Pancreatectomy with En Bloc Superior Mesenteric Vein and All Its Tributaries Resection without PV/SMV Reconstruction for “Low” Locally Advanced Pancreatic Head Cancer
Abstract
Simple Summary
Abstract
1. Introduction
2. Patients and Methods
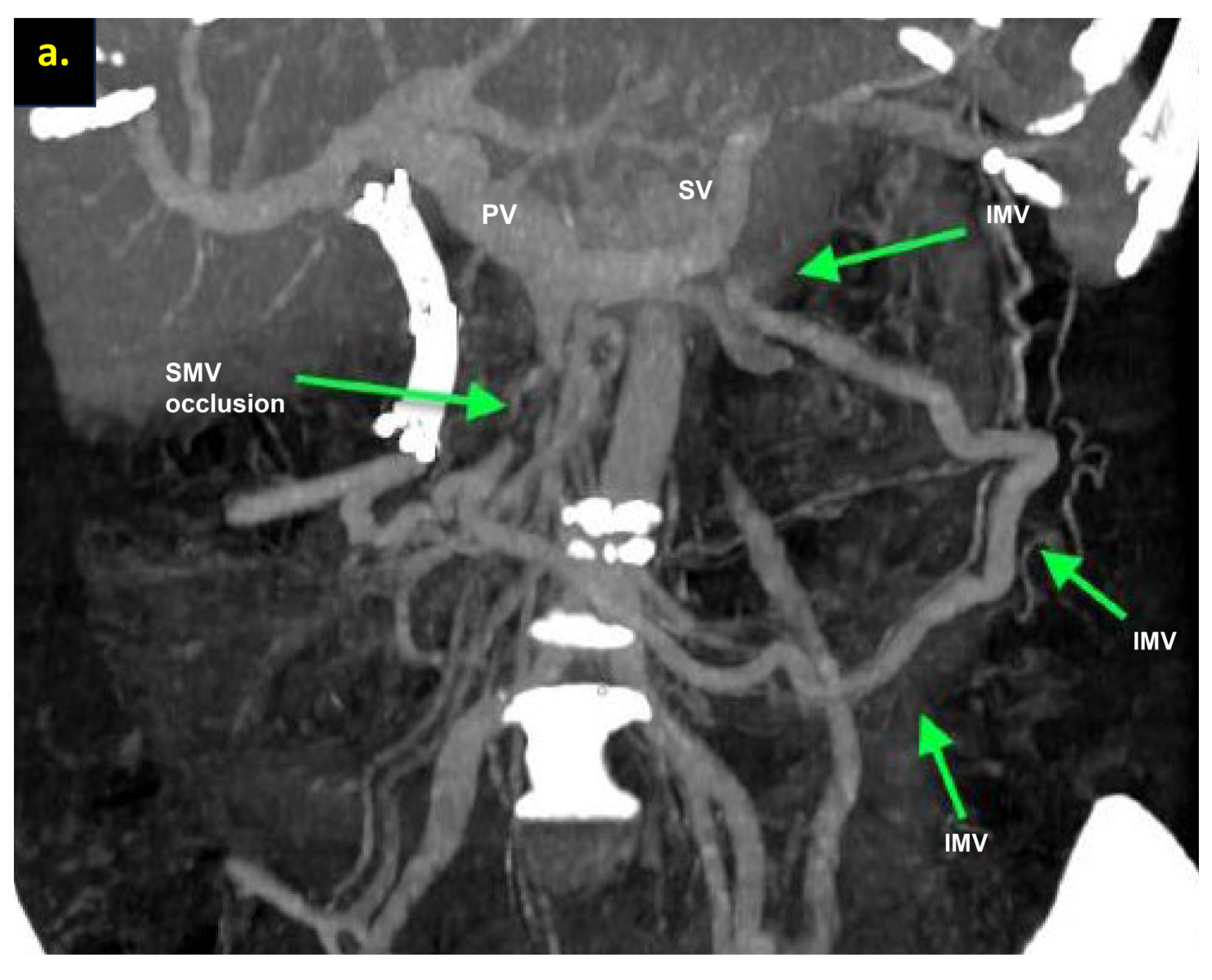
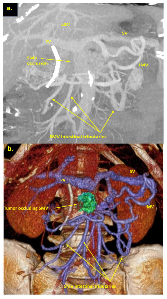
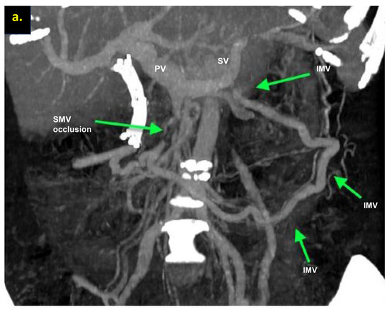
2.1. Radiology
2.2. Surgery
2.3. Statistics
3. Results
3.1. Patient Characteristics and Outcomes
3.2. T3 Group Results
3.3. Long-Term Outcomes after Surgery for Patients with Stage cT3NxM0
3.4. T4 Group Results
4. Discussion
5. Conclusions
Supplementary Materials
Author Contributions
Funding
Institutional Review Board Statement
Informed Consent Statement
Data Availability Statement
Acknowledgments
Conflicts of Interest
References
- Sung, H.; Ferlay, J.; Siegel, R.L.; Laversanne, M.; Soerjomataram, I.; Jemal, A.; Bray, F. Global Cancer Statistics 2020 GLOBOCAN Estimates of Incidence and Mortality Worldwide for 36 Cancers in 185 Countries. CA Cancer J. Clin. 2021, 71, 209–249. [Google Scholar] [CrossRef]
- Rahib, L.; Smith, B.D.; Aizenberg, R.; Rosenzweig, A.B.; Fleshman, J.M.; Matrisian, L.M. Projecting cancer incidence and deaths to 2030: The unexpected burden of thyroid, liver, and pancreas cancers in the United States. Cancer Res. 2014, 74, 2913–2921. [Google Scholar] [CrossRef]
- Nikši’c, M.; Minicozzi, P.; Weir, H.K.; Zimmerman, H.; Schymura, M.J.; Rees, J.R.; Coleman, M.P.; Allemani, C. Pancreatic cancer survival trends in the US from 2001 to 2014: A CONCORD-3 study. Cancer Commun. 2023, 43, 87–99. [Google Scholar] [CrossRef] [PubMed]
- Varadhachary, G.R.; Tamm, E.P.; Abbruzzese, J.L.; Xiong, H.Q.; Crane, C.H.; Wang, H.; Lee, J.E.; Pisters, P.W.T.; Evans, D.B.; Wolff, R.A. Borderline Resectable Pancreatic Cancer: Definitions, Management, and Role of Preoperative Therapy. Ann. Surg. Oncol. 2006, 13, 1035–1046. [Google Scholar] [CrossRef]
- Allema, J.H.; Reinders, M.E.; van Gulik, T.M.; van Leeuwen, D.J.; de Wit, L.T.; Verbeek, P.C.; Gouma, D.J. Portal Vein Resection in Patients Undergoing Pancreatoduodecetomy for Carcinoma of the Pancreatic Head. Br. J. Surg. 1994, 81, 1642–1646. [Google Scholar] [CrossRef]
- Fuhrman, G.M.; Leach, S.D.; Staley, C.A.; Cusack, J.C.; Charnsangavej, C.; Cleary, K.R.; El-Naggar, A.K.; Fenoglio, C.J.; Lee, J.E.; Evans, D.B. The rationale for En Bloc Vein Resection in the Treatment of Pancreatic Adenocarcinoma Adherent to the Superior Mesenterico-Portal Vein Confluence. Pancreatic Tumor Study Group. Ann. Surg. 1996, 223, 154–162. [Google Scholar] [CrossRef] [PubMed]
- Bernhardt, M.; Rühlmann, F.; Azizian, A.; Kölling, M.A.; Beißbarth, T.; Grade, M.; König, A.O.; Ghadimi, M.; Gaedcke, J. Impact of Portal Vein Resection (PVR) in Patients Who Underwent Curative Intended Pancreatic Head Resection. Biomedicines 2023, 11, 3025. [Google Scholar] [CrossRef]
- Oba, A.; Kato, T.; Inoue, Y.; Wu, Y.H.A.; Ono, Y.; Sato, T.; Ito, H.; Saiura, A.; Takahashi, Y. Extent of venous resection during pancreatectomy—Finding the balance of technical possibility and feasibility. J. Gastrointest. Oncol. 2021, 12, 2495–2502. [Google Scholar] [CrossRef] [PubMed]
- National Comprehensive Cancer Network Pancreatic Adenocarcinoma Panel Members. Pancreatic adenocarcinoma. In NCCN Clinical Practice Guidelines in Oncology; Version: 1.2024, 12.13.2023, PANC-C 1; NCCN: Plymouth Meeting, PA, USA, 2023. [Google Scholar]
- Bachellier, P.; Addeo, P.; Faitot, F.; Nappo, G.; Dufour, P. Pancreatectomy with Arterial Resection for Pancreatic Adenocarcinoma: How Can It Be Done Safely and with Which Outcomes?: A Single Institution’s Experience with 118 Patients. Ann. Surg. 2020, 271, 932–940. [Google Scholar] [CrossRef]
- Truty, M.; Kendrick, M.; Nagorney, D.; Smoot, R.; Cleary, S.; Graham, R.; Goenka, A.; Hallemeier, C.; Haddock, M.; Harmsen, W.; et al. Factors predicting response, perioperative outcomes, and survival following total neoadjuvant therapy for borderline/locally advanced pancreatic cancer. Ann. Surg. 2021, 273, 341–349. [Google Scholar] [CrossRef]
- Boggi, U. Resection for pancreatic cancer with arterial involvement: A paradigm shift away from unresectable to “how to do it”. Surgery 2021, 169, 1036. [Google Scholar] [CrossRef] [PubMed]
- Loos, M.; Kester, T.; Klaiber, U.; Mihaljevic, A.L.; Mehrabi, A.; Müller-Stich, B.M.; Diener, M.K.; Schneider, M.A.; Berchtold, C.; Hinz, U.; et al. Arterial Resection in Pancreatic Cancer Surgery: Effective After a Learning Curve. Ann. Surg. 2022, 275, 759–768. [Google Scholar] [CrossRef] [PubMed]
- Hashimoto, M.; Makuuchi, M.; Matsuda, M.; Watanabe, G. Superior mesenteric vein resection without reconstruction in pylorus-preserving pancreatoduodenectomy for pancreatic head cancer. Hepatogastroenterology 2010, 57, 1087–1089. [Google Scholar]
- Tang, J.; Abbas, J.; Hoetzl, K.; Allison, D.; Osman, M.; Williams, M.; Zelenock, G.B. Ligation of superior mesenteric vein and portal to splenic vein anastomosis after superior mesenteric-portal vein confluence resection during pancreaticoduodenectomy—Case report. Ann. Med. Surg. 2014, 3, 137–140. [Google Scholar]
- Maley, W.; Yeo, C. Vascular resections during the Whipple procedure. Adv. Surg. 2017, 51, 41–638. [Google Scholar] [CrossRef] [PubMed]
- Gage, M.; Reames, B.; Ejaz, A.; Sham, J.; Fishman, E.; Weiss, M.; Wolfgang, C.; He, J. Pancreaticoduodenectomy with en bloc vein resection for locally advanced pancreatic cancer: A case series without venous reconstruction. Chin. Clin. Oncol. 2018, 7, 7. [Google Scholar] [CrossRef] [PubMed]
- Jouffret, L.; Guilbaud, T.; Turrini, O.; Delpero, J. Pancreaticoduodenectomy with combined superior mesenteric vein resection without reconstruction is possible: A case report and review of the literature. World J. Clin. Cases 2018, 6, 214–218. [Google Scholar] [CrossRef] [PubMed]
- Dindo, D.; Demartines, N.; Clavien, P.A. Classification of surgical complications: A new proposal with evaluation in a cohort of 6336 patients and results of a survey. Ann. Surg. 2004, 240, 205–213. [Google Scholar] [CrossRef] [PubMed]
- Bassi, C.; Marchegiani, G.; Dervenis, C.; Sarr, M.; Abu Hilal, M.; Adham, M.; Allen, P.; Andersson, R.; Asbun, H.J.; Besselink, M.G.; et al. International study group on pancreatic surgery (ISGPS). The 2016 update of the international study group (ISGPS) definition and grading of postoperative pancreatic fistula: 11 years after. Surgery 2017, 161, 584–591. [Google Scholar] [CrossRef]
- Wente, M.N.; Veit, J.A.; Bassi, C.; Dervenis, C.; Fingerhut, A.; Gouma, D.J.; Izbicki, J.R.; Neoptolemos, J.P.; Padbury, R.T.; Sarr, M.G.; et al. Postpancreatectomy hemorrhage (PPH)—An international study group of pancreatic surgery (ISGPS) definition. Surgery 2007, 142, 20–25. [Google Scholar] [CrossRef]
- Helliwell, T.; Woolgar, J.A. Standards and Minimum Datasets for Reporting Cancers. In Minimum Dataset for the Histopathological Reporting of Pancreatic, Ampulla of Vater and Bile Duct Carcinoma; The Royal College of Pathologists: London, UK, 2002. [Google Scholar]
- Kakar, S.; Shi, C.; Adsay, V.; Bergsland, E.; Berlin, J.; Branton, P.; Fitzgibbons, P.; Wendy, L.; Frankel Klimstra, D.S.; Krasinskas, A.M.; et al. Gastrointestinal Pancreas (Exocrine). In Protocol for the Examination of Specimens from Patients with Carcinoma of the Pancreas; Version: Pancreas Exocrine 4.0.0.1; College of American Pathologists: Chicago, IL, USA, 2017. [Google Scholar]
- Katz, M.H.; Shi, Q.; Ahmad, S.A.; Herman, J.M.; De Marsh, R.W.; Collisson, E.; Schwartz, L.; Frenkel, W.; Martin, R.; Conway, W.; et al. Preoperative modified FOLFIRINOX treatment followed by capecitabine-based chemoradiation for borderline resectable pancreatic cancer: Alliance for clinical trials in oncology trial A021101. JAMA Surg. 2016, 151, e161137. [Google Scholar] [CrossRef]
- Amin, M.B.; Edge, S.; Greene, F.; Byrd, D.R.; Brookland, R.K.; Washington, M.K.; Gershenwald, J.E.; Compton, C.C.; Hess, K.R.; Sullivan, D.C.; et al. AJCC Cancer Staging Manual, 8th ed.; Springer: New York, NY, USA, 2017. [Google Scholar]
- Kelly, K.; Winslow, E.; Kooby, D.; Lad, N.; Parikh, A.; Scoggins, C.; Ahmad, S.; Martin, R.; Maithel, S.; Kim, H.; et al. Vein involvement during pancreaticoduodenectomy: Is there a need for redefinition of “borderline resectable disease”? J. Gastrointest. Surg. 2013, 17, 1209–1217. [Google Scholar] [CrossRef]
- Nakagohri, T.; Kinoshita, T.; Konishi, M.; Inoue, K.; Takahashi, S. Survival benefits of portal vein resection for pancreatic cancer. Am. J. Surg. 2003, 186, 149–153. [Google Scholar] [CrossRef]
- Christians, K.K.; Evans, D.B. Pancreaticoduodenectomy and Vascular Reconstruction: Indications and Techniques. Surg. Oncol. Clin. N. Am. 2021, 30, 731–746. [Google Scholar] [CrossRef]
- Gemenetzis, G.; Groot, V.P.; Blair, A.B.; Laheru, D.A.; Zheng, L.; Narang, A.K.; Fishman, E.; Hruban, R.; Ralph, H.; He, J.; et al. Survival in Locally Advanced Pancreatic Cancer After Neoadjuvant Therapy and Surgical Resection. Ann. Surg. 2019, 270, 340–347. [Google Scholar] [CrossRef]
- Michelakos, T.; Pergolini, I.; Castillo, C.F.; Honselmann, K.C.; Cai, L.; Deshpande, V.; Wo, J.Y.; Ryan, D.P.; Allen, J.N.; Blaszkowsky, L.S.; et al. Predictors of Resectability and Survival in Patients with Borderline and Locally Advanced Pancreatic Cancer who Underwent Neoadjuvant Treatment with FOLFIRINOX. Ann. Surg. 2019, 269, 733–740. [Google Scholar] [CrossRef]
- Barnes, C.A.; Chavez, M.I.; Tsai, S.; Aldakkak, M.; George, B.; Ritch, P.S.; Dua, K.; Clarke, C.N.; Tolat, P.; Hagen, C.; et al. Survival of patients with borderline resectable pancreatic cancer who received neoadjuvant therapy and surgery. Surgery 2019, 166, 277–285. [Google Scholar] [CrossRef]
- Katz, M.H.; Fleming, J.B.; Pisters, P.W.; Lee, J.E.; Evans, D.B. Anatomy of the superior mesenteric vein with special reference to the surgical management of first-order branch involvement at pancreaticoduodenectomy. Ann. Surg. 2008, 248, 10981102. [Google Scholar] [CrossRef]
- Bachellier, P.; Rosso, E.; Fuchshuber, P.; Addeo, P.; David, P.; Oussoultzoglou, E.; Lucescu, I. Use of a temporary intraoperative mesentericoportal shunt for pancreatic resection for locally advanced pancreatic cancer with portal vein occlusion and portal hypertension. Surgery 2014, 155, 449–456. [Google Scholar] [CrossRef]
- Bockhorn, M.; Uzunoglu, F.G.; Adham, M.; Imrie, C.; Milicevic, M.; Sandberg, A.A.; Asbun, H.J.; Bassi, C.; Büchler, M.; Charnley, R.M.; et al. Borderline resectable pancreatic cancer: A consensus statement by the International Study Group of Pancreatic Surgery (ISGPS). Surgery 2014, 155, 977–988. [Google Scholar] [CrossRef]
- Valls, C.; Andía, E.; Sanchez, A.; Fabregat, J.; Pozuelo, O.; Quintero, J.C.; Serrano, T.; Garcia-Borobia, F. Dual-phase helical CT of pancreatic adenocarcinoma: Assessment of resectability before surgery. AJR Am. J. Roentgenol. 2002, 178, 821–826. [Google Scholar] [CrossRef] [PubMed]
- Morgan, D.E.; Waggoner, C.N.; Canon, C.L.; Lockhart, M.E.; Fineberg, N.S.; Posey, J.A., III; Vickers, S.M. Resectability of Pancreatic Adenocarcinoma in Patients with Locally Advanced Disease Downstaged by Preoperative Therapy: A Challenge for MDCT. AJR Am. J. Roentgenol. 2010, 194, 615–622. [Google Scholar] [CrossRef] [PubMed]
- Treadwell, J.R.; Zafar, H.M.; Mitchell, M.D.; Tipton, K.; Teitelbaum, U.; Jue, J. Imaging tests for the diagnosis and staging of pancreatic adenocarcinoma: A meta-analysis. Pancreas 2016, 45, 789–795. [Google Scholar] [CrossRef] [PubMed]
- Zaky, A.M.; Wolfgang, C.L.; Weiss, M.J.; Javed, A.A.; Fishman, E.K.; Zaheer, A. Tumor-Vessel Relationships in Pancreatic Ductal Adenocarcinoma at Multidetector CT: Different Classification Systems and Their Influence on Treatment Planning. Radiographics 2017, 37, 93–112. [Google Scholar] [CrossRef] [PubMed]
- Lu, D.S.; Reber, H.A.; Krasny, R.M.; Kadell, B.M.; Sayre, J. Local staging of pancreatic cancer: Criteria for unresectability of major vessels as revealed by pancreatic-phase, thin-section helical CT. AJR Am. J. Roentgenol. 1997, 168, 1439–1443. [Google Scholar] [CrossRef] [PubMed]
- Ishikawa, O.; Ohigashi, H.; Imaoka, S.; Furukawa, H.; Sasaki, Y.; Fujita, M.; Kuroda, C.; Iwanaga, T. Preoperative indications for extended pancreatectomy for locally advanced pancreas cancer involving the portal vein. Ann. Surg. 1992, 215, 231–236. [Google Scholar] [CrossRef] [PubMed]
- Tran Cao, H.S.; Balachandran, A.; Wang, H.; Nogueras-González, G.M.; Bailey, C.E.; Lee, J.E.; Pisters, P.W.T.; Evans, D.B.; Varadhachary, G.; Crane, C.H.; et al. Radiographic tumor-vein interface as a predictor of intraoperative, pathologic, and oncologic outcomes in resectable and borderline resectable pancreatic cancer. J. Gastrointest. Surg. 2014, 18, 269–278. [Google Scholar] [CrossRef] [PubMed]
- Cassinotto, C.; Cortade, J.; Belleannée, G.; Lapuyade, B.; Terrebonne, E.; Vendrely, V.; Laurent, C.; Sa-Cunha, A. An evaluation of the accuracy of CT when determining resectability of pancreatic head adenocarcinoma after neoadjuvant treatment. Eur. J. Radiol. 2013, 82, 589–593. [Google Scholar] [CrossRef]
- Duran, A.H.; Duran, M.N.; Masood, I.; Maciolek, L.M.; Hussain, H. The Additional Diagnostic Value of the Three-dimensional Volume Rendering Imaging in Routine Radiology Practice. Cureus 2019, 11, e5579. [Google Scholar] [CrossRef]
- Kobayashi, Y.; Nakazawa, J.; Sakata, M. Comparison of the depiction of pancreaticoduodenal arcades and dorsal pancreatic artery, using three-point scale with volume rendering (VR), maximum intensity projection (MIP), and shaded surface display (SSD). Nihon Hoshasen Gijutsu Gakkai Zasshi 2002, 58, 297–300. (In Japanese) [Google Scholar] [CrossRef][Green Version]
- Fang, C.; Kong, D.; Wang, X.; Wang, H.; Xiang, N.; Fan, Y.; Yang, J.; Zhong, S.Z. Three-dimensional reconstruction of the peripancreatic vascular system based on computed tomographic angiography images and its clinical application in the surgical management of pancreatic tumors. Pancreas 2014, 43, 389–395. [Google Scholar] [CrossRef] [PubMed]
- Kulkarni, R.V.; Patil, V.; Bhandare, M.S.; Chaudhari, V.A.; Shrikhande, S.V. Vein resection without reconstruction (VROR) in pancreatoduodenectomy: Expanding the surgical spectrum for locally advanced pancreatic tumors. Langenbecks Arch. Surg. 2020, 405, 929–937. [Google Scholar] [CrossRef] [PubMed]
- Guo, S.; Yu, T.; Chen, X.; Cui, M.; Liu, D.; Xu, S.; Lu, J.; Zhang, H. Variations of the double superior mesenteric vein are not rare: An observational study using computed tomography, three-dimensional image reconstruction, and surgery. Eur. J. Surg. Oncol. 2023, 49, 106972. [Google Scholar] [CrossRef] [PubMed]
- Pecquenard, F.; Boleslawski, E.; El Amrani, M.J. Distal pancreatectomy with superior mesenteric vein resection without reconstruction for pancreatic neuroendocrine tumor. Visc. Surg. 2021, 158, 279–280. [Google Scholar] [CrossRef] [PubMed]















| Age, years | 62 ± 8 (39–74) |
| Gender (f) | 9 (56%) |
| Neoadjuvant chemotherapy | 100% |
| Adjuvant chemotherapy (yes/no), n | 15/1 |
| GEM-based/FOLFIRINOX-mFOLFIRINOX, n | 7/9 |
| OP time (min) | 401 ± 75 (195–475) |
| Estimated blood loss (mL) | 346 ± 168 (100–550) |
| R0/R1, n (%) | 13/3 (81%/19%) |
| IMV-SV reconstruction/No reconstruction, n (%) | 5/11 (31%/69%) |
| Perineural invasion (yes/no) | 14/2 |
| Venous invasion at pathology (yes/no), n (%) | 13/3 (81%/19%) |
| Tumor size, mm | 36 ± 17 (0–48) |
| Number of lymph nodes removed | 39 ± 17 (19–82) |
| Lymph nodes involvement pN0/pN1/pN2, n | 9/3/4 |
| Whipple/Total pancreatectomy, n | 11/5 |
| Morbidity (C-D) 0-II/ ≥ III, n (%) | 15/1 (94%/6%) |
| POPF No/ Grade A/B, n (%) | 9/1/1 (82%/9%/9%) |
| Diarrhea, n (%) | 2 (12,5%) |
| DGE Grade 1/2/3 | 3/3/1 (24%) |
| Hospital stay, days | 13.6 ± 4 (7–23) |
| Lymphorrhea, n (%) | 7 (44%) |
| Mortality, 90 days | 0 |
| Liver ischemia, n | 0 |
| Small bowel ischemia, n | 0 |
| Postop bleeding, n | 0 |
| Relaparotomy, n | 1 |
| Readmission, n (%) | 1 (6%) |
| Bowel edema (2–3 days), n (%) | 5 (31%) |
| Patient | 1 | 2 | 3 |
| Gender | f | m | m |
| BMI, kg/m2 | 19 | 21 | 21 |
| Age, years | 71 | 61 | 59 |
| IMV-SV reconstruction | yes | no | no |
| CA 19-9, U/mL before NA/after NA | 645/79 | 730/57 | 374/59 |
| Neoadjuvant FOLFIRINOX, N of cycles | 6 | 12 | 6 |
| Adjuvant chemo, N of cycles | 0 | 4 | 6 |
| Histologic type, G | 3 | 2 | 2 |
| Lymph nodes removed, n | 38 | 27 | 51 |
| Lymph nodes involved, n | 1 | 4 | 3 |
| Tumor size at pathology, mm | 38 | 27 | 51 |
| Regression grade | 3 | 3 | 2 |
| Artery resected | SMA | SMA | CHA (Michels IX) |
| Blood transfusion (Units) | 0 | 5 | 0 |
| Morbidity, Dindo-C | 0 | 3b | 0 |
| OP time, min | 870 | 940 | 485 |
| Blood loss, mL | 450 | 1200 | 350 |
| Complications | diarrhea | Lymphorrhea, bowel edema | |
| Readmission | yes | no | no |
| Length of stay, days | 15 | 32 | 14 |
| Reoperation | no | yes | no |
| Time of follow-up, months | 12 | 24 | 20 |
| OS | 11 | 23 | 18 |
| PFS | 11 | 13 | 12 |
| Relapse site | No, MI | liver | peritoneum |
Disclaimer/Publisher’s Note: The statements, opinions and data contained in all publications are solely those of the individual author(s) and contributor(s) and not of MDPI and/or the editor(s). MDPI and/or the editor(s) disclaim responsibility for any injury to people or property resulting from any ideas, methods, instructions or products referred to in the content. |
© 2024 by the authors. Licensee MDPI, Basel, Switzerland. This article is an open access article distributed under the terms and conditions of the Creative Commons Attribution (CC BY) license (https://creativecommons.org/licenses/by/4.0/).
Share and Cite
Egorov, V.; Kim, P.; Dzigasov, S.; Kondratiev, E.; Sorokin, A.; Kolygin, A.; Vyborniy, M.; Bolshakov, G.; Popov, P.; Demchenkova, A.; et al. Pancreatectomy with En Bloc Superior Mesenteric Vein and All Its Tributaries Resection without PV/SMV Reconstruction for “Low” Locally Advanced Pancreatic Head Cancer. Cancers 2024, 16, 2234. https://doi.org/10.3390/cancers16122234
Egorov V, Kim P, Dzigasov S, Kondratiev E, Sorokin A, Kolygin A, Vyborniy M, Bolshakov G, Popov P, Demchenkova A, et al. Pancreatectomy with En Bloc Superior Mesenteric Vein and All Its Tributaries Resection without PV/SMV Reconstruction for “Low” Locally Advanced Pancreatic Head Cancer. Cancers. 2024; 16(12):2234. https://doi.org/10.3390/cancers16122234
Chicago/Turabian StyleEgorov, Viacheslav, Pavel Kim, Soslan Dzigasov, Eugeny Kondratiev, Alexander Sorokin, Alexey Kolygin, Mikhail Vyborniy, Grigoriy Bolshakov, Pavel Popov, Anna Demchenkova, and et al. 2024. "Pancreatectomy with En Bloc Superior Mesenteric Vein and All Its Tributaries Resection without PV/SMV Reconstruction for “Low” Locally Advanced Pancreatic Head Cancer" Cancers 16, no. 12: 2234. https://doi.org/10.3390/cancers16122234
APA StyleEgorov, V., Kim, P., Dzigasov, S., Kondratiev, E., Sorokin, A., Kolygin, A., Vyborniy, M., Bolshakov, G., Popov, P., Demchenkova, A., & Dakhtler, T. (2024). Pancreatectomy with En Bloc Superior Mesenteric Vein and All Its Tributaries Resection without PV/SMV Reconstruction for “Low” Locally Advanced Pancreatic Head Cancer. Cancers, 16(12), 2234. https://doi.org/10.3390/cancers16122234

