (34.9%) | ||
| Perineural invasion | absent | 76 | 53 (93.0%) | 23 (53.5%) | <0.0001 |
| present | 24 | 4 (7.0%) | 20 (46.5%) | ||
| Resection margin | tumor-free | 78 | 46 (80.7%) | 32 (74.4%) | 0.4746 |
| positive | 22 | 11 (19.3%) | 11 (25.6%) | ||
| LNR | mean | 0.15 | 0.10 | 0.23 | 0.0080 |
| Grade * | low | 16 | 11 (64.7%) | 5 (38.5%) | 1 |
| high | 14 | 6 (35.3%) | 8 (61.5%) | ||
| Necrosis | absent | 57 | 29 (50.9%) | 28 (65.1%) | 0.2208 |
| present | 43 | 28 (49.1%) | 15 (34.9%) | ||
| Neoadjuvant therapy | no | 30 | 17 (29.8%) | 13 (30.2%) | 1 |
| yes | 70 | 40 (70.2%) | 30 (69.8%) | ||
| Mandard score ** | responder | 43 | 26 (65.0%) | 17 (56.7%) | 0.6204 |
| non-responder | 27 | 14 (35.0%) | 13 (43.3%) | ||
| Tumor budding | low | 47 | 30 (52.6%) | 17 (39.5%) | 0.2278 |
| high | 53 | 27 (47.4%) | 26 (60.5%) | ||
| PDC | low | 31 | 16 (28.1%) | 15 (34.9%) | 0.5165 |
| high | 69 | 41 (71.9%) | 28 (65.1%) | ||
| SARIFA | absent | 54 | 38 (66.7%) | 16 (37.2%) | 0.0046 |
| present | 46 | 19 (33.3%) | 27 (62.8%) | ||
| Squamous Cell Carcinoma | Total | T-Low | T-High | p | |
|---|---|---|---|---|---|
| TB | low | 26 | 12 | 14 | 0.7921 |
| high | 31 | 16 | 15 | ||
| PDC | low | 16 | 11 | 5 | 0.0819 |
| high | 41 | 17 | 24 | ||
| SARIFA | absent | 38 | 21 | 17 | 0.2630 |
| present | 19 | 7 | 12 | ||
| Adenocarcinoma | Total | T-Low | T-High | p | |
| TB | low | 17 | 9 | 8 | 0.0162 |
| high | 26 | 4 | 22 | ||
| PDC | low | 15 | 6 | 9 | 0.3238 |
| high | 28 | 7 | 21 | ||
| SARIFA | absent | 16 | 10 | 6 | 0.0012 |
| present | 27 | 3 | 24 | ||
| (A) | |||||
|---|---|---|---|---|---|
| Parameter | Squamous Cell Carcinoma | ||||
| Univariable | Multivariable | ||||
| OR (CI) | p | OR (CI) | p | ||
| Age | years | 1.007 (0.935–1.087) | 0.8430 | n.s. | |
| Sex | male/female | 0.491 (0.0995–1.872) | 0.3270 | n.s. | |
| TB | low/high | 12.273 (3.291–61.133) | 0.0006 | 25.32 (4.88–222.0) | 0.0006 |
| PDC | low/high | 4.667 (1.103–32.334) | 0.0609 | n.s. | |
| T stage | low/high | 2.750 (0.876–9.390) | 0.0909 | 6.035 (1.244–46.336) | 0.0424 |
| SARIFA | absent/present | 1.083 (0.314–3.534) | 0.8956 | n.s. | |
| Vascular invasion | absent/present | 4.20 (1.123–16.941) | 0.0352 | n.s. | |
| Lymphovascular invasion | absent/present | 1.886 (0.414–8.198) | 0.3931 | n.s. | |
| Perineural invasion | absent/present | 7.40 (0.870–156.349) | 0.0938 | n.s. | |
| Resection margin | tumor-free/ positive | 0.886 (0.172–3.696) | 0.8730 | n.s. | |
| Neoadjuvant therapy | no/yes | 2.60 (0.697–12.694) | 0.1839 | n.s. | |
| (B) | |||||
| Parameter | Adenocarcinoma | ||||
| Univariable | Multivariable | ||||
| OR (CI) | p | OR (CI) | p | ||
| Age | years | 1.025 (0.961–1.094) | 0.4460 | n.s. | |
| Sex | male/female | 0.780 (0.115–6.486) | 0.7988 | n.s. | |
| TB | low/high | 2.413 (0.671–9.054) | 0.1800 | n.s. | |
| PDC | low/high | 2.188 (0.592–8.276) | 0.2390 | n.s. | |
| T stage | low/high | 3.208 (0.834–13.047) | 0.0924 | n.s. | |
| SARIFA | absent/present | 7.333 (1.903–32.532) | 0.0054 | 11.0 (2.0–91.78) | 0.0111 |
| Vascular invasion | absent/present | 5.600 (0.881–109.986) | 0.1230 | n.s. | |
| Lymphovascular invasion | absent/present | 362,730,000 (<0.0001-Infinity) | 0.9940 | n.s. | |
| Perineural invasion | absent/present | 3.667 (0.987–15.955) | 0.0626 | n.s. | |
| Resection margin | tumor-free/ positive | 3.079 (0.656–22.413) | 0.1910 | n.s. | |
| Neoadjuvant therapy | no/yes | 0.768 (0.175–2.989) | 0.7100 | n.s. | |
| ESQCC | OR | CI | p |
|---|---|---|---|
| Tumor budding | 1.036007 | 1.0040570–1.068972 | 0.0269 |
| Age | 0.994523 | 0.9533010–1.037527 | 0.7993 |
| PDC | 1.018223 | 1.0010303–1.035712 | 0.0377 |
| Age | 0.998127 | 0.9571506–1.040857 | 0.9301 |
| SARIFA | 0.872240 | 0.4520001–1.683178 | 0.6840 |
| Age | 1.001310 | 0.9599019–1.044505 | 0.9520 |
| EAC | OR | CI | p |
| Tumor budding | 1.008108 | 0.9628542–1.055489 | 0.7300 |
| Age | 1.029528 | 0.9921378–1.068327 | 0.1230 |
| PDC | 0.978292 | 0.9467089–1.010929 | 0.1900 |
| Age | 1.026867 | 0.9914605–1.063539 | 0.1390 |
| SARIFA | 2.098440 | 0.9527029–4.622074 | 0.0658 |
| Age | 1.032400 | 0.9929269–1.073441 | 0.1089 |
Disclaimer/Publisher’s Note: The statements, opinions and data contained in all publications are solely those of the individual author(s) and contributor(s) and not of MDPI and/or the editor(s). MDPI and/or the editor(s) disclaim responsibility for any injury to people or property resulting from any ideas, methods, instructions or products referred to in the content. |
© 2024 by the authors. Licensee MDPI, Basel, Switzerland. This article is an open access article distributed under the terms and conditions of the Creative Commons Attribution (CC BY) license (https://creativecommons.org/licenses/by/4.0/).
Share and Cite
Jakab, Á.; Zarándy, L.; Kocsmár, I.; Várkonyi, T.; Kenessey, I.; Szijártó, A.; Kiss, A.; Vass, T.; Lotz, G.; Kocsmár, É. Local Invasion Patterns Characterized by SARIFA and Tumor Budding Differ and Have Distinct Prognostic Significance in Esophageal Adenocarcinoma and Squamous Cell Carcinoma. Cancers 2024, 16, 3144. https://doi.org/10.3390/cancers16183144
Jakab Á, Zarándy L, Kocsmár I, Várkonyi T, Kenessey I, Szijártó A, Kiss A, Vass T, Lotz G, Kocsmár É. Local Invasion Patterns Characterized by SARIFA and Tumor Budding Differ and Have Distinct Prognostic Significance in Esophageal Adenocarcinoma and Squamous Cell Carcinoma. Cancers. 2024; 16(18):3144. https://doi.org/10.3390/cancers16183144
Chicago/Turabian StyleJakab, Ákos, Levente Zarándy, Ildikó Kocsmár, Tibor Várkonyi, István Kenessey, Attila Szijártó, András Kiss, Tamás Vass, Gábor Lotz, and Éva Kocsmár. 2024. "Local Invasion Patterns Characterized by SARIFA and Tumor Budding Differ and Have Distinct Prognostic Significance in Esophageal Adenocarcinoma and Squamous Cell Carcinoma" Cancers 16, no. 18: 3144. https://doi.org/10.3390/cancers16183144
APA StyleJakab, Á., Zarándy, L., Kocsmár, I., Várkonyi, T., Kenessey, I., Szijártó, A., Kiss, A., Vass, T., Lotz, G., & Kocsmár, É. (2024). Local Invasion Patterns Characterized by SARIFA and Tumor Budding Differ and Have Distinct Prognostic Significance in Esophageal Adenocarcinoma and Squamous Cell Carcinoma. Cancers, 16(18), 3144. https://doi.org/10.3390/cancers16183144

