Abstract
Simple Summary
Intraductal papillary mucinous neoplasms are non-invasive precursor lesions for pancreatic cancer that are often surgically resected when certain diagnostic criteria are met. While multiple cyst features play a role in determining their resectability, cyst size is an important factor. The aim of this study is to compare the cyst size on seven commonly-obtained MRI sequences with surgically-resected specimen pathology size in a retrospective cohort of 52 patients. The maximum MRI size across the sequences correlated well but tended to overestimate length compared to pathology measurement.
Abstract
BACKGROUND: While multiple cyst features are evaluated for stratifying pancreatic intraductal papillary mucinous neoplasms (IPMN), cyst size is an important factor that can influence treatment strategies. When magnetic resonance imaging (MRI) is used to evaluate IPMNs, no universally accepted sequence provides optimal size measurements. T2-weighted coronal/axial have been suggested as primary measurement sequences; however, it remains unknown how well these and maximum all-sequence diameter measurements correlate with pathology size. This study aims to compare agreement and bias between IPMN long-axis measurements on seven commonly obtained MRI sequences with pathologic size measurements. METHODS: This retrospective cohort included surgically resected IPMN cases with preoperative MRI exams. Long-axis diameter tumor measurements and the presence of worrisome features and/orhigh-risk stigmata were noted on all seven MRI sequences. MRI size and pathology agreement and MRI inter-observer agreement involved concordance correlation coefficient (CCC) and intraclass correlation coefficient (ICC), respectively. The presence of worrisome features and high-risk stigmata were compared to the tumor grade using kappa analysis. The Bland-Altman analysis assessed the systematic bias between MRI-size and pathology. RESULTS: In 52 patients (age 68 ± 13 years, 22 males), MRI sequences produced mean long-axis tumor measurements from 2.45–2.65 cm. The maximum MRI lesion size had a strong agreement with pathology (CCC = 0.82 (95% CI: 0.71–0.89)). The maximum IPMN size was typically observed on the axial T1 arterial post-contrast and MRCP coronal series and overestimated size versus pathology with bias +0.34 cm. The radiologist interobserver agreement reached ICCs 0.74 to 0.91 on the MRI sequences. CONCLUSION: The maximum MRI IPMN size strongly correlated with but tended to overestimate the length compared to the pathology, potentially related to formalin tissue shrinkage during tissue processing.
1. Introduction
Intraductal papillary mucinous neoplasms (IPMNs) are non-invasive, cystic neoplasms of the pancreatic main duct and/or its side branches. A significant proportion have the potential to harbor high-grade disease and undergo malignant transformation to invasive pancreatic ductal adenocarcinoma [,,,]. Although IPMNs can be asymptomatic, they are increasingly being incidentally detected on imaging, with a prevalence of 19.9% on magnetic resonance imaging (MRI) and 2.6% on computed tomography (CT) [,]. With such a high frequency of incidental detection of IPMNs on imaging, there has been controversy within the radiology community on how to accurately characterize them as benign or malignant. Currently, most institutions use the International Consensus Guidelines (ICG) (also called the Fukuoka Consensus Guidelines, or the Fukuoka Criteria) to provide the basis for risk stratification of IPMNs on imaging [,]. ICG consists of categories called ‘worrisome features’ and ‘high-risk stigmata’ (WF/HRS), which include radiologic and clinical features used to assess the malignant potential of IPMNs. Contingent upon the presence or absence of certain ICG criteria, a radiologist may classify an IPMN as benign or malignant. Patients with a benign IPMN will be assigned for surveillance with imaging follow-up, whereas a patient with a malignant IPMN is recommended for further work up and/or surgical resection.
In addition to the assessment of high-risk stigmata such as the presence of main duct involvement and/or mural nodules, size measurement is an important criterion in stratifying pancreatic IPMN cases into surgical resection or imaging follow-up groups. It has been shown that IPMNs with a size measuring >3 cm on imaging are at a much greater risk of harboring high-grade or malignant pathology compared to those <3 cm [,,,]. Therefore, an IPMN size measuring >3 cm is categorized as a ‘worrisome feature’ under the ICG and indicates further workup with endoscopic ultrasound (EUS) and/or surgical resection []. Given that patients with low-grade IPMNs have an excellent 5-year survival (94–100%) compared to those with high-grade/invasive IPMNs (31–65%), it is imperative to make an accurate and prompt pathologic determination [,,,,]. Furthermore, there is a risk that comes with the surgical resection of IPMNs (post-operative morbidity of 40% and mortality of 2.3%) and therefore surgery should ideally be reserved for those with the highest risk for having high-grade IPMN pathology [].
There is significant variability in measuring IPMN size both between and within different imaging modalities [,]. However, MRI and CT IPMN size measurements have shown moderate agreement with post-operative pathology and exhibit similar inter-observer variability when measuring IPMN size (ICC = 0.81–0.86 for MRI, ICC = 0.85 for CT) [,,,]. While MRI and CT have both proven to be efficacious in accurately predicting IPMN malignancy (MRI AUC = 0.82–0.86, CT AUC = 0.82–0.83), MRI exhibits certain advantages over CT when evaluating IPMNs [,,]. MRI performs better than CT in classifying IPMN type and identifying the extent of the disease, regarding ductal connections, main duct involvement, and branch duct cysts []. MRI also allows the accurate identification of associated solid nodules ≥5 mm which correlate with lesion malignancy []. Additionally, it has been shown that CT is unable to visualize 22% of the IPMNs visualized on MRI, as well as 3% of IPMNs greater than 15 mm visualized on MRI [].
Although consensus society statements provide guidance when MRI is used to evaluate pancreatic IPMNs, there is no single universally-accepted imaging sequence which provides optimal size measurements [,]. Previous authors support reporting longest axis cyst size on T2W coronal or axial imaging or magnetic resonance cholangiopancreatography (MRCP) in an attempt to report a highly reproducible and maximal diameter [,]. Standard MRI exams can have over 20 series in which size measurements of a single lesion can vary considerably across sequences. The MRI sequence chosen to measure the maximum IPMN long-axis diameter is important and can sometimes stray from the guidelines, potentially explaining the moderate values reported for inter-observer agreement in measuring IPMN size on MRI (kappa = 0.59–0.70) [,]. However, employing IPMN measurement standards has been shown to improve the agreement within a group of radiologists [,]. These include: measuring from outer-wall to outer-wall on coronal T2 weighted images, using axial images for localization, using maximal intensity projection (MIP) MRCP images when IPMNs are poorly visualized on T2 weighted imaging, and excluding a neck or linear ductal connection from measurement [].
Previous studies show a discrepancy between radiological and pathologic size measurements of hepatic and renal tumors and, likewise, studies involving pancreatic tumors have illustrated a similar lack of correlation between radiological measurement and pathologic size [,,,,]. For example, Maimone et al. used MRCP to measure IPMN long-axis diameter in comparison to pathology and reported size differences ranging from 2–44 mm with a mean difference of 5.88 mm, while Lee, Y.S. et al. used a T2 weighted MRI sequence to conduct a similar study which found size differences ranging from 2–24 mm with a mean difference of 8.65 mm [,]. Evidently, there is a need for verification that recommended sequences for IPMN size measurements correlate with pathologic size. Increased accuracy in IPMN size measurement can improve the risk stratification of IPMNs using the ICG and therefore lead to more appropriate clinical management. The purpose of this study is to compare the agreement between IPMN long-axis diameter measurements including maximum size on seven commonly-obtained MRI abdomen sequences and pathologic gross specimen size measurement.
2. Materials and Methods
Patients with surgically resected IPMNs who were treated at Moffitt Cancer Center (Tampa, FL, USA) between 2007 and 2018 were included in this IRB-approved HIPAA-compliant retrospective cohort with a waiver of consent. Ethics committee approval was not required for this study. Surgical risk stratification was generally based on ICG risk stratification criteria. Fifty-two subjects with pathologically proven IPMN and available preoperative MRI were evaluated. For patients with a multifocal disease, the largest cyst was evaluated. On MRI exams, long-axis diameter tumor measurements of the most concerning pancreatic lesion were performed, extending from outer wall to outer wall on each of the following seven sequences: T2w Axial, T2w Fat-Saturated (FS) Axial, T2w Coronal, MRCP Coronal, T1w Arterial Axial, T1w Venous Axial, Diffusion Weighted Imaging (DWI) low B Axial.
2.1. MRI Techniques
All MR examinations were performed on 1.5 T MRI scanners: n = 36 (Siemens Medical Solutions, Erlangen, Germany); n = 7 (Philips Medical Systems, Amsterdam, The Netherlands); n = 5 (General Electric Medical Systems, Waukesha, WI, USA); n = 2 (Hitachi Medical Corporation, Tokyo, Japan); n = 1 (Toshiba-MEC, Tokyo, Japan); n = 1 (Marconi Medical Systems, Cleveland, OH, USA) using standard pulse sequences. T2 weighted axial images: echo time (TE) = 60–184 ms, repetition time (TR) = 437–22,000 ms, flip angle (FA) = 90–180 ms, slice thickness =3.8–10 mm, field of view (FOV) = [310–480] × [233–400] mm2, matrix = [192–256] × 512, number of excitations/averages (NEX) = 1–4, in-plane pixel resolution 0.61–1.76 mm. T2 weighted fat saturated axial images TE = 61–125 ms, TR = 710–15,000 ms, flip angle = 68–180 ms, slice thickness = 3.8–10 mm, FOV = [194–310] × [450–480] mm2, matrix = [192–256] × 512, NEX (averages) = 1–3, in-plane pixel resolution 0.61–1.76 mm. T2 weighted coronal images: TE = 67–447 ms, TR = 399–1915 ms, flip angle = 90–180 ms, slice thickness = 4–10 mm, FOV = [298–300] × 480 mm2, matrix = [224–240] × 512, NEX (averages) = 1–2, in-plane pixel resolution 0.59–1.56 mm. MRCP coronal images: TE = 120–675 ms, TR = 1000–8062 ms, flip angle = 90–180 ms, slice thickness = 1–3 mm, FOV = 194 × [430–450] mm2, matrix = 192 × [768–986], NEX (averages) = 1–2, in-plane pixel resolution 0.38–1.77 mm. T1 weighted fat saturated axial arterial phase: TE = 1–16 ms, TR = 3–475 ms, flip angle = 10–90 ms, slice thickness = 2.5–10 mm, FOV = [200–280] × [410–480] mm2, matrix = [160–240] × 512, NEX (averages) = 1, in-plane pixel resolution 0.55–1.60 mm. DWI axial images b = 50:TE = 69–71 ms, TR = 3550 ms, flip angle = 90 ms, slice thickness = 8 mm, FOV = 380 × 450 mm2, matrix = 256 × 256, NEX (averages) = 1, in-plane pixel resolution 1.48–1.76 mm. The MRI sequences included in this study are shown in Figure 1.

Figure 1.
MRI sequences evaluated in this study. (A). Axial T2W HASTE. (B). Axial T2W fat saturated. (C). Axial DWI (low b = 50). (D). Coronal T2W HASTE. (E). Coronal MRCP. (F). Axial T1W fat saturated post contrast arterial phase, (G). Axial T1W fat saturated post contrast venous phase. The maximum diameter was measured on the coronal MRCP series for this uncinate process pathology proven pancreatic IPMN. MRI: Magnetic resonance imaging. W: Weighted. HASTE: Half-Fourier single-shot turbo spin-echo. DWI: Diffusion weighted imaging. IPMN: Intraductal papillary mucinous neoplasm. MRCP: Magnetic resonance cholangiopancreatography.
2.2. Image Measurement Techniques
MR images were viewed using the GE Universal Viewer Picture Archiving and Communication System (PACS) version 6.0 (GE Healthcare, Waukesha WI, USA). Images from each MRI sequence displaying the maximal pancreatic cystic lesion dimension were viewed at full screen on radiologic diagnostic monitors and the largest diameter was recorded to the millimeter level for each lesion. Two experienced oncologic abdominal radiologists (DJ and BM) performed the measurements. Within each sequence, the exact MRI slice and measurement direction was decided by each radiologist using standard clinical radiological technique, measuring lesions from outer-wall to outer-wall as suggested by previous authors []. Radiologists were blinded to pathologic cyst size and consensus MRI measurements. Each MRI sequence of all exams was also evaluated for the presence of one or more WF/HRS by two observers []. If one or more WF/HRS was observed on a particular series, this was noted as positive.
2.3. Pathology Data Collection
Long-axis diameter pancreatic cyst measurements were collected during the gross pathology tissue evaluation process following formalin fixation. The lesion location within the pancreas, tumor grade, and type of surgical treatment were also recorded. IPMNs with a histologic grade of low- or moderate-grade dysplasia were considered “low grade” and tumors with high-grade dysplasia or invasive disease were considered “high grade”.
2.4. Statistical Analysis
The agreement of size measurements between MRI and pathology was evaluated using the concordance correlation coefficient. Bias between MRI sequences and pathology was measured using Bland-Altman analysis. Pearson correlation was performed for cyst size on MRI and pathology for this parametrically distributed data, similar to prior methods []. The interobserver agreement for MRI tumor measurements was measured between two experienced abdominal oncology specialized radiologists (DJ and BM) using intraclass correlation.
Each MRI sequence was also evaluated in its agreement with the tumor grade. Kappa analysis was performed to evaluate the agreement between the presence of positive WF/HRS and high-grade pathology. Kappa was also used to evaluate the interobserver agreement for the presence of one or more WF/HRS on each MR sequence.
3. Results
The clinical and pathological characteristics of the 52 patients included in this study are summarized in Table 1. The MRI sequences produced mean long-axis tumor measurements ranging from 2.45–2.65 cm (Table 2). The maximum and minimum pathologic size of tumors in this cohort were 8.5 cm and 0.4 cm respectively. The maximum MRI measurement size had a strong agreement with pathology with a CCC (95%CI) of 0.82 (0.71–0.89). The individual MRI sequence agreement with pathology CCC ranged from 0.66 to 0.83 and among the seven MRI sequences the axial T2 weighted fat saturated sequence (T2FS) had the highest agreement with a CCC (95%CI) of 0.83 (0.72–0.90) (Figure 2). Bland-Altman analysis showed standard axial and coronal MRI sequences underestimated size compared to pathology, while MRCP coronal and the maximum measurement overestimated size compared to pathology. T2w Axial MRI underestimated pathology by 0.13 cm or 5%; T2w Coronal MRI size underestimated pathology by 0.10 cm or 4%; and MRCP coronal slightly overestimated pathology by 0.003cm or 0.1%. Complete Bland-Altman results are reported in (Table 2).

Table 1.
Clinical and pathological characteristics of IPMN cases in the cohort (n = 52).

Table 2.
IPMN tumor size measurements across MRI sequences and pathology (n = 52).

Figure 2.
Correlation between MRI and pathology size. The lower left scatterplots show individual size measurements in cm and their correlation with other MRI sequences. The sequence bar graphs (teal) show the IPMN size distribution of lesions within each sequence. The upper right boxes show Pearson correlation (r) and significance (p value) between combinations of MRI/path.
There was a strong agreement between radiologists for tumor length measurement on the MRI sequences with ICC ranging from 0.74 to 0.91. The highest interobserver agreement was noted on the low B value DWI sequence with an ICC (95%CI) of 0.91 (0.81–0.95) while the maximum MRI dimension across all examined sequences had an ICC (95%CI) of 0.76 (0.59–0.86).
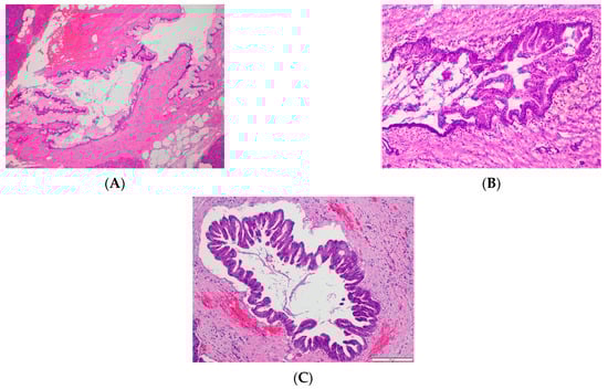
There was moderate agreement between the presence of 1 or more WF/HRS and pathologic high-grade tumor (Table 3). The T2w axial, T2w FS axial, and T2w coronal sequences achieved the highest agreement with pathology, kappa 95%CI of 0.60 (0.36, 0.84). The T1w venous phase axial series had the lower agreement with pathology, kappa 95%CI of 0.45 (0.17, 0.74). There was substantial interobserver agreement in the presence of 1 or more WF/HRS on individual MRI sequences, with T2w sequences having the highest agreement (Table 3). Invasive adenocarcinoma was pathologically noted on 2/52 cases and both cases were correctly assigned as positive for WF/HRS with agreement between reviewers. Of note, both invasive cases were large size > 3.0 cm with significant solid components > 0.5 cm associated with a dominant cystic mass. Histologic examples of IPMN tumor grades commonly encountered in this study are shown in Figure 3.

Table 3.
MRI agreement with pathology grade.

Figure 3.
Histopathologic images of IPMNs. H&E-stained samples showing. (A). IPMN with low-grade dysplasia, (B). IPMN with moderate-grade dysplasia, and (C). IPMN with high-grade dysplasia. In this study, low- and moderate-grade dysplasia were considered benign and high-grade dysplasia was considered malignant.
4. Discussion
In this first study to evaluate MRI size vs. pathology in a retrospective analysis of MRI data from patients who underwent surgical resection for IPMN, we showed that maximum measured MRI IPMN size had strong correlation with pathologic size, but it overestimated pathologic size by 0.34 cm or 11% on average. Because the longest diameter can occur on coronal or axial planes depending on the lesion orientation, the maximum diameter across all sequences was the most clinically applicable data for pathology comparison. Currently, there is no standardized method or sequence for measuring IPMN size on MRI exams.
Often, radiologists choose the sequence and imaging plane felt to best represent the lesion’s maximal diameter. However, the correlation and bias of maximal MRI size in addition to individual MRI sequence size with IPMN pathology size has not previously been reported. In our study, the MRI average measurements varied 8% across the seven tested sequences. Consequently, for borderline IPMNs these differences can result in measurements above or below the ICG 3 cm “worrisome feature” cutoff based on the sequence used. The maximum IPMN lesion diameter most commonly occurred on the axial T1 weighted arterial phase, with the MRCP coronal accounting for the second most common sequence (Table 2). A previous study from our group showed that MRI tended to over-estimate pathologic cyst size by 0.27 cm or 9.5% []. Our results show maximum MRI dimension overestimates pathology size, concordant with previous work. Lesion spatial orientation will affect which imaging plane best represents the true maximum dimension. Although high interobserver agreement is obtained on multiple T2 weighted and T1 post contrast sequences, the maximum lesion diameter across all observed sequences would be most important to report.
There may be conceptual explanations for why certain MRI sequences show better inter-observer agreement for IPMN size measurement. Our study showed highest inter-observer agreement with the low B-value DWI sequence which tended to have a greater slice thickness than other series and, consequently, fewer slices to choose from during the measurement process. Additionally, the low B-value DWI series offers relatively higher target cystic IPMN signal to background pancreas signal which may have led to more reproducible measurements. However, DWI series offer a limited role in recommended cyst size measurement workflows but they may offer valuable information regarding the presence of restricted diffusion. Conversely, the MRCP coronal series had the lowest inter-observer agreement. Despite also having high target IPMN signal to background pancreas, the MRCP sequence had the smallest average slice thickness of included series which yields the radiologist the most potential room for disagreement on optimal measurement slice selection.
The T2 weighted sequences provided size measurements with good agreement and acceptable bias when compared to pathology. Additionally, T2 weighted sequences provided the highest agreement with pathology tumor grade along with good interobserver variability measurements. Our study supports previous authors’ suggestions that T2 weighted imaging should play a primary role in IPMN size measurements and tumor grade prediction [,].
An important limitation of this study is the phenomenon of tissue shrinkage which occurs with formalin fixation for pathologic evaluation. Given the retrospective nature of this study, more optimal measurements prior to formalin fixation were not available. Studies have demonstrated that tumors of the lung, breast, kidney, head, and neck have exhibited size shrinkage of 4–5% from fresh to formalin-fixed specimens [,,,]. Renal tumors showed additional shrinkage of 7% from formalin-fixed to histological measurements []. Additional studies have shown that certain tumors, such as oral squamous cell carcinomas, have undergone a size shrinkage of 10–11% from fresh to formalin-fixed specimens [,]. It is possible that IPMNs are also susceptible to size shrinkage to a similar degree upon formalin fixation before their pathologic size is determined. Therefore, there is potential for measuring bias to occur due to the difference in sizes between in-situ and formalin-fixed specimens. Ideally, an immediate size measurement of fresh specimens prior to formalin fixation would provide the most accurate size comparisons to in-situ measurements by MRI. However, the shrinkage of fresh tumors can be accounted for by applying correction factors of 1.05 for formalin fixed tumors or 1.08 for tumors undergoing histological analysis [,]. The fixation duration also influences tissue size shrinkage. Short fixation times (<24 h) have an effect only at the tissue periphery, whereas prolonged fixation (>24 h) has a more pronounced effect on the entire tissue [,]. Studies have shown that the typical duration of formalin fixation can range from 6–24 h to 24–48 h, with a minority of instances even greater than 48 h [,,]. However, there is a high internal reliability for measuring pathological tumor size within the same institution due to consistency in tumor shrinkage within tissue-processing laboratories []. Additionally, a pancreatic specimen often requires sectioning to find and measure the cyst, which can lead to the collapse of the lesion and possible sub-maximal pathologic size measurement. Tissue-processing-related shrinkage could contribute to relatively higher radiological size measurements compared to pathology; however, a radiological overestimation of size may be somewhat clinically acceptable.
Another important distinction to note between pathologic and radiological measurements is the structural condition of IPMNs at the time of measurement. Imaging studies measure IPMNs with an intact cyst wall in 3 dimensions, whereas pathology measures IPMNs as an opened cyst in 2 dimensions which may underestimate the actual size of the intact cyst as measured in-situ. Likewise, fine needle aspiration occurring prior to MRI has the potential to decrease cyst size on imaging. In our study, MRIs were obtained prior to any EUS-guided fine needle aspiration. The time passage between preoperative MRI and surgery is another concern. The median time between MRI and surgical resection was 72 days. IPMNs have been reported to have a growth rate between 0.08–1.86 cm per year [,]. Additional limitations in this study include its retrospective study design and a small sample size. We recognize that the study is vulnerable to selection bias as the surgically-resected specimens included in this study were those with a preceding pathologic diagnosis. Furthermore, different institutions have varying MRI scanner brands, sequences, and settings, which have been shown to cause variability in tumor size measurement []. Larger slice thickness and spacing of each sequence could also introduce variability where the true cyst longest diameter may occur in between slices.
5. Conclusions
Our study demonstrated that IPMN maximum MRI size measurements had a strong correlation with pathology size with a strong interobserver agreement; however, maximum MRI size tended to overestimate gross pathologic size. Among the seven MRI sequences evaluated, the maximum IPMN measurement occurred most commonly on the axial T1 arterial post contrast and MRCP coronal series within our cohort. Future larger multi-institutional prospective trials could further define the agreement of MRI measurements including the longest 3D planar diameter and the incorporation with EUS measurements with pre-formalin pathology and determinate applicability in clinical treatment strategies.
Author Contributions
Conceptualization, D.J., P.H., M.M. and J.B.P.; Methodology, D.J., B.M., D.-T.C., J.L., B.A.C., K.J., I.E.N., N.R., A.Q., J.B.F. and J.B.P.; Software, D.J., B.M. and J.B.P.; Validation, D.J., B.M., D.-T.C., J.L., I.E.N. and N.R.; Formal analysis, D.J., D.-T.C., J.L. and J.B.P.; Investigation, D.J., B.M., S.L.P., D.-T.C., B.A.C., K.J. and J.B.P.; Resources, D.J., S.L.P., D.-T.C., J.L. and J.C.; Data curation, D.J., B.M., S.L.P., B.A.C., S.M. (Sebastian Machado), P.T.F., T.H. and J.B.P.; Writing—original draft preparation, D.J., S.L.P. and J.B.P.; Writing—review and editing, D.J., B.M., S.L.P., D.-T.C., J.L., P.H., B.A.C., J.C., K.J., S.M. (Sebastian Machado), I.E.N., P.T.F., T.H., N.R., S.M. (Shaffer Mok), A.D., M.M., A.Q., J.B.F. and J.B.P.; Visualization, D.J., P.H. and J.B.P.; Supervision, D.J. and J.B.P.; Project administration, D.J. and J.B.P.; Funding acquisition, D.J. and J.B.P. All authors have read and agreed to the published version of the manuscript.
Funding
This research was funded in part by the National Cancer Institute of the National Institutes of Health Grant number R37CA229810. This work was also supported by the Quantitative Imaging Core, Tissue Core, and the Biostatistics and Bioinformatics Shared Resource at the H. Lee Moffitt Cancer Center & Research Institute, an NCI-designated Comprehensive Cancer Center (P30-CA076292). The content is solely the responsibility of the authors and does not necessarily represent the official views of the sponsors or the participating institutions.
Institutional Review Board Statement
The study was conducted in accordance with the Declaration of Helsinki and was approved by the Institutional Review Board of University of South Florida (CR9_Pro00004781, 16 June 2019).
Informed Consent Statement
Patient consent was waived due to the retrospective nature of the study which involved the anonymization of protected health information.
Data Availability Statement
The data presented in this study are available on request from the corresponding author. The data are not publicly available due to [database complexity and local storage guidelines].
Acknowledgments
The authors thank Silvana Papa for administrative support with this project.
Conflicts of Interest
The authors declare no conflict of interest.
References
- Hwang, D.W.; Jang, J.Y.; Lee, S.E.; Lim, C.S.; Lee, K.U.; Kim, S.W. Clinicopathologic analysis of surgically proven intraductal papillary mucinous neoplasms of the pancreas in SNUH: A 15-year experience at a single academic institution. Langenbecks Arch. Surg. 2012, 397, 93–102. [Google Scholar] [CrossRef] [PubMed]
- Sohn, T.A.; Yeo, C.J.; Cameron, J.L.; Hruban, R.H.; Fukushima, N.; Campbell, K.A.; Lillemoe, K.D. Intraductal papillary mucinous neoplasms of the pancreas: An updated experience. Ann. Surg. 2004, 239, 788–797; discussion 797–789. [Google Scholar] [CrossRef] [PubMed]
- Takahashi, H.; Nakamori, S.; Nakahira, S.; Tsujie, M.; Takahshi, Y.; Marubashi, S.; Miyamoto, A.; Takeda, Y.; Nagano, H.; Dono, K.; et al. Surgical outcomes of noninvasive and minimally invasive intraductal papillary-mucinous neoplasms of the pancreas. Ann. Surg. Oncol. 2006, 13, 955–960. [Google Scholar] [CrossRef] [PubMed]
- Uehara, H.; Nakaizumi, A.; Ishikawa, O.; Iishi, H.; Tatsumi, K.; Takakura, R.; Ishida, T.; Takano, Y.; Tanaka, S.; Takenaka, A. Development of ductal carcinoma of the pancreas during follow-up of branch duct intraductal papillary mucinous neoplasm of the pancreas. Gut 2008, 57, 1561–1565. [Google Scholar] [CrossRef] [PubMed]
- Laffan, T.A.; Horton, K.M.; Klein, A.P.; Berlanstein, B.; Siegelman, S.S.; Kawamoto, S.; Johnson, P.T.; Fishman, E.K.; Hruban, R.H. Prevalence of unsuspected pancreatic cysts on MDCT. AJR Am. J. Roentgenol. 2008, 191, 802–807. [Google Scholar] [CrossRef] [PubMed]
- Zhang, X.-M.; Mitchell, D.G.; Dohke, M.; Holland, G.A.; Parker, L. Pancreatic Cysts: Depiction on Single-Shot Fast Spin-Echo MR Images. Radiology 2002, 223, 547–553. [Google Scholar] [CrossRef]
- Tanaka, M.; Fernandez-Del Castillo, C.; Kamisawa, T.; Jang, J.Y.; Levy, P.; Ohtsuka, T.; Salvia, R.; Shimizu, Y.; Tada, M.; Wolfgang, C.L. Revisions of international consensus Fukuoka guidelines for the management of IPMN of the pancreas. Pancreatol. Off. J. Int. Assoc. Pancreatol. (IAP) 2017, 17, 738–753. [Google Scholar] [CrossRef]
- Tanaka, M.; Fernandez-del Castillo, C.; Adsay, V.; Chari, S.; Falconi, M.; Jang, J.Y.; Kimura, W.; Levy, P.; Pitman, M.B.; Schmidt, C.M.; et al. International consensus guidelines 2012 for the management of IPMN and MCN of the pancreas. Pancreatol. Off. J. Int. Assoc. Pancreatol. (IAP) 2012, 12, 183–197. [Google Scholar] [CrossRef]
- Sadakari, Y.; Ienaga, J.; Kobayashi, K.; Miyasaka, Y.; Takahata, S.; Nakamura, M.; Mizumoto, K.; Tanaka, M. Cyst size indicates malignant transformation in branch duct intraductal papillary mucinous neoplasm of the pancreas without mural nodules. Pancreas 2010, 39, 232–236. [Google Scholar] [CrossRef]
- Nagai, K.; Doi, R.; Kida, A.; Kami, K.; Kawaguchi, Y.; Ito, T.; Sakurai, T.; Uemoto, S. Intraductal papillary mucinous neoplasms of the pancreas: Clinicopathologic characteristics and long-term follow-up after resection. World J. Surg. 2008, 32, 271–278; discussion 279–280. [Google Scholar] [CrossRef]
- Rodriguez, J.R.; Salvia, R.; Crippa, S.; Warshaw, A.L.; Bassi, C.; Falconi, M.; Thayer, S.P.; Lauwers, G.Y.; Capelli, P.; Mino-Kenudson, M.; et al. Branch-duct intraductal papillary mucinous neoplasms: Observations in 145 patients who underwent resection. Gastroenterology 2007, 133, 72–79; quiz 309–310. [Google Scholar] [CrossRef] [PubMed]
- Kim, T.H.; Woo, Y.S.; Chon, H.K.; Hwang, J.H.; Yoo, K.S.; Lee, W.J.; Lee, K.H.; Lee, J.K.; Dong, S.H.; Park, C.H.; et al. Predictors of Malignancy in "Pure" Branch-Duct Intraductal Papillary Mucinous Neoplasm of the Pancreas without Enhancing Mural Nodules on CT Imaging: A Nationwide Multicenter Study. Gut Liver 2018, 12, 583–590. [Google Scholar] [CrossRef] [PubMed]
- Kim, S.C.; Park, K.T.; Lee, Y.J.; Lee, S.S.; Seo, D.W.; Lee, S.K.; Kim, M.H.; Jang, S.J.; Byun, J.H.; Han, D.J. Intraductal papillary mucinous neoplasm of the pancreas: Clinical characteristics and treatment outcomes of 118 consecutive patients from a single center. J. Hepatobiliary Pancreat. Surg. 2008, 15, 183–188. [Google Scholar] [CrossRef] [PubMed]
- Salvia, R.; Fernandez-del Castillo, C.; Bassi, C.; Thayer, S.P.; Falconi, M.; Mantovani, W.; Pederzoli, P.; Warshaw, A.L. Main-duct intraductal papillary mucinous neoplasms of the pancreas: Clinical predictors of malignancy and long-term survival following resection. Ann. Surg. 2004, 239, 678–685; discussion 685–677. [Google Scholar] [CrossRef] [PubMed]
- Schnelldorfer, T.; Sarr, M.G.; Nagorney, D.M.; Zhang, L.; Smyrk, T.C.; Qin, R.; Chari, S.T.; Farnell, M.B. Experience with 208 resections for intraductal papillary mucinous neoplasm of the pancreas. Arch. Surg. 2008, 143, 639–646; discussion 646. [Google Scholar] [CrossRef] [PubMed]
- Suzuki, Y.; Atomi, Y.; Sugiyama, M.; Isaji, S.; Inui, K.; Kimura, W.; Sunamura, M.; Furukawa, T.; Yanagisawa, A.; Ariyama, J.; et al. Cystic neoplasm of the pancreas: A Japanese multiinstitutional study of intraductal papillary mucinous tumor and mucinous cystic tumor. Pancreas 2004, 28, 241–246. [Google Scholar] [CrossRef]
- Kleeff, J.; Michalski, C.; Kong, B.; Erkan, M.; Roth, S.; Siveke, J.; Friess, H.; Esposito, I. Surgery for cystic pancreatic lesions in the post-sendai era: A single institution experience. HPB Surg. World J. Hepatic Pancreat. Biliary Surg. 2015, 2015, 847837. [Google Scholar] [CrossRef]
- Maimone, S.; Agrawal, D.; Pollack, M.J.; Wong, R.C.; Willis, J.; Faulx, A.L.; Isenberg, G.A.; Chak, A. Variability in measurements of pancreatic cyst size among EUS, CT, and magnetic resonance imaging modalities. Gastrointest. Endosc. 2010, 71, 945–950. [Google Scholar] [CrossRef]
- Huynh, T.; Ali, K.; Vyas, S.; Dezsi, K.; Strickland, D.; Basinski, T.; Chen, D.T.; Jiang, K.; Centeno, B.; Malafa, M.; et al. Comparison of imaging modalities for measuring the diameter of intraductal papillary mucinous neoplasms of the pancreas. Pancreatology 2020, 20, 448–453. [Google Scholar] [CrossRef]
- Do, R.K.; Katz, S.S.; Gollub, M.J.; Li, J.; LaFemina, J.; Zabor, E.C.; Moskowitz, C.S.; Klimstra, D.S.; Allen, P.J. Interobserver agreement for detection of malignant features of intraductal papillary mucinous neoplasms of the pancreas on MDCT. AJR Am. J. Roentgenol. 2014, 203, 973–979. [Google Scholar] [CrossRef]
- Dunn, D.P.; Brook, O.R.; Brook, A.; Revah, G.; Jawadi, S.; Sun, M.; Lee, K.S.; Mortele, K.J. Measurement of pancreatic cystic lesions on magnetic resonance imaging: Efficacy of standards in reducing inter-observer variability. Abdom. Radiol. 2016, 41, 500–507. [Google Scholar] [CrossRef] [PubMed]
- Lee, J.E.; Choi, S.Y.; Min, J.H.; Yi, B.H.; Lee, M.H.; Kim, S.S.; Hwang, J.A.; Kim, J.H. Determining Malignant Potential of Intraductal Papillary Mucinous Neoplasm of the Pancreas: CT versus MRI by Using Revised 2017 International Consensus Guidelines. Radiology 2019, 293, 134–143. [Google Scholar] [CrossRef] [PubMed]
- Kang, H.J.; Lee, J.M.; Joo, I.; Hur, B.Y.; Jeon, J.H.; Jang, J.Y.; Lee, K.; Ryu, J.K.; Han, J.K.; Choi, B.I. Assessment of Malignant Potential in Intraductal Papillary Mucinous Neoplasms of the Pancreas: Comparison between Multidetector CT and MR Imaging with MR Cholangiopancreatography. Radiology 2016, 279, 128–139. [Google Scholar] [CrossRef] [PubMed]
- Seo, N.; Byun, J.H.; Kim, J.H.; Kim, H.J.; Lee, S.S.; Song, K.B.; Kim, S.C.; Han, D.J.; Hong, S.M.; Lee, M.G. Validation of the 2012 International Consensus Guidelines Using Computed Tomography and Magnetic Resonance Imaging: Branch Duct and Main Duct Intraductal Papillary Mucinous Neoplasms of the Pancreas. Ann. Surg. 2016, 263, 557–564. [Google Scholar] [CrossRef] [PubMed]
- Waters, J.A.; Schmidt, C.M.; Pinchot, J.W.; White, P.B.; Cummings, O.W.; Pitt, H.A.; Sandrasegaran, K.; Akisik, F.; Howard, T.J.; Nakeeb, A.; et al. CT vs. MRCP: Optimal classification of IPMN type and extent. J. Gastrointest. Surg. 2008, 12, 101–109. [Google Scholar] [CrossRef] [PubMed]
- Boos, J.; Brook, A.; Chingkoe, C.M.; Morrison, T.; Mortele, K.; Raptopoulos, V.; Pedrosa, I.; Brook, O.R. MDCT vs. MRI for incidental pancreatic cysts: Measurement variability and impact on clinical management. Abdom. Radiol. 2017, 42, 521–530. [Google Scholar] [CrossRef]
- Hecht, E.M.; Khatri, G.; Morgan, D.; Kang, S.; Bhosale, P.R.; Francis, I.R.; Gandhi, N.S.; Hough, D.M.; Huang, C.; Luk, L.; et al. Intraductal papillary mucinous neoplasm (IPMN) of the pancreas: Recommendations for Standardized Imaging and Reporting from the Society of Abdominal Radiology IPMN disease focused panel. Abdom. Radiol. 2021, 46, 1586–1606. [Google Scholar] [CrossRef]
- Megibow, A.J.; Baker, M.E.; Morgan, D.E.; Kamel, I.R.; Sahani, D.V.; Newman, E.; Brugge, W.R.; Berland, L.L.; Pandharipande, P.V. Management of Incidental Pancreatic Cysts: A White Paper of the ACR Incidental Findings Committee. J. Am. Coll. Radiol. 2017, 14, 911–923. [Google Scholar] [CrossRef]
- Kim, S.H.; Lee, J.M.; Lee, E.S.; Baek, J.H.; Kim, J.H.; Han, J.K.; Choi, B.I. Intraductal papillary mucinous neoplasms of the pancreas: Evaluation of malignant potential and surgical resectability by using MR imaging with MR cholangiography. Radiology 2015, 274, 723–733. [Google Scholar] [CrossRef]
- Arvold, N.D.; Niemierko, A.; Mamon, H.J.; Fernandez-del Castillo, C.; Hong, T.S. Pancreatic cancer tumor size on CT scan versus pathologic specimen: Implications for radiation treatment planning. Int. J. Radiat. Oncol. Biol. Phys. 2011, 80, 1383–1390. [Google Scholar] [CrossRef]
- Lee, Y.S.; Paik, K.H.; Kim, H.W.; Lee, J.C.; Kim, J.; Hwang, J.H. Comparison of Endoscopic Ultrasonography, Computed Tomography, and Magnetic Resonance Imaging for Pancreas Cystic Lesions. Medicine 2015, 94, e1666. [Google Scholar] [CrossRef] [PubMed]
- Tian, F.; Wu, J.X.; Rong, W.Q.; Wang, L.M.; Wu, F.; Yu, W.B.; An, S.L.; Liu, F.Q.; Feng, L.; Liu, Y.H. Retrospective evaluation of discrepancies between radiological and pathological size of hepatocellular carcinoma masses. Asian Pac. J. Cancer Prev. 2014, 15, 9487–9494. [Google Scholar] [CrossRef] [PubMed]
- Huang, J.W.; Dong, B.J.; Zhang, J.; Kong, W.; Xue, W.; Liu, D.M.; Huang, Y.R. Discrepancy between radiological and pathological sizes of renal masses. Zhonghua Zhong Liu Za Zhi 2013, 35, 429–433. [Google Scholar] [PubMed]
- Park, H.S.; Lee, S.; Haam, S.; Lee, G.D. Effect of formalin fixation and tumour size in small-sized non-small-cell lung cancer: A prospective, single-centre study. Histopathology 2017, 71, 437–445. [Google Scholar] [CrossRef] [PubMed]
- Chen, C.H.; Hsu, M.Y.; Jiang, R.S.; Wu, S.H.; Chen, F.J.; Liu, S.A. Shrinkage of head and neck cancer specimens after formalin fixation. J. Chin. Med. Assoc. 2012, 75, 109–113. [Google Scholar] [CrossRef] [PubMed]
- Yeap, B.H.; Muniandy, S.; Lee, S.K.; Sabaratnam, S.; Singh, M. Specimen shrinkage and its influence on margin assessment in breast cancer. Asian J. Surg. 2007, 30, 183–187. [Google Scholar] [CrossRef] [PubMed]
- Tran, T.; Sundaram, C.P.; Bahler, C.D.; Eble, J.N.; Grignon, D.J.; Monn, M.F.; Simper, N.B.; Cheng, L. Correcting the Shrinkage Effects of Formalin Fixation and Tissue Processing for Renal Tumors: Toward Standardization of Pathological Reporting of Tumor Size. J. Cancer 2015, 6, 759–766. [Google Scholar] [CrossRef]
- Umstattd, L.A.; Mills, J.C.; Critchlow, W.A.; Renner, G.J.; Zitsch, R.P., 3rd. Shrinkage in oral squamous cell carcinoma: An analysis of tumor and margin measurements in vivo, post-resection, and post-formalin fixation. Am. J. Otolaryngol. 2017, 38, 660–662. [Google Scholar] [CrossRef]
- Prento, P.; Lyon, H. Commercial formalin substitutes for histopathology. Biotech. Histochem. 1997, 72, 273–282. [Google Scholar] [CrossRef]
- Werner, M.; Chott, A.; Fabiano, A.; Battifora, H. Effect of formalin tissue fixation and processing on immunohistochemistry. Am. J. Surg. Pathol. 2000, 24, 1016–1019. [Google Scholar] [CrossRef]
- Lam, D.; Kaneko, Y.; Scarlett, A.; D’Souza, B.; Norris, R.; Woods, R. The Effect of Formalin Fixation on Resection Margins in Colorectal Cancer. Int. J. Surg. Pathol. 2019, 27, 700–705. [Google Scholar] [CrossRef] [PubMed]
- Jonmarker, S.; Valdman, A.; Lindberg, A.; Hellstrom, M.; Egevad, L. Tissue shrinkage after fixation with formalin injection of prostatectomy specimens. Virchows Arch. 2006, 449, 297–301. [Google Scholar] [CrossRef] [PubMed]
- Kwong, W.T.; Lawson, R.D.; Hunt, G.; Fehmi, S.M.; Proudfoot, J.A.; Xu, R.; Giap, A.; Tang, R.S.; Gonzalez, I.; Krinsky, M.L.; et al. Rapid Growth Rates of Suspected Pancreatic Cyst Branch Duct Intraductal Papillary Mucinous Neoplasms Predict Malignancy. Dig. Dis. Sci. 2015, 60, 2800–2806. [Google Scholar] [CrossRef] [PubMed]
- Kang, M.J.; Jang, J.Y.; Kim, S.J.; Lee, K.B.; Ryu, J.K.; Kim, Y.T.; Yoon, Y.B.; Kim, S.W. Cyst growth rate predicts malignancy in patients with branch duct intraductal papillary mucinous neoplasms. Clin. Gastroenterol. Hepatol. 2011, 9, 87–93. [Google Scholar] [CrossRef]
- Chen, J.H.; Bahri, S.; Mehta, R.S.; Carpenter, P.M.; McLaren, C.E.; Chen, W.P.; Fwu, P.T.; Hsiang, D.J.; Lane, K.T.; Butler, J.A.; et al. Impact of factors affecting the residual tumor size diagnosed by MRI following neoadjuvant chemotherapy in comparison to pathology. J. Surg. Oncol. 2014, 109, 158–167. [Google Scholar] [CrossRef]
Disclaimer/Publisher’s Note: The statements, opinions and data contained in all publications are solely those of the individual author(s) and contributor(s) and not of MDPI and/or the editor(s). MDPI and/or the editor(s) disclaim responsibility for any injury to people or property resulting from any ideas, methods, instructions or products referred to in the content. |
© 2024 by the authors. Licensee MDPI, Basel, Switzerland. This article is an open access article distributed under the terms and conditions of the Creative Commons Attribution (CC BY) license (https://creativecommons.org/licenses/by/4.0/).