Diffuse C-Cells Hyperplasia Is the Source of False Positive Calcitonin Measurement in FNA Washout Fluids of Thyroid Nodules: A Rational Clinical Approach to Avoiding Unnecessary Surgery
Abstract
Simple Summary
Abstract
1. Introduction
2. Materials and Methods
2.1. Patients
2.2. Thyroid Ultrasound
2.3. Hormonal Assays
2.4. Cytology and FNA-CT
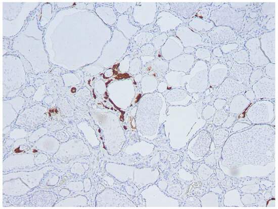
2.5. Histology
2.6. Mutational Analysis of the RET Proto-Oncogene
3. Results
3.1. Patients’ Characteristics of the Study Group
3.2. Patients in the Study Group with High FNA-CT Values
3.3. Patients in the Study Group without Increased FNA-CT Values
3.4. Comparison between TN Dimensions, Type of CCH, and Basal and Stimulated Serum CT in Patients of the Study Group
3.5. Patients’ Characteristics of the Control Group
4. Discussion
5. Conclusions
Author Contributions
Funding
Institutional Review Board Statement
Informed Consent Statement
Data Availability Statement
Acknowledgments
Conflicts of Interest
References
- Wells, S.A., Jr.; Asa, S.L.; Dralle, H.; Elisei, R.; Evans, D.B.; Gagel, R.F.; Lee, N.; Machens, A.; Moley, J.F.; Pacini, F.; et al. Revised American Thyroid Association guidelines for the management of medullary thyroid carcinoma. Thyroid 2015, 25, 567–610. [Google Scholar] [CrossRef] [PubMed]
- Boi, F.; Maurelli, I.; Pinna, G.; Atzeni, F.; Piga, M.; Lai, M.L.; Mariotti, S. Calcitonin measurement in wash-out fluid from fine needle aspiration of neck masses in patients with primary and metastatic medullary thyroid carcinoma. J. Clin. Endocrinol. Metab. 2007, 92, 2115–2118. [Google Scholar] [CrossRef] [PubMed]
- Kim, M.; Kim, B.H. Current Guidelines for Management of Medullary Thyroid Carcinoma. Endocrinol. Metab. 2021, 36, 514–524. [Google Scholar] [CrossRef] [PubMed]
- Trimboli, P.; Giannelli, J.; Marques, B.; Piccardo, A.; Crescenzi, A.; Deandrea, M. Head-to-head comparison of FNA cytology vs. calcitonin measurement in FNA washout fluids (FNA-CT) to diagnose medullary thyroid carcinoma. A systematic review and meta-analysis. Endocrine 2022, 75, 33–39. [Google Scholar] [CrossRef] [PubMed]
- Hodak, S.P.; Burman, K.D. The calcitonin conundrum--is it time for routine measurement of serum calcitonin in patients with thyroid nodules? J. Clin. Endocrinol. Metab. 2004, 89, 511–514. [Google Scholar] [CrossRef][Green Version]
- Pacini, F.; Fontanelli, M.; Fugazzola, L.; Elisei, R.; Romei, C.; Di Coscio, G.; Miccoli, P.; Pinchera, A. Routine measurement of serum calcitonin in nodular thyroid diseases allows the preoperative diagnosis of unsuspected sporadic medullary thyroid carcinoma. J. Clin. Endocrinol. Metab. 1994, 78, 826–829. [Google Scholar] [CrossRef]
- Costante, G.; Durante, C.; Francis, Z.; Schlumberger, M.; Filetti, S. Determination of calcitonin levels in C-cell disease: Clinical interest and potential pitfalls. Nat. Clin. Pract. Endocrinol. Metab. 2009, 5, 35–44. [Google Scholar] [CrossRef]
- Rink, T.; Truong, P.-N.; Schroth, H.-J.; Diener, J.; Zimny, M.; Grünwald, F.; Kasajima, A.; Cameselle-Teijeiro, J.; Loidi, L.; Takahashi, Y.; et al. Calculation and validation of a plasma calcitonin limit for early detection of medullary thyroid carcinoma in nodular thyroid disease. Thyroid 2009, 19, 327–332. [Google Scholar] [CrossRef]
- Gibelin, H.; Essique, D.; Jones, C.; Levillain, P.; Maréchaud, R.; Kraimps, J.L. Increased calcitonin level in thyroid nodules without medullary carcinoma. Br. J. Surg. 2005, 92, 574–578. [Google Scholar] [CrossRef]
- Herrmann, B.L.; Schmid, K.W.; Goerges, R.; Kemen, M.; Mann, K. Calcitonin screening and pentagastrin testing: Predictive value for the diagnosis of medullary carcinoma in nodular thyroid disease. Eur. J. Endocrinol. 2010, 162, 1141–1145. [Google Scholar] [CrossRef]
- Colombo, C.; Verga, U.; Mian, C.; Ferrero, S.; Perrino, M.; Vicentini, L.; Dazzi, D.; Opocher, G.; Pelizzo, M.R.; Beck-Peccoz, P.; et al. Comparison of calcium and pentagastrin tests for the diagnosis and followup of medullary thyroid cancer. J. Clin. Endocrinol. Metab. 2012, 97, 905–913. [Google Scholar] [CrossRef] [PubMed]
- Verga, U.; Ferrero, S.; Vicentini, L.; Brambilla, T.; Cirello, V.; Muzza, M.; Beck-Peccoz, P.; Fugazzola, L. Histopathological and molecular studies in patients with goiter and hypercalcitoninemia: Reactive or neoplastic C-cell hyperplasia? Endocr. Relat. Cancer 2007, 14, 393–403. [Google Scholar] [CrossRef]
- Etit, D.; Faquin, W.C.; Gaz, R.; Randolph, G.; DeLellis, R.A.; Pilch, B.Z. Histopathologic and clinical features of medullary microcarcinoma and C-cell hyperplasia in prophylactic thyroidectomies for medullary carcinoma: A study of 42 cases. Arch. Pathol. Lab. Med. 2008, 132, 1767–1773. [Google Scholar] [CrossRef] [PubMed]
- Diazzi, C.; Madeo, B.; Taliani, E.; Zirilli, L.; Romano, S.; Granata, A.R.; De Santis, M.C.; Simoni, M.; Cioni, K.; Carani, C.; et al. The diagnostic value of calcitonin measurement in wash-out fluid from fine-needle aspiration of thyroid nodules in the diagnosis of medullary thyroid cancer. Endocr. Pract. 2013, 19, 769–779. [Google Scholar] [CrossRef] [PubMed]
- Rochira, V.; Diazzi, C.; Brigante, G.; Persani, L.; Fugazzola, L.; Rossi, G.; Carani, C.; Madeo, B.; Taliani, E.; Zirilli, L.; et al. Lateralization of calcitonin measurements in the wash-out fluid from thyroid fine-needle aspiration: A useful tool for the diagnosis of C-cell-hyperplasia? Thyroid 2011, 21, 1043–1044. [Google Scholar] [CrossRef] [PubMed]
- Scognamiglio, T. C Cell and Follicular Epithelial Cell Precursor Lesions of the Thyroid. Arch. Pathol. Lab. Med. 2017, 141, 1646–1652. [Google Scholar] [CrossRef] [PubMed]
- Russ, G.; Bonnema, S.J.; Erdogan, M.F.; Durante, C.; Ngu, R.; Leenhardt, L. European Thyroid Association Guidelines for Ultrasound Malignancy Risk Stratification of Thyroid Nodules in Adults: The EU-TIRADS. Eur. Thyroid. J. 2017, 6, 225–237. [Google Scholar] [CrossRef] [PubMed]
- Doyle, P.; Düren, C.; Nerlich, K.; Verburg, F.A.; Grelle, I.; Jahn, H.; Fassnacht, M.; Mäder, U.; Reiners, C.; Luster, M. Potency and tolerance of calcitonin stimulation with high-dose calcium versus pentagastrin in normal adults. J. Clin. Endocrinol. Metab. 2009, 94, 2970–2974. [Google Scholar] [CrossRef]
- Kudo, T.; Miyauchi, A.; Ito, Y.; Yabuta, T.; Inoue, H.; Higashiyama, T.; Tomoda, C.; Hirokawa, M.; Amino, N. Serum calcitonin levels with calcium loading tests before and after total thyroidectomy in patients with thyroid diseases other than medullary thyroid carcinoma. Endocr. J. 2011, 58, 217–221. [Google Scholar] [CrossRef]
- Pacini, F.; Schlumberger, M.; Dralle, H.; Elisei, R.; Smit, J.W.; Wiersinga, W.; European Thyroid Cancer Taskforce. European consensus for the management of patients with differentiated thyroid carcinoma of the follicular epithelium. Eur. J. Endocrinol. 2006, 155, 787–803. [Google Scholar] [CrossRef]
- Boi, F.; Lai, M.L.; Marziani, B.; Minerba, L.; Faa, G.; Mariotti, S. High prevalence of suspicious cytology in thyroid nodules associated with positive thyroid autoantibodies. Eur. J. Endocrinol. 2005, 153, 637–642. [Google Scholar] [CrossRef] [PubMed]
- Gharib, H.; Papini, E.; Garber, J.R.; Duick, D.S.; Harrell, R.M.; Hegedüs, L.; Paschke, R.; Valcavi, R.; Vitti, P.; AACE/ACE/AME Task Force on Thyroid Nodules. American Association of Clinical Endocrinologists, American College of Endocrinology, and Associazione Medici Endocrinologi, medical guidelines for clinical practice for the diagnosis and management of thyroid nodules -2016 update. Endocr. Pract. 2016, 22, 622–639. [Google Scholar] [CrossRef] [PubMed]
- Paparodis, R.D.; Karvounis, E.; Bantouna, D.; Chourpiliadis, C.; Hourpiliadi, H.; Livadas, S.; Imam, S.; Jaume, J.C. Large, Slowly Growing, Benign Thyroid Nodules Frequently Coexist with Synchronous Thyroid Cancers. J. Clin. Endocrinol. Metab. 2022, 107, E3474–E3478. [Google Scholar] [CrossRef]
- Haugen, B.R.; Alexander, E.K.; Bible, K.C.; Doherty, G.M.; Mandel, S.J.; Nikiforov, Y.E.; Pacini, F.; Randolph, G.W.; Sawka, A.M.; Schlumberger, M.; et al. 2015 American Thyroid Association Management Guidelines for Adult Patients with Thyroid Nodules and Differentiated Thyroid Cancer: The American Thyroid Association Guidelines Task Force on Thyroid Nodules and Differentiated Thyroid Cancer. Thyroid 2016, 26, 1–133. [Google Scholar] [CrossRef] [PubMed]
- Papini, E.; Crescenzi, A.; D’Amore, A.; Deandrea, M.; De Benedictis, A.; Frasoldati, A.; Garberoglio, R.; Guglielmi, R.; Lombardi, C.P.; Mauri, G.; et al. Italian Guidelines for the Management of Non-Functioning Benign and Locally Symptomatic Thyroid Nodules. Endocr. Metab. Immune Disord.—Drug Targets 2023, 23, 876–885. [Google Scholar] [CrossRef] [PubMed]
- Baloch, Z.W.; Asa, S.L.; Barletta, J.A.; Ghossein, R.A.; Juhlin, C.C.; Jung, C.K.; LiVolsi, V.A.; Papotti, M.G.; Sobrinho-Simões, M.; Tallini, G.; et al. Overview of the 2022 WHO Classification of Thyroid Neoplasms. Endocr. Pathol. 2022, 33, 27–63. [Google Scholar] [CrossRef] [PubMed]
- Perry, A.; Molberg, K.; Albores-Saavedra, J. Physiologic versus neoplastic C-cell hyperplasia of the thyroid: Separation of distinct histologic and biologic entities. Cancer 1996, 77, 750–756. [Google Scholar] [CrossRef]
- Botts, S.; Jokinen, M.P.; Isaacs, K.R.; Meuten, D.J.; Tanaka, N. Proliferative lesions of the thyroid and parathyroid glands. Guides Toxicol. Pathol. 1991, 1–12. [Google Scholar]
- Orgiana, G.; Pinna, G.; Camedda, A.; De Falco, V.; Santoro, M.; Melillo, R.M.; Elisei, R.; Romei, C.; Lai, S.; Carcassi, C.; et al. A new germline RET mutation apparently devoid of transforming activity serendipitously discovered in a patient with atrophic autoimmune thyroiditis and primary ovarian failure. J. Clin. Endocrinol. Metab. 2004, 89, 4810–4816. [Google Scholar] [CrossRef][Green Version]
- Pinna, G.; Orgiana, G.; Riola, A.; Ghiani, M.; Lai, M.L.; Carcassi, C.; Mariotti, S.; Yoon, H.; Kwak, Y.; Choi, S.; et al. RET proto-oncogene in Sardinia: V804M is the most frequent mutation and may be associated with FMTC/MEN-2A phenotype. Thyroid 2007, 17, 101–104. [Google Scholar] [CrossRef]
- Kloos, R.T.; Monroe, R.J.; Traweek, S.T.; Lanman, R.B.; Kennedy, G.C.; Ross, D.S.; Burch, H.B.; Cooper, D.S.; Greenlee, M.C.; Laurberg, P.; et al. A genomic alternative to identify medullary thyroid cancer oreoperatively in thyroid nodules with indeterminate cytology. Thyroid 2016, 26, 785–793. [Google Scholar] [CrossRef] [PubMed]
- Randolph, G.W.; Sosa, J.A.; Hao, Y.; Angell, T.E.; Shonka, D.C.; LiVolsi, V.A.; Ladenson, P.W.; Blevins, T.C.; Duh, Q.-Y.; Ghossein, R.; et al. Preoperative identification of medullary thyroid carcinoma (MTC): Clinical validation of Afirma MTC RNA-Sequencing Classifier. Thyroid 2022, 32, 1069–1076. [Google Scholar] [CrossRef] [PubMed]




| Age Sex | Lobe/Size/TI-RADS Score | Cytology | Nodule Histology | Basal CT (pg/mL) | FNA-CT (pg/mL) | Stimulated CT (pg/mL) | C-Cell Histology |
|---|---|---|---|---|---|---|---|
| 69/F | Lobe sx/12 mm/TI-RADS 3 | THY 2 | Focal LT | 43 | >2000 | 250 | Diffuse bilateral CCH |
| 74/F | Lobe dx/18 mm/TI-RADS 3 | THY 3-A | MNG | 29 | 1480 | 165 | Diffuse CCH right lobe |
| 60/F | Lobe sx/24 mm/TI-RADS 3 | THY 2 | HN in LT | 34 | 1100 | 180 | Diffuse bilateral CCH |
| 42/M | Lobe sx/17 mm/TI-RADS 3 | THY 3-B | FA | 26 | 660 | 146 | Diffuse CCH left lobe |
| 50/F | Lobe dx/14 mm/TI-RADS 5 | THY 3-B | PTC-FV | 52 | 280 | 243 | Diffuse bilateral CCH |
| 51/M | Lobe dx/23 mm/TI-RADS 3 | THY 3-A | HN | 31 | 271 | 174 | Diffuse bilateral CCH |
| 77/F | Isthmus/25 mm/TI-RADS 4 | THY 3-A | MNG | 16 | 11 | 44 | Focal bilateral CCH |
| 73/M | Lobe dx/31 mm/TI-RADS 3 | THY 3-A | HN in LT | 18 | 10 | 40 | Focal bilateral CCH |
| 37/F | Isthmus/22 mm/TI-RADS 4 | THY 3-B | FC | 17 | 8 | 35 | Focal bilateral CCH |
| 50/F | Lobe dx/14 mm/TI-RADS 5 | THY 4 | PTC-CV | 15 | <2 | 39 | Focal CCH left lobe |
| 49/M | lobe sx/16 mm/TI-RADS 4 | THY 4 | IEPTC-FV | 31 | <2 | 210 | Diffuse CCH right lobe |
| Age Sex | Lobe/Size/TI-RADS Score | Cytology | Basal CT (pg/mL) | FNA-CT (pg/mL) | Stimulated CT (pg/mL) | Histology |
|---|---|---|---|---|---|---|
| 77/F | Lobe dx/7 mm/TI-RADS 5 | ND | 21 | >2000 | 670 | MTC |
| 68/F | Lobe sx/8 mm/TI-RADS 5 | ND | 120 | >2000 | 420 | MTC |
| 64/F | Lobe dx/8 mm/TI-RADS 5 | THY 4 | 145 | 2000 | 227 | MTC |
| 60/F | Isthmus/9 mm /TI-RADS 4 | THY 5 | 123 | >2000 | 524 | MTC |
| 50/F | Lobe dx/10 mm/TI-RADS 4 | ND | 47 | >2000 | 1319 | MTC |
| 55/F | Lobe dx/11 mm/TI-RADS 5 | THY 5 | 345 | >2000 | 1521 | MTC |
| 57/M | Lobe sx/15 mm/TI-RADS 5 | THY 5 | 23 | >2000 | 369 | MTC |
| 60/F | Isthmus/22 mm /TI-RADS 4 | THY 3-B | 1526 | 860 | NP | MTC |
| 53/F | Lobe dx/25 mm/TI-RADS 3 | THY 4 | 1146 | >2000 | NP | MTC |
| 76/F | Lobe sx/40 mm/TI-RADS 3 | THY 4 | 2000 | >2000 | NP | MTC |
Disclaimer/Publisher’s Note: The statements, opinions and data contained in all publications are solely those of the individual author(s) and contributor(s) and not of MDPI and/or the editor(s). MDPI and/or the editor(s) disclaim responsibility for any injury to people or property resulting from any ideas, methods, instructions or products referred to in the content. |
© 2024 by the authors. Licensee MDPI, Basel, Switzerland. This article is an open access article distributed under the terms and conditions of the Creative Commons Attribution (CC BY) license (https://creativecommons.org/licenses/by/4.0/).
Share and Cite
Mura, C.; Rodia, R.; Corrias, S.; Cappai, A.; Lai, M.L.; Canu, G.L.; Medas, F.; Calò, P.G.; Mariotti, S.; Boi, F. Diffuse C-Cells Hyperplasia Is the Source of False Positive Calcitonin Measurement in FNA Washout Fluids of Thyroid Nodules: A Rational Clinical Approach to Avoiding Unnecessary Surgery. Cancers 2024, 16, 210. https://doi.org/10.3390/cancers16010210
Mura C, Rodia R, Corrias S, Cappai A, Lai ML, Canu GL, Medas F, Calò PG, Mariotti S, Boi F. Diffuse C-Cells Hyperplasia Is the Source of False Positive Calcitonin Measurement in FNA Washout Fluids of Thyroid Nodules: A Rational Clinical Approach to Avoiding Unnecessary Surgery. Cancers. 2024; 16(1):210. https://doi.org/10.3390/cancers16010210
Chicago/Turabian StyleMura, Chiara, Rossella Rodia, Silvia Corrias, Antonello Cappai, Maria Letizia Lai, Gian Luigi Canu, Fabio Medas, Pietro Giorgio Calò, Stefano Mariotti, and Francesco Boi. 2024. "Diffuse C-Cells Hyperplasia Is the Source of False Positive Calcitonin Measurement in FNA Washout Fluids of Thyroid Nodules: A Rational Clinical Approach to Avoiding Unnecessary Surgery" Cancers 16, no. 1: 210. https://doi.org/10.3390/cancers16010210
APA StyleMura, C., Rodia, R., Corrias, S., Cappai, A., Lai, M. L., Canu, G. L., Medas, F., Calò, P. G., Mariotti, S., & Boi, F. (2024). Diffuse C-Cells Hyperplasia Is the Source of False Positive Calcitonin Measurement in FNA Washout Fluids of Thyroid Nodules: A Rational Clinical Approach to Avoiding Unnecessary Surgery. Cancers, 16(1), 210. https://doi.org/10.3390/cancers16010210

